مرض ڤيروس كورونا 2019
| مرض ڤيروس كورونا 2019 Coronavirus disease 2019 (COVID-19)  | |
|---|---|
| الأسماء الأخرى | 
  | 
| أعراض كوڤيد-19 | |
| النطق | |
| التخصص | عدوى تنفسية حادة[5] | 
| الأعراض | Fever, cough, shortness of breath[6] | 
| المضاعفات | الاتهاب الرئوي، ARDS، الفشل الكلوي | 
| المسببات | SARS-CoV-2 | 
| عوامل الخطر | عدم اتخاذ التدابير الوقائية | 
| الطريقة التشخيصية | فحص rRT-PCR، المقياسة المناعية، الأشعة المقطعية | 
| الوقاية | غسيل اليدين بطريقة صحيحة، تغطية الفم عند السعال، تجنب الاتصال عن قرب بالأشخاص المرضى أو حاملي الڤيروس | 
| العلاج | علاج الأعراض والعلاج الداعم | 
| التردد | قالب:Cases in 2019–20 coronavirus outbreak confirmed cases since 30 December 2019 | 
| الوفيات | قالب:Cases in 2019–20 coronavirus outbreak (3.4% of confirmed cases; lower when unreported cases are included)[7] | 
مرض ڤيروس كورونا 2019 (Coronavirus disease 2019؛ COVID-19) هو مرض معدي يسببه ڤيروس كورونا 2 المرتبط بالمتلازمة التنفسية الحادة الوخيمة (SARS-CoV-2).[8] تم تحديد المرض لأول مرة عام 2019 في ووخان ، الصين ، وانتشر منذ ذلك الحين على مستوى العالم ، مما أدى إلى جائحة ڤيروس كورونا 2019-2020.[9][10] تشمل الأعراض الشائعة الحمى والسعال وضيق التنفس. آلام العضلات وإنتاج البلغم والتهاب الحلق أقل شيوعًا.[6][11] في حين أن غالبية الحالات تؤدي إلى أعراض خفيفة,[12] بعض الحالات يتطور نحو الالتهاب الرئوي الحاد و فشل الاعضاء المتعدد ..[9][13] يبلغ معدل الوفيات لكل عدد من الحالات التي تم تشخيصها في المتوسط 3.4٪ ، ويتراوح بين 0.2٪ في أولئك الذين تقل أعمارهم عن 20 إلى 15٪ تقريبًا في أولئك الذين تزيد أعمارهم عن 80 عامًا..[7][14][15]
تنتشر العدوى عادة من شخص لآخر عن طريق قطرات الجهاز التنفسي التي تنتج أثناء السعال والعطس.[16][17] عادةً ما يكون الوقت من التعرض لظهور الأعراض بين يومين و 14 يومًا ، بمتوسط خمسة أيام.[18][19] الطريقة القياسية للتشخيص هي عن طريق النسخ العكسي لتفاعل البوليميراز المتسلسل (rRT-PCR) من مسحة البلعوم الأنفي أو مسحة الحلق. يمكن أيضًا تشخيص الإصابة من خلال مجموعة من الأعراض وعوامل الخطر والتصوير الطبقي المحوسب للصدر الذي يوضح علامات الالتهاب الرئوي..[20][21]
تشمل الإجراءات الموصى بها للوقاية من العدوى غسل اليدين بشكل متكرر ، الابتعاد الاجتماعي ، وعدم لمس وجهه.[22] يوصى باستخدام الأقنعة لأولئك الذين يشتبهون في إصابتهم بالڤيروس ومقدمي الرعاية ولكن ليس لعامة الناس.[23][24] لا يوجد لقاح أو علاج محدد مضاد للڤيروسات لـ COVID-19. تتضمن التدابير العلاجية علاج الأعراض والرعاية الداعمة والعزل والتدابير التجريبية.[25]
أعلنت منظمة الصحة العالمية (WHO) أن تفشي ڤيروس كورونا للفترة 2019-2020 هو جائحة[10] و طوارئ الصحة العامة ذات الاهتمام الدولي
(PHEIC).[26][27] تم العثور على أدلة على انتقال المرض محليًا في العديد من البلدان عبر جميع أقاليم منظمة الصحة العالمية الستة.[28]
العلامات والأعراض
| الاعراض | النسبة المئوية | 
|---|---|
| الحمي | 87.9% | 
| السعال الجاف | 67.7% | 
| التعب | 38.1% | 
| انتاج البلغم | 33.4% | 
| ضيق التنفس | 18.6% | 
| ألم العضلات او ألم مفصلي | 14.8% | 
| التهاب الحلق | 13.9% | 
| صداع | 13.6% | 
| قشعريرة | 11.4% | 
| غثيان أو قيء | 5.0% | 
| احتقان الانف | 4.8% | 
| اسهال | 3.7% | 
| نفث الدم | 0.9% | 
| احتقان الملتحمة | 0.8% | 
على الرغم من أن المصابين بالڤيروس قد يكونون بدون أعراض ، إلا أن العديد منهم يعانون اعتلال شبيه بالأنفلونزا بما في ذلك الحمى والسعال وضيق التنفس.[6][30][31] اقل شيوعًا ، قد تظهر أعراض الجهاز التنفسي العلوي مثل العطس أو سيلان الأنف أو التهاب الحلق. تظهر أعراض الجهاز الهضمي مثل الغثيان والقيء والإسهال في أقلية من الحالات.[32] في بعض الحالات ، قد يتطور المرض إلى الالتهاب الرئوي وفشل الأعضاء المتعدد والموت..[9][13]
كما هو شائع مع العدوي ، هناك تأخير من وقت إصابة الشخص بالڤيروس إلى عندما تظهر عليه أعراض ، تعرف باسم فترة الحضانة . تتراوح فترة حضانة COVID-19 عادةً من خمسة إلى ستة أيام ، ولكنها قد تتراوح من يومين إلى 14 يومًا.[33][34]
عادةً ما تتعافى الحالات الخفيفة في غضون أسبوعين ، بينما قد يستغرق الأشخاص المصابون بمرض شديد أو حالتهم حرجة ثلاثة إلى ستة أسابيع للتعافي. من بين أولئك الذين ماتوا ، تراوحت الفترة من ظهور الأعراض حتى الموت من أسبوعين إلى ثمانية أسابيع.[35]
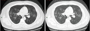
وجدت إحدى الدراسات في الصين أن التصوير الطبقي المحوسب أظهر عتامة الزجاج مغشي في 56 ٪ ، ولكن 18 ٪ لم يكن لديها نتائج إشعاعية. تم قبول 5 ٪ في وحدات العناية المركزة ، و 2.3 ٪ بحاجة إلى دعم التهوية الميكانيكية ، وتوفي 1.4 ٪.[36] عتامات الزجاج المغشي الثنائي والمحيطي هي أكثر نتائج التصوير المقطعي المحوسب النموذجي.[37] التصلد والعتامة الخطية وعلامة الهالة العكسية هم نتائج إشعاعية أخرى.[37] في البداية ، تقتصر الآفات على رئة واحدة ، ولكن مع تقدم المرض ، تظهر المؤشرات في كلا الرئتين في 88٪ مما يسمى "المرضى المتأخرون" في مجموعة الدراسة (المجموعة الفرعية التي كان الوقت بين ظهور الأعراض والتصوير الطبقي المحوسب للصدر 6-12 يومًا).[37]
دورة المرض والمضاعفات
تختلف شدة مرض كورونا ڤيروس 2019 (COVID-19). قد يأخذ المرض دورة خفيفة مع أعراض قليلة أو معدومة ، تشبه أمراض الجهاز التنفسي العلوي الشائعة الأخرى مثل الزكام. ومع ذلك ، في بعض COVID-19 قد يؤثر على الرئتين مما يسبب الالتهاب الرئوي. في الأشخاص الأكثر تأثرًا بشدة ، قد يتطور COVID-19 بسرعة إلى متلازمة الضائقة التنفسية الحادة (ARDS) مما يسبب فشلًا تنفسيًا أو صدمة إنتانية أو فشل الاعضاء المتعدد ..[38][39]
تشمل مضاعفات COVID-19 الإنتان ومضاعفات القلب (مثل قصور القلب الاحتقاني أواضطراب نظم القلب ). ولوحظ أيضًا حدوث تخثر ونزيف غير طبيعي في 90٪ من المصابين بالالتهاب الرئوي.[40]
تتنبأ عدة عوامل بخطورة الإصابة بـ COVID-19 . من المرجح أن يكون لدى الأطفال أعراض أكثر اعتدالا وفرصة أقل بكثير للإصابة بأمراض خطيرة من البالغين.[41] يرتبط التقدم في السن والتقدم في معيار سوفا (مقياس تسجيل سريري لتقييم وظيفة أنظمة وأجهزة الاستقلاب المختلفة ، مثل الرئتين والقلب والكبد والكلى ، وما إلى ذلك) بسوء توقعات سير المرض. أولئك الذين يعانون من أمراض قلبية سابقة هم أكثر عرضة لخطر الإصابة بمضاعفات في القلب. اختبارات الدم المرتبطة بأمراض أكثر شدة تشمل ديمر-دي أكبر من 1 ميكروغرام / مل عند دخول المستشفي ؛ مستويات مرتفعة من انترلوكين-6 في الدم ، التروبونين الأول للقلب عالي الحساسية ، نازع هيدروجين اللاكتات . ومستويات منخفضة بشكل غير طبيعي من الخلايا الليمفاوية (نوع من خلايا الدم البيضاء).
السبب
يحدث المرض بسبب ڤيروس كورونا 2 المرتبط بالمتلازمة التنفسية الحادة الوخيمة (SARS-CoV-2) ، والذي كان يشار إليه سابقًا باسم ڤيروس كورونا الجديد (2019-nCoV).[42] تنتشر في المقام الأول بين الناس عن طريق قطرات الجهاز التنفسي من السعال والعطس.[17]
الرئتان هي الأعضاء الأكثر تأثراً بـ COVID-19 لأن الڤيروس يصل إلى الخلايا المضيفة عبر الإنزيم إنزيم محول للأنجيوتنسين 2 ، وهو الأكثر وفرة في الخلايا السنخية من النوع الثاني في الرئتين. يستخدم الڤيروس بروتين سكري خاص بالسطح ، يسمى "سبايك (الشوكة)" ، للاتصال بـ إنزيم محول للأنجيوتنسين 2 ودخول الخلية المضيفة.[43] يرتبط كثافة إنزيم محول للأنجيوتنسين 2 في كل نسيج بشدة المرض في هذا النسيج ، وقد اقترح البعض أن تقليل نشاط إنزيم محول للأنجيوتنسين 2 قد يكون وقائيًا,[44][45] علي الرغم من وجهة نظر أخرى هي أن زيادة إنزيم محول للأنجيوتنسين 2 باستخدام أدوية مضادات مستقبلات الأنجيوتنسين 2 يمكن أن تكون وقائية وأن هذه الفرضيات تحتاج إلى اختبار.[46] مع تقدم المرض السنخي ، قد يتطور الفشل التنفسي وقد يتبعه الموت..[45] قد يكون إنزيم محول للأنجيوتنسين 2 أيضًا مسار الڤيروس لمهاجمة القلب مما يتسبب في إصابة قلبية حادة. يعاني الأشخاص المصابون بأمراض القلب والأوعية الدموية الحالية من أسوأ توقعات سير المرض.[47]
يعتقد أن الڤيروس له أصل حيواني,[48] خلال العدوى غير المباشرة.[49] تم نقله لأول مرة إلى البشر في ووخان ، الصين ، في نوفمبر أو ديسمبر 2019 ، وأصبح المصدر الأساسي للعدوى انتقالًا من شخص لآخر بحلول أوائل يناير 2020.[50][51] في 14 مارس 2020 ، ذكرت صحيفة ساوث تشاينا مورنينج بوست أن شخصًا يبلغ من العمر 55 عامًا من مقاطعة هوبي يمكن أن يكون أول شخص يصاب بالمرض في 17 نوفمبر 2019.[52] حتى 14 مارس 2020 ، تم الإبلاغ عن 67،790 حالة و 3،075 حالة وفاة بسبب الڤيروس في مقاطعة هوبي. معدل إماتة الحالات 4.54٪..[52]
التشخيص
نشرت منظمة الصحة العالمية عدة بروتوكولات اختبار للمرض.[54] الطريقة القياسية للاختبار هي تفاعل سلسلة بوليميراز النسخ العكسي في الوقت الحقيقي (rRT-PCR).[55] يمكن إجراء الاختبار على عينات الجهاز التنفسي التي تم الحصول عليها بطرق مختلفة ، بما في ذلك مسحة البلعوم الأنفي أو عينة البلغم .[56] النتائج متاحة بشكل عام في غضون بضع ساعات إلى يومين.[57][58] يمكن استخدام اختبارات الدم ، ولكن هذه تتطلب عينتين من الدم تم فصلهما أسبوعين والنتائج ذات قيمة فورية قليلة.[59] تمكن العلماء الصينيون من عزل سلالة من ڤيروس كورونا ونشر تسلسل الحمض النووي حتى تتمكن المختبرات في جميع أنحاء العالم من تطوير اختبارات تفاعل الپوليمريز المتسلسل (PCR) بشكل مستقل للكشف عن الإصابة بالڤيروس.[9][60][61]
حتى 26 فبراير 2020 ، لم تكن هناك اختبارات للأجسام المضادة أو اختبارات نقطة الرعاية على الرغم من استمرار الجهود المبذولة لتطويرها..[62]
اقترحت الإرشادات التشخيصية الصادرة عن مستشفى تشونغنان بجامعة ووخان طرقًا للكشف عن العدوى بناءً على السمات السريرية والمخاطر الوبائية. تضمن هذا تحديد الأشخاص الذين لديهم على الأقل اثنين من الأعراض التالية بالإضافة إلى تاريخ من السفر إلى ووخان أو الاتصال بأشخاص آخرين مصابين: الحمى أوعلامات التصوير المقطعي للاتهاب الرئوي أو عدد خلايا الدم البيضاء الطبيعي أو المنخفض أو انخفاض عدد الخلايا الليمفاوية.[20] أظهرت دراسة نشرها فريق في مستشفى تونغجي في ووخان في 26 فبراير 2020 أن التصوير الطبقي المحوسب للصدر لـ COVID-19 لديه حساسية ونوعية أكثر (98٪) من تفاعل الپوليمريز المتسلسل (71٪).[21] قد تحدث نتائج سلبية كاذبة بسبب فشل مجموعة تفاعل الپوليمريز المتسلسل ، أو بسبب مشاكل في العينة أو مشاكل في إجراء الاختبار. من المرجح أن تكون النتائج الإيجابية الكاذبة نادرة..[63]
تقنيات جديدة
في 18 مارس 2020، طور علماء من جامعة ستانفورد اختباراً للكشف عن الإصابة ڤيروس كورونا في نصف ساعة، أسرع ثلاث مرات من طرق الاختبار الحالية.[64]
طور فريق علماء اختباراً لڤيروس كورونا الجديد يسمح بالتأكد من إصابة الشخص أو خلوه من الفيروس القاتل بسرعة أكبر. وقام فريق من قسم العلوم الهندسية بجامعة أكسفورد ومركز أكسفورد سوتشو للبحوث المتقدمة بتطوير الاختبار الذي يستند إلى تقنية قادرة على إعطاء نتائج في نصف ساعة. وتستغرق اختبارات الڤيروس الحالية باستخدام عينة من الأنسجة أو الدم أو السوائل الأخرى من نصف ساعة إلى ساعتين لإعطاء نتيجة. ويقول العلماء أصحاب الاختبار الجديد إنه أسرع بكثير من تلك التي تستخدم على نطاق واسع ولا يتطلب أداة معقدة.[65]
ويعمل الفريق بقيادة البروفيسور زانفنگ توي والبروفيسور وي هوانگ على تحسين قدرات الاختبار مع تفشي الڤيروس دولياً. وقال البروفيسور هوانگ: "يكمن جمال هذا الاختبار الجديد في تصميم الكشف الڤيروسي الذي يمكنه التعرف على وجه التحديد على شظايا الحمض النووي الريبي". الاختبار يحتوي على عمليات فحص مدمجة لمنع القراءات الخاطئة وكانت النتائج دقيقة للغاية.
ويقول العلماء إن هذه التكنولوجيا حساسة للغاية مما يعني أنه قد يتم التعرف على المرضى في المراحل المبكرة من العدوى، مما قد يساعد على الحد من الانتشار.
تتطلب التكنولوجيا كتلة حرارية بسيطة تحافظ على درجة حرارة ثابتة، ويمكن قراءة النتائج بالعين المجردة. وقد استخدمت هذه التكنولوجيا على عينات سريرية حقيقية في مستشفى شنتشن لوهو الشعبي في الصين.
وطبق المستشفى مجموعات الكشف السريع على 16 عينة سريرية، بما في ذلك ثمانية حالات إيجابية وثماني كانت سلبية، وهو ما أكدته الطرق التقليدية وغيرها من الأدلة السريرية. وكانت جميع نتائج الاختبار باستخدام مجموعات الكشف السريع ناجحة.
الكلاب البوليسية
في 24 مايو 2021 أعلن علماء بريطانيون عن تدريب كلاب بوليسية بالاستعانة بجوارب ارتداها مصابون بفيروس كورونا قد تُستخدم قريبًا في المطارات أو في أماكن التجمعات للتعرف على حاملي "كوفيد - 19" من خلال رصد ما اسموه ب"رائحة كورونا".
وقال العلماء، إن الكلاب المدربة يمكنها فحص مئات عدة من الأشخاص في غضون نصف ساعة، واكتشاف المصابين بدقة تصل إلى 94.3 %.
وضمت الدراسة، التي لا تزال في مراحلها الأولى ، على قرابة 3500 من الجوارب والقمصان غير المغسولة التي ارتداها مرضى سابقون بـفيروس كورونا.
وقال ستيف لينزي، الأستاذ في قسم العلوم الحيوية في جامعة دورم والذي شارك في الدراسة "يمكن أن تكون الكلاب طريقة رائعة لفحص عدد كبير من الأشخاص بسرعة ومنع دخول (كوڤيد – 19) مرة أخرى إلى المملكة المتحدة".
وقال جيمس لوگن، اختصاصي مكافحة الأمراض في كلية لندن للصحة وطب المناطق الحارة، والذي ترأس فريق البحث، إن الميزة الرئيسية التي تتميز بها الكلاب البوليسية عن طرق المسح الأخرى هي "سرعتها المذهلة ودقتها الكبيرة مع مجموعات كبيرة من الأشخاص".
وتأتي الدراسة البريطانية إلى جانب مشروعات تجريبية أخرى تجري في فنلندا وألمانيا وتشيلي وأماكن أخرى تستخدم الكلاب البوليسية في رصد "كوفيد - 19" في المطارات.[66]
الوقاية
نظرًا لأنه من غير المتوقع أن يتوفر لقاح ضد ڤيروس كورونا 2 المرتبط بالمتلازمة التنفسية الحادة الوخيمة SARS)- CoV-2) حتى عام 2021 في أقرب وقت ممكن,[72] فإن الجزء الرئيسي للسيطرة علي وباء COVID-19 هو محاولة تقليل ذروة الوباء ، والمعروف باسم تسطيح منحنى الوباء من خلال تدابير مختلفة تسعى إلى تقليل معدل الإصابات الجديدة.[68] يساعد إبطاء معدل الإصابة على تقليل خطر الاستحواذ علي الخدمات الصحية ، مما يسمح بمعالجة أفضل للحالات الحالية ، ويوفر المزيد من الوقت لتطوير لقاح وعلاج.[68]
تتشابه الإجراءات الوقائية لتقليل فرص الإصابة في الأماكن التي ينتشر فيها المرض مع تلك المنشورة لڤيروسات كوروناالأخرى: البقاء في المنزل ، وتجنب السفر والأنشطة العامة ، وغسل اليدين بالصابون والماء الساخن في كثير من الأحيان ، وممارسة النظافة الصحية التنفسية الجيدة وتجنب لمس العيون أو الأنف أو الفم بأيد غير مغسولة.[73][74] تهدف استراتيجيات الابتعاد الاجتماعي إلى الحد من الاتصال بالأشخاص المصابين بمجموعات كبيرة عن طريق إغلاق المدارس وأماكن العمل ، وتقييد السفر ، وإلغاء التجمعات الجماعية.[75]
وفقًا لمنظمة الصحة العالمية ، يُنصح باستخدام الأقنعة فقط إذا كان الشخص يسعل أو يعطس أو عندما يعتني الشخص بشخص يشتبه في إصابته .[76]
لمنع انتقال الڤيروس ، توصي مراكز السيطرة على الأمراض والوقاية منها (CDC) في الولايات المتحدة الأمريكية بأن يبقى الأفراد المصابون في المنزل باستثناء الحصول على رعاية طبية ، الاتصال مسبقًا قبل زيارة مقدم الرعاية الصحية ، وارتداء قناع الوجه عند تعرضه للفرد أو مكان الإصابة المشتبه بها ، قم بتغطية السعال والعطس بمنديل ، اغسل يديك بانتظام بالماء والصابون وتجنب مشاركة الأدوات المنزلية الشخصية.[77][78] يوصي مراكز مكافحة الأمراض والوقاية منها أيضًا بأن يقوم الأفراد بغسل اليدين في كثير من الأحيان بالماء والصابون لمدة 20 ثانية على الأقل ، خاصة بعد الذهاب إلى المرحاض أو عندما تكون الأيدي متسخة بشكل واضح ، قبل تناول الطعام وبعد مسح الأنف أو السعال أو العطس. وأوصت أيضًا باستخدام معقم الأيدي القائم على الكحول مع 60 ٪ على الأقل من الكحول ، ولكن فقط عندما لا يتوفر الصابون والماء بسهولة .[73] تنصح منظمة الصحة العالمية الأفراد بتجنب لمس العين أو الأنف أو الفم بأيديهم غير المغسولة.[74] كما يجب تجنب البصق في الأماكن العامة.[79]
العلاج
لا توجد أدوية محددة مضادة للڤيروسات. تتم معالجة الأشخاص برعاية داعمة مثل دعم السوائل والأكسجين,[81][82] بينما في الوقت نفسه ، هناك مراقبة ودعم الأعضاء الحيوية الأخرى المتأثرة, بينما في الوقت نفسه ، هناك مراقبة ودعم الأعضاء الحيوية الأخرى المتأثرة.[83] وقد نشرت منظمة الصحة العالمية ولجنة الصحة الوطنية الصينية توصيات العلاج لرعاية الأشخاص الذين تم إدخالهم إلى المستشفى بواسطة مرض كورونا ڤيروس 2019.[84][85] لا يُنصح باستخدام السترويدات مثل ميثيل بريدنيزولون إلا إذا كان المرض معقدًا بسبب متلازمة الضائقة التنفسية الحادة.[86][87] وقد قام أخصائي أمراض الرعاية وأخصائي طب الصدر في الولايات المتحدة بتجميع توصيات العلاج من وكالات مختلفة إلى مورد مجاني ، كتاب الإنترنت للرعاية الحرجة ( IBCC).[88][89] .مراكز السيطرة على الأمراض والوقاية منها ((CDC توصي أولئك الذين يشتبهون في أنهم يحملون الڤيروس بارتداء قناع وجه بسيط.[23]
تم استخدام أكسدة الغشاء الجسماني (ECMO) لمعالجة مشكلة فشل الجهاز التنفسي ، ولكن فوائدها لا تزال قيد النظر.[36][90]
معدات الحماية الشخصية
تتضمن معالجة الأشخاص المصابين بالڤيروس اتخاذ الاحتياطات أثناء تطبيق المناورات العلاجية ، خاصة عند تنفيذ إجراءات مثل التنبيب أو كيس الصمام التي يمكن أن تولد الهباء الجوي .[91]
توضح مراكز مكافحة الأمراض والوقاية منها معدات الحماية الشخصية المحددة والترتيب الذي يجب على مقدمي الرعاية الصحية ارتداءها عند التعامل مع شخص قد يكون لديه COVID-19: ) 1)ثوب ، 2) قناع أو كمامة,[92][93] 3) نظارات أو درع الوجه ، 4) قفازات..[94][95]
التهوية الميكانيكية
معظم حالات COVID-19 ليست شديدة بما يكفي لتتطلب تهوية ميكانيكية (مساعدة صناعية لدعم التنفس) ، ولكن نسبة مئوية من الحالات تفعل ذلك. هذا هو الأكثر شيوعًا لدى كبار السن (أولئك الذين تزيد أعمارهم عن 60 عامًا وخاصة أولئك الذين تزيد أعمارهم عن 80 عامًا). هذا المكون من العلاج هو أكبر محدد لمعدل قدرة النظام الصحي الذي يدفع الحاجة إلى تسوية المنحنى (للحفاظ على السرعة التي تحدث بها الحالات الجديدة وبالتالي عدد المرضى في نقطة واحدة أقل من الوقت). .[بحاجة لمصدر]
العلاج التجريبي
يمكن تجربة الأدوية المضادة للڤيروسات في الأشخاص المصابين بمرض شديد.[81] أوصت منظمة الصحة العالمية المتطوعين بالمشاركة في تجارب فعالية وسلامة العلاجات المحتملة.[96] هناك أدلة مبدئية على رمدسيڤير اعتبارًا من مارس 2020.[97] كما يتم دراسة لوبينافير / ريتونافير في الصين .[98] وقد تم التوصية بـنيتازوكسانيد لإجراء مزيد من الدراسة في الجسم الحي بعد إثبات تثبيط تركيز منخفض لـ (ڤيروس كورونا 2 المرتبط بالمتلازمة التنفسية الحادة الوخيمة). SARS-CoV-2.[99]
تم اختبار الكلوروكين ، الذي يستخدم عادة لعلاج الملاريا ، في الصين في فبراير 2020 ، مع نتائج أولية تبدو إيجابية..[100][101] Chloroquine يحتوي فوسفات الكلوروكين على مجموعة واسعة من التأثيرات المضادة للڤيروسات وقد تم اقتراحه كعلاج للسارس - CoV - 2(ڤيروس كورونا 2 المرتبط بالمتلازمة التنفسية الحادة الوخيمة).[102] أظهرت الاختبارات المعملية أنه يمكن أن يثبط الڤيروس[103] وأصدرت إدارة العلوم والتكنولوجيا بمقاطعة قوانغدونغ ولجنة الصحة والصحة الاقليمية بمقاطعة قوانغدونغ تقريرًا يفيد بأن الكلوروكين "يحسن معدل نجاح العلاج ويقصر مدة إقامة المريض بالمستشفى "وأوصى به للأشخاص الذين تم تشخيص إصابتهم بحالات خفيفة ومتوسطة وشديدة من الالتهاب الرئوي الناجم عن ڤيروس كورونا الجديد.[104]
تم تضمين توسيليزوماب في المبادئ الارشادية للعلاج من قبل لجنة الصحة الوطنية الصينية بعد الانتهاء من دراسة صغيرة بواسطة جامعة العلوم والتكنولوجيا في الصين.[105][106] يخضع الدواء للاختبار في خمسة مستشفيات في إيطاليا بعد أن أظهر نتائج إيجابية في الأشخاص الذين يعانون من مرض شديد.[107][108] الى جانب اختبار الفيريتين في الدم لتحديد متلازمة إفراز السيتوكين ، فإنه يهدف إلى مواجهة مثل هذه التطورات ، التي يعتقد أنها سبب الوفاة في بعض الأشخاص المصابين..[109][110] تمت الموافقة على مضاد مستقبلات إنترلوكين -6 من قبل إدارة الغذاء والدواء للعلاج ضد متلازمة إفراز السيتوكين الناجم عن سبب مختلف ، العلاج الجيني بخلايا مستقبل مستضد خيمري ، في عام 2017.[111]
في 19 مارس 2020، أعلن الرئيس الأمريكي دونالد ترمپ عن استخدام الپلاكنيل، أحد أدوية الملاريا كعلاج لمرض ڤيروس كورونا. [112]
كانت فرنسا قد أعلنت في 17 مارس، عن نجاحها في استخدام هذا الدواء على عدد محدود من المرضى، وكذلك الصين التى تعمل على دراسة هذا الدواء مع أدوية أخرى قبل الولايات المتحدة. [113]
وقد بدأ العلماء بجامعة مينيسوتا الأمريكية تجربة هيدروكسي كلوروكوين لعلاج الملاريا على 1500 شخص هذا الأسبوع لمعرفة ما إذا كان الدواء يمكن أن يمنع أو يقلل من شدة كوڤيد-19.
وپلاكنيل هو عقار يستخدم منذ عقود في معالجة الملاريا وأمراض المناعة الذاتية مثل الذئبة والتهاب المفاصل، وبالإضافة إلى التأثير المباشر المضاد للڤيروسات، يمنع الدواء إنتاج وإطلاق الپروتينات المشاركة في المضاعفات الالتهابية للعديد من الأمراض الڤيروسية.
تكنولوجيا المعلومات
في فبراير 2020 ، أطلقت الصين تطبيقًا للهواتف المحمولة للتعامل مع تفشي المرض[114] يُطلب من المستخدمين إدخال الاسم ورقم الهوية. التطبيق قادر على الكشف عن "الاتصال الوثيق" باستخدام بيانات المراقبة وبالتالي خطر محتمل للعدوى. يمكن لكل مستخدم أيضًا التحقق من حالة ثلاثة مستخدمين آخرين. إذا تم الكشف عن خطر محتمل ، فإن التطبيق لا يوصي بالحجر الذاتي فحسب ، بل ينبه أيضًا مسؤولي الصحة المحليين.[115]
الدعم النفسي
قد يعاني الأفراد المصابون بالضيق بسبب الحجر الصحي أو قيود السفر أو الآثار الجانبية للعلاج أو الخوف من العدوى نفسها. لمعالجة هذه المخاوف ، نشرت اللجنة الصحية الوطنية الصينية مبادئ توجيهية وطنية للتدخل في الأزمات النفسية في 27 يناير 2020.[116][117]
توقعات سير المرض
يعاني العديد من أولئك الذين يموتون بسبب(ڤيروس كورونا 2 المرتبط بالمتلازمة التنفسية الحادة الوخيمة) COVID-19 من حالات سابقة ، بما في ذلك فرط ضغط الدم وداء السكري وأمراض القلب الوعائية الدموية.[118] في دراسة للحالات المبكرة ، كان متوسط الفترة من ظهور الأعراض الأولية حتى الموت 14 يومًا ، مع مدي كامل من 6 إلى 41 يومًا.[119] في دراسة أجرتها لجنة الصحة الوطنية (NHC) في الصين ، كان معدل الوفيات لدى الرجال 2.8 ٪ بينما كان معدل وفيات النساء 1.7 ٪..[120] في أولئك الذين تقل أعمارهم عن 50 عامًا ، يكون خطر الموت أقل من 0.5 ٪ ، بينما في أولئك الذين تزيد أعمارهم عن 70 عامًا يكون أكثر من 8 ٪.[120] لم تحدث حالات وفاة في الأشخاص الذين تقل أعمارهم عن 10 أعوام اعتبارا من 26 فبراير 2020[تحديث].[120] اعتبارًا من 26 فبراير 2020. وقد يؤثر توافر الموارد الطبية والاقتصاد الاجتماعي للمنطقة أيضًا على الوفيات .[121]
ظهرت الفحوصات النسيجية المرضية لعينات الرئة بعد الوفاة تلف السنخي المنتشر مع النضح الليفي العضلي في كلا الرئتين. ولوحظ الاعتلال الخلوي الڤيروسي في الخلايا الرئوية . تشبه صورة الرئة متلازمة الضائقة التنفسية الحادة (ARDS).[122]
من غير المعروف ما إذا كانت العدوى السابقة توفر مناعة فعالة وطويلة الأمد لدى الأشخاص الذين يتعافون من المرض.[123] من المحتمل أن تكون المناعة ، بناءً على سلوك ڤيروسات كورونا الأخرى,[124] لكن تم الإبلاغ عن الحالات التي تم فيها التعافي من COVID-19 من خلال اختبارات إيجابية لڤيروس كورونا في وقت لاحق.[125][126] من غير الواضح ما إذا كانت هذه الحالات ناتجة عن إعادة العدوى أو الانتكاس أو خطأ في الاختبار. هناك حاجة إلى مزيد من البحث حول كيفية تفاعل ڤيروس سارس - CoV - 2 مع جهاز المناعة البشري
.[بحاجة لمصدر]
| العمر | 80+ | 70–79 | 60–69 | 50–59 | 40–49 | 30–39 | 20–29 | 10–19 | 0–9 | 
|---|---|---|---|---|---|---|---|---|---|
| الصين اعتبارا من 11 فبراير[127] | 14.8 | 8.0 | 3.6 | 1.3 | 0.4 | 0.2 | 0.2 | 0.2 | 0.0 | 
| إيطاليا اعتبارًا من 12 مارس[128] | 16.9 | 9.6 | 2.7 | 0.6 | 0.1 | 0.1 | 0.0 | 0.0 | 0.0 | 
| كوريا الجنوبية اعتبارًا من 15 مارس[129] | 9.5 | 5.3 | 1.4 | 0.4 | 0.1 | 0.1 | 0.0 | 0.0 | 0.0 | 
شدة حالات COVID19 التي تم تشخيصها في الصين[130]
معدلات إماتة الحالات حسب الفئة العمرية في الصين. البيانات حتى 11 فبراير 2020.[131]
صحة طويلة الأمد
وجدت هيئة مستشفى هونغ كونغ انخفاضًا بنسبة 20٪ إلى 30٪ في سعة الرئة لدى اثنين إلى ثلاثة من حوالي اثني عشر شخصًا تعافوا من المرض. الناس الذين استعادوا اللهاث إذا مشوا بسرعة أكبر. وأشار مسح الرئة لتسعة أشخاص مصابين في مستشفى الأميرة مارغريت إلى أنهم أصيبوا بأضرار في الأعضاء.[132]
الاطفال
في دراسة أجريت على الأطفال في الصين الذين لديهم حالات مؤكدة مختبريًا أو مشتبه بها سريريًا لـ COVID-19 ، وجد أن الأطفال من جميع الأعمار عرضة للإصابة ولم يتم العثور على أي اختلاف بين الجنسين في الحساسية. من بين جميع الأطفال ، كانت 4.4٪ من الحالات بدون أعراض ، و 50.9٪ كانت خفيفة ، و 38.8٪ كانت متوسطة ، و 5.2٪ كانت شديدة ، و 0.6٪ كانت حرجة. وقعت حالة وفاة واحدة ، وهو صبي يبلغ من العمر 14 عامًا ، في مجتمع الدراسة..[133]
| بدون اعراض | الخفيفة | المتوسطة | الشديدة | الحرجة | الاجمالي | |
|---|---|---|---|---|---|---|
| <1 | 1.8% | 54.1% | 33.5% | 8.7% | 1.8% | 379 cases | 
| 1-5 سنين | 3.0% | 49.7% | 40.0% | 6.9% | 0.4% | 493 cases | 
| 6-10 سنين | 5.8% | 53.4% | 36.7% | 4.2% | 0.0% | 521 cases | 
| 11-15 سنين | 6.5% | 48.2% | 41.2% | 3.4% | 0.7% | 413 cases | 
| >15 سنين | 4.5% | 49.0% | 43.6% | 2.7% | 0.3% | 335 cases | 
| الكل | 4.4% | 51.0% | 38.8% | 5.2% | 0.6% | 2141 cases | 
علم الاوبئة
يعتمد معدل إماتة الحالات (CFR) على توفر الرعاية الصحية ، والعمر النموذجي والمشكلات الصحية بين السكان ، وعدد الحالات التي لم يتم تشخيصها.[134][135] أسفرت البحوث الأولية عن أرقام معدل إماتة الحالات بين 2٪ و 3٪.;[14] في يناير 2020 ، اقترحت منظمة الصحة العالمية أن معدل إماتة الحالات كان حوالي 3 ٪ ، ,[136] و 2 ٪ في فبراير 2020 في هوبي.[137] أرقام معدل إماتة الحالات CFR الأخرى ، التي تعدل حسب الاختلافات في وقت التأكيد أو الوفاة أو الشفاء ، هي على التوالي 7 ٪[138] و 33 ٪ للأشخاص في ووخان 31 يناير.[139] أشارت طبعة سابقة لم تتم مراجعتها من 55 حالة وفاة إلى أن التقديرات المبكرة للوفيات قد تكون مرتفعة للغاية حيث يتم تفويت العدوى دون أعراض. وقدروا أن متوسط نسبة وفيات العدوى (IFR ، معدل الوفيات بين المصابين) يتراوح بين 0.8٪ - 0.9٪. .[140] تسبب تفشي المرض في 2019-2020 في حدوث ما لا يقل عن 198004 عدوي مؤكدة و 7948 حالة وفاة قالب:Cases in 2019–20 coronavirus outbreak قالب:Cases in 2019–20 coronavirus outbreak
وجدت دراسة ملاحظية لتسعة أشخاص أنه لا يوجد انتقال رأسي من الأم إلى المولود.[141] أيضًا ، لم تجد دراسة وصفية في ووخان أي دليل على الانتقال الڤيروسي من خلال الجنس المهبلي (من أنثى إلى شريكها) ، لكن المؤلفين يلاحظون أن الانتقال أثناء ممارسة الجنس قد يحدث من خلال طرق أخرى .[142]
الابحاث
بسبب دوره الرئيسي في انتقال المرض وتطوره ، كان الإِنزيم المحول للأنجيوتنسين 2 محورًا لنسبة كبيرة من البحث واقتراح العديد من الأساليب العلاجية..[45]
اللقاح
لا يوجد لقاح متاح ، ولكن تم إجراء البحوث لتطوير لقاح من قبل مختلف الوكالات. يتم استخدام العمل السابق على SARS-CoV(ڤيروس كورونا المرتبط بالمتلازمة التنفسية الحادة الوخيمة) لأن كل من(ڤيروس كورونا 2 المرتبط بالمتلازمة التنفسية الحادة الوخيمة) SARS-CoV-2 و SARS-CoV يستخدمان الإِنزيم المحول للأنجيوتنسين 2 لغزو الخلايا البشرية.[143] هناك ثلاث استراتيجيات للقاحات قيد الدراسة. أولاً ، يهدف الباحثون إلى بناء لقاح كامل للڤيروس. يهدف استخدام مثل هذا الڤيروس ، سواء كان غير نشط أو ميت ، يهدف إلى إثارة استجابة مناعية فورية لجسم الإنسان لعدوى جديدة مع COVID-19. وتهدف الاستراتيجية الثانية ، لقاحات الوحدة الفرعية ، إلى إنشاء لقاح يجعل الجهاز المناعي ذو حساسية لوحدات فرعية معينة من الڤيروس. في حالة(ڤيروس كورونا 2 المرتبط بالمتلازمة التنفسية الحادة الوخيمة) SARS-CoV-2 ، تركز هذه الأبحاث على بروتين s-شوكة الذي يساعد الڤيروس على اختراق الإِنزيم المحول للأنجيوتنسين 2. الاستراتيجية الثالثة هي لقاحات الحمض النووي (لقاحات الحمض النووي الريبوزي منقوص الأكسجين أو حمض ريبي نووي ، وهي تقنية جديدة لخلق لقاح). يجب اختبار اللقاحات التجريبية من أي من هذه الاستراتيجيات للتأكد من سلامتها وفعاليتها.[144] في 16 مارس 2020 ، بدأت أول تجربة سريرية للقاح مع أربعة متطوعين في سياتل. يحتوي اللقاح على كود وراثي غير ضار تم نسخه من الڤيروس الذي يسبب المرض.[145]
مضاد الڤيروسات
لم تتم الموافقة على أي دواء حتى الآن لعلاج عدوى ڤيروسات كورونا في البشر من قبل منظمة الصحة العالمية على الرغم من أن السلطات الطبية الكورية والصينية توصي ببعضها.[146] تم بدء تجارب العديد من الأدوية المضادة للڤيروسات في COVID-19 بما في ذلك أوسيلتاميفير و لوبينافير/ريتونافير و غانسيكلوفير و فاڤيپيراڤير و بالوكسافير ماربوكسيل و اوميفينوفير و انترفيرون ألفا ولكن حاليًا لا توجد بيانات لدعم استخدامها .[147] توصي السلطات الصحية الكورية باستخدام لوبينافير/ريتونافير أو كلوروكين[148] وتشمل المبادئ التوجيهية للطبعة السابعة الصينية الإنترفيرون و لوبينافير/ريتونافير و ريبافيرين و كلوروكين و / أو اوميفينوفير .[149]
بدأ البحث في العلاجات المحتملة للمرض في يناير 2020 ، وهناك بالفعل العديد من الأدوية المضادة للڤيروسات في التجارب السريرية.[150][151] على الرغم من أن الأدوية الجديدة تمامًا قد تستغرق حتى عام 2021 لتطويرها ,[152] إلا أن العديد من الأدوية التي يتم اختبارها تمت الموافقة عليها بالفعل لمؤشرات أخرى مضادة للڤيروسات ، أو أنها بالفعل في اختبارات متقدمة..[146]
الرمدسيڤير و كلوروكين يثبطان بشكل فعال ڤيروس كورونا في المختبر.[99] رمدسيڤير في الولايات المتحدة والصين.[147] أشارت النتائج الأولية من تجربة متعددة المراكز ، تم الإعلان عنها في مؤتمر صحفي وصفها جاو و تيان و يانج ، إلى أن الكلوروكين فعال وآمن في علاج الالتهاب الرئوي المرتبط بـ COVID-19 ، "تحسين نتائج التصوير الرئوي ، وتعزيز التحويل السلبي للڤيروس ، و تقصير مسار المرض.[100]
أظهرت الدراسات الحديثة أن تحضير بروتين الشوكة الأولي عن طريق بروتين سيريني عبر الغشاء 2 (TMPRSS2) ضروري لدخول SARS-CoV-2(ڤيروس كورونا 2 المرتبط بالمتلازمة التنفسية الحادة الوخيمة) و (ڤيروس كورونا المرتبط بالمتلازمة التنفسية الحادة الوخيمة)SARS-CoV و MERS-CoV(ڤيروس كورونا المتعلق بمتلازمة الشرق الأوسط التنفسية) عبر التفاعل مع مستقبلات الإِنزيم المحول للأنجيوتنسين2.[153][154] . تشير هذه النتائج إلى أن مثبط كاموستات TMPRSS2 المعتمد للاستخدام السريري في اليابان لتثبيط التليف في أمراض الكبد والكلى والتهاب المريء الجزري التالي للجراحة والتهاب البنكرياس قد يشكل خيارًا فعالًا للعلاج خارج المجال .[153]
العلاج بالاجسام المضادة السلبية
إن استخدام التبرع بالدم من الأشخاص الأصحاء الذين تعافوا بالفعل من COVID-19 يبشر بالخير,[155] وهي استراتيجية جربت أيضًا بالنسبة للسارس ، وهو ابن عم سابق لـ COVID-19.[155] آلية العمل هي أن الأجسام المضادة التي يتم إنتاجها بشكل طبيعي في أجهزة المناعة لأولئك الذين تعافوا بالفعل يتم نقلها إلى الأشخاص المحتاجين إليها عبر شكل من أشكال التطعيم غير الملقحة .[155] يشبه هذا العلاج بمصل النقاهة (المتماثل للشفاء) (العلاج المضاد للمصل) طريقة استخدام الجلوبيولين المناعي لالتهاب الكبد B (HBIG) لمنع التهاب الكبد B أو الجلوبيولين المناعي لداء الكلب البشري (HRIG) في علاج داء الكلب .[155]قد تأتي أشكال أخرى من العلاج بالأجسام المضادة السلبية ، كما هو الحال مع الأجسام المضادة أحادية النسل المصنعة ، في وقت لاحق بعد تطوير الأدوية الحيوية,[155] ولكن يمكن زيادة إنتاج مصل النقاهة للنشر السريع.[156]
علاج يقلل الوفاة "ريكفري"
في 16 يونيو 2021، أعلن باحثون عن توصلهم إلى علاج آخر ينقذ حياة المصابين بكورونا.
ويعتمد هذا العلاج الجديد، الذي يعتبر باهظ الثمن، على حقن أجسام مضادة في الوريد لتحييد الفيروس، بدلا من تثبيط استجابة الجسم له.
وتشير نتائج التجربة التي تعرف باسم إلى أن العلاج الجديد قد يساعد واحدا من كل ثلاثة أشخاص يعانون من إصابة حادة بكوڤيد-19 ويتلقون الرعاية في المستشفى.[157]
أمراض القلب
في 9 فبراير 2022، حددت الأبحاث الرائدة التي أجرتها العديد من المراكز الطبية الأمريكية الكبرى عن حالة جديدة تصيب النساء تدعى متلازمة القلب المكسور تنجم عن تزايد انتشار ڤيروس كورونا. فقد كشفت الأبحاث أن هذه المتلازمة عبارة عن حالة قلبية ناجمة عن الإجهاد، والتي يقول الأطباء إنها تؤثر بشكل خاص على النساء، بحسب شبكة "إيه بي سي نيوز".[158]
وقالت ماري كاي أبرامسون، 63 عاماً، من بروكفيل بولاية ماريلاند، والتي شخصت حالتها عام 2021 إنها "شعرت وكأن قلبها ينبض من صدرها، وأضافت "شعرت أن الدم لا يمكن أن يمر عبر القلب بالسرعة الكافية". كما أشارت إلى أن أطباءها سألوها عما إذا كانت تعاني من ضغط شديد، وأشاروا إلى أن شرايينها بدت على ما يرام. وأوضحت أنها كانت تشعر بتوتر شديد، ويرجع ذلك في الغالب إلى المضاعفات الناجمة عن وباء ڤيروس كورونا.
إلى ذلك، بيّن الأطباء أنها حالة كلاسيكية من اعتلال عضلة القلب في متلازمة القلب المكسور، وهي الشكل النادر والخطير من أمراض القلب الناجم عن الإجهاد العاطفي أو البدني الشديد حيث إن التدفق المفاجئ للهرمونات يفاجئ القلب ويكون الضخ بشكل أقل كفاءة. بدوره، قال الدكتور نويل بيري ميرز، مدير مركز باربرا سترايسند للقلب في سيدار "لا أعرف إلى أي مدى يمكننا إلقاء اللوم على كورونا". وأضاف "لكن أمراض القلب هي السبب الرئيسي لوفاة النساء ومن جميع الأعمار، بما في ذلك المراهقات والنساء في منتصف العمر والنساء الأكبر سناً".
كذلك، أوضح أن حالات متلازمة القلب المنكسر ارتفعت بمعدل 10 مرات بين النساء في منتصف العمر وكبار السن من النساء والرجال الأصغر سناً خلال العقد الماضي، مشيراً إلى أن المرض هو الأكثر شيوعاً في هذه المجموعة أيضاً.
المصطلحات
Tأعلنت منظمة الصحة العالمية في 11 فبراير 2020 أن "COVID-19" سيكون الاسم الرسمي للمرض. وقال رئيس منظمة الصحة العالمية تدروس أدهانوم غيبريسوس إن كلمة "co" تعني "كورونا" و "vi" لـ "ڤيروس" و "d" لـ "المرض" ، بينما "19" كانت للعام ، حيث تم تحديد التفشي لأول مرة في 31 ديسمبر 2019. قال تيدروس أنه تم اختيار الاسم لتجنب الإشارة إلى موقع جغرافي محدد (أي الصين) أو أنواع الحيوانات أو مجموعة من الأشخاص بما يتماشى مع التوصيات الدولية للتسمية التي تهدف إلى منع الوصم.[159][160]
في حين أن المرض يسمى COVID-19 ، فإن الڤيروس الذي يسببه كان يسمى SARS-CoV-2 من قبل منظمة الصحة العالمية.[161] تمت الإشارة إلى الڤيروس مبدئيًا باسم ڤيروس كورونا الجديد 2019-nCoV.[162] بالإضافة إلى ذلك ، تستخدم منظمة الصحة العالمية "ڤيروس COVID-19" و"الڤيروس المسؤول عن COVID-19" في الاتصالات العامة.[161]
شكل المقابر
انظر أيضاً
- أمراض ڤيروس كورونا، مجموعة من المتلازمات ذات علاقة وثيقة
 - لي ونليانگ، طبيب في مستشفى ووخان المركزي، ومن أوائل من حذروا من المرض، والذي توفي بسببه لاحقاً.
 
مرئيات
| سعال مصابة بڤيروس كورونا ووخان. | 
| الرئيس دونالد ترمپ يعلن عن استخدام الهيدروكسيكلوروكين كعلاج  لمرض ڤيروس كورونا، مارس 2020.  | 
| جهاز اختبار كوڤيد-19، تستغرق النتائج 10 دقائق، إنتاج بيوزيك. | 
المراجع
- ^ 国家卫生健康委关于新型冠状病毒肺炎暂命名事宜的通知 (in Chinese (China)). National Health Commission. 7 February 2020. Archived from the original on 28 February 2020. Retrieved 9 February 2020. 
{{cite web}}: Unknown parameter|name-list-format=ignored (|name-list-style=suggested) (help) - ^ Campbell, Charlie (20 January 2020). "The Wuhan Pneumonia Crisis Highlights the Danger in China's Opaque Way of Doing Things". Time. Retrieved 13 March 2020. 
{{cite web}}: Unknown parameter|name-list-format=ignored (|name-list-style=suggested) (help) - ^ Lucey, Daniel; Sparrow, Annie (14 January 2020). "China Deserves Some Credit for Its Handling of the Wuhan Pneumonia". Foreign Policy. Retrieved 13 March 2020. 
{{cite web}}: Unknown parameter|name-list-format=ignored (|name-list-style=suggested) (help) - ^ Stobbe, Mike (8 February 2020). "Wuhan coronavirus? 2018 nCoV? Naming a new disease". Fortune. Associated Press. Retrieved 13 March 2020. 
{{cite news}}: Unknown parameter|name-list-format=ignored (|name-list-style=suggested) (help) - ^ انظر SARS-CoV-2 للمزيد.
 - ^ أ ب ت "Coronavirus Disease 2019 (COVID-19) Symptoms". Centers for Disease Control and Prevention. United States. 10 February 2020. Archived from the original on 30 January 2020. 
{{cite web}}: Unknown parameter|name-list-format=ignored (|name-list-style=suggested) (help) - ^ أ ب "World Health Organization. (2020). Coronavirus disease 2019 (COVID-19): situation report, 46" (PDF). Retrieved 16 March 2020.
 - ^ "Naming the coronavirus disease (COVID-19) and the virus that causes it". World Health Organization (WHO). Archived from the original on 28 February 2020. Retrieved 28 February 2020. 
{{cite web}}: Unknown parameter|name-list-format=ignored (|name-list-style=suggested) (help) - ^ أ ب ت ث Hui DS, I Azhar E, Madani TA, Ntoumi F, Kock R, Dar O, et al. (February 2020). "The continuing 2019-nCoV epidemic threat of novel coronaviruses to global health – The latest 2019 novel coronavirus outbreak in Wuhan, China". Int J Infect Dis. 91: 264–66. doi:10.1016/j.ijid.2020.01.009. PMID 31953166.
 - ^ أ ب "WHO Director-General's opening remarks at the media briefing on COVID-19". World Health Organization (WHO) (Press release). 11 March 2020. Retrieved 12 March 2020. 
{{cite press release}}: Unknown parameter|name-list-format=ignored (|name-list-style=suggested) (help)CS1 maint: url-status (link) - ^ "Q&A on coronaviruses (COVID-19)". World Health Organization (WHO). Retrieved 11 March 2020.
{{cite web}}: CS1 maint: url-status (link) - ^ Wang, Vivian (5 March 2020). "Most Coronavirus Cases Are Mild. That's Good and Bad News". The New York Times. 
{{cite news}}: Unknown parameter|name-list-format=ignored (|name-list-style=suggested) (help) - ^ أ ب "Q&A on coronaviruses". World Health Organization (WHO). Archived from the original on 20 January 2020. Retrieved 27 January 2020. 
{{cite web}}: Unknown parameter|name-list-format=ignored (|name-list-style=suggested) (help) - ^ أ ب "Wuhan Coronavirus Death Rate". www.worldometers.info. Archived from the original on 31 January 2020. Retrieved 2 February 2020. 
{{cite web}}: Unknown parameter|name-list-format=ignored (|name-list-style=suggested) (help) - ^ "Report 4: Severity of 2019-novel coronavirus (nCoV)" (PDF). Archived (PDF) from the original on 10 February 2020. Retrieved 10 February 2020. 
{{cite web}}: Unknown parameter|name-list-format=ignored (|name-list-style=suggested) (help) - ^ "Q&A on coronaviruses". World Health Organization (WHO). 11 February 2020. Archived from the original on 20 January 2020. Retrieved 24 February 2020. 
The disease can spread from person to person through small droplets from the nose or mouth which are spread when a person with COVID-19 coughs or exhales ... The main way the disease spreads is through respiratory droplets expelled by someone who is coughing.
{{cite web}}: Unknown parameter|name-list-format=ignored (|name-list-style=suggested) (help) - ^ أ ب "2019 Novel Coronavirus (2019-nCoV)". Centers for Disease Control and Prevention. 11 February 2020. Archived from the original on 7 March 2020. Retrieved 18 February 2020. 
The virus is thought to spread mainly from person-to-person ... through respiratory droplets produced when an infected person coughs or sneezes.
 - ^ "Symptoms of Novel Coronavirus (2019-nCoV)". www.cdc.gov. 10 February 2020. Archived from the original on 30 January 2020. Retrieved 11 February 2020.
 - ^ Velavan TP, Meyer CG (March 2020). "The COVID-19 epidemic". Tropical Medicine & International Health. n/a (n/a): 278–80. doi:10.1111/tmi.13383. PMID 32052514.
 - ^ أ ب Jin YH, Cai L, Cheng ZS, Cheng H, Deng T, Fan YP, et al. (February 2020). "A rapid advice guideline for the diagnosis and treatment of 2019 novel coronavirus (2019-nCoV) infected pneumonia (standard version)". Military Medical Research. 7 (1): 4. doi:10.1186/s40779-020-0233-6. PMC 7003341. PMID 32029004.
 - ^ أ ب "CT provides best diagnosis for COVID-19". ScienceDaily. 26 February 2020. Retrieved 2 March 2020.
{{cite web}}: CS1 maint: url-status (link) - ^ "Advice for public". World Health Organization (WHO). Archived from the original on 26 January 2020. Retrieved 25 February 2020. 
{{cite web}}: Unknown parameter|name-list-format=ignored (|name-list-style=suggested) (help) - ^ أ ب CDC (11 February 2020). "2019 Novel Coronavirus (2019-nCoV)". Centers for Disease Control and Prevention. Archived from the original on 14 February 2020. Retrieved 15 February 2020. 
{{cite web}}: Unknown parameter|name-list-format=ignored (|name-list-style=suggested) (help) - ^ "Advice for public". World Health Organization (WHO). Archived from the original on 26 January 2020. Retrieved 15 February 2020. 
{{cite web}}: Unknown parameter|name-list-format=ignored (|name-list-style=suggested) (help) - ^ "Coronavirus Disease 2019 (COVID-19)". Centers for Disease Control and Prevention (CDC). 15 February 2020. Archived from the original on 26 February 2020. Retrieved 20 February 2020. 
{{cite web}}: Unknown parameter|name-list-format=ignored (|name-list-style=suggested) (help) - ^ "Statement on the second meeting of the International Health Regulations (2005) Emergency Committee regarding the outbreak of novel coronavirus (2019-nCoV)". World Health Organization (WHO). Archived from the original on 31 January 2020. Retrieved 11 February 2020. 
{{cite web}}: Unknown parameter|name-list-format=ignored (|name-list-style=suggested) (help) - ^ Mahtani S, Berger M, O'Grady S, Iati M (6 February 2020). "Hundreds of evacuees to be held on bases in California; Hong Kong and Taiwan restrict travel from mainland China". The Washington Post. Archived from the original on 7 February 2020. Retrieved 11 February 2020.
 - ^ Coronavirus disease 2019 (COVID-19): situation report, 47. March 2020.
 - ^ Report of the WHO-China Joint Mission on Coronavirus Disease 2019 (COVID-19). pp. 11–12. Archived from the original. You must specify the date the archive was made using the 
|archivedate=parameter. https://www.who.int/docs/default-source/coronaviruse/who-china-joint-mission-on-covid-19-final-report.pdf. Retrieved on 5 March 2020. - ^ Chen N, Zhou M, Dong X, Qu J, Gong F, Han Y, et al. (February 2020). "Epidemiological and clinical characteristics of 99 cases of 2019 novel coronavirus pneumonia in Wuhan, China: a descriptive study". Lancet (in English). 395 (10223): 507–13. doi:10.1016/S0140-6736(20)30211-7. PMID 32007143.
{{cite journal}}: CS1 maint: unrecognized language (link) - ^ Hessen, Margaret Trexler (27 January 2020). "Novel Coronavirus Information Center: Expert guidance and commentary". Elsevier Connect. Archived from the original on 30 January 2020. Retrieved 31 January 2020. 
{{cite web}}: Unknown parameter|name-list-format=ignored (|name-list-style=suggested) (help) - ^ Huang C, Wang Y, Li X, Ren L, Zhao J, Hu Y, et al. (February 2020). "Clinical features of patients infected with 2019 novel coronavirus in Wuhan, China". Lancet. 395 (10223): 497–506. doi:10.1016/S0140-6736(20)30183-5. PMID 31986264.
 - ^ Coronavirus disease 2019 (COVID-19): situation report, 29. 19 February 2020.
 - ^ "Q&A on coronaviruses (COVID-19): How long is the incubation period for COVID-19?". World Health Organization (WHO). Archived from the original on 20 January 2020. Retrieved 26 February 2020. 
{{cite web}}: Unknown parameter|name-list-format=ignored (|name-list-style=suggested) (help) - ^ "Report of the WHO-China Joint Mission on Coronavirus Disease 2019 (COVID-19); 16-24 February 2020" (PDF). who.int.
 - ^ أ ب Guan WJ, Ni ZY, Hu Y, Liang WH, Ou CQ, He JX, et al. (February 2020). "Clinical Characteristics of Coronavirus Disease 2019 in China". The New England Journal of Medicine. Massachusetts Medical Society. doi:10.1056/nejmoa2002032. PMID 32109013.
 - ^ أ ب ت Bernheim A, Mei X, Huang M, Yang Y, Fayad ZA, Zhang N, et al. (February 2020). "Chest CT Findings in Coronavirus Disease-19 (COVID-19): Relationship to Duration of Infection". Radiology: 200463. doi:10.1148/radiol.2020200463. PMID 32077789.
 - ^ Heymann DL, Shindo N, et al. (WHO Scientific and Technical Advisory Group for Infectious Hazards) (February 2020). "COVID-19: what is next for public health?". Lancet. Elsevier BV. 395 (10224): 542–545. doi:10.1016/s0140-6736(20)30374-3. PMID 32061313.
 - ^ Cascella, Marco; Rajnik, Michael; Cuomo, Arturo; Dulebohn, Scott C.; Di Napoli, Raffaela (2020), Features, Evaluation and Treatment Coronavirus (COVID-19), StatPearls Publishing, PMID 32150360, http://www.ncbi.nlm.nih.gov/books/NBK554776/, retrieved on 2020-03-18
 - ^ Zhou F, Yu T, Du R, Fan G, Liu Y, Liu Z, et al. (2020). "Clinical course and risk factors for mortality of adult inpatients with COVID-19 in Wuhan, China: a retrospective cohort study". The Lancet. Elsevier BV. doi:10.1016/s0140-6736(20)30566-3. ISSN 0140-6736. PMID 32171076.
 - ^ "Coronavirus Disease 2019 (COVID-19)". Centers for Disease Control and Prevention. 11 February 2020. Retrieved 2 March 2020. 
{{cite web}}: Unknown parameter|name-list-format=ignored (|name-list-style=suggested) (help) - ^ Gorbalenya, Alexander E. (11 February 2020). "Severe acute respiratory syndrome-related coronavirus – The species and its viruses, a statement of the Coronavirus Study Group". bioRxiv (preprint). doi:10.1101/2020.02.07.937862. 
{{cite journal}}: Unknown parameter|name-list-format=ignored (|name-list-style=suggested) (help) - ^ Letko M, Marzi A, Munster V (2020). "Functional assessment of cell entry and receptor usage for SARS-CoV-2 and other lineage B betacoronaviruses". Nature Microbiology: 1–8. doi:10.1038/s41564-020-0688-y. PMID 32094589.
 - ^ Zhang H, Penninger JM, Li Y, Zhong N, Slutsky AS (March 2020). "Angiotensin-converting enzyme 2 (ACE2) as a SARS-CoV-2 receptor: molecular mechanisms and potential therapeutic target". Intensive Care Medicine. doi:10.1007/s00134-020-05985-9. PMID 32125455.
 - ^ أ ب ت Xu H, Zhong L, Deng J, Peng J, Dan H, Zeng X, et al. (February 2020). "High expression of ACE2 receptor of 2019-nCoV on the epithelial cells of oral mucosa". International Journal of Oral Science. 12 (1): 8. doi:10.1038/s41368-020-0074-x. PMC 7039956. PMID 32094336.
 - ^ Gurwitz D (March 2020). "Angiotensin receptor blockers as tentative SARS‐CoV‐2 therapeutics". Drug Development Research. doi:10.1002/ddr.21656. PMID 32129518.
 - ^ Zheng YY, Ma YT, Zhang JY, Xie X (March 2020). "COVID-19 and the cardiovascular system". Nature Reviews Cardiology. doi:10.1038/s41569-020-0360-5. PMID 32139904.
 - ^ Zhou P, Yang XL, Wang XG, Hu B, Zhang L, Zhang W, et al. (23 January 2020). "Discovery of a novel coronavirus associated with the recent pneumonia outbreak in humans and its potential bat origin". bioRxiv (preprint). doi:10.1101/2020.01.22.914952. 
{{cite journal}}: Unknown parameter|name-list-format=ignored (|name-list-style=suggested) (help) - ^ Berger, Kevin (12 March 2020). "The Man Who Saw the Pandemic Coming". Nautilus. Retrieved 16 March 2020.
 - ^ "The Epidemiological Characteristics of an Outbreak of 2019 Novel Coronavirus Diseases (COVID-19) – China, 2020" (PDF). China CDC Weekly. 2. 20 February 2020. Archived (PDF) from the original on 18 February 2020. Retrieved 19 February 2020 – via unpublished master. 
{{cite journal}}: Unknown parameter|name-list-format=ignored (|name-list-style=suggested) (help) - ^ Heymann DL, Shindo N (February 2020). "COVID-19: what is next for public health?". Lancet. 395 (10224): 542–45. doi:10.1016/S0140-6736(20)30374-3. PMID 32061313.
 - ^ أ ب Walker, James (14 March 2020). "China Traces Cornovirus To First Confirmed Case, Nearly Identfying 'Patient Zero'". Newsweek. Retrieved 14 March 2020. 
{{cite news}}: Unknown parameter|name-list-format=ignored (|name-list-style=suggested) (help) - ^ CDC (5 February 2020). "CDC Tests for 2019-nCoV". Centers for Disease Control and Prevention. Archived from the original on 14 February 2020. Retrieved 12 February 2020. 
{{cite web}}: Unknown parameter|name-list-format=ignored (|name-list-style=suggested) (help) - ^ "Laboratory testing for 2019 novel coronavirus (2019-nCoV) in suspected human cases". World Health Organization (WHO). Retrieved 13 March 2020.
 - ^ "2019 Novel Coronavirus (2019-nCoV) Situation Summary". Centers for Disease Control and Prevention. 30 January 2020. Archived from the original on 26 January 2020. Retrieved 30 January 2020. 
{{cite web}}: Unknown parameter|name-list-format=ignored (|name-list-style=suggested) (help) - ^ "Real-Time RT-PCR Panel for Detection 2019-nCoV". Centers for Disease Control and Prevention. 29 January 2020. Archived from the original on 30 January 2020. Retrieved 1 February 2020. 
{{cite web}}: Unknown parameter|name-list-format=ignored (|name-list-style=suggested) (help) - ^ "Curetis Group Company Ares Genetics and BGI Group Collaborate to Offer Next-Generation Sequencing and PCR-based Coronavirus (2019-nCoV) Testing in Europe". GlobeNewswire News Room. 30 January 2020. Archived from the original on 31 January 2020. Retrieved 1 February 2020. 
{{cite web}}: Unknown parameter|name-list-format=ignored (|name-list-style=suggested) (help) - ^ Brueck, Hilary (30 January 2020). "There's only one way to know if you have the coronavirus, and it involves machines full of spit and mucus". Business Insider. Archived from the original on 1 February 2020. Retrieved 1 February 2020. 
{{cite web}}: Unknown parameter|name-list-format=ignored (|name-list-style=suggested) (help) - ^ "Laboratory testing for 2019 novel coronavirus (2019-nCoV) in suspected human cases". Archived from the original on 21 February 2020. Retrieved 26 February 2020.
 - ^ Cohen J, Normile D (January 2020). "New SARS-like virus in China triggers alarm" (PDF). Science. 367 (6475): 234–35. doi:10.1126/science.367.6475.234. PMID 31949058. Archived (PDF) from the original on 11 February 2020. Retrieved 11 February 2020.
 - ^ "Severe acute respiratory syndrome coronavirus 2 data hub". NCBI. Retrieved 4 March 2020. 
{{cite web}}: Unknown parameter|name-list-format=ignored (|name-list-style=suggested) (help)CS1 maint: url-status (link) - ^ Pang J, Wang MX, Ang IY, Tan SH, Lewis RF, Chen JI, et al. (February 2020). "Potential Rapid Diagnostics, Vaccine and Therapeutics for 2019 Novel Coronavirus (2019-nCoV): A Systematic Review". Journal of Clinical Medicine. 9 (3): 623. doi:10.3390/jcm9030623. PMID 32110875.
{{cite journal}}: CS1 maint: unflagged free DOI (link) - ^ Bai Y, Yao L, Wei T, Tian F, Jin DY, Chen L, et al. (February 2020). "Presumed Asymptomatic Carrier Transmission of COVID-19". JAMA. doi:10.1001/jama.2020.2565. PMC 7042844. PMID 32083643.
 - ^ "oxford-scientists-develop-new-coronavirus-test-that-provides-results-in-just-30-minutes/". techcrunch.com. 2020-03-18. Retrieved 2020-03-19.
 - ^ "اختبار يكشف عن فيروس كورونا في نصف ساعة". كريسپ. 2020-03-18. Retrieved 2020-03-19.
 - ^ "باحثون بريطانيون يدربون الكلاب البوليسية على رصد المصابين بـ«كوفيد - 19»". الشرق الأوسط. 2021-05-24. Retrieved 2021-05-24.
 - ^ Wiles, Siouxsie (9 March 2020). "The three phases of Covid-19 – and how we can make it manageable". The Spinoff. Retrieved 9 March 2020. 
{{cite web}}: Unknown parameter|name-list-format=ignored (|name-list-style=suggested) (help) - ^ أ ب ت Anderson RM, Heesterbeek H, Klinkenberg D, Hollingsworth TD (March 2020). "How will country-based mitigation measures influence the course of the COVID-19 epidemic?". Lancet. doi:10.1016/S0140-6736(20)30567-5. PMID 32164834. 
A key issue for epidemiologists is helping policy makers decide the main objectives of mitigation – eg, minimising morbidity and associated mortality, avoiding an epidemic peak that overwhelms health-care services, keeping the effects on the economy within manageable levels, and flattening the epidemic curve to wait for vaccine development and manufacture on scale and antiviral drug therapies.
 - ^ Barclay, Eliza (10 March 2020). "How canceled events and self-quarantines save lives, in one chart". Vox. 
{{cite web}}: Unknown parameter|name-list-format=ignored (|name-list-style=suggested) (help) - ^ Wiles, Siouxsie (14 March 2020). "After 'Flatten the Curve', we must now 'Stop the Spread'. Here's what that means". The Spinoff. Retrieved 13 March 2020. 
{{cite web}}: Unknown parameter|name-list-format=ignored (|name-list-style=suggested) (help) - ^ Anderson RM, Heesterbeek H, Klinkenberg D, Hollingsworth TD (March 2020). "How will country-based mitigation measures influence the course of the COVID-19 epidemic?". Lancet. doi:10.1016/S0140-6736(20)30567-5. PMID 32164834.
 - ^ Grenfell, Rob; Drew, Trevor (17 February 2020). "Here's Why It's Taking So Long to Develop a Vaccine for the New Coronavirus". Science Alert. Archived from the original on 28 February 2020. Retrieved 26 February 2020. 
{{cite web}}: Unknown parameter|name-list-format=ignored (|name-list-style=suggested) (help) - ^ أ ب Centers for Disease Control (3 February 2020). "Coronavirus Disease 2019 (COVID-19): Prevention & Treatment" (in الإنجليزية الأمريكية). Archived from the original on 15 December 2019. Retrieved 10 February 2020.
 - ^ أ ب World Health Organization. "Advice for Public". Archived from the original on 26 January 2020. Retrieved 10 February 2020. 
{{cite web}}: Unknown parameter|name-list-format=ignored (|name-list-style=suggested) (help) - ^ Lockerd Maragakis, M.D., M.P.H., Lisa. "Coronavirus, Social Distancing and Self Quarantine". www.hopkinsmedicine.org. John Hopkins University.
{{cite web}}: CS1 maint: multiple names: authors list (link) - ^ "When and how to use masks". World Health Organization (WHO). Retrieved 8 March 2020. 
{{cite web}}: Unknown parameter|name-list-format=ignored (|name-list-style=suggested) (help) - ^ "Coronavirus Disease 2019 (COVID-19) – Prevention & Treatment". 10 March 2020. 
{{cite web}}: Unknown parameter|name-list-format=ignored (|name-list-style=suggested) (help) - ^ Centers for Disease Control and Prevention (11 February 2020). "What to do if you are sick with 2019 Novel Coronavirus (2019-nCoV)" (in الإنجليزية الأمريكية). Archived from the original on 14 February 2020. Retrieved 13 February 2020. 
{{cite web}}: Unknown parameter|name-list-format=ignored (|name-list-style=suggested) (help) - ^ M, Serena Josephine (14 February 2020). "Watch out! Spitting in public places too can spread infections". The Hindu. Retrieved 12 March 2020. 
{{cite news}}: Unknown parameter|name-list-format=ignored (|name-list-style=suggested) (help) - ^ "Sequence for Putting On Personal Protective Equipment (PPE)" (PDF). CDC. Retrieved 8 March 2020.
 - ^ أ ب Fisher D, Heymann D (February 2020). "Q&A: The novel coronavirus outbreak causing COVID-19". BMC Medicine. 18 (1): 57. doi:10.1186/s12916-020-01533-w. PMC 7047369. PMID 32106852.
 - ^ Kui L, Fang YY, Deng Y, Liu W, Wang MF, Ma JP, et al. (February 2020). "Clinical characteristics of novel coronavirus cases in tertiary hospitals in Hubei Province". Chinese Medical Journal: 1. doi:10.1097/CM9.0000000000000744. PMID 32044814.
 - ^ Wang T, Du Z, Zhu F, Cao Z, An Y, Gao Y, Jiang B (March 2020). "Comorbidities and multi-organ injuries in the treatment of COVID-19". Lancet. Elsevier BV. doi:10.1016/s0140-6736(20)30558-4. PMID 32171074.
 - ^ Cheng ZJ, Shan J (February 2020). "2019 Novel coronavirus: where we are and what we know". Infection. doi:10.1007/s15010-020-01401-y. PMID 32072569.
 - ^ "Clinical management of severe acute respiratory infection when novel coronavirus (nCoV) infection is suspected". World Health Organization (WHO). Archived from the original on 31 January 2020. Retrieved 13 February 2020.
 - ^ Vetter P, Eckerle I, Kaiser L (February 2020). "Covid-19: a puzzle with many missing pieces". BMJ. 368: m627. doi:10.1136/bmj.m627. PMID 32075791.
 - ^ "Novel Coronavirus – COVID-19: What Emergency Clinicians Need to Know". www.ebmedicine.net. Retrieved 9 March 2020. 
{{cite web}}: Unknown parameter|name-list-format=ignored (|name-list-style=suggested) (help) - ^ Farkas, Josh (March 2020). COVID-19 - The Internet Book of Critical Care (digital) (Reference manual) (in English). USA: EMCrit. Archived from the original on 11 March 2020. Retrieved 13 March 2020. 
{{cite book}}: Unknown parameter|name-list-format=ignored (|name-list-style=suggested) (help)CS1 maint: unrecognized language (link) - ^ "COVID19 - Resources for Health Care Professionals". Penn Libraries. 11 March 2020. Retrieved 13 March 2020.
 - ^ Henry, Brandon Michael (2020). "COVID-19, ECMO, and lymphopenia: a word of caution". The Lancet Respiratory Medicine. Elsevier BV. doi:10.1016/s2213-2600(20)30119-3. ISSN 2213-2600.
 - ^ Cheung JC, Ho LT, Cheng JV, Cham EY, Lam KN (February 2020). "Staff safety during emergency airway management for COVID-19 in Hong Kong". Lancet Respiratory Medicine. doi:10.1016/s2213-2600(20)30084-9. PMID 32105633.
 - ^ Filtering out Confusion: Frequently Asked Questions about Respiratory Protection, User Seal Check. The National Institute for Occupational Safety and Health (April 2018). Retrieved 16 March 2020.
 - ^ Proper N95 Respirator Use for Respiratory Protection Preparedness. NIOSH Science Blog (16 March 2020). Retrieved 2020-03-16.
 - ^ "Coronavirus Disease 2019 (COVID-19)". Centers for Disease Control and Prevention. 11 February 2020. Retrieved 8 March 2020. 
{{cite web}}: Unknown parameter|name-list-format=ignored (|name-list-style=suggested) (help) - ^ "Coronavirus Disease 2019 (COVID-19)". Centers for Disease Control and Prevention. 11 February 2020. Retrieved 11 March 2020. 
{{cite web}}: Unknown parameter|name-list-format=ignored (|name-list-style=suggested) (help) - ^ Nebehay, Stephanie; Kelland, Kate; Liu, Roxanne (5 February 2020). "WHO: 'no known effective' treatments for new coronavirus". Thomson Reuters. Archived from the original on 5 February 2020. Retrieved 5 February 2020. 
{{cite news}}: Unknown parameter|name-list-format=ignored (|name-list-style=suggested) (help) - ^ Ko WC, Rolain JM, Lee NY, Chen PL, Huang CT, Lee PI, Hsueh PR (March 2020). "Arguments in favor of remdesivir for treating SARS-CoV-2 infections". International Journal of Antimicrobial Agents: 105933. doi:10.1016/j.ijantimicag.2020.105933. PMID 32147516.
 - ^ "Coronavirus Disease 2019 (COVID-19)". Centers for Disease Control and Prevention. 11 February 2020. Retrieved 11 March 2020.
 - ^ أ ب Wang M, Cao R, Zhang L, Yang X, Liu J, Xu M, et al. (February 2020). "Remdesivir and chloroquine effectively inhibit the recently emerged novel coronavirus (2019-nCoV) in vitro". Cell Research. 30 (3): 269–71. doi:10.1038/s41422-020-0282-0. PMC 7054408. PMID 32020029. 
{{cite journal}}: Unknown parameter|name-list-format=ignored (|name-list-style=suggested) (help) - ^ أ ب Gao J, Tian Z, Yang X (February 2020). "Breakthrough: Chloroquine phosphate has shown apparent efficacy in treatment of COVID-19 associated pneumonia in clinical studies". Bioscience Trends. 14 (1): 72–73. doi:10.5582/bst.2020.01047. PMID 32074550. 
{{cite journal}}: Unknown parameter|name-list-format=ignored (|name-list-style=suggested) (help) - ^ "Antimalarial drug confirmed effective on COVID-19 - Xinhua | English.news.cn". www.xinhuanet.com. Retrieved 16 March 2020.
 - ^ Keyaerts E, Vijgen L, Maes P, Neyts J, Van Ranst M (October 2004). "In vitro inhibition of severe acute respiratory syndrome coronavirus by chloroquine". Biochemical and Biophysical Research Communications. 323 (1): 264–8. doi:10.1016/j.bbrc.2004.08.085. PMID 15351731.
 - ^ Wang M, Cao R, Zhang L, Yang X, Liu J, Xu M, et al. (March 2020). "Remdesivir and chloroquine effectively inhibit the recently emerged novel coronavirus (2019-nCoV) in vitro". Cell Research. 30 (3): 269–271. doi:10.1038/s41422-020-0282-0. PMC 7054408. PMID 32020029.
 - ^ multicenter collaboration group of Department of Science Technology of Guangdong Province Health Commission of Guangdong Province for chloroquine in the treatment of novel coronavirus pneumonia (February 2020). "[Expert consensus on chloroquine phosphate for the treatment of novel coronavirus pneumonia]". Zhonghua Jie He He Hu Xi Za Zhi = Zhonghua Jiehe He Huxi Zazhi = Chinese Journal of Tuberculosis and Respiratory Diseases. 43: E019. doi:10.3760/cma.j.issn.1001-0939.2020.0019. PMID 32075365.
 - ^ Liu, Roxanne; Miller, Josh (3 March 2020). "China approves use of Roche drug in battle against coronavirus complications". Reuters. Retrieved 14 March 2020. 
{{cite web}}: Unknown parameter|name-list-format=ignored (|name-list-style=suggested) (help) - ^ Effective Treatment of Severe COVID-19 Patients with Tocilizumab. ChinaXiv.org. 5 March 2020. doi:. Archived from the original. You must specify the date the archive was made using the 
|archivedate=parameter. http://chinaxiv.org/abs/202003.00026. Retrieved on 14 March 2020. - ^ "3 patients get better on arthritis drug". 5 March 2020. Retrieved 14 March 2020.
 - ^ "Coronavirus, via libera dell'Aifa al farmaco anti-artrite efficace su 3 pazienti e a un antivirale: test in 5 centri" (in الإيطالية). Il Messaggero. Retrieved 14 March 2020.
 - ^ "How doctors can potentially significantly reduce the number of deaths from Covid-19". Vox. 12 March 2020. Retrieved 14 March 2020.
 - ^ Ruan Q, Yang K, Wang W, Jiang L, Song J (March 2020). "Clinical predictors of mortality due to COVID-19 based on an analysis of data of 150 patients from Wuhan, China". Intensive Care Medicine. doi:10.1007/s00134-020-05991-x. PMID 32125452.
 - ^ "China turns Roche arthritis drug Actemra against COVID-19 in new treatment guidelines". FiercePharma. Retrieved 14 March 2020.
 - ^ "واشنطن تصادق على استخدام دواء الملاريا في علاج مرضى كورونا". سكاي نيوز عربية. 2020-03-19. Retrieved 2020-03-20.
 - ^ "أمريكا ليست الأولى.. دول استخدمت دواء الملاريا لعلاج كورونا". جريدة اليوم السابع. 2020-03-19. Retrieved 2020-03-20.
 - ^ "China launches coronavirus 'close contact' app". BBC News. 11 February 2020. Retrieved 7 March 2020. 
{{cite news}}: Unknown parameter|name-list-format=ignored (|name-list-style=suggested) (help) - ^ Chen, Angela. "China's coronavirus app could have unintended consequences". MIT Technology Review. Retrieved 7 March 2020. 
{{cite web}}: Unknown parameter|name-list-format=ignored (|name-list-style=suggested) (help) - ^ Xiang YT, Yang Y, Li W, Zhang L, Zhang Q, Cheung T, et al. (March 2020). "Timely mental health care for the 2019 novel coronavirus outbreak is urgently needed". The Lancet. Psychiatry. 7 (3): 228–29. doi:10.1016/S2215-0366(20)30046-8. PMID 32032543.
 - ^ Kang L, Li Y, Hu S, Chen M, Yang C, Yang BX, et al. (March 2020). "The mental health of medical workers in Wuhan, China dealing with the 2019 novel coronavirus". The Lancet. Psychiatry. 7 (3): e14. doi:10.1016/S2215-0366(20)30047-X. PMID 32035030.
 - ^ "WHO Director-General's statement on the advice of the IHR Emergency Committee on Novel Coronavirus". World Health Organization (WHO).
 - ^ Wang W, Tang J, Wei F (April 2020). "Updated understanding of the outbreak of 2019 novel coronavirus (2019-nCoV) in Wuhan, China". Journal of Medical Virology. 92 (4): 441–47. doi:10.1002/jmv.25689. PMID 31994742.
 - ^ أ ب ت "Coronavirus Age, Sex, Demographics (COVID-19)". www.worldometers.info. Archived from the original on 27 February 2020. Retrieved 26 February 2020. 
{{cite web}}: Unknown parameter|name-list-format=ignored (|name-list-style=suggested) (help) - ^ Ji Y, Ma Z, Peppelenbosch MP, Pan Q (February 2020). "Potential association between COVID-19 mortality and health-care resource availability". Lancet Global Health. doi:10.1016/S2214-109X(20)30068-1. PMID 32109372.
 - ^ Report of the WHO-China Joint Mission on Coronavirus Disease 2019 (COVID-19). World Health Organization (WHO), 16–24 February 2020
 - ^ "BSI open letter to Government on SARS-CoV-2 outbreak response | British Society for Immunology". www.immunology.org. Retrieved 15 March 2020.
 - ^ "Can you get coronavirus twice or does it cause immunity?". The Independent (in الإنجليزية). 13 March 2020. Retrieved 15 March 2020.
 - ^ "They survived the coronavirus. Then they tested positive again. Why?". Los Angeles Times (in الإنجليزية الأمريكية). 13 March 2020. Retrieved 15 March 2020.
 - ^ "14% of Recovered Covid-19 Patients in Guangdong Tested Positive Again - Caixin Global". www.caixinglobal.com (in الإنجليزية). Retrieved 15 March 2020.
 - ^ "Vital Surveillances: The Epidemiological Characteristics of an Outbreak of 2019 Novel Coronavirus Diseases (COVID-19) — China, 2020". Chinese Center for Disease Control and Prevention.
 - ^ "Epidemia COVID-19" (PDF) (in Italian). Rome: Istituto Superiore di Sanità. 12 March 2020.
{{cite web}}: CS1 maint: unrecognized language (link) - ^ "Press Release". Korean Centers for Disease Control & Prevention.
 - ^ Roser, Max; Ritchie, Hannah; Ortiz-Ospina, Esteban (4 March 2020). "Coronavirus Disease (COVID-19)". Our World in Data. Retrieved 12 March 2020. 
{{cite journal}}: Unknown parameter|name-list-format=ignored (|name-list-style=suggested) (help) - ^ The Novel Coronavirus Pneumonia Emergency Response Epidemiology Team. The Epidemiological Characteristics of an Outbreak of 2019 Novel Coronavirus Diseases (COVID-19) – China, 2020. China CDC Weekly, 2020, 2(8): 113–22.
 - ^ Cheung, Elizabeth (13 March 2020). "Some recovered Covid-19 patients may have lung damage, doctors say". South China Morning Post (in الإنجليزية).
 - ^ أ ب Dong Y, Mo X, Hu Y, Qi X, Jiang F, Jiang Z, Tong S (2020). "Epidemiological Characteristics of 2143 Pediatric Patients With 2019 Coronavirus Disease in China" (PDF). Pediatrics: e20200702. doi:10.1542/peds.2020-0702.
 - ^ "Limited data on coronavirus may be skewing assumptions about severity". STAT. 30 January 2020. Archived from the original on 1 February 2020. Retrieved 1 February 2020. 
{{cite web}}: Unknown parameter|name-list-format=ignored (|name-list-style=suggested) (help) - ^ Sparrow, Annie. "How China's Coronavirus Is Spreading – and How to Stop It". Foreign Policy. Archived from the original on 31 January 2020. Retrieved 2 February 2020. 
{{cite web}}: Unknown parameter|name-list-format=ignored (|name-list-style=suggested) (help) - ^ "WHOが"致死率3%程度" 専門家「今後 注意が必要」". NHK. 24 January 2020. Archived from the original on 26 January 2020. Retrieved 3 February 2020. 
{{cite news}}: Unknown parameter|name-list-format=ignored (|name-list-style=suggested) (help) - ^ Boseley, Sarah (17 February 2020). "Coronavirus causes mild disease in four in five patients, says WHO". The Guardian. Archived from the original on 18 February 2020. Retrieved 18 February 2020. 
{{cite news}}: Unknown parameter|name-list-format=ignored (|name-list-style=suggested) (help) - ^ Diao, Ying; Liu, Xiaoyun; Wang, Tao; Zeng, Xiaofei; Dong, Chen; Zhou, Changlong; Zhang, Yuanming; She, Xuan; Liu, Dingfu; Hu, Zhongli (20 February 2020). "Estimating the cure rate and case fatality rate of the ongoing epidemic COVID-19". MedRxiv (preprint). doi:10.1101/2020.02.18.20024513. 
{{cite journal}}: Unknown parameter|name-list-format=ignored (|name-list-style=suggested) (help) - ^ "2019-nCoV: preliminary estimates of the confirmed-case-fatality-ratio and infection-fatality-ratio, and initial pandemic risk assessment". institutefordiseasemodeling.github.io. Retrieved 1 March 2020. 
{{cite web}}: Unknown parameter|name-list-format=ignored (|name-list-style=suggested) (help) - ^ "Report 4: Severity of 2019-novel coronavirus (nCoV)" (PDF). Archived (PDF) from the original on 10 February 2020. Retrieved 10 February 2020. 
{{cite web}}: Unknown parameter|name-list-format=ignored (|name-list-style=suggested) (help) - ^ Chen H, Guo J, Wang C, Luo F, Yu X, Zhang W, et al. (February 2020). "Clinical characteristics and intrauterine vertical transmission potential of COVID-19 infection in nine pregnant women: a retrospective review of medical records". Lancet. 395 (10226): 809–15. doi:10.1016/S0140-6736(20)30360-3. PMID 32151335.
 - ^ Cui, Pengfei; Chen, Zhe; Wang, Tian; Dai, Jun; Zhang, Jinjin; Ding, Ting; Jiang, Jingjing; Liu, Jia; Zhang, Cong; Shan, Wanying; Wang, Sheng; Rong, Yueguang; Chang, Jiang; Miao, Xiaoping; Ma, Xiangyi; Wang, Shixuan (27 February 2020). "Clinical features and sexual transmission potential of SARS-CoV-2 infected female patients: a descriptive study in Wuhan, China". MedRxiv (preprint). doi:10.1101/2020.02.26.20028225. 
{{cite journal}}: Unknown parameter|name-list-format=ignored (|name-list-style=suggested) (help) - ^ Cascella M, Rajnik M, Cuomo A, Dulebohn SC, Di Napoli R (March 2020). "Features, Evaluation and Treatment Coronavirus (COVID-19)". StatPearls [Internet]. PMID 32150360. Bookshelf ID: NBK554776.
 - ^ Chen WH, Strych U, Hotez PJ, Bottazzi ME (3 March 2020). "The SARS-CoV-2 Vaccine Pipeline: an Overview". Current Tropical Medicine Reports. doi:10.1007/s40475-020-00201-6. 
{{cite journal}}: Unknown parameter|name-list-format=ignored (|name-list-style=suggested) (help) - ^ Roberts, Michelle (17 March 2020). "Coronavirus: US volunteers test first vaccine". BBC News (in الإنجليزية البريطانية). Retrieved 17 March 2020. 
{{cite news}}: Unknown parameter|name-list-format=ignored (|name-list-style=suggested) (help) - ^ أ ب Li G, De Clercq E (March 2020). "Therapeutic options for the 2019 novel coronavirus (2019-nCoV)". Nature Reviews. Drug Discovery. 19 (3): 149–150. doi:10.1038/d41573-020-00016-0. PMID 32127666.
 - ^ أ ب Beeching, Nicholas J.; Fletcher, Tom E.; Fowler, Robert (2020). BMJ Best Practices: COVID-19. BMJ. Archived from the original. You must specify the date the archive was made using the 
|archivedate=parameter. https://bestpractice.bmj.com/topics/en-gb/3000168/pdf/3000168/COVID-19.pdf. - ^ "Physicians work out treatment guidelines for coronavirus". m.koreabiomed.com (in Korean). 13 February 2020. 
{{cite web}}: Unknown parameter|name-list-format=ignored (|name-list-style=suggested) (help)CS1 maint: unrecognized language (link) - ^ "Novel Coronavirus Pneumonia Diagnosis and Treatment Plan (Provisional 7th Edition)". China Law Translate. 4 March 2020. 
{{cite web}}: Unknown parameter|name-list-format=ignored (|name-list-style=suggested) (help) - ^ Steenhuysen, Julie; Kelland, Kate (24 January 2020). "With Wuhan virus genetic code in hand, scientists begin work on a vaccine". Reuters. Archived from the original on 25 January 2020. Retrieved 25 January 2020. 
{{cite news}}: Unknown parameter|name-list-format=ignored (|name-list-style=suggested) (help) - ^ Duddu, Praveen (19 February 2020). "Coronavirus outbreak: Vaccines/drugs in the pipeline for Covid-19". clinicaltrialsarena.com. Archived from the original on 19 February 2020. 
{{cite web}}: Unknown parameter|name-list-format=ignored (|name-list-style=suggested) (help) - ^ Lu H (28 January 2020). "Drug treatment options for the 2019-new coronavirus (2019-nCoV)". Biosci Trends. 14 (1): 69–71. doi:10.5582/bst.2020.01020. PMID 31996494.
 - ^ أ ب Hoffmann, Markus; Kleine-Weber, Hannah; Krüger, Nadine; Müller, Marcel; Drosten, Christian; Pöhlmann, Stefan (31 January 2020). "The novel coronavirus 2019 (2019-nCoV) uses the SARS-coronavirus receptor ACE2 and the cellular protease TMPRSS2 for entry into target cells". bioRxiv (preprint). doi:10.1101/2020.01.31.929042. 
{{cite journal}}: Unknown parameter|name-list-format=ignored (|name-list-style=suggested) (help) - ^ Iwata-Yoshikawa N, Okamura T, Shimizu Y, Hasegawa H, Takeda M, Nagata N (March 2019). "TMPRSS2 Contributes to Virus Spread and Immunopathology in the Airways of Murine Models after Coronavirus Infection". Journal of Virology. 93 (6). doi:10.1128/JVI.01815-18. PMC 6401451. PMID 30626688.
 - ^ أ ب ت ث ج Casadevall A, Pirofski LA (March 2020). "The convalescent sera option for containing COVID-19". The Journal of Clinical Investigation. doi:10.1172/JCI138003. PMID 32167489.
 - ^ Pearce, Katie (13 March 2020). "Antibodies from COVID-19 survivors could be used to treat patients, protect those at risk: Infusions of antibody-laden blood have been used with reported success in prior outbreaks, including the SARS epidemic and the 1918 flu pandemic". The Hub at Johns Hopkins University. Retrieved 14 March 2020. 
{{cite web}}: Unknown parameter|name-list-format=ignored (|name-list-style=suggested) (help) - ^ "فيروس كورونا: علماء يتوصلون إلى علاج "يقلل خطر الوفاة" بكوفيد-19 دون اللجوء إلى لقاحات". بي بي سي. 2021-06-16. Retrieved 2021-06-17.
 - ^ "تحذير للنساء.. "القلب المحطم" آخر صيحات كورونا". العربية نت. 2022-02-09. Retrieved 2022-02-09.
 - ^ "Novel coronavirus named 'Covid-19': WHO". TODAYonline. Retrieved 11 February 2020. 
{{cite news}}: Unknown parameter|name-list-format=ignored (|name-list-style=suggested) (help) - ^ "The coronavirus spreads racism against – and among – ethnic Chinese". The Economist. 17 February 2020. Archived from the original on 17 February 2020. Retrieved 17 February 2020. 
{{cite news}}: Unknown parameter|name-list-format=ignored (|name-list-style=suggested) (help) - ^ أ ب "Naming the coronavirus disease (COVID-19) and the virus that causes it". World Health Organization (WHO). Retrieved 13 March 2020.
 - ^ "Novel Coronavirus(2019-nCoV) Situation Report - 10" (PDF). World Health Organization (WHO). 30 January 2020. Retrieved 15 March 2020.
 
وصلات خارجية
- Coronavirus disease (COVID-19) outbreak | World Health Organization
 - Coronavirus 2019 (COVID-19) | U.S. Centers for Disease Control and Prevention
 - Coronavirus Disease 2019 (COVID-19}) | The Journal of the American Medical Association]
 - Coronavirus: Latest news and resources | BMJ Publishing Group
 - Novel Coronavirus Information Center | Elsevier
 - COVID-19 Resource Centre | The Lancet
 - SARS-CoV-2 and COVID-19 | Nature
 - Coronavirus (Covid-19 | New England Journal of Medicine
 - Covid-19: Novel Coronavirus | Wiley Publishing
 
| Classification | |
|---|---|
| External resources | 
- CS1 errors: unsupported parameter
 - CS1 uses الصينية-language script (zh)
 - CS1 Chinese (China)-language sources (zh-cn)
 - CS1 maint: url-status
 - CS1 maint: unflagged free DOI
 - CS1 الإنجليزية الأمريكية-language sources (en-us)
 - CS1 الإيطالية-language sources (it)
 - CS1 الإنجليزية البريطانية-language sources (en-gb)
 - الصفحات بخصائص غير محلولة
 - Short description is different from Wikidata
 - Articles with unsourced statements from March 2020
 - مقالات فيها عبارات متقادمة منذ فبراير 2020
 - جميع المقالات التي فيها عبارات متقادمة
 - Portal-inline template with redlinked portals
 - Pages with empty portal template
 - جائحة ڤيروس كورونا 2019-2020
 - عدوى الجهاز التنفسي الڤيروسية
 - أمراض حيوانية المنشأ
 - سلامة وصحة مهنية
 

