اختبار كوڤيد-19

(تم التحويل من COVID-19 testing)
احصائيات الاختبار
البلد أو الإقليم التاريخ الاختبارات إيجابية % اختبار /
لكل مليون
شخص
إيجابية /
لكل مليون
شخص
المصادر
الأرجنتين 11 Apr 18.027 2.142 11٫9 400 48 [1]
أرمنيا 11 Apr 6.484 967 14٫9 2٬197 328 [2]
أستراليا 15 Apr 371.377 6.449 1٫7 14٬621 254 [3]
أراضي العاصمة الأسترالية 15 Apr 6.490 103 1٫6 15٬209 241 [3]
نيو ساوث ويلز 15 Apr 147.114 2.886 2�0 18٬186 357 [3]
الأراضي الشمالية 15 Apr 3.489 28 0٫80 14٬190 114 [3]
كوينزلاند 15 Apr 75.480 999 1٫3 14٬814 196 [3]
أستراليا الجنوبية 15 Apr 37.545 433 1٫2 21٬434 247 [3]
تسمانيا 15 Apr 4.646 169 3٫6 8٬696 316 [4]
ڤيكتوريا 15 Apr 72.000 1.299 1٫8 10٬918 197 [3]
أستراليا الغربية 15 Apr 24.613 532 2٫2 9٬388 203 [3]
النمسا 15 Apr 156.801 14.269 9٫1 17٬613 1٬603 [5]
أذربيجان 1 Apr 57.371 926 1٫6 5٬796 94 [6]
البحرين 10 Apr 57.681 925 1٫6 36٬752 589 [7]
بنگلادش 15 Apr 14.868 1.231 8٫3 90 7٫5 [8]
بربادوس 1 Apr 382 45 11٫8 1٬331 157 [9]
بلاروس 13 Apr 68.000 2.919 4٫3 7٬164 308 [10]
بلجيكا 13 Apr 112.613 30.589 27٫2 9٬779 2٬656 [11][12]
بوليڤيا 11 Apr 2.185 275 12٫6 191 24 [13]
البوسنة والهرسك 14 Apr 12.172 1.065 8٫7 3٬646 319 [14]
البرازيل 2 Apr 54.824 7.910 14٫4 261 38 [15]
بلغاريا 5 Apr 15.899 522 3٫3 2٬288 75 [16][17]
كندا 14 Apr 462.841 27.063 5٫8 12٬214 714 [18]
ألبرتا 14 Apr 82.649 1.870 2٫3 18٬728 424 [19]
كلومبيا البريطانية 14 Apr 58.626 1.517 2٫6 11٬471 297 [20]
مانيتوبا 14 Apr 17.605 246 1٫4 12٬780 179 [21]
نيو برنزويك 13 Apr 8.199 116 1٫4 10٬512 149 [22]
نيوفاوندلاند ولبرادور 13 Apr 4.907 244 5٫1 9٬412 468 [23]
المقاطعات الشمالية 13 Apr 1.453 5 0٫34 32٬358 111 [24]
نوڤا سكوشيا 13 Apr 16.054 474 3�0 16٬424 485 [25]
أونتاريو 14 Apr 113.082 7.953 7�0 7٬686 541 [26]
جزيرة الأمير إدوارد 13 Apr 1.841 25 1٫4 11٬640 158 [27]
كويبك 14 Apr 137.451 14.248 10٫4 16٬099 1٬669 [28]
ساسكاتشوان 13 Apr 19.804 300 1٫5 16٬759 254 [29]
يوكون 13 Apr 832 8 1�0 20٬254 195 [30]
تشيلي 14 Apr 87.794 7.917 9�0 4٬603 415 [31]
الصين
گوانگ‌دونگ 20 Feb 320.000 1.332 0٫42 3٬068 13 [32]
هونگ كونگ 7 Apr 116.273 936 0٫81 15٬539 125 [33]
كلومبيا 12 Apr 41.765 2.776 6٫6 865 58 [34]
كوستاريكا 31 Mar 3.845 347 9�0 769 69 [35]
كرواتيا 7 Apr 12.322 1.282 10٫4 3٬023 315 [36]
التشيك 14 Apr 137.409 6.141 4٫5 12٬902 577 [37]
الدنمارك 14 Apr 80.451 6.691 8٫3 13٬569 1٬128 [38]
الإكوادور 14 Apr 25.347 7.603 30�0 1٬484 445 [39]
مصر 25 Mar 25.000 865 3٫5 250 8٫6 [40]
إستونيا 15 Apr 33.967 1.400 4٫1 25٬571 1٬054 [41]
فنلندا 13 Apr 46.000 3.064 6٫7 8٬315 554 [42][43]
فرنسا 7 Apr 333.807 87.024 26٫1 4٬981 1٬298 [44]
ألمانيا 8 Apr 1.317.887 100.901 7٫7 15٬850 1٬213 [45]
اليونان 7 Apr 28.584 1.832 6٫4 2٬654 170 [46]
گرنادا 1 Apr 37 10 27�0 332 90 [47]
المجر 15 Apr 37.362 1.579 4٫5 3٬823 162 [48]
آيسلندا 14 Apr 36.339 1.720 4٫7 99٬761 4٬722 [49]
الهند 14 Apr 229.426 10.307 4٫5 181 7٫6 [50]
إندونيسيا 15 Apr 33.001 5.136 15٫6 123 19 [51]
إيران 13 Apr 275.427 73.303 26٫6 3٬311 881 [52]
آيرلندا 6 Apr 90.646 11.479 12٫7 19٬036 2٬411 [53]
إسرائيل 14 Apr 183.925 12.046 6٫5 20٬046 1٬313 [54]
إيطاليا 13 Apr 1.046.910 159.516 15٫2 17٬357 2٬645 [55]
إميليا-رومانيا 13 Apr 99.047 20.098 20٫3 22٬210 4٬507 [55]
ليگوريا 13 Apr 23.129 5.596 24٫2 14٬916 3٬609 [55]
لومباردي 13 Apr 211.092 60.314 28٫6 20٬982 5٬995 [55]
ماركى 13 Apr 28.379 5.381 19�0 18٬606 3٬528 [55]
پيدمونت 13 Apr 69.170 17.134 24٫8 15٬878 3٬933 [55]
توسكانيا 13 Apr 80.889 7.390 9٫1 21٬688 1٬981 [55]
ڤـِنـِتو 13 Apr 203.077 14.251 7�0 41٬395 2٬905 [55]
جاميكا 1 Apr 442 44 10�0 162 16 [56]
اليابان 15 Apr 94.236 8.100 8٫6 747 64 [57]
طوكيو 13 Apr 6.743 2.158 32�0 484 155 [58]
قزخستان 15 Apr 38.233 1.275 3٫3 2٬050 68 [59]
كوسوڤو 14 Apr 3.547 387 10٫9 1٬959 214 [60]
قيرغيزستان 13 Apr 24.901 419 1٫7 3٬897 66 [61][62]
لاتڤيا 9 Apr 25.458 589 2٫3 13٬260 307 [63]
لتوانيا 15 Apr 44.677 1.091 2٫4 15٬988 390 [64]
ماليزيا 15 Apr 87.183 5.072 5٫8 2٬660 155 [65]
مالطا 11 Apr 16.016 370 2٫3 32٬450 750 [66]
المكسيك 12 Apr 36.594 4.661 12٫7 289 37 [67]
الجبل الأسود 15 Apr 3.682 288 7٫8 5٬833 456 [68]
نيپال 14 Apr 6.299 16 0٫25 224 0٫6 [69]
هولندا 13 Apr 128.652 27.419 21٫3 7٬383 1٬574 [70][71]
نيوزيلندا 14 Apr 64.399 1.072 1٫7 12٬952 216 [72]
نيجريا 13 Apr 5.000 343 6٫9 24 1٫7 [73]
كوريا الشمالية 2 Apr 709 0 0 28 0 [74]
مقدونيا الشمالية 11 Apr 8.057 828 10٫3 3٬879 399 [75]
النرويج 10 Apr 124.279 6.320 5٫1 23٬154 1٬177 [76]
پاكستان 14 Apr 69.928 5.716 8٫2 323 26 [77]
فلسطين 11 Apr 16.992 268 1٫6 3٬363 53 [78]
پنما 12 Apr 15.147 3.400 22٫4 3٬626 814 [79]
پيرو 14 Apr 102.216 10.303 10٫1 3٬114 314 [80]
الفلپين 14 Apr 45.486 5.223 11٫5 450 52 [81]
پولندا 15 Apr 156.493 7.408 4٫7 4٬077 193 [82][83]
الپرتغال 13 Apr 163.616 16.934 10٫3 15٬921 1٬648 [84]
رومانيا 15 Apr 74.827 7.216 9٫6 3٬857 372 [85][86]
روسيا 15 Apr 1.517.992 24.490 1٫6 10٬344 167 [87][88]
أوبلاست موسكو 14 Apr 73.814 2.315 3٫1 9٬837 309 [89]
صربيا 15 Apr 26.278 4.873 18٫5 3٬774 700 [90]
سنغافورة 7 Apr 72.680 1.481 2�0 12٬743 260 [91]
سلوڤاكيا 13 Apr 29.217 835 2٫9 5٬359 153 [92][93]
سلوڤنيا 13 Apr 35.946 1.231 3٫4 17٬166 588 [94]
جنوب أفريقيا 13 Apr 83.663 2.272 2٫4 1٬423 39 [95]
كوريا الجنوبية 14 Apr 527.438 10.564 2�0 10٬200 204 [96]
إسپانيا 14 Apr 600.000 172.541 28٫8 12٬839 3٬692 [97]
السويد 7 Apr 11.927 74.600 16�0 8٬705 1٬392 [98]
سويسرا 12 Apr 193.800 25.300 13٫1 22٬613 2٬952 [99]
تايوان 15 Apr 49.748 395 0٫79 2٬092 17 [100]
تايلند 15 Apr 35.500 2.643 7٫4 511 38 [101]
ترينداد وتوباگو 1 Apr 595 90 15٫1 436 66 [102]
تركيا 14 Apr 443.626 65.111 14٫7 5٬335 783 [103]
أوكرانيا 15 Apr 39.084 3.102 7٫9 930 90 [104][105]
الإمارات 8 Apr 593.095 2.659 0٫45 61٬785 277 [106]
المملكة المتحدة 15 Apr 313.769 98.476 31٫4 4٬645 1٬458 [107]
إسكتلندا 14 Apr 32.885 6.358 19٫3 6٬047 1٬174 [108]
الولايات المتحدة 14 Apr 3.155.233 605.243 19٫2 9٬613 1٬844 [109]
كاليفورنيا 14 Apr 215.408 23.338 10٫8 5٬452 591 [110]
فلوريدا 15 Apr 212.588 22.081 10٫4 9٬898 1٬028 [111]
إلينوي 14 Apr 110.616 23.247 21�0 8٬729 1٬835 [112]
لويزيانا 14 Apr 118.422 21.518 18٫2 25٬474 4٬629 [113]
مشيگن 13 Apr 85.906 25.635 29٫8 8٬573 2٬558 [114]
نيوجرزي 14 Apr 139.774 68.824 49٫2 15٬736 7٬749 [115]
نيويورك 14 Apr 499.143 202.208 40٫5 25٬658 10٬394 [116]
تكساس 14 Apr 146.467 14.624 10�0 5٬051 504 [117]
واشنطن 14 Apr 122.854 10.694 8٫7 16٬133 1٬404 [118]
أوروگواي 24 Mar 1.538 189 12٫3 443 54 [119]
ڤنزويلا 31 Mar 1.779 143 8�0 62 5�0 [120][121]
ڤيتنام 15 Apr 135.938 267 0٫20 1٬377 2٫7 [122]

اختبار كوڤيد-19 هو اختبار طبي للكشف عن الإصابة بمرض ڤيروس كورونا 2019 (كوڤيد-19) والمرتبط بڤيروس كورونا 2019-2020، والذي يمكن إجراؤه بطريقتين: التعرف الجزيئي وفحص علم الأمصال. اختبارات تفاعل البوليميراز المتسلسل (PCR) بعد إنزيم النسخ العكسي للكشف عن الحمض الريبي الفيروسي عن طريق تفاعل البلمرة التسلسلي للنسخ العكسي إلى جانب اختبارات الحمض النووي وغيرها من التقنيات التحليلية المتقدمة للكشف عن المادة الوراثية للفيروس. أو عن طريق الاختبارات المصل، تستفيد من مجموعات اختبار الأجسام المضادة مقايسة امتصاصية مناعية للإنزيم المرتبط للكشف عن وجود الأجسام المضادة التي ينتجها الجهاز المناعي عند الإصابة بالعدوى، وتظهر هذه الأجسام المضادّة بعد فترة وجيزة تقارب العشرة أيام من التعرض للفيروس. يقوم مركز السيطرة على الأمراض بإجراء اختبارين ELISA ضد بروتينين مختلفين ينتجهما الفيروس. إذا كان أي من الاختبارين إيجابيًا، يتم إجراء اختبار فحص التحييد الدقيق لتأكيد النتيجة الإيجابية.

طرق الاختبار

اعتباراً من 6 مارس 2020، أدرجت منظمة الصحة العالمية معامل وپروتوكولات التطوير [123]
البلد المؤسسة الجينات المستهدفة
الصين مركز السيطرة على الأمراض والوقاية منها ORF1ab and Nucleoprotein (N)
ألمانيا شاريتي RdRP, E, N
هونگ كونگ جامعة هونگ كونگ ORF1b-nsp14, N
اليابان المعهد الوطني للأمراض المعدية،
قسم علم الڤيروسات 3
Pancorona and multiple targets,
Spike protein (Peplomer)
تايلند المعهد الوطني للصحة N
الولايات المتحدة مراكز السيطرة على الأمراض والوقاية منها ثلاثة أهداف على الجين N
فرنسا معهد پاستير هدفين على الجين RdRP

فحص PCR

تم تطوير أحد اختبارات PCR المبكرة في شاريتيه في برلين في يناير 2020 باستخدام تفاعل البلمرة التسلسلي للنسخ العكسي في الوقت الحالي(rRT-PCR)، وشكلت الأساس لـ 250.000 مجموعة لتوزيعها من قبل منظمة الصحة العالمية (WHO).[124]

طورت الشركة الكورية الجنوبية كوجينيكوتك مجموعة كشف فيروس كورونا 2 المرتبط بالمتلازمة التنفسية الحادة الشديدة على أساس سريري PCR (باورشيك فيروس كورونا) في 28 يناير 2020. والجين RdRp الخاص بـ فيروس كورونا 2 المرتبط بالمتلازمة التنفسية الحادة الشديدة.[125][126][127] قامت شركات أخرى في الدولة، مثل سولجنت وسيجين، بتطوير مجموعتي كشف إضافيتين طورتهماللكشف عن الدرجة السريرية، المسماة DiaPlexQ وAllplex 2019-nCoV Assay، على التوالي، في فبراير 2020.

في الصين، كانت مجموعة BGI واحدة من أولى الشركات التي حصلت على موافقة استخدام الطوارئ من الإدارة الوطنية الصينية للمنتجات الطبية لمجموعة الكشف عن SARS-CoV-2 المستندة إلى PCR.[128]

بدأت المختبرات التجارية الأمريكية اختبارها في أوائل مارس 2020. واعتبارًا من 5 مارس 2020، أعلنت لاب كورب عن توفر اختبار كوفيد-19 على مستوى الدولة استنادًا إلى تفاعل البلمرة التسلسلي للنسخ العكسي.[129] قامت شركة تشخيص كويست بإتاحة اختبار كوفيد-19 على المستوى الوطني اعتبارًا من 9 مارس 2020.[130] لم يتم الإعلان عن أي قيود على الكمية؛ يجب إجراء جمع العينات ومعالجتها وفقًا لمتطلبات CDC.

في 12 مارس 2020، أفيد أن مايو كلينك قد طورت اختبارًا للكشف عن عدوى كوفيد-19.[131]

في 13 مارس 2020، حصلت تشخيص روش على موافقة إدارة الغذاء والدواء الأمريكية على اختبار يمكن إجراؤه في غضون 3.5 ساعة، مما يسمح لجهاز واحد بإجراء ما يقرب من 4128 اختبارًا في غضون 24 ساعة.[132]


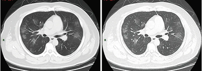
الأشعة المقطعية

Chest CT scans can sometimes help identify and characterize lung pathology, and have yielded non-specific findings with COVID-19 infection. A systematic review of chest CT scan findings in 919 patients described the typical early manifestation of COVID-19 as "bilateral multilobar ground-glass opacification (GGO) with a peripheral or posterior distribution".[133] One study found that the sensitivity of CT for COVID-19 infection was 98% compared to RT-PCR sensitivity of 71%; however, this was performed in Wuhan province of China and is not generalizable.[134] Most common CT scan findings were bilateral ground-glass attenuation (patchy or diffuse) with subpleural dominance, crazy paving and consolidations at later stages.[135] These findings are nonspecific and found as well in other types of pneumonia. A small study showed that Chinese radiologists demonstrated 72-94% sensitivity and 24-94% in differentiating COVID-19 from other types of viral pneumonia using CT imaging.[136] No study yet has validated the accuracy and discriminatory value of CT scans to distinguish COVID from other viral pneumonia. Therefore, the CDC does not recommend CT for initial screening, as emphasized in the COCA call on Thursday, 5 March. People with suspected COVID should be tested with RT-PCR, which is the most specific test.[بحاجة لمصدر]

المقايسة المناعية

As of 26 February 2020, there were no antibody tests or point-of-care tests though efforts to develop them are ongoing.[137]

On 28 February 2020, a South Korean company called PCL filed a request to Ministry of Food and Drug Safety of South Korea for their antibody-based detection kit, COVID-19 Ag GICA Rapid. Unlike an RT-PCR-based detection kit, PCL claims that their antibody-based kit could make a diagnosis within 10 min.

On 8 March 2020, Taiwan's Academia Sinica announced a monoclonal antibody specifically binding nucleocapsid protein (N protein) of the novel coronavirus had been successfully generated and tested in 19 days. If a rapid immune-based test kit can be developed it may be able to detect the disease within 15 to 20 minutes just like a rapid influenza test.[138]

Work to develop a rapid antibody test that delivers return results in 15 minutes by detecting both IgM and IgG antibodies using blood from veins or finger pricks is ongoing.[139] Approval in the United States is pending as of Mar 12th 2020.[140]

تقنيات جديدة

أنبوبة بها عينة دم للكشف عن الإصابة بڤيروس كورونا الجديد.

في 18 مارس 2020، طور علماء من جامعة ستانفورد اختباراً للكشف عن الإصابة ڤيروس كورونا في نصف ساعة، أسرع ثلاث مرات من طرق الاختبار الحالية.[141]

طور فريق علماء اختباراً لڤيروس كورونا الجديد يسمح بالتأكد من إصابة الشخص أو خلوه من الفيروس القاتل بسرعة أكبر. وقام فريق من قسم العلوم الهندسية بجامعة أكسفورد ومركز أكسفورد سوتشو للبحوث المتقدمة بتطوير الاختبار الذي يستند إلى تقنية قادرة على إعطاء نتائج في نصف ساعة. وتستغرق اختبارات الڤيروس الحالية باستخدام عينة من الأنسجة أو الدم أو السوائل الأخرى من نصف ساعة إلى ساعتين لإعطاء نتيجة. ويقول العلماء أصحاب الاختبار الجديد إنه أسرع بكثير من تلك التي تستخدم على نطاق واسع ولا يتطلب أداة معقدة.[142]

ويعمل الفريق بقيادة البروفيسور زان‌فنگ توي والبروفيسور وي هوانگ على تحسين قدرات الاختبار مع تفشي الڤيروس دولياً. وقال البروفيسور هوانگ: "يكمن جمال هذا الاختبار الجديد في تصميم الكشف الڤيروسي الذي يمكنه التعرف على وجه التحديد على شظايا الحمض النووي الريبي". الاختبار يحتوي على عمليات فحص مدمجة لمنع القراءات الخاطئة وكانت النتائج دقيقة للغاية.

ويقول العلماء إن هذه التكنولوجيا حساسة للغاية مما يعني أنه قد يتم التعرف على المرضى في المراحل المبكرة من العدوى، مما قد يساعد على الحد من الانتشار.

تتطلب التكنولوجيا كتلة حرارية بسيطة تحافظ على درجة حرارة ثابتة، ويمكن قراءة النتائج بالعين المجردة. وقد استخدمت هذه التكنولوجيا على عينات سريرية حقيقية في مستشفى شنتشن لوهو الشعبي في الصين.

وطبق المستشفى مجموعات الكشف السريع على 16 عينة سريرية، بما في ذلك ثمانية حالات إيجابية وثماني كانت سلبية، وهو ما أكدته الطرق التقليدية وغيرها من الأدلة السريرية. وكانت جميع نتائج الاختبار باستخدام مجموعات الكشف السريع ناجحة.

جمع العينات

Using real time reverse transcription polymerase chain reaction (rRT-PCR)[143] the test can be done on respiratory samples obtained by various methods, including nasopharyngeal swab or sputum sample.[144] Results are generally available within a few hours to 2 days.[145]

Hong Kong has set up a scheme where suspected patients can stay home, "emergency department will give a specimen tube to the patient", they spit into it, send it back and get a test result a while after.[146]

The British NHS has announced that it will start testing suspected cases at home, which removes the risk of a patient infecting others if they come to a hospital or having to disinfect an ambulance if one is used.[147]

In drive-through testing for COVID-19 for suspected cases, a healthcare professional takes sample using appropriate precautions.[148][149] Drive-through centers have helped South Korea do some of the fastest, most-extensive testing of any country.[150]

الانتاج وحجم الاختبار

عدد الاختبارات اليومية في الولايات المتحدة.
الأزرق:معمل CDC
البرتقال: معمل صحة عامة
الرمادي: البيانات غير مكتملة بسبب تأخر إعداد التقارير

China[151] and the United States[152] had problems with the reliability of test kits early in the outbreak, and these countries and Australia[153] were unable to supply enough kits to satisfy demand and recommendations for testing by health experts. In contrast, experts say South Korea's broad availability of testing helped reduce the spread of the novel coronavirus. Testing capacity, largely in private sector labs, was built up over several years by the South Korean government.[154] On 16th March, the World Health Organization called for ramping up the testing programmes as the best way to slow the advance of Covid-19 pandemic.[155][156]

انظر أيضاً

مرئيات

جهاز اختبار كوڤيد-19، تستغرق النتائج 10 دقائق، إنتاج بيوزيك.


الهوامش

المصادر

  1. ^ "Ministerio de Salud Nuevo coronavirus COVID-19 Informe diario". Argentina.gob.ar (in Spanish). 12 April 2020.{{cite web}}: CS1 maint: unrecognized language (link)
  2. ^ Կորոնավիրուսային հիվանդություն (COVID-19). Հիվանդությունների վերահսկման և կանխարգելման ազգային կենտրոն [National Center for Disease Control and Prevention] (in Armenian). 11 April 2020.{{cite web}}: CS1 maint: unrecognized language (link)
  3. ^ أ ب ت ث ج ح خ د "Coronavirus (COVID-19)". Australian Government, Department of Health. 15 April 2020.
  4. ^ "Coronavirus (COVID-19)". Tasmania, Department of Health. 15 April 2020.
  5. ^ "Coronavirus". Bundesministerium für Soziales, Gesundheit, Pflege und Konsumentenschutz [Federal Ministry of Social Affairs, Health, Care and Consumer Protection] (in German). 9 April 2020.{{cite web}}: CS1 maint: unrecognized language (link)
  6. ^ "Azərbaycanda cari̇ vəzi̇yyət". KoronaVirus info (in Azerbaijani). Operational Headquarters under the Cabinet of Ministers. 1 April 2020.{{cite web}}: CS1 maint: unrecognized language (link)
  7. ^ فيروس الكورونا COVID-19. وزارة الصحة [Ministry of Health] (in Arabic). 10 April 2020.{{cite web}}: CS1 maint: unrecognized language (link)
  8. ^ "Institute of Epidemiology, Disease Control and Research". Institute of Epidemiology, Disease Control and Research. 15 April 2020.
  9. ^ "COVID-19 Update (1st April, 2020) feat. Acting PM Hon. Santia Bradshaw, M.P" (video). Prime Minister's Office of Barbados (YouTube). 1 April 2020.
  10. ^ "t.me/minzdravbelarus/331". Официальный канал Министерства здравоохранения Республики Беларусь в Телеграм [The official Telegram channel of the Ministry of Health of the Republic of Belarus] (in Russian). 11 April 2020.{{cite web}}: CS1 maint: unrecognized language (link)
  11. ^ "Epistat – Covid19 Monitoring". Epistat.
  12. ^ "243 nouveaux cas de coronavirus en Belgique ce mercredi 18 mars, 135 hospitalisations et 4 décès de plus, dont une personne de 59 ans". Belgium: RTBF Info. March 18, 2020.
  13. ^ "Bolivia Segura". Bolivia Segura. 2020-04-11. Archived from the original on 2020-04-11. Retrieved 2020-04-11.
  14. ^ "Službene informacije o koronavirusu (COVID-19)". Ministarstvo civilnih poslova Bosne i Hercegovine [Ministry of Civil Affairs of Bosnia and Herzegovina] (in Bosnian). 14 April 2020.{{cite web}}: CS1 maint: unrecognized language (link)
  15. ^ "Brazil Number of PCR Test".{{cite web}}: CS1 maint: url-status (link)
  16. ^ "Total COVID-19 tests performed in Bulgaria". Bulgarian Ministry of Health. Retrieved 5 April 2020.
  17. ^ "Confirmed COVID-19 cases in Bulgaria". Bulgarian Ministry of Health.
  18. ^ "Canada Public Health Services". 14 April 2020.{{cite web}}: CS1 maint: url-status (link)
  19. ^ "Cases in Alberta". Alberta.ca. Retrieved 14 April 2020.
  20. ^ "Case Counts & Press Statements". BC Centre for Disease Control. 13 April 2020.
  21. ^ "COVID-19 Updates". Province of Manitoba. 14 April 2020.
  22. ^ "Coronavirus". Government of New Brunswick. 13 April 2020.
  23. ^ "COVID-19 Information" (in الإنجليزية الأمريكية). Retrieved 2020-04-12.
  24. ^ "Coronavirus Disease (COVID-19)". Government of Northwest Territories, Health and Social Services. 13 April 2020.
  25. ^ "Novel coronavirus (COVID-19) cases in Nova Scotia: data visualization". Government of Nova Scotia. 13 April 2020.
  26. ^ "The 2019 Novel Coronavirus (COVID-19)". Ontario.ca. 14 April 2020.
  27. ^ "COVID-19". Government of Prince Edward Island. 13 April 2020.
  28. ^ "Données COVID-19 au Québec". Institut national de santé publique du Québec [National Institute of Public Health of Quebec] (in French). 14 April 2020.{{cite web}}: CS1 maint: unrecognized language (link)
  29. ^ "Cases and Risk of COVID-19 in Saskatchewan". Government of Saskatchewan. 13 April 2020.
  30. ^ "Information about coronavirus disease (COVID-19) for Yukoners". yukon.ca. 2020-04-08. Retrieved 2020-04-13.
  31. ^ "Cifras Oficiales COVID-19" (PDF). Ministerio de Salud Chile (in Spanish). 2020-04-14. Retrieved 2020-04-14.{{cite web}}: CS1 maint: unrecognized language (link)
  32. ^ "Report of the WHO-China Joint Mission on Coronavirus Disease 2019 (Covid-19)" (PDF). WHO. 10 March 2020.
  33. ^ "Statistics on Testing for COVID-19 in Hong Kong" (PDF). The Centre for Health Protection (CHP) of the Department of Health, Hong Kong. 15 April 2020. Retrieved 15 April 2020.
  34. ^ "Coronavirus (COVID - 2019) en Colombia". Instituto Nacional de Salud [Colombia: National Institute of Health] (in Spanish). 12 April 2020.{{cite web}}: CS1 maint: unrecognized language (link)
  35. ^ "Gobierno amplía restricción vehicular sanitaria a partir de las 8 p.m. fines de semana". Ministerio de Salud Costa Rica [Ministry of Health Costa Rica] (in Spanish). 27 March 2020.{{cite web}}: CS1 maint: unrecognized language (link)
  36. ^ "Ukupno dosad 1282 osoba zaraženih koronavirusom". Koronavirus.hr (in Croatian). 5 April 2020.{{cite web}}: CS1 maint: unrecognized language (link)
  37. ^ "Přehled situace v ČR: COVID-19" [Overview of the situation in the Czech Republic: COVID-19]. Ministerstvo zdravotnictví České republiky [The Ministry of Health of the Czech Republic] (in Czech). 14 April 2020.{{cite web}}: CS1 maint: unrecognized language (link)
  38. ^ Statens Serum Institut (14 April 2020). "Udbrud med ny coronavirus COVID-19" (in الدانمركية). Retrieved 14 April 2020.
  39. ^ "Actualizacion de casos de coronavirus en Ecuador".{{cite web}}: CS1 maint: url-status (link)
  40. ^ "وزيرة الصحة: أجرينا 25 ألف تحليل لكورونا بمصر.. و50%؜ من المصابين مخالطين - بوابة الشروق". www.shorouknews.com, Egypt.
  41. ^ "Statistika koroonaviiruse leviku kohta Eestis". Koroonakaart, Estonia. 15 April 2020.
  42. ^ "Varmistetut koronatapaukset Suomessa (COVID-19)" [Confirmed corona cases in Finland (COVID-19)] (in الفنلندية). Retrieved 2020-04-10.{{cite web}}: CS1 maint: url-status (link)
  43. ^ United Nations Population Division. "Total population, both sexes combined (thousands)".
  44. ^ "COVID-19: Point épidémiologique hebdomadaire du 2 Avril 2020" (PDF). Santé publique France [Public Health France] (in French). 2 April 2020.{{cite web}}: CS1 maint: unrecognized language (link)
  45. ^ "Täglicher Lagebericht des RKI zur Coronavirus-Krankheit-2019 (COVID-19)" [Germany: Coronavirus Disease 2019 (COVID-19) Daily Situation Report of the Robert Koch Institute] (PDF). Robert Koch Institute (in German). 8 April 2020.{{cite web}}: CS1 maint: unrecognized language (link)
  46. ^ "Ενημέρωση διαπιστευμένων συντακτών υγείας από τον Υφυπουργό Πολιτικής Προστασίας και Διαχείρισης Κρίσεων Νίκο Χαρδαλιά και τον εκπρόσωπο του Υπουργείου Υγείας για το νέο κορονοϊό, Καθηγητή Σωτήρη Τσιόδρα 30-03-2020". Greece: National Public Health Organization (in Greek). 7 April 2020.{{cite web}}: CS1 maint: unrecognized language (link)
  47. ^ "Grenada confirms one more case of Covid-19". NowGrenada. 1 April 2020. Retrieved 1 April 2020.
  48. ^ "Tájékoztató oldal a koronavírusról". Tájékoztató oldal a koronavírusról [Coronavirus Information Page] (in Hungarian). Cabinet Office of the Prime Minister. 15 April 2020.{{cite web}}: CS1 maint: unrecognized language (link)
  49. ^ "COVID-19 in Iceland – Statistics". Covid.is. Retrieved 14 April 2020.
  50. ^ "SARS-CoV-2 (COVID-19) Testing: Status Update 14 April 2020 9:00 PM IST" (PDF). ICMR India. 14 April 2020. Retrieved 14 April 2020.{{cite web}}: CS1 maint: url-status (link)
  51. ^ "Infeksi Emerging". Infeksi Emerging, Indonesia (in Indonesian). 15 April 2020.{{cite web}}: CS1 maint: unrecognized language (link)
  52. ^ "Iran Victorious in Controlling Corona Outbreak Despite Sanctions: Official" (in English). 22 March 2020. Retrieved 22 March 2020.{{cite web}}: CS1 maint: unrecognized language (link)
  53. ^ "Statement from the National Public Health Emergency Team - Tuesday 14 April". Government of Ireland. 14 April 2020.
  54. ^ "(Israel)". קורונה - משרד הבריאות – Telegram. 15 April 2020.
  55. ^ أ ب ت ث ج ح خ د "Aggiornamento 13/04/2020 ore 17.00" (PDF). Dipartimento della Protezione Civile, Italy. 13 April 2020 – via GitHub.
  56. ^ 44 coronavirus cases now confirmed in JamaicaRetrieved April 2, 2020.
  57. ^ 新型コロナウイルス感染症の現在の状況と厚生労働省の対応について(令和2年4月15日版). 厚生労働省 [The Ministry of Health, Labour and Welfare] (in Japanese). 15 April 2020.{{cite web}}: CS1 maint: unrecognized language (link)
  58. ^ "Latest updates on COVID-19 in Tokyo". Tokyo COVID-19 Information. Tokyo Metropolitan Government. 13 April 2020.
  59. ^ НЦОЗ — Национальный центр общественного здравоохранения. hls.kz (in Russian). National Center for Public Health of the MOH of the Republic of Kazakhstan. 15 April 2020. sec. Данные по COVID-19 в Казахстане.{{cite web}}: CS1 maint: unrecognized language (link)
  60. ^ "COVID19 - Kosova". kosova.health.
  61. ^ "Ministry of Health of the Kyrgyz Republic briefing". 31 March 2020. Retrieved 31 March 2020.
  62. ^ "About quality using COVID-19 express-tests". Akipress. 13 April 2020. Retrieved 13 April 2020.
  63. ^ "COVID-19 infekcijas uzliesmojums" [Outbreak of COVID-19 infection]. Slimību profilakses un kontroles centrs [Center for Disease Prevention and Control] (in Latvian). 9 April 2020.{{cite web}}: CS1 maint: unrecognized language (link)
  64. ^ "Koronavirusas (COVID-19)". Lietuvos Respublikos sveikatos apsaugos ministerija [The Ministry of Health of the Republic of Lithuania] (in Lithuanian). 2 April 2020.{{cite web}}: CS1 maint: unrecognized language (link)
  65. ^ "COVID-19 (Maklumat Terkini)". Portal Rasmi Kementerian Kesihatan Malaysia [Official Portal of Ministry of Health of Malaysia] (in Malay). 15 April 2020.{{cite web}}: CS1 maint: unrecognized language (link)
  66. ^ "20 new coronavirus cases identified". Times of Malta. 11 April 2020.
  67. ^ "Comunicado Técnico Diario Nuevo Coronavirus en el Mundo (COVID-19)" (PDF). Gobierno de México [Government of Mexico] (in Spanish). 12 April 2020.{{cite web}}: CS1 maint: unrecognized language (link)
  68. ^ "U Crnoj Gori je od početka dešavanja, od COVID19 oboljelo 288 osoba". Institut za javno zdravlje Crne Gore (in Montenegrin). Retrieved 2020-04-15.
  69. ^ "Health Emergency Operation Center". Nepal: Health Emergency Operation Center. 27 March 2020.
  70. ^ "Statistieken over het Coronavirus en COVID-19". AlleCijfers.nl [AlleCijfers.nl] (in Dutch). 14 April 2020.{{cite web}}: CS1 maint: unrecognized language (link)
  71. ^ "Virologische dagstaten". Rijksinstituut voor Volksgezondheid en Milieu [The Netherlands National Institute for Public Health and the Environment] (in Dutch). 8 April 2020.{{cite web}}: CS1 maint: unrecognized language (link)
  72. ^ "COVID-19 - current cases". Ministry of Health, New Zealand. 14 April 2020.
  73. ^ "NCDC Coronavirus (COVID-19) Information Minisite". Nigeria Centre for Disease Control. 12 April 2020.
  74. ^ Kim, Jeongmin (8 April 2020). "709 people in North Korea tested for COVID-19, no confirmed cases: WHO". NK News. Retrieved 9 April 2020.
  75. ^ "Потврдени 68 нови случаи на Ковид 19 – вкупно во земјата 828 дијагностицирани пациенти". Libertas (in Macedonian).{{cite web}}: CS1 maint: unrecognized language (link)
  76. ^ "Dags- og ukerapporter om koronavirussykdom (covid-19)". Folkehelseinstituttet [Norwegian Institute of Public Health] (in Norwegian). 11 April 2020.{{cite web}}: CS1 maint: unrecognized language (link)
  77. ^ "Pakistan Cases Details". COVID-19 Health Advisory Platform. Ministry of National Health Services Regulations and Coordination. 14 April 2020.
  78. ^ "www.facebook.com/photo?fbid=2740666726059188". وزارة الصحة الفلسطينية [Ministry of Health of the State of Palestine (Facebook)] (in Arabic). 11 April 2020.{{cite web}}: CS1 maint: unrecognized language (link)
  79. ^ "Casos de Coronavirus COVID-19 en Panamá". Retrieved 13 April 2020.
  80. ^ "Coronavirus en el Perú". twitter.com/Minsa_Peru/ (Ministry of Health of Peru) (in Spanish). 14 April 2020.{{cite web}}: CS1 maint: unrecognized language (link)
  81. ^ "UPDATES ON NOVEL CORONAVIRUS DISEASE (COVID-19)". Department of Health (Philippines). Retrieved 2020-04-06.
  82. ^ "wykres przeprowadzonych testów". Wykresy opracowane na podstawie wpisów Ministerstwa Zdrowia na Twitterze [Charts prepared on the basis of Twitter entries from the Ministry of Health] (in Polish). 14 April 2020.{{cite web}}: CS1 maint: unrecognized language (link)
  83. ^ "W ciągu doby wykonano ponad 8.1 tys. testów na #koronawirus". Ministerstwo Zdrowia (Twitter) [Ministry of Health (Twitter)] (in Polish). 15 April 2020.{{cite web}}: CS1 maint: unrecognized language (link)
  84. ^ "Ponto de Situação Atual em Portugal" [Current Situation in Portugal]. Direção-Geral da Saúde [The Directorate-General of Health] (in Portuguese). 31 March 2020.{{cite web}}: CS1 maint: unrecognized language (link)
  85. ^ "Buletin informativ 15.04.2020". Ministerul Sanatatii [Ministry of Health] (in Romanian). 15 April 2020.{{cite web}}: CS1 maint: unrecognized language (link)
  86. ^ "Coronavirus România, INFORMAȚII OFICIALE: 6.633 de infecții, dintre care 318 morți din cauza COVID-19". Digi24 (in Romanian). 13 April 2020.{{cite web}}: CS1 maint: unrecognized language (link)
  87. ^ Информационный бюллетень о ситуации и принимаемых мерах по недопущению распространения заболеваний, вызванных новым коронавирусом. Федеральная служба по надзору в сфере защиты прав потребителей и благополучия человека (Роспотребнадзор) [Federal Service for Surveillance on Consumer Rights Protection and Human Wellbeing (Rospotrebnadzor)] (in Russian). 14 April 2020.{{cite web}}: CS1 maint: unrecognized language (link)
  88. ^ О подтвержденных случаях новой коронавирусной инфекции COVID-2019 в России. Федеральная служба по надзору в сфере защиты прав потребителей и благополучия человека (Роспотребнадзор) [Federal Service for Surveillance on Consumer Rights Protection and Human Wellbeing (Rospotrebnadzor)] (in Russian). 14 April 2020.{{cite web}}: CS1 maint: unrecognized language (link)
  89. ^ COVID-19: текущая ситуация по Московской области. COVID-19: текущая ситуация по Московской области [COVID-19: current situation in Moscow Oblast] (in Russian). 14 April 2020.{{cite web}}: CS1 maint: unrecognized language (link)
  90. ^ Informacija o novom korona virusu na dan 15.04. godine u 15 časova. Министарство здравља Републике Србије [The Ministry of Health of the Republic of Serbia] (in Serbian). 15 April 2020.{{cite web}}: CS1 maint: unrecognized language (link)
  91. ^ "Updates on COVID-19 (Coronavirus Disease 2019) Local Situation". Ministry of Health (Singapore). 11 April 2020. Retrieved 12 April 2020.
  92. ^ "Koronavírus na Slovensku". Koronavírus (in Slovak). National Health Information Center. 14 April 2020.{{cite web}}: CS1 maint: unrecognized language (link)
  93. ^ "Electronic Healthcare - Lifesaving information". ezdravie (in English). National Health Information Center. 14 April 2020.{{cite web}}: CS1 maint: unrecognized language (link)
  94. ^ "Dnevno spremljanje okužb s SARS-CoV-2 (COVID-19)". Nacionalni inštitut za javno zdravje [National Institute of Public Health] (in Slovenian). 13 April 2020.{{cite web}}: CS1 maint: unrecognized language (link)
  95. ^ "COVID-19 statistics in RSA". NICD. 2020-04-13. Retrieved 2020-04-13.
  96. ^ 코로나바이러스감염증-19 국내 발생 현황(4월 14일, 0시 기준). 질병관리본부 [Korea Centers for Disease Control and Prevention] (in Korean). 14 April 2020.{{cite web}}: CS1 maint: unrecognized language (link)
  97. ^ "Situación de COVID-19 en España". covid19.isciii.es. Retrieved 2020-04-14.
  98. ^ "Sweden Public Health Service". Retrieved 2020-04-15.{{cite web}}: CS1 maint: url-status (link)
  99. ^ "Coronavirus Krankheit 2019 (COVID-19): Situationsbericht zur epidemiologischen Lage in der Schweiz und im Fürstentum Liechtenstein" (PDF). Bundesamt für Gesundheit [Switzerland: The Federal Office of Public Health] (in German). 12 April 2020.{{cite web}}: CS1 maint: unrecognized language (link)
  100. ^ "Taiwan Centers for Disease Control". Taiwan Centers for Disease Control. 15 April 2020.
  101. ^ โรคติดเชื้อไวรัสโคโรนา 2019 (COVID-19). กรมควบคุมโรค [Thailand: Department of Disease Control] (in Thai). 15 April 2020.{{cite web}}: CS1 maint: unrecognized language (link)
  102. ^ Trinidad and Tobago Covid-19 Update #65Retrieved April 1, 2020.
  103. ^ "covid19.saglik.gov.tr". Sağlık Bakanlığı [The Ministry of Health] (in Turkish). 14 April 2020.{{cite web}}: CS1 maint: unrecognized language (link)
  104. ^ Оперативна інформація про поширення коронавірусної інфекції COVID-19. Міністерство охорони здоров'я України [The Ministry of Healthcare of Ukraine] (in Ukrainian). 11 April 2020.{{cite web}}: CS1 maint: unrecognized language (link)
  105. ^ "Укр Eng 0 800 505 840 0 800 505 201 Hot line What do you need to know about the novel coronavirus?". Retrieved 13 April 2020.
  106. ^ https://gulfnews.com/uae/health/covid-19-300-new-coronavirus-cases-reported-in-uae-on-wednesday-1.1586343767143
  107. ^ "Number of coronavirus (COVID-19) cases and risk in the UK". GOV.UK. 15 April 2020.
  108. ^ "Coronavirus in Scotland". The Scottish Government (in الإنجليزية).
  109. ^ "US Historical Data. The COVID Tracking Project". The COVID Tracking Project. 14 April 2020.
  110. ^ "CDPH News Releases: State Officials Announce Latest COVID-19 Facts (daily, as of previous day)". California Department of Public Health. 14 April 2020.
  111. ^ "Florida's COVID-19 Data and Surveillance Dashboard". Florida Department of Health. 15 April 2020.
  112. ^ "Coronavirus Disease 2019 (COVID-19)". Illinois Department of Public Health. 14 April 2020.
  113. ^ "Coronavirus (COVID-19)". Louisiana Department of Public Health. 14 April 2020.
  114. ^ "Michigan Data". Michigan.gov. 13 April 2020.{{cite web}}: CS1 maint: url-status (link)
  115. ^ "Tracking COVID-19 coronavirus in New Jersey". 14 April 2020.
  116. ^ "Tracking COVID-19 coronavirus in New York State". 14 April 2020.
  117. ^ "COVID-19 In Texas (Dashboard)". Texas Department of State Health Services. 14 April 2020.
  118. ^ "2019 Novel Coronavirus Outbreak (COVID-19)". Washington State Department of Health. 14 April 2020.
  119. ^ "Gobierno informó que hay 27 nuevos casos de coronavirus". Montevideo Portal.
  120. ^ "Oficina de ONU indica que Venezuela realizó 1.779 pruebas de covid-19 en 19 días" (in Spanish). El País. 2 April 2020.{{cite news}}: CS1 maint: unrecognized language (link)
  121. ^ "Venezuela: COVID-19 Flash Update Nº 2 (02 de abril de 2020)". Reliefweb. Retrieved 3 April 2020.
  122. ^ "Thống kê tình hình dịch bệnh COVID-19". Ministry of Health (Vietnam). 15 April 2020.
  123. ^ "Coronavirus disease (COVID-19) technical guidance: Laboratory testing for 2019-nCoV in humans". www.who.int. Retrieved 6 March 2020.{{cite web}}: CS1 maint: url-status (link)
  124. ^ Sheridan, Cormac (19 فبراير 2020). "Coronavirus and the race to distribute reliable diagnostics". Nature Biotechnology (in الإنجليزية). doi:10.1038/d41587-020-00002-2. {{cite journal}}: Unknown parameter |تاريخ الأرشيف= ignored (help); Unknown parameter |مسار الأرشيف= ignored (help)
  125. ^ Kogenebiotech homepage Archived 2020-02-28 at the Wayback Machine
  126. ^ . 
  127. ^ {{cite web}}: Empty citation (help)
  128. ^ {{cite web}}: Empty citation (help)
  129. ^ {{cite web}}: Empty citation (help).
  130. ^ {{cite web}}: Empty citation (help)
  131. ^ {{cite web}}: Empty citation (help)
  132. ^ {{cite web}}: Empty citation (help)
  133. ^ Salehi, Sana; Abedi, Aidin; Balakrishnan, Sudheer; Gholamrezanezhad, Ali (2020-03-14). "Coronavirus Disease 2019 (COVID-19): A Systematic Review of Imaging Findings in 919 Patients". American Journal of Roentgenology (in الإنجليزية): 1–7. doi:10.2214/AJR.20.23034. ISSN 0361-803X.
  134. ^ Ai, Tao; Yang, Zhenlu (February 26, 2020). "Correlation of Chest CT and RT-PCR Testing in Coronavirus Disease 2019 (COVID-19) in China: A Report of 1014 Cases". Radiology. Radiological Society of North America: 200642. doi:10.1148/radiol.2020200642. PMID 32101510.
  135. ^ Lee, Elaine Y. P.; Ng, Ming-Yen; Khong, Pek-Lan (24 February 2020). "COVID-19 pneumonia: what has CT taught us?". The Lancet Infectious Diseases (in English). 0. doi:10.1016/S1473-3099(20)30134-1. ISSN 1473-3099. PMID 32105641. Retrieved 13 March 2020.{{cite journal}}: CS1 maint: unrecognized language (link)
  136. ^ Bai, Harrison X.; Hsieh, Ben; Xiong, Zeng; Halsey, Kasey; Choi, Ji Whae; Tran, Thi My Linh; Pan, Ian; Shi, Lin-Bo; Wang, Dong-Cui; Mei, Ji; Jiang, Xiao-Long; Zeng, Qiu-Hua; Egglin, Thomas K.; Hu, Ping-Feng; Agarwal, Saurabh; Xie, Fangfang; Li, Sha; Healey, Terrance; Atalay, Michael K.; Liao, Wei-Hua (10 March 2020). "Performance of radiologists in differentiating COVID-19 from viral pneumonia on chest CT". Radiology: 200823. doi:10.1148/radiol.2020200823. ISSN 0033-8419. Retrieved 17 March 2020.
  137. ^ Pang, Junxiong; Wang, Min Xian; Ang, Ian Yi Han; Tan, Sharon Hui Xuan; Lewis, Ruth Frances; Chen, Jacinta I-Pei; Gutierrez, Ramona A; Gwee, Sylvia Xiao Wei; Chua, Pearleen Ee Yong; Yang, Qian; Ng, Xian Yi; Yap, Rowena KS; Tan, Hao Yi; Teo, Yik Ying; Tan, Chorh Chuan; Cook, Alex R.; Yap, Jason Chin-Huat; Hsu, Li Yang (26 February 2020). "Potential Rapid Diagnostics, Vaccine and Therapeutics for 2019 Novel Coronavirus (2019-nCoV): A Systematic Review". Journal of Clinical Medicine. 9 (3): 623. doi:10.3390/jcm9030623. PMID 32110875.{{cite journal}}: CS1 maint: unflagged free DOI (link)
  138. ^ "中央研究院網站". www.sinica.edu.tw. Sinca. Retrieved 12 March 2020.
  139. ^ . PMID 32104917. {{cite journal}}: Cite journal requires |journal= (help); Missing or empty |title= (help)
  140. ^ [ttps://www.ncbiotech.org/news/biomedomics-seeks-fda-ok-covid-19-rapid-diagnostic "BioMedomics Seeks FDA OK for COVID-19 Rapid Diagnostic"]. Retrieved 19 March 2020.
  141. ^ "oxford-scientists-develop-new-coronavirus-test-that-provides-results-in-just-30-minutes/". techcrunch.com. 2020-03-18. Retrieved 2020-03-19.
  142. ^ "اختبار يكشف عن فيروس كورونا في نصف ساعة". كريسپ. 2020-03-18. Retrieved 2020-03-19.
  143. ^ "2019 Novel Coronavirus (2019-nCoV) Situation Summary". Centers for Disease Control and Prevention. 30 January 2020. Archived from the original on 26 January 2020. Retrieved 30 January 2020.
  144. ^ "Real-Time RT-PCR Panel for Detection 2019-nCoV". Centers for Disease Control and Prevention. 29 January 2020. Archived from the original on 30 January 2020. Retrieved 1 February 2020.
  145. ^ "Curetis Group Company Ares Genetics and BGI Group Collaborate to Offer Next-Generation Sequencing and PCR-based Coronavirus (2019-nCoV) Testing in Europe". GlobeNewswire News Room. 30 January 2020. Archived from the original on 31 January 2020. Retrieved 1 February 2020.
  146. ^ "In Age of COVID-19, Hong Kong Innovates To Test And Quarantine Thousands". NPR.org (in الإنجليزية).
  147. ^ "NHS pilots home testing for coronavirus". MobiHealthNews (in الإنجليزية). 24 February 2020.
  148. ^ jkiger@postbulletin.com, Jeff Kiger. "Mayo Clinic starts drive-thru testing for COVID-19". PostBulletin.com (in الإنجليزية). Retrieved 2020-03-13.
  149. ^ Hawkins, Andrew J. (2020-03-11). "Some states are offering drive-thru coronavirus testing". The Verge (in الإنجليزية). Retrieved 2020-03-13.
  150. ^ "South Korea's Drive-Through Testing For Coronavirus Is Fast — And Free". npr (in الإنجليزية). 2020-03-11. Retrieved 2020-03-16.
  151. ^ Heartbreak in the Streets of Wuhan
  152. ^ "State figures on testing raise questions about efforts to contain outbreak - The Boston Globe". BostonGlobe.com.
  153. ^ Davey, Melissa (14 March 2020). "Australian stocks of coronavirus testing kits 'rapidly deteriorating', says chief medical officer" – via www.theguardian.com.
  154. ^ "Experts Credit South Korea's Extensive Testing For Curbing Coronavirus Spread". NPR.org.
  155. ^ "'Test, Test, Test': WHO Chief's Coronavirus Message to World". The New York Times. 16 March 2020. Retrieved 16 March 2020.
  156. ^ Reuters, Source (16 March 2020). "'Test, test, test': WHO calls for more coronavirus testing – video". The Guardian. Retrieved 16 March 2020. {{cite news}}: |last1= has generic name (help)

وصلات خارجية

Classification
V · T · D
External resources