التهاب اللوزتين

(تم التحويل من Tonsillitis)
Tonsillitis
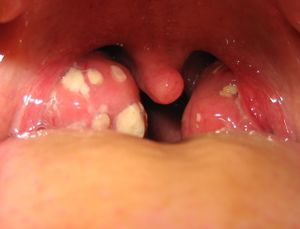
Tonsillitis.jpg
Enlarged, red tonsils and exudative white patches of tonsillitis
التبويب والمصادر الخارجية
التخصصطب الأسرة والمجتمع, طب الأنف والأذن والحنجرة, الأمراض المعدية (تخصص طبي)
ICD-10J03., J35.0
ICD-9-CM463
DiseasesDB13165
eMedicinearticle/871977
Patient UK

فشل عرض الخاصية P1461: لم يتم العثور على الخاصية P1461.

التهاب اللوزتين
MeSHD014069

التهاب اللّوزَتَيْن Tonsillitis مرض مؤلم ناتج عن إصابة إحدى اللوزتين أو كلتيهما بالبكتيريا أو الفيروسات. ومن أكثر الفئات العمرية التي تتعرض للإصابة بالتهاب اللوزتين الأشخاص الذين تتراوح أعمارهم بين العاشرة والأربعين عامًا. ومن مظاهر الإصابة بالتهاب اللوزتين ظهور انتفاخ أو ألم في الحلق، وصعوبة في البلع. ويصاحب الحالات المزمنة حُمى وصُداع وألم في الظهر وتشنج في الرقبة وشعور بالغثيان. ويبرز في الحلق خُرَّاج (تجمع للصديد) بجوار اللوزة.

وينصح الأطباء عادةً بالراحة في الفراش وتناول الأسبرين والغرغرة بالماء المالح لتخفيف الالتهاب. ويستطيع الأطباء علاج الحالات الناتجة عن البكتيريا باستخدام المضادات الحيوية. ولكن المضادات الحيوية لا تجدي في حالة الالتهاب الفيروسي. وإذا استمر التهاب اللوزتين أو تعددت الشكوى من الالتهاب ومضاعفاته عند بعض الناس، فإن الطبيب في مثل هذه الحالات ربما ينصح بالتخلص منهما. وتسمى هذه العملية الجراحية بعملية استئصال اللوزتين.

مضاعفات المرض

  1. التهاب الكلى الحاد.
  2. الحمى الروماتزمية.
  3. مرض روماتيزم القلب.

اللوزتان عقدتان لمفاويتان تقعان أعلى الحلق في القسم الخلفي من الفم ويمكن رؤيتها عند فتح الفم وهما تساعدان في الحالة الطبيعية على تصفية الجراثيم والعصيات الأخرى ومنع دخولها للجسم واحداثها للمرض ولهذا تتعرض اللوزتان للالتهاب بشكل متكرر عند الأطفال. (مع البلعوم) وغالباً ما تصاب اللوزتان والبلعوم معاً وقد تكون اصابة اللوزتين أكثر وضوحاً فندعو الحالة التهاب اللوزتين الحاد. (أسبابها) قد ينجم التهاب اللوزتين الحاد عن الفيروسات أو الجراثيم وسنقتصر في حديثنا على التهاب اللوزتين الجرثومي أو القيمي الذي ينجم في 30% من الحالات عن الجراثيم العقدية وينجم في 7% من الحالات عن جراثيم أخرى. (أعراض التهاب اللوزتين)

  1. ألم الحلق الذي يستمر أكثر من 48ساعة وقد يكون شديداً أحياناً.
  2. صعوبة البلع التي تمنع الطفل أحياناً حتى من شرب السوائل.
  3. الحمى التي قد تصل إلى 40درجة مئوية وتترافق مع القشعريرة أحياناً.
  4. الصداع والوهن العام ونقص الشهية وتغير الصوت.
  5. قد يحدث الغثيان والإقياء والألم البطني عند الأطفال أحياناً

ماهي العلامات التي يجدها الطبيب عند فحص الطفل؟

  1. ضخامة اللوزتين التي قد تكون أحياناً شديدة جداً.
  2. احمرار اللوزتين مع وجود بقع بيضاء قيحية عليهما.
  3. ضخامة العقد اللمفية الرقبية مع الألم عند جسها.

(التشخيص) يتم التشخيص بسهولة بفحص الفم مع استخدام خافض اللسان حيث تشاهد اللوزتان المتضخمتان مع وجود احمرار فيهما وبقع بيضاء قيحية أحياناً وقد نجد احمراراً في البلعوم أيضاً أما تأكيد سبب الالتهاب فيحتاج لإجراء مسحة البلعوم (أي اخذ عينة في البلعوم أو اللوزتين وزرعها.

الاعراض

  • الم في الفم والحنجرة وصعوبة البلع.
  • حرارة متوسطة الارتفاع وقد تشتد في معظم الأحيان.
  • الم في البطن وقد يؤدي إلى القيء.
  • تورم واحمرار في البلعوم واللوزتين والزائدة الانفية.
  • انتفاخ الغدد اللمفاوية ( تحت الفك).
  • الم في المفاصل.

المضاعفات

قد تحدث مضاعفات هامة نتيجة للإصابة بالتهاب اللوزتين القيحي وهي
1- امتداد الالتهاب إلى المنطقة حول اللوزة وتشكيل مايدعى خراج حول اللوزة.
2- الجفاف عند الطفل بسبب عدم قدرته على البلع أو ألم البلع.
3- انسداد المجري التنفسي.
4- قد تحدث اختلاطات تالية للإصابة بالجراثيم العقدية وهي الحمى الروماتيزمية والتهاب الكبد والكلية.

العلاج

1- يحتاج التهاب اللوزتين الناجم عن الجراثيم العقدية إلى المعالجة بالمضادات الحيوية مثل البنسلين أو الأمبسلين أو الارتيرومايسين وتكفي عادة جرعة وحيدة من البنسلين تعطى عضلياً اما في حالة المعالجة الفموية فيجب ان يستمر الشوط العلاجي لمدة عشرة أيام كاملة وذلك حتى نتخلص من الجراثيم العقدية في البلعوم واللوزتين بشكل كامل.
2- إعطاء خافضات الحرارة مثل الأسيتامينوفين والإيبوبروفن.
3- الغرغرة بالماء الدافئ والملح
4- إعطاء السوائل بكثرة.
5- الراحة.
ولابد من التنبية إلى ضرورة إكمال المعالجة لمدة 10أيام وعدم إيقاف الدواء بمجرد انخفاض الحرارة أو تحسن الأعراض الذي يحدث بعد 2- 3أيام من البدء بالمعالجة.
(أعراض التهاب اللوزتين المزمن) قد تصاب اللوزتان بالتهاب مزمن مسببة بعض الأعراض المزعجة مثل رائحة النفس الكريهة والألم عند البلع وحس الجفاف في الحلق وأحياناً ضخامة اللوزتين والتنفس من الفم.

الاستئصال

ان الاستطبابات الفعلية لاستئصال اللوزتين قليلة وكثيراً ما يتذمر الأهل من التهاب اللوزتين المتكرر وينسون ان اللوزتين خلقتا كي تلتهبا لكن قد نلجأ لاستئصال اللوزتين في الحالات التالية:

  1. الانسداد الفموي وصعوبة البلع المستمرة الناجمة عن ضخامة اللوزتين الشديدة.
  2. الخراج حول اللوزة المتكرر.
  3. التهاب العقد اللمفية الرقبية القيحي المتكرر.
  4. الشك بوجود ورم في اللوزتين خاصة عند ضخامة لوزة واحد فقط أو حدوث الضخامة بشكل سريع.

الاستطبابات غير الحقيقية

تدل الإحصائيات أن 30% من الأطفال الأمريكيين اجري لهم استئصال اللوزتين رغم ان الاستطبابات الحقيية لاتوجد إلا في 1-2% من الحالات. وأهم الأسباب غير الحقيقية لاستئصال اللوزتين هي:

  1. اللوزتان كبيرتا الحجم.
  2. تكرار التهاب الحلق أو الزكام حيث لاينقص استئصال اللوزتين من نسبة حدوث الأخماج التنفسية العلوية الفيروسية.
  3. التهاب البلعوم العقدي المتكرر.
  4. التهاب الأذن الوسطى المتكرر.
  5. التغيب المتكرر عن المدرسة.
  6. الضغط الشديد من الوالدين الذين يصران أحياناً على ضرورة استئصال اللوزتين.
  7. أسباب مختلفة مثل نقص الشهية أو الربو أو التهاب الأنف التحسسي أو رائحة النفس الكريهة.

مضاعفات الاستئصال

  1. جفاف الحلق لمدة 5أيام وسطياً.
  2. ألم الأذن والتهاب الحنجرة.
  3. رائحة النفس الكريهة.
  4. قد يحدث أحياناً نزف دموي شديد.

التهاب اللوزتين عند الاطفال

يحدث التهاب اللوزتين عندما تصبح اللوزتان متورمتين وملتهبتين. اللوزتان جزء من الجهاز اللمفاوي المسؤول عن ترشيح الجزيئات الغريبة في الجسم. يجب فحص اللوزتين من قبل الطبيب إذا استمر التهابهما لأكثر من أسبوعين ،أو إذا كان هناك ارتفاع في درجة الحرارة (أكثر من 38 درجة مئوية) أو ألم في الحلق أو الأذنين ،أو إذا كان هناك صعوبة في البلع.

  • التهاب اللوزتين هو التهاب يصيب اللوزتين ،وتقعان في مؤخرة الحلق.
  • هذا يمكن أن يؤدي إلى تورم و / أو تهيج ،مما قد يسبب التهاب الحلق أو السعال.
  • بدون علاج ،يمكن أن يستمر التهاب اللوزتين من يومين إلى عشرة أيام.
  • من المهم ألا تتأخر في طلب العلاج لطفلك كما لو تُرك دون علاج ،فقد يؤدي ذلك إلى مضاعفات مثل صعوبة البلع وتضخم اللوزتين التي تسد الممرات الهوائية.

كلمة أخيرة

اللوزتان إحدى وسائل الدفاع في الجسم تتعرضان للالتهاب بشكل متكرر عند الأطفال قد تتضخمان أحياناً نتيجة الالتهابات المتكررة مسببة صعوبة البلع وقد يسبب الالتهاب القيحي في اللوزتين بعض المضاعفات كالخراج حول اللوزة أو الحمى الروماتيزمية أو التهاب الكلية يجب الال تزام بدقة بالمعالجة الموصوفة من الطبيب وإكمال الشوط العلاجي كاملاً حتى لوحدث التحسن سريعاً. ينصح باستئصال اللوزتين : 1- تكرار التهاب اللوز 3-4 مرات سنويا لمدة سنتين متتاليتين أو أكثر من 6 مرات سنويا لمدة سنة واحده 2- تكون سوائل خلف طبلة الاذن والتهابات الاذن المتكررة 3- تضخم اللوز مسببا صعوبة تنفس أو اختناق 4- تضخم اللوز مسببا مشاكل في نمو الفك والاسنان 5- خروج روائح كريهة من الفم بسبب اللوز 6- ورم في اللوز وخاصة عند تضخم واحدة من اللوز أكثر من الأخرى

العلاج

يعطى الطفل المضاد الحيوي المناسب وفي حالة تكرار الالتهابات فينصح باسئصال اللوز : ينصح باستئصال اللوزتين : 1- تكرار التهاب اللوز 3-4 مرات سنويا لمدة سنتين متتاليتين أو أكثر من 6 مرات سنويا لمدة سنة واحده 2- تكون سوائل خلف طبلة الاذن والتهابات الاذن المتكررة 3- تضخم اللوز مسببا صعوبة تنفس أو اختناق 4- تضخم اللوز مسببا مشاكل في نمو الفك والاسنان 5- خروج روائح كريهة من الفم بسبب اللوز 6- ورم في اللوز وخاصة عند تضخم واحدة من اللوز أكثر من الأخرى.

انظر أيضا

المصادر التهاب اللوز عند الأطفال وصعوبة البلع

وصلات خارجية