داء الكلب

Rabies
A man suffering from rabies tied to a hospital bed.
A man with rabies, 1958
التخصصInfectious disease
الأعراضFever, extreme aversion to water, confusion, excessive salivary secretion, hallucinations, disrupted sleep, paralysis, coma,[1][2] hyperactivity, headache, nausea, vomiting, anxiety[3]
المسبباتRabies virus, Australian bat lyssavirus[4]
الوقايةRabies vaccine, animal control, rabies immunoglobulin[1]
العلاجSupportive care
الدواءIncurable[5]
Prognosis~ 100% fatal after onset of symptoms[1]
الوفيات59,000 per year worldwide[6]

الكـَلـِب أو السعار هو مرض فيروس التهاب حاد في الدماغ و يصيب الإنسان و معظم الحيوانات ذات الدم الحار و لكنه نادر الظهور في الحيوانات النباتية. عندما يصيب المرض البشر دون الحصول على اللقاح يكون قاتلا بمجرد بداية ظهور الاعراض إلا ان تعاطي اللقاح بعد العدوي مباشرة يمكن أن يمنع الأعراض من الظهور.

يتظاهر سريرياً بتغير في سلوك الحيوان واضطرابات عصبية وشلل من مختلف الأنواع ثم يتبعه نفوق ويتميز بالتهاب بلغمي في الدماغ والنخاع الشوكي، ويسببه فيروس ربدي Rhabdovirus، وله شكل الرصاصة. ينتشر المرض في الكثير من دول العالم وبالأخص دول آسيا ويتسبب بوفاة ما لا يقل عن 50000 شخص سنوياً ومعظمهم من الأطفال التي يقل عمرها عن 15 سنة وفقاً للتقرير الصادر عن الأمم المتحدة. الكلاب واللواحم البرية والخفافيش هي المستودع الرئيسي لهذا المرض في الطبيعة ومنها تنتقل العدوى إلى الحيوانات الأخرى.

علم الڤيروسيات

الفيروس له شكل الطلقة، وطوله حوالي 180 نانومتر، وقطر مقطعه حوالي 75 نانومتر.

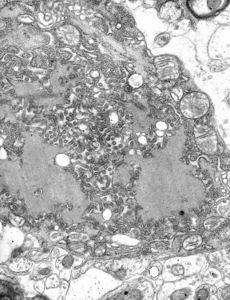
TEM micrograph with numerous rabies virions (small, dark grey, rodlike particles) and Negri bodies (the larger pathognomonic cellular inclusions of rabies infection).


فترة الحضانة

تتراوح فترة الحضانة بين 20-180 يوماً (وسطياً 30-60 يوماً).


العدوى والأعراض

طرق العدوى

تحدث الإصابة بهذا المرض نتيجة عقر كلب مصاب للإنسان، حيث يوجد الفيروس في لعاب الكلب وهو فيروس يسمى "فيروس داء الكلب"، وهذا الفيروس يقاوم التبريد لفترات طويلة ولكنه يموت بالغليان، التعرض لأشعة الشمس أو التجفيف، إلا انه لا يتأثر بالمطهرات الموضعيه.

الأعراض

لدى الإنسان

  • آلام شديدة بمكان الإصابة
  • حركات عضلية لا إرادية
  • صعوبة في البلع
  • تشنجات واضطرابات عصبية
  • ارتفاع درجة الحرارة
  • تقلصات حادة في عضلات الفك والبلعوم و الحنجرة.

لدى الأبقار


الوقاية

يجب البدء بالوقاية مباشرة بعد التعرض لعضة الحيوان المصاب أو المشتبه بإصابته بالكلب. وإن الهجوم غير المحرض يقترح أن الحيوان مصاب بالكلب أكثر من العضة التي تحدث أثناء محاولة إطعام الحيوان أو التعامل معه.

ينصح أيضاً البدء بالوقاية عند الأشخاص الذين تعرضوا لإنسان مصاب بالكلب (عن طريق العض أو عبر خدش أو جرح مفتوح).


العالم الفرنسي لويس باستور

مع توفر اللقاحات يلجا إلى تمنيع الكلاب ويعطى اللقاح بعمر أكثر من 12 اسبوع وبالعضل وبمعدل 1 – 2 مرة لتتشكل مناعة مدتها 1 – 3 سنة كما يجب اتخاذ إجراءات صحية مشددة وفرض حجر بيطري على الحيوانات المستوردة تجاه ذلك المرض الخطير والتخلص من الحيوانات المريضة بشكل صحي وسليم.

الإنتشار

يموت سنويا من 40000 الي 70000 شخص بسبب داء الكلب، معظم هذة الحالات في آسيا بينما يتم تلقيح 6 ملايين شخص حول العالم عند الإعتقاد بتعرضهم للفيرس. طرق الوقايه الابتعاد عن الكلاب الضاله في المناطق القريبه عدم النظر في عين الكلب عدم الركض بجانب الكلاب بغرض التحدي عدم القاء الحجاره علي الكلاب

التعامل مع الحيوان المشتبه

يجب إمساك الحيوان العاض الذي يشتبه بإصابته بالكلب (القطط أو الكلاب) وحجزه لمدة 10 أيام مع مراقبته من قبل طبيب بيطري. فإذا تطورت أعراض الكلب يقتل فوراً ويفحص دماغه.

أما بالنسبة للحيوانات الوحشية فإن التظاهرات السريرية للكلب لا يمكن الاعتماد عليها لذلك يجب قتل الحيوان فوراً وفحص دماغه، وفي حالة هروب الحيوان يتم استشارة الهيئات الصحية المختصة.

دليل الوقاية بعد التعرض للكلب



العناية بالأشخاص المعرضين للكلب

  • العناية الموضعية بالجرح:

تهدف الوقاية المباشرة بعد التعرض منع وصول الڤيروس إلى النسيج العصبي، ويجب غسل كل الجروح بشكل كامل وتنظيفها بالماء والصابون لمدة 10 دقائق وإعطاء الوقاية ضد الكزاز وعلاج الخمج الجرثومي وعدم خياطة الجرح قدر الإمكان.


  • الوقاية المناعية:

يجب بعد إكمال العناية بالجرح البدء بالوقاية المناعية الفاعلة والمنفعلة في أسرع وقت ممكن بعد التعرض (في الحالات المثالية خلال 24 ساعة)، ولا يبدو أن تأخير الوقاية المناعية لعدة أيام أو أكثر يؤثر على الفعالية. يجب البدء بالوقاية المناعية عندما تستطب بغض النظر عن الفترة الفاصلة بين التعرض والبدء بالمعالجة. يتوفر في الولايات المتحدة الأمريكية الغلوبولين المناعي المضاد للكلب (Rabies Immune Globulin (RIG الإنساني فقط من أجل المناعة المنفعلة وهو مفضل على مصل الحصان الذي كان يستخدم سابقاً.

العلاج

يقوم المصاب بتنظيف مكان الجرح جيداً بالماء والصابون وذلك يقلل من فرص الاصابة بالمرض.

يقوم المريض بعد ذلك بزيارة الطبيب لتحيد شدة الاصابة وما إذا كان المريض يحتاج لمصل المرض أم لا..

قرار الطبيب بأخذ المصل كخطوة وقائية بعد الاصابة يعتمد على :

  • نوع الاصابة
  • نوع الحيوان الذي أصاب
  • بعض الفحوصات المعملية
  • بعض المعلومات الرقابية عن جغرافيا المكان الذي حدثت فيه الاصابة


في الولايات المتحدة يعتمد الوقاية بعد التعرض للاصابة على اسلوب علاجي يتكون من جرعة واحدة من الجلوبيولين المناعي وأربع جرعات من مصل الكلب على مدار 14 يوماً .يجب اعطاء الجلوبيولين المناعي لمرض الكلب وكذلك الجرعة الأولى من المصل بسرعة قدر الامكان لدى الطبيب مباشرة بعد التعرض للاصابة . بينما يتم اعطاء باقي الجرعات على الأيام 3و7و14.

تكون التطعيمات هذه الأيام غير مؤلمة بدرجة ما ويتم اعطاؤها في ذراع المريض وليس بالبطن كما كان في السابق.

التمنيع الفاعل (بعد التعرض)

لقاحات الكلب في الولايات المتحدة

يتوفر في الولايات المتحدة ثلاثة لقاحات للكلب تستخدم للوقاية قبل وبعد التعرض هي لقاح الخلية البشرية الضعفانية HDCV) Human Diploid Cell Vaccine) ولقاح الكلب المدمص (Rabies Adsorbed Vaccine (RVA ولقاح خلية جنين الدجاج المنقي (Purified Chick (PCEC Embryo Cell Vaccine.

تعطى الجرعة الأولى بمقدار آمن عضلياً من أي من اللقاحات الثلاثة، ويتم الحقن في العضلة الدالية وتكرر الجرعة في الأيام 3-7-14-28 (5 جرعات). يجب استخدام نوع واحد من اللقاح لاستكمال كامل سلسلة التمنيع إلا إذا حدث ارتكاس أليرجيائي خطير.

إن الدراسات السريرية التي تقيم المناعة أو تواتر التأثيرات الجانبية عند إكمال سلسلة التمنيع بمنتج (لقاح) آخر لم يتم إجراؤها بعد. لا يعطي اللقاح في العضلة الإليوية حيث لوحظ أن الاستجابة الضدية عند البالغين الذين أعطوا اللقاح في العضلة الإليوية كانت أحياناً أقل مقارنة مع الحالة التي أعطي فيها اللقاح في العضلة الدالية. يمكن عند الرضع والأطفال الصغار إعطاء اللقاح في القسم الأمامي الوحشي من الفخذ. لا يتم إنقاص جرعة اللقاح عند الأطفال (يعطون نفس جرعة البالغين 1 مل).

لا ضرورة لإجراء الفحوص المصلية بعد إتمام سلسلة التمنيع للتأكد من الانقلاب المصلي لكن ينصح بهذا الإجراء أحياناً عند الأشخاص مثبطي المناعة. لا ينصح في الولايات المتحدة بإعطاء اللقاح داخل الأدمة للوقاية بعد التعرض. وإن كان ذلك يستخدم في بعض الأقطار لأسباب تتعلق بالتكلفة وتوفر اللقاح.


التمنيع المنفعل

يجب استخدام الغلوبولين المناعي البشري المضاد للكلب Human RIG بالتزامن مع أول جرعة من اللقاح كجزء من الوقاية بعد التعرض وذلك لردم الفجوة الزمنية بين إعطاء اللقاح وبدء الإنتاج الفاعل للأضداد. وإذا لم يكن اللقاح متوفراً فيعطى RIG لوحده لحين توفر اللقاح. أما إذا لم يكن RIG متوفراً فيجب إعطاء اللقاح ثم يعطى RIG عند توفره (خلال 7 أيام من بدء المعالجة). إذا تأخر إعطاء اللقاح RIG فيجب استخدامهما عند توفرهما بغض النظر عن الفترة الزمنية بين التعرض والمعالجة.

يعطى RIG بجرعة 20 وحدة/كغ ويعطى القسم الأكبر من الجرعة في منطقة الجرح (يتم رشحها في منطقة الجرح) ويعطى الباقي عضلياً باستخدام محقن منفصل. وفي حال وجود عدة جروح كبيرة بحيث لا تكفي كمية RIG للارتشاح ضمن كافة الجروح فإنه يتم تمديد RIG باستخدام محلول السالين للوصول إلى حجم کاف (2-3 أضعاف) ويتم رشحه في كل مناطق الجروح. قد يكون من الضروري عند الأطفال ذوي الكتلة العضلية الصغيرة إعطاء RIG بأماكن متعددة.

يتوفر RIG البشري على شكل فلاكونات 2 مل (300 وحدة دولية) أو 10 مل (1500 وحدة دولية). يمكن للأضداد المنفعلة أن تثبط الاستجابة للقاحات الكلب ولهذا السبب يجب عدم تجاوز الجرعة الموصى بها، كما يجب عدم إعطاء اللقاح أبداً في نفس الأماكن من الجسم التي أعطي فيها RIG أو استخدام نفس المحقن. نادراً ما تحدث ارتكاسات فرط الحساسية بسبب RIG.

يتوفر RIG الخيلي المنقى Purified Equine خارج الولايات المتحدة وهو يترافق بشكل عام بمعدل منخفض لحدوث داء المصل (أقل من 1 ٪) ويعطى بجرعة 40 وحدة دولية/كغ وازالة التحس مطلوبة.

لا يوصي بإعطاء RIG للاشخاص الذي تعرضوا للكلب في الحالات التالية:

1. الأشخاص الذين اعطوا سابقاً وقاية بعد التعرض باستخدام لقاح HDCV أو لقاح RVA أو لقاح PCEC.

2. الأشخاص الذين تلقوا قبل التعرض 3 جرعات عضلية من اي من اللقاحات السابقة المستخدمة في الولايات المتحدة.

3. الأشخاص الذين تلقوا قبل التعرض 3 جرعات من لقاح HDCV داخل الأدمة (المستحضر الخاص بالحقن داخل الأدمة).

4. الأشخاص الذين لديهم عيارات كافية موثقة من أضداد ڤيروس الكلب بعد تلقيح سابق بأي من لقاحات الكلب.

إن الأشخاص من المجموعات السابقة يجب إعطاؤهم جرعتين (1مل) من لقاح HDCV أو لقاح RVA أو لقاح PCEC حيث تعطى الجرعة الأولى يوم التعرض وتعطى الجرعة الثانية في اليوم الثالث من التعرض.

التلقيح ضد الكلب قبل التعرض

إن الارتكاسات قليلة الحدوث التالية للقاحات الكلب جعلت تطبيق اللقاح عملياً عند الأشخاص ذوي الخطورة العالية مثل الأطباء البيطريين والأشخاص المتعاملين مع الحيوانات وبعض العاملين في المخابر والأشخاص المسافرين أو القاطنين في مناطق يشيع فيها الكلب الكلبي وبعض الفئات الخاصة مثل هواة استكشاف الكهول وهواة الحياة البرية.


إن لقاحي RVA و PCEC مرخصان للإعطاء العضلي فقط أما لقاح HDCV فيتوفر منه مستحضران أحدهما للحقن العضلي (الجرعة 1 مل) والآخر للحقن داخل الأدمة (الجرعة 0.1 مل) وكلا المستحضرین مرخصان للتمنيع ضد الكلب قبل التعرض (المستحضر داخل الأدمة غير مرخص للتمنيع ضد الكلب بعد التعرض). إن المكان المفضل للحقن داخل الأدمة هو الجلد في المنطقة الدالية.

إن نظام التمنيع قبل التعرض مشابه بالنسبة لجميع لقاحات الكلب المرخصة في الولايات المتحدة حيث يعطى 1 مل عضلياً في الأيام 5، 7، 14، 28 (4 جرعات) أو 0.1 مل داخل الأدمة من لقاح HDCV (المستحضر الخاص بالحقن داخل الأدمة في الأيام 0، 7، 14 ،28. إن نظام الإعطاء بهذه الطريقة يؤدي إلى تطور الأضداد عند كل الأشخاص الملقحين ولهذا السبب لا تستطب الفحوص الروتينية المصلية لتحري أضداد ڤيروس الكلب بعد التمنيع.

تبقى الأضداد المصلية عادة مدة سنتين عند إكمال سلسلة التلقيح الأولية المعطاة عضلياً لكنها قد تستمر لفترة أقصر عند الملقحين بظروف أخرى خاصة إذا استخدمت مضادات الملاريا. إن إعطاء جرعة داعمة من لقاح HDCV (1 مل عضلياً أو 0.1 مل داخل الأدمة) أو لقاح RVA أو لقاح PCEC سوف يؤدي إلى استجابة إدكارية فعالة.

يحدث الارتكاس الشبيه بالمعقد المناعي عند 6٪ من الأشخاص الذين أعطوا جرعات داعمة من لقاح HDCV وذلك بعد 2-12 يوماً من إعطاء الجرعة الداعمة. يجب عيار أضداد ڤيروس الكلب المصلية كل 6 أشهر عند الأشخاص ذوي الخطورة العالية المستمرة (العاملين في مخابر أبحاث الكلب، والعاملين في مجال إنتاج لقاحات الكلب) وعيارها كل سنتين عن المتعرضين بشكل متكرر للكلب (العاملين في مخابر تشخيص الكلب والأطباء البيطريين والعاملين في مجال الحياة البرية). يجب إعطاء الجرعات الداعمة من اللقاح للحفاظ على تراكيز الأضداد المصلية. وتعتبر مراكز السيطرة على الأمراض أن التعديل الڤيروسي الكامل عند عیار 1 : 5 أو أكثر بواسطة اختبار تثبيط البؤرة المتألقة السريعة أمراً مقبولاً في حين تعتبر منظمة الصحة العالمية عيار الأضداد 0.5 وحدة دولية /مل أو أعلى دليلاً مقبولاً على المناعة.


لقاحات النسيج العصبي

إن لقاحات النسيج العصبي المعطلة غير مرخصة في الولايات المتحدة لكنها متوفرة في العديد من مناطق العالم. قد تحرض هذه اللقاحات ارتكاسات عصبية شللية عند 2000 / 1-1 / 8000 من الأشخاص الملقحين، وقد يكون ذلك بسبب التحسيس Sensitization للميالين. يجب إيقاف التلقيح بهذه اللقاحات إذا تطورت ارتكاسات سحائية أو عصبية شللية. ويمكن استخدام الستيروئيدات القشرية لعلاج الاختلاطات لكن يجب أن يكون هذا الاستخدام في الحالات المهددة للحياة فقط لأن الستيروئيدات تزيد بشكل مؤكد خطر الكلب عند الحيوانات الملقحة تجريبياً.


التاثيرات الجانبية للقاحات الكلب

إن التأثيرات الجانبية للقاحات الكلب غير شائعة عند الأطفال أما عند البالغين فقد تحدث ارتكاسات موضعية (تشمل الألم والحمامی والتورم والحكة مكان الحقن) بنسبة 15-25%، كما يمكن حدوث ارتكاسات جهازية خفيفة (الصداع ،الغثيان، الآلام العضلية، الألم البطني، الدوار) بنسبة 10-20٪ . وقد حدث في حالات نادرة حالة شبيهة بمتلازمة غيلان باریه شفيت خلال 12 اسبوعاً دون أن تترك أية عقابيل، كما ترافق لقاح HDCV بشكل عابر مع متلازمة عصبية حادة معممة (لكن العلاقة السببية مع اللقاح غير مؤكدة).

حدثت ارتكاسات شبيهة بالمعقد المناعي عند الأشخاص الذين أعطوا جرعات داعمة من لقاح HDCV ويعتقد أنها ناجمة عن التفاعل بين المادة المثبتة في اللقاح (البروبيولاکتون Propiolactone) والألبومين البشري. تحدث هذه الارتكاسات خلال 2-12 يوماً من إعطاء الجرعة الداعمة وتظاهر بالشرى المعمم وألم المفاصل والتهاب المفاصل والوذمة الوعائية والغثيان والإقياء والحمى والدعث وهي ليست مهددة للحياة وقد حدثت عند 6٪ من البالغين الذين أعطوا جرعات داعمة من لقاح HDCV كجزء من برنامج التمنيع قبل التعرض. لم تذكر ارتكاسات مشابهة باستخدام لقاح PCEC أو لقاح RVA. إذا حدث لدى المريض ارتكاس أليرجیائي للقاح HDCV فيمكن أن تستكمل سلسلة التلقيح بلقاح RVA أو لقاح PCEC وبنفس نظام الإعطاء.

لا توجد دراسات حول سلامة اللقاح أثناء الحمل، ومع ذلك يجب عدم اعتبار الحمل مضاد استطباب للتمنيع بعد التعرض.

التمنيع ضد الكلب قبل التعرض

الوقاية من الكلب بعد التعرض

المصادر والمراجع


  1. ^ أ ب ت خطأ استشهاد: وسم <ref> غير صحيح؛ لا نص تم توفيره للمراجع المسماة WHO2013
  2. ^ "Rabies - Symptoms and causes". Mayo Clinic (in الإنجليزية). Retrieved 9 April 2018.
  3. ^ "Rabies". mayoclinic.org. Mayo Clinic. Retrieved 2022-06-09.
  4. ^ خطأ استشهاد: وسم <ref> غير صحيح؛ لا نص تم توفيره للمراجع المسماة Au2014
  5. ^ "Rabies diagnosis and treatment=27 June 2023". Mayo clinic.
  6. ^ "Rabies". CDC (in الإنجليزية). 29 July 2020. Retrieved 31 January 2021.
  7. ^ د. عماد محمد زوكار، د. أحمد محمد نوح: الرجع الشامل في اللقاحات، دار علوم القدس، الطبعة الأولى 2005


Adenovirus.jpg هذه بذرة مقالة عن فيروس أو شيء متعلق به تحتاج للنمو والتحسين، فساهم في إثرائها بالمشاركة في تحريرها.