ڤيروس كورونا الجديد (2019-nCoV)

(تم التحويل من كوڤيد-19)
ڤيروس كورونا 2 لمتلازمة الجهاز التنفسي الحادة الوخيمة
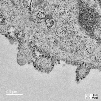
Electron micrograph of SARS-CoV-2 virions with visible coronae
مخطط إلكتروني لڤيرونات سارس-كوڤ-2 حيث تظهر التاجيات.
Illustration of a SARS-CoV-2 virion
مخطط لڤيرون سارس-كوڤ-2.
تصنيف الفيروسات e
نطاق غير مصنف: الڤيروسات
المملكة: ريبوڤيريا
تحت جنس: Sarbecovirus
Species:
Strain:
ڤيروس كورونا 2 لمتلازمة الجهاز التنفسي الحادة الوخيمة
Synonyms

2019-nCoV, HCoV-19[1]

ڤيروس كورونا الجديد، يشار إليه 2019-nCoV من قبل منظمة الصحة العالمية[2][3] ويُعرف يضاً باسم ڤيروس كورونا ووهان، ڤيروس الالتهاب الرئوي في سوق ووهان للمأكولات البحرية والتهاب رئوي ووهان،[4] هو ڤيروس كورونا ذو حمضٍ نووي ريبوزي مفرد الخيط، إيجابي الاتجاه أُبلغ عنه لأول مرة عام 2019. عُينَ تسلسله الجيني بعد إجراء اختبار الحمض النووي على عينة إيجابية لمرضى مُصابين بالالتهاب الرئوي أثناء تفشي الالتهاب الرئوي في ووهان 2019-2020.[5][6][7]

في 20 يناير 2020، تأكد انتقال الڤيروس من إنسان لآخر في مقاطعة گوانگ‌دونگ، الصين، تبعاً لژونگ‌ نان‌شان رئيس فريق اللجنة الصحية التي تحقق في التفشي.[8] في الوقت الحالي لا يوجد علاج محدد للڤيروس الجديد، لكن يمكن استخدام مضادات الڤيروسات الحالية.[9]

انتشر الڤيروس في بانكوك، طوكيو، كوريا الجنوبية، بكين، شنغهاي، مقاطعة گوانگ‌دونگ، تايوان وولاية واشنطن[10] بالولايات المتحدة. هناك 6 ضحايا و317 حالة معروفة.[11]

في 24 يناير 2020، نشرت الصين معلومات عن السلالة الجديدة لڤيروس كورونا ووخان، التي أصابت حتى الآن ألف شخص وقتل 41، على الأقل. النشر تم من المركز الصيني للسيطرة على الأمراض والوقاية منها، المُنشأ على غرار مراكز السيطرة على الأمراض والوقاية منها (CDC)، بالتعاون مع أكاديمية العلوم الصينية.[12] الرئيس شي جن‌پنگ يحذر من تسارع انتشار المرض.[13]


علم الأوبئة

تم التحقق من أول تشي في ووخان، الصين، في حوالي منتصف ديسمبر 2019. لاحقاً انتشر الڤيروس إلى مقاطعات أخرى في البر الرئيسي لصين وبلدان أخرى؛ هونگ كونگ، تايلاند (بانكوك)، اليابان (طوكيو)، تايوان (تاويوان)، كوريا الجنوبية (سيول)، أستراليا، وفرنسا.[14][15][16]

اعتباراً من 25 يناير 2020، كان هناك 1.320 حالة مؤكدة، 1.297 منها في الصين.[17] كان بقية الأشخاص إما قد سافروا إلى ووخان، أو كانوا على اتصال مباشر بشخص ما سافر من المنطقة.[17] وحتى 25 يناير 2020 بلغ عدد الوفيات 56 شخصاً.[18]

جائحة كوڤيد-19 حسب الموقع
الموقع[أ] الحالات [ب] الوفيات[ت] المتعافون[ث] ملاحظات
العالم[ج] [20]
الولايات المتحدة[ح] 6٬968٬226 203٬446 3٬759٬857 [27]
الهند [28]
البرازيل[خ] 4,591,604 138,108 3,945,627 [31][32]
روسيا[د] 1,122,241 19,799 923,699 [33]
كلومبيا 777,537 24,570 650,801 [34]
پيرو[ذ] 776,546 31,586 629,094 [36][37]
المكسيك 705,263 74,348 506,732 [38]
إسپانيا[ر] 693,556 31,034 No data [39]
جنوب أفريقيا 663,282 16,118 592,904 [40][41]
الأرجنتين[ز] 652,161 13,952 517,215 [43][44]
فرنسا[س] 468,069 31,416 93,538 [45][46]
تشيلي[ش] 449,903 12,345 425,165 [50]
إيران 432,798 24,840 365,846 [51][52]
المملكة المتحدة[ص] 409,729 41,862 No data [54]
بنگلادش 353,844 5,044 262,953 [55][56]
العراق 332,635 8,754 264,988 [57]
السعودية 331,359 4,569 313,786 [58]
تركيا 308,069 7,711 270,723 [59]
پاكستان 307,418 6,432 293,916 [60]
إيطاليا 302,537 35,758 220,665 [61]
الفلپين 294,591 5,091 231,373 [62][63]
ألمانيا[ض] 275,551 9,481 242,206 [65][64]
إندونيسيا
إسرائيل[ط] 190,929 1,273 136,780 [66]
أوكرانيا[ظ] 184,734 3,705 81,670 [67][68]
كندا[ع] 147,515 9,242 127,403 [71]
بوليڤيا 131,453 7,693 90,853 [72]
الإكوادور 126,711 11,095 102,852 [73][74]
قطر 124,175 212 121,006 [75]
رومانيا 116,415 4,550 93,558 [76][77]
جمهورية الدومنيكان 109,737 2,074 83,434 [78]
قزخستان 107,374 1,671 102,064 [79][80]
پنما 107,284 2,285 83,318 [81]
المغرب[غ] 107,743 1,918 88,244 [82]
بلجيكا[ف] 102,295 9,948 19,436 [84][85]
مصر[ق] 102,254 5,806 91,143 [86]
الكويت 101,299 590 92,341 [87]
هولندا[ك] 95,995 6,281 No data [89][90]
عُمان 95,339 875 86,482 [91]
السويد 88,237 5,865 No data [92]
الإمارات 87,530 406 76,995 [93]
گواتيمالا 87,442 3,154 76,459 [94]
الصين[ل] 85,307 4,634 80,505 [95]
پولندا 81,673 2,344 65,561 [96][97]
اليابان[م] 79,768 1,512 71,981 [98]
بلاروس 76,357 796 73,564 [99]
هندوراس 72,306 2,206 23,230 [100][101]
الپرتغال 70,465 1,928 46,290 [102][103]
إثيوپيا 70,422 1,127 28,991 [104]
ڤنزويلا 67,443 555 56,726 [105]
كوستاريكا 66,689 760 25,706 [106]
البحرين 66,402 227 59,367 [107]
نيپال 67,804 436 49,954 [108]
سنغافورة 57,606 27 57,241 [109][110]
نيجريا 57,437 1,100 48,674 [111]
أوزبكستان 53,275 444 49,649 [112]
التشيك 51,637 530 26,020 [113]
سويسرا[ن] 50,842 2,060 42,300 [114][115]
الجزائر 50,400 1,698 35,428 [116][117]
مولدوڤا[هـ] 48,232 1,244 36,071 [118]
أرمنيا 47,877 942 43,026 [119]
غانا 46,062 297 45,258 [120]
قيرغيزستان 45,471 1,063 41,682 [121]
النمسا 39,984 777 30,949 [122]
أذربيجان[و] 39,378 578 36,949 [123]
أفغانستان 39,074 1,444 32,576 [124]
كينيا 37,079 650 23,949 [125]
Palestine 36,151 265 24,428 [126]
Paraguay 34,828 705 19,257 [127]
Ireland 33,675 1,794 24,000 [128]
Serbia[ي] 33,080 744 No data [129]
Lebanon 31,792 328 13,527 [130]
Libya 30,097 469 16,430 [131][132]
El Salvador 27,798 812 21,782 [133]
Australia[a] 26,973 859 24,298 [134]
Bosnia and Herzegovina 26,081 790 18,634 [135]
Denmark[b] 23,323 640 17,738 [136][137]
South Korea 23,216 388 20,650 [138][139]
Cameroon 20,431 416 19,124 [140][141]
Puerto Rico 20,311 609 1,359 [142][143]
Ivory Coast 19,327 120 18,630 [144]
Bulgaria 19,014 765 13,727 [145][146]
Hungary 20,450 702 4,644 [147]
North Macedonia 16,864 705 14,084 [148][149]
Greece 16,286 357 8,648 [150]
Madagascar 16,073 225 14,682 [151]
Croatia 15,340 257 13,815 [152]
Kosovo 15,063 613 12,570 [153][154]
Senegal 14,738 302 11,456 [155]
Zambia 14,175 331 13,629 [156][157]
Sudan 13,555 836 6,760 [158][159]
Norway[c] 13,005 267 9,348 [162]
Albania 12,787 370 7,139 [163][164]
Tunisia 10,732 159 2,386 [165]
Namibia 10,607 116 8,359 [166]
DR Congo[d] 10,519 271 9,952 [167]
Malaysia 10,505 130 9,602 [168]
Guinea 10,344 65 9,757 [169][170]
Maldives 9,770 34 8,390 [171]
Tajikistan 9,388 73 7,152 [172]
Finland[e] 9,046 341 7,700 [175]
Montenegro 8,842 138 5,425 [176]
Gabon 8,704 54 7,875 [177]
Haiti 8,624 221 6,482 [178]
Luxembourg 7,916 124 6,839 [179]
Zimbabwe 7,683 225 5,924 [180]
Mauritania 7,384 161 6,977 [181]
Myanmar 7,292 130 2,085 [182]
Mozambique 6,912 44 3,738 [183]
Slovakia 6,756 39 3,571 [184]
Uganda 6,468 63 2,731 [185][186]
Jordan 6,042 35 3,812 [187]
Malawi 5,733 179 4,042 [188]
Djibouti 5,404 61 5,336 [189]
Eswatini 5,282 104 4,647 [190]
Cape Verde 5,181 52 4,674 [191]
Jamaica 5,143 70 1,407 [192][193]
Cuba[f] 5,141 116 4,462 [194]
Hong Kong 5,039 103 4,708 [195]
Equatorial Guinea 5,002 83 4,509 [196]
Congo[g] 4,972 78 3,742 [197][198]
Nicaragua 4,961 147 2,913 [96][199]
Central African Republic 4,786 62 1,830 [200]
Suriname 4,759 100 4,541 [201]
Rwanda 4,722 27 2,973 [202][203]
Slovenia 4,470 142 No data [204][205]
Angola 4,117 154 1,449 [206]
Trinidad and Tobago 3,945 65 1,802 [207][208]
Lithuania 3,932 87 2,246 [209][210]
Syria[h] 3,833 175 963 [211]
Aruba 3,721 25 2,501 [212]
Georgia[i] 3,695 20 1,534 [213]
The Gambia 3,540 110 2,002 [214]
Thailand 3,514 59 3,345 [215][216]
Somalia[j] 3,465 98 2,877 [217]
Bahamas[k] 3,418 75 1,771 [218][219]
Sri Lanka 3,299 13 3,100 [220]
Estonia 3,033 64 2,388 [221][222]
Mali 3,013 128 2,2372 [223]
Donetsk PR[l] 3,017 174 1,624 [224]
Malta 2,776 23 2,079 [225]
South Sudan 2,592 49 1,290 [226][227]
Guyana 2,437 67 1,361 [228]
Benin 2,280 40 1,950 [229]
Guinea-Bissau 2,275 39 1,127 [230][231]
Iceland 2,307 10 2,116 [232]
Sierra Leone 2,183 72 1,665 [233][234]
Yemen 2,026 585 1,221 [235]
Guam[m] 2,013 29 1,406 [27][236]
Uruguay[n] 1,934 46 1,645 [237]
Andorra 1,681 53 1,199 [238]
Togo 1,640 41 1,251 [239]
Latvia 1,572 36 1,248 [96][240]
Belize 1,536 19 696 [241]
Cyprus[o] 1,526 22 1,237 [242]
New Zealand 1,464 25 1,377 [243]
Burkina Faso 1,452 55 1,103 [244][245]
Botswana[p] 1,153 11 575 [246][247]
Liberia 1,327 82 1,214 [248]
Lesotho 1,245 33 661 [249]
U.S. Virgin Islands 1,232 19 1,170 [250]
French Polynesia 1,209 2 966 [251]
Niger 1,180 69 1,104 [252]
USS Theodore Roosevelt[m] 1,102 1 751 [253][254]
Chad 1,087 81 944 [255]
Charles de Gaulle[q] 1,081 0 0 [256]
Vietnam 1,068 35 941 [260]
São Tomé and Príncipe 908 15 873 [261]
Somaliland[r] 903 31 751 [262][263]
Luhansk PR[l] 741 17 635 [264]
San Marino 723 42 663 [265]
Diamond Princess[م] 712 14 653 [266][267]
Northern Cyprus[s] 694 4 399 [268]
Abkhazia[t] 674 7 186 [269][270]
Turks and Caicos Islands 672 5 582 [271]
Sint Maarten 594 20 512 [272]
Papua New Guinea 516 6 232 [273]
Taiwan[u] 507 7 479 [275]
Comoros 467 7 450 [276][277]
Burundi 466 1 374 [278]
Faroe Islands 430 0 412 [279][280]
Jersey 393 32 358 [281]
Eritrea 364 0 305 [282]
Mauritius 356 10 335 [283]
Gibraltar 350 0 322 [284]
Artsakh[v] 340 2 300 [269][285]
Isle of Man[w] 339 24 312 [286]
Mongolia 311 0 301 [287]
Curaçao 301 1 104 [288]
Cambodia 275 0 274 [289]
Bhutan 261 0 195 [290]
Guernsey 254 13 239 [291]
Cayman Islands 208 1 204 [292]
Barbados 189 7 173 [293]
Bermuda 178 9 164 [294]
Monaco 171 1 128 [295]
Costa Atlantica 148 0 148 [296][297]
Brunei 145 3 141 [298][299]
Seychelles 136 0 127 [300]
Greg Mortimer[n] 128 1 No data [301][302]
Liechtenstein 112 1 108 [303]
Antigua and Barbuda 95 3 91 [304][305]
South Ossetia[x] 90 0 90 [269]
British Virgin Islands 66 1 37 [306]
Saint Vincent[y] 64 0 64 [307][308]
Northern Mariana Islands 61 2 19 [309]
Macau 46 0 46 [310]
Fiji 32 2 28 [311][312]
East Timor 27 0 25 [313]
Saint Lucia 27 0 26 [314][315]
New Caledonia 26 0 23 [316]
Dominica 25 0 21 [317][318]
Sahrawi Arab DR[z] 25 2 23 [319]
Grenada 24 0 24 [320][321]
Laos 23 0 22 [322]
Saint Kitts and Nevis 17 0 17 [323]
Bonaire 16 1 8 [324]
Greenland 14 0 14 [325][326]
Falkland Islands 13 0 13 [327]
Montserrat 13 1 12 [328]
MS Zaandam[aa] 13 4 No data [331][332]
Coral Princess[ab] 12 3 No data [334]
Vatican City 12 0 12 [335]
Sint Eustatius 11 0 4 [336]
Saint Pierre and Miquelon 11 0 5 [337][338]
HNLMS Dolfijn[ac] 8 0 8 [339][342]
Saba 5 0 5 [343]
Anguilla 3 0 3 [344]
Tanzania[ad] No data No data No data [346][347]
As of 31 يناير 2022 (UTC) · History of cases · History of deaths
Notes
  1. ^ Location: Countries, territories, and international conveyances where cases were diagnosed. The nationality of the infected and the origin of infection may vary. For some countries, cases are split into respective territories and noted accordingly.
  2. ^ Cases: This number shows the cumulative number of confirmed human cases reported to date. The actual number of infections and cases is likely to be higher than reported.[19] Reporting criteria and testing capacity vary between locations.
  3. ^ Deaths: Reporting criteria vary between locations.
  4. ^ Recoveries: May not correspond to actual current figures and not all recoveries may be reported. Reporting criteria vary between locations and some countries do not report recoveries.
  5. ^ The worldwide totals for cases, deaths and recoveries are taken from the John Hopkins University Coronavirus Resource Center. They are not sums of the figures for the listed countries and territories.
  6. ^ United States
    1. Figures include cases identified on the Grand Princess.
    2. Figures do not include the unincorporated territories of Puerto Rico, Guam, Northern Marian Islands, and U.S Virgin Islands, all of which are listed separately.
    3. Not all states or overseas territories report recovery data.
    4. Cases include clinically diagnosed cases as per CDC guidelines.[21]
    5. Recoveries and deaths include probable deaths and people released from quarantine as per CDC guidelines.[22][23][24]
    6. Figures from the United States Department of Defense are only released on a branch-by branch basis since April 2020, without distinction between domestic and foreign deployment, and cases may be reported to local health authorities.[25]
    7. Cases for the USS Theodore Roosevelt, currently docked at Guam, are reported separate from national figures but included in the Navy's totals.
    8. There is also one case reported from Guantanamo Bay Naval Base not included in any other nation or territory's counts.[26] Since April 2020, the United States Department of Defense has directed all bases, including Guantanamo Bay, to not publish case statistics.[25]
  7. ^ Brazil
    1. Since 6 June, the Brazilian government has ordered the Ministry of Health to stop reporting the total number of deaths and active cases.[29] After this, the National Council of Health Secretaries assumed the function of reporting the total number of deaths and active cases.[30]
  8. ^ Russia
    1. Including cases from the disputed Crimea and Sevastopol.
    2. Excluding the cases from Diamond Princess cruise ship which are classified as "on an international conveyance".
  9. ^ Peru
    1. On 20 September 2020, the Ministry of Health did not report the number of deaths because "the servers where the information is hosted are under maintenance". The number of deaths is as of 19 September.[35]
  10. ^ Spain
    1. The figure for cases excludes serology–confirmed cases.
    2. As of 19 May 2020, the Spanish government does not publish the number of recoveries. The last update on 18 May reported 150,376 recovered patients.
  11. ^ Argentina
    1. Excluding confirmed cases on the claimed territory of the Falkland Islands. Since 11 April, the Argentine Ministry of Health includes them in their official reports.[42]
  12. ^ France
    1. Including overseas regions of French Guiana, Guadeloupe, Martinique, Mayotte and Réunion, and collectivities of Saint Barthélemy and Saint Martin.
    2. Excluding collectivities of New Caledonia, French Polynesia and Saint Pierre and Miquelon.
    3. Recoveries only include hospitalized cases.[45]
    4. Figures for total confirmed cases and total deaths include data from both hospital and nursing home (ESMS: établissements sociaux et médico-sociaux).[45]
  13. ^ Chile
    1. Including the special territory of Easter Island.
    2. The Chilean Ministry of Health considered all cases as "recovered" after 14 days since the initial symptoms of the virus, no matter the health situation of the infected or if following tests indicate the continuing presence of the virus. The only exception were casualties, which are not included as recovered.[47]
    3. Deaths only include cases with positive PCR tests and catalogued as "COVID-19 related death" by the Civil Registry and Identification Service. This number is informed on the daily reports of the Ministry of Health. A report with the total number of deaths, including suspected cases without PCR test, is released weekly since 20 June 2020.[48] In the latest report (11 September 2020), the number of total deaths is 16,165.[49]
  14. ^ United Kingdom
    1. Excluding all British Overseas Territories and Crown dependencies.
    2. As of 23 March 2020, the UK government does not publish the number of recoveries. The last update on 22 March reported 135 recovered patients.[53]
  15. ^ Germany
    1. Not all state authorities count recoveries.[64]
    2. Recoveries include estimations by the Robert Koch Institute.[64][65]
  16. ^ Israel
    1. Including cases from the disputed Golan Heights.
    2. Excluding cases from the Occupied Palestinian Territories.
  17. ^ Ukraine
    1. Excluding cases from the disputed Crimea and Sevastopol. Cases in these territories are included in the Russian total.
    2. Excluding cases from the unrecognized Donetsk and Lugansk People's Republics.
  18. ^ Canada
    1. On 17 July 2020, Quebec, Canada, revised its criteria on recoveries. The Institut national de santé publique claims that "the previous method resulted in 'significant underestimations' of recovered cases."[69] This change resulted in a drop of active cases nationwide, from a total of 27,603 on 16 July to 4,058 on 17 July.[70]
  19. ^ Morocco
    1. Including cases in the disputed Western Sahara territory controlled by Morocco.
    2. Excluding the de facto state of the Sahrawi Arab Democratic Republic.
  20. ^ Belgium
    1. The number of deaths also includes untested cases and cases in retirement homes that presumably died because of COVID-19, whilst most countries only include deaths of tested cases in hospitals.[83]
  21. ^ Egypt
    1. Includes cases identified on the MS River Anuket.
  22. ^ Netherlands
    1. The Kingdom of the Netherlands consists of a) the Netherlands* [the country as opposed to the kingdom; listed here], which in turn includes the Caribbean Netherlands, that are made up of the special municipalities Bonaire*, Saba* and Sint Eustatius*; b) Aruba*; c) Curaçao*; and d) Sint Maarten*. All regions marked with an asterisk are listed separately.
    2. The Dutch Government agency RIVM, responsible for the constituent country the Netherlands, does not count its number of recoveries.[88]
  23. ^ China
    1. Excluding 385 asymptomatic cases under medical observation اعتبارا من 22 سبتمبر 2020 (2020-09-22).
    2. Asymptomatic cases were not reported before 31 March 2020.
    3. Excluding Special Administrative Regions of Hong Kong and Macau.
    4. Does not include Taiwan.
  24. ^ أ ب Diamond Princess and Japan
    1. The British cruise ship Diamond Princess was in Japanese waters, and the Japanese administration was asked to manage its quarantine, with the passengers having not entered Japan. Therefore, this case is included in neither the Japanese nor British official counts. The World Health Organization classifies the cases as being located "on an international conveyance".
  25. ^ Switzerland
    1. Recoveries are estimates by the Tribune de Genève.
  26. ^ Moldova
    1. Including the disputed territory of Transnistria.
  27. ^ Azerbaijan
    1. Excluding the self-declared state of Artsakh.
  28. ^ Serbia
    1. Excluding cases from the disputed territory of Kosovo.
  29. ^ Australia
    1. Excluding the cases from Diamond Princess cruise ship which are classified as "on an international conveyance". Ten cases, including one fatality recorded by the Australian government.
  30. ^ Denmark
    1. The autonomous territories of the Faroe Islands and Greenland are listed separately.
  31. ^ Norway
    1. Estimation of the number of infected:
      • As of 23 March 2020, according to figures from just over 40 per cent of all GPs in Norway, 20,200 patients have been registered with the "corona code" R991. The figure includes both cases where the patient has been diagnosed with coronavirus infection through testing, and where the GP has used the "corona code" after assessing the patient's symptoms against the criteria by the Norwegian Institute of Public Health.[160]
      • As of 24 March 2020, the Norwegian Institute of Public Health estimates that between 7,120 and 23,140 Norwegians are infected with the coronavirus.[161]
  32. ^ DR Congo
  33. ^ Finland
    1. Including the autonomous region of the Åland Islands.
    2. The number of recoveries is an estimate based on reported cases which were reported at least two weeks ago and there is no other monitoring data on the course of the disease.[173] The exact number of recoveries is not known, as only a small proportion of patients have been hospitalized.[174]
  34. ^ Cuba
    1. Includes cases on the MS Braemar.
    2. Excluding cases from Guantanamo Bay, which is governed by the United States.
  35. ^ Congo
    1. Also known as the Republic of the Congo and not to be confused with the DR Congo.
  36. ^ Syria
    1. Excluding cases from the disputed Golan Heights.
  37. ^ Georgia
    1. Excluding the de facto states of Abkhazia and South Ossetia.
  38. ^ Somalia
    1. Excluding the de facto state of Somaliland.
  39. ^ Some of these deaths may still be under investigation as stated in the Ministry's press release.
  40. ^ أ ب Donetsk and Luhansk People's Republic
    1. Note that these territories are distinct from the Ukraine-administered regions of the Donetsk and Luhansk Oblasts.
  41. ^ أ ب Guam and USS Theodore Roosevelt
    1. Cases for the USS Theodore Roosevelt, currently docked at Guam, are reported separately.
  42. ^ أ ب Greg Mortimer and Uruguay
    1. Although currently anchored off the coast of Uruguay, cases for the Greg Mortimer are currently reported separately. Six have been transferred inland for hospitalization.
  43. ^ Cyprus
  44. ^ Botswana
    1. 1,350 people who tested positive have been voluntarily repatriated to their respective countries and are not part of the confirmed case count as a result the Government of Botswana does not include the transferred-out cases.[246]
  45. ^ Charles de Gaulle
    1. Including cases on the escort frigate Chevalier Paul.
    2. Florence Parly, Minister of the Armed Forces, reported to the National Assembly's National Defense and Armed Forces Committee (fr) that 2010 sailors of the carrier battle group led by Charles de Gaulle had been tested, with 1081 tests returning positive so far.[256] Many of these cases were aboard Charles de Gaulle, some of the cases were reportedly aboard French frigate Chevalier Paul, and it is unclear if any other ships in the battle group had cases on board.[257][258][259]
  46. ^ Somaliland
    1. Cases from this de facto state are not counted by Somalia.
  47. ^ Northern Cyprus
    1. Cases from this de facto state are not counted by Cyprus.
  48. ^ Abkhazia
    1. Cases from this de facto state are not counted by Georgia.
  49. ^ Taiwan
    1. Including cases from the ROCS Pan Shi.[274]
  50. ^ Artsakh
    1. Cases from this de facto state are not counted by Azerbaijan.
  51. ^ Isle of Man
    1. Recoveries are presumed. Defined as "An individual testing positive for coronavirus who completes the 14 day self-isolation period from the onset of symptoms who is at home on day 15, or an individual who is discharged from hospital following more severe symptoms."[286]
  52. ^ South Ossetia
    1. Cases from this de facto state are not counted by Georgia.
  53. ^ Saint Vincent
    1. The sovereign state of Saint Vincent and the Grenadines.
  54. ^ Sahrawi Arab Democratic Republic
    1. Cases from this de facto state are not counted by Morocco.
  55. ^ MS Zaandam
    1. Including cases from MS Rotterdam.
    2. The MS Rotterdam rendezvoused with the Zaandam on 26 March off the coast of Panama City to provide support and evacuate healthy passengers. Both have since docked in Florida.[329][330]
    3. MS Zaandam and Rotterdam's numbers are currently not counted in any national figures.
  56. ^ Coral Princess
    1. The cruise ship Coral Princess has tested positive cases since early April 2020 and has since docked in Miami.[333]
    2. Coral Princess's numbers are currently not counted in any national figures.
  57. ^ HNLMS Dolfijn
    1. All 8 cases currently associated with Dolfijn were reported while the submarine was at sea in the waters between Scotland and the Netherlands.[339]
    2. It is unclear whether the National Institute for Public Health and the Environment (RIVM) is including these cases in their total count, but neither their daily update details nor their daily epidemiological situation reports appear to have mentioned the ship, with a breakdown of cases listing the twelve provinces of the country of the Netherlands (as opposed to the kingdom) accounting for all the cases in the total count.[340][341]
  58. ^ Tanzania
    1. Figures for Tanzania are "No data" as the country stopped publishing figures on coronavirus cases on 29 April.[345] Figures as of that date were 509 cases, 21 deaths, and 183 recoveries.[346][347]


الأعراض والعلامات

تتضمن الأعراض عنها الحمى، الإرهاق، السعال الجاف، صعوبة التنفس، ضيق التنفس،[348] الالتهاب الرئوي، الفشل الكلوي، والوفاة في الحالات الخطرة.[349][350] في معظم الحالات التي أُدخلت المستشفى، كانت العلامات الحيوية مستقرة عند دخولهم، وكانوا مصابين انخفاض في عدد كرات الدم الحمراء وقلة اللمفاويات.[348] إلا أن ربع الحالات المصابة كانت تعاني من أعراض حادة. معظم هؤلاء المرضى أيضاً حالات كامنة مثل ارتفاع ضغط الدم أو السكري أو أمراض القلب والأوعية الدموية.[351]

اعتباراً من 31 يناير، كان هناك 9.767 حالة عدوى مؤكدة، 9.658 منهم داخل البر الرئيسي للصين.[352] حتى الآن، فالحالات المصابة خارج الصين، إما لأشخاص قادمين من ووخان، أو لأشخاص كانوا على اتصال مباشر بشخص قادم من المنطقة.[17] حتى 31 يناير 2020 بلغ عدد الوفيات 213 شخص.[352][353] في 20 يناير 2020، تأكد إمكانية انتقال الڤيروس من شخص لآخر في مقاطعة گوانگ‌دونگ الصينية[354] وتأكد ذلك لاحقاً في ألمانيا، تايوان، اليابان، الولايات المتحدة والمملكة المتحدة.[355][356]

في 30 يناير 2002، أُعلن ڤيروس كورونا الجديد حالة طوارئ عالمية حسب منظمة الصحة العالمية.[357][358][359] صاغت منظمة الصحة العالمية المصطلح المؤقت "المرض التنفسي الحاد 2019-nCoV" لوصف المرض الذي يسببه الڤيروس.[360]

كشفت الدكتورة هالة زايد، وزيرة الصحة والسكان، في اجتماع مجلس الوزراء المصري، في 30 مارس 2021، عن أعراض فيروس كورونا الجديدة، تزامنا مع قرب دخول مصر الموجة الثالثة للفيروس، مشيرة إلى أن سيناريو الفيروس المتوقع، خلال الفترة المقبلة، يشير إلى ارتفاع عدد إصابات الفيروس، في الأسبوع الثاني من شهر رمضان الكريم، محذرة المواطنين من التهاون في اتباع الإجراءات الاحترازية.

وجاءت اعراض فيروس كورونا الكاملة، وفقا لتصريحات وزيرة الصحة والسكان علي النحو التالي: ارتفاع درجة الحرارة، الغثيان، الحمى، الصداع، آلام في البطن، فقدان حاستي الشم والتذوق، التهاب شديد بغشاء العين، انتشار طفح جلدي، تأثر حاسة السمع، حدوث ألم وخفقان، تعب وألم شديد بالجسد.[361]

التشخيص

مجموعة اختبار مراكز السيطرة على الأمراض والوقاية منها تفاعل البلمرة التسلسلي للنسخ العكسي لـ COVID-19[362]

نشرت منظمة الصحة العالمية عدة بروتوكولات اختبار للمرض.[363] الطريقة القياسية للاختبار هي تفاعل سلسلة بوليميراز النسخ العكسي في الوقت الحقيقي (rRT-PCR).[364] يمكن إجراء الاختبار على عينات الجهاز التنفسي التي تم الحصول عليها بطرق مختلفة ، بما في ذلك مسحة البلعوم الأنفي أو عينة البلغم .[365] النتائج متاحة بشكل عام في غضون بضع ساعات إلى يومين.[366][367] يمكن استخدام اختبارات الدم ، ولكن هذه تتطلب عينتين من الدم تم فصلهما أسبوعين والنتائج ذات قيمة فورية قليلة.[368] تمكن العلماء الصينيون من عزل سلالة من ڤيروس كورونا ونشر تسلسل الحمض النووي حتى تتمكن المختبرات في جميع أنحاء العالم من تطوير اختبارات تفاعل الپوليمريز المتسلسل (PCR) بشكل مستقل للكشف عن الإصابة بالڤيروس.[348][369][370]

حتى 26 فبراير 2020 ، لم تكن هناك اختبارات للأجسام المضادة أو اختبارات نقطة الرعاية على الرغم من استمرار الجهود المبذولة لتطويرها..[371]

اقترحت الإرشادات التشخيصية الصادرة عن مستشفى تشونغنان بجامعة ووخان طرقًا للكشف عن العدوى بناءً على السمات السريرية والمخاطر الوبائية. تضمن هذا تحديد الأشخاص الذين لديهم على الأقل اثنين من الأعراض التالية بالإضافة إلى تاريخ من السفر إلى ووخان أو الاتصال بأشخاص آخرين مصابين: الحمى أوعلامات التصوير المقطعي للاتهاب الرئوي أو عدد خلايا الدم البيضاء الطبيعي أو المنخفض أو انخفاض عدد الخلايا الليمفاوية.[372] أظهرت دراسة نشرها فريق في مستشفى تونغجي في ووخان في 26 فبراير 2020 أن التصوير الطبقي المحوسب للصدر لـ COVID-19 لديه حساسية ونوعية أكثر (98٪) من تفاعل الپوليمريز المتسلسل (71٪).[373] قد تحدث نتائج سلبية كاذبة بسبب فشل مجموعة تفاعل الپوليمريز المتسلسل ، أو بسبب مشاكل في العينة أو مشاكل في إجراء الاختبار. من المرجح أن تكون النتائج الإيجابية الكاذبة نادرة..[374]


تقنيات جديدة

أنبوبة بها عينة دم للكشف عن الإصابة بڤيروس كورونا الجديد.

في 18 مارس 2020، طور علماء من جامعة ستانفورد اختباراً للكشف عن الإصابة ڤيروس كورونا في نصف ساعة، أسرع ثلاث مرات من طرق الاختبار الحالية.[375]

طور فريق علماء اختباراً لڤيروس كورونا الجديد يسمح بالتأكد من إصابة الشخص أو خلوه من الفيروس القاتل بسرعة أكبر. وقام فريق من قسم العلوم الهندسية بجامعة أكسفورد ومركز أكسفورد سوتشو للبحوث المتقدمة بتطوير الاختبار الذي يستند إلى تقنية قادرة على إعطاء نتائج في نصف ساعة. وتستغرق اختبارات الڤيروس الحالية باستخدام عينة من الأنسجة أو الدم أو السوائل الأخرى من نصف ساعة إلى ساعتين لإعطاء نتيجة. ويقول العلماء أصحاب الاختبار الجديد إنه أسرع بكثير من تلك التي تستخدم على نطاق واسع ولا يتطلب أداة معقدة.[376]

ويعمل الفريق بقيادة البروفيسور زان‌فنگ توي والبروفيسور وي هوانگ على تحسين قدرات الاختبار مع تفشي الڤيروس دولياً. وقال البروفيسور هوانگ: "يكمن جمال هذا الاختبار الجديد في تصميم الكشف الڤيروسي الذي يمكنه التعرف على وجه التحديد على شظايا الحمض النووي الريبي". الاختبار يحتوي على عمليات فحص مدمجة لمنع القراءات الخاطئة وكانت النتائج دقيقة للغاية.

ويقول العلماء إن هذه التكنولوجيا حساسة للغاية مما يعني أنه قد يتم التعرف على المرضى في المراحل المبكرة من العدوى، مما قد يساعد على الحد من الانتشار.

تتطلب التكنولوجيا كتلة حرارية بسيطة تحافظ على درجة حرارة ثابتة، ويمكن قراءة النتائج بالعين المجردة. وقد استخدمت هذه التكنولوجيا على عينات سريرية حقيقية في مستشفى شنتشن لوهو الشعبي في الصين.

وطبق المستشفى مجموعات الكشف السريع على 16 عينة سريرية، بما في ذلك ثمانية حالات إيجابية وثماني كانت سلبية، وهو ما أكدته الطرق التقليدية وغيرها من الأدلة السريرية. وكانت جميع نتائج الاختبار باستخدام مجموعات الكشف السريع ناجحة.

علم الڤيروسات

صورة بالمجهر الإلكتروني توضح كيفية كيفية الانقسام الخلوي لڤيروس كورونا الجديد في جامعة هونگ كونگ.[377]

الانتشار

تأكد انتشار الڤيروس بين من شخص لآخر في گوانگ‌دونگ، الصين، في 2 يناير 2020، تبعاً لژونگ نان‌شان، رئيس فريق اللجنة الصحية الالتي تقوم بالتحقيق في تفشي الڤيروس.[378]

مستودع العدوى

على مدار 17 عاماً من البحث عن أصل تفشي سارس 2003، تم عزل العديد من ڤيروسات كورونا الخفافيش الشبيهة بسارس والكشف عن تسلسلها، وكان معظمها قد نشأ من جنس خفاش حدوة الفرس. مع وجود ما يكفي من الجينومات كان من الممكن إعادة إنشاء شجرة تطور السلالات لتاريخ طفرات هذه العائلة من الڤيروسات.

وُجد أن ڤيروس كورونا الجديد يقع ضمن هذا التصنيف: ڤيروس كورونا المرتبط بسارس. في عامي 2015 و2017 نُشر اثنين من تسلسلات جينوم خفاش حدوة الفرس الصيني بتشابه 80%[379][380] أما جينوم الڤيروس الثالث الغير منشور من خفاش حدود الفرس الوسيط والذي يشبه ڤيروس كورونا ووخان الجديد بنسبة 96% فهو مذكور في مقالة صادرة عن معهد ووخان لعلم الڤيروسات.[381] للمقارنة، فإن هذا القدر من الطفرات يشب الطفرات التي رصدت على مدار عشر سنوات في ڤيروس الإنفلونزا البشرية H3N2.[382]

يشتبه أن هناك حيوانات قد بيعت للأكل كانت مستودعاً للڤيروس أو وسيطاً له لأن الكثير من الأشخاص الذين انتقل إليهم المرض كانوا يعملون في سوق ووخان للمأكولات البحرية. ونتيجة لذلك، فقد تعرضوا للاتصال بشكل أكبر مع الحيوانات.[348]

المريض رقم صفر

كشفت صحيفة ساوث تشاينا مورننگ پوست ضمن تقريراً مطولاً لها في منتصف مارس 2020، عن التمكن من تحديد أقدم حالة ظهر فيها مرض كوڤيد-19 والتي تعود إلى 17 نوفمبر 2019 لرجل من مقاطعة هوبـِيْ يبلغ من العمر 55 عاماً. وقد تم الإعلان بعد مراجعة العديد من المستندات والوثائق الحكومية المختلفة.

يمثل تعقب مصدر الڤيروس أمراً جوهرياً في مكافحته لمعرفة الظروف والشروط التي أدت إلى انتقاله للبشر، حيث لا توجد حتى الآن معلومات أكيدة حول مصدره، وحرص العديد من العلماء في الصين وحول العالم على دراسة انتشار المرض وإجراء سلسلة تعقب للوقوف على مصادره المحتملة، وذلك بعد إعلان حالة الطوارئ في مدينة ووخان الصينية منتصف يناير 2020 وقبل أن يتحول إلى جائحة عالمية في غضون شهرين.

واعتماداً على المعلومات المتوفرة لدى السلطات الصينية والتي قامت صحيفة ساوث تشاينا بوست بمراجعتها، فإن أقدم أثر تم العثور عليه للڤيروس هو ند رجل أصيب بالڤيروس في 17 نوفمبر وهو ينحدر من مقاطعة هوبـِيْ في الصين، وبدءاً من ذلك التاريخ بدأ الڤيروس بالانتشار بمعدل يتراوح بين شخص إلى خمسة أشخاص في اليوم الواحد حتى وصل عدد الإصابات المسجلة بشكل رسمي بحلول 15 ديسمبر 2019 إلى 27 إصابة، ومن ثم العدد وصل إلى 69 إصابة بحلول 20 ديسمبر. ويكشف تقرير الصحيفة أن السلطات الصينية قد تمكنت من تحديد 266 حالة إصابة بالڤيروس سنة 2019 ولم يتم الإبلاغ عن هذه الحالات بشكل رسمي، وقد أظهرت المقابلات مع العديد من الأشخاص العاملين في مجال الرعاية الصحية أن الأطباء بدؤوا بإدراك تعاملهم مع نوع جديد من الأمراض في أواخر ديسمبر 2019، وهذا يعني أن الڤيروس كان قد انتشر على نطاق واسع.

خلال ديسمبر 2019، ومع تزايد عدد الإصابات وعدم وجود أي معلومات متوفرة حول طبيعة المرض، قام الدكتور زانج جي شيان الذي يعمل في إحدى المستشفيات بمقاطعة هوبـِيْ بإبلاغ السلطات في الصين بأن المرض الجديد الذي يتم تسجيله ناتج عن الإصابة بنمط جديد من الڤيروسات التاجية، والمعروفة على نطاق واسع باسم ڤيروسات كورونا، تم إبلاغ السلطات بهذه المعلومة في 27 ديسمبر 2019 وقد بلغ عدد الإصابات المسجلة آنذاك 180 إصابة، وقبل نهاية العام أصبح عدد الإصابات 266 ومع بداية العام الجديد قفز الرقم ليصبح 381 إصابة.[383]

ما حدث بعد ذلك أصبح معروفاً لدى الجميع، إذ استمر الڤيروس داخل الصين وخارجها على نطاق واسع حتى أصبح جائحة عالمية منتشرة في أكثر من 200 دولة ووصلت حد الإصابات في أول أبريل إلى مليون إصابة عالمية. ومن المشكلات المرتبطة بانتشار الڤيروس على نطاق واسع عدم فهمه في البداية والتأخر بالإعلان عنه. وأو لحالة تم تسجيلها لدى السلطات بشكل رسمي تعود لتاريخ 8 ديسمبر 2019، كما أن الحكومة الصينية أبلغت منظمة الصحة العالمية عن الڤيروس الجديد بتاريخ 31 ديسمبر 2019، ومع تحديد حالات تعود لأوائل شهر نوفمبر، فإن وقت الإعلان عن الڤيروس قد تأخر بشكل كبير وهو ما أظهر لاحقاً بالارتفاع الهائل بعدد الإصابات خلال الأسابيع الأولى من شهر يناير 2020.

وفي حين تنصب جهود الهيئات والمؤسسات الحكومية في الوقت الحالي على مكافحة انتشار الڤيروس عبر العديد من الإجراءات المختلفة، يعمل أيضاً علماء الأحياء على اقتفاء أثره والعودة بالزمن إلى الوراء من أجل التعرف على مصدره بشكل دقيق. وتشير معظم الترجيحات إلى أن الڤيروس ذو مصدر حيواني- غالباً خفاش- وانتقل للبشر بعد نشوء طفرة منه. إن التثبت من صحة هذه المعلومات يتطلب التنقيب ضمن كل البيانات المتوفرة، وهو ما قاد إلى تحديد الحالات الأولى من الڤيروس.

من بين الحالات التسع الاولى التي تم تسجيلها في شهر نوفمبر، لم يتم التأكد بشكل مطلق أن أحدها يمثل "المريض رقم صفر"، كما أنه لا يزال من غير الواضح من كان منهم مقيماً في مدينة ووخان، عاصمة مقاطعة هوبـِيْ والمركز الأساسي لتفشي الڤيروس. ومن المحتمل أيضاً أن يكون هنالك حالات أقدم من هذه، وهو ما قد تكشفه عمليات البحث والتنقيب في البيانات المتوفرة لدى السلطات. على كل حال، فإن الإعلان الجديد يمثل أمراً هاماً في تعقب الڤيروس وانتشاره، وحتى ولو لم تكن هذه الحالة تمثل بالفعل المريض رقم صفر، فإنها قد تساعد لاحقاً في التعرف عليه والوصل إليه، وتؤدي إلى تحديد المصدر الأكيد لنشوء الڤيروس وفهم تطوره بما يساهم بتسريع عملية تطوير لقاح ضده، لا سيما أن البيانات المتوافرة حالياً تشير إلى أننا لن نحصل عليه قبل 18 شهراً، بداية 2022. العلماء والباحثون والحكومات في سباق مع الزمن للسيطرة على ڤيروس كورونا وإيقافه، وتحديد المريض رقم صفر هو عامل حاسم ضمن هذا السباق.

من المهم في هذا السياق معرفة أن تحديد سوق الأطعمة البحرية في مدينة ووخان على أنه المصدر الأساسي لنشوء الڤيروس وانتشاره لا يزال أيضاً أمراً غير مؤكد. فصلة الرجل الذي يمثل الحالة الأولى المعروفة حتى الآن مع مدينة ووخان ومع سوق الأطعمة البحرية لا تزال مجهولة وغير واضحة، وقد يكون الڤيروس قد نشأ في مكان آخر ومن ثم انتقل إلى سوق الأطعمة البحرية، وهناك وبسبب الاختلاط والتواصل الكبيرين تفشى الڤيروس وتشكلت أول البؤر الخاصة به في الصين وحول العالم.

علم الوراثة والتصنيف

يُظهر تسلسل ڤيروس كورونا بيتا ووهان تشابهاتٍ مع ڤيروسات كورونا بيتا الموجودة في الخفاشيات، ولكنها تتميز وراثياً عن ڤيروسات كورونا الأخرى مثل ڤيروس كورونا المرتبط بالمتلازمة التنفسية الحادة الوخيمة (سارس؛SARS)[384] وڤيروس كورونا المرتبط بمتلازمة الشرق الأوسط التنفسية (MERS).[7] كما هو الحال في سارس، فإنه عضوٌ في فيروسات كورونا بيتا سلالة بي.[385] عُزلت ووُثقت خمسة جينومات من ڤيروس كورونا الجديد، وتتضمن BetaCoV/Wuhan/IVDC-HB-01/2019، وBetaCoV/Wuhan/IVDC-HB-04/2020، وBetaCoV/Wuhan/IVDC-HB-05/2019، وBetaCoV/Wuhan/WIV04/2019، وBetaCoV/Wuhan/IPBCAMS-WH-01/2019 من المركز الصيني لمكافحة الأمراض والوقاية منها (CCDC) ومعهد علم أحياء الممرض، ومستشفى ووهان جينينتان.[7][386] يتكون تسلسل الحمض النووي الريبوزي حوالي 30 ألف نوكليوتيد في طوله.[7]


علم الأحياء البنيوي

أدت منشورات الجينوم إلى عدة تجارب لنمذجة الپروتين على المستقبل المرتبط بالپروتين (RBD) للرؤوس الخارجة من ڤيروس كورونا الجديد . كتبت إحدى المجموعات الصينية في 16 يناير أن بروتين S المعياري يحتفظ بتقارب كاف لمستقبلات السارس (الإنزيم المحول للأنجيوتنسين 2 (ACE2)) ، لاستخدامه كطريقة لدخول الخلية.[387] في 22 يناير ، تعمل مجموعتان ، واحدة في الصين ، مع الفيروس الكامل ؛ والآخر في الولايات المتحدة ، بالعمل مع علم الوراثة العكسية ، أثبت بشكل مستقل وتجريبي أن ACE2 هو مستقبل ڤيروس كورونا الجديد.[388][389][390]

للبحث عن أدوية محتملة ، تم تصنيف البروتياز الفيروسي (Mpro) أيضًا لتجارب اقتران الادوية..[391] أنتجت الأكاديمية الصينية للعلوم هيكلًا تجريبيًا لبروتياز فيروس كورونا الجديد - 2019 المؤشب في يناير . لم يتم إصدار النموذج الخاص  بمجموعة Rao ZH ومجموعة Yang HT على الفور إلى بنك بيانات البروتين.[392]

المضاعفات

في ديسمبر 2020، صرح خبراء طبيون لشبكة إن بي سي الإخبارية الأمريكية، أن ڤيروس كورونا المستجد، قد يترك آثاراً على المتعافين من الرجال تؤثر على الخصوبة وقد تسبب ضعف انتصاب طويل المدى.[393]

العلاج

حتى الآن لا يوجد علاج محدد، لكن جاري دراسة مضادات الڤيروسات الحالية.[394] يتضمن هذا مثبطات الپروتياز مثل إنديناڤير، ساكويناڤير، رمدسيرير، لوپيناڤير/ريتنوناڤير وإنتفرون بيتا.[395][396]


في يناير 2020، صرحت گلعاد بأنها تقيم ما إذا كان يمكن استخدام علاج الإيبولا التجريبي على ڤيروس كورونا الجديد. وصرحت بأنها تجري مناقشات نشطة مع الباحثين والأطباء في الولايات المتحدة والصين حول تفشي الڤيروس في ووخان والاستخدام المحتمل للرمدسيڤير كعلاج حقيقي.[397]

في 26 فبراير 2020، أعلنت شركة گلعاد للعلوم أنها بدأت دراستين في مراحل متأخرة لاختبار عقاقيرها على المرضى الذين يعانون من حالات حادة ومعتدلة من المرض الناجم عن ڤيروس كورونا الجديد.[398]

وابتداءً من مارس، ستجرى الدراسات على العقار التجريبي المضاد للڤيروسات، رمدسيڤير remdesivir، على 1000 مريض في المراكز الطبية المختلفة في أنحاء الدول الآسيوية، وكذل في دول أخرى بها أعداد كبيرة من الحالات المشخصة. سيتم إعطاء جرعات الرمدسيڤير على فترتين زمنيتين عن طريق الوريد في دراسات المرحلة المتأخرة وذلك في أعقاب القبول السريع للرمدسيڤير من قبل إدارة الغذاء والدواء الأمريكية كدواء استقصائي جديد.

يذكر أن الرمدسيڤير كان علاجاً تجريبياً سبق استخدامه لعلاج ڤيروس الإيبولا ولم تثبت فعاليته.

أعلن مسؤولو الصحة في الولايات المتحدة عند بدء أول اختبار للتجارب السريرية على المرضى الذين دخلوا المستشفى لإصابتهم بڤيروس كورونا.

في وقت سابق من هذا الشهر، بدا أن العقار، الذي يخضع حاليًا للتجارب السريرية في الصين، يمنع العدوى في القرود قبل إصابتهم بمتلازمة الشرق الأوسط التنفسية (MERS).

سيكون الهدف الرئيسي من الدراسة الأولى هو تقييم ما إذا كان الدواء الذي تم تطبيعه بين الحمى وتوازن الأكسجين في الدم، في حين أن التجربة الثانية ستختبر ريديسيفير في نسبة المشاركين في كل مجموعة خرجوا في اليوم 14.

وقالت الشركة إن الدراسة الأولى ستختبر الدواء في حوالي 400 مريض يعانون من مظاهر حادة لفيروس كورونا لمدة خمسة أو عشرة أيام، في حين ستختبر الثانية حوالي 600 مريض يعانون من أعراض معتدلة.

وقالت گلعاد إن الدراسات الجديدة توسع أبحاث الدواء التي تجري في مقاطعة هوبـِيْ الصينية بقيادة مستشفى الصداقة الصيني الياباني وفي الولايات المتحدة بقيادة المعهد الوطني للحساسية والأمراض المعدية.

الأبحاث

زجاجة تحتوي على أقراص فاڤي‌پيراڤير.


اللقاحات

مقارنة لقاحات كوڤيد-19.


في يناير 2020، تبعاً لجينوم ڤيروس كورونا الجديد (2019-nCoV) المنشور،[399][400] بدأت عدة مشروعات، ثلاثة منها مدعومة من قبل تحالف ابتكارات التأهب للأوبئة (CEPI)، العمل على تخليق لقاح لڤيروس كورونا ووخان.[401] بدأت معاهد الصحة الوطنية الأمريكية التعاون مع شركة مودرنا للتكنولوجيا الحيوية لتخليق لقاح، أملاً في بدء إنتاجه بحلول مايو 2020. تعتم استراتيجيتهم على جعل لقاح الحمض النووي الريبوزي مطابقاً لتطور ڤيروس كورونا.[399] تهدف جامعة كوينزلاند الأسترالية لتخليق لقاح مشبكي جزيئي يعدل الپروتينات الڤيروسية وراثياً لجعلها تحاكي ڤيروس كورونا وتحفز رد الفعل المناعي للڤيروس. يدعم تحالف ابتاكارات التأهب للأوبئة مشروعي مودرنا وجامعة كوينزلاند ومشروع آخر بدأته إنوڤيو.[401] منحت وكالة الصحة العامة الكندية تصريحاً للمركز الدولي للقاحات-منظمة اللقاحات والأمراض المعدية (VIDO-InterVac) في جامعة ساسكاتشوان لبدء العمل على لقاح ضمن مشروع مستقل.[402] يهدف VIDO-InterVac إلى بىدء انتاج لقاح واختباره على الحيوانات بحلول مارس 2020، وبدء الاختبار على البشر عام 2021.[400]

العلاج

في 17 مارس 2020، أعلنت الصين رسمياً أن عقار فاڤي‌پيراڤير لعلاج الإنفلونزا، والمعتمد من 2014 في اليابان دواءاً فعالاً للقضاء على ڤيروس كورونا.[403]

تم اجراء الاختبارات السريريه في مدينة شن‌ژن، جنوب الصين علي 80 مصاب حيث تم تجربة العقار علي 35 مصاب بالڤيروس ووضع 45 آخرين تحت الحجز والملاحظة بدون استخدام العقار. وبالمتابعة تبين أن مجموعة المصابين الذين تم علاجهم بالعقار قد تعافوا بشكل أسرع من المجموعة الأخرى. رسمياً تم اعتماد شركة أدوية صينية لانتاج كميات ضخمة من العقار.

الاستعداد الجيني

توصل علماء بالمدرسة العليا للاقتصاد في روسيا إلى وجود "استعداد جيني" للإصابة الحادة بمرض "كوڤيد-19" الذي يسببه فيروس كورونا.

وأرجع العلماء في بحث جرى نشره في دورية فرونتيرز لعلوم المناعةالاستعداد للإصابة إلى مجموعة من ستة جزيئات تساهم في مجموعة الخلايا التائية المناعية التي تعتبر "إحدى الآليات الأساسية التي يستخدمها جسم الإنسان لمكافحة العدوى الفيروسية".

وعلى الرغم من أن الجزيئات، التي تعرف بأنها من فئة مستضدات الكريات البيضاء البشرية "فريدة في كل إنسان"، فإن مسألة "ما إذا كانت تدمر فيروس كورونا أم لا، تحددها بصورة كبيرة الجينات"، حيث إنه تتم وراثة الجزيئات من الأبوين.

وخلص العلماء إلى أنه في حال "كان لدى الشخص مجموعة جزيئات غير قادرة على تدمير الفيروس، فإنه من المرجح أن يصاب بالمرض بصورة حادة".

واعتمدت النتائج على تحليل لعينات خصائص وراثية لمصابين بمرض "كوڤيد-19" في موسكو ومدريد، بالإضافة إلى مجموعة عينات من أشخاص أصحاء.

وتأتي هذه النتائج في ظل مخاوف بشأن إمكانية أن تؤدي تحورات للفيروس، تم تسجيلها أولا في بريطانيا وجنوب أفريقيا، لارتفاع الإصابات الحادة بالفيروس ومقاومة اللقاحات، وذلك على الرغم من أن العلماء الذين استطلعت دورية نيتشر آراءهم الأسبوع الماضي قالوا إنهم يعتقدون أن الفيروس سوف يصبح أقل شراسة مع مرور الوقت.

ويذكر أنه تم تسجيل أكثر من 4ر2 مليون حالة وفاة بفيروس كورونا في أنحاء العالم، بحسب البيانات الرسمية لجامعة جونز هوبكنز الأمريكية، بالإضافة إلى نحو 111 مليون حالة إصابة.[404]

تحور الڤيروس

في 19 ديسمبر 2020، أُعلن عن تفشي سلالة جديدة ڤيروس كورونا في المملكة المتحدة، وفي اليوم التالي، أُعلن عن اكتشافها في ثلاث دول أخرى.

مثل جميع الڤيروسات الأخرى، يمر ڤيروس كورونا بالتعديد من الطفرات، التي تغير في تركيبه الجيني. تنتج تلك الطفرات عن أخطاء في عملية نسخ الڤيروس، والتي عادة ما تحدث أثناء تكرار تضاعفه، حيث يؤدي كل خطأ في الخسن لتخليق نوع جديد من الڤيروس. إلا أن معظم هذه الأخطاء ليست مهمة، فهي لا تغير من تركيب الڤيروس أو أنها تغيره قليلاً لدرجة أنها لا تؤثر على شدة الإصابة بالمرض أو مدى انتشاره. ولحسن الحظ، غالباً ما تحدث هذه الأخطاء في كثير من الأحيان لڤيروسات كورونا، بشكل أقل مما يحدث لبعض الڤيروسات الأخرى مثل تلك التي تسبب الإنفلونزا.[405]

ومع ذلك هناك العديد من المتغيرات في ڤيروسات كورونا المنتشرة في جميع أنحاء العالم مع وجود متغيرات مختلفة أكثر شيوعاً في أماكن مختلفة، وقد لاحظت مجموعة العلماء التي تسمى كونستريوم التركية الجينية لكوڤيد-19 في المملكة المتحدة COVID-19 Genomics UK (COG-UK) Consortium، أن الشكل الجديد للڤيروس أصبح أكثر شيوعاً في لندن وجنوب شرقي إنگلترة، كونه يحتوي على بعض الطفرات في الپروتين الشوكي لڤيروس كورونا، ما يغير قليلاً في تركيبه.

وقد تمت تسميته بشكل سريع VUI-202012/01 ويتم تعريفه من خلال مجموعة من 17 تغييراً أو طفرة. وإحدى أهم هذه الطفرات، طفرة N501 Y في الپروتين الشوكي الذي يستخدمه الڤيروس لربط مستقبل ACE2 البشري، إذ قد تحدث تغيرات في هذا الجزء من الپروتين الشوكي من الناحية النظرية. كما أوضح السير پاتريك فالانس كبير المستشارين العلميين للحكومة البريطانية أن السلالة الجديدة أظهرت 23 تغييراً مختلفاً على ڤيروس كوڤيد-19 الأصلي والعديد منها مرتبط على وجه التحديد بالپروتينات. وأضاف: "هذا عدد كبير بشكل غير عادي من المتغيرات، كما أنه يحتوي على متغيرات في مناطق الڤيروس المعروفة بأنها مرتبطة بكيفية ارتباط الڤيروس بالخلايا ودخوله إلى الخلايا".

لذلك هناك بعض التغييرات التي تثير القلق من حيث شكل الڤيروس. أما السؤال الذي يواجه العلماء الآن بشكل مباشر: هل السلالة الجديدة تقع ضمن هذه الفئة الأخيرة؟ وهل تمثل مخاطر صحية متزايدة؟ أم هل حدث انتشارها السريع مؤخراً عبر جنوب إنگلترة لأنها نشأت في الأشخاص الذين يصيبون كثيراً من الأشخاص الآخرين ربما لأنهم يتجاهلون قيود كوڤيد-19؟

من الممكن أن يسهِّل التغيير على السلالة الجديدة الوصول إلى خلايانا، وفي هذه الحالة قد يكون قادراً على الانتشار بسهولة أكبر، ولكن لا يوجد دليل على ذلك حتى الآن. وقد وجدت هيئة COG UK أن لندن وجنوب شرقي إنگلترة شهدتا أعداداً متزايدة من الأشخاص المصابين بالسلالة الجديدة، وفي الوقت نفسه هناك أعداد متزايدة من المصابين بڤيروس كورونا في المنطقة بشكل عام. وقد أشارت اختبارات الفحص إلى أن 43% من الڤيروس في الجنوب الشرقي أصبح الآن السلالة الجديدة، وفي شرق إنگلترة 59% وفي لندن 62%.

وفيما يتعلق بحدة خطورة السلالة الجديدة من ڤيروس كورونا، فليس من المعروف حتى الآن ما إذا كان هناك علاقة بين التحورات الجديدة للڤيروس واختلاف الأعراض أو حدة أو مدة المرض، ولا زال الباحثو في COG-UK يراقبون حركة السلالة الجديدة، كما أنهم يحللون الشفرة الجينية لنحو 10% من حالات الإصابة بڤيروس كورونا ويشاركون التسلسل على الفور.

أما عن قوة اللقاحات المطروحة أو المقترحة أمام هذه السلالة الجديدة، فقد صرح إيوان بيرني نائب المدير العام للمختبر الأوروپي للبيولوجيا الجزيئية والمدير المشترك لمعهد المعلومات الحيوية الأوروپي في كمبردج إن اللقاحات تم اختبارها مع العديد من أنواع الڤيروس المنتشرة، لذلك هناك كل الأسباب للاعتقاد بأن اللقاحات ستظل تعمل ضد هذه السلالة الجديدة على الرغم من أنه من الواضح أنه يجب اختبارها بدقة. من جهته، قال السير باتريك فالانس إنه بناءً على ما هو معروف الآن لا يبدو أن السلالة الجديدة تغير استجابة اللقاح بالشكل الذي جعله أقل فاعلية. وأضاف أن هناك أسباباً نظرية تشير إلى أنه قد يغير الاستجابة المناعية على الرغم من عدم وجود دليل على ذلك.

أما عن حدة السلالة الجديدة وتأثيرها على طول فترة المرض، فليس هناك تقدير حقيقي لذلك، إلا أن الباحثون يوصون باتخاذ المزيد من التدابير الوقائية الصارمة، حتى يتم دراسة السلالة الجديدة للڤيروس وتأثيرها من حيث قوة العدوى وحدة الأعراض ومدة المرض.

في 20 ديسمبر، قررت الحكومة الهولندية، حظر الرحلات الجوية من المملكة المتحدة بعد اكتشاف السلالة الجديدة من الڤيروس. وسيظل حظر السفر الجوي سارياً حتى 1 يناير، وستدرس الحكومة تطورات الموقف وفرض تدابير إضافية في ما يتعلق بوسائل النقل الأخرى.

وأضافت هولندا أنه في أوائل ديسمبر، كشفت عينات أخذت من حالة في البلاد عن نفس سلالة الڤروس الموجودة في المملكة المتحدة وجاء الحظر بعد أن أعلن رئيس الوزراء البريطاني بوريس جونسون وعلماءٌ بريطانيون في اليوم السابق، أن السلالة الجديدة من ڤيروس كورونا التي تم تحديدها في البلاد أصبحت معدية بنسبة تصل إلى 70%.[406]

في 26 نوفمبر 2021، عقدت منظمة الصحة العالمية اجتماعًا طارئًا بسبب انتشار متحور جديد، اطلق عليه "بي 1.1.529"، لمناقشة ما إذا كان يجب التعامل مع سلالة جديدة من فيروس كورونا شديدة الانتشار في جنوب أفريقيا، باعتبارها مبعث قلق.

قال وزير الصحة البريطاني ساجد جافيد، إن اللقاحات المعروفة قد تكون أقل فعالية لمواجهة هذا المتحور.

وأوضح جافيد في لقاء إعلامي: "ما نعرفه هو أن هناك عددًا كبيرًا من الطفرات، وربما ضعف عدد الطفرات التي رأيناها في المتحور دلتا".[407]

في 28 يناير 2022، حذّر علماء صينيون من نوع من فيروسات كورونا اسمه "نيو كوف" (NeoCoV)، وأوضحوا أن فيروس "نيو كوف" (NeoCoV) هو فيروس تم اكتشافه في الخفافيش، وهو أقرب قريب (relative) لفيروس متلازمة الشرق الأوسط التنفسية (MERS-CoV).

الدراسة نشرت على موقع "بيو أركيف" (biorxiv) في وضع ما قبل الطباعة، أي أنها لم تقبل للنشر بعد في مجلة محكمة، ولم تتم مراجعتها من قبل علماء آخرين.[408]

الآثار المترتبة

نقص الإمدادات الطبية

عامل ينظم أنابيب أكسجين في إحدى الدول الأفريقية..

مع زيادة أعداد المصابين بكوڤيد-19 بشكل حاد في معظم أنحاء العالم، يُجبر نقص أنابيب الأكسجين المستشفيات على تقنين استخدامها مع مرضاها، مما يؤدي إلى ارتفاع أعداد الوفيات بسبب مضاعفات ڤيروس كورونا. وتعتبر هذه المشكلة أكثر حدة في العالم الثالث، لكنها تظهر أيضاً في مستشفيات لندن ولوس أنجلس. تطالب المستشفيات في أنحاء العالم بإعادة الإمدادات الطارئة من أنابيب الأكسجين. في المكسيك وجنوب أفريقيا، يقوم الأشخاص بتخزين أنابيب الأكسجين، مما يؤدي إلى ارتفاع الأسعار، وصعوبة الحصول عليها من قبل العائلات الفقيرة، واستئجار الأنابيب. في المكسيك، يقوم قطاع الطرق المسلحين بسرقة خزانات الأكسجين.[409]

الوفيات

أفادت رويترز في 31 يناير 2022، أن عام 2021 شهد وفاة أكثر من 100.000 أمريكي بسبب مرض السكري، للعام الثاني على التوالي، مما دفع بالحكومة الفدرالية لتشكيل لجنة لمكافحة المرض، على غرار ڤيروس نقص المناعة البشرية (الإيدز).[410]

تأتي الأرقام الجديدة في الوقت الذي تحث فيه لجنة من الخبراء الكونگرس على إصلاح نظام رعاية مرضى السكري والوقاية منه، بما في ذلك التوصيات لتجاوز الاعتماد على التدخلات الطبية وحدها. دعا تقرير صدر في وقت سابق من هذا الشهر إلى تغييرات سياسية أوسع نطاقاً للحد من انتشار مرض السكري، مثل تشجيع تناول الأطعمة الصحية، وضمان إجازة مدفوعة الأجر للأمهات العاملات، وفرض ضرائب على المشروبات السكرية، وتوسيع نطاق الوصول إلى الإسكان الميسر التكلفة، وغيرها.

عام 2019، كان مرض السكري هو السبب السابع للوفاة في الولايات المتحدة حيث أودى بحياة أكثر من 87.000 شخص، مما يعكس فشلًا طويل الأمد في معالجة المرض وترك الكثيرين أكثر عرضة للخطر عندما ضربت جائحة كوڤيد-19 البلاد، مما خلق عقبات جديدة أمام الحصول على الرعاية.

منذ ذلك الحين، ارتفعت حصيلة الوفيات الناجمة عن مرض السكري في البلاد بشكل حاد، حيث تجاوزت 100.000 حالة وفاة في عامي 2021 و2022 وتمثل مستوى قياسيًا جديدًا، وفقًا لتحليل رويترز لبيانات الوفاة المؤقتة التي جمعتها مراكز السيطرة على الأمراض والوقاية منها (CDC). ارتفعت الوفيات المرتبطة بمرض السكري بنسبة 17% في عام 2020 و15% في عام 2021 مقارنة بمستوى ما قبل الجائحة في عام 2019. واستبعد ذلك الوفيات المنسوبة مباشرة إلى كوڤيد-19. واتفقت مراكز السيطرة على الأمراض والوقاية منها مع تحليل رويترز وقالت إن الوفيات الإضافية من عام 2021 لا تزال قيد الإحصاء.

قال الدكتور پول هسو، عالم الأوبئة في كلية فيلدنگ للصحة العامة بجامعة كاليفورنيا-لوس أنجلس: "إن العدد الكبير لوفيات مرض السكري للعام الثاني على التوالي هو بالتأكيد سبب يدعو للقلق". "مرض السكري النمط الثاني نفسه يمكن الوقاية منه نسبيًا، لذا فإنه لأمراً مأساوياً وقوع الكثير من الوفيات."

في تقرير جديد، قالت اللجنة الوطنية للرعاية السريرية التي أنشأها الكونگرس إن على الولايات المتحدة تبنى نهجًا أكثر شمولاً لمنع المزيد من الأشخاص من الإصابة بمرض السكري النمط الثاني، وهو الشكل الأكثر شيوعًا، ولمساعدة الأشخاص الذين تم تشخيصهم بالفعل على تجنب الحياة- تهدد المضاعفات. حوالي 37 مليون أمريكي، أو 11% من السكان، مصابون بالسكري، وسيصاب واحد من كل ثلاثة أمريكيين بالمرض المزمن في حياته إذا استمرت التوجهات الحالية، وفقًا للجنة.

أوصت اللجنة الفدرالية الكونگرس بإنشاء مكتب للسياسة الوطنية لمرض السكري من شأنه تنسيق الجهود عبر الحكومة والإشراف على التغييرات خارج السياسة الصحية. سيكون منفصلاً عن وزارة الصحة ويمكن أن يكون مشابهًا لمكتب البيت الأبيض للسياسة الوطنية لمرض الإيدز، وفقًا للدكتور وليام هيرمان، رئيس اللجنة وأستاذ الطب الباطني وعلم الأوبئة في جامعة مشيگن. وقال هرمان لرويترز "لن نعالج مشكلة السكري في الولايات المتحدة بالتدخلات الطبية." "الفكرة هي تجميع شيء ما عبر الوكالات الفدرالية، بحيث يمكنهم التواصل بشكل منهجي."

ساعدت السناتور الأمريكية پاتي موراي، وهي ديمقراطية من واشنطن وترأس لجنة الصحة في مجلس الشيوخ، في تأسيس اللجنة عام 2017 وقالت إنها تدرس التوصيات عن كثب. وقال موراي في بيان لرويترز: "الأشخاص المصابون بالسكري والأمراض المزمنة الأخرى كانوا يواجهون بالفعل تحديات قبل انتشار الوباء بوقت طويل، وڤيروس كورونا المستجد زاد من تفاقم هذه المشاكل". "من الأهمية بمكان البحث وإيجاد حلول لدعم مرضى السكري بشكل أفضل وتزويدهم بالرعاية التي يحتاجون إليها."

كما ذكرت رويترز في سلسلة مقالات عام 2021، أن مرض السكري يمثل فشلًا كبيرًا للصحة العامة في الولايات المتحدة. لقد زاد عدد الأمريكيين المصابين بالمرض في العقود الأخيرة، وتفاقم مآل سير المرض لديهم، على الرغم من ارتفاع الإنفاق على العلاجات الجديدة. ثبت أن الوباء مميت بشكل خاص لمرضى السكري. وفقًا للتقرير، فإن الأشخاص الذين يعانون من مرض السكري ولا يتحكمون فيه بشكل جيد هم أكثر عرضة للوفاة مرتين على الأقل من كوڤيد-19. كما أن مرض السكري ومضاعفاته أكثر شيوعًا بين الأمريكيين ذوي الدخل المنخفض والأشخاص الملونين، والتفاوتات القديمة التي تعرضت لمزيد من التعرض أثناء الوباء.

قالة دكتور شاري بولين، عضوة اللجنة وأستاذ الطب المساعد في جامعة كيس وسترن ريزرڤ ونظام متروهلث في كليڤلاند، إن العدد المذهل لوفيات مرض السكري "محبط للهمم ولكنه أيضًا دعوة للعمل".

يمثل تقرير اللجنة الفدرالية أول مراجعة من هذا القبيل لمرض السكري منذ عام 1975. وخلال ذلك الوقت، ارتفع معدل انتشار مرض السكري بين البالغين في الولايات المتحدة من 5.3% في أواخر السبعينيات إلى 14.3% في 2018. بلغت التكاليف الطبية المباشرة المتعلقة بمرض السكري 237 مليار دولار عام 2017، وخسر ما يقدر بنحو 90 مليار دولار بسبب انخفاض الإنتاجية في الولايات المتحدة.

تدفع التكاليف المرتفعة لزيارات الأطباء والأدوية والإمدادات العديد من مرضى السكري إلى التخلي عن الرعاية الروتينية أو تأخيرها. أعرب العديد من المرضى والمشرعين الأمريكيين عن غضبهم من ارتفاع سعر الإنسولين، والذي يجب على مرضى السكري النمط الأول أن يخسروا حياتهم بأكملها والذي يكون مطلوبًا في بعض الأحيان للسيطرة على مرض مرضى النمط الثاني. أيدت اللجنة مقترحات مثل وضع حد أقصى لارتفاع أسعار الإنسولين لمعدل التضخم والتفاوض الحكومي على أسعار الأدوية.

وقد دفعت موراي ومشرعون آخرون من أجل بند في تشريع "إعادة البناء بشكل أفضل" الذي اقترحته إدارة بايدن والذي من شأنه أن يضع حدًا لتكلفة الإنسولين عند 35 دولارًا للعديد من المرضى. لتخفيف المزيد من العوائق المالية، أوصت اللجنة بإعفاء المرضى من التكاليف التي يتحملونها من أموالهم الخاصة للحصول على علاجات أخرى "عالية القيمة"، بما في ذلك بعض أدوية السكري وأجهزة مراقبة الگلوكوز المستمرة والمستلزمات الأساسية والتثقيف بشأن مرض السكري.

كما سلطت اللجنة الضوء على مخاطر المعاملة المفرطة لدى كبار السن المصابين بداء السكري النمط الثاني2. كتبت رويترز عن هذا الخطر في نوفمبر 2021 وكيف أدت حملة صناعة الأدوية من أجل هدف علاج قوي إلى انتشار وباء لحوادث قاتلة لنقص گلوكوز الدم أو نقص سكر الدم. طلبت اللجنة من مسؤولي الصحة الفدراليين تتبع العلاج المفرط بين مرضى الرعاية الطبية "لتقليل حدوث نقص السكر في الدم الحاد وتحسين سلامة المرضى".

وقالت المفوضية إن الولايات المتحدة يجب أن تعزز بشكل أفضل شراء الفواكه والخضروات في برامج المساعدة الغذائية، وأن تضمن حصول الأمهات على إجازة عائلية مدفوعة الأجر للمساعدة في الرضاعة الطبيعية، الأمر الذي يمكن أن يساعد في تقليل مخاطر الإصابة بمرض السكري لدى الأمهات ويرتبط بتقليل خطر الإصابة بالبدانة ومرض السكري لدى الأطفال. كما أوصت اللجنة بفرض ضرائب على المشروبات السكرية التي من شأنها رفع سعرها على الرف بنسبة 10٪ إلى 20٪ واستخدام الإيرادات لتوسيع الوصول إلى مياه الشرب النظيفة وتمويل برامج مماثلة.

أرجأت وزارة الصحة التعليق إلى هرمان، الذي قال في بيان مركز السيطرة على الأمراض إن توصيات التقرير تقدم خارطة طريق مفصلة "لمعالجة ارتفاع تكاليف الرعاية الصحية المنسوبة إلى مرض السكري ، وتقليل التباينات العرقية والمتعلقة بالدخل في نتائج مرض السكري".

انظر أيضاً

أمراض سببتها ڤيروسات أخرى متشابهة وراثياً:

مرئيات

سعال مصابة بڤيروس كورونا ووخان.

الرئيس دونالد ترمپ يعلن عن استخدام الهيدروكسي‌كلوروكين كعلاج
لمرض ڤيروس كورونا، مارس 2020.

المصادر

  1. ^ Jiang S, Shi Z, Shu Y, et al. (19 February 2020). "A distinct new name is needed for the new coronavirus". The Lancet. Retrieved 16 March 2020.
  2. ^ "Surveillance case definitions for human infection with novel coronavirus (nCoV)". www.who.int (in الإنجليزية). Retrieved 2020-01-21.
  3. ^ "Novel coronavirus (2019-nCoV), Wuhan, China". cdc.gov. 10 January 2020. Retrieved 16 January 2020.{{cite web}}: CS1 maint: url-status (link)
  4. ^ Zhang, Y.-Z.; et al. (12 January 2020). "Wuhan seafood market pneumonia virus isolate Wuhan-Hu-1, complete genome". GenBank (in الإنجليزية). Bethesda MD. Retrieved 13 January 2020.
  5. ^ "中国疾病预防控制中心". www.chinacdc.cn. Retrieved 9 January 2020.
  6. ^ "New-type coronavirus causes pneumonia in Wuhan: expert – Xinhua | English.news.cn". www.xinhuanet.com. Retrieved 9 January 2020.
  7. ^ أ ب ت ث "CoV2020". platform.gisaid.org. Retrieved 12 January 2020.{{cite web}}: CS1 maint: url-status (link)
  8. ^ "China confirms human-to-human transmission of new coronavirus". CBC News. Jan 20, 2020. Retrieved 2020-01-21.{{cite news}}: CS1 maint: url-status (link)
  9. ^ "WHO says new China coronavirus could spread, warns hospitals worldwide". Reuters (in الإنجليزية). 2020-01-14. Retrieved 2020-01-21.
  10. ^ "China Virus Spreads to U.S. With Health Officials on High Alert". Bloomberg. Retrieved 21 January 2020.
  11. ^ "Wuhan virus: China reports fourth death in pneumonia outbreak; 15 medical workers infected". straitstimes. Retrieved 20 January 2020.
  12. ^ شينخوا (2020-01-24). "China launches national service system to support novel coronavirus research". گلوبال تايمز.
  13. ^ "China coronavirus spread is accelerating, Xi Jinping warns". بي بي سي. 2020-01-25.
  14. ^ "China coronavirus: Hong Kong widens criteria for suspected cases after second patient confirmed, as MTR cancels Wuhan train ticket sales". Hong Kong: South China Morning Post. 23 January 2020. Retrieved 23 January 2020.
  15. ^ https://www.ecdc.europa.eu/en/news-events/novel-coronavirus-three-cases-reported-france
  16. ^ https://www.theguardian.com/science/2020/jan/25/coronavirus-five-people-in-nsw-being-tested-for-deadly-disease
  17. ^ أ ب ت "Novel Coronavirus (2019-nCoV) SITUATION REPORT - 5 25 JANUARY 2020" (PDF). Retrieved 26 January 2020. خطأ استشهاد: وسم <ref> غير صالح؛ الاسم "WHO25thUpdate" معرف أكثر من مرة بمحتويات مختلفة.
  18. ^ "China coronavirus spread is accelerating, Xi Jinping warns". United Kingdom: BBC. 2020-01-26. Retrieved 2020-01-26.{{cite news}}: CS1 maint: url-status (link)
  19. ^ Lau H, Khosrawipour V, Kocbach P, Mikolajczyk A, Ichii H, Schubert J, et al. (March 2020). "Internationally lost COVID-19 cases". Journal of Microbiology, Immunology, and Infection [Wei Mian Yu Gan Ran Zia Zhi]. 53 (3): 454–458. doi:10.1016/j.jmii.2020.03.013. PMC 7102572. PMID 32205091.
  20. ^ "COVID-19 Dashboard by the Center for Systems Science and Engineering (CSSE) at Johns Hopkins University (JHU)". ArcGIS. Johns Hopkins University. Retrieved 3 June 2020.
  21. ^ CDC (7 May 2020). "Cases in U.S." Centers for Disease Control and Prevention.
  22. ^ CDC (23 April 2020). "Coronavirus Disease 2019 (COVID-19) in the U.S." Centers for Disease Control and Prevention (in الإنجليزية الأمريكية). Retrieved 24 April 2020.
  23. ^ CDC (11 February 2020). "Coronavirus Disease 2019 (COVID-19)". Centers for Disease Control and Prevention (in الإنجليزية الأمريكية). Retrieved 24 April 2020.
  24. ^ CDC (11 February 2020). "Coronavirus Disease 2019 (COVID-19)". Centers for Disease Control and Prevention (in الإنجليزية الأمريكية). Retrieved 24 April 2020.
  25. ^ أ ب Borunda, Daniel. "Coronavirus: Fort Bliss stops releasing numbers of COVID-19 cases after Pentagon order". El Paso Times (in الإنجليزية). Retrieved 4 April 2020. {{cite web}}: Unknown parameter |name-list-format= ignored (|name-list-style= suggested) (help)
  26. ^ "Naval Station Guantanamo Bay Announces Positive COVID-19 Case". www.navy.mil (in الإنجليزية). Naval Station Guantanamo Bay, Cuba Public Affairs. Retrieved 3 April 2020.
  27. ^ أ ب "COVID-19/Coronavirus Real Time Updates With Credible Sources in US and Canada". 1point3acres. Retrieved 22 September 2020.
  28. ^ "Home – Ministry of Health and Family Welfare – GOI". mohfw.gov.in (in الإنجليزية). Retrieved 21 September 2020.{{cite web}}: CS1 maint: url-status (link)
  29. ^ "Governo deixa de informar total de mortes e casos de Covid-19; Bolsonaro diz que é melhor para o Brasil". Folha de S.Paulo (in البرتغالية البرازيلية). 6 June 2020.
  30. ^ "Secretários de saúde do Brasil lançam site para divulgar dados sobre novo coronavírus". O Estado de S. Paulo Journal (in البرتغالية البرازيلية). 8 June 2020.
  31. ^ "Painel Coronavírus" (in البرتغالية). Ministry of Health (Brazil). Retrieved 22 September 2020.
  32. ^ "Casos e mortes por coronavírus no Brasil em 22 de setembro, segundo consórcio de veículos de imprensa (atualização das 13h)". G1 (in البرتغالية البرازيلية). 22 September 2020. Retrieved 22 September 2020.
  33. ^ Оперативные данные. По состоянию на 23 сентября 10:30. Стопкоронавирус.рф (in الروسية). 23 September 2020. Retrieved 23 September 2020.
  34. ^ "CORONAVIRUS (COVID-19)". covid19.minsalud.gov.co. 21 September 2020. Retrieved 21 September 2020.
  35. ^ "Minsa: Casos confirmados por coronavirus Covid-19 ascienden a 768 895 en el Perú (Comunicado N°245)". gob.pe (in الإسبانية). 22 September 2020. Retrieved 22 September 2020.
  36. ^ Ministry of Health (Peru) (21 September 2020). "Sala Situactional COVID-19 Perú" (in الإسبانية).
  37. ^ "Minsa: Casos confirmados por coronavirus Covid-19 ascienden a 772 896 en el Perú (Comunicado N°247)". gob.pe (in الإسبانية). 21 September 2020. Retrieved 22 September 2020.
  38. ^ "Covid-19 Mexico" (in الإسبانية). Instituciones del Gobierno de México. 18 September 2020. Retrieved 19 September 2020.
  39. ^ "La pandemia del coronavirus, en datos, mapas y gráficos". RTVE (in الإسبانية). Retrieved 22 September 2020.{{cite web}}: CS1 maint: url-status (link)
  40. ^ "COVID-19 Statistics in South Africa". sacoronavirus.co.za (in الإنجليزية). 22 September 2020. Retrieved 23 September 2020.
  41. ^ Dr Zweli Mkhize [@DrZweliMkhize] (16 September 2020). "As of today, the total number of confirmed #COVID19 cases is 653 444, the total number of deaths is 15 705 and the total number of recoveries is 584 195" (Tweet) (in الإنجليزية). Retrieved 16 September 2020 – via Twitter. {{cite web}}: Cite has empty unknown parameter: |dead-url= (help)
  42. ^ Niebieskikwiat, Natasha (13 April 2020). "Coronavirus en Argentina: los casos de las Islas Malvinas se incluirán en el total nacional". Clarín (in الإسبانية). {{cite news}}: Unknown parameter |name-list-format= ignored (|name-list-style= suggested) (help)
  43. ^ "Información epidemiológica" (in الإسبانية). Ministerio de Salud. Retrieved 21 September 2020.
  44. ^ "REPORTE DIARIO MATUTINO NRO 371 SITUACIÓN DE COVID-19 EN ARGENTINA" (PDF) (in الإسبانية). Ministerio de Salud. 16 September 2020. Retrieved 16 September 2020.
  45. ^ أ ب ت "info coronavirus covid-19". Gouvernement.fr (in الفرنسية). Retrieved 22 September 2020.
  46. ^ "COVID-19 : bilan et chiffres clés en France". www.santepubliquefrance.fr (in الفرنسية). Retrieved 22 September 2020.
  47. ^ Vega, Matías (25 May 2020). ""Recuperados" podrían estar en la UCI: Mañalich aclara que cuentan a quienes dejan de contagiar". BioBioChile (in الإسبانية). Retrieved 26 May 2020.
  48. ^ "Gobierno informa 3.069 fallecidos sospechosos de Covid-19". Cooperativa.cl (in الإسبانية). 20 June 2020. Retrieved 20 June 2020.
  49. ^ "Informe Epidemiológico 50 - Enfermedad por SARS-CoV-2 (COVID-19)" (PDF). Department of Statistics and Health Information - Ministry of Health of Chile (in الإسبانية). 11 September 2020. Retrieved 14 September 2020.
  50. ^ "Casos confirmados COVID-19". Gobierno de Chile (in الإسبانية). Retrieved 23 September 2020.
  51. ^ Ministry of Health and Medical Education
  52. ^ "Official: 184 more Iranians die from COVID-19 over past 24 hours". IRNA (in الإنجليزية). Retrieved 23 September 2020.
  53. ^ "Historic data". Public Health England. Retrieved 4 April 2020.
  54. ^ "Coronavirus (COVID-19) in the UK". coronavirus.data.gov.uk. Retrieved 23 September 2020.
  55. ^ করোনা ভাইরাস ইনফো ২০১৯. corona.gov.bd (in Bengali). Retrieved 23 September 2020.
  56. ^ "কোভিড-১৯ ট্র্যাকার | বাংলাদেশ কম্পিউটার কাউন্সিল (বিসিসি)" [COVID-19 Tracker]. covid19tracker.gov.bd. Retrieved 23 September 2020.
  57. ^ "The daily epidemiological situation of registered infections of the emerging coronavirus in Iraq". Facebook (in الإنجليزية). Ministry of Health of Iraq. Retrieved 23 September 2020.
  58. ^ "COVID 19 Dashboard: Saudi Arabia". Ministry of Health (Saudi Arabia). Retrieved 23 September 2020.
  59. ^ "T.C Sağlık Bakanlığı Türkiye Genel Koronavirüs Tablosu". covid19.saglik.gov.tr. 23 September 2020.
  60. ^ "COVID-19 Health Advisory Platform by Ministry of National Health Services Regulations and Coordination". covid.gov.pk. Retrieved 23 September 2020.{{cite web}}: CS1 maint: url-status (link)
  61. ^ "COVID-19 ITALIA" [COVID-19 ITALY]. opendatadpc.maps.arcgis.com (in الإيطالية). Protezione Civile. Retrieved 23 September 2020.{{cite web}}: CS1 maint: url-status (link)
  62. ^ "COVID-19 CASE BULLETIN". Department of Health (Philippines). Retrieved 23 September 2020.
  63. ^ "COVID-19 Tracker". Department of Health (Philippines). Retrieved 23 September 2020.
  64. ^ أ ب ت "Wie sich das Coronavirus in Ihrer Region ausbreitet" [How the coronavirus affects your region] (in الألمانية). Zeit Online. Retrieved 21 September 2020.
  65. ^ أ ب "Corona-Karte Deutschland: COVID-19 live in allen Landkreisen und Bundesländern". Tagesspiegel (in الألمانية). Retrieved 21 September 2020.
  66. ^ נגיף הקורונה בישראל - תמונת מצב כללית [Corona virus in Israel] (in العبرية). Retrieved 21 September 2020.
  67. ^ "Operational information on the spread of coronavirus infection 2019-nCoV". Ministry of Healthcare (Ukraine). Retrieved 23 September 2020.
  68. ^ "МОЗ повідомляє". Ministry of Healthcare (Ukraine). 19 September 2020. Retrieved 19 September 2020.
  69. ^ Shah, Maryam (17 July 2020). "88% of Canada's coronavirus cases are considered recovered". Global News (in الإنجليزية). Archived from the original on 18 July 2020. Retrieved 18 July 2020.
  70. ^ Forani, Jonathan. "Active coronavirus cases in Canada plummet as Quebec changes recovery criteria". CTV News. Archived from the original on 18 July 2020. Retrieved 18 July 2020.
  71. ^ "Tracking every case of COVID-19 in Canada". CTV News. 23 September 2020. Retrieved 23 September 2020.
  72. ^ "Datos Oficiales". Bolivia Segura (in الإسبانية). Retrieved 23 September 2020.
  73. ^ "Las cifras del COVID-19 en Ecuador" (in الإسبانية). Retrieved 21 September 2020.
  74. ^ "Actualización de casos de coronavirus en Ecuador". Ministerio de Salud Pública. Retrieved 21 September 2020.
  75. ^ "Coronavirus Disease 2019 (COVID-19)". Ministry of Public Health Qatar. Retrieved 23 September 2020.
  76. ^ "Comunicate de presă". Ministry of Internal Affairs (in الرومانية). Retrieved 23 September 2020.
  77. ^ "Comunicate de presă". Ministry of Health (in الرومانية). Retrieved 23 September 2020.
  78. ^ "Homepage". Dominican Today (in الإنجليزية). Retrieved 23 September 2020.
  79. ^ Ситуация с коронавирусом официально. coronavirus2020.kz (in الروسية). Kazinform. Retrieved 22 September 2020.
  80. ^ Қазақстан Республикасы Денсаулық сақтау министрлігі (in الكازاخستانية). Kazakhstan Ministry of Healthcare. Retrieved 22 September 2020.
  81. ^ Ministerio de Salud de Panama [@MINSAPma] (22 September 2020). "Compartimos la actualización de datos sobre #COVID19 en nuestro país" (Tweet) (in الإسبانية). Retrieved 23 September 2020 – via Twitter. {{cite web}}: Cite has empty unknown parameter: |dead-url= (help)
  82. ^ "Covid-19: Morocco Records 2,227 New Cases, 1,725 Recoveries over Past 24 Hours". Maghreb Arabe Press. 22 September 2020. Retrieved 22 September 2020.
  83. ^ "Nieuw gemor over Belgische rapportering coronadoden". De Tijd. 20 April 2020.
  84. ^ "Coronavirus COVID-19". info-coronavirus.be (in الهولندية). Retrieved 21 September 2020.
  85. ^ "COVID-19 - Epidemiologische situatie". Sciensano (in الهولندية). Retrieved 21 September 2020.
  86. ^ وزيرة الصحة تتابع مستجدات فيروس كورونا وتوجه بتذليل أي تحديات لسير العمل بالمستشفيات. Facebook. Retrieved 22 September 2020.
  87. ^ "COVID 19 Updates .::. Home". corona.e.gov.kw. Retrieved 23 September 2020.
  88. ^ "Coronavirus in the Netherlands: the questions you want answered". Dutch News. Retrieved 30 March 2020.
  89. ^ "Actuele informatie over het nieuwe coronavirus (COVID-19)" (in الهولندية). RIVM. 21 September 2020. Retrieved 21 September 2020.
  90. ^ "Statistieken over het Coronavirus en COVID-19". allecijfers.nl. Retrieved 21 September 2020.
  91. ^ "Covid-19 cases in Oman". Ministry of Health. Retrieved 23 September 2020.
  92. ^ "Antal fall av covid-19 i Sverige - data uppdateras 11:30 och siffrorna är tillgängliga 14:00". Public Health Agency of Sweden – Official statistics at arcgis (in السويدية). Retrieved 18 September 2020. Data updated daily at 11:30 [CEST] {{cite web}}: Unknown parameter |laysource= ignored (help); Unknown parameter |layurl= ignored (help)
  93. ^ "UAE CORONAVIRUS (COVID-19) UPDATES". UAE's national emergency crisis and disaster management authority. Retrieved 23 September 2020.
  94. ^ "Coronavirus" (in الإسبانية). Ministerio de Salud Pública (Guatemala). Retrieved 23 September 2020.
  95. ^ 截至9月22日24时新型冠状病毒肺炎疫情最新情况 (in Chinese (China)). National Health Commission. 23 September 2020. Retrieved 23 September 2020.
  96. ^ أ ب ت "Coronavirus COVID-19 Global Cases by the Center for Systems Science and Engineering (CSSE) at Johns Hopkins University (JHU)". ArcGIS. Johns Hopkins CSSE. Retrieved 23 September 2020.
  97. ^ "Ministerstwo Zdrowia". Twitter. Ministry of Health (Poland). 23 September 2020. Retrieved 23 September 2020.
  98. ^ 新型コロナウイルス感染症の現在の状況と厚生労働省の対応について(令和2年9月22日版). Ministry of Health, Labour and Welfare (Japan) (in اليابانية). 23 September 2020. Retrieved 23 September 2020.
  99. ^ "В Беларуси за сутки 253 новых случая коронавируса". tut.by (in الروسية). 23 September 2020. Retrieved 23 September 2020.
  100. ^ Secretaría de Salud [@saludhn] (22 September 2020). "COMUNICADO No.198 del Sistema Nacional de Gestión de Riesgos (SINAGER)" (Tweet) (in الإسبانية). Retrieved 23 September 2020 – via Twitter. {{cite web}}: Cite has empty unknown parameter: |dead-url= (help)
  101. ^ "DATOS ESTADÍSTICOS COVID-19" (in الإسبانية). Secretaria de Salud de Honduras. 22 September 2020. Retrieved 23 September 2020.
  102. ^ "Ponto de Situação Atual em Portugal" (in البرتغالية). Direção-Geral da Saúde. Retrieved 23 September 2020.
  103. ^ "Já se encontra disponível o relatório de situação de hoje, 23 de setembro" (in البرتغالية). Direção-Geral da Saúde. Retrieved 23 September 2020.
  104. ^ "Covid-19!". covid19.et (in الأمهرية). 22 September 2020. Retrieved 23 September 2020.{{cite web}}: CS1 maint: url-status (link)
  105. ^ "Estadísticas Venezuela". MPPS COVID Patria (in الإسبانية). 21 September 2020. Retrieved 21 September 2020.
  106. ^ "Situacion Nacional Covid-19" (in الإسبانية). Ministerio de Salud (Costa Rica). Retrieved 23 September 2020.
  107. ^ "Covid-19 Updates". Ministry of Health (Bahrain). 22 September 2020. Retrieved 22 September 2020.
  108. ^ "COVID-19 Dashboard" (in الإنجليزية). Ministry of Health and Population (Nepal). Retrieved 23 September 2020.
  109. ^ "Updates on COVID-19 (Coronavirus Disease 2019) Local Situation". Ministry of Health (Singapore). Retrieved 21 September 2020.
  110. ^ "COVID-19 (Coronavirus Disease 2019)". Ministry of Health (Singapore). 21 September 2020.{{cite web}}: CS1 maint: url-status (link)
  111. ^ "NCDC Covid-19 Page". Nigeria Centre for Disease Control. Retrieved 22 September 2020.
  112. ^ Коронавирусная инфекция (COVID-19) (in الروسية). Retrieved 21 September 2020.
  113. ^ "COVID-19 | Onemocnění aktuálně od MZČR" (in التشيكية). Ministry of Health (Czech Republic). Retrieved 21 September 2020.
  114. ^ "Current situation in Switzerland". Federal Office of Public Health. Retrieved 23 September 2020.
  115. ^ "Cas d'infection au Sars-CoV-2 en Suisse". Tribune de Genève (in الفرنسية). Retrieved 23 September 2020.
  116. ^ "COVID-19 : Carte épidémiologique" (in الفرنسية). Ministry of Health, Population, and Hospital Reform (Algeria). Retrieved 23 September 2020.قالب:Registration required
  117. ^ "Algeria COVID-19 Tracker". dz-covid19.com. Retrieved 23 September 2020.
  118. ^ "COVID-19 în Republica Moldova: situaţia la zi". gismoldova.maps.arcgis.com (in المولدوفية). Retrieved 23 September 2020.
  119. ^ Հաստատված դեպքերն ըստ օրերի – NCDC Armenia (in الأرمنية). Retrieved 23 September 2020.
  120. ^ "COVID-19 Updates". ghanahealthservice.org. Retrieved 21 September 2020.
  121. ^ Информации (in الروسية). Ministry of Health (Kyrgyz Republic). Retrieved 21 September 2020.
  122. ^ "Bundesministerium für Inneres: Aktuelle Zahlen zum Corona-Virus" (in الألمانية). Innenministerium. Retrieved 23 September 2020.
  123. ^ "Azərbaycanda cari vəziyyət" (in الأذربيجانية). Retrieved 22 September 2020.
  124. ^ "Afghanistan Covid-19 Cases". Ministry of Public Health (Afghanistan). 21 September 2020.
  125. ^ @MOH_Kenya (21 September 2020). "COVID-19 UPDATE" (Tweet) – via Twitter. {{cite web}}: Cite has empty unknown parameter: |dead-url= (help)
  126. ^ فايروس كورونا (COVID-19) في فلسطين [Corona Virus (COVID-19) in Palestine]. corona.ps. Retrieved 21 September 2020.
  127. ^ "CONTADOR OFICIAL COVID-19 EN PARAGUAY" (in الإسبانية). Ministry of Public Health and Social Welfare (Paraguay). Retrieved 23 September 2020.
  128. ^ "Latest updates on COVID-19 (Coronavirus)". Department of Health (Ireland). 23 September 2020.
  129. ^ "COVID-19". covid19.rs. Ministry of Health (Serbia). 23 September 2020. Retrieved 23 September 2020.
  130. ^ الجمهورية اللبنانية – وزارة الإعلام – الموقع الرسمي لمتابعة أخبار فيروس الكورونا في لبنان. Lebanese Ministry of Information. Retrieved 23 September 2020.
  131. ^ البوابة الجغرافية لمراقبة انتشار فيروس كورونا في ليبيا. ncdc.org.ly. Retrieved 23 September 2020.
  132. ^ #التحديث اليومي للوضع الوبائي المحلي لفيروس كورونا المستجد ليوم الأحد 22 سبتمبر 2020م وفقا للبيان رقم 197. www.facebook.com. Retrieved 23 September 2020.
  133. ^ "SITUACIÓN NACIONAL". Ministry of Health (El Salvador) (in الإسبانية). Retrieved 21 September 2020.
  134. ^ "Coronavirus (COVID-19) current situation and case numbers". Australian Government Department of Health. 21 September 2020. Retrieved 23 September 2020.{{cite web}}: CS1 maint: url-status (link)
  135. ^ "COVID-19 in Bosnia and Herzegovina". Ministry of Civil Affairs of Bosnia and Herzegovina. Retrieved 23 September 2020.
  136. ^ "Tal og overvågning af COVID-19" (in الدانمركية). Sundhedsstyrelsen (Danish Health Authority). 21 September 2020. Retrieved 21 September 2020.
  137. ^ "Statens Serum Institut - COVID-19 - Danmark" (in الدانمركية). Statens Serum Institut (State Serum Institute). Retrieved 21 September 2020.
  138. ^ "Coronavirus Disease-19, Republic of Korea". ncov.mohw.go.kr (in الإنجليزية). Ministry of Health and Welfare (South Korea). Retrieved 23 September 2020.
  139. ^ "Press Release". cdc.go.kr (in الإنجليزية). Korea Centers for Disease Control and Prevention. Retrieved 23 September 2020.
  140. ^ "STATISTIQUES COVID-19". covid19.minsante.cm (in الفرنسية). 21 September 2020. Retrieved 4 September 2020.
  141. ^ "Point Statistiques Covid 19". Journal du Cameroun (in الفرنسية). 21 September 2020. Retrieved 21 September 2020.
  142. ^ "RESULTADO DE PRUEBAS PARA COVID-19 EN PUERTO RICO" (in الإسبانية). Departamento de Salud de Puerto Rico. Retrieved 21 September 2020.
  143. ^ "Puerto Rico COVID-19" (in الإسبانية). Retrieved 21 September 2020.
  144. ^ "Ministère de la Santé et de l'Hygiène Publique". www.facebook.com (in الإنجليزية). Retrieved 21 September 2020.
  145. ^ 44 са новодиагностицираните с COVID-19 лица у нас през изминалото денонощие (in البلغارية). Ministry of Health (Bulgaria). Retrieved 21 September 2020.
  146. ^ "COVID-19 in Bulgaria". Retrieved 21 September 2020.
  147. ^ "Tájékoztató oldal a koronavírusról Aktualis". koronavirus.gov.hu. Retrieved 21 September 2020.
  148. ^ "Latest information on COVID-19 and measures for prevention of spreading issued by the Government". Ministry of health (North Macedonia). Retrieved 22 September 2020.
  149. ^ "Real-time Coronavirus condition in North Macedonia". gdi.net (in المقدونية). Retrieved 22 September 2020.
  150. ^ covid19 Ελλάδα. Υπουργείο Υγείας (in اليونانية). 22 September 2020.
  151. ^ "Situation Covid-19" (in الإنجليزية). Ministry of Public Health (Madagascar). 21 September 2020. Retrieved 21 September 2020.
  152. ^ "Službena stranica Vlade". Croatian Institute of Public Health. Retrieved 23 September 2020.
  153. ^ "COVID19 - Kosova" (in الألبانية). Ministry of Health (Kosovo). Retrieved 23 August 2020.
  154. ^ "Covid-19". Koha Ditore (in الألبانية). Retrieved 21 September 2020.
  155. ^ "Coronavirus : Riposte à l'épidémie : Tableau Récapitulatif des dons"" (in الفرنسية). Ministry of Health and Social Action (Senegal). Retrieved 21 September 2020.
  156. ^ @ZMPublicHealth (21 September 2020). "COVID19 update" (Tweet) – via Twitter. {{cite web}}: Cite has empty unknown parameter: |dead-url= (help)
  157. ^ "Ministry of Health Zambia". www.facebook.com (in الإنجليزية). 21 September 2020. Retrieved 21 September 2020.
  158. ^ The official page of the Federal Ministry of Health, Sudan [@FMOH_SUDAN] (21 September 2020). "التقريرالوبائي ليوم الأحد 17-14 سبتمبر 2020" (Tweet) – via Twitter. {{cite web}}: Cite has empty unknown parameter: |dead-url= (help)
  159. ^ وزارة الصحَّة الإتحاديَّة. www.facebook.com (in الإنجليزية). 21 September 2020. Retrieved 21 September 2020.
  160. ^ Venli, Vegard (23 March 2020). "20.200 personer registrert med korona-diagnose". NRK. {{cite web}}: Unknown parameter |name-list-format= ignored (|name-list-style= suggested) (help)
  161. ^ Kristensen, Mette (24 March 2020). "FHI: 23.000 kan være koronasmittet". NRK. {{cite web}}: Unknown parameter |name-list-format= ignored (|name-list-style= suggested) (help)
  162. ^ Nilsen, Av Sondre; Skjetne, Oda Leraan; Sfrintzeris, Yasmin; Røset, Hanna Haug; Hunshamar, Carina; Fraser, Sofie; Løkkevik, Ole. "Live: Corona-viruset sprer seg i Norge og verden". VG Nett. Retrieved 21 September 2020. {{cite web}}: Unknown parameter |name-list-format= ignored (|name-list-style= suggested) (help)
  163. ^ "Lajme Archives". Ministria e Shëndetësisë dhe Mbrojtjes Sociale (in الألبانية). Retrieved 23 September 2020.
  164. ^ "Coronavirus Albania | Statistika" (in الألبانية). Agjencia Kombëtare e Shoqerisë së Informacionit. Retrieved 23 September 2020.
  165. ^ "Ministère de la santé وزارة الصحة". www.facebook.com (in الإنجليزية). Retrieved 21 September 2020.
  166. ^ "Ministry of Health and Social Services-Namibia". www.facebook.com (in الإنجليزية). Retrieved 2020-09-22.
  167. ^ "Situation Épidémiologique en RDC" (in الفرنسية). 21 September 2020. Retrieved 21 September 2020.
  168. ^ "Covid-19 (Latest Updates)". Ministry of Health of Malaysia. Retrieved 23 September 2020.
  169. ^ Agence Nationale de Sécurité Sanitaire [@anss_guinee] (21 September 2020). "COVID-19 Decompte des cas" (Tweet) (in الفرنسية) – via Twitter. {{cite web}}: Cite has empty unknown parameter: |dead-url= (help)
  170. ^ "Situation du coronavirus en Guinée" (in الفرنسية). Agence Nationale de Sécurité Sanitaire. Retrieved 21 September 2020.
  171. ^ "Health Protection Agency Maldives - COVID-19 Statistics Dashboard". 21 September 2020. Retrieved 21 September 2020.
  172. ^ "ХАБАРИ ФАВРӢ! Дар Тоҷикистон 42 ҳолати нави сирояти COVID-19 ба қайд гирифта шуд". khovar.tj (in الطاجيكية). 21 September 2020.
  173. ^ "Tilannekatsaus koronaviruksesta" [Situation report on the coronavirus]. Finnish Institute for Health and Welfare. Retrieved 12 September 2020.
  174. ^ Särkkä, Heini (1 April 2020). "HUS:n ylilääkäri: Suomessa satoja koronasta parantuneita – vanhimmat yli 80-vuotiaita". Ilta-Sanomat (in الفنلندية). Retrieved 17 April 2020. {{cite web}}: Unknown parameter |name-list-format= ignored (|name-list-style= suggested) (help)
  175. ^ "Varmistetut koronatapaukset Suomessa (COVID-19)". experience.arcgis.com. Retrieved 21 September 2020.
  176. ^ "Virus korona COVID 19" (in Montenegrin). Government of Montenegro. Retrieved 18 September 2020.
  177. ^ "Situations Épidémiologique au Gabon". Comité de Pilotage du Plan de Veille (in الفرنسية). Retrieved 21 September 2020.{{cite web}}: CS1 maint: url-status (link)
  178. ^ "Visualisez en temps réel l'évolution du Coronavirus en Haïti". coronahaiti.org. 21 September 2020. Retrieved 21 September 2020.
  179. ^ "Coronavirus: COVID-19". Government of Luxembourg. 21 September 2020. Retrieved 21 September 2020.
  180. ^ @MoHCCZim (20 September 2020). "COVID-19 Update: As at 20 September 2020, Zimbabwe had 7 683 confirmed cases, including 5 924 recoveries and 225 deaths" (Tweet) – via Twitter. {{cite web}}: Cite has empty unknown parameter: |dead-url= (help)
  181. ^ "Status 6 September 2020". Ministry of Health via Facebook. Retrieved 6 September 2020.
  182. ^ "Coronavirus Disease 2019 (COVID-19) Surveillance Dashboard (Myanmar)". doph.maps.arcgis.com. Retrieved 23 September 2020.
  183. ^ "Início". COVID 19 - Fica Atento (in الإنجليزية الأمريكية). Retrieved 21 September 2020.
  184. ^ "Coronavirus in Slovakia". korona.gov.sk (in الإنجليزية). National Health Information Center. Retrieved 21 September 2020.
  185. ^ "MoH Uganda: COVID-19 Information Portal". covid19.gou.go.ug. Ministry of Health. Retrieved 21 September 2020.
  186. ^ "Ministry of Health Uganda". 21 September 2020. Retrieved 21 September 2020.
  187. ^ فيروس كورونا المستجد (كوفيد-١٩). corona.moh.gov.jo. Retrieved 23 September 2020.
  188. ^ "Covid 19 National Information Dashboard". Ministry of Health and Population, Malawi. Retrieved 21 September 2020.
  189. ^ "Ministere de la Santé de Djibouti". www.facebook.com. 21 September 2020. Retrieved 21 September 2020.
  190. ^ Eswatini Government (21 September 2020). "Minister of Health Lizzie Nkosi announces three new #COVID19 deaths in Eswatini, taking the total number of #COVID19 deaths in the country to 101". @EswatiniGovern1 (in الإنجليزية). Retrieved 21 September 2020.
  191. ^ "COVID 19 — Corona Vírus". covid19.cv. Retrieved 21 September 2020.
  192. ^ "COVID-19". Ministry of Health & Wellness, Jamaica. Retrieved 21 September 2020.
  193. ^ "COVID-19 Clinical Management Summary". Ministry of Health & Wellness, Jamaica. Retrieved 18 September 2020.
  194. ^ "Infecciones por coronavirus – COVID-19". temas.sld.cu (in الإسبانية). Retrieved 21 September 2020.
  195. ^ "Coronavirus Disease (COVID-19) in HK". Hong Kong: Department of Health. Retrieved 20 September 2020.
  196. ^ "Covid 19 de Guinea Ecuatorial". AhoraEG (in الإسبانية). Retrieved 15 September 2020.
  197. ^ "Situation épidémiologique au 11 septembre 2020". www.facebook.com (in الفرنسية). Retrieved 13 September 2020.
  198. ^ "MINISTERE DE LA SANTE, DE LA POPULATION, DE LA PROMOTION DE LA FEMME ET DE L'INTEGRATION DE LA FEMME AU DEVELOPPEMENT". www.sante.gouv.cg. Retrieved 21 September 2020.
  199. ^ "Casos positivos de Covid-19 en Nicaragua llegan a 4,668 y 141 muertes, según el Minsa". La Prensa (in الإسبانية). Retrieved 1 August 2020.
  200. ^ Ministère de la Santé et de la Population [@MSPCentrafrique] (18 September 2020). "Communiqué de Presse" (Tweet) – via Twitter. {{cite web}}: Cite has empty unknown parameter: |dead-url= (help)
  201. ^ "COVID-19". COVID SURINAME (in الهولندية). Retrieved 23 September 2020.
  202. ^ "Coronavirus Disease COVID-19". Rwanda Biomedical Centre. Retrieved 21 September 2020.
  203. ^ Rwanda Ministry of Health [@RwandaHealth] (21 September 2020). "Amakuru Mashya | Update" (Tweet) – via Twitter. {{cite web}}: Cite has empty unknown parameter: |dead-url= (help)
  204. ^ "Statistični pregled koronavirusa v Sloveniji". www.rtvslo.si. Retrieved 21 September 2020.
  205. ^ "Coronavirus disease COVID-19". Ministry of Health. Retrieved 21 September 2020.
  206. ^ "Angola com mais 126 infectados e dois óbitos". angop.ao (in البرتغالية الأوروبية). 21 September 2020.
  207. ^ "COVID-19 (Novel Coronavirus)". Retrieved 21 September 2020.
  208. ^ "ArcGIS Dashboards". uwi.maps.arcgis.com. Retrieved 21 September 2020.
  209. ^ "Relevant information about Coronavirus (COVID-19)". Government of the Republic of Lithuania. 23 September 2020. Retrieved 23 September 2020.
  210. ^ "Koronavirusas" (in الليتوانية). Lietuvos Respublikos sveikatos apsaugos ministerija. 23 September 2020. Retrieved 23 September 2020.
  211. ^ "Health Ministry: 33 new coronavirus cases registered, 17 patients recover, 3 others pass away". Syrian Arab News Agency. 21 September 2020. Retrieved 21 September 2020.
  212. ^ "Casonan di Corona Virus na Aruba pa 23 di September 2020" (in البابيامينتو and الإنجليزية). Retrieved 23 September 2020.
  213. ^ "StopCOV.ge". Retrieved 21 September 2020.
  214. ^ "COVID19 – MINISTRY OF HEALTH" (in الإنجليزية الأمريكية). 21 September 2020. Retrieved 21 September 2020.
  215. ^ โรคติดเชื้อไวรัสโคโรนา 2019 (COVID-19). Department of Disease Control (Thailand) (in التايلاندية). Retrieved 23 September 2020.
  216. ^ "COVID-19 Outbreak". Bangkok Post. Retrieved 23 September 2020.
  217. ^ "COVID-19 DASHBOARD, Somalia". moh.gov.so (in الإنجليزية). Retrieved 21 September 2020.
  218. ^ "Novel Coronavirus (2019-nCoV)". Ministry of Health (Bahamas). Retrieved 21 September 2020.
  219. ^ "The Bahamas Ministry of Health". www.facebook.com (in الإنجليزية). Retrieved 21 September 2020.
  220. ^ "Epidemiology Unit". Ministry of Health (Sri Lanka). Retrieved 21 September 2020.
  221. ^ "Information about Coronavirus disease COVID-19". Estonian Health Board. Retrieved 23 September 2020.
  222. ^ "Koroonaviiruse haigus COVID-19". Estonian Health Board. Retrieved 23 September 2020.
  223. ^ "COMMUNIQUES DU MINISTERE DE LA SANTE ET DES AFFAIRES SOCIALES SUR LE SUIVI DES ACTIONS DE PREVENTION ET DE RIPOSTE FACE A LA MALADIE A CORONAVIRUS". www.sante.gov.ml (in الفرنسية). 21 September 2020. Retrieved 13 September 2020.
  224. ^ Новости | МИНИСТЕРСТВО ЗДРАВООХРАНЕНИЯ ДОНЕЦКОЙ НАРОДНОЙ РЕСПУБЛИКИ. mzdnr.ru (in الروسية). Retrieved 21 September 2020.
  225. ^ "COVID-19 Malta - Data Dashboard". deputyprimeminister.gov.mt (in الإنجليزية). Retrieved 21 September 2020.
  226. ^ @SouthSudanGov (8 June 2020). "South Sudan now has a cumulative total of 194 cases with 2 recoveries". twitter.com (in الإنجليزية). Retrieved 8 June 2020.
  227. ^ "Coronavirus disease (COVID-2019) situation reports". who.int (in الإنجليزية). Retrieved 15 September 2020.{{cite web}}: CS1 maint: url-status (link)
  228. ^ "Ministry of Public Health". Ministry of Public Health. Retrieved 23 September 2020.
  229. ^ "Coronavirus (Covid-19)". Gouvernement de la République du Bénin (in الفرنسية). Retrieved 17 September 2020.
  230. ^ "INÍCIO". INFOCOVID-19 (in البرتغالية البرازيلية). Retrieved 24 August 2020.
  231. ^ "Guinea-Bissau: WHO Coronavirus Disease (COVID-19) Dashboard". covid19.who.int. Retrieved 15 September 2020.
  232. ^ "COVID-19 á Íslandi – Tölfræði". www.covid.is (in الأيسلندية). Retrieved 19 September 2020.
  233. ^ "The Ministry of Information and Communication - Sierra Leone". www.facebook.com (in الإنجليزية). Retrieved 16 September 2020.
  234. ^ "COVID-19 UPDATES". covid19.mic.gov.sl (in الإنجليزية). 12 August 2020. Retrieved 7 September 2020.
  235. ^ @YSNECCOVID19 (19 September 2020). آخر إحصائيات انتشار فيروس #كورونا في #اليمن #معا_لمواجهة_كورونا (Tweet) – via Twitter. {{cite web}}: Cite has empty unknown parameter: |dead-url= (help)CS1 maint: numeric names: authors list (link)
  236. ^ "JIC RELEASE NO. 338 - Cumulative Results: Forty-seven Test Positive for COVID-19; Profiles of Confirmed Cases;Two Additional GDOE Employees Test Positive for COVID-19". ghs.guam.gov. 15 September 2020. Retrieved 16 September 2020.{{cite web}}: CS1 maint: url-status (link)
  237. ^ "Visualizador de casos coronavirus COVID-19 en Uruguay". Sistema Nacional de Emergencias (in الإسبانية). Retrieved 23 September 2020.
  238. ^ "Actualitat coronavirus". www.govern.ad (in الكتالانية). Govern d'Andorra. Retrieved 22 September 2020.
  239. ^ "Coronavirus au Togo" (in الفرنسية). Retrieved 19 September 2020.
  240. ^ "Sākumlapa | Covid-19". covid19.gov.lv (in اللاتفية). 23 September 2020.
  241. ^ "Office of Director of Health Services". Facebook (in الإنجليزية). Retrieved 17 September 2020.
  242. ^ "Coronavirus: three new cases announced on Sunday (Updated)". Cyprus Mail (in الإنجليزية البريطانية). 13 September 2020. Retrieved 13 September 2020.
  243. ^ "COVID-19 – current cases". Ministry of Health (New Zealand). Retrieved 21 September 2020.{{cite web}}: CS1 maint: url-status (link)
  244. ^ "Ministère de la Santé - Burkina Faso". www.facebook.com (in الإنجليزية). Retrieved 4 June 2020.
  245. ^ "TABLEAU DE BORD COVID-19" (in الفرنسية). Ministry of Health (Burkina Faso). Retrieved 6 September 2020.
  246. ^ أ ب Botswana Government (14 September 2020). "COVID 19 CASE REPORT". Facebook. Retrieved 15 September 2020.
  247. ^ "COVID-19 Botswana Dashboard". covid19portal.gov.bw. Botswana Government. 14 September 2020. Retrieved 15 September 2020.
  248. ^ "National Public Health Institute of Liberia-NPHIL". www.facebook.com. Retrieved 15 September 2020.
  249. ^ "Lesotho COVID-19 UPDATES". Retrieved 10 September 2020.
  250. ^ "COVID-19". USVI Department of Health. Retrieved 16 September 2020.
  251. ^ "Coronavirus Covid-19". service-public.pf. Retrieved 19 September 2020.{{cite web}}: CS1 maint: url-status (link)
  252. ^ "Évolution du Coronavirus au Niger en temps réel – Coronavirus, Covid19" (in الإنجليزية الأمريكية). Retrieved 13 September 2020.
  253. ^ "U.S. Navy COVID-19 Updates". Navy Live (in الإنجليزية الأمريكية). 12 April 2020. Retrieved 29 April 2020.
  254. ^ "USS Theodore Roosevelt resumes operations more than two months after COVID-19 outbreak began". The San Diego Union-Tribun (in الإنجليزية الأمريكية). 4 June 2020.
  255. ^ "Ministère de la Santé Publique du Tchad". www.facebook.com (in الإنجليزية). Retrieved 15 September 2020.
  256. ^ أ ب "Florence Parly s'exprime devant les députés de la commission de la Défense nationale et des forces armées". defense.gouv.fr. 17 April 2020.
  257. ^ @Armees_Gouv (15 April 2020). "Le 13 avril au soir, tous les éléments du groupe aéronaval ont rejoint leurs bases. ▶️ Une suspicion d'épidémie de #Covid19 à bord a motivé la décision immédiate de @florence_parly d'anticiper son retour alors qu'il avait déjà atteint ses objectifs opérationnels. ➕ d'infos ⤵️" (Tweet) – via Twitter. {{cite web}}: Cite has empty unknown parameter: |dead-url= (help)
  258. ^ "Coronavirus : près de 700 marins positifs au Covid-19, la majorité sur le porte-avions Charles de Gaulle". francebleu.fr. 15 April 2020.
  259. ^ "Twenty sailors hospitalised after Covid-19 hits French aircraft carrier". RFI. 16 April 2020.
  260. ^ "TRANG TIN VỀ DỊCH BỆNH VIÊM ĐƯỜNG HÔ HẤP CẤP COVID-19" (in الفيتنامية). BỘ Y TẾ (Ministry of Health). Retrieved 18 September 2020.
  261. ^ "Situação Actual em São Tomé e Príncipe". Retrieved 19 September 2020.
  262. ^ "COVID-19 DASHBOARD, Somalia". moh.gov.so (in الإنجليزية). Retrieved 15 September 2020.
  263. ^ Maxamed, Khadar (5 July 2020). "Somaliland oo diiwaangelisay Kiisas Cusub oo Xannuunka Covid-19". Wargeyska Dawan (in الإنجليزية الأمريكية). Retrieved 5 July 2020.
  264. ^ Информация о новой коронавирусной инфекции COVID19 » Министерство здравоохранения Луганской Народной Республики (in الروسية). Retrieved 7 September 2020.
  265. ^ "Aggiornamento epidemia da Covid-19 del 5 settembre". www.iss.sm. Retrieved 15 September 2020.
  266. ^ 国内感染者1万6395人 死者773人(クルーズ船除く)新型コロナ. nhk.or.jp (in اليابانية). 20 May 2020.
  267. ^ "How lax rules, missed warnings led to Japan's second coronavirus cruise-ship hot spot". Reuters (in الإنجليزية). 7 May 2020. Retrieved 9 May 2020.
  268. ^ "KKTC Sağlık Bakanlığı". saglik.gov.ct.tr (in التركية). Retrieved 19 September 2020.
  269. ^ أ ب ت "Coronavirus live updates | Ban on entering and exiting Tbilisi lifted". OC Media (in الإنجليزية الأمريكية). 7 September 2020. Retrieved 7 September 2020.
  270. ^ "7th person dies of coronavirus in Russian-occupied Abkhazia". Agenda.ge.
  271. ^ "TCI COVID-19 DASHBOARD 22 September 2020". Government of Turks and Caicos. Retrieved 23 September 2020.
  272. ^ "UPDATE on the Coronavirus Disease COVID-19". Government of Sint Maarten. Retrieved 23 September 2020.
  273. ^ "Official Covid-19 website". covid19.info.gov.pg. 28 August 2020. Retrieved 16 September 2020.{{cite web}}: CS1 maint: url-status (link)
  274. ^ 國內新增2例境外移入COVID-19病例,均自菲律賓入境. www.cdc.gov.tw.
  275. ^ "首頁-衛生福利部疾病管制署" (in Chinese (Taiwan)). Taiwan Centres for Disease Control. Retrieved 19 September 2020.
  276. ^ "467 cas de Coronavirus aux Comores, 10 nouveaux à Ngazidja". Comores-Infos (in الفرنسية). Retrieved 16 September 2020.
  277. ^ "Fin de la propagation de l'épidémie Coronavirus aux Comores ?". Comores-Infos (in الفرنسية). Retrieved 23 September 2020.
  278. ^ Burundi Government [@BurundiGov] (24 August 2020). "Mise à jour de la situation épidémiologique de la #COVIDー19 au 6 sept 2020" (Tweet) (in الفرنسية). Retrieved 7 September 2020 – via Twitter. {{cite web}}: Cite has empty unknown parameter: |dead-url= (help)
  279. ^ "Corona í Føroyum". Corona í Føroyum (in الإنجليزية). Retrieved 17 September 2020.
  280. ^ "Overvågning af COVID-19" (in الدانمركية). Statens Serum Institut (State Serum Institute). 18 August 2020. Retrieved 3 September 2020.
  281. ^ "Coronavirus (COVID-19) cases" (in الإنجليزية). States of Jersey. Retrieved 19 September 2020.
  282. ^ "Announcement from the Ministry of Health". www.shabait.com. 15 September 2020. Retrieved 15 September 2020.
  283. ^ "Covid19 | Coronavirus Mauritius". covid19 (in الإنجليزية الأمريكية). Retrieved 7 September 2020.
  284. ^ "COVID-19 Information Update". Government of Gibraltar via Twitter. Retrieved 20 September 2020.
  285. ^ "Իրազակում". 15 September 2020.
  286. ^ أ ب "Latest updates". Isle of Man Government. Retrieved 14 September 2020.
  287. ^ ЭМЯ: 418 хүний шинжилгээнд коронавирус илрээгүй. Өнөөдөр нэг хүн эдгэрч, эмнэлгээс гарлаа. ikon.mn (in المنغولية). 15 September 2020. Retrieved 15 September 2020.
  288. ^ "COVID-19 Update: "10 new cases reported on September 23, 2020"". Curacao Chronicle. Retrieved 23 September 2020.
  289. ^ "COVID-19 Tracking System". Ministry of Health of Cambodia. Retrieved 14 September 2020.
  290. ^ "COVID-19 in Bhutan". Government of Bhutan. Retrieved 23 September 2020.
  291. ^ Public Health Services. "COVID-19 Coronavirus – Testing results". www.gov.gg (in الإنجليزية). St Peter Port. Retrieved 18 September 2020.
  292. ^ "COVID-19 Statistics For The Cayman Islands". Cayman Islands Government. 11 September 2020.
  293. ^ "COVID-19 Update For September 22, 2020". Barbados GIS. 22 September 2020.
  294. ^ "Novel Coronavirus (COVID-19)". www.gov.bm (in الإنجليزية). 15 September 2020. Retrieved 15 September 2020.
  295. ^ "Covid-19 : deux nouveaux cas positifs et trois guérisons ce dimanche 13 septembre". 13 September 2020.
  296. ^ @ngs_ken_iryou (25 April 2020). 令和2年4月25日(土)18時現在、長崎県内の新型コロナウイルス感染症状況 (Tweet) – via Twitter. {{cite web}}: Cite has empty unknown parameter: |dead-url= (help)
  297. ^ "Virus-hit Italian cruise ship leaves Nagasaki". The Japan Times.
  298. ^ "Ministry of Health – pressreleaseCOVID-19". www.moh.tgov.bn. Retrieved 15 September 2020.
  299. ^ "COVID-19 Hub". The Scoop. Retrieved 7 September 2020.
  300. ^ "COVID-19 in Seychelles". Department of Health. Retrieved 15 September 2020.
  301. ^ "Nearly 130, Including Australians, On Antarctic Cruise Ship Have Coronavirus". 10daily (in الإنجليزية). Retrieved 8 April 2020.
  302. ^ "El Sinae confirmó décimo fallecido y 528 casos positivos". radiouruguay.uy.
  303. ^ "Ministerium für Gesellschaft" (in الألمانية). 12 September 2020. Retrieved 17 September 2020.
  304. ^ "Government of Antigua and Barbuda". Retrieved 15 September 2020.
  305. ^ "No New Cases Of Covid-19" (in الإنجليزية). 13 September 2020. Retrieved 15 September 2020.
  306. ^ "A Decline In Active COVID-19 Cases Allows For More BVI Businesses To Re Open". 11 September 2020. Retrieved 15 September 2020.
  307. ^ "Two New COVID-19 Cases from BVI (British Virgin Islands)" (PDF). Gov.VC. Government of Saint Vincent & the Grenadines. 2020-09-11. Retrieved 2020-09-15.
  308. ^ "No active COVID-19 cases in SVG". iWitness News. iWitness News. 17 September 2020. Retrieved 18 September 2020.
  309. ^ "Commonwealth Healthcare Corporation". chcc.gov.mp. Retrieved 14 September 2020.
  310. ^ "Special webpage against Epidemics". www.ssm.gov.mo. Retrieved 26 June 2020.
  311. ^ "COVID-19: Two Remain In Isolation, Says Dr Fong" (in الإنجليزية الأمريكية). Retrieved 2020-09-23.
  312. ^ "COVID-19 UPDATES". Ministry of Health and Medical Services (Fiji). Retrieved 15 September 2020.{{cite web}}: CS1 maint: url-status (link)
  313. ^ "COVID-19: Timor-Leste rejects kazu foun, dahuluk dezde loron 15 Maiu" (in التيتم). Retrieved 4 August 2020.
  314. ^ SAINT LUCIA'S COVID-19 DASHBOARD, Ministry of Health and Wellness, 30 July 2020, https://www.covid19response.lc/, retrieved on 10 September 2020 
  315. ^ "BREAKING NEWS: Saint Lucia records 19th COVID-19 case" (Press release). Saint Lucia News Online. 4 June 2020. Retrieved 3 July 2020.
  316. ^ "Info coronavirus Covid-19". gouv.nc (in الفرنسية). Retrieved 6 September 2020.
  317. ^ "Updates - Government of the Commonwealth of Dominica". dominica.gov.dm. 25 August 2020.
  318. ^ "Dominica confirms new case of COVID-19". Dominica News Online. Dominica News Online, Duravision Inc. 17 September 2020. Retrieved 18 September 2020.
  319. ^ "وزارة الصحة العمومية تؤكد استقرار في حالات الإصابة اليومية بفيروس كورونا". Sahara Press Service. Retrieved 2020-09-07.
  320. ^ "GIS - Government Information Service of Grenada". www.facebook.com. Retrieved 18 June 2020.
  321. ^ "Covid-19 update 15 may 2020". NOW Grenada. 30 July 2020. Retrieved 30 July 2020.
  322. ^ "ຄະນະສະເພາະກິດເພື່ອປ້ອງກັນ, ຄວບຄຸມ ແລະ ແກ້ໄຂການລະບາດ: ຂອງພະຍາດອັກເສບປອດ ຈາກເຊື້ອຈຸລະໂລກສາຍພັນໃຫມ່ (COVID-19)" (in اللاوية). Retrieved 15 September 2020.
  323. ^ "GOVERNMENT OF ST. KITTS AND NEVIS – COVID – 19 UPDATES". Retrieved 10 August 2020.
  324. ^ Openbaar Lichaam Bonaire (15 September 2020). "Cijfers COVID-19". Facebook. Retrieved 16 September 2020.
  325. ^ "Coronavirus-ip nutaap siaruarnera malinnaaffigiuk" (in الدانمركية and الكالاليست).
  326. ^ "Overvågning af COVID-19" (in الدانمركية). Statens Serum Institut (State Serum Institute). 13 August 2020. Retrieved 14 August 2020.
  327. ^ "COVID-19 Public update 30 April 2020". Falkland Islands Government. Retrieved 1 May 2020.
  328. ^ "Covid-19 - Government of Montserrat". Government of Montserrat. Retrieved 8 August 2020.
  329. ^ Hines, Morgan; Deerwester, Jayme. "Holland America ships caught in COVID-19 pandemic dock in Florida; here's how disembarkation will work". USA TODAY (in الإنجليزية الأمريكية). Retrieved 3 April 2020. {{cite web}}: Unknown parameter |name-list-format= ignored (|name-list-style= suggested) (help)
  330. ^ "Statement Regarding Zaandam | Holland America Blog" (in الإنجليزية الأمريكية). Retrieved 1 April 2020.
  331. ^ "Deal is done: Cruise ship with sick passengers and sister ship will be allowed to dock in Florida". NBC News (in الإنجليزية). Retrieved 2 April 2020.
  332. ^ "Indonesian crew member of virus-hit Zaandam cruise ship dies in Florida". South China Morning Post (in الإنجليزية). 10 April 2020. Retrieved 11 April 2020.
  333. ^ Freeman, Marc. "After two deaths on board, Coral Princess cruise ship gets Miami welcome". orlandosentinel.com. Retrieved 5 April 2020. {{cite web}}: Unknown parameter |name-list-format= ignored (|name-list-style= suggested) (help)
  334. ^ "Passengers on the Coral Princess are still trying to get home". CNN Travel. 1 January 2020. Retrieved 19 June 2020.
  335. ^ "Dichiarazione del Direttore della Sala Stampa della Santa Sede, Matteo Bruni, 06.06.2020". Officialthe Holy See website. Retrieved 7 June 2020.
  336. ^ "Coronavirus Update (COVID-19) Sint Eustatius September 15th 2020". The Government of Sint Eustatius via Facebook. Retrieved 16 September 2020.
  337. ^ "500 étudiants en fac de médecine testés positifs au Covid-19 après des soirées d'intégration". www.cnews.fr (in الفرنسية). Retrieved 7 September 2020.
  338. ^ "Saint Pierre and Miquelon: WHO Coronavirus Disease (COVID-19) Dashboard". covid19.who.int. Retrieved 16 September 2020.
  339. ^ أ ب "Zr.Ms. Dolfijn breekt reis af vanwege corona - Nieuwsbericht - Defensie.nl". www.defensie.nl (in الهولندية). 30 March 2020.
  340. ^ "RIVM De zorg voor morgen begint vandaag". www.rivm.nl (in الهولندية).
  341. ^ "Actuele informatie over het nieuwe coronavirus (COVID-19)". www.rivm.nl.
  342. ^ "Bemanning onderzeeboot Dolfijn na corona-besmetting weer uit isolatie". Noordhollands Dagblad (in الفلمنكية). Retrieved 19 June 2020.
  343. ^ "COVID 19 Update September 9, 2020". Government of Saba via Facebook. Retrieved 10 September 2020.
  344. ^ "Results Negative for COVID-19 in Sudden Death Investigation; All Three Confirmed Cases Now". COVID-19: The Anguillian Response. Retrieved 27 April 2020.
  345. ^ Mwai, Peter; Giles, Christopher (19 June 2020). "Coronavirus in Tanzania: What do we know?". BBC Reality Check.
  346. ^ أ ب "Covid-19: Tanzania updates will resume after improvements at national laboratory". THECITIZEN (in الفرنسية). Retrieved 8 May 2020.
  347. ^ أ ب "Zanzibar confirms 29 new cases, plus 11 recoveries". ippmedia.com (in الفرنسية). Retrieved 8 May 2020.
  348. ^ أ ب ت ث Hui DS, I Azhar E, Madani TA, Ntoumi F, Kock R, Dar O, Ippolito G, Mchugh TD, Memish ZA, Drosten C, Zumla A, Petersen E. The continuing 2019-nCoV epidemic threat of novel coronaviruses to global health – The latest 2019 novel coronavirus outbreak in Wuhan, China. Int J Infect Dis. 2020 Jan 14;91:264–266. doi:10.1016/j.ijid.2020.01.009. PMID 31953166.open access
  349. ^ Government of Ontario
  350. ^ "Experts explain the latest bulletin of unknown cause of viral pneumonia". Wuhan Municipal Health Commission. 11 January 2020. Archived from the original on 11 January 2020. Retrieved 11 January 2020.
  351. ^ "WHO Director-General's statement on the advice of the IHR Emergency Committee on Novel Coronavirus". www.who.int.
  352. ^ أ ب خطأ استشهاد: وسم <ref> غير صحيح؛ لا نص تم توفيره للمراجع المسماة GI2020Update
  353. ^ "全国新型肺炎疫情实时动态 - 丁香园·丁香医生". 3g.dxy.cn. Retrieved 2020-01-31.
  354. ^ "China confirms human-to-human transmission of new coronavirus". Canadian Broadcasting Corporation. 20 January 2020. Archived from the original on 20 January 2020. Retrieved 21 January 2020.
  355. ^ The Coronavirus Is Now Infecting More People Outside China. Wired (30 January 2020). Retrieved on 30 January 2020.
  356. ^ https://www.bbc.co.uk/news/health-51325192
  357. ^ "Coronavirus declared global health emergency". BBC News Online. 30 January 2020. Archived from the original on 30 January 2020. Retrieved 30 January 2020.
  358. ^ Wee, Sui-Lee; McNeil Jr., Donald G.; Hernández, Javier C. (30 January 2020). "W.H.O. Declares Global Emergency as Wuhan Coronavirus Spreads". The New York Times. Retrieved 30 January 2020.
  359. ^ "Statement on the second meeting of the International Health Regulations (2005) Emergency Committee regarding the outbreak of novel coronavirus (2019-nCoV)". World Health Organization (WHO). 30 January 2020. Retrieved 30 January 2020.
  360. ^ Novel Coronavirus (2019-nCoV): Situation Report - 10 (30 January 2020). World Health Organization (WHO). 30 January 2020. Archived from the original. You must specify the date the archive was made using the |archivedate= parameter. https://www.who.int/docs/default-source/coronaviruse/situation-reports/20200130-sitrep-10-ncov.pdf?sfvrsn=d0b2e480_2. Retrieved on 30 January 2020. 
  361. ^ "منها تأثر حاسة السمع.. «الصحة» تكشف عن أعراض فيروس كورونا الجديدة". الوطن نيوز. 2021-03-31. Retrieved 2021-04-01.
  362. ^ CDC (5 February 2020). "CDC Tests for 2019-nCoV". Centers for Disease Control and Prevention. Archived from the original on 14 February 2020. Retrieved 12 February 2020. {{cite web}}: Unknown parameter |name-list-format= ignored (|name-list-style= suggested) (help)
  363. ^ "Laboratory testing for 2019 novel coronavirus (2019-nCoV) in suspected human cases". World Health Organization (WHO). Retrieved 13 March 2020.
  364. ^ "2019 Novel Coronavirus (2019-nCoV) Situation Summary". Centers for Disease Control and Prevention. 30 January 2020. Archived from the original on 26 January 2020. Retrieved 30 January 2020. {{cite web}}: Unknown parameter |name-list-format= ignored (|name-list-style= suggested) (help)
  365. ^ "Real-Time RT-PCR Panel for Detection 2019-nCoV". Centers for Disease Control and Prevention. 29 January 2020. Archived from the original on 30 January 2020. Retrieved 1 February 2020. {{cite web}}: Unknown parameter |name-list-format= ignored (|name-list-style= suggested) (help)
  366. ^ "Curetis Group Company Ares Genetics and BGI Group Collaborate to Offer Next-Generation Sequencing and PCR-based Coronavirus (2019-nCoV) Testing in Europe". GlobeNewswire News Room. 30 January 2020. Archived from the original on 31 January 2020. Retrieved 1 February 2020. {{cite web}}: Unknown parameter |name-list-format= ignored (|name-list-style= suggested) (help)
  367. ^ Brueck, Hilary (30 January 2020). "There's only one way to know if you have the coronavirus, and it involves machines full of spit and mucus". Business Insider. Archived from the original on 1 February 2020. Retrieved 1 February 2020. {{cite web}}: Unknown parameter |name-list-format= ignored (|name-list-style= suggested) (help)
  368. ^ "Laboratory testing for 2019 novel coronavirus (2019-nCoV) in suspected human cases". Archived from the original on 21 February 2020. Retrieved 26 February 2020.
  369. ^ Cohen J, Normile D (January 2020). "New SARS-like virus in China triggers alarm" (PDF). Science. 367 (6475): 234–35. doi:10.1126/science.367.6475.234. PMID 31949058. Archived (PDF) from the original on 11 February 2020. Retrieved 11 February 2020.
  370. ^ "Severe acute respiratory syndrome coronavirus 2 data hub". NCBI. Retrieved 4 March 2020. {{cite web}}: Unknown parameter |name-list-format= ignored (|name-list-style= suggested) (help)CS1 maint: url-status (link)
  371. ^ Pang J, Wang MX, Ang IY, Tan SH, Lewis RF, Chen JI, et al. (February 2020). "Potential Rapid Diagnostics, Vaccine and Therapeutics for 2019 Novel Coronavirus (2019-nCoV): A Systematic Review". Journal of Clinical Medicine. 9 (3): 623. doi:10.3390/jcm9030623. PMID 32110875.{{cite journal}}: CS1 maint: unflagged free DOI (link)
  372. ^ Jin YH, Cai L, Cheng ZS, Cheng H, Deng T, Fan YP, et al. (February 2020). "A rapid advice guideline for the diagnosis and treatment of 2019 novel coronavirus (2019-nCoV) infected pneumonia (standard version)". Military Medical Research. 7 (1): 4. doi:10.1186/s40779-020-0233-6. PMC 7003341. PMID 32029004.
  373. ^ خطأ استشهاد: وسم <ref> غير صحيح؛ لا نص تم توفيره للمراجع المسماة :4
  374. ^ Bai Y, Yao L, Wei T, Tian F, Jin DY, Chen L, et al. (February 2020). "Presumed Asymptomatic Carrier Transmission of COVID-19". JAMA. doi:10.1001/jama.2020.2565. PMC 7042844. PMID 32083643.
  375. ^ "oxford-scientists-develop-new-coronavirus-test-that-provides-results-in-just-30-minutes/". techcrunch.com. 2020-03-18. Retrieved 2020-03-19.
  376. ^ "اختبار يكشف عن فيروس كورونا في نصف ساعة". كريسپ. 2020-03-18. Retrieved 2020-03-19.
  377. ^ "Here Are the First Images of How Coronavirus Replicates in Cells". بلومبرگ. 2020-01-31. Retrieved 2020-02-02.
  378. ^ "China confirms human-to-human transmission of new coronavirus". Canadian Broadcasting Corporation. 20 January 2020. Retrieved 21 January 2020.{{cite news}}: CS1 maint: url-status (link)
  379. ^ Sample CoVZC45 and CoVZXC21, see there for an interactive visualization
  380. ^ "The 2019 new Coronavirus epidemic: evidence for virus evolution". doi:10.1101/2020.01.24.915157v1 (inactive 2020-01-25). {{cite journal}}: Cite journal requires |journal= (help)CS1 maint: DOI inactive as of يناير 2020 (link)
  381. ^ Wuhan Institue of Virology (January 23, 2020). "Discovery of a novel coronavirus associated with the recent pneumonia outbreak in humans and its potential bat origin". bioRxiv. doi:10.1101/2020.01.22.914952v2 (inactive 2020-01-25). Retrieved January 24, 2020. {{cite journal}}: Cite journal requires |journal= (help)CS1 maint: DOI inactive as of يناير 2020 (link)
  382. ^ "auspice". nextstrain.org.
  383. ^ "البحث عن المريض رقم صفر: تحديد أقدم حالة ظهور لفيروس كورونا في الصين". إم آي تي تكنولوجي رڤيو. 2020-03-14. Retrieved 2020-04-05.
  384. ^ "Al-Qamoos القاموس - English Arabic dictionary / قاموس إنجليزي عربي". القاموس. 2020-01-20. Retrieved 2020-01-20.
  385. ^ "=Phylogeny of SARS-like betacoronaviruses". سي إن إن. 2020-01-18. Retrieved 2020-01-18.
  386. ^ "Initial genome release of novel coronavirus". virological.org. 2020-01-11. Retrieved 2020-01-14.
  387. ^ "Evolution of the novel coronavirus from the ongoing Wuhan outbreak and modeling of its spike protein for risk of human transmission". SCIENCE CHINA Life Sciences. doi:10.1007/s11427-020-1637-5 (inactive 2020-01-24). Retrieved 23 January 2020.{{cite journal}}: CS1 maint: DOI inactive as of يناير 2020 (link)
  388. ^ Letko, Michael; Munster, Vincent (2020-01-22). "Functional assessment of cell entry and receptor usage for lineage B β-coronaviruses, including 2019-nCoV". BiorXiv. doi:10.1101/2020.01.22.915660. Retrieved 24 January 2020.
  389. ^ Zhou, Peng; Shi, Zheng-Li (2020). "Discovery of a novel coronavirus associated with the recent pneumonia outbreak in humans and its potential bat origin". BiorXiv. doi:10.1101/2020.01.22.914952. Retrieved 24 January 2020.
  390. ^ Gralinski, Lisa E.; Menachery, Vineet D. (2020). "Return of the Coronavirus: 2019-nCoV". Viruses. 12 (2): 135. doi:10.3390/v12020135.{{cite journal}}: CS1 maint: unflagged free DOI (link)
  391. ^ Gruber, Christian; Steinkellner, Georg (23 January 2020). "Wuhan coronavirus 2019-nCoV - what we can find out on a structural bioinformatics level". Innophore Enzyme Discovery. Innophore GmbH.
  392. ^ "上海药物所和上海科技大学联合发现一批可能对新型肺炎有治疗作用的老药和中药" (in Chinese). People's Republic of China: Chinese Academy of Sciences. 2020-01-25.{{cite web}}: CS1 maint: unrecognized language (link)
  393. ^ "COVID-19 could cause erectile dysfunction in patients who have recovered from the virus, doctor warns". دايلي ميل. 2020-12-06. Retrieved 2020-12-06.
  394. ^ "WHO says new China coronavirus could spread, warns hospitals worldwide". Reuters. 14 January 2020. Retrieved 21 January 2020.
  395. ^ Paules, Catharine I.; Marston, Hilary D.; Fauci, Anthony S. (23 January 2020). "Coronavirus Infections—More Than Just the Common Cold". JAMA. doi:10.1001/jama.2020.0757.
  396. ^ "中国科学院上海药物研究所和上海科技大学联合研究团队发现一批可能对新型肺炎有治疗作用的老药和中药". WeChat Official Accounts Platform.
  397. ^ "مفاجأة.. "جلعاد" الإسرائيلية صاحبة تطوير علاج فيروس كورونا الجديد بعد مفاوضات صينية". أخبارك. 2020-01-26. Retrieved 2020-02-27.
  398. ^ "Gilead starts two late-stage studies to test drug for coronavirus". رويترز. 2020-02-26. Retrieved 2020-02-27.
  399. ^ أ ب Steenhuysen, Julie; Kelland, Kate (2020-01-24). "With Wuhan virus genetic code in hand, scientists begin work on a vaccine". Thomson Reuters. Archived from the original on 2020-01-25. Retrieved 2020-01-25.
  400. ^ أ ب "Saskatchewan lab joins global effort to develop coronavirus vaccine". Canadian Broadcasting Corporation. 2020-01-24. Archived from the original on 2020-01-25. Retrieved 2020-01-25.
  401. ^ أ ب Devlin, Hannah (2020-01-24). "Lessons from Sars outbreak help in race for coronavirus vaccine". The Guardian. Archived from the original on 2020-01-25. Retrieved 2020-01-25.
  402. ^ "Saskatchewan lab joins global effort to develop coronavirus vaccine". ca.news.yahoo.com.
  403. ^ "Favipiravir shows good clinical efficacy in treating COVID-19: official". وكالة أنباء شين‌خوا. 2020-03-17. Retrieved 2020-03-18.
  404. ^ "بحث علمي جديد: "استعداد جيني" يبرر الإصابة الحادة بكورونا". الوطن. 2021-02-23. Retrieved 2021-02-24.
  405. ^ "ما الذي نعرفه عن السلالة الجديدة لـ«كوفيد - 19»؟". جريدة الشرق الأوسط. 2020-12-20. Retrieved 2020-12-20.
  406. ^ "هولندا تحظر الرحلات الجوية من بريطانيا بعد ظهور سلالة جديدة من الفيروس فيها". روسيا اليوم. 2020-12-20. Retrieved 2020-12-20.
  407. ^ "تحذير من متحور كورونا الجديد: اللقاحات قد تكون أقل فعالية". سكاي نيوز. 2021-11-25. Retrieved 2021-11-26.
  408. ^ "نيو كوف.. نوع من فيروسات كورونا يحذر منه علماء صينيون من ووهان". الجزيرة. 2022-01-28. Retrieved 2022-01-28.
  409. ^ "Oxygen Scarcity Swells Covid-19's Death Toll". وال ستريت جورنال. 2021-01-25. Retrieved 2021-01-29.
  410. ^ "Exclusive: U.S. diabetes deaths top 100,000 for second straight year". رويترز. 2022-01-31. Retrieved 2022-01-31.

وصلات خارجية