فرط ضغط الدم الرئوي
| فرط ضغط الدم الرئوي Pulmonary hypertension | |
|---|---|
| الأسماء الأخرى | فرط ضغط الدم الرئوي الشرياني،[1] متلازمة أيرزا[2] |
| فرط ضغط الدم الرئوي. | |
| التخصص | طب الرئة، طب القلب |
| البداية المعتادة | 20 إلى 60 سنة[3] |
| المدة | طويل المدى[1] |
| المسببات | غير معروفة[1] |
| عوامل الخطر | التاريخ العائلي، الانصمام الرئوي، متلازمة نقص المناعة المكتسبة، فقر الدم المنجلي، تعاطي الكوكايين، داء الانسداد الرئوي المزمن، انقطاع النفس النومي، المعيشة في أماكن شديدة الارتفاع[4][3] |
| الطريقة التشخيصية | بعد الكشف عن عدم وجود أسباب أخرى محتملة[1] |
| العلاج | الرعاية التدعيمية، الأدوية، زرع الرئة[1][5] |
| الدواء | Epoprostenol, treprostinil, iloprost, bosentan, ambrisentan, macitentan, sildenafil[1] |
| التردد | 1.000 حالة جديدة سنوياً (الولايات المتحدة)[2] |
فرط ضغط الدم الرئوي Pulmonary Hypertension، هو زيادة ضغط الدم داخل الشريان الرئوي أو الوريد الرئوي أو الشعيرات الدموية الرئوية (جميعها تعرف بالأوعية الرئوية أو أوعية الدورة الدموية الصغرى)، وزيادة الضغط في هذه الأوعية يؤدي إلى ظهور بعض الأعراض كضيق النّفس، الدوار، الاغماء، تورّم القدم والعديد من الأعراض الأخرى، التي تتفاقم جميعها مع ازدياد المجهود الجسدي. من الممكن أن يكون فرط ضغط الدّم الرئوي شديد جداً، مما يؤدي إلى قلة تحمل الجسم للتمارين الرياضيّة، تماماً كما يحدث في حالات الفشل القلبي.
أول من تعرف على هذا المرض هو الدكتور إرنست فون رومبيرگ في عام 1891.[6] بناءً على أحدث التصنيفات، يمكن تقسيم فرط ضغط الدم الرئوي إلى ستة انواع مختلفة (كما هي مذكورة في الأسفل).[7]
الأعراض والعلامات
الأعراض بشكل عام تتطور تدريجياً وبشكل بطيء (أي تأخذ وقتاً لتصبح واضحة للمريض) مما يؤخر زيارة المريض للطبيب عدة سنوات. أكثر الأعراض شيوعاَ هي:
- ضيق النفس
- الاعياء
- السعال الجاف
- الذبحة الصدرية
- الاغماء أو فقدان الوعي
- وذمة الأطراف (الاستسقاء والتورّم حول الكاحل والقدم) ونادراً ما قد يحدث نفث الدم (سعال مصحوب بدم).
فرط ضغط الدم الرئوي الوريدي (الذي يكون في الوريد الرئوي) يَظهر عادةً مع أعراض ضيق النفس الإضّجاعي أو ضيق النَفس اللَّيلِي الانتيابي (وهو ضيق النفس عند الاضجاع أو النوم)، بينما فرط ضغط الدم الرئوي الشرياني لا يُظهر هذا النوع من الأعراض. يتم اخذ تاريخ عائلي شامل لتحديد ما اذا كان المرض متوارث عائلياَ. وأخذ تاريخ التّعرّض لبعض انواع الأدوية والمواد مثل الكوكايين، الميثامفيتامين، الإيثانول (الذي يؤدي إلى التشّمع الرئوي) والتّبغ (الذي يؤدي إلى نُفاخ الرئة).
يتم اجراء الفحص السريري للبحث عن علامات فرط ضغط الدم الرئوي، من هذه العلامات انفصال صوت القلب الثاني (S2) وارتفاع صوت انغلاق الصمام الرئوي بالاضافة إلى صوت رفيع (كصوت التنهيدة) يتم سماعه بجانب عظمة القص والذي يشير إلى تضّخّم في عضلة الأُذين الأيمن في القلب.
قد يحدث احتقان عام في أجهزة الجسم المختلفة نتيجة فشل الجانب القلبي الأيمن، ومن علاماته تمدد الوريد الوداجي، الوذمة القدميّة (تجمع السوائل في القدم)، الاستسقاء، المنعكس الكبدي الوداجي، التعجّر وغيرها. يتم البحث ايضاً عن دلائل قصور الصمام ثلاثي الشرفات ودلائل قلس الصمام الرئوي (ارتجاع الصمام الرئوي) حيث يعتبر وجودها دليل على وجود فرط ضغط الدم الرئوي.
الأسباب
في عام 1973 تم عقد أول اجتماع يسعى لوضع تصنيفات لمرض فرط ضغط الدم الرئوي من قبل منظمة الصحة العالمية. تم فيه توضيح الفرق بين فرط ضغط الدم الرئوي الأوّلي وفرط ضغط الدم الرئوي الثانوي، ثم تم تقسيم فرط ضغط الدم الرئوي الأوّلي إلى "الآفات الشريانية" و"الوريدي الانسدادي" و"المتعلق بالامراض التخثرية والانصمامية".[8] تمّ عقد مؤتمر آخر عام 1998 في مدينة إڤيان الفرنسية بُيّنت فيه اسباب فرط ضغط الدم الرئوي الثانوي (الثانوي هو الناتج عن أمراض أخرى أدّت إلى حدوثه).[9]
التصنيف
في عام 2008، عُقدت رابع ندوة تتحدث عن فرط ضغط الدم الرئوي الشرياني في دانا پوينت في كاليفورنيا لتعديل التصنيفات بناء على المفهومات الجديدة التي توضّحت حول آلية حدوث المرض. النظام المعدّل الذي تم تطويره بواسطة هذه المجموعة هو الاساس الحالي في فهم مرض فرط ضغط الدم الرئوي.[7] النظام يحوي عدة تعديلات وتحسينات عمّا كان عليه نظام البندقية (فينيجيا) التصنيفي السابق عام 2004. يمكن تلخيص نظام دانا بوينت التصنيفي المُحَدّث لعام 2008 كالتّالي[7]:
المجموعة الاولى ضمن منظمة الصحة العالمية - فرط ضغط الدم الرئوي الشرياني:
- فرط ضغط الدم الرئوي الشرياني مجهول السبب.
- فرط ضغط الدم الرئوي الشرياني الوراثي.
أسبابه:
- طفرة في جين المستقبل المسؤول عن بروتينات تكوين العظم BMPR2.
- طفرة في جين ALK1 و endoglin المسؤولين عن انتاج المُستقبل الخاص بعامل النمو (β-TGF)، قد يكون مصحوب بمرض توسع الشعيرات النزفي الوراثي والذي اساسه هو الطفرة في هذه الجينات.
- طفرة مجهولة.
- فرط ضغط الدم الشرياني الرئوي الناتج من الأدوية والسموم.
- فرط ضغط الدم الشرياني الرئوي المصحوب بــ
- مرض النَسيج الضام.
- الاصابة بفايروس الايدز HIV
- فرط ضغط الدم البابي
- امراض قلب خلقية
- البلهارسيا
- فقر الدم الانحلالي المزمن (مثل الأنيميا المنجلية).
- فرط ضغط الدم الرئوي المستمر عند الاطفال حديثي الولادة.
- يتفرّع من هذه المجموعة فرع ثانوي يحوي مرض "الانسداد الوريدي الرئوي" ومرض "الوُرام الوعائي في الشعيرات الدموية الرئوية".
المجموعة الثانية ضمن منظمة الصحة العالمية - فرط ضغط الدم الرئوي الناتج عن امراض الجانب الايسر من القلب:
- خلل في الانقباض.
- خلل في الانبساط.
- امراض في صمامات القلب.
المجموعة الثالثة ضمن منظمة الصحة العالمية - فرط ضغط الدم الرئوي الناتج عن امراض الرئة أو قلة الأوكسجين:
- الداء الرئوي المُسِد المزمن.
- داء الرئة الخلالي.
- امراض رئوية اخرى تجمع بين الامراض الإنسدادية وأمراض التقييد.
- اضطراب النفس اثناء النوم.
- اضطرابات نقص التهوية في الحويصلات.
- التعرض المزمن للمرتفعات العالية.
- تشوهات رئوية خلقية اثناء النمو.
المجموعة الرابعة ضمن منظمة الصحة العالمية - فرط ضغط الدم الرئوي بسبب امراض تخثرية أو انصمامية مزمنة:
- انصمام رئوي في الشرايين الرئوية القصوى والدنيا (القريبة والبعيدة).
- انصمامية بواسطة اشياء اخرى مثل خلايا ورمية.
المجموعة الخامسة في منظمة الصحة العالمية - فرط ضغط الدم الرئوي الناتج عن أسباب مختلفة ذات آليات غير واضحة:
- أمراض الدم: امراض تكاثرية نقوية، ازالة الطحال.
- أمراض على مستوى اجهزة الجسم: داء الساركويد، داء منسجات خلايا لانجيرهانز الرئوي، ورم عضلي في الاوعية اللمفاوية والدّموية، ورم ليفي عصبي، التهاب الأوعية الدموية.
- أمراض الاضطرابات الأيضية: داء اختزان الجلايكوجين، داء گوشيه، داء الغدة الدرقية.
- أمراض أخرى: انسداد ورمي، التهاب المنصف الليفي، فشل كلوي المزمن.
الإصابة
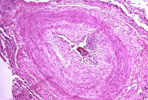
أياً كان السبب الرئيسي للمرض، إنّ فرط ضغط الدم الرئوي الشرياني (الذي يصنف ضمن مجموعة منظمة الصحة العالمية الأولى) يحدث بسبب تضيق الأوعية الدموية الموجودة داخل الرئتين. مما يصّعب على القلب ضخ الدم إلى الرئتين، تماماً كما يحدث في حالة ضخ الماء خلال أنبوبة ضيقة مقارنةً مع ضخه خلال أنبوبة واسعة. مع مرور الزمن فإن الأوعية الدموية المتضررة تصبح أكثر صلابة وغلاظة بسبب عملية تسمى التليف، مما يسبب لاحقاً زيادة في ضغط الدم داخل الرئة واعاقة لتدفق الدم خلالها. تشترك جميع انواع فرط ضغط الدم الرئوي بأن زيادة الجهد المبذول على القلب يؤدي إلى تضخم في عضلة البطين الأيمن مما يجعل القلب اقل قدرة على ضخ الدم إلى الرئتين مسبباً ما يعرف بالفشل القلبي الأيمن (فشل الجانب الأيمن من القلب) وتسمى هذه الحالة كور بالمونيلا. البطين الأيمن يكون عادةَ تحت تأثير نظام يعتمد على الضغط المنخفض، حيث يكون الضغط فيه جزء من ستة أجزاء الضغط الموجود في البطين الأيسر. ولهذا فان البطين الأيمن لا يستطيع التعامل مع ضغط بارتفاع ذاك الموجود في البطين الأيسر، حتى مع ان تضخم عضلات البطين قد تساعده في بادئ الأمر، لكن مع مرور الزمن وزيادة التضخم فانه يصل إلى حالة لا تستطيع معها العضلات الحصول على الاوكسجين الكافي لعملها مما يؤدي إلى الفشل القلبي الأيمن. مع قلة تدفق الدم إلى الرئتين, يقل الدم المتدفق إلى البطين الايسر (لأن القلب اصبح يستقبل كمية أقل من الدم)، هذا الدم عادة يكون محمل بكمية اقل من الاوكسجين. مما يقلل من كمية الدم المنتقلة إلى باقي الجسم عبر الدورة الدموية الكبرى خاصةَ اثناء زيادة النشاطات البدنية.
طريقة تولد فرط ضغط الدم الرئوي الناتج عن فشل الجانب الايسر من القلب (الموجود ضمن مجموعة منظمة الصحة العالمية الثانية) تختلف تماما عن الطريقة السابقة لأنها لا تشمل أي تضيق او تلف في الاوعية الدموية الرئوية. لكن بدلاً عن ذلك، فان الجانب الايسر للقلب يفشل في ضخ كمية كافية من الدم مما يؤدي إلى تجمع الدم داخل الرئتين وتولد ضغط ارتجاعي داخل الدورة الدموية الصغرى. هذا يؤدي إلى امراض مثل وذمة الرئة (استسقاء الرئة) وانصبابات جنبيّة (تجمع سوائل رئوية).
في فرط ضغط الدم الرئوي الناتج عن نقص الاوكسجين (المجموعة الثالثة ضمن منظمة الصحة العالمية) فان قلة مستوى الاوكسجين يؤدي إلى تضيق الشرايين الرئوية، هذه الظاهرة تسمى "تضيق الاوعية الدموية الرئوية الناتجة عن نقص الاوكسجين"، هذه الظاهرة تحدث لحماية ومنع الدم من التدفق إلى الأماكن المتضررة بالرئة والتي لا تحوي أكسجين، لكن إذا كان الضرر في الرئة كبير وُمطوّل، فإن ظاهرة تضيق الأوعية الدموية بفعل نقص الأكسجين تصبح واسعة لتشمل نسبة كبيرة من الأوعية الرئوية.
في فرط ضغط الدم الرئوي الناتج عن الأمراض التخثرية أو الانصمامية المزمنة (المجموعة الرابعة في منظمة الصحة العالمية)، فان الاوعية الدموية تغلق أو تتضيق بفعل جلطات دموية متكررة، هذه الجلطات قد تفرز مواد تؤدي إلى تضيق في الأوعية الدموية. هذا التعاون بين انسداد الأوعية الدموية بفعل الجلطة وتضيّقها بفعل المواد المفرَزة يزيد من مقاومة الاوعية لتدفق الدم مما يؤدي إلى زيادة ضغط الدم داخل الدورة الدموية الصغرى.
علم الأمراض الجزيئي
آلية الاصابة بفرط ضغط الدم الرئوي على مستوى الجزيئات غير معروفة بعد، لكن من المتوقع إن اختلال الاغشية البطانية يؤدي إلى قلة انتاج المواد المضيقة للأوعية الناتجة عن الأغشية البطانية مثل اوكسيد النتريك والبروستاسايكلين. بالاضافة إلى وجود تحفيز لانتاج مواد مضيقة للاوعية الدموية مثل الثرومبوكسان وعامل النمو الوعائي البطاني. كل هذا يؤدي إلى خواص تضيق الاوعية الدموية وتضخم العضلات الملساء التي يتميز بها مريض فرط ضغط الدم الرئوي الشرياني.[10]
في الوضع الطبيعي، انزيم صانع أكسيد النتريك يُنتج اكسيد النتريك من ل-أرجينين في وجود الأكسجين. يتم تفعيل انزيماً مُخلّق الأدنيلات (يكّون منها حلقات) ومّحلّق الجوالينات في وجود اكسيد النتريك، هذان الانزيمان ينتجان أحادي فسفات الادنوسين الحلقي وأحادي فسفات الجوانوسين الحلقي على التوالي. يتم انتاج احادي فسفات الجوانوسين الحلقي بواسطة نوع من الانزيمات محلّقة الجوالينات (الذي هو نوع من أنواع الانزيمات المُحلّقة لانزيم البايروفسفات): انزيم مُحلّق الجوانيلات القابل للذوبان، الذي يقوم بتسريع عملية انتاج احادي فسفات الجوانوسين الحلقي من ثلاثي فسفات الجوانوسين. انزيم مُحلّق الجوانيلات هو مركب مكوّن من وحدتين مختلفتين، وحدة الفا ووحدة بيتا في كل سلسلة. وهو يحوي ايضا محموعة هيم اللازمة لارتباط اكسيد النتريك. الاتحاد بين انزيم مُحلّق الجوانيلات واكسيد النتريك يُنتج تغييرات تركيبية في تكوين الانزيم التي تؤدي إلى تحفيز انتاج احادي فسفات الجوانوسين الحلقي.[11]
في الأغشية البطانية للأوعية، يقوم احادي فسفات الجوانوسين الحلقي بتفعيل انزيم كيناز أحادي فسفات الجوانوسين الحلقي (بروتين كيناز ج)، هذا الانزيم يعود إلى كيناز نوع محدد من بروتين سيرين/ثريونين. بروتين كايناز ج هو دايمر (مركب جزيئي مكون من مركبين متشابهين) مكون من سلسلتي عديد ببتيد متشابهتين يتشاركان نفس التركيب الجزيئي. كل وِحدة منهما تتكون من قِطاع محفّز وقِطاع منظّم. يقوم انزيم كايناز احادي فسفات الجوانوسين بتفعيل قنوات البوتاسيوم وتثبيط قنوات الكالسيوم، هذه العملية تؤدي إلى تقليل نسبة الكالسيوم داخل الخلايا وحدوث توسّع في الاوعية الدموية.[12] انزيم فوسفودايسترايز النوع الخامس، والموجود بكثرة في الأنسجة الرئوية، هو انزيم محلل للروابط الفلزية باستخدام جزيئات الماء، يقوم بتحليل الرابطة الحلقية في أحادي فسفات الجوانوسين الحلقي في وجود أيون الزنك. في الحقيقة، اتحاد أيون الزنك مهم جدا لعمل انزيم فوسفودايسترايز الخامس. هناك سلسة حمض اميني عند الطرف الأميني (القطاع المنظم) لانزيم فوسفودايسترايز الخامس تقوم بربط أحادي فسفات الجوانوسين الحلقي. هذه السلسة مقسمة إلى قِطاعين؛ جاف-أ وجاف-ب؛ لكن فقط جاف-أ هي التي تملك الألفة (الانجذابية) الكافية للارتباط مع أحادي فسفات الجوانوسين الحلقي. هذا الاتحاد يزيد من نشاط الانزيم في التحفيز وهو مثبّت بواسطة الحمض الاميني سيرين (المضاف بواسطة عملية فسفرة بانزيم كايناز). وبناءً على هذا، فإن تركيز أحادي فسفات الجوانوسين الحلقي ينخفض مما يؤدي إلى توقف التوسعة في الاوعية.[12]
يقوم الأشخاص المصابين بمرض فرط ضغط الدم الرئوي الشرياني بانتاج كميات اقل من اكسيد النترك والمواد الاخرى الموسعة للاوعية الدموية وانتاج كميات أكبر من المواد المضيّقة للاوعية. وبناءً على هذا، يكون المسار الجزيئي غير منتظم مؤدياً إلى تضيّق ثابت في الاوعية الدموية. لهذا فان اكسيد النترك ومثبطّات انزيم فوسفودايسترايز الخامس مثل تادالافيل و سلدينافيل هي احدى الأدوية المستخدمة لعلاج هذا المرض.[12] فعلى سبيل المثال، تادالافيل يقوم بعمل توسعة للاوعية الدموية بمساعدة أكسيد النتريك الموجود في البطانة الداخلية للأوعية الرئوية.
التشخيص
لأن فرط ضغط الدم الرئوي يتكون من خمس أنواع رئيسية -فرط ضغط الدم الرئوي الشرياني، الوريدي، الناتج عن قلة الأكسجين، الناتج عن الامراض التخثرية والانصمامية والناتج عن آليات متنوعة-؛ فانه يتم اجراء سلسلة من الاختبارات للتفريق بينها. يتم عمل اجراءات لاحقة للتأكد من وجود فرط ضغط الدم الرئوي واستثناء الامراض الاخرى, هذه الاجراءات تشمل: اختبار وظائف الرئة؛ تحليل الدم لاستبعاد امراض الايدز والكبد وأمراض المناعة الذاتية؛ مخطط كهربائية القلب؛ قياسات غازات الدم الشرياني؛ صورة أشعة سينية للصدر (متبوعة بصورة طبيقية عالية الوضوح اذا تم الشك بوجود امراض رئوية خِلاليّة)؛ واختبار التهوية/التدفق لاستبعاد فرط ضغط الدم نتيجة الامراض التخثرية والانصمامية المزمنة. لا يتم اخذ خزعة من الرئة الا اذا تم الشك بحدوث فرط ضغط الدم نتيجة لامراض رئوية خلالية؛ أيضاً، هناك تخوّفات ان خزعات الرئة قد تسبب نزيف نتيجة الضغط الرئوي البيني العالي. يتم أيضا قياس درجة التحسن طبيّاً عن طريق "اختبار السير لمدة 6 دقائق", بمعنى آخر، يتم حساب المسافة التي يستطيع ان يقطعها المريض خلال 6 دقائق. كلّما كانت نتائج هذا القياس ثابتة ومتحسنة فهي دليل على وجود فرص أفضل للنجاة.
من المطلوب وجود فرط في ضغط الدم الرئوي لتشخيص مرض فرط ضغط الدم الرئوي الشرياني. على الرغم من ان ضغط الشريان الرئوي يمكن تقديره بواسطة مخطط صدى القلب, لكن قياسات الضغط بواسطة قسطرة سوان-جانز من خلال الجانب الأيمن للقلب توفر الوسيلة الأفضل للقياس. ضغط الشريان الرئوي الانسدادي ومقاومة الاوعية الرئوية لا يمكن حسابها مباشرة من مخطط صدى القلب. لهذا فان تشخيص فرط ضغط الدم الرئوي الشرياني يتطلب قسطرة من الجانب الأيمن للقلب. قسطرة سوان-جانز تستطيع ايضا قياس مخرجات القلب، والتي تعتبر أكثر أهمية في حساب حِدّة المرض من قياس ضغط الشريان الرئوي. متوسط الضغط الشرياني الرئوي الطبيعي لشخص يعيش على مستوى سطح البحر يساوي تقريبا 8-20 مم زئبقي في حالة الراحة. فرط ضغط الدم الرئوي يحدث عندما يتجاوز الضغط الشرياني الرئوي 25 مم زئبقي في حالة الراحة.[13] لا يجب الخلط بين "متوسط الضغط الشرياني الرئوي" وبين "الضغط الشرياني الرئوي الانقباضي"، والذي يُسجل غالباً في بيانات مخطط صدى القلب. اذا كان الضغط الشرياني الرئوي الانقباضي يساوي 40 مم زئبقي فان متوسط الضغط الشرياني الرئوي يساوي 25 مم زئبقي. حِسابياً, فان متوسط الضغط الشرياني الرئوي =0.61 * الضغط الشرياني الرئوي الانقباضي + 2.
الفحص السريري
يتم القيام بالفحص السريري للبحث عن الاعراض الاعتيادية لفرط ضغط الدم، وهي تشمل تغيّر في أصوات القلب، مثل انفصال واسع في الصوت الثاني للقلب، ارتفاع صوت انغلاق الصمام الرئوي (هو جزء من صوت القلب الثاني)، صوت كالنهدة يتم سماعه بجوار عظمة القص، وجود وسماع الصوت الثالث للقلب (الذي يكون عادةً غير مسموع) وارتجاع رئوي. هناك علامات اخرى تشمل ارتفاع الضغط في الوريد الوداجي، وذمة طرفيّة (استسقاء في الاطراف كالكاحل والقدم)، استسقاء في البطن نتيجة تجمع السوائل، انعكاس كبدي وداجي وتعجّر الأصابع والأظافر (تخن النهايات).
مخطط صدى القلب
يتم عمل تحليل ميتا عن طريق صدى الصوت الناتج عن تأثير دوبلر للتنبؤ بالقسطرة، هذا يعطي حساسية بنسبة 88% وفعالية بنسبة 56%.[14]
أخرى
4 month old with pulmonary hypertension as seen on ultrasound[15]
4 month old with pulmonary hypertension as seen on ultrasound[15]
4 month old with pulmonary hypertension as seen on ultrasound[15]
4 month old with pulmonary hypertension as seen on ultrasound[15]
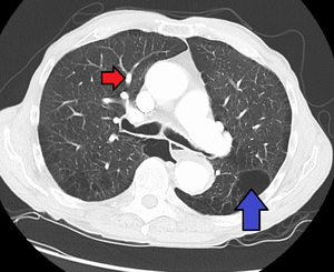
Long standing pulmonary hypertension[16]
العلاج
يتم تحديد طريقة العلاج بناءً على اذا ما كان فرط ضغط الدم الرئوي هو شرياني أو وريدي أو ناتج عن نقص الأكسجين أ انصمامي تخثري او ناتج عن عوامل أخرى. بما أن فرط ضغط الدم الرئوي الوريدي يأتي مترادفاً مع فشل القلب، يكون العلاج أساساً لتحسين وظيفة البطين الأيسر باستخدام مدرّات البول، مضّادات بيتا، مثبطّات الانزيم المحوّل للأنجوتنسين، وغيرها، أو عن طريق اصلاح/استبدال الصمام ثنائي الشرفات (التاجي) أو الصمام الأورطي.
لا ينبغي معالجة المرضى الذين يعانون من فشل الجانب الأيسر للقلب أو أمراض الرئة الناتجة عن نقص الأكسجين (المجموعتين الثانية أو الثالثة لفرط ضغط الدم الرئوي) بالعلاج الروتيني باستخدام المواد الفعّآلة في الاوعية الدموية مثل البروستانويدات أو مثبطّات انزيم فوسفودايستريز أو مضادات مستقبل الاندوثيلين، والتي تستخدم لعلاج حالة فرط ضغط الدم الرئوي الشرياني. من أجل التمييز بين انواع فرط ضغط الدم يقوم الأطباء بعمل قسطرة للجانب الأيمن من القلب، مخطط صدى القلب, تصوير مقطعي للصّدر، اختبار المشي لمدة ست دقائق واختبار وظائف الرئة.[17] استخدام مرضى هذه الحالات لأدوية أخرى مخصصة لعلاج أنواع أخرى من فرط ضغط الدم الرئوي قد يسبب ضرراً للمريض واستنزاف للموارد الطبية الضرورية.[17] الجرعات الكبيرة من مثبطّات قنوات الكالسيوم مفيدة فقط لـ 5% من مرضى فرط ضغط الدم الرئوي الشرياني مجهول السبب والخاضعين لقسطرة سوان-جانز. لقياس تأثير الأدوية على أوعيتهم الرئوية. لسوء الحظ، انتشر الاستخدام الخاطئ لمضادات قنوات الكالسيوم بشكل كبير, لان اعطاءها لمرضى فرط ضغط الدم الرئوي الشرياني الغير خاضعين للقسطرة، تؤدي إلى زيادة نسب الإصابة والوفيّات. تم تغيير معايير قياس تأثير الأدوية على الاوعية الرئوية. المرضى الذين ينخفض لديهم متوسط ضغط الدم الرئوي الشرياني بمقدار 10-40 مم زئبقي (مع عدم تغيّر او زيادة مخرجات القلب عند اعطاءهم أدينوسن، إبوبروستينول أو أكسيد النترك) هم فقط القابلين لقياس تأثير الأدوية على أوعيتهم الرئوية.[18] يستجيب نصف هؤلاء المرضى فقط لمضادات قنوات الكالسيوم على المدى الطويل.[19] هناك بعض الأدوية تم استحداثها لفرط ضغط الدم الرئوي الشرياني الأوّلي والثانوي. التجارب التي قامت بدعم استخدام هذه المواد هي قليلة نسبياً، القياس الوحيد المستخدم لمقارنة فعاليتها هو "اختبار السّير لمدة 6 دقائق". لا يوجد للعديد منها أي معلومات عن فوائدها في تقليل نسب الوفيّات.[17]
موّاد فعّالة في الأوعية الدموية
هناك عدّة مسارات (آليّات) مسؤولة عن الانقباض والتكاثر الغير طبيعي لخلايا العضلات الملساء داخل الشرايين الرئوية لمرضى فرط ضغط الدم الرئوي الشرياني. ثلاثة من هذه المسارات هي غاية في الأهمية لانها مُستهدفة من قبل هذه الأدوية – مضادات مستقبل الاندوثيلين، مثبطّات النوع الخامس من انزيم فوسفودايستريز ومشتقّات البروستاسايكلن. لان الأدوية قليلة التكلفة غير متوفرة بشكل كبير، لم تقم منظمة الصحة العالمية في ادراجهم ضمن قائمة الأدوية الأساسية لفرط ضغط الدم الرئوي.
پروستاجلاندين
بروستاسايكلن (بروستاجلاندين آي2) يعتبر أكثر الأدوية شيوعاً وكفاءة في علاج فرط ضغط الدم الرئوي الشرياني. إيبوبروستينول (هو بروستاسايكلن صناعي يسوّق تحت مسمى فلولان) يُعطى عن طريق محلول ثابت يتطلّب قسطرة وريدية مركزية شبه دائمة. نظام اعطاء هذا الدواء قد يسبب تلوث للدم بالمايكروبات وتكوّن جلطات. تركيب البروستاسايكلن غير مستقر، لهذا يجب ابقاؤه داخل الثلج طوال فترة اعطاؤه للمريض. بما أن نصف العمر له يساوي 3-5 دقائق، فيجب اعطاؤه بانتظام طوال الوقت (24/7)، وأي انقطاع في اعطاؤه قد يكون قاتل. لهذا تم تطوير أدوية اخرى من البروستانويدات. تريبروستاينيل (ريموديولين) يمكن اعطاؤه داخل الوريد او تحت الجلد. لكن اعطاؤه تحت الجلد قد يكون مؤلم للغاية، أعلن مركز مكافحة الأمراض أن اعطاء الريموديولين عن طريق الوريد قد يزيد من فُرص تلوّث الدم بالمايكروبات. إيلوبروست (يُسوّق تحت اسم فينتافيس) كان الدواء الوحيد من نوع بروستاسايكلن الذي يؤخذ عن طريق الاستنشاق والذي تم الموافقة على استخدامه من قبل أمريكا وأوروبا، إلى ان تم الموافقة عام 2009 على نوع دواء مستنشق من تريبروستاينيل مُسوّق تحت اسم تيفاسو. النوع المستنشق من الأدوية له حسنات أكثر لانه يستهدف الرئة مباشرة مسببا أعراض جانبية أقل، مع ذلك فانه عادةً ما يكون هناك سعال والتهاب للحلق. أنواع دواء ريموديولين التي يمكن اخذها عن طريق الفم أوالاستنشاق لا تزال قيد التطوير. بيرابروست هو نوع بروستانويد يعطى عن طريق الفم متوّفر في كوريا الجنوبية واليابان.
مضادات مستقبل الاندوثيلين
بوسينتان (معروف تجارياً بـ تراكلير) هو مضّاد مستقبل اندوثيلين ازدواجي الوظيفة (يعمل على مستقبل اندوثيلين نوع أ ونوع ب) تمّ اعتماده في عام 2001. سيتازنتان (ثيلين)، هو مضاد مستقبل اندوثيلين اختياري الوظيفة، يعمل فقط على مستقبل اندوثيلين نوع أ، تمّ اعتماد استخدامه في كندا، أستراليا والاتحاد الأوروبي.[20] لكن لم يتم اعتماده في الولايات المتحدة الأمريكية. في عام 2010، قامت شركة فايزر بسحب الثيلين من الأسواق بسبب مضاعفاته القاتلة على الكبد. أمبريسنتان، هو دواء مشابه للثيلين تم بيعه في الولايات المتحدة الأمريكية من قبل شركة گيلياد ساينسز تحت اسم ليتايرز.[21] بالاضافة إلى ذلك، يتم منذ عام 2008 اخضاع مضّاد مستقبل اندوثيلين ازدواجي الوظيفة جديد للتجارب السريرية؛ أستليون-1,والذي تم انتجاه من نفس الشركة المُصنعة لتراكلير.
مثبطّات النوع الخامس من انزيم فوسفودايستريز
قامت المؤسسة العامة للغذاء والدواء في الولايات المتحدة الأمريكية عام 2005 بالموافقة على دواء سايلدينافيل؛ وهو مثبّط لانزيم فوسفودايستريز الخامس الخاص بأحادي فسفات الجوانوسين الحلقي؛ كعلاج لفرط ضغط الدم الرئوي الشرياني. يتم بيعه في الأسواق تحت اسم ريفاشو. أيضا تم الموافقة على تادالافيل عام 2009 وهو نوع اخر من مثبطّات انزيم فوسفودايستريز الخامس, ويتم تسويقه تحت المسمى آدسيركا.[22] تقوم أدوية مثبطّات فوسفودايستريز بتوسعّة الأوعية الدموية، وتثبيط اعادة تشكيل الأوعية الدموية، مؤدية إلى تقليل الضغط الرئوي الشرياني وتقليل المقاومة في الاوعية الرئوية.
يتم أخذ تادالافيل وسايلدانافيل عن طريق الفم، ويتم امتصاصهما داخل القناة الهضمية بفاعليّة كبيرة (تظهر مستوياتهم في الدم بعد 20 دقيقة من أخذ الدواء). الجرعة المُوصى بها هي 40 مل جرام مرّة واحدة في اليوم، وعمر النصف يكون 17.5 ساعة في الأشخاص السليمين.[23] أيضاً، اذا تم أخذ العامل المّادي في عين الاعتبار، فان المريض الذي يتناول تادالافيل قد يدفع 33% أقل من سعر دواء السايلدينافيل.[24] هناك بعض الأعراض الجانبية للدواء كالصدّاع، الاسهال، الغثيان، آلام الظهر، سوء الهضم، احمرار الوجنتين وألم العضلات.[25]
منشطّات انزيم جوانيلات سايكليز القابل للذوبان
انزيم جوانيلات سايكليز القابل للذوبان هو عبارة عن مستقبل داخل خلوي لأكسيد النتريك. في أبريل عام 2009، تم اخضاع منشطّات انزيم جوانيلات سايكليز القابل للذوبان؛ سيناسيجوات وريوسيجوات؛ تحت التجربة لمعرفة امكانيتها على علاج فرط ضغط الدم الشرياني الرئوي. وفي اوكتوبر عام 2013، تمت الموافقة على ريوسيجوات (أديمباز) من قبل المؤسسة العامة للغذاء والدواء كعلاج لفرط ضغط الدم الرئوي الشرياني، وكان الأول من نوعه.
العلاج الجراحي
تَقب الحاجز الأذيني، هو اجراء جراحي يتم فيه عمل فتحة للوصل بين الأذين الأيمن والأيسر. وهو يقوم بتخفيف الضغط على الجانب الأيمن من القلب، لكن هذا يكون على حساب خفض مستويات الأوكسجين في الدم. تقوم عملية زراعة الرئة بعلاج فرط ضغط الدم الرئوي الشرياني، لكنها تترك المريض عُرضة لمضاعفات العملية ومتوسط نسبة نجاة خمس سنوات بعد العملية.[26] عملية استئصال الخثرة الرئوية وبطانة الشريان، هي عملية جراحية تستخدم لعلاج فرط ضغط الدم الرئوي الناتج عن امراض تخثرية وانصمامية مزمنة. يتم فيها ازالة الخثرة المنتظمة حول البطانة الداخلية للشريان؛ وهي عملية صعبة جداً، لا يتم اجراءها الا في القلة القليلة من المراكز المُختارة فقط.
لا يوجد اجراء علاجي محدد لفرط ضغط الدم الرئوي الناتج عن قلّة الأكسجين أو الأنواع المختلفة الاخرى. ومع ذلك، يوجد دراسات تجرى حالياً على المرضى لاختبار بعض العوامل العلاجية. يقوم أغلب الأطباء في الوقت الراهن بعلاج هذه الحالات باستخدام نفس الأدوية المستخدمة لعلاج فرط ضغط الدم الرئوي الشرياني، إلى أن تتوفر لها خيارات أفضل للعلاج. يسمى هذا النوع من العلاج بالعلاج خارج التخصيص (وهو استخدام أحد الأدوية لعلاج مرض غير ذلك الذي خُصص لعلاجه).
المراقبة
ارشادات التدريب السريري المقررة تحدّد مقدار تكرار عملية التقييم والمراقبة للعقد الرئوية،[27] يتم مراقبة المرضى عادة باختبارات شائعة ومتوفرة مثل:
- قياس تأكسج النبض (قياس التأكسج: هو قياس كمية الأكسجين في المادة).
- قياسات غازات الدم الشرياني.
- صورة أشعة سينية للصدر
- مخطط كهربائية القلب.
- مخطط صدى القلب.
- قياس وظائف الرئة (سبايرومتري).
توقعات سير المرض
أظهرت سجلات معاهد الصحة الوطنية الأمريكية لفرط ضغط الدم الرئوي عام 1980 أن متوسط النجاة للمرضى غير الخاضعين للعلاج هو 2-3 سنوات من وقت التشخيص بالمرض. وعادةَ ما يكون سبب الوفاة هو فشل وقصور في البطين الأيمن. ثم أظهرت نتائج دراسة حديثة قامت بتجربة العلاج بواسطة دواء بوسينتان أن 89% من المرضى كانو أحياء بعد سنتين.[28] تغيرت نتائج المرض بشكل جذري للأفضل منذ العقدين الأخيرين، وذلك بسبب العلاجات الجديدة بالأدوية والعناية الصحية الجيدة والتشخيص المبكر. على سبيل المثال، ارتفع متوسط البقاء لـ 2635 من المرضى المسجلين في - سجلّات تحسين العناية بفرط ضغط الدم الرئوي الشرياني المبكر وطويل الأمد- في الفترة من مارس 2006 إلى ديسمبر 2009، كانت معدلات البقاء لمدة سنة، 3 سنوات،5 سنوات، 7 سنوات هي 85٪، 68٪، 57٪، و 49٪ على التوالي.أما بالنسبة للمرضى الذين كانو يعانون من ارتفاع ضغط الدم الرئوي مجهول السبب او الوراثي كانت معدلات البقاء لهم هي 91 ٪، 74٪، 65٪، و 59٪ على التوالي.[29] تكون معدلات الوفيات عالية جداً في النساء الحوامل المصابات بفرط ضغط الدم الرئوي الحاد. وأحياناً ما يتم منع النساء المصابات بهذا المرض من الحمل حفاظاَ على حياتهن.[30][31][32]
علم الأوبئة
يعتبر فرط ضغط الدم الرئوي الشرياني مجهول السبب نادراً. حيث انه يصيب 2-3 أشخاص سنوياً . بمعدل انتشار 15 لكل مليون تقريباً. الإناث البالغات يكّن 3 مرات أكثر عرضةً من الذكور البالغين. بينما معدّلات الاصابة به عند الأطفال موّزعة بالتساوي بين الذكور والإناث. أنواع فرط ضغط الدم الرئوي الشرياني الاخرى تعد أكثر انتشارا وشيوعاً. في المرضى المصابين بتصلب الجلد تكون معدلات الاصابة 6-60% من بين جميع المرضى، في مرضى التهاب المفاصل الروماتيدي تكون معدلات الاصابة 21%، في مرضى الذئبة الحُمامية معدلات الاصابة 4-14%، في فرط ضغط الدم البابي تكون بين 2 إلى 5%، في مرضى الايدز تقريباً 0.5%, وفي مرضى الانيميا المنجلية تتراوح معدلات الاصابة بين 20 إلى 40%. أقراص الحمية مثل فين-فين تسبب معدلات اصابة سنوية بمقدار 25-50 لكل مليون شخص.
حالات شهيرة
- إليان كوفمان، صاحبة مطعم أمريكية[33]
- پريا بالتشاندران، منتجة تلفزيونية [34]
- إينا بالين، ممثلة أمريكية [35]
- كلوي تمتشين، مغنية-كاتبة أغاني أمريكية[36][37]
- نتالي كول، مغنية أمريكية [38]
انظر أيضاً
المصادر
- ^ أ ب ت ث ج ح "Pulmonary Arterial Hypertension – NORD (National Organization for Rare Disorders)". NORD. 2015. Archived from the original on 29 August 2017. Retrieved 30 July 2017.
{{cite web}}: Unknown parameter|deadurl=ignored (|url-status=suggested) (help) - ^ أ ب خطأ استشهاد: وسم
<ref>غير صحيح؛ لا نص تم توفيره للمراجع المسماةGHR2016 - ^ أ ب خطأ استشهاد: وسم
<ref>غير صحيح؛ لا نص تم توفيره للمراجع المسماةNIH2011Risk - ^ خطأ استشهاد: وسم
<ref>غير صحيح؛ لا نص تم توفيره للمراجع المسماةNIH2011Ca - ^ خطأ استشهاد: وسم
<ref>غير صحيح؛ لا نص تم توفيره للمراجع المسماةNIH2011Tx - ^ Dtsch Arch Klin Med. 48.
{{cite journal}}: Missing or empty|title=(help); Unknown parameter|الأخير=ignored (help); Unknown parameter|الأول=ignored (help); Unknown parameter|السنة=ignored (help); Unknown parameter|الصفحات=ignored (help); Unknown parameter|العنوان=ignored (help); Unknown parameter|اللغة=ignored (help) - ^ أ ب ت Simonneau G, Robbins I, Beghetti M, et al. J. Am. Coll. Cardiol. 54 (1 Suppl S). doi:10.1016/j.jacc.2009.04.012. PMID 19555858.
{{cite journal}}: Missing or empty|title=(help); Unknown parameter|التاريخ=ignored (help); Unknown parameter|الصفحات=ignored (help); Unknown parameter|العنوان=ignored (help); Unknown parameter|المسار=ignored (help) - ^ Primary pulmonary hypertension. Geneva: World Health Organization. 1975.
{{cite book}}: Cite has empty unknown parameters:|lay-date=,|subscription=,|nopp=,|last-author-amp=,|name-list-format=,|lay-source=,|registration=, and|lay-summary=(help) - ^ Executive summary from the World Symposium on Primary Pulmonary Hypertension (Evian, France, September 6–10, 1998). Geneva: The World Health Organization. 1998.
{{cite book}}: Cite has empty unknown parameters:|lay-date=,|subscription=,|nopp=,|last-author-amp=,|name-list-format=,|lay-source=,|registration=, and|lay-summary=(help) - ^ Budhiraja R, Tuder RM, Hassoun. PM. Endothelial dysfunction in pulmonary hypertension. Circulation. 2004;109:159–165.
- ^ Fosfodiesterasas del AMPc y del GMPc en el cerebro: Expresión en procesos neuroinflamatorios y neurodegenerativos. URL: http://www.tesisenred.net/bitstream/handle/10803/891/03.ERI_METODOS.pdf?sequence=4. Viewed 3 November 2012.|Text in Spanish
- ^ أ ب ت Ghofrani HA, Pepke-Zaba J, Barbera JA, et al. Nitric oxide pathway and phosphodiesterase inhibitors in pulmonary arterial hypertension. J Am Coll Cardiol. 2004;43:68S–72S.
- ^ Journal of the American College of Cardiology. 54 (1 Suppl). doi:10.1016/j.jacc.2009.04.011. PMID 19555859.
{{cite journal}}: Missing or empty|title=(help); Unknown parameter|الأخير=ignored (help); Unknown parameter|الأول=ignored (help); Unknown parameter|التاريخ=ignored (help); Unknown parameter|الصفحات=ignored (help); Unknown parameter|العنوان=ignored (help); Unknown parameter|المؤلف2=ignored (help); Unknown parameter|المسار=ignored (help) - ^ Taleb M, Khuder S, Tinkel J, Khouri SJ. Echocardiography. 30 (3). doi:10.1111/echo.12061. PMID 23227919.
{{cite journal}}: Missing or empty|title=(help); Unknown parameter|السنة=ignored (help); Unknown parameter|الصفحات=ignored (help); Unknown parameter|العنوان=ignored (help); Unknown parameter|المسار=ignored (help) - ^ أ ب ت ث "UOTW #29 - Ultrasound of the Week". Ultrasound of the Week. 16 December 2014. Archived from the original on 9 May 2017. Retrieved 27 May 2017.
{{cite web}}: Unknown parameter|deadurl=ignored (|url-status=suggested) (help) - ^ "UOTW #65 - Ultrasound of the Week". Ultrasound of the Week. 20 December 2015. Archived from the original on 3 November 2016. Retrieved 27 May 2017.
{{cite web}}: Unknown parameter|deadurl=ignored (|url-status=suggested) (help) - ^ أ ب ت Int. J. Clin. Pract. 61 (10). doi:10.1111/j.1742-1241.2007.01545.x. PMID 17877662.
{{cite journal}}: Missing or empty|title=(help); Unknown parameter|السنة=ignored (help); Unknown parameter|الصفحات=ignored (help); Unknown parameter|العنوان=ignored (help); Unknown parameter|المؤلف=ignored (help); Unknown parameter|المسار=ignored (help) - ^ Barst RJ, McGoon M, Torbicki A, et al. J. Am. Coll. Cardiol. 43 (12 Suppl S). doi:10.1016/j.jacc.2004.02.032. PMID 15194177.
{{cite journal}}: Missing or empty|title=(help); Unknown parameter|التاريخ=ignored (help); Unknown parameter|الصفحات=ignored (help); Unknown parameter|العنوان=ignored (help) - ^ Sitbon O, Humbert M, Jaïs X, et al. Circulation. 111 (23). doi:10.1161/CIRCULATIONAHA.104.488486. PMID 15939821.
{{cite journal}}: Missing or empty|title=(help); Unknown parameter|التاريخ=ignored (help); Unknown parameter|الصفحات=ignored (help); Unknown parameter|العنوان=ignored (help); Unknown parameter|المسار=ignored (help) - ^
{{cite web}}: Empty citation (help) - ^ (Press release).
{{cite press release}}: Missing or empty|title=(help); Unknown parameter|التاريخ=ignored (help); Unknown parameter|العنوان=ignored (help); Unknown parameter|المسار=ignored (help); Unknown parameter|الناشر=ignored (help); Unknown parameter|تاريخ الوصول=ignored (help) - ^ (Press release).
{{cite press release}}: Missing or empty|title=(help); Unknown parameter|التاريخ=ignored (help); Unknown parameter|العنوان=ignored (help); Unknown parameter|المسار=ignored (help); Unknown parameter|تاريخ الوصول=ignored (help) - ^ Forgue ST, Patterson BE, Bedding. AW, et al. Tadalafil pharmacokinetics in healthy subjects. Br J Clin Pharmacol. 2005;61:280–288.
- ^ Sally A. Arif, PharmD, BCPS (Department of Pharmacy Practice, Chicago College of Pharmacy, Midwestern University, Downers Grove, Illinois, and Department of Pharmacy, Rush University Medical Center, Chicago, Illinois); and Henry Poon, PharmD, BCPS (Department of Pharmacy, James J. Peters VA Medical Center, Bronx, New York). Tadalafil: A Long-Acting Phosphodiesterase-5 Inhibitor for the Treatment of Pulmonary Arterial Hypertension. 2011;33:993–1004
- ^ Galié N, Brundage BH, Ghofrani HA, et al. Tadalafil therapy for pulmonary arterial hypertension. Circulation. 2009;119:2894–2903.
- ^
{{cite web}}: Empty citation (help) - ^ , which cites
- Circulation. 119 (16). doi:10.1161/CIRCULATIONAHA.109.192230. PMID 19332472.
{{cite journal}}: Missing or empty|title=(help); Unknown parameter|الأخير1=ignored (help); Unknown parameter|الأخير2=ignored (help); Unknown parameter|الأخير3=ignored (help); Unknown parameter|الأخير4=ignored (help); Unknown parameter|الأخير5=ignored (help); Unknown parameter|الأول1=ignored (help); Unknown parameter|الأول2=ignored (help); Unknown parameter|الأول3=ignored (help); Unknown parameter|الأول4=ignored (help); Unknown parameter|الأول5=ignored (help); Unknown parameter|السنة=ignored (help); Unknown parameter|الصفحات=ignored (help); Unknown parameter|العنوان=ignored (help)*European Heart Journal. 30 (20). doi:10.1093/eurheartj/ehp297. PMID 19713419.{{cite journal}}: Missing or empty|title=(help); Unknown parameter|displayauthors=ignored (|display-authors=suggested) (help); Unknown parameter|الأخير1=ignored (help); Unknown parameter|الأخير2=ignored (help); Unknown parameter|الأخير3=ignored (help); Unknown parameter|الأخير4=ignored (help); Unknown parameter|الأخير5=ignored (help); Unknown parameter|الأول1=ignored (help); Unknown parameter|الأول2=ignored (help); Unknown parameter|الأول3=ignored (help); Unknown parameter|الأول4=ignored (help); Unknown parameter|الأول5=ignored (help); Unknown parameter|السنة=ignored (help); Unknown parameter|الصفحات=ignored (help); Unknown parameter|العنوان=ignored (help)*Journal of the American College of Cardiology. 54 (1 Suppl). doi:10.1016/j.jacc.2009.04.008. PMID 19555862.{{cite journal}}: Missing or empty|title=(help); Unknown parameter|الأخير1=ignored (help); Unknown parameter|الأخير2=ignored (help); Unknown parameter|الأخير3=ignored (help); Unknown parameter|الأخير4=ignored (help); Unknown parameter|الأخير5=ignored (help); Unknown parameter|الأول1=ignored (help); Unknown parameter|الأول2=ignored (help); Unknown parameter|الأول3=ignored (help); Unknown parameter|الأول4=ignored (help); Unknown parameter|الأول5=ignored (help); Unknown parameter|السنة=ignored (help); Unknown parameter|الصفحات=ignored (help); Unknown parameter|العنوان=ignored (help)
- Circulation. 119 (16). doi:10.1161/CIRCULATIONAHA.109.192230. PMID 19332472.
- ^ McLaughlin VV, Sitbon O, Badesch DB, et al. Eur. Respir. J. 25 (2). doi:10.1183/09031936.05.00054804. PMID 15684287.
{{cite journal}}: Missing or empty|title=(help); Unknown parameter|السنة=ignored (help); Unknown parameter|الصفحات=ignored (help); Unknown parameter|العنوان=ignored (help); Unknown parameter|المسار=ignored (help) - ^ Chest. 142 (2). doi:10.1378/chest.11-1460. PMID 22281797.
{{cite journal}}: Missing or empty|title=(help); Unknown parameter|التاريخ=ignored (help); Unknown parameter|الصفحات=ignored (help); Unknown parameter|العنوان=ignored (help); Unknown parameter|المؤلف1=ignored (help); Unknown parameter|المؤلف2=ignored (help); Unknown parameter|المؤلف3=ignored (help); Unknown parameter|المؤلف4=ignored (help); Unknown parameter|المؤلف5=ignored (help); Unknown parameter|المسار=ignored (help) [FREE] - ^ First aid for the obstetrics & gynecology clerkship. New York: McGraw-Hill, Medical Pub. Division. 2007. p. 100.
{{cite book}}: Cite has empty unknown parameters:|lay-date=,|subscription=,|nopp=,|last-author-amp=,|name-list-format=,|lay-source=,|registration=, and|lay-summary=(help) - ^ Ghosh, Amit K. (2008). Mayo Clinic Internal Medicine Review: Eighth Edition (Mayo Clinic Internal Medicine Review). Informa Healthcare. p. 55.
{{cite book}}: Cite has empty unknown parameters:|lay-date=,|subscription=,|nopp=,|last-author-amp=,|name-list-format=,|lay-source=,|registration=, and|lay-summary=(help) - ^ British Journal of Anaesthesia: "Primary pulmonary hypertension in pregnancy; a role for novel vasodilators" March 19, 2011 Archived 2016-06-18 at the Wayback Machine
- ^ "Elaine Kaufman, famed Elaine's restaurateur, dies at age 81". Daily News. Archived from the original on 28 August 2016. Retrieved 27 September 2016.
{{cite web}}: Unknown parameter|deadurl=ignored (|url-status=suggested) (help) - ^ "Why I Only Have One Kid, If You Insist on Asking". Yahoo News. Archived from the original on 20 September 2016. Retrieved 27 September 2016.
{{cite web}}: Unknown parameter|deadurl=ignored (|url-status=suggested) (help) - ^ FOLKART, BURT A. (21 June 1990). "Ina Balin, 52; Movie and TV Actress Sought Lung Implant". Los Angeles Times. Archived from the original on 11 September 2016. Retrieved 27 September 2016.
{{cite web}}: Unknown parameter|deadurl=ignored (|url-status=suggested) (help) - ^ Phull, Hardeep (July 26, 2016). "She's tethered to an oxygen tank, but her singing career is soaring". New York Post. Archived from the original on August 14, 2016.
{{cite web}}: Unknown parameter|deadurl=ignored (|url-status=suggested) (help) - ^ Insdorf, Annette (November 10, 2013). "The Challenges of Chloe Temtchine". The Huffington Post. Archived from the original on September 18, 2016.
{{cite web}}: Unknown parameter|deadurl=ignored (|url-status=suggested) (help) - ^ "Autopsy: The Last Hours of Natalie Cole." Autopsy. Nar. Eric Meyers. Exec. Prod. Ed Taylor and Michael Kelpie. Reelz, 27 May 2017. Television.
قراءات إضافية
- Rubin LJ, Badesch DB (2005). "Evaluation and management of the patient with pulmonary arterial hypertension". Ann. Intern. Med. 143 (4): 282–92. doi:10.7326/0003-4819-143-4-200508160-00009. PMID 16103472.
- Abman, SH; Hansmann, G; Archer, SL; Ivy, DD; Adatia, I; Chung, WK; Hanna, BD; Rosenzweig, EB; Raj, JU; Cornfield, D; Stenmark, KR; Steinhorn, R; Thébaud, B; Fineman, JR; Kuehne, T; Feinstein, JA; Friedberg, MK; Earing, M; Barst, RJ; Keller, RL; Kinsella, JP; Mullen, M; Deterding, R; Kulik, T; Mallory, G; Humpl, T; Wessel, DL (3 November 2015). "Pediatric Pulmonary Hypertension: Guidelines From the American Heart Association and American Thoracic Society". Circulation. 132: 2037–99. doi:10.1161/CIR.0000000000000329. PMID 26534956.
وصلات خارجية
| Classification | |
|---|---|
| External resources |
