التهاب الجيوب
| التهاب الجيوب Sinusitis  | |
|---|---|
| الأسماء الأخرى | عدوى الجيوب الأنفية، rhinosinusitis | 
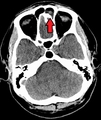
| يشير السهم إلى منطقة الالتهاب في جيوب الفك العلوي في الجانب الأيسر من الوجه. لاحظ أن المنطقة التى يشير لها السهم ليست شفافه لقلة الهواء فيها، مما يشير إلى امتلائها بالسوائل بالمقارنه مع الجانب الآخر من الوجه. | |
| التخصص | طب الأنف والأذن والحنجرة | 
| الأعراض | مخاط أنفي سميك، انسداد الأنف، ألم في الوجه، حمى[1][2][3] | 
| المسببات | عدوى (جرثومية، فطرية)، حساسية، تلوث الهواء، مشكلات بنوية في الأنف[2] | 
| عوامل الخطر | الربو، cystic fibrosis, poor immune function[1] | 
| الطريقة التشخيصية | عادة ما تعتمد على الأعراض[1] | 
| الوقاية | غسيل اليدين، الابتعاد عن التدخين، immunization[2] | 
| العلاج | مسكنات الألم، nasal steroids, nasal irrigation, مضادات حيوية[1][4] | 
| التردد | 10–30% سنوياً (العالم النامي)[1][5] | 
التهاب الجيوب، Sinusitis، هو التهاب الجيوب (التجاويف) المجاورة للأنف التي توجد داخل عظام الجمجمة، وهي مليئة بالهواء وتحيط بالانف والعينين. وترتبط بتجويف الانف عبر فتحات صغيرة تسمح بطرح المخاط والافرازات من التجاويف إلى الانف وكذالك تهوية التجاويف.[6] التهاب الجيوب يمكن أن يكون بسبب عدوى، حساسية، أو بسبب مشاكل في المناعة الذاتية. معظم حالات التهاب الجيوب هي نتيجة لعدوى فيروسية وتنقضى خلال فترة تمتد لعشرة أيام. ويعتبر التهاب الجيوب من حالات الالتهاب الشائعة، إذ تصل حالات الإصابة به لأكثر من 24 مليون حالة سنويا في الولايات المتحدة.[6]
التصنيف
يعرف التهاب الجيوب الأنفية (أو التهاب الأنف و الجيوب) باعتباره التهاب في الغشاء المخاطي الذي يبطن الجيوب الأنفية. أحيانا يحدث انسداد لفتحات اتصال هذه التجاويف (الجيوب) بالأنف مما يؤدى لاحتقان والتهاب الغشاء المخاطي المبطن للجيوب بسبب الامتلائها بالإفرازات المخاطية والجراثيم وكذلك بسبب احتباس الهواء مع تلك الافرازات الذى يؤدي إلى ارتفاع الضغط داخل الجيوب. ويصنف التهاب الجيوب حسب التسلسل الزمني للاصابة إلى عدة تصنيفات:[7]
- التهاب الأنف و الجيوب الحاد - وهو عدوى حديثة قد تستغرق ما يصل إلى أربعة أسابيع، ويمكن تقسيمها حسب الأعراض إلى حالة شديدة و حالة غير شديدة؛
 - التهاب الأنف و الجيوب الحاد المتكرر - أربع نوبات منفصلة أو أكثر من التهاب الجيوب الأنفية الحاد التي تحدث في غضون سنة واحدة؛
 - التهاب الأنف و الجيوب شبه الحاد - وهو عدوى تستمر ما بين أربعة و 12 أسبوعا، وتمثل مرحلة انتقالية بين العدوى الحادة والمزمنة؛
 - التهاب الأنف و الجيوب المزمن- عندما تستمر علامات وأعراض المرض لأكثر من 12 أسبوع،
 - و التفاقم الحاد في التهاب الأنف و الجيوب المزمن - عندما تتفاقم علامات وأعراض التهاب الأنف و الجيوب المزمن، ولكنها تعود إلى الوضع الأساسي بعد العلاج.
 
كل هذه الأنواع من التهاب الجيوب الأنفية أعراضها متشابهة، وبالتالي من الصعب في كثير من الأحيان التمييز بينها. التهاب الجيوب الأنفية الحاد شائع جدا. تقريبا تسعين في المئة من البالغين يصابون بالتهاب الجيوب الأنفية في مرحلة ما من حياتهم.[8]
التهاب الجيوب الحاد
عادة ما تُعَجِّل اصابات الجهاز التنفسي العلوي في وقت سابق من الإصابة بالتهاب الجيوب الأنفية الحاد، وفي الغالب تكون أصول العدوي فيروسية، ناجمة في معظم الحالات عن العدوي بالفيروسات الأنفية، والفيروسات التاجية ، وفيروسات الأنفلونزا ، وفي أحيان أخري تسببه الفيروسات الغدانية وفيروسات نظير الانفلونزا البشرية وفيروس الجهاز التنفسي المخلوي البشري، وفيروسات معوية أخرى غير الفيروسات الأنفية ، و فيروس تالي الالتهاب الرئوي. أما إذا كانت العدوى بكتيرية المنشأ ، فأكثر ثلاث وسطاء بكتيرية مسببة للالتهاب شيوعا هم العقدية الرئوية ، والمستدمية النزلية ، و الموراكسيلة النزلية.[9] وحتى وقت قريب ، كانت المستدمية النزلية هى الوسيط البكتيري المسبب لالتهاب الجيوب الأنفية الأكثر شيوعا. غير أن طرح لقاح اتش أنفلونزا H. influenza ( المستدمية النزلية ) نوع ب (Hib) قد خفض من اصابات المستدمية النزلية من النوع ب بشكل كبير و أصبحت الأنواع الغير مصنفة من المستدمية النزلية (NTHI) تُري بشكل غالب في العيادات الطبية. تشمل المِمراضات البكتيرية الأخرى المسببة لالتهاب الجيوب الأنفية العنقودية الذهبية وأنواع عقدية أخرى، و البكتيريا اللاهوائية ، وأقل شيوعا، البكتيريا سلبية الجرام . التهاب الجيوب الأنفية الفيروسي يستمر عادة لمدة 7 إلى 10 أيام ، [9] بينما التهاب الجيوب الأنفية البكتيري يكون أكثر دواما. بالتقريب ينتج عن 0٫5 ٪ إلى 2 ٪ من حالات التهاب الجيوب الأنفية الفيروسية التهاب جيوب أنفية بكتيري تابع. ويعتقد أن تهيج الأنف من التمخط بشدة يؤدي إلى عدوى بكتيرية ثانوية.[10]
النوبات الحادة من التهاب الجيوب الأنفية يمكن أن تنجم أيضا عن غزو فطري. وعادة ما تُري هذه العدوى في المرضى الذين يعانون من مرض السكري أو أمراض نقص المناعة الأخرى (مثل الإيدز أو مرضى زرع الأعضاء الخاضعون للأدوية المضادة للنبذ الكابحة للمناعة)، ويمكن لتلك الاصابات الفرطية أن تهدد حياة المريض. في مرضى السكري من النوع الأول، يمكن أن يقترن الحماض الكيتوني بالتهاب الجيوب الأنفية بسبب الفُطَار العَفَنِيّ.[11]
التهيج الكيميائي ، عادة من دخان السجائر وأبخرة الكلور، يمكن أن يؤدي أيضا لالتهاب الجيوب الأنفية.[12] ونادرا ما ينتج التهاب الجيوب الأنفية عن عدوى بالأسنان.[9]
التهاب الجيوب المزمن
بحكم التعريف التهاب الجيوب الأنفية المزمن يستمر لفترة أطول من ثلاثة أشهر حيث تحدث تغيرات داخل الغشاء المخاطي داخل الجيب وتستمر اعراض التهاب الجيب تدريجيا وغالبا لا تصاحبه ارتفاع في درجة الحرارة[7][9]. التهاب الجيوب المزمن يمكن أن تسببه العديد من الأمراض المختلفة التي يكون ذلك الالتهاب هو عرض مشترك من أعراضها. أعراض التهاب الجيوب الأنفية المزمن يمكن أن تشمل أي مزيج من ما يلي : احتقان الأنف ، وألم الوجه، و الصداع، و السعال ليلا ، وزيادة أعراض ربو كانت بسيطة أو مكبوحة سابقا، والتوعك العام ، تصريف أنفى أخضر أو أصفر كثيف ، والشعور ' بامتلاء ' أو ' إحكام ' في الوجه الذي قد يزداد سوءا عند الركوع (الانحناء للأمام) ، والدوخة، و آلام الأسنان ، و / أو رائحة الفم الكريهة .[7][بحاجة لتأكيد]كل عرض من تلك الأعراض له أسباب محتملة أخرى متعددة، والتي ينبغي أن تؤخذ كذلك في الاعتبار و الفحص. ما لم تحدث مضاعفات ، الحمى لا تعتبر سمة من سمات التهاب الجيوب الأنفية المزمن. [بحاجة لمصدر] في كثير من الأحيان التهاب الجيوب الأنفية المزمن يمكن أن يؤدي إلى الخُشام، وهو انخفاض في حاسة الشم.[7] وفي عدد قليل من الحالات ، ارتبط التهاب جيوب الفك العلوي الحاد أو المزمن بعدوى الأسنان. الدوار، و الخفة ، و تَغيُّم الرؤية ليست أعراض معتادة يسببها التهاب الجيوب الأنفية المزمن وينبغي التحقق من الأسباب الأخرى عند حدوثها.
تنقسم حالات التهاب الجيوب الأنفية المزمن إلى حالات بها سلائل (أورام حميدة) وحالات بلا سلائل. عند وجود سلائل، تسمى الحالة بالتهاب الجيوب الضَّخامِيّ المُزْمِن، غير أنه لا يزال الغموض يكتنف أسباب تلك الحالة [13] ويمكن أن تشمل الأسباب الحساسية، والعوامل البيئية مثل الغبار أو التلوث والعدوى البكتيرية، أو الفطريات (إما حساسية منها، عدوي بها، أو رد الفعل لها). العوامل الاتحسسية، مثل التهاب الأنف الحركي الوعائي، يمكن أيضا أن تسبب مشاكل الجيوب المزمنة. [بحاجة لمصدر] قنوات الجيوب الأنفية الضيقة بشكل غير طبيعى، كمثل حالة الحاجز الأنفي المنحرف، يمكن أن تعرقل الصرف من تجاويف الجيوب الأنفية وتكون عاملا مساعدا في الالتهاب. [بحاجة لمصدر]
التهاب الأنف و الجيوب المزمن أقرب لأن يكون اضطراب التهابي متعدد العوامل، عن كونه مجرد عدوى بكتيرية متواصلة.[9] تركز المعاملة الطبية مع التهاب الأنف و الجيوب المزمن الآن على السيطرة على الالتهاب الذي يهيئ المرضى لانسداد الجيوب، مما يحد من حدوث العدوى. غير أن جميع أشكال التهاب الأنف و الجيوب المزمن ترتبط بضعف صرف الجيوب الأنفية والالتهابات الثانوية البكتيرية. أغلب الأفراد المصابين بالتهاب الجيوب المزمن يحتاجون لمضادات حيوية أولية للقضاء على أي إصابة بكتيرية ثم بعد ذلك علاج التفاقم الحاد لالتهاب الأنف و الجيوب المزمن بين حين و آخر.
قد تم الكشف عن مزيج من البكتيريا اللاهوائية والهوائية بالتزامن مع التهاب الجيوب الأنفية المزمن. وقد عزلت أيضا العنقودية الذهبية (بما في ذلك بكتريا العنقودية الذهبية المقاومة للميثيسيلين) و عنقودية الكواجيوليز-السلبية ويمكن أن تُعزل الكائنات المعوية سلبية-الجرام. لا يوفر العلاج بالمضادات الحيوية عادة سوى تخفيفُ مؤقت للالتهاب، ولو أنه قد تم طرح "استجابة الجهاز المناعي المفرطة للبكتيريا" كسبب محتمل لحالات التهاب الجيوب الأنفية ذات السلائل أو الأورام (التهاب الجيوب الضَّخامِيّ المُزْمِن). [بحاجة لمصدر]
وقد بذلت محاولات لاعطاء مصطلحات أكثر اتساقا للأنواع الفرعية من التهاب الجيوب الأنفية المزمن. وقد ثبت وجود الحمضات (نوع من خلايا الدم البيضاء) في البطانة المخاطية للأنف والجيوب لكثير من المرضى، واصطلح على تسميته هذا بالتهاب الأنف و الجيوب الميوسين يوزيني (EMRS). حالات ال EMRS قد تكون ذات صلة بالاسْتجابة الأَرَجِيَّة (الاستجابه المُفرِطة التَّحَسُّس/الحساسة)، ولكن في كثير من الأحيان لا يتم توثيق الحساسية كمسبب للحالة، وهذا يقود لمزيد من التصنيف الفرعي لحالات ال EMRS؛ إلى حالات تحسسية وغير تحسسية.[14]
هناك تطور أكثر حداثة في موضوع التهاب الجيوب الأنفية المزمن، ولكنه ما زال قيد الجدل، وهو الدور الذي تلعبه الفطريات في هذا المرض. يمكن العثور على الفطريات في تجاويف الأنف والجيوب لمعظم المرضى الذين يعانون من التهاب الجيوب الأنفية، ولكنها أيضا يمكن أن تتواجد في الأشخاص الأصحاء.[بحاجة لمصدر] لم يتضح بعد إذا كانت الفطريات عامل محدد في تطور التهاب الجيوب الأنفية المزمن وإذا فرضنا ذلك، ما هو الفرق بين أولئك الذين يصابون بالمرض وأولاء الخاليين من الأعراض. لقد أظهر محاولات العلاج بمضادات الفطريات نتائج متباينة في هذا الشأن.
الأعراض والعلامات
غالبا يصاحب انسداد الجيوب الأنفية المفاجئ ويؤدي إلى احتقان الافرازات المخاطية داخل تجويف الجيوب وتحولها إلى انتان أو صديد ويزداد الضعط داخل هذه الجيوب مسببا صداعا شديدا وعلامات مرضية أهمها:
- الصداع
 - ارتفاع درجة حرارة الجسم
 - ألم في الوجه بين وحول العينين أو جبهة الوجه أو مؤخرة الرأس حسب الجيب المصاب
 - احتقان وانسداد في الانف
 - افرازات انفية أو خلف انفية
 - ألم في الاسنان والفك العلوي
 - تأثر حاسة الشم
 - أحيانا يظهر تورم واحمرار الجلد المغطي للجيب المصاب
 - وانسداد العين بعض الشيء[9][10][11]
 
المضاعفات
| المرحلة | الوصف | 
|---|---|
| I | Preseptal cellulitis | 
| II | Orbital cellulitis | 
| III | Subperiosteal abscess | 
| IV | Orbital abscess | 
| V | Cavernous sinus septic thrombosis | 
الأسباب
العوامل التي تؤدي إلى حدوث الانسداد والالتهاب في الجيوب الانفية:
- حساسية الانف.
 - التعرض للغبار الضار والابخرة الصناعية المحرشة.[12]
 - تكرار الانفلونزا والزكام والرشح.
 - وجود انحراف في الحاجز الانفي.
 - تضخم اللحميات الخلف انفية.[6][15]
 
الحاد
المزمن
الفسيولوجية المرضية
التشخيص
الحاد
المزمن
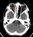
A computed tomograph showing infection of the ethmoid sinus
Maxillary sinusitis caused by a dental infection associated with periorbital cellulitis
العلاج
| الأدوية[16][17] | ||
|---|---|---|
| العلاج | العرض | الأسباب | 
| الوقت | Viral and some bacterial sinusitis | Sinusitis is usually caused by a virus which is not affected by antibiotics[16] | 
| المضادات الحيوية | التهاب الجيوب البكتيري | Cases accompanied by extreme pain, skin infection, or which last a long time may be caused by bacteria.[16] | 
| تهيج الأنف | Nasal congestion | Can provide relief by helping decongest.[16] | 
| السوائل المشروبة | Thick phlegm | Remaining hydrated loosens mucus.[16] | 
| Antihistamines | Concern with allergies | Antihistamines do not relieve typical sinusitis or cold symptoms much; this treatment is not needed in most cases.[16] | 
| رذاذ الأنف | Desire for temporary relief | Tentative evidence that it help symptoms.[4] Does not treat cause. not recommended for more than three days' use.[16] | 
تشمل علاجات التهاب الجيوب الأنفية:
- مسكنات الألم البسيطة.
 - ابق في الداخل في حرارة معتدلة.
 - امتنع عن الانحناء مع إمالة الرأس إلى الأسفل.
 - استعمال كمادات دافئة على الوجه.
 - أخذ قسط من الراحة إذا كان المريض محمومآ وغير مرتاح.
 - تجنب الأجواء المليئة بالدخان.
 - تجنب التعرض الطويل للغبار والمواد المهيجة.
 - عدم التمخط بشدة أثناء الإصابة بالزكام لأن هذا يمكن أن يدفع العدوى بإتجاه الجيوب.
 - تناول الأقراص المزيلة للاحتقان التي تتوفر في الصيدليات.
 - استعمل قطرة الماء والملح.
 - إشرب الكثير من السوائل (8 اكواب يوميآ، وكل كوب يكون على الاقل سعة 200 مل) حتى تحافظ على سيولة المخاط وتدفقه.
 - تجنب ركوب الطائرة عندما تكون مصابآ باحتقان، فالتغير في الضغط الجوي قد يدفع المخاط إلى إلى داخل الجيوب الانفية
 - واذا اضطررت لركوب الطائرة فاستعمل مزيل الاحتقان قبل الاقلاع واستعمل بخاخ الانف المزيل للاحتقان قبل هبوط الطائرة بحوالي 30 دقيقة.
 - تجنب ممارسة رياضة الغوص إلى ان تشفى من الاتهاب الجيوب الانفية تمامآ
 - خذ دشآ دافئآ.
 - احتس طبقآ من الشوربة الساخنة.
 - استنشاق البخار مستخدمآ فوطة لتصنع خيمة فوق مصدر البخار (أفضل علاج لترخية الإفرازات الموجودة في الجيوب ويساعد على تصريفها بشكل أسهل)
 - حيث يتم استنشاق البخار من وعاء فيه ماء مغلي لمدة بضع دقائق كل مرة.
 
الطبي
باشراف الطبيب المختص مع مراجعات دورية والتزام في اتباع تعليمات المعالجة لتجنب تعقيدات الالتهاب وتحوله إلى التهاب مزمن. وتعطى المضادات الحيوية المناسبة ومضادات الاحتقان.
الجراحة
عند الالتهاب المزمن أحيانا تتطلب المعالجة تدخل جراحي تحت اشراف الطبيب المختص.
المبادئ الأساسية لعلاج الجيوب الأنفية هي تنظيف الإفرازات والمحافظة على الأنف مفتوحاً وعلاج المسبب المرضي للإلتهاب سواء أكان جرثومياً أو فطريات يستعمل لتنظيف الإفرازات الأنفية المحلول الملحي ويوجد على شكل غسولات أنفية أو بخاخات، أما من أجل المحافظة علة الأنف مفتوحاً فيستعمل الأدوية التي تحتوي مضادات الإحتقان وخاصة التي تحتوي مادة الإفدرين أو البسودوإفدرين مع مضادات الهيستامين، العلاج النوعي للجراثيم أو الفطريات فهو يتبع كل حالة على حدة.
العلاج بالطب الشعبي
هناك الكثير من الطرق التي تستخدم في الطب الشعبي لعلاج التهاب الجيوب، والتي يستخدم فيها مواد طبيعية، مثل العسل. والذي يفيد كالتالي:
1- يعمل العسل كمطهر للجيوب الأنفية، ويقي من الإصابة بالبكتريا والفيروسات.
2- العسل مفيد لعلاج الإلتهابات والوقاية منها كذلك. 3- مفيد جدا لعلاج الكحة ويعمل كمرطب للحلق ويخفف الألم الناتج عن الكحة.
4- يعمل كمضاد حيوي فعال لعلاج الإلتهابات الموجودة في الجيوب الأنفية، بل وله تأثير أكثر فاعلية من المضادات الحيوية.
5- مفيد جدا لتقوية جهاز المناعة، ويساعد في محاربة الإصابة بالبكتريا والفيروسات التي ينتج عنها إلتهاب في الجيوب الأنفية.
6- يقضي تماما على الجراثيم والبكتريا التي يفشل المضاد الحيوي في علاجها.
يوجد العديد من الوصفات المفيدة لعلاج الجيوب الانفية، ويمكن أيضا تناوله وحده ويكون له نتائج فعالة، أو يمكن إختيار أحد الطرق التالية حسب ما يناسب كل شخص:
- أولاً العسل مع خل التفاح: يمكن غلي كوب من الماء ثم نقوم بإذابة ملعقة كبيرة من العسل في الماء، ثم نضيف ملعقتين كبيرتين من خل التفاح، ويشرب الخليط 3 مرات يوميا، فخل التفاح يزيد من فاعلية عسل النحل، حيث يساعد في علاج الزكام وقتل البكتريا.
 - ثانياً العسل والثوم: من المعروف أن الثوم مضاد حيوي فعال للقضاء على الفيروسات والبكتريا، ويمكن تقشير ثلاث فصوص من الثوم وفرمهم فرم ناعم، ثم نضيف للخليط ملعقتين من العسل الطبيعي، ويمكن تناوله ثلاث مرات في اليوم قبل الوجبات بخمس دقائق.
 - ثالثاً خلطة العسل والليمون: يزيد الليمون من فاعلية جهاز المناعة لإحتوائه على فيتامين سي، ونخلط ملعقتين كبيرتين من الليمون مع ملعقة كبيرة من العسل الطبيعي، ونقوم بتدفئة الخليط، سم يتناول على الفور، وهذا الخليط مفيد لعلاج الرشح أيضا.
 - رابعاً طريقة العسل والزنجبيل: نقوم بغلي كوب من الماء مع الزنجبيل، ثم نتركه ليبرد ثم نعصر ليمونة كاملة على الماء ونضيف ملعقة من عسل النحل للخليط، ويمكن شربه 3 مرات يوميا، ومن المعروف أن الزنجبيل له القدرة على تخفيف إحتقان الأنف وعلاج الزكام وعلاج إلتهاب الجيوب الأنفية.
 - خامساً خلطة العسل مع الكمون: يمكن طحن الكمون جيدا ثم نضيف ليه ملعقة من العسل، ويأكل مره يوميا.
 - سادساً العسل والقرفة: نقوم بخلط ملعقتين من العسل مع نصف ملعقة من القرفة، ونخلطهم جيدا معا، ويتناول مره يوميا، ويساعد الخليط في علاج إنسداد الأنف.
 - سابعاً طريقة العسل مع الملح: نخلط العسل مع الملح في ماء ساخن، ونقوم بإستعماله كقطرة للأنف ولكن نضعها في فتحة واحدة ويجب خروجها من الفتحة الأخرى، ويقوم هذا المزيج بتنظيف الأنف من المخاط.
 - ثامناً طريقة العسل والحلبة: نقوم بوضع كوب من الماء على النار ونضيف ليها بذور الحلبة، وعند الغليان نهدئ النار حتى يتم تركيزه أكثر، ثم نرفعه عن النار ونضيف ملعقة من عسل النحل، ويمكن شربه 3 مرات يوميا.
 
علم الأوبئة
التهاب الجيوب الأنفية هي حالة شائعة. هناك 24-31 مليون حالة تحدث في الولايات المتحدة سنوياً.
الأبحاث
حسب أحدث النظريات حول التهاب الجيوب، فإن القطريات قد تلعب دوراً في تطور التهاب الجيوب المزمن، ومن ثم فقد جرى تطبيق استخدام الأدوية المضادة للفطرية، ولازالت قيد التجربة. وكان لهذه التجارب نتائج مختلطة.[9]
انظر أيضاً
المصادر
- ^ أ ب ت ث ج خطأ استشهاد: وسم 
<ref>غير صحيح؛ لا نص تم توفيره للمراجع المسماةRos2015 - ^ أ ب ت خطأ استشهاد: وسم 
<ref>غير صحيح؛ لا نص تم توفيره للمراجع المسماةCDC2013 - ^ خطأ استشهاد: وسم 
<ref>غير صحيح؛ لا نص تم توفيره للمراجع المسماةNIH2012Sym - ^ أ ب خطأ استشهاد: وسم 
<ref>غير صحيح؛ لا نص تم توفيره للمراجع المسماةKing2015 - ^ خطأ استشهاد: وسم 
<ref>غير صحيح؛ لا نص تم توفيره للمراجع المسماةAd2014 - ^ أ ب ت Am. J. Med. 123 (4 Suppl). doi:10.1016/j.amjmed.2010.02.003. PMID 20350632. 
{{cite journal}}: Missing or empty|title=(help); Unknown parameter|السنة=ignored (help); Unknown parameter|الشهر=ignored (help); Unknown parameter|الصفحات=ignored (help); Unknown parameter|العنوان=ignored (help); Unknown parameter|المؤلف=ignored (help) - ^ أ ب ت ث  
{{cite web}}: Empty citation (help) - ^ Current Opinion in Otolaryngology & Head and Neck Surgery. 16 (3). doi:10.1097/MOO.0b013e3282fdcc9a. PMID 18475076. 
{{cite journal}}: Missing or empty|title=(help); Unknown parameter|الأخير1=ignored (help); Unknown parameter|الأخير2=ignored (help); Unknown parameter|الأول1=ignored (help); Unknown parameter|الأول2=ignored (help); Unknown parameter|السنة=ignored (help); Unknown parameter|الشهر=ignored (help); Unknown parameter|الصفحات=ignored (help); Unknown parameter|العنوان=ignored (help) - ^ أ ب ت ث ج ح خ Primary care. 35 (1). PMID 18206715. 
{{cite journal}}: Missing or empty|title=(help); Unknown parameter|الأخير=ignored (help); Unknown parameter|الأول=ignored (help); Unknown parameter|التاريخ=ignored (help); Unknown parameter|الصفحات=ignored (help); Unknown parameter|العنوان=ignored (help); Unknown parameter|المؤلفين المشاركين=ignored (help) - ^ أ ب Clin. Infect. Dis. 30 (2). doi:10.1086/313661. PMID 10671347. 
{{cite journal}}: Missing or empty|title=(help); Unknown parameter|السنة=ignored (help); Unknown parameter|الشهر=ignored (help); Unknown parameter|الصفحات=ignored (help); Unknown parameter|العنوان=ignored (help); Unknown parameter|المؤلف=ignored (help); Unknown parameter|المسار=ignored (help) - ^ أ ب قالب:إي ميديسين
 - ^ أ ب  
{{cite web}}: Empty citation (help) - ^ Primary care. 35 (1). doi:10.1016/j.pop.2007.09.002. PMID 18206715. 
{{cite journal}}: Missing or empty|title=(help); Unknown parameter|الأخير=ignored (help); Unknown parameter|الأول=ignored (help); Unknown parameter|التاريخ=ignored (help); Unknown parameter|الصفحات=ignored (help); Unknown parameter|العنوان=ignored (help); Unknown parameter|المؤلفين المشاركين=ignored (help) - ^ Laryngoscope. 119 (9). doi:10.1002/lary.20520. PMC 2741302. PMID 19544383 https://www.ncbi.nlm.nih.gov/pmc/articles/PMC2741302. 
{{cite journal}}: Missing or empty|title=(help); Unknown parameter|التاريخ=ignored (help); Unknown parameter|الصفحات=ignored (help); Unknown parameter|العنوان=ignored (help); Unknown parameter|المؤلف=ignored (help) - ^ J. Allergy Clin. Immunol. 125 (2 Suppl 2). doi:10.1016/j.jaci.2009.12.989. PMID 20176255. 
{{cite journal}}: Missing or empty|title=(help); Unknown parameter|السنة=ignored (help); Unknown parameter|الشهر=ignored (help); Unknown parameter|الصفحات=ignored (help); Unknown parameter|العنوان=ignored (help); Unknown parameter|المؤلف=ignored (help) - ^ أ ب ت ث ج ح خ Consumer Reports; American Academy of Family Physicians (April 2012). "Treating sinusitis: Don't rush to antibiotics" (PDF). Choosing wisely: an initiative of the ABIM Foundation. Consumer Reports. Archived from the original (PDF) on June 11, 2012. Retrieved August 17, 2012. 
{{cite web}}: Unknown parameter|deadurl=ignored (|url-status=suggested) (help) - ^ American Academy of Allergy, Asthma, and Immunology. "Five things physicians and patients should question" (PDF). Choosing Wisely: an initiative of the ABIM Foundation. American Academy of Allergy, Asthma, and Immunology. Archived from the original (PDF) on November 3, 2012. Retrieved August 14, 2012. 
{{cite web}}: Unknown parameter|deadurl=ignored (|url-status=suggested) (help)CS1 maint: multiple names: authors list (link) 
وصلات خارجية
| Classification | |
|---|---|
| External resources | 
- CS1 errors: unsupported parameter
 - CS1 errors: missing title
 - CS1 errors: empty citation
 - CS1 errors: bare URL
 - الصفحات بخصائص غير محلولة
 - Short description is different from Wikidata
 - All pages needing factual verification
 - Wikipedia articles needing factual verification
 - مقالات ذات عبارات بحاجة لمصادر
 - أمراض الأنف
 - صداع
 - التهابات
 - RTT
 - RTTEM