التهاب المعدة

التهاب المعدة
Gastritis
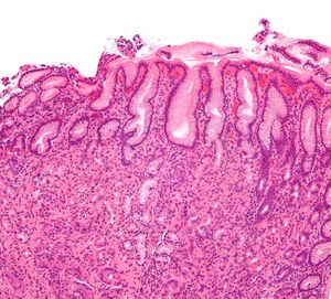
Gastritis helicobacter - intermed mag.jpg
صورة مجهرية لالتهاب المعدة . صبغة الهيماتوكسيلين والإيوسين.
التخصصطب الجهاز الهضمي
الأعراضألم أعلى البطن، غثيان، قيء، انتفاخ، فقدان الشهية، حرقة الفؤاد[1][2]
المضاعفاتنزف، قرح المعدة، أورام المعدة، فقر الدم الخبيث[1][3]
المدةالمدى القصير أو الطويل[1]
المسبباتالملوية البوابية، NSAIDs، الكحول، التدخين، الكوكايين، الأمراض الخطيرة، مشكلات المناعة الذاتية[1]
الطريقة التشخيصيةالتنظير الداخلي، upper gastrointestinal series، تحاليل الدم، فحص البراز[1]
التشخيص المفاضلMyocardial infarction, inflammation of the pancreas, gallbladder problems, peptic ulcer disease[2]
العلاجAntacids, H2 blockers, proton pump inhibitors, المضادات الحيوية[1]
التردد~50% من الأشخاص[4]
الوفيات50,000 (2015)[5]

التهاب المعدة إنگليزية: Gastritis، هو التهاب بطانة المعدة، ويمكن أن ينتج عن العادات الغذائية السيئة مثل شرب الخمر أو التدخين أو تناول الأدوية الضارة للمعدة مثل الأسبرين أو مضادات الالتهاب اللاستيرويدية لفترات طويلة، أو العدوى بجرثومة الملوية البوابية ملوية بوابية ، أو الإصابة بأحد الأمراض الشديدة أو بالصدمة الشديدة.

ينتج الالتهاب المعدي في حالات قليلة عن حالة مناعة ذاتية، وفيها يهاجم جهاز المناعة في الجسم بصورة خاطئة الخلايا التي تبطن المعدة.

تتألف المعدة من:

  1. الجسم
  2. القاع
  3. الغار

والجسم والقاع هما المفرزان لخميرة الببسين وحمض كلور الماء.

بالنسبة لتأثر أنسجة المعدة فإن التهاب المعدة يقسم إلى التهاب تآكلي (سحجي) erosive أو لا تآكلي (لا سحجي) non erosive،ال وفي أي من الحالتين يكون الالتهاب (إن وجد) إما حادًّا acute أو مزمنًا chronic. والالتهاب المزمن أكثر شيوعًا، وقد يترافق الشكلان.

وربما كان التهاب المعدة اللاسحجي اللانوعي المزمن سطحيًّا أو عميقًا (يتخطى الغشاء المخاطي) وربما يترافق بوجود ضمور أو تحول للغدد. ويصبح التهاب المعدة شائعًا بتقدم العمر لدرجة أن البعض يعتبره ظاهرة إضافية لكبر السن.


الأعراض والعلامات

A peptic ulcer may accompany gastritis. Endoscopic image.

تشابه أعراض القرحات الهضمية ويمكن أن تشمل الغثيان والقيء والألم أو الإحساس بعدم الارتياح في البطن، الأمر الذي يزداد سوءًا عند تناول الطعام.

قد يؤدي التهاب المعدة السحجي (التآكلي) إلى حدوث نزيف يسبب تحول لون البراز إلى اللون الأسود إذا كان النزيف شديدًا أو قد يكتشف بفحص يسمى (الدم الخفي في البراز).

وقد يؤدي ذلك إلى الإصابة بفقر الدم الذي يجعل المريض يبدو شاحبًا ومتعبًا بسبب الفقد البطيء للدم.

الملوية البوابية

تستوطن الملوبية البوابية معدة أكثر من نصف سكان العالم، وتستمر الاصابة بهذه البكتيريا لتلعب دورا رئيسيا في التسبب في عدد من أمراض المعدة والاثنا عشر فيما بعد. إن استعمار هذه البكتيريا للغشاء المخاطي في المعدة ينتج عنه تطوّر التهاب المعدة المزمن لدى الأفراد المصابين، وهناك مجموعة من المرضى الذين يعانون من التهاب المعدة المزمن قد يحدث لديهم مضاعفات (مثل القرحة، الأورام في المعدة، وبعض الاضطرابات المختلفة خارج المعدة).[6] ومع ذلك، فإنّ أكثر من 80 في المائة من الأشخاص المصابين بهذه البكتيريا ليس لديهم أعراض وقد افتُرِضَ البيئة الطبيعية المعدة قد تلعب دورا هاما في ذلك.[7]

الأمراض الخطيرة

التهاب المعدة قد يحدث أيضا بعد القيام بعملية جراحية كبرى أو التعرض لإصابة مؤلمة ("قرحة كوشينغ –cushing ulcer") أوالحروق ("قرحة متجعدة")، أو التهابات حادة. قد يحدث التهاب المعدة أيضا عند أولئك الذين خضعوا لجراحة لفقدان الوزن عن طريق القيام بربط أو إعادة تشكيل القناة الهضمية.


النظام الغذائي

لا توجد أدلة تدعم دور بعض أنواع الأغذية بما في ذلك الأطعمة الغنية بالتوابل والبُن في تطور القرحة الهضمية، [8] وعادةً ما يُنصح الناس بتجنب الأطعمة التي تزعجهم وتثير الإلتهاب.[9]


الأسباب

هناك أسباب شائعة مثل الملوية البوابية ومضادات الالتهاب. وهناك أسباب أقل شيوعا مثل الكحول والكوكايين والإعياء الشديد، ومرض كرون وغيرها.[1] ينتج الالتهاب المعدي في حالات قليلة عن حالة مناعة ذاتية، وفيها يهاجم جهاز المناعة في الجسم بصورة خاطئة الخلايا التي تبطن المعدة.


الفسيولوجيا المرضية

التهاب المعدة الحاد

التهاب المعدة التآكلي الحاد عادة ما يحتوي على بؤر منفصلة في السطح المنخور وذلك بسبب الأضرار التي لحقت بالوسيلة المناعية الدفاعية ألا وهي المخاط.[8] مضادات الالتهاب غير الستيروئيدية تمنع الأكسدة الحلقية-1 -cyclooxygenase-1، أو COX-1، وهو الإنزيم المسؤول عن تكوين الeicosanoids في المعدة، مما يزيد من إمكانية تشكل القرحة الهضمية.[10] كما أن المسكنات مثل الأسبرين، تقلل المادة التي تحمي المعدة والتي تسمى بروستاجلاندين-prostaglandin.. هذه الأدوية المستخدمة لفترة قصيرة عادة لا تكون خطيرة. ولكن، استخدامها بشكل مستمر قد يؤدي إلى التهاب المعدة.[11] بالإضافة إلى ذلك، فإنّ الإجهاد الفيزيولوجي الشديد ("قرحات الضغط") بسبب تسمم الدم، نقص الأكسجين، والصدمات النفسية، أو العمليات الجراحية، هي من المسببات الشائعة لالتهاب المعدة التآكلي الحاد. يمكن أن يحدث هذا النوع من التهاب المعدة عند أكثر من 5٪ من المرضى في المستشفى.

أيضا، لاحظ أن استهلاك الكحول لا تسبب التهاب المعدة المزمن. لكنه مع ذلك، يؤدي إلى تآكل بطانة الغشاء المخاطي للمعدة. جرعات قليلة من الكحول تحفّز إفراز حامض الهيدروكلوريك. في حين الجرعات العالية من الكحول لا تحفّز إفراز الحمض.[12]


التهاب المعدة المزمن

إنّ التهاب المعدة المزمن يدل على تواجد مجموعة كبيرة من المشاكل المؤثرة بأنسجة المعدة.[10] الجهاز المناعي يكوّن البروتينات والأجسام المضادة التي تحارب العدوى في الجسم للحفاظ على حالة التماثل الساكن. في بعض الإضطرابات الصحية يقوم الجسم بإستهداف المعدة كما لو أنها عبارة عن بروتين أجنبي أو كائن مُمرِض؛ فيتم صنع أجسام مضادة تُحدث أضرار بليغة، وقد تدمر المعدة أو بطانتها.[12] وفي بعض الحالات تقوم العصارة الصفراوية، التي تستخدم عادة للمساعدة على الهضم في الأمعاء الدقيقة، بالدخول من خلال صمّام البوّاب في المعدة وذلك إذا تم إزالته أثناء عملية جراحية أو إذا كان لا يعمل بشكل صحيح، مما يؤدي أيضا إلى التهاب المعدة. ويمكن أيضا أن يكون التهاب المعدة بسبب حالات طبية أخرى، كفيروس نقص المناعة البشرية / الإيدز، ومرض كرون، وبعض اضطرابات النسيج الضام، وفشل الكبد أو الكلى. وتصنف تقرحات التهاب المعدة المزمن منذ عام 1992للميلاد وفقا لنظام سيدني.[13]

التحول النسيجي

التحوّل النسيجي للغدد المخاطية، هو الاستبدال العكسي (قابل للعودة) للخلايا المتمايزة، ويحدث عند وقوع أضرار بليغة لغدد المعدة، والتي تضمحلّ فيما بعد (التهاب المعدة الضموري) ويتم استبدالها تدريجيا بالغدد المخاطية. قد يتطور حدوث قرحة المعدة، وإنه من غير الواضح إذا كانت القرحة هي من أسباب التحوّل النسيجي أو من عواقبه. يبدأ حدوث تحوّل نسيجي للأمعاء عادة كإستجابة لإصابة مزمنة في الغشاء المخاطي في التجويف، ويمكن أن يمتد إلى الجسم. خلايا الغشاء المخاطي في المعدة تتغير لتشبه الخلايا المخاطية في الأمعاء، وقد يفترض مشابهتها في الخصائص الامتصاصية. ويصنف التحول النسيجي للأمعاء تشريحيا إلى تحول كامل أو غير كامل. في التحول الكامل، يتحول الغشاء المخاطي في المعدة تماما إلى غشاء مخاطي كما الأمعاء الدقيقة، تشريحيا ووظيفيا، مع القدرة على امتصاص العناصر الغذائية وإفراز الببتيدات. في التحوّل غير الكامل، فإن الخلايا الطلائية تظهر شكل نسيجي أقرب إلى شكل أنسجة الأمعاء الغليظة، وكثيرا ما يحدث خل في نمو الأنسجة ( نمو شاذ).[10]


التشخيص

في كثير من الأحيان، يمكن أن يتم التشخيص على أساس وصف المريض للأعراض، ولكن هناك طرق أخرى يمكن من خلالها التحقق من وجود التهاب في المعدة وهي كالتالي:

  • اختبارات الدم:
    • - عدد خلايا الدم
    • - وجود بكتيريا h-pylori -
    • - وظائف الكبد والكلى والمرارة والبنكرياس
  • تحليل البول.
  • عينة براز، للبحث عن الدم في البراز.
  • الأشعة السينية x-ray -.
  • تخطيط القلب.
  • التنظير، للتحقق من وجود التهاب في بطانة المعدة أوتآكل للأغشية المخاطية وهو الطريقة المؤكدة الوحيدة للتشخيص، وهو يفحص الغشاء المخاطي المبطن للمعدة الذي قد يكون محتقناً( أحمراً )أو متوذماً، وقد توجد فيه تقرحات سطحية
  • خزعة المعدة، لاختبار التهاب المعدة وغيرها من الأمور.[14]

بفحص عينة ( خزعة) مأخوذة من مخاطية المعدة إبان التنظير من قبل أخصائي علم الأمراض بناء على ما يراه فيها بواسطة المجهر التصوير الظليل بالباريوم: اعتمادا على ما يوجد من تغيرات في انثناءات المعدة من قبل الأطباء عن طريق افتراض وجود التهاب بالمعدة عند وجود تاريخ مرضي مثل تناول المشروبات الكحولية، تناول مضادات الألتهاب اللاستيرويدية (والتي تستخدم عادة في علاج الأمراض الرثوية (الروماتيزمية)، أو وجود عسر هضم.

العلاج

سوف ينصحك الطبيب بالابتعاد عن أسباب الالتهاب المعدي التي يمكنك السيطرة عليها لترى ما إذا كانت الأعراض ستختفي أم لا.

إذا ما كنت في حاجة مستمرة إلى تناول أحد العقاقير اللاستيرويدية المضادة للالتهاب، ولكنك تعاني تهيجآ بالمعدة، فيمكنك استعمال أحد العقاقير المسماة(ناهيات مضخة البروتون) ويوجد منها مشتقات كثيرة مثل الأوميبرازول والبانتوبرازول واللانسوبرازول

مسار المرض

يمكن أن يتطور التهاب المعدة بشكل مفاجيء التهاب المعدة الحاد أو بالتدريج على امتداد عدة أشهر أو عدة سنوات " التهاب المعدة المزمن " الذي قد لا يسبب أعراضاً غير الشعور المبهم بالتوعك، ومع ذلك فقد يتسبب بضرر كبير في بطانة المعدة ويؤدي إلى نزف وتقرح، كما أنه عامل خطر لسرطان المعدة


انظر أيضاً

المصادر

  1. ^ أ ب ت ث ج ح خ خطأ استشهاد: وسم <ref> غير صحيح؛ لا نص تم توفيره للمراجع المسماة NID2013
  2. ^ أ ب خطأ استشهاد: وسم <ref> غير صحيح؛ لا نص تم توفيره للمراجع المسماة Rosen2012
  3. ^ خطأ استشهاد: وسم <ref> غير صحيح؛ لا نص تم توفيره للمراجع المسماة Var2014
  4. ^ خطأ استشهاد: وسم <ref> غير صحيح؛ لا نص تم توفيره للمراجع المسماة Ferri2013
  5. ^ خطأ استشهاد: وسم <ref> غير صحيح؛ لا نص تم توفيره للمراجع المسماة GBD2015De
  6. ^ . 
  7. ^ Kandulski A, Selgrad M, Malfertheiner P. Digestive and Liver Disease. 40 (8). doi:10.1016/j.dld.2008.02.026. PMID 18396114. {{cite journal}}: Missing or empty |title= (help); Unknown parameter |التاريخ= ignored (help); Unknown parameter |الصفحات= ignored (help); Unknown parameter |العنوان= ignored (help)
  8. ^ أ ب Pennsylvania, editors, Raphael Rubin, M.D., Professor of Pathology, David S. Strayer, M.D., Ph. D., Professor of Pathology, Department of Pathology and Cell Biology, Jefferson Medical College of Thomas Jefferson University Philadelphia, Pennsylvania ; Founder and Consulting Editor, Emanuel Rubin, M.D., Gonzalo Aponte Distinguished Professor of Pathology, Chairman Emeritus of the Department of Pathology and Cell Biology, Jefferson Medical College of Thomas Jefferson University, Philadelphia,. Rubin's pathology : clinicopathologic foundations of medicine. Philadelphia: Wolters Kluwer Health/Lippincott Williams & Wilkins. p. 623. {{cite book}}: |first1= has generic name (help); Cite has empty unknown parameters: |lay-date=, |subscription=, |nopp=, |last-author-amp=, |name-list-format=, |lay-source=, |registration=, and |lay-summary= (help)CS1 maint: extra punctuation (link) CS1 maint: multiple names: authors list (link)
  9. ^ خطأ استشهاد: وسم <ref> غير صحيح؛ لا نص تم توفيره للمراجع المسماة Hold2012
  10. ^ أ ب ت . 
  11. ^ Dajani EZ, Islam K. J Physiol Pharmacol. 59 Suppl 2. PMID 18812633. {{cite journal}}: Missing or empty |title= (help); Unknown parameter |التاريخ= ignored (help); Unknown parameter |التنسيق= ignored (help); Unknown parameter |الصفحات= ignored (help); Unknown parameter |العنوان= ignored (help); Unknown parameter |المسار= ignored (help)
  12. ^ أ ب . 
  13. ^ . 
  14. ^ . 

وصلات خارجية

Classification
V · T · D
External resources