التهاب القولون التقرحي
| التهاب القولون التقرحي | |
|---|---|
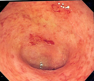
| Endoscopic image of a sigmoid colon afflicted with ulcerative colitis. Note the vascular pattern of the colon granularity and focal friability of the mucosa. | |
| التبويب والمصادر الخارجية | |
| التخصص | طب الجهاز الهضمي | 
| ICD-10 | K51. | 
| ICD-9-CM | 556 | 
| OMIM | 191390 | 
| DiseasesDB | 13495 | 
| MedlinePlus | 000250 | 
| eMedicine | med/2336 | 
| Patient UK | فشل عرض الخاصية P1461: لم يتم العثور على الخاصية P1461. التهاب القولون التقرحي | 
| MeSH | D003093 | 
التهاب القولون التقرحي Ulcerative colitis مرض يصيب كل شعوب الارض ولكنه ينتشر أكثر في دول الغرب والبالغين من سن عشرين الى اربعين سنة ويصيب النساء والرجال بنفس النسبة.
وقد لوحظ ان للمرض جذور وراثية ولكن في اضيق الحدود.
الأسباب
الأسباب الوراثية
عوامل بيئية
مرض المناعة الذاتية
لاحظ الباحثون وجود زيادة في نسبة خلايا البلازما المسؤلة عن انتاج الاجسام المناعية في جدار القولون.
كما لاحظواوجود زيادة في الاجسام المناعية المضادة الموجهة ضد بعض مكونات الطعام او بعض انواع البكتيريا الموجودة في القولون كاحد مكوناته الطبيعية او بعض خلايا الغشاء المبطن للقولون في هؤلاء الناس.
ومن هنا اعتقد العلماء ان الالتهاب التقرحي هو أحد امراض المناعة الذاتية واستدلوا على ذلك بوجود بعض امراض المناعة الذاتية الاخرى في المريض مثل الالتهاب المناعي للغدة الدرقية أو مرض السكلر او الانيميا الخبيثة.
كما وجد علماء المناعة زيادة في تنشيط الخلايا الليمفية و الخلايا(البلعمية الكبيرة)(الماكروفاج) في الانسان المصاب وهذه الخلايا تقوم بافراز المواد الكيميائية المعلروفة بالسيوكاينز والتي تؤدي الىحدوث الالتهاب والتقرح بالغشاء المبطن للقولون.
ويعتمد العلاج بالدرجة الاولى في جميع مراحلهعلى استخدام ادويةتثبيط تاثير كل من الأجسام المناعية و المواد الكيميائية التي تفرزها الخلايا الليمفيةعلى الغشاء المخاطي المبطن للقولون
نظريات بديلة
ما زالت الاسباب مجهولة وهناك نظريات و افتراضات حاولت تفسير اسباب حدوثه:
- أسباب ميكروبية:
 
يعتقد بعض الباحثين أن بعض فصائل البكتريا العصوية (ايشريشيا كولاي) والتي تعيش في جسم الانسان السليم هي المسؤولة عن افراز بعض الانزيمات و السموم التي تؤدي الى التقرح.
Epidemiology
As with Crohn's disease, ulcerative colitis is thought to occur more commonly among Ashkenazi Jewish people than non-Jewish people.
Clinical presentation
GI symptoms
مدى التعرض للمرض
Ulcerative colitis is normally continuous from the rectum up the colon. The disease is classified by the extent of involvement, depending on how far up the colon the disease extends:
- Distal colitis, potentially treatable with enemas:[1]
- Proctitis: Involvement limited to the rectum.
 - Proctosigmoiditis: Involvement of the rectosigmoid colon, the portion of the colon adjacent to the rectum.
 - Left-sided colitis: Involvement of the descending colon, which runs along the patient's left side, up to the splenic flexure and the beginning of the transverse colon.
 
 - Extensive colitis, inflammation extending beyond the reach of enemas:
- Pancolitis: Involvement of the entire colon, extending from the rectum to the cecum, beyond which the small intestine begins.
 
 
شدة المرض
السمات خارج الأمعاء
As ulcerative colitis is a systemic disease, patients may present with symptoms and complications outside the colon. These include the following:
- aphthous ulcers of the mouth
 
أحوال مشابهة
المقارنة مع مرض كرون
The most common disease that mimics the symptoms of ulcerative colitis is Crohn's disease, as both are inflammatory bowel diseases that can affect the colon with similar symptoms. It is important to differentiate these diseases, since the course of the diseases and treatments may be different. In some cases, however, it may not be possible to tell the difference, in which case the disease is classified as indeterminate colitis.
| Crohn's Disease | Ulcerative Colitis | |
|---|---|---|
| Involves terminal ileum? | Commonly | Seldom | 
| Involves colon? | Usually | Always | 
| Involves rectum? | Seldom | Usually | 
| Peri-anal involvement? | Commonly | Seldom | 
| Bile duct involvement? | Not associated | Higher rate of Primary sclerosing cholangitis[2] | 
| Distribution of Disease | Patchy areas of inflammation | Continuous area of inflammation | 
| Endoscopy | Linear and serpiginous (snake-like) ulcers | Continuous ulcer | 
| Depth of inflammation | May be transmural, deep into tissues | Shallow, mucosal | 
| Fistulae, abnormal passageways between organs | Commonly | Seldom | 
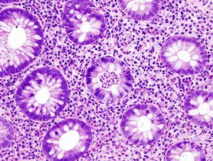
| Biopsy | Can have granulomata | Crypt abscesses and cryptitis | 
| Surgical cure? | Often returns following removal of affected part | Usually cured by removal of colon, can be followed by pouchitis | 
| Smoking | Higher risk for smokers | Lower risk for smokers | 
| Autoimmune disease? | Generally regarded as an autoimmune disease | No consensus | 
| Cancer risk? | Lower than ulcerative colitis | Higher than Crohn's | 
التشخيص و workup
عام
Endoscopic
الأدوية المستخدمة
Aminosalicylates
Corticosteroids
- Cortisone
 - Prednisone
 - Prednisolone
 - Cortifoam
 - Hydrocortisone
 - Methylprednisolone
 - Beclometasone
 - Budesonide - under the brand name of Entocort
 
Immunosuppressive drugs
- Mercaptopurine, also known as 6-Mercaptopurine, 6-MP and Purinethol.
 - Azathioprine, also known as Imuran, Azasan or Azamun, which metabolises to 6-MP.
 - Methotrexate, which inhibits folic acid
 - Tacrolimus
 
Biological treatment
Low Molecular Weight Heparin (LMWH) e.g clexane is used in acute management of the flare of UC.
الجراحة
العلاجات البديلة
التدخين
Unlike Crohn's disease, ulcerative colitis has a lesser prevalence in smokers than non-smokers.[3]
تغيير أنماط الطعام
Dietary fibre, meaning indigestible plant matter, has been recommended for decades in the maintenance of bowel function. Of peculiar note is fibre from category:brassica, which seems to contain soluble constituents capable of reversing ulcers along the entire human digestive tract before it is cooked.[4] Oatmeal is also commonly prescribed In other cases, fibre can be a bad thing, inflamed the ulcer more.
الدهون والزيوت
- Fish oil. Eicosapentaenoic acid (EPA), derived from fish oil.
 
الأعشاب
مزرعة بكتريا جديدة
الطفيليات المعوية
طالع أيضاً
وصلات خارجية
- General Information
 
- Information on Ulcerative Colitis - including diet and supplements
 - Resourses for the treatment of Inflammatory Bowel Diseases
 - Ulcerative Colitis clinical trials and findings from current research
 - http://www.livingwithuc.com/livingwithuc/uc/ulcerative_colitis.html
 
المنظمات
- Crohn's and Colitis Foundation of America
 - European Federation of Crohns and Colitis Associations has member associations in most European countries.
 - Children and youngster group within the European Federation of Crohns and Colitis Assiciations
 - National Association for Colitis and Crohn's disease UK
 - Crohn's & Colitis Foundation of Canada
 
المصادر
- ^ خطأ استشهاد: وسم 
<ref>غير صحيح؛ لا نص تم توفيره للمراجع المسماةACGGuideline - ^ Broomé U, Bergquist A (2006). "Primary sclerosing cholangitis, inflammatory bowel disease, and colon cancer". Semin. Liver Dis. 26 (1): 31–41. doi:10.1055/s-2006-933561. PMID 16496231.
 - ^ Calkins BM (1989). "A meta-analysis of the role of smoking in inflammatory bowel disease". Dig. Dis. Sci. 34 (12): 1841–54. PMID 2598752.
 - ^ Akhtar MS, Munir M (1989). "Evaluation of the gastric anti-ulcerogenic effects of Solanum nigrum, Brassica oleracea and Ocimum basilicum in rats". 27: 163–76. PMID 2515396. 
Brassica oleracea (leaf) powder did not affect the ulcer index significantly but its aqueous extract lowered the index and increased hexosamine levels, suggesting gastric mucosal protection.
{{cite journal}}: Cite journal requires|journal=(help)