التهاب القولون
| التهاب القولون Colitis  | |
|---|---|
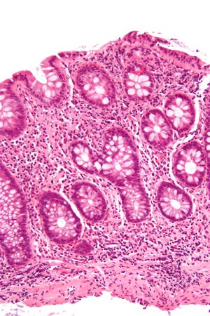
| ميكروگراف يـُظهـِر cryptitis, a ارتباط مجهري لالتهاب القولون. H&E stain. | |
| التبويب والمصادر الخارجية | |
| التخصص | طب الجهاز الهضمي | 
| ICD-10 | K50. - K52 | 
| ICD-9-CM | 558 | 
| OMIM | 191390 | 
| DiseasesDB | 31340 | 
| MedlinePlus | 001125 | 
| eMedicine | ped/435 | 
| Patient UK | فشل عرض الخاصية P1461: لم يتم العثور على الخاصية P1461. التهاب القولون | 
| MeSH | C06.405.205.265 | 
التهابُ القُولُون Colitis مرض ينتج عنه هيجان القولون أو أجزاء أخرى من المعى الغليظ. وتوجد ثلاثة أنواع رئيسية من التهاب القولون: 1- التهاب القولون التقرحي، 2- التهاب القولون الأميبي، 3- التهاب القولون المخاطي.
يصيب التهاب القولون التقرحي الأشخاص الذين تتراوح أعمارهم بين العشرين والأربعين. ولم يعرف الأطباء أسباب هذا النوع، إلا أن كثيرًا منهم يعتقدون أن التوتر العصبي والعوامل النفسية الأخرى قد تزيد من تفاقم المعاناة من هذا المرض. ويعاني المريض إسهالاً حادًّا ترافقه عادة حمَّى ونزف المستقيم. وعندما تزداد حدَّة الالتهاب، تنشأ التقرُّحات على بطانة القولون مُحدِثة جروحًا. وتساعد العقاقير غالبًا على التخفيف من حدة الالتهاب، ولكن قد تدعو الحاجة إلى التدخل الجراحي باستئصال القولون في الحالات بالغة الخطورة. أما الالتهابات المزمنة، فإن احتمال إصابتها بالسرطان كبير؛ لذا ينصح كثير من الأطباء بإجراء عملية جراحية إذا ما استمر المرض أكثر من عشر سنوات.
يحدُثُ التهاب القولون الأميبي عند تناول الأطعمة أو المياه الملوثة بنوع معيَّن من الأميبا الطفيليَّة. ومن أعراضه تشنُّجات ومغص حاد بالبطن، بالإضافة إلى الإسهال والحمى. وربما تتكون قروح عميقة في القولون تكون حادة وتُؤدِّي إلى ثقبه مُحدثة مايُعرف بالتهاب الصفاق. انظر: التهاب الصفاق. ويُعالج الأطباء هذا النوع من الالتهاب بالعقاقير، ولا يستدعي الأمر ـ في معظم الحالات ـ التدخل الجراحي مالم يحدث ثُقْب.
أما التهاب القولون المخاطي؛ ويُسمَّى أيضًا القولون التشنجي أو سريع التهيُّج فيحدث من جرَّاء تشنجات العضلات في جدار القولون. وقد تنتابُ المريض نوباتٌ من المغص الحاد، ويحتوي برازُه على مخاطٍ ـ لكن دون دم ـ ولا يوجد التهاب يذكر ولا تتأثَّر صحته العامة. ويستخدم الأطباء عقاقير وحِميات خاصة للتخلص من الأعراض.
الإشارات والأعراض
علامات وأعراض التهاب القولون العامة تشمل الألم الشديد، وتقلصات في المعدة، والاكتئاب وفقدان الوزن السريع والأوجاع والآلام في المفاصل، وفقدان الشهية، والتعب، والتقلصات المعوية (زيادة تدريجية)، الحمى ؛ تورم أنسجة القولون، وحمامي (احمرار) سطح القولون وتقرحات في القولون (في التهاب القولون التقرحي) التي تسبب النزيف، والمخاط في البراز، ونزيف الدم في البراز والمستقيم. الاسهال قد يحدث، على الرغم من أن بعض أشكال التهاب القولون يصاحبها الإمساك فيبدو البراز وحركات الأمعاء طبيعية.
قد تتضمن الأعراض الأخرى : الغازات، والانتفاخ وعسر الهضم، والحموضة، والارتجاع، ارتجاع المريء، والتشنجات، وأوجاع حادة وغير مريحة في الجهاز الهضمي.
التجارب المشتركة التي تكشف عن هذه العلامات وتشمل الأشعة السينية للقولون، واختبار للدم والبراز والقيح، وفحص القولون بالمنظار. اختبارات إضافية تشمل تحليل البراز وفحص الدم ليالي، بما في ذلك اختبارات كيمياء الدم. وارتفاع معدلترسب الكرات الحمراء هو نتيجة تقليدية للتفاقم الحاد في التهاب القولون.
مشغلات الغذاء
كثير من الناس وجد أن واحدا أو أكثر من الأطعمة التالية يمكن أن يؤدي إلى ظهور أعراض المرض 2
- الكحول
 - الكافيين
 - المشروبات الغازية
 - منتجات الألبان (كاملة الدسم)
 - الفاصوليا المجففة والبازلاء، والبقوليات
 - الفواكه المجففة، والتوت والفواكه ذات اللب أو البذور
 - الأطعمة التي تحتوي على كبريت
 - الأطعمة التي تحتوي على الالياف، بما في ذلك كل منتجات الحبوب
 - الصلصة الحارة والفلفل
 - اللحوم
 - المكسرات والجوز المقدد بالزبد
 - الفشار
 - المنتجات التي تحتوي على السوربيتول (علكة خالية من السكر والحلويات)
 - الخضار النيئ
 - السكر المكرر
 - البذور
 - الأطعمة الحارة والصلصات
 
أنواع المرض
وتشمل أنواع التهاب القولون التهاب القولون التقرحي، التهاب القولون الدرني، التهاب القولون الانحرافي، التهاب القولون الدماغي، والتهاب القولون المعدي، والتهاب القولون الخاطف، التهاب القولون الكولاجيني، التهاب القولون الكيميائي، التهاب القولون المجهري، التهاب القولون اللمفاوي، والتهابات القولون الغير تقليدية.
المناعي
المعدي
- Infectious colitis.
 
واحد من الأنواع الفرعية المعروفة لالتهاب القولون المعدي هوالتهاب القولون الغشائي الزائف، والذي ينتج عن عدوى من سلالة toxigenic من Clostridium difficile العدوى الطفيلية يمكن أيضا أن تسبب التهاب القولون.
أي التهاب للقولون يصاحبه انحدار سريع في السريرية [مطلوب توضيح] يعرف بالتهاب القولون الخاطف. بالإضافة إلى الإسهال، الحمى، وفقر الدم التي شوهدت في التهاب القولون، فالمريض يعاني من الام شديدة في البطن، ويقدم صورة سريرية مشابهة لتسمم الدم أثناء الصدمة. ما يقرب من نصف هؤلاء المرضى يحتاجون للجراحة.
أعراض القولون العصبي، وهو مرض منفصل، , ويدعى التهاب القولون التشنجي أو القولون التشنجي. هذا الاسم يسبب الخلط، لأن التهاب القولون ليس سمة من أعراض القولون العصبي.
التهاب القولون النزفي قد يكون سببه Shiga toxin في Shigella dysenteriae أو مجموعة Shigatoxigenic من Escherichia coli ، الذي يشمل الكائنات المجهرية من فصيلة O157:H7 وغيرها من كائنات E. coli النزيفية.مثل علو وجماعته
العلاج
علاج التهاب القولون يشمل استخدام المضادات الحيويةو بشكل عام مضادات التهابات الغير الستيرويدية (المضادات) الأدوية مثل (Mesalamine (Asacol أو مشتقاته ؛ Azathioprine أو مماثلاته من immunosupressants ؛ المنشطات مثل prednisolone prednisone ؛ واحد أو عدة من الأدوية الأخرى التي تخفيف الالتهابات والالم مثل (buscopan). وبما أنه حالة مزمنة فالهدف من ذلك هو "التخفيف" فضلا عن العلاج.
الجراحة مطلوبة فقط عندما يعاني المريض من ظهور الألم بشكل منتظم أو دائم، لا سيما في حالات التهاب القولون الخاطف. وعادة ما تستلزم الجراحة إزالة القولون والأمعاء وخلق ما يسمى "الحقيبة" مع جزء من الأمعاء الدقيقة، والتي مع الوقت تتبنى خصائص القولون.
وينقسم الرأي الطبي على دور النظام الغذائي في التهاب القولون والتهاب الامعاء. ويذكر أن بعض الذين يعانون المرض وجدوا تغيير في النظام الغذائي يمكن أن يكون فعال في علاج أعراض التهاب القولون وتخفيف الآثار الجانبية.[1] وهذا يشمل الحد من تناول الكربوهيدرات المعقدة، والسكر المكرر، منتجات اللاكتوز، المشروبات الغازية، الكافيين، والأطعمة الغنية بالتوابل.
انظر أيضا
ملاحظات
- ^ Geerling BJ, Dagnelie PC, Badart-Smook A, Russel MG, Stockbrügger RW, Brummer RJ (2000). "Diet as a risk factor for the development of ulcerative colitis". Am. J. Gastroenterol. 95 (4): 1008–13. doi:10.1111/j.1572-0241.2000.01942.x. PMID 10763951.
{{cite journal}}: CS1 maint: multiple names: authors list (link) 
المصادر
روابط إضافية
- مؤسسة الدرنيات والتهاب القولون في كندا
 - مؤسسة الدرنيات والتهاب القولون الأمريكية
 - الرابطة الوطنية لالتهاب القولون وداء الدرن (المملكة المتحدة)
 - بلوق للأشخاص الذين يعانون من التهاب القولون.
 - Colitis at GPnotebook
 - التهاب القولون ،المركز الوطني لتبادل معلومات أمراض الجهاز الهضمي والمعاهد الوطنية للصحة (في المجال العام)
 - Ulcerative Colitis at the Open Directory Project