ورم مسخي
| ورم مسخي Teratoma  | |
|---|---|
| التبويب والمصادر الخارجية | |
| التخصص | علم الأورام | 
| ICD-10 | C62.9 (ILDS C62.930) | 
| ICD-O | 9080 | 
| DiseasesDB | 3604 12952 12966 | 
| eMedicine | med/3449 | 
| Patient UK | فشل عرض الخاصية P1461: لم يتم العثور على الخاصية P1461. ورم مسخي | 
| MeSH | D013724 | 
ورم مسخي أو تيراتوما إنگليزية: Teratomaهو نوع من الأورام التي قد تحدث تشوهات لدى الجنين أو الشخص المصاب به. لا يتم التوصل إلى تشخيص نهائي للورم قبل تحليل عينة من الأنسجة الورم.
ينشأ الورم المسخي من طبقات التبرعم الثلاث، ونادرا ما يحدث خلاف ذلك. ولذلك قد نجد جميع أنسجة الجسم موجودة بداخل الورم، مثل الشعر والأسنان والعظم والغضاريف.
نسبة حدوث المرض
يكثر حدوث المرض في الإناث بنسبة 4 : 1 ذكور ، ويحدث في مولود واحد لكل قرابة 30 ألف مولود في الولايات المتحدة الأمريكية ، ولا توجد إحصائيات لدى البلدان العربية عن نسب حدوثة
 
تشخيص المرض
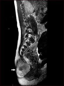
في الجنين يكتشف المرض عن طريق الآشعة التلفزيونية ، أما في مرحلة حديث الولادة فتشتكى الأم من " جسم غريب " متضخم ينشأ من جسم المولود .. وللورم أماكن متعددة الظهور .. فقد ينشأ الورم من مؤخرة الطفل أو قدميه أو رأسه وقد يبلغ حجما كبيرا جدا ، ويتم فحص هذا الجزء بالآشعة وبأخذ نسيج من الورم
العلاج
- إزالة الورم
 
انظر أيضاً
Tumor pages for locations in which teratoma can occur:
Other conditions that may resemble a teratoma:
- Goiter in fetal humans
 - Pilonidal cyst in humans
 - Dermoid sinus in dogs
 
الهامش
وصلات خارجية
- humpath pathology images #2657 (Teratomas), #4541 (Mature teratoma), #5350 (Immature teratoma)
 - Orphanet page on teratoma
 - cystic teratoma at eMedicine (also search EMedicine for all articles containing the word teratoma)
 - Monster Tumors Show Scientific Potential in War Against Cancer article in the NYTimes
 - Mature teratoma entry in the public domain NCI Dictionary of Cancer Terms