ورم الغدة الصنوبرية
| ورم الغدة الصنوبرية | |
|---|---|
| ورم الغدة الصنوبرية | |
| التخصص | علم الأورام | 
| العلاج | الاستئصال الجراحي والعلاج الإشعاعي | 
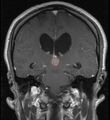
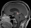
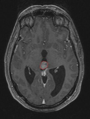
ورم الغدة الصنوبرية هو ورم من الغدة الصنوبرية ، وهي جزء من الدماغ التي تنتج الميلاتونين. إذا دمر الورم الصنوبري خلايا الغدة الصنوبرية عند الطفل ، فيمكن أن يسبب البلوغ المبكر.
العلامات والاعراض
تنتج الغدة الصنوبرية هرمون الميلاتونين الذي يلعب دورًا في تنظيم نظم يوماوي. قد يعطل الورم الصنوبري إنتاج هذا الهرمون ، وقد ينتج عنه أرق.[بحاجة لمصدر]
في كثير من الأحيان ، يُعرف شلل الحملقة إالعلوي جنبًا إلى جنب مع العديد من الموجودات العينية مثل رأرأة تراجع التقارب وتراجع الجفن المعروف أيضًا باسم علامة كولير وانفصال الضوء القريب (تتكيف الحدقة مع الضوء ولكنها لا تتفاعل مع الضوء) يسموا كمجموعة بمتلازمة بارينو[1] أو متلازمة الدماغ المتوسط الظهرية ، هي الأعراض الجسدية الوحيدة التي تظهر. يحدث هذا بسبب ضغط مركز الحملقة العمودي في سقف الدماغ المتوسط على مستوى الأكيمة العلوية والعصب القحفي III. يتضمن العمل عادةً التصوير العصبي كما يظهر على اليمين.[بحاجة لمصدر]
قد يتسبب ورم الغدة الصنوبرية في انقطاع مسارات تثبيط الوطاء ، مما يؤدي أحيانًا إلى إفراز بيتا- موجه الغدد التناسلية المشيمائية البشرية وتحفيز خلايا ليدج (متلازمة الغدد الصماء).[بحاجة لمصدر]
قد تشمل الأعراض الأخرى استسقاء المخ واضطرابات المشي والبلوغ المبكر.[بحاجة لمصدر]
السبب
يمكن أن يكون ورم الغدة الصنوبرية بسبب تكاثر الخلايا الصنوبرية الأولية ( أورام الغدة الخلوية الصنوبرية ، ورم الارومة الصنوبرية ) ، أو الخلايا النجمية (الورم النجمي) ، أو الخلايا الإنتاشية ( الورم الإنتاشي)،[2] الأورام الإنتاشية هي الورم الأكثر شيوعًا في الغدة الصنوبرية،[بحاجة لمصدر]
التشخيص
هذا القسم فارغ. بإمكانك المساعدة بأن تضيف إليه.  (November 2017)  | 
العلاج
هذا القسم فارغ. بإمكانك المساعدة بأن تضيف إليه.  (November 2017)  | 
المآل
من بين الأنواع المختلفة من الأورام الصنوبرية ، فإن النوع الأكثر تفضيلاً في المآل هو الورم الخلوي الصنوبري.[3]
المراجع
- ^ Gaspar N, Verschuur A, Mercier G, Couanet D, Sainte-Rose C, Brugières L (September 2003). "Reversible hearing loss associated with a malignant pineal germ cell tumor. Case report". J. Neurosurg. 99 (3): 587–90. doi:10.3171/jns.2003.99.3.0587. PMID 12959450.
 - ^ "eMedicine - Germinoma, Central Nervous System : Article by Daniel D Mais, MD". Retrieved 2007-12-03.
 - ^ Deshmukh VR, Smith KA, Rekate HL, Coons S, Spetzler RF (2004). "Diagnosis and management of pineocytomas". Neurosurgery. 55 (2): 349–55, discussion 355–7. doi:10.1227/01.NEU.0000129479.70696.D2. PMID 15271241.
 
روابط خارجية
| Classification | |
|---|---|
| External resources |