سن
| ' | |
|---|---|
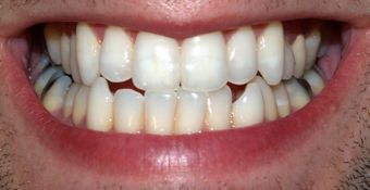
أسنان إنسان بالغ.  | |
CGI posterior view of teeth taken from inside mouth  | |
| Identifiers | |
| MeSH | D014070 | 
| TA98 | A05.1.03.001 | 
| TA2 | 914 | 
| FMA | 12516 | 
| المصطلحات التشريحية | |
سن ( باللاتينية dentes مفردها dens، بالإغريقية οδούς, odús أو δόντι, dónti)
 الأسنان أجسام صلبة تشبه العظم وتوجد في الفكين العلوي والسفلي عند الإنسان والعديد من أنواع الحيوانات. تعد الأسنان أصلب أجزاء الجسم.
يستخدم الناس أسنانهم بصورة رئيسية لمضغ الطعام. ويعتبر المضغ الخطوة الأولى في عملية الهضم. ويبدأ هضم الطعام عندما تقطع الأسنان كتل الطعام وتطحنها لتحولها إلى قطع أصغر. وبينما تمضغ الأسنان الطعام، يختلط الطعام باللعاب الذي يتم إفرازه في الفم، وبالتالي يصبح الطعام كتلة رطبة يسهل بلعها. ويتم تفكيك الطعام بصورة أكثر في المعدة والأمعاء الدقيقة حيث يتم فيها امتصاصه عن طريق الدم. يحمل الدم الطعام المهضوم إلى كافة أنحاء الجسم. ولا يستطيع الناس تناول الطعام دون مضغه بالأسنان.
تؤدي الأسنان أيضا دورًا مهمًا في النطق. حيث يتم استخدام الأسنان واللسان معا لإحداث العديد من الأصوات التي تكون الكلمات. فعلى سبيل المثال يمكن نطق الحرف ذ بوضع ذروة اللسان بين الأسنان العلوية والأمامية. وقد لا يتمكن الشخص الذي يفقد أسنانه من نطق هذا الحرف.
وتساعد الأسنان صاحبها أيضًا في دعم العضلات المحيطة بالفم وبذلك تعطي مظهرًا متميزًا للشخص. والأشخاص الذين فقدوا أسنانهم ينقصهم هذا الدعم. وإذا لم يستخدموا أسنانًا اصطناعية فقد تتشكل حول الفم خطوط عميقة متدلية.
ومن ناحية أخرى، فإن أكثر الحيوانات تستخدم أسنانها للحصول على الطعام، مثلها في ذلك مثل الإنسان، فتأكل النباتات باقتلاعها أوراق الأشجار وأغصان النبات المختلفة، كما تقوم الحيوانات آكلة اللحوم باستخدام أسنانها للإمساك بالفريسة وقتلها.
ويناقش هذا المقال بشكل رئيسي أسنان الإنسان. يصف الجزء الأخير من المقال وجوه الاختلاف بين أسنان أنواع الحيوانات المختلفة.
التشريح
يمكن التمييز عند الإنسان وباقي الثدييات الأشكال التالية:
- الأسنان القاطعة أو القواطع (Incisors).
 - الأنياب (Canine).
 - الضواحك(Premolars).
 - الأرحاء أو الطواحن(Molars).
 
و يجمعها بيت الشعر التالي :
للإنسان أسنان ثنايا رباعيه _ و أنيـاب كـل الضـواحك أربـع.
طواحن ضعف السـت أربع أخـر _ نواجذ فاعلمها إذ العلم أرفع.
أنواع الأسنان
تنمو عند الإنسان مجموعتان من الأسنان: أسنان مؤقتة وأسنان دائمة. تظهر الأسنان المؤقتة بشكل فردي وتسقط تدريجياً في الفترة المبكرة من الحياة. وتستبدل بالأسنان واحدة تلو الأخرى الأسنان الدائمة. تتوافر للأسنان المؤقتة والدائمة نفس البنية الأساسية. يتألف كّل سن من تاج وجذر واحد أو أكثر. والتاج هو ذلك الجزء من السن الذي يمكن مشاهدته في الفم. أما الجذر فهو ذلك الجزء الغاطس في اللثة. تثبت الجذور السن في مغرز داخل عظم الفك.
الأسنان المؤقتة
تسمّى أيضًا أسنان الأطفال أو الأسنان اللبنية أو الأسنان الأولية. يبدأ تشكلها قبل سبعة أشهر ونصف من الولادة. تبدأ الأسنان المؤقتة على شكل انتفاخات بيضية أو دائرية تسمى البراعم وتتطور تدريجيًا لتصبح أسنانًا. وتوجد أجزاء من الأسنان المؤقتة في عمق الفكين عند ولادة الطفل. ومع النمو، تندفع الأسنان خارج اللثة وتُدعى هذه العملية بروز الأسنان أو التسنين. تبدأ الأسنان بالظهور عند الأطفال بين سن 6 – 9 أشهر من العمر. ويكتمل ظهور كافة الأسنان المؤقتة عند معظم الأطفال في حوالي العام الثاني من العمر. يوجد 20 سنًا مؤقتة في فم الطفل، 10 أسنان في كل فك. تتألف هذه الأسنان في الفك الواحد من قواطع وأنياب، في كل فك أربع قواطع ونابان وأربع طواحن. تُستخدم القواطع والأنياب لتقطيع الطعام، بينما تعمل الطواحن على طحنه. يظهر الرسم التوضيحي أنواع الأسنان وأماكن هذه الأسنان في الفم. تساعد الأسنان المؤقتة في عملية بروز الأسنان الدائمة في مكانها الطبيعي. وتتكون غالبية الأسنان الدائمة بالقرب من جذور الأسنان المؤقتة. وعند بلوغ الطفل حوالي ثلاث سنوات من العمر، تبدأ جذور مختلف الأسنان المؤقتة في الذوبان ببطء. وعندما يحين الوقت لظهور السن الدائم، يكون جذر السن المؤقت قد ذاب بشكل كامل ويصبح عندها تاج السن رخوًا ويسقط.
الأسنان الدائمة
تبدأ تطورها بشكل مشابه للأسنان المؤقتة قبل مولد الطفل، إلا أن معظم نموها يحدث بعد مولد الطفل. تبدأ الأسنان الدائمة بالبروز بعد أن تبدأ الأسنان المؤقتة بالسقوط. تبدأ الأسنان الدائمة الأولى بالظهور عند بلوغ الطفل سن ست سنوات أوسبع. ومع ذلك يكون، لدى الطفل بين سن ست سنوات واثنتي عشرة سنة بعض الأسنان المؤقتة والدائمة. تظهر آخر الأسنان الدائمة في الفم عند بلوغ الشخص السن الذي يتراوح بين 17 ــ 21 عامًا. تتكون الأسنان الدائمة في الشخص البالغ من 32 سنًا دائمة منها 16 في كل فك. وهذه الأسنان أكبر وأضخم من الأسنان المؤقتة، وتضم أربعة أنواع من الأسنان هي القواطع والأنياب والضواحك والطواحن. ويحتوي كل فك على 4 قواطع ونابين و 4 ضواحك و 6 طواحن. ويصف السرد التالي الأنواع الأربعة من الأسنان الدائمة. يُظهر الرسم التوضيحي أنواع الأسنان في الفم. القواطع الأسنان الرئيسية التي تُستخدم في القضم. وهي تحتوي على حافة قاطعة حادة مستقيمة. للقواطع في أغلب الحالات جذر واحد. وتعتبر القواطع السُفلية للفك أصغر الأسنان الدائمة. الأنياب تُستخدم مع القواطع لتقطيع الطعام وطحنه. ولهذه الأسنان حافة حادة بارزة وجذر واحد. يطلق على الأنـياب أيضًا أسـنان الكلب. وتعرف الأنياب العلـوية أحيانًا بأسنان العين. الضواحك تستخدم لسحق الطعام وطحنه لأنها تحتوي على سطح عريض بدلاًمن الحافة الحادة المستخدمة للقضم. ويطلق على الكتل الصغيرة الموجودة على سطح السن حدبات. وتمكن الحدبات الأسنان من قطع الطعام وطحنه. يطلق على الضواحك أحيانًا لقب مزدوجة الحدبات لأنها في أغلب الحالات تحتوي على حدبتين. وتحتوي الضواحك العلوية الأولى عادة على جذرين بينما تحتوي الضواحك الأخرى على جذر واحد. تبرز الضواحك في مكان الطواحن المؤقتة. الطواحن تستخدم كالضواحك لطحن الطعام ويشبه شكلها الضواحك، إلا أنها أكبر حجمًا. وتحتوي الطواحن المختلفة على عدد من الحدبات يتراوح بين 3-5 حدبات وجذرين أو ثلاثة جذور. لا تتشكّل الطواحن الدائمة أسفل أي أسنان مؤقتة. وتنمو هذه الأسنان مع نمو الفكين بحيث يتوافر مكان لها. قد تكون واحدة أو أكثر من الطواحن الثلاثة مفقودة عند بعض الراشدين، وتعرف هذه الأسنان عادة بأضراس العقل. وفي أغلب الحالات، لا ينمو الفك إلى درجة كافية بحيث يجد ضرس العقل مكانًا له، فيصبح ضِرس العقل محشورًا بين عظم الفك وسن آخر. ويجب في هذه الحالة إزالة ضرس العقل.
الأجزاء
يتكون السن من أربعة أنواع من الأنسجة هي:
1- لب السن.
2- عاج السن.
3- ميناء السن.
4- الملاط.
يحيط النسيج الضّام بجذر السن. ويُطلق على هذا النسيج الرباط حوالي السن وهو يثبِّت الجذور في النسيج داخل عظم الفك.
- تسمى الطبقه الخارجيه لتيجان الأسنان بالميناء و الطبقه الخارجيه المغطيه للجذور تدعى بالملاط
 - الطبقه الوسطى تسمى بالعاج
 - أما الطبقه الداخليه : فهي اللب السني
 
المينا
يغطي العاج في منطقة تاج السن ويشكل الغطاء الخارجي له. ويعتبر الميناء أصلب نسيج في الجسم. و هو يمكِّن السن من تحمل الضغط الذي يقع عليه خلال عملية المضغ. ويتكون الميناء من أملاح معدنية وكمية قليلة من الماء، وهو أبيض اللون أو شفاف بحيث يمكن مشاهدة لون العاج الأصفر من خلال الميناء، لذلك تظهر غالبية الأسنان بلون مصفرّ. ومع تقدم عمر الشخص تبدأ أجزاء قليلة من الميناء في الزوال. تدعى هذه العملية التآكل، وتنتج من جراء استخدام الأسنان لفترة طويلة من الزمن. وينكشف عاج السن مع زوال الميناء.
- تعتبر الميناء السنيه أصلب نسيج عظمي في جسم الانسان ، اذ تشكل المركبات المعدنيه حوالي 96% من تركيبها و الباقي هو عباره عن بعض المواد العضويه و الماءعتبر هيدروكسي الاباتيت [1] ، Hydroxylapatite المكون الاساسي للميناء السنيه وله الصيغه الكيميائيه : (Ca5(PO4)3(OH
 
- يشكل العاج كتله السن الأساسيه يمتاز العاج بلونه البني المصفر ، و هو نسيج حساس ، بمعنى أن انكشافه على الوسط الفموي قد يسبب أعراضا ألميه تتفاوت في شدتها حسب طبيعه المنبه و شدته
 
الدانتين
الملاط
يغطي عاج جذر السن. ويلتقي الملاط والميناء في أغلب الحالات في منطقة انتهاء الجذر وبداية التاج. مع زوال سطح السن، يبدأ السن بالنمو خارج تجويفها كاشفةً الجذر. يمكن بعد ذلك أن تصبح هذه المناطق أكثر حساسية للسوائل الحارة والباردة. وتعادل صلابة الملاط صلابة العظم. ويتكون الملاط مثله في ذلك مثلََ الميناء بصورة أساسية من أملاح معدنية
اللب
توجد على اطراف الحجره اللبيه خلايا تسمى الخلايا المولده للعاج odontoblasts ، تفترض بعض النظريات الخاصه بآليه الاحساس في العضو السني بأن هذه الخلايا و التي تمتلك استطالات خلويه تدعى بألياف تومز tom's fibers هي المسؤوله عن تولد الاحساس السني بالحراره و بالبروده و غيرها من المثيرات الحسيه ، تمتد الاستطالات المذكوره قرب الالتقاء المينائي العاجي Amelo-dentino junction
- يشكل الملاط السني جزءا من الجهاز حول السني الرابط للسن بالعظم السنخي المحيط به ، اذ تنغمد ضمنه الياف ضامه تدعى بألياف شاربي قادمه من العظم المحيط . يسند للجهاز الرابط حول السني مهمه ربط السن بالعظم المحيط ارتباطا مرنا يمكنه من تخميد الجهود الاطباقيه الناجمه عن الفعاليه المضغيه للسن .
 
الرباط حوالي السن
يتكون من ألياف صغيرة تمتد عبر الملاط وإلى داخل فجوة كبيرة يُطلق عليها السنخ. إلى جانب إرساء السن في السنخ، يعمل الرباط حوالي السن بمثابة ماصٍ للصدمات أثناء عملية المضغ.
التطور
تطور الأسنان ضمن الفك في مرحلتين: مرحلة تكوُّن الهيكل العضوي ومرحلة التمعدن أو التكلس.
يتأثر برعم السن dental germ بكل اضطراب استقلابي سواء في الحياة الجنينية أو بعد الولادة كما في سوء التغذية، أو تناول بعض الأدوية أو الإصابة بمرض أو رض ما. ويؤدي ذلك إلى تشوُّه السن بسوء تكونها أو سوء تمعدنها. ويراوح زمن تكوُّن النسج السنية العضوية ثم بدء تمعدنها في الأسنان المؤقتة (اللبنية) primary teeth، بين الشهرين الرابع والسادس في أثناء الحياة الجنينية، أما في الأسنان الدائمة permanent teeth فيكون من الشهر الثالث بعد الولادة حتى 3 سنوات ماعدا الأرحاء الأولى التي يبدأ تمعدنها حين الولادة، والأرحاء الثالثة التي يبدأ تمعدنها في السنة السابعة أو الثامنة من العمر.
ويتم بزوغ الأسنان المؤقتة في الفك العلوي وفق التسلسل التالي: الثنية central incisor في منتصف الشهر الثامن، والرباعية lateral incisor في الشهر التاسع، والناب canine في الشهر الثامن عشر، والرحى الأولى first molar في الشهر الرابع عشر، والرحى الثانية في الشهر الرابع والعشرين.
ويتم بزوغها في الفك السفلي وفق التسلسل التالي: الثنية في الشهر السادس والرباعية في الشهر السابع، والناب في الشهر السادس عشر، والرحى الأولى في الشهر الثاني عشر، والرحى الثانية في الشهر العشرين.
ويتم بزوغ الأسنان الدائمة في الفك العلوي كما يلي: الثنية بين السنتين السابعة والثامنة والرباعية بين السنتين الثامنة والتاسعة والناب بين السنتين الحادية عشرة والثانية عشرة والضاحكة الأولى premolar بين السنتين العاشرة والحادية عشرة، والضاحكة الثانية بين السنتين العاشرة والثانية عشرة والرحى الأولى بين السنتين السادسة والسابعة، والرحى الثانية بين السنتين الثانية عشرة والثالثة عشرة.
ويتم بزوغها في الفك السفلي كما يلي: الثنية بين السنتين السادسة والسابعة والرباعية بين السنتين السابعة والثامنة والناب بين السنتين التاسعة والعاشرة والضاحكة الأولى بين السنتين العاشرة والحادية عشرة والضاحكة الثانية بين السنتين العاشرة والثانية عشرة والرحى الأولى بين السنتين السادسة والسابعة والرحى الثانية بين السنتين الحادية عشرة والثالثة عشرة.
Eruption
وظائف الأسنان
يحقق وجود الأسنان في الفم الناحية الجمالية التي تؤثر في الناحية النفسية، وتقوم الأسنان بمضغ الطعام وتسهيل هضمه، ويؤدي فقدان الأسنان إلى حرمان الطفل التغذية الجيدة في مرحلة نموه الحرجة مع تناوله غذاءً متوازناً.
يؤدي القلع الباكر للأسنان المؤقتة إلى ازدحام الأسنان الدائمة وحدوث مشكلات تقويمية orthodontic problems أو التهاب لثوي gingivitis، أو إلى ازدياد حدوث التسوس السني dental caries وقد يؤدي فقد الأسنان إلى اضطراب المفصل الفكي الصدغي، الذي يرافقه الصداع أحياناً.
تسهم الأسنان الأمامية في كلام الطفل إذ يؤدي فقدها إلى صعوبة نطق الأحرف الساكنة التي تتطلب وضع اللسان على السطوح اللسانية الأمامية للأسنان.
الأسنان المؤقتة والدائمة
عدد الأسنان المؤقتة عشرون سناً في حين يبلغ عدد الأسنان الدائمة اثنتين وثلاثين سناً، ويختلف هذا العدد بغياب بعض الأسنان hypodontia أو وجود أسنان زائدة surnumerary teeth. ويميل لون الأسنان المؤقتة إلى الأبيض الرمادي في حين يكون لون الأسنان الدائمة أبيض مصفراً، ويؤدي رض الأسنان إلى تغيير لونها نحو الرمادي الداكن. وتتميز جذور الأسنان المؤقتة بتباعدها وقصرها لاحتضانها براعم الأسنان الدائمة إضافة إلى أن حجمها أصغر من الأسنان الدائمة باستثناء الأرحاء الأولى والثانية المؤقتة. وتعد ثخانة ميناء الأسنان المؤقتة أقل من الدائمة وهي ذات لب pulp أكبر، وهذا يُسهِّل وصول التسوس إليه بسرعة.
الأسنان اللبنية
يبدأ بزوخ أول سن لبنيه في فم الطفل في حدود الشهر السادس ، وقد يترافق بزوغها مع شيء من الألم لدى الطفل ، غالبا ما تكون القاطعتان المركزيتان السفليتان هما أول سنين بازغتين ، تتوالى مجموعات الاسنان اللبنيه بالبزوع حتى تكتمل في الفم في حوالي العامين و النصف ، و يمتلك الطفل ما مجموعه عشرون سنا لبنيه تقسم ضمن أربع : أرباع فك بحيث يحتوي كل ربع فك على خمس أسنان هي
- قاطعتان
 - ناب
 - رحتان مؤقتتان
 
يمتاز الاسنان اللبني بغياب مجموعه الضواحك ، إذايمكن القول بأنه لا توجد الا ضواحك دائمه وهي التي سوف تحل مكان الارحاء المؤقته .. أما الارحاء الدائمه فهي سوف تبزغ خلف الارحاء المؤقته بعد توفر المكان نتيجه النمو الفكي في الاتجاه السهمي .
تبدأ أول سن دائمه بالبزوغ و هي الرحى الاولى الدائمه السفليه في عمر الست سنوات ،وقد لا تنتبه العائله لبزوغ هذه السن الدائمه خصوصا انها قد تسبق بدء تساقط الاسنان اللبنيه .
الأسنان الدائمة
تبدأ أول سن دائمة بالبزوغ في عمر السادسة، و تبزع كل الاسنان الدائمه حتى عمر الثانيه عشره ما عدا الارحاء الثالثه - أضراس العقل- و التي تتأخر حتى سن الثامنة عشرة ، وقد لا تبزغ أبدا لدى البعض إما لقصور في نمو و حركه البرعم السني أو لغيابه أصلاً. يمتلك الفرد البالغ اذاً 32 سنا و يحتوي كل ربع فك على :
- قاطعتين - ثنيه و رباعيه-
 - ناب
 - ضاحكتان
 - ثلاثة أرحاء
 
يؤدي إهمال علاج تسوس الأسنان المؤقتة ورضوضها إلى أذيات في الأسنان الدائمة كالتشوه وانحراف البزوغ ectopic، ويمثل الشكل (2) أنواع الأسنان في الفكين، ويمثل الشكل (3) ترسيماً لرحى دائمة ورحى مؤقتة.
التركيبات الداعمة
Periodontal ligaments
العظم السنخي
Gingiva
Tooth decay
البلاك
Caries (cavities)
العناية بالأسنان واللثة
يمكن منع حدوث أكثر حالات تسوس الأسنان وأمراض اللثة إذا ما اعتنى الناس بالأسنان واللّثة. وتتطلب العناية الصحية:
1- تناول الطعام الجيد.
2- تنظيف الأسنان بعد تناول الطعام.
3- إجراء فحوص طبية على الأسنان.
الطعام الجيد
ينصح أطباء الأسنان بتناول وجبات الأطعمة التي تزود الأسنان واللثة بما تحتاجه من غذاء ومواد مغذية. ويقسم خبراء التغذية الطعام إلى مجموعات، وذلك بغية مساعدة الأشخاص في تحضير وجبات غذائية متوازنة. وتقسم المواد الغذائية تبعًا لأحد الأنظمة إلى أربع مجموعات في حين يذكر نظام آخر سبع مجموعات. ينصح أطباء الأسنان الناس أيضًا بالإقلال من تناول المواد السكرية التي تؤدي إلى تسوس الأسنان. وتبدأ هذه العملية عندما تهضم البكتيريا بالفم السكر وتصنع الحمض الذي يذيب ميناء السن ويشكل فجوة فيها. تتضمن المأكولات التى تحتوي على كمية كبيرة من السكر أنواع الحلوى والمعجنات وغالبية مستحضرات الحبوب المتناولة في وجبة الإفطار والفواكه المعلبة المحلاة. ويتناول العديد من الناس مأكولات سكرية بوصفها وجبات خفيفة. وينصح أطباء الأسنان بأن تتكون الوجبات الخفيفة من فواكه طازجة وخضراوات، ومن الأجبان والمكسرات. وينصحون أيضًا بتناول الحليب أو عصائر الفواكه، وغيرها من المرطّبات المحلاة بالسكر. ينصح أطباء الأسنان كذلك بأن يشرب الأطفال ماء يحتوي على مواد كيميائية تُسمى الفلوريدات. يمتص الميناء الفلوريدات خلال نمو الأسنان. وتساعد هذه المركبات السن على مقاومة الحمض الذي يؤدي إلى حدوث فجوات التسوس. وتمتلك بعض التجمعات البشرية مصدرًا مائيًا يحتوي على الفلوريدات بشكل طبيعي. وتضيف العديد من المجتمعات الأخرى الفلوريدات إلى مصادر المياه. وعلى كل حال، فإن بعض الناس يعترض على مبدأ معالجة مياه الشرب بالفلوريدات. مكن وضع الفلوريدات مباشرة على أسنان الطفل خلال الفحص السني. ويقوم أطباء الاسنان في بعض الحالات بوصف الفلوريدات التي يستطيع الأطفال وضعها على أسنانهم في المنزل. ينصح غالبية أطباء الأسنان الأطفال بتنظيف أسنانهم باستخدام فرشاة ومعجون أسنان يحتوي على الفلوريدات.
تنظيف الأسنان
ينصح أطباء الأسنان الناس بتنظيف أسنانهم بالفرشاة بعد كل وجبة طعام وأيضًا باستخدام الخيط السني مرة واحدة في اليوم. والخيط السني هو خيط رفيع متوفر بشكل لفة يستخدم لتنظيف المناطق بين الأسنان وتحت اللثة. ويزيل تنظيف الأسنان سواء بالفرشاة أو بالخيط السني جزيئات الطعام المحصورة وكذلك اللويحات (البلاك) من سطوح الأسنان. واللويحات طبقة رقيقة ملتصقة تتكون من اللعاب وجزيئات الطعام والبكتيريا. تتحلل أنواع معينة من الطعام وخصوصًا السكريات بوساطة البكتيريا وتكون حمضًا مذيبًا للميناء. يجب استخدام فرشاة أسنان صغيرة وطرية وعليها معجون أسنان يحتوي على الفلوريدات. وهناك عدة طرق لاستخدام الفرشاة تختلف من طبيب إلى آخر. إحدى هذه الطرق أن توضع الفرشاة على الأسنان بزاوية مَيْل بسيطة بحيث تكون شعيراتها متجهة نحو اللثة. ويجري تنظيف الأسنان العلوية بالفرشاة بحركة مسح متجهة إلى أسفل، بينما يتم تنظيف الأسنان السفلية بحركة مسح متجهة إلى أعلى. وُتنظف بهذه الطريقة السطوح الخارجية والداخلية للأسنان. ويجب استخدام حركة فرك لتنظيف سطوح الضواحك والطواحن. وأخيرًا يجب تنظيف اللسان بالفرشاة لإزالة جزيئات الطعام والبكتيريا التي تؤدي دورًا في رائحة الفم الكريهة ويغسل الفم بشكل جيد بالماء أو مطهرات الفم. لاستخدام الخيط السني، تقطع من اللفة قطعة من الخيط بطول حوالي 45سم. تلف إحدى نهايات الخيط حول كل أصبع وسطى. أدخل الخيط بلطف بين الأسنان باستخدام السبابة والإبهام، حرك الخيط السني بعد ذلك بالاتجاه العلوي والسفلي لتنظيف سطح سنين متجاورتين والمناطق حول خط اللثة وتكرر هذه العملية على كافة الأسنان. يستخدم بعض الناس حبوبًا كاشفة لمعرفة ما إذا بقيت أي مناطق غير نظيفة بعد انتهاء عملية تنظيف الأسنان واستخدام الخيط السني. تحتوي الحبوب الكاشفة على صباغ أحمر أو بنفسجي، وعند مضغ إحدى هذه الحبوب يلتصق الصباغ على أي مناطق غير نظيفة من سطوح الأسنان. تستطيع بعد ذلك إعادة تنظيف الأسنان واستخدام الخيط السني على هذه المناطق. يمكنك الحصول على الحبوب الكاشفة من طبيب أسنانك أو الصيدلي.
الفحوص الطبية للأسنان
ينصح أطباء الأسنان بإجراء فحص سني مرة واحدة على الأقل كل سنة. ويجب أن يبدأ الأطفال بزيارة طبيب الأسنان بعد بروز كافة أسنانهم المؤقتة. ويستطيع أطباء الأسنان التعرف على أمراض الأسنان واللثة ومعالجتها في مراحلها الأولى قبل أن يتسبب المرض في حصول أذى شديد. ويقدم أطباء الأسنان أيضًا خدماتهم التي تساعد على منع حدوث أمراض الأسنان واللثة. يوظف العديد من أطباء الأسنان اختصاصيًا في صحة الأسنان لمساعدتهم في عملهم. ينظر طبيب الأسنان إلى الأسنان واللثة والأنسجة الأخرى داخل الأسنان خلال عملية الفحص السني لاكتشاف علامات الأمراض. وقد يجري طبيب الأسنان أو اختصاصي صحة الأسنان فحوصًا بالأشعة السينية للأسنان. وتستطيع الأشعة السينية إظهار مكان تسوس السن الذي لايمكن رؤيته بالعين المجردة، كما تظهر أيضًا أية حالات شاذة في عظام الفكين والأنسجة الأخرى الداعمة للأسنان. ويمكن لطبيب الأسنان بوساطة هذا الفحص أن يقرر حشو فجوات التسوس، أو أن يخطط لإجراء نوع آخر من المعالجة. يقوم بعد ذلك طبيب الأسنان أو اختصاصي صحة الفم بتنظيف الأسنان لإزالة البلاك والََقَلَحَ أو القلاح، وهو مادة صلبة صفراء تتشكل بسبب تراكم اللويحات. وبعد إتمام عملية التنظيف، يوُضع عليها أحيانًا الفلوريدات لمساعدتها في مقاومة التسوس. ويحتاج الأطفال والمراهقون فقط لوضع الفلوريدات على أسنانهم بشكل عام. وأخيرًا يمكن أن يقوم طبيب الأسنان أو اختصاصي صحة الأسنان بإعطاء تعليمات للمريض عن كيفية تنظيف أسنانه واستخدام الخيوط السنية بشكل صحيح.
أمراض وعيوب الأسنان
يعتبر نخر الأسنان وتآكلها، ويطلق عليه أيضًا التسوس، أكثر أمراض الأسنان شيوعًا. وقد أصبح نخر الأسنان في العديد من البلدان الصناعية أقل انتشارًا وخصوصًا بين الأطفال. أما في البلدان النامية حيث كان العديد من الناس في السابق لايشكون من نخر في أسنانهم طوال حياتهم، فقد بدأت الإصابات تظهر بشكل واسع. وينتشر وضع الأسنان غير الطبيعي بين كثير من الأفراد صغار السن، وتسُمّى هذه الحالة الموضعية للأسنان بسوء الإطباق. وتعتبر أمراض اللثة التي تدعى أمراض حوالي السن، الآفة الرئيسية التي تصيب الأسنان في كافة أرجاء العالم. وهناك مرض أشد خطورة لكنه أقل انتشارًا وهو سرطان الفم الذي يصيب كل عام حوالي 4 من كل 100,000 شخص في أغلب البلدان الغربية، وحوالي 40 في كل 100,000 شخص في شبه القارة الهندية، وأجزاء من جنوب شرقي آسيا، وجنوب أمريكا وجزر المحيط الهادئ. ويبحث الشرح التالي أسباب وطرق علاج كل من نخر الأسنان وسوء الإطباق وأمراض الأنسجة المحيطة بالأسنان وسرطان الفم.
نخر الأسنان
عملية معقدة تشترك فيها اللويحات والبكتيريا والطعام. وتشكل المواد البروتينية الموجودة في اللعاب طبقة رقيقة على الأسنان لاتُرى بالعين المجردة. تلتصق البكتيريا وجزيئات الطعام على هذه الطبقة لتكوين اللويحة السنية. وتقوم البكتيريا بهضم الكربوهيدرات (السكريات والنشويات) الموجودة في الطعام وتنتج حمضًا. يقوم الحمض بإذابة الميناء ببطء ويُسبب في آخر الأمر فجوة النخر السني. ويمكن ترميم هذا النخر السني في مراحله المبكرة بصورة طبيعية. ويحصل الترميم إذا تمت السيطرة على التأثير الحمضي عن طريق الاهتمام بصحة الفم، والإقلال من تناول الوجبات الخفيفة المحتوية على السكريات والنشويات، مع إيصال ما يكفي من الفلوريدات إلى منطقة النخر. وإذا لم يكن من المستطاع السيطرة على النخر، فإن الإصابة ستصل إلى العاج وتصيب اللب مما يسبب ألمًا سنيًا. وتتعرض السطوح القاضمة للضواحك والطواحن للنخر، وذلك لاحتوائها على العديد من الفجوات الصغيرة والشقوق التي تأوي إليها اللويحات. يمكن منع هذا النوع من النخر بوضع مادة سادة تتكون من بلاستيك يلتصق بالسطح الطاحن. ويعالج أطباء الأسنان النخر السني بعدة طرق بناء على درجة تكوّنه. فعندما يكون النخر في مراحله الأولى ينصح غالبية أطباء الأسنان بعدة طرق لإيقاف عملية النخر. وعندما تكون هناك حاجة لأن يقوم طبيب الأسنان بعمل ما، فإن أكثر الطرق شيوعًا تتضمن 1- حشو الفجوات، 2- معالجة قناة الجذر، 3- تتويج السن، 4- خلع واستبدال الأسنان. وقبل البدء بأي من هذه العمليات يقوم طبيب الأسنان عادة بحقن مخدّر موضعي في اللثة بالقرب من أعصاب السن لمنع الإحساس بالألم. حشو الفجوات. لحشو فجوة، يزيل طبيب الأسنان أولاً الأجزاء المنخورة والطرية من السن باستخدام أدوات يدوية صغيرة، أو مثقب كهربائي. ويهيئ طبيب الأسنان بعد ذلك رفوفًا صغيرة في الفجوة باستخدام جهاز ذي سرعة عالية. تساعد هذه الرفوف المجهزة على الإبقاء على الحشوة التي لاتمتلك خواص لاصقة.
حشو الفجوات
حشو الفجوات يظهر في هذه الرسوم التوضيحية كيف يقوم طبيب الأسنان بحشو فجوة. يبدأ طبيب الأسنان عادة بحقن مادة مخدرة إلى داخل اللثة بالقرب من السن. يمنع المخدر إحساس المريض بالألم الذي قد يحدثه حفر السن.
تتويج الأسنان
خلع واستبدال الأسنان. يمكن لطبيب الأسنان في حالات النخر المتقدمة خلع سن أو أكثر واستبداله بسن اصطناعي، إلا أن الأسنان الاصطناعية لاتؤدي وظيفتها كما تفعل الأسنان الطبيعية. لذلك فان أطباء الأسنان لا يقررون عمليات الخلع والاستبدال إلا إذا كانت طرق المعالجة الأخرى غير مجدية. ويقوم طبيب الأسنان أولاً بتخدير المنطقة، ثم يستخدم أداة تشبه الكماشة للإمساك بتاج السن وقلقلة الجذر من تجويفه. وتتم بعد ذلك إزالة كل من التاج والجذر، وعندئذ يمكن تركيب سن اصطناعي بعد التئام اللثة. تحضّر الأسنان الاصطناعية من قوالب تم قياسها على فم المريض. تصنع الأسنان في أغلب الحالات من مادة البلاستيك. تعتبر الجسور، والأطقم الجزئية والأطقم الكاملة أكثر أنواع الأسنان الاصطناعية انتشارًا. تثبت الجسور بشكل دائم في الفم، إلا أن الأطقم الجزئية والكاملة تكون متحركة. تستخدم الجسور عندما يكون عدد الأسنان المفقودة قليلاًً. وتتكون الجسور من سن اصطناعية واحدة أو أكثر مع تاج فلزي أو خزفي على كل جانب. وتثبت التيجان فوق الأسنان الطبيعية المجاورة التي يجب تحضيرها لاستقبال هذه التيجان. وتُستخدم الأطقم الجزئية أيضا لتعويض عدد قليل من الأسنان المفقودة. يحتوي الطقم الجزئي على مشابك فلزية تدور حول الأسنان المجاورة لإبقاء طقم الأسنان في مكانه. وتستخدم الأطقم الكاملة عندما تكون كافة الأسنان في أحد الفكين أو كليهما مفقودة. وتثبت الأسنان الاصطناعية في الأطقم الكاملة على قاعدة بلاستيكية تأخذ شكل الحافة التي بقيت بعد قلع الأسنان. وتغطي القاعدة البلاستيكية في الفك العلوي أيضًا سقف الفم.
سوء الإطباق
هو عدم تمكن الأسنان في الفكين العلوي والسفلي من التطابق بشكل صحيح. فعندما يتطابق الفكان بعضهما فوق بعض، يجب في الحالات الطبيعية أن تتخطى الأسنان الأمامية العلوية مثيلاتها السفلية قليلاً. وهناك ثلاثة أنواع رئيسية لسوء الإطباق: إطباق الفك العلوي المتقدم وإطباق الفك السفلي المتقدم وازدحام الأسنان. وفي حالة إطباق الفك العلوي المتقدم تبرز الأسنان العلوية الأمامية. ويطلق على هذا الخلل عادة أسنان الوعل. أما في حالة إطباق الفك السفلي المتقدم، فإن الأسنان تبرز أمام مثيلاتها العلوية. ويكون عند العديد من الأشخاص إطباق طبيعي إلا أن أسنانهم تكون مزدحمة. وازدحام الأسنان هو أكثر أنواع سوء الإطباق انتشارًا. هناك عدة أسباب لسوء الإطباق. في بعض الحالات، تسقط السن المؤقتة قبل أن تكون السن الدائمة جاهزة للبروز. تتحرك تبعًا لذلك الأسنان القريبة تدريجيًا إلى موضع الفراغ وتمنع السن الدائمة من البروز في المكان الصحيح. وفي حالات أخرى تكون الأسنان الدائمة كبيرة بالنسبة إلى حجم الفك، لذلك تزدحم مع بعضها. تتداخل نتيجة لذلك حواف بعض الأسنان أو قد تبرز سن فوق أخرى. وفي حالات شديدة أخرى، يحدث نمو غير طبيعي للفكين.
يمنع سوء الإطباق الأسنان من القيام بوظائفها بشكل طبيعي عندما يمضغ الشخص الطعام. وقد تؤثر أيضًا على الطريقة التي يتحدث بها الشخص. وبالإضافة إلى ذلك فقد يساعد سوء الإطباق الشديد بصورة ضئيلة على حدوث نخر الأسنان وأمراض الأنسجة الداعمة للسن. ويرجع سبب ذلك إلى صعوبة تنظيف الأسنان المتكوّنه بشكل غير طبيعي. يمكن إصلاح أغلب حالات سوء الإطباق بوساطة المثبِّتات. يمكن أن تتألف هذه من أسلاك ونوابض مثبّتة على لوائح بلاستيكية يمكن أن يزيلها المريض من فمه، أو من أطواق فلزية مثبتة على السطح الأمامي لكل سن ومتصلة بأسلاك. وتزال هذه الأسلاك بصورة دورية لإجبار الأسنان على الحركة إلى مكانها الصحيح. إلا أنه يجب تحريك الأسنان ببطء، لذلك فقد يمتد العلاج فترة سنة أو أكثر. ويجب في بعض الحالات قلع سن واحدة أو أكثر لإيجاد مسافة كافية للأسنان الأخرى للتحرك والوصول إلى إطباق طبيعي.
==أمراض حوالي السن==أمراض حوالي السن. يظهر الرسم التوضيحي أدناه نوعين من أمراض حوالي السن في التهاب اللثة. يتراكم القلح بين اللثة والأسنان مسببًا التهاب اللثة. في التهاب حوالي السن (التهاب اللثة السنخي) يدمر الالتهاب النسيج بالتدريج.
يسببها تراكم اللويحات والقلح بين الأنسجة المحيطة باللثة والأسنان. تهيّج اللويحات السنية والترسبات القلحية اللثة مما يسبب التهابها. ومع مرور الوقت قد يُصاب العظم الداعم للأسنان. وأفضل طريقة لمنع تراكم اللويحات تحت خط اللثة تكون باستخدام الخيوط السنية يوميًا. وقد تتهيج هذه الأنسجة أيضًا إذا اعتاد الشخص على التنفس عبر الفم أو التدخين أو مضغ التبغ أو تنظيف الأسنان بطريقة غير صحيحة، أو استخدم أطقم أسنان سيئة الإطباق. إن الأسنان المتكونة بشكل غير طبيعي يمكنها أيضًا أن تهيّج اللثة. هناك ثلاثة أنواع رئيسية لأمراض حوالي السن وهي 1 -التهاب اللثة 2 -التهاب حوالي السن 3 -عدوى فنسنت. التهاب اللثة. تصبح اللثة حمراء منتفخة وتنزف بسهولة عند تنظيفها أو الضغط عليها. ويعالج أطباء الأسنان التهاب اللثة بتقليح (تنظيف) الأسنان لإزالة اللويحات والقلح. ويقومون كذلك بإعطاء التعليمات للمرضى عن كيفية تنظيف الأسنان واستخدام الخيط السني وتدليك اللثة. التهاب حوالي السن، التهاب طويل الأمد في الأنسجة الداعمة للأسنان. ويرجع سبب هذا الالتهاب إلى التهيج الذي تسببه اللويحات الموجودة تحت خط اللثة. ويتطور التهاب حوالي السن عادة بشكل بطيء جدًا، ويمكن التحكم فيه بالمحافظة على صحة الفم جيدة، وبتقليح الأسنان. ويصاب بعض الأشخاص بالتهاب أشد حدة في هذه الأنسجة يتسبب في تخريب أجزاء من الجدران العظمية لسنخ الأسنان وتصبح معه الأسنان متخلخلة. وفي هذه الحالات، قد يساعد في العلاج إجراء عملية جراحية صغرى تتضمن تثبيت الأسنان المصابة بوساطة جبيرة مع الأسنان المجاورة التي لاتزال ثابتة. إلا أنه في العديد من الحالات يجب خلع الأسنان المتحركة وتعويضها بأسنان اصطناعية. عدوى فنسنت ويُسمى أيضًا الفم المتقرح، هو التهاب مؤلم يصيب اللثة حيث تصبح حمراء وتنزف بسهولة. يصبح للفم رائحة كريهة جدًا وقد يصاب المريض بالحمى. ولمعالجة التهاب فنسنت يقوم طبيب الأسنان بتنظيف الأسنان واللثة بشكل جيد، ويعطي المريض تعليمات تتعلق بالعناية بالفم. ويصف طبيب الأسنان في أغلب الحالات مضادات حيوية للقضاء على الالتهاب.
سرطان الفم
مرض يدمر الفم وقد ينتشر إلى أجزاء أخرى من الجسم. ولايعرف العلماء بالضبط ما الذي يسبب سرطان الفم. إلا أن هناك عدة عوامل يمكنها الإسهام في تطوره؛ فالأشخاص الذين يدخنون أو يمضغون التبغ مثلا يعرضون أنفسهم للإصابة بسرطان الفم. وقد لا يسبب سرطان الفم في مراحله الأولى أي ألم، وقد لا يلاحظه المريض. أما أعراضه الأولى فتتمثل في ظهور تقرح صغير في الفم لايلتئم. وللتأكد من وجود سرطان، يزيل طبيب الأسنان بعض النسيج المتقرح. يتم فحص النسيج تحت المجهر لتقرير ما إذا كان سرطانيًا أم لا. ويمكن علاج سرطان الفم بوساطة العقاقير أو الأشعة أو الجراحة.
أسنان الحيوانات
هناك عدة أنواع من الحيوانات لها أسنان ولكن الطيور والضفادع والسلاحف وبعض أنواع الحشرات والحيتان لا أسنان لها. للقطط والكلاب وأغلب الثدييات الأخرى أسنان غير متماثلة، وذلك يعني أن لديها على الأقل نوعين من الأسنان لها استعمالات مختلفة. فعلى سبيل المثال، يمكن أن يكون لديها قواطع لاستخدامها لقطع الطعام وطواحن لطحنه. تختلف أسنان مختلف أنواع الثدييات في شكلها وحجمها، وذلك تبعًا لنوع الطعام الذي يتناوله الحيوان بصورة رئيسية. فللثدييات التي تأكل النباتات كالفيلة والزرافات والنعاج طواحن مسطحة عريضة بشكل غير طبيعي. وهي تستخدمها لمضغ وسحق النباتات. أما الثدييات الآكلة للحوم كالأسود والنمور والذئاب فلها أنياب حادة. وتستخدم هذه الحيوانات أنيابها لتقطع وتمزق جسد فريستها.
لدى بعض الثدييات أسنان تنمو باستمرار؛ فأنياب الفيلة هي في الحقيقة قواطع نمت بشكل كبير. وتحتوي أنياب الفيل على لب مفتوح يمكنه من النمو باستمرار. ولدى القندس والجرذان والقوارض الأخرى أيضًا أسنان قاطعة تنمو بشكل متواصل، إلا أن الجزء الأكبر من النمو يتآكل بسبب الاستخدام المتواصل للأسنان.لذلك فإن أسنان هذه الحيوانات لايزداد طولها بشكل كبير. للعديد من الأسماك ومعظم الزواحف أسنان متماثلة على خلاف الثدييات. وهذا يعني أن كافة أسنانها لها الشكل نفسه والوظيفة نفسها. وعلى أية حال فإن الحيوانات التي لها أسنان متماثلة تستخدم هذه الأسنان لالتقاط فريستها. وتفقد الأسماك والزواحف أسنانها وتستبدلها بشكل متواصل. للأفاعي أسنان منحنية إلى الخلف باتجاه الحلق. وتبتلع الأفاعي فريستها بكاملها، وتستخدم أسنانها لدفع الفريسة إلى الخلف باتجاه الحلق. وتوجد لدى الأفاعي السامة أسنان معيّنة تحتوي علـى قناة أو تجـويف يمـكن دفـع السم من خلاله وتأتي المـادة السُّمية من غدد في سقف الفم.
Restorations
Abnormalities
Environmental
Alteration during tooth development
Destruction after development
Discoloration
Alteration of eruption
Developmental
Abnormality in number
Abnormality in size
Abnormality in shape
Abnormality in structure
سجل الحفريات
انظر أيضا
- غسول فموي
 - فلوريد الصوديوم
 - Barodontalgia
 - Braces
 - Dental auxiliary
 - Dental notation
 - سياحة طب الأسنان
 - طب الأسنان
 - Dragon's teeth (mythology)
 - Head and neck anatomy
 - Language
 - Tooth Fairy
 - Tooth painting
 - Vocal tract
 
قوائم
المصادر
الهوامش
المراجع
- RAY E.STEWART, Pediatric Dentistry (The C.V.Mosby Company, U.S.1982).
 - J.R.PINKHAM, Pediatric Dentistry: Infancy Through Adolescence (The W.B.Sounders Company, U.S.1988).
 - Ash, Major M. and Stanley J. Nelson, 2003. Wheeler’s Dental Anatomy, Physiology, and Occlusion. 8th edition. ISBN 0-7216-9382-2.
 - Cate, A.R. Ten. (1998) Oral Histology: development, structure, and function. 5th ed.
 - Neville, B.W., D. Damm, C. Allen, J. Bouquot, 2002. Oral & Maxillofacial Pathology. Second edition. ISBN 0-7216-9003-3.
 
وصلات خارجية
- An article on the use of human tooth used as a neolithic pendant
 - An overview of dental anatomy
 - "Broke a tooth? Grow it back", University of Alberta
 - Tooth eruption chart
 
الرأس: جمجمة - جبهة – عين – أذن – أنف – فم – لسان – أسنان – فك – فك سفلي – وجه – خد – ذقن
الرقبة: حلق - حنجرة – تفاحة آدم
جذع: كتف – عمود فقري – ثدي – حلمة – صدر – قفص صدري – بطن – سرة
أطراف: ذراع – مرفق – ساعد – رسغ – يد – اصبع (إبهام - سبابة - وسطى - بنصر - خنصر) – رجل – حـِجر Lap – فخذ – ركبة – رَبـْلة الساق Calf muscle – كعب – كاحل – قدم – اصبع قدم (إبهام القدم Hallux)









