سرطانة غدية
| سرطانة غدية | |
|---|---|
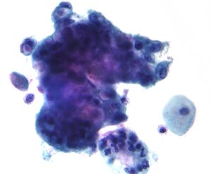
| Micrograph of an adenocarcinoma showing mucin containing vacuoles. Pap test. | |
| التخصص | علم الأمراض، علم الأورام | 
السرطانة الغدية (إنگليزية: Adenocarcinoma)، [1] ( []ˌædᵻnoʊkɑːrsᵻˈnoʊmə[]; plural adenocarcinomas or adenocarcinomata []ˌædᵻnoʊkɑːrsᵻˈnoʊmᵻtə[]) (AC) هي نوع من الأورام السرطانية التي يمكن أن تحدث في عدة أجزاء من الجسم. يتم تعريفها على أنها ورم الأنسجة الظهارية التي لها أصل غدية,وخصائص غدية، أو كليهما. تُعد الأورام السرطانية الغدية جزءًا من المجموعة الأكبر من السرطانات ، ولكنها تُسمى أحيانًا بمصطلحات أكثر دقة مع حذف الكلمة ، حيثما وجدت. وبالتالي ، فإن سرطان الأقنية الباضعة ، وهو الشكل الأكثر شيوعًا لسرطان الثدي ، هو سرطان غدي ولكنه لا يستخدم المصطلح في اسمه - ومع ذلك ، فإن سرطان المريء الغدي يستخدم لتمييزه عن النوع الشائع الآخر من سرطان المريء ، سرطان الخلايا الحرشفية المريئي. العديد من الأشكال الأكثر شيوعًا للسرطان هي السرطانات الغدية ، وتختلف الأنواع المختلفة من السرطانات الغدية اختلافًا كبيرًا في جميع جوانبها ، بحيث يمكن إجراء القليل من التعميمات المفيدة عنها.
في الاستخدام الأكثر تحديدًا ( المعنى الضيق) ، يكون الأصل الغدي أو السمات عبارة عن إفرازات خارجية ؛ اورام الغدد الصماء، مثل فيبوما ، وهو ورم جزيري ، أو ورم القواتم ، وعادة لا يشار إليها باسم سرطانة غدية بل غالبا ما تسمى أورام الغدد الصم العصبية . يشمل النسيج الظهاري أحيانًا ، على سبيل المثال لا الحصر ، الطبقة السطحية من الجلد والغدد ومجموعة متنوعة من الأنسجة الأخرى التي تبطن تجاويف وأعضاء الجسم. يمكن اشتقاق النسيج الظهاري بشكل جنيني من أي طبقة من طبقات المنتشة ( الأديم الظاهر أو الأديم الباطن أو الأديم المتوسط ). لتصنيفها على أنها سرطانة غدية ، لا تحتاج الخلايا بالضرورة إلى أن تكون جزءًا من غدة ، طالما أن لها خصائص إفرازية. السرطانة الغدية هو النظير الخبيث للورم الحميد ، وهو الشكل الحميد لهذه الأورام . في بعض الأحيان تتحول الأورام الغدية إلى سرطانات غدية ، لكن معظمها لا يحدث.
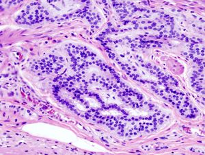
تميل السرطانات الغدية المتمايزة بشكل جيد إلى أن تشبه الأنسجة الغدية المشتقة منها ، في حين أن السرطانات الغدية ضعيفة التمايز قد لا تكون كذلك. من خلال صبغ الخلايا من الخزعة ، يمكن لأخصائي علم الأمراض تحديد ما إذا كان الورم سرطانة غدية أو نوعًا آخر من السرطان. يمكن أن تنشأ السرطانات الغدية في العديد من أنسجة الجسم بسبب الطبيعة المنتشرة للغدد داخل الجسم ، وبشكل أساسي ، بسبب قوة الخلايا الظهارية. في حين أن كل غدة قد لا تفرز نفس المادة ، طالما أن هناك وظيفة إفرازية للخلية ، فإنها تعتبر غدية وبالتالي يسمى شكلها الخبيث بالسرطان الغدي.
علم التشريح المرضي
أمثلة على السرطانات حيث تكون السرطانات الغدية شكلاً شائعًا:
- سرطان المريء معظم الحالات في العالم المتقدم هي سرطانات غدية.[2]
 - البنكرياس . أكثر من 80٪ من سرطانات البنكرياس هي سرطانات غدية قنوية..[3]
 - غالبًا ما يكون سرطان البروستاتا سرطانًا غديًا
 - سرطان عنق الرحم : معظمه سرطان الخلايا الحرشفية ، ولكن 10-15٪ من سرطانات عنق الرحم هي سرطانات غدية[4]
 - سرطان المعدة : غالبًا ما يكون سرطانًا غديًا ولكن في حالات نادرة تكون أورامًا لمفومة الخلايا البائية خارج النطاق العقدية (تسمى أيضًا الأورام اللمفاوية MALT).[5]
 
الثدي
تبدأ معظم سرطانات الثدي في القنوات أو الفصيصات وتكون سرطانات غدية. تمثل الأنواع الثلاثة الأكثر شيوعًا من الأنسجة المرضية مجتمعة ما يقرب من ثلاثة أرباع سرطانات الثدي:
- السرطانة القنوية الغازية : 55٪ من حالات سرطان الثدي[6]
 - سرطانة قنوية موضعية : 13٪[6]
 - السرطانة الفصيصية الغازية : 5٪[6]
 
القولون
الغالبية العظمى من سرطانات القولون والمستقيم هي سرطانات غدية. وذلك لأن القولون يحتوي على العديد من الغدد. تميل الغدد القولونية الطبيعية إلى أن تكون بسيطة وأنبوبية في المظهر مع مزيج من الخلايا الكأسية المفرزة للمخاط والخلايا التي تمتص الماء. تفرز هذه الغدد المخاط في بطانة القولون لتليين البراز أثناء مروره نحو المستقيم.[7]
عندما تخضع هذه الغدد لعدد من التغييرات على المستوى الجيني ، فإنها تتقدم بطريقة يمكن التنبؤ بها حيث تنتقل من سرطان القولون الحميد إلى سرطان القولون الخبيث. في ورقة بحثهم "دروس من سرطان القولون والمستقيم الوراثي" ، اقترح فوغلشتاين وآخرون أن خلايا القولون تفقد جين السليلة القولونية الغدية المثبط للورم وتصبح سليلة صغيرة. بعد ذلك ، اقترحوا أن يتم تنشيط k-Ras وتصبح السليلة الورمية ورمًا غديًا صغيرًا حميدًا. يشير الورم الغدي الحميد ، الذي يفتقر إلى "السرطان" المرتبط بنهايته ، إلى أنه نسخة حميدة من السرطانة الغدية الخبيثة. يستخدم أخصائي الجهاز الهضمي تنظير القولون لإيجاد وإزالة هذه الأورام الغدية والأورام الحميدة لمنعها من الاستمرار في اكتساب التغييرات الجينية التي ستؤدي إلى سرطان غدي غازي. فوجلشتاين وآخرون. ذهب ليشير إلى أن فقدان الجين DCC و p53 يؤدي إلى سرطانة غدية خبيثة..[8]
سيكون هناك كتلة بلون مختلف عن الأنسجة المحيطة. غالبًا ما يكون النزيف من الورم واضحًا لأن الورم يميل إلى نمو الأوعية الدموية فيه بطريقة عشوائية عن طريق إفراز عدد من العوامل المعززة لتكوين الأوعية مثل عامل النمو البطاني الوعائي . من الناحية النسيجية ، يتم تصنيف الأورام التي تشبه الهياكل الأصلية على أنها متمايزة جيدًا. يُشار إلى الخلايا السرطانية التي فقدت أي تشابه مع الأنسجة الأصلية ، سواء في المظهر أو البنية ، على أنها خلايا ورمية ضعيفة التمايز. بغض النظر عن الدرجة ، تميل الأورام الخبيثة إلى أن يكون لها نواة كبيرة ذات نوىة بارزة. سيكون هناك أيضًا زيادة ملحوظة في حدوث الانقسام الفتيلي أو الانقسام الخلوي.
الرئة
ما يقرب من 40 ٪ من سرطانات الرئة هي سرطانات غدية ، والتي تنشأ عادة في أنسجة الرئة المحيطية..[10] ترتبط معظم حالات السرطانة الغدية بالتدخين. ومع ذلك ، من بين الأشخاص الذين دخّنوا أقل من 100 سيجارة في حياتهم ("لم يدخنوا أبدًا")),[11] السرطانة الغدية هو الشكل الأكثر شيوعًا لسرطان الرئة .[12] هناك نوع فرعي من السرطانة الغدية ، وهو سرطان القصيبات السنخي ، وهو أكثر شيوعًا في الإناث غير المدخنات مطلقًا ، وقد يكون لديهن بقاء أفضل على المدى الطويل.[13]
عادة ما يُرى هذا السرطان محيطيًا في الرئتين ، على عكس سرطان الرئة ذو الخلايا الصغيرة وسرطان الرئة ذو الخلايا الحرشفية ، وكلاهما يميل إلى أن يكون أكثر مركزية..[14][15]
أخرى
- سرطان الأوعية الصفراوية, أو سرطان القناة الصفراوية
 - سرطان المهبل
 - سرطان المريطاء
 - سرطان المعدة
 - سرطان البروستاتا
 
انظر أيضاً
المصادر
- ^ From adeno-, "gland" and karkin(o)-, "cancerous" and -oma, "tumor".
 - ^ World Cancer Report 2014. World Health Organization. 2014. pp. Chapter 5.3. ISBN 978-92-832-0429-9.
 - ^ Bond-Smith, G; Banga, N; Hammond, TM; Imber, CJ (May 16, 2012). "Pancreatic adenocarcinoma". BMJ (Clinical Research Ed.). 344: e2476. doi:10.1136/bmj.e2476. PMID 22592847. S2CID 206894869.
 - ^ World Cancer Report 2014. World Health Organization. 2014. pp. 473–474. ISBN 978-92-832-0429-9.
 - ^ Burkitt MD, Duckworth CA, Williams JM, Pritchard DM (February 2017). "Helicobacter pylori-induced gastric pathology: insights from in vivo and ex vivo models". Disease Models & Mechanisms. 10 (2): 89–104. doi:10.1242/dmm.027649. PMC 5312008. PMID 28151409.
 - ^ أ ب ت Percentage values are from United States statistics 2004. Subtype specific incidences are taken from Table 6 (invasive) and Table 3 (in situ) from Eheman CR, Shaw KM, Ryerson AB, Miller JW, Ajani UA, White MC (June 2009). "The changing incidence of in situ and invasive ductal and lobular breast carcinomas: United States, 1999–2004". Cancer Epidemiol. Biomarkers Prev. 18 (6): 1763–9. doi:10.1158/1055-9965.EPI-08-1082. PMID 19454615.. These are divided by total breast cancer incidence (211,300 invasive and 55,700 in situ cases) as reported from Breast Cancer Facts & Figures 2003–2004 "Archived copy". Archived from the original on 2009-04-15. Retrieved 2010-06-15.
{{cite web}}: CS1 maint: archived copy as title (link) - ^ Heath JE, Young B, Wheater PR, Lowe JN, Stevens A (2006). Wheater's Functional histology: a text and colour atlas (5th ed.). Edinburgh: Churchill Livingstone Elsevier. p. 283. ISBN 978-0-443-06850-8.
 - ^ Kinzler KW, Vogelstein B (October 1996). "Lessons from hereditary colorectal cancer". Cell. 87 (2): 159–70. doi:10.1016/S0092-8674(00)81333-1. PMID 8861899. S2CID 18032613.
 - ^ Smokers defined as current or former smoker of more than 1 year of duration. See image page in Commons for percentages in numbers. Reference:
- Table 2 in: Kenfield SA, Wei EK, Stampfer MJ, Rosner BA, Colditz GA (2008). "Comparison of aspects of smoking among the four histological types of lung cancer". Tob Control. 17 (3): 198–204. doi:10.1136/tc.2007.022582. PMC 3044470. PMID 18390646.
 
 - ^ Lu, C; Onn A, Vaporciyan AA; et al. (2010). "78: Cancer of the Lung". Holland-Frei Cancer Medicine (8th ed.). People's Medical Publishing House. ISBN 978-1-60795-014-1.
 - ^ Horn, L; Pao W; Johnson DH (2012). "Chapter 89". In Longo, DL; Kasper, DL; Jameson, JL; Fauci, AS; Hauser, SL; Loscalzo, J (eds.). Harrison's Principles of Internal Medicine (18th ed.). McGraw-Hill. ISBN 978-0-07-174889-6.
 - ^ Subramanian, J; Govindan R (February 2007). "Lung cancer in never smokers: a review". Journal of Clinical Oncology. 25 (5): 561–570. doi:10.1200/JCO.2006.06.8015. PMID 17290066.
 - ^ Raz, DJ; He B; Rosell R; Jablons DM (March 2006). "Bronchioloalveolar carcinoma: a review". Clinical Lung Cancer. 7 (5): 313–322. doi:10.3816/CLC.2006.n.012. PMID 16640802.
 - ^ Chapter 13, box on morphology of adenocarcinoma in: Mitchell, Richard Sheppard; Kumar, Vinay; Abbas, Abul K.; Fausto, Nelson (2007). Robbins Basic Pathology. Philadelphia: Saunders. ISBN 978-1-4160-2973-1. 8th edition.
 - ^ Travis WD, Travis LB, Devesa SS (January 1995). "Lung cancer". Cancer. 75 (1 Suppl): 191–202. doi:10.1002/1097-0142(19950101)75:1+<191::AID-CNCR2820751307>3.0.CO;2-Y. PMID 8000996.
 
وصلات خارجية
| Classification | |
|---|---|
| External resources | 
 Media related to Adenocarcinomas at Wikimedia Commons- "Adenocarcinoma"—NCI Dictionary of Cancer Terms
 - Surgical Videos, Images and Case Studies of Adenocarcinoma of the Sinuses