التهاب اللفافة الأخمصية

(تم التحويل من Plantar fasciitis)
التهاب اللفافة الأخمصية
الأسماء الأخرىالتهاب اللفافة الأخمصية، اعتلال اللفافة الأخمصية، جعب جوجر، متلازمة مهماز الكعب[1]
PF-PainAreas.jpg
مناطق الألم الأكثر شيوعاً في حالة التهاب اللفافة الأخمصية.
التخصصالطب الهيكلي العضلي، الطب الرياضي، الجراحة التقويمية، طب الأقدام
الأعراضألم في الكعب وأسفل القدم [2]
البداية المعتادةتدريجي[3]
المسبباتغير معروفة[2]
عوامل الخطرالاستخدام المفرط (الوقوف لفترات طويلة)، البدانة، الالتفاف الداخلي للقدم[2][4]
الطريقة التشخيصيةتبعاً للأعراض، الموجات الفوق صوتية[2]
التشخيص المفاضلالفصال العظمي، التهاب الفقار الروماتويدي، متلازمة وسادة العقب، التهاب المفاصل الارتكاسي[5][6]
العلاجالعلاج التحفظي[4][7]
التردد~4%[2][5]

التهاب اللفافة الأخمصية (Plantar fasciitis)، أو ألم الكعب الأخمصي (plantar heel pain)، هو اضطراب في اللفافة الأخمصية، وهي الأنسجة الضامة التي تدعم قوس القدم.[2] يؤدي التهاب اللفافة الأخمصية إلى الشعور بالألم في الكعب وأسفل القدم الذي يكون عادة أكثر شدة مع الخطوات الأولى في بداية اليوم أو بعد فترة الراحة.[2][4] يحدث الألم أيضاً بشكل متكرر عند ثني القدم والأصابع نحو الساق.[3][4] عادة ما يأتي الألم تدريجياً ويؤثر على كلا القدمين في حوالي ثلث الحالات.[2][3]

أسباب التهاب اللفافة الأخمصية غير واضحة تماماً.[2] تشمل عوامل الخطر الإفراط في استخدام القدمين، مثل الوقوف لفترات طويلة، وزيادة التمرينات الرياضية، والبدانة.[2][4] كما يرتبط بالالتفاف الداخلي للقدم، و[[وتر أخيل|الوتر العقبي] المشدود، ونمط الحياة الغير نشط.[2][4]

من غير الواضح ما إذا كان مهماز العقب له دور في التسبب في التهاب اللفافة الأخمصية على الرغم من انتشاره بشكل شائع بين الأشخاص المصابين بهذه الحالة.[2] التهاب اللفافة الأخمصية هو اضطراب في موقع دخول الأربطة على العظم يتميز بالتمزقات الدقيقة، وانهيار الكولاجين، والتندب.[2] نظراً لأن الالتهاب يلعب دوراً أقل أو ليس له دور على الإطلاق، اقترحت المراجعة إعادة تسمية الاضطراب plantar fasciosis.[2][8] عادة ما تكون مظاهر الأعراض هي أساس التشخيص. مع استخدام الموجات الفوق صوتية في بعض الأحيان إذا كان هناك شك.[2] تشمل الحالات الأخرى ذات الأعراض المماثلة الفصال العظمي، التهاب الفقار المقسط، متلازمة وسادة العقب والتهاب المفاصل التنكسي.[5][6]

تُشفى معظم حالات التهاب اللفافة الأخمصية بمرور الوقت وطرق العلاج التحفظي.[4][7] في الأسابيع القليلة الأولى، يُنصح المصابون عادةً بالراحة وتغيير أنشطتهم وتناول مسكنات الألم وتمرينات التمدد.[4] إذا لم يكن هذا كافياً، يمكن اللجوء إلى العلاج الطبيعي، تقويم العظام، التجبير، أو حقن الستيرويد.[4]

إذا لم تكن هذه التدابير فعالة، فقد تشمل التدابير الإضافية العلاج بالموجات التصادمية الخارجية أو الجراحة.[4]


يعاني ما بين 4٪ و7٪ من الأشخاص من آلام الكعب في أي وقت: يرجع السبب في حوالي 80٪ منهم إلى التهاب اللفافة الأخمصية.[2][5] يعاني ما يقرب من 10٪ من الأشخاص من الاضطراب في مرحلة ما من حياتهم.[9] يشيع الاضطراب مع تقدم العمر.[2] من غير الواضح ما إذا كان أحد الجنسين أكثر عرضة للإصابة عن الآخر.[2]

الأعراض والعلامات

عندما يحدث التهاب اللفافة الأخمصية، يكون الألم حاداً[10] وعادة ما يكون من جانب واحد (70٪ من الحالات).[7] يؤدي تحميل الوزن على الكعب بعد فترات طويلة من الراحة إلى تفاقم آلام الكعب لدى المصابين.[11] غالبًا ما يفيد الأفراد المصابون بالتهاب اللفافة الأخمصية عن أن أعراضهم تكون أكثر حدة خلال خطواتهم الأولى بعد النهوض من السرير أو بعد فترات طويلة من الجلوس.[4] تتحسن الأعراض عادةً مع مواصلتهم المشي.[4][6][10] تشمل الأعراض النادرة، ولكن المبلغ عنها التنميل، الخدران، التورم، أو الألم المتشعب.[12] لا تشمل الأعراض عادة الحمى أو التعرقا الليلي.[3]

أثناء الإصابة بالتهاب اللفافة الأخمصية إذا استخدمت اللفافة الأخمصية بافراط، يمكنها أن تتمزق. تشمل العلامات والأعراض النموذجية لتمزق اللفافة الأخمصية صوت نقر أو طقطقة وتورم موضعي كبير وألم حاد أسفل القدم.[10]

عوامل الخطر

تشمل عوامل الخطر للإصابة بالتهاب اللفافة الأخمصية الجري المفرط، والوقوف على الأسطح الصلبة لفترات طويلة، القدم الجوفاء، عدم المساواة في طول الساق، والقدم المسطحة. ميل القدم المسطحة إلى اختلاف طول الساقين بشكل مفرط أثناء المشي أو الجري يجعلها أكثر عرضة للإصابة بالتهاب اللفافة الأخمصية.[4][11][13] لوحظ أن 70% من المصابين بالتهاب اللفافة الأخمصية يعانون من البدانة، وهي عامل خطر مستقل.[3]

عادة ما يكون التهاب اللفافة الأخمصية نتيجة لبعض الاختلالات الميكانيكية الحيوية التي تسبب زيادة مقدار التوتر الموجود على امتاد اللفافة الأخمصية.[14]

وجدت الدراسات ارتباطاً قوياً بين زيادة مؤشر كتلة الجسم والتهاب اللفافة الأخمصية لدى الأشخاص الغير رياضيين. هذا الارتباط بين الوزن والتهاب اللفافة الأخمصية غير موجود بين الرياضيين.[7] كما اعتبر تضيق وتر العقب وارتداء الأحذية الغير مناسبة كعوامل خطر هامة.[15][16]

الفسيولوجيا المرضية

مخطط للفافة الأخمصية.

أسباب التهاب اللفافة الأخمصية غير مفهومة بوضوح ويبدو أن هناك العديد من العوامل المساهمة.[15] اللفافة الأخمصية هي عصابة ليفية سميكة من النسيج الضام تنشأ من الحديبة الإنسيّة والجانب الأمامي من عظم الكعب. من هناك تمتد اللفافة على طول أخمص القدم قبل دخولها في قاعدة أصابع القدم لتدعم قوس القدم.[3][11][13]

التهاب اللفافة الأخمصية هي حالة غير التهابية تصيب اللفافة الأخمصية. خلال العقد الماضي، لاحظت الدراسات تغيرات تشريحية مجهرية تشير إلى أن التهاب اللفافة الأخمصية ناتج عن انهيار هيكلي غير التهابي في اللفافة الأخمصية بدلاً من كونه عملية التهابية.[7][15]

صرح الكثيرون من المجتمع الأكاديمي بأنه يجب إعادة تسمية الحالة باسم اللفافة الأخمصية في ضوء هذه النتائج الأحدث.[6] يبدو أن الرضوح المجهرية المتكررة (التمزقات الصغيرة) تسبب انهياراً بنيوياً لللفافة الأخمصية.[12][13] غالباً ما يُظهر الفحص المجهري لللفافة الأخمصية تنكس مخاطي ورواسب الكالسيوم على النسيج الضام وعدم انتظام ألياف الكولاجين.[8]

تؤدي الاضطرابات في الحركة الميكانيكية الطبيعية لللفافة الأخمصية أثناء الوقوف والمشي (المعروفة باسم آلية ويندلاس) إلى إجهاد مفرط على العقبى العظمية ويبدو أنها تساهم في تطور التهاب اللفافة الأخمصية.[15] اقترحت دراسات أخرى أيضاً أن التهاب اللفافة الأخمصية لا يرجع إلى التهاب اللفافة الأخمصية لكن ربما بسبب إصابة الوتر التي تتضمن العضلة المثنية القصيرة الموجودة في عمق اللفافة الأخمصية مباشرة.[13]

التشخيص

يعتبر تضيق الوتر العقبي عامل خطر للإصابة بالتهاب اللفافة الأخمصية. قد يؤدي إلى انخفاض العطف الظهري للقدم.
عظم العقب ومهماز العقب (السهم الأحمر)
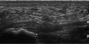
لفافة أخمصية سميكة تظهر في الموجات فوق الصوتية.

عادةً ما يتم تشخيص التهاب اللفافة الأخمصية بواسطة مقدم الرعاية الصحية بعد النظر في التاريخ المرضي للحالة وعوامل الخطر والفحص السريري.[4][17][18] أثناء الفحص البدني قد يؤدي تحسس الجانب الداخلي لعظم العقب وصولاً إلى أخمص القدم إلى الشعور بالألم.[4][11] قد تكون القدم مصابة بعظف ظهري محدود بسبب الشد المفرط في عضلات الساق أو الوتر العقبي.[7] قد يؤدي العطف الظهري للقدم إلى الشعور بالألم بسبب شد اللفافة الأخمصية بهذه الحركة.[4][12] لا تكون دراسات التصوير التشخيصي ضرورية عادةً لتشخيص التهاب اللفافة الأخمصية.[7] أحياناً، قد يقرر الطبيب إجراء دراسات التصوير (مثل الأشعة السينية، الموجات فوق الصوتية التشخيصية، أو التصوير بالرنين المغناطيسي) لاستبعاد الأسباب الخطيرة لألم القدم.

عادةً، تشمل التشخيصات الأخرى التي يُنظر فيها الكسور أو الأورام أو الأمراض الجهازية إذا فشل ألم التهاب اللفافة الأخمصية في الاستجابة بشكل مناسب للعلاجات الطبية التحفظية.[4][11] قد يشير ألم الكعب الثنائي أو آلام الكعب في سياق أحد الأمراض الجهازية إلى الحاجة إلى مزيد من التحقق التشخيصي المتعمق. في ظل هذه الظروف، الاختبارات التشخيصية مثل صورة الدم الكاملة أو العلامات المصلية للالتهاب، أو العدوى، أو أمراض المناعة الذاتية مثل البروتين المتفاعل C، معدل ترسيب كرات الدم الحمراء، الأجسام المضادة للنواة، عامل الروماتويد، HLA-B27، حمض البوليك، أو الأجسام المضادة لمرض لايم.[5] قد تؤدي حالات العجز العصبي إلى إجراء فحص باستخدام تخطيط كهربائية العضل للتحقق من تلف الأعصاب أو العضلات.[12]

النتيجة العرضية المرتبطة بهذه الحالة هي مهماز العقب، تكلس عظمي صغير على العقب (عظم الكعب)، الذي يتواجد في حوالي إلى 50٪ من المصابين بالتهاب اللفافة الأخمصية.[6] في مثل هذه الحالات، فإن التهاب اللفافة الأخمصية هو الذي يسبب ألم العقب، وليس المهماز نفسه.[13] الحالة هي المسؤولة عن تكوين المهماز على الرغم من أن الأهمية السريرية لمهماز العقب في التهاب اللفافة الأخمصية لا تزال غير واضحة.[12]

التصوير الطبي

لا توجد حاجة روتينية للتصوير الطبي. فهو مكلف ولا يغير عادة كيفية علاج التهاب اللفافة الأخمصية.[15] عندما لا يكون التشخيص واضحًا من الناحية السريرية، فإن الأشعة السينية للرؤية الجانبية للكاحل هي طريقة التصوير الموصى بها لتقييم الأسباب الأخرى لألم الكعب، مثل كسور الإجهاد أو تطور مهماز العقب.[7]

تحتوي اللفافة الأخمصية على ثلاث لفافات - اللفافة المركزية وهي الأثخن بسُمك 4 مم، واللفافة الجانبية بسُمك 2 مم، واللفافة الإنسية بسُمك أقل من 1 مم.[19] نظرياً، يصبح التهاب اللفافة الأخمصية أكثر احتمالًا مع زيادة سماكة اللفافة الأخمصية عند المدخل العقبي. قد يكون مفيداً في التشخيص التصوير بالموجات فوق الصوتية عند سمك يزيد عن 4.5 مم والتصوير بالرنين المغناطيسي عند سمك 4 مم.[20] نتائج التصوير الأخرى، مثل تحديد سماكة اللفافة الأخمصية، غير محددة ولها فائدة محدودة في تشخيص التهاب اللفافة الأخمصية.[13]

مسح العظام ثلاثي الأطوار هو طريقة حساسة للكشف عن التهاب اللفافة الأخمصية النشط. علاوة على ذلك، يمكن استخدام مسح العظام ثلاثي الأطوار لمراقبة الاستجابة للعلاج، كما يتضح من انخفاض الامتصاص بعد حقن السترويدات القشرية.[21]

التشخيص المتباين

التشخيص المتباين لألم الكعب واسع النطاق ويتضمن حالات مرضية كثيرة، على سبيل المثال لا الحصر، ما يلي: كسر الضغط العقبي، التهاب المفاصل الإنتاني، التهاب الجراب العقبي، هشاشة العظام، تضيق العمود الفقري الذي يشمل الجذور العصبية العصب الفقري القطني 5 (L5) أو العصب الفقري العجزي 1 (S1)، متلازمة الوسادة الدهنية، السرطانات المنتشرة من أماكن أخرى في الجسم، قصور الغدة الدرقية، النقرس، اعتلال المفاصل الفقاري السلبي المصلي مثل التهاب المفاصل التفاعلي، التهاب الفقار اللاصق، أو التهاب المفاصل الروماتويدي (على الأرجح إذا كان الألم موجودًا في كلا الكعبين)،[5]

تمزق اللفافة الأخمصية، واعتلالات الأعصاب الانضغاطية مثل متلازمة النفق الرسغي أو اصطدام العصب العقبي الإنسي.[3][5][7]

يمكن عادةً تحديد تشخيص التهاب اللفافة الأخمصية بناءً على التاريخ الطبي والفحص البدني للحالة.[22] عندما يشتبه الطبيب في حدوث كسر أو عدوى أو بعض الحالات الأساسية الخطيرة الأخرى، فقد يطلب إجراء فحص بالأشعة السينية.[22] الأشعة السينية غير ضرورية للكشف عن التهاب اللفافة الأخمصية للأشخاص الذين يقفون أو يمشون كثيرًا في العمل ما لم يُشر التصوير الطبي إلى غير ذلك.[22]

العلاج

الغير جراحي

تتحسن حوالي 90٪ من حالات التهاب اللفافة الأخمصية في غضون ستة أشهر بالعلاج التحفظي،[9] وخلال عام بغض النظر عن العلاج.[4][7]

العلاج الأول الموصى به هو دورة مدتها 4-6 أسابيع تجمع بين ثلاثة عناصر: تمرينات التمدد اليومية، ووضع شريط للقدم بشكل يومي (استخدام شريط خاص حول القدم لدعم القوس) وإرشادات مخصصة لاختيار الأحذية وطرق أخرى لإدارة الحالة بشكل فردي.[23][24]

شد عضلة الساق هو طريقة أخرى غير جراحية تتضمن شد عضلة الساق جنبًا إلى جنب مع الأوتار الموجودة في الجزء الخلفي من الساق، مما يسمح للأشخاص بالعودة إلى العمل وممارسة الرياضة وأنشطة تحمل الوزن بشكل أسرع، إلى جانب تحسين نطاق حركة الكاحلين والقوة وتقليل الألم.[25]

يمكن تقليل الألم والضغط على اللفافة الأخمصية عن طريق تقوية عضلات القدم التي تدعم الأقواس من خلال التمرين بدون ارتداء أحذية.[26]

إذا لم تستجب الحالة للعلاج التحفظي لمدة لا تقل عن ثلاثة أشهر، فيمكن عندئذٍ أخذ العلاج بالموجات التصادمية الخارجية (ESWT) في الاعتبار.[23][24] تشير الدلائل المستمدة من التحاليل الشمولية إلى أن تخفيف الآلام بشكل ملحوظ يستمر لمدة تصل إلى عام واحد بعد هذا الإجراء.[9][27] إلا أن الجدل مستمر حول فعالية هذا العلاج.[8] يُجرى العلاج بالموجات التصادمية الخارجية مع أو بدون تخدير على الرغم من أن الدراسات تشير إلى أن إعطاء التخدير يقلل من فعالية الإجراء.[28] مضاعفات العلاج بالموجات التصادمية الخارجية نادرة وعادة ما تكون حميدة عند وجودها.[28] تشمل المضاعفات المعروفة للعلاج بالموجات التصادمية الخارجية تطور الأورام الدموية أو الكدمات، الاحمرار الموضعي، أو الصداع النصفي.[28]

يمكن أن توفر أجهزة تقويم القدم المخصصة تخفيف الآلام على المدى القصير.

الخط الثالث من العلاج، إذا لم يكن العلاج بالموجات التصادمية فعالًا بعد حوالي 8 أسابيع، هو استخدام أجهزة تقويم العظام المخصصة التي يمكن أن توفر تسكينًا قصير المدى للألم.[23][24]

يستخدم الأشخاص المصابون مزيدًا من العلاجات المختلفة لالتهاب اللفافة الأخمصية لكن لدى العديد منهم القليل من الأدلة لدعم استخدامها ولم تُدرس بشكل كافٍ.[4]

تشمل العلاجات التحفظية الأخرى الراحة، التدليك، عمل كمادات دافئة وباردة، تمارين تقوية ربلة الساق، تقليل الوزن الزائد، ومضادات الالتهاب اللاستيرويدية مثل الأسبرين أو الإيبوبروفين.[6][11][29] استخدام مضادات الالتهاب اللاستيرويدية شائعاً لعلاج التهاب اللفافة الأخمصية، لكنها تفشل في علاج الألم لدى 20% من الأشخاص.[11]

تستخدم حقن الستيرويدات القشرية أحيانًا في حالات التهاب اللفافة الأخمصية التي ثبت أنها مقاومة للتدابير الأكثر تحفظًا. هناك دليل مبدئي على أن الستيرويدات القشرية المحقونة فعالة في تخفيف الآلام على المدى القصير لمدة تصل إلى شهر واحد، لكن ليس أكثر من ذلك.[30]

تُعرف تقنية العلاج الأخرى باسم الإرحال الأيوني الأخمصي. تتضمن هذه التقنية تطبيق المواد المضادة للالتهابات مثل الديكساميثازون أو حمض الأسيتيك موضعيًا على القدم ونقل هذه المواد عبر الجلد بتيار كهربائي.[11] تدعم بعض الأدلة استخدام الجبائر الليلية لمدة 1-3 أشهر لتخفيف آلام التهاب اللفافة الأخمصية التي استمرت لمدة ستة أشهر.[7] الجبائر الليلية مصممة لوضع الكاحل والحفاظ عليه في وضع محايد، وبالتالي شد ربلة الساق واللفافة الأخمصية بشكل سلبي أثناء النوم.[7]

الجراحي

بضع اللفافة هو العلاج الجراحي والملاذ الأخير لآلام التهاب اللفافة الأخمصية المقاومة للعلاج. إذا لم يُشفى التهاب اللفافة الأخمصية بعد ستة أشهر من العلاج التحفظي، فإن الإجراء الجراحي هو الملاذ الأخير.[4][6] كما يمكن استخدام الإجراءات طفيفة التوغل والتنظير الداخلي لبضع اللفافة الأخمصية لكنها تتطلب أخصائيًا على دراية بمعدات معينة. كان توافر هذه التقنيات الجراحية محدود اعتبارًا من عام 2012.[5] وجدت دراسة أجريت عام 2012 أن 76٪ من الحالات التي خضعت لبضع اللفافة الأخمصية بالمنظار قد شفيت تماماً من الأعراض وكان لديها القليل من المضاعفات (دليل المستوى الرابع).[8] لا يبدو أن إزالة مهماز العقب أثناء بضع اللفافة الأخمصية يحسن النتيجة الجراحية.[31]

قد يحدث ألم الكعب الأخمصي لأسباب متعددة. في حالات محددة، قد يقوم الجراحون بتحرير العصب الأخمصي الجانبي بالإضافة إلى بضع اللفافة الأخمصية.[5][31] تشمل المضاعفات المحتملة لبضع اللفافة الأخمصية إصابة العصب، وعدم استقرار القوس الطولي الإنسي للقدم،[32] كسر في العقبى، وطول وقت الشفاء، والعدوى، وتمزق اللفافة الأخمصية، والفشل في تحسن الألم.[4] اقترح الاستئصال بالترددات الراديوية مؤخرًا كنهج جراحي بديل لعلاج التهاب اللفافة الأخمصية المقاوم للعلاج.[31]

علاجات غير مثبتة

لا تزال حقن البوتيولينيوم توكسين والتقنيات المماثلة مثل البلازما الغنية بالصفائح الدموية وحقن البرولوثيرابي مثيرة للجدل.[7][8][11][33]

كما يخضع الوخز الجاف بالإبر أيضًا للبحث لعلاج التهاب اللفافة الأخمصية.[34] وجدت مراجعة منهجية للأبحاث المتاحة أدلة محدودة على فعالية هذه التقنية.[35] أُبلغ عن أن الدراسات غير كافية من حيث الجودة ومتنوعة للغاية في المنهجية لتمكين الوصول إلى نتيجة ثابتة.[35]

علم الأوبئة

التهاب اللفافة الأخمصية هو النوع الأكثر شيوعًا من إصابات اللفافة الأخمصية[10] وهو السبب الأكثر شيوعاً لألم الكعب، فهو مسؤول عن 80٪ من الحالات. تميل الحالة إلى الحدوث في كثير من الأحيان عند النساء، المجندين العسكريين، الرياضيين الأكبر سنًا، الراقصين،[1] المصابين بالبدانة، والرياضيين الشباب.[7][12][13]

يُقدر أن التهاب اللفافة الأخمصية يصيب شخصًا واحدًا من كل 10 أشخاص في مرحلة ما خلال حياتهم ويصيب بشكل أكثر شيوعًا الأشخاص الذين تتراوح أعمارهم بين 40 و60 عامًا.[3][8] في الولايات المتحدة وحدها، يتلقى أكثر من مليوني شخص العلاج من التهاب اللفافة الأخمصية.[3] تقدر تكلفة علاج التهاب اللفافة الأخمصية في الولايات المتحدة بحوالي 284 مليون دولار سنوياً.[3]

المصادر

  1. ^ أ ب Kim J, Mukovozov I (2017). Toronto Notes 2017: Comprehensive Medical Reference and Review for the Medical Council of Canada Qualifying Exam Part I and the United States Medical Licensing Exam Step 2. Toronto Notes for Medical Students Incorporated. ISBN 978-1-927363-34-8.[صفحة مطلوبة]
  2. ^ أ ب ت ث ج ح خ د ذ ر ز س ش ص ض ط ظ ع Beeson P (September 2014). "Plantar fasciopathy: revisiting the risk factors" (PDF). Foot and Ankle Surgery. 20 (3): 160–165. doi:10.1016/j.fas.2014.03.003. PMID 25103701.
  3. ^ أ ب ت ث ج ح خ د ذ ر Rosenbaum AJ, DiPreta JA, Misener D (March 2014). "Plantar heel pain". The Medical Clinics of North America. 98 (2): 339–352. doi:10.1016/j.mcna.2013.10.009. PMID 24559879.
  4. ^ أ ب ت ث ج ح خ د ذ ر ز س ش ص ض ط ظ ع غ ف ق Goff JD, Crawford R (September 2011). "Diagnosis and treatment of plantar fasciitis". American Family Physician. 84 (6): 676–682. PMID 21916393.
  5. ^ أ ب ت ث ج ح خ د ذ Cutts S, Obi N, Pasapula C, Chan W (November 2012). "Plantar fasciitis". Annals of the Royal College of Surgeons of England. 94 (8): 539–542. doi:10.1308/003588412X13171221592456. PMC 3954277. PMID 23131221.
  6. ^ أ ب ت ث ج ح خ Tu P, Bytomski JR (October 2011). "Diagnosis of heel pain". American Family Physician. 84 (8): 909–916. PMID 22010770.
  7. ^ أ ب ت ث ج ح خ د ذ ر ز س ش ص Tahririan MA, Motififard M, Tahmasebi MN, Siavashi B (August 2012). "Plantar fasciitis". Journal of Research in Medical Sciences. 17 (8): 799–804. PMC 3687890. PMID 23798950.
  8. ^ أ ب ت ث ج ح Lareau CR, Sawyer GA, Wang JH, DiGiovanni CW (June 2014). "Plantar and medial heel pain: diagnosis and management". The Journal of the American Academy of Orthopaedic Surgeons. 22 (6): 372–380. doi:10.5435/JAAOS-22-06-372. PMID 24860133. S2CID 43241954.
  9. ^ أ ب ت Zhiyun L, Tao J, Zengwu S (July 2013). "Meta-analysis of high-energy extracorporeal shock wave therapy in recalcitrant plantar fasciitis". Swiss Medical Weekly. 143: w13825. doi:10.4414/smw.2013.13825. PMID 23832373.
  10. ^ أ ب ت ث Jeswani T, Morlese J, McNally EG (September 2009). "Getting to the heel of the problem: plantar fascia lesions". Clinical Radiology. 64 (9): 931–939. doi:10.1016/j.crad.2009.02.020. PMID 19664484.
  11. ^ أ ب ت ث ج ح خ د ذ Molloy LA (November 2012). "Managing chronic plantar fasciitis: when conservative strategies fail". JAAPA. 25 (11): 48, 50, 52–48, 50, 53. doi:10.1097/01720610-201211000-00009. PMID 23620924. S2CID 36296481.
  12. ^ أ ب ت ث ج ح Monto RR (December 2013). "Platelet-rich plasma and plantar fasciitis". Sports Medicine and Arthroscopy Review. 21 (4): 220–224. doi:10.1097/JSA.0b013e318297fa8d. PMID 24212370. S2CID 5968932.
  13. ^ أ ب ت ث ج ح خ Orchard J (October 2012). "Plantar fasciitis". BMJ. 345 (oct10 1): e6603. doi:10.1136/bmj.e6603. PMID 23054045. S2CID 27948691.
  14. ^ Barrett SJ, O'Malley R (April 1999). "Plantar fasciitis and other causes of heel pain". American Family Physician. 59 (8): 2200–2206. PMID 10221305.
  15. ^ أ ب ت ث ج Yin MC, Ye J, Yao M, Cui XJ, Xia Y, Shen QX, et al. (August 2014). "Is extracorporeal shock wave therapy clinical efficacy for relief of chronic, recalcitrant plantar fasciitis? A systematic review and meta-analysis of randomized placebo or active-treatment controlled trials". Archives of Physical Medicine and Rehabilitation. 95 (8): 1585–1593. doi:10.1016/j.apmr.2014.01.033. PMID 24662810.
  16. ^ Dubner S. "These Shoes Are Killing Me!". Freakonomics. Retrieved 12 June 2020.
  17. ^ Buchbinder R (May 2004). "Clinical practice. Plantar fasciitis". The New England Journal of Medicine. 350 (21): 2159–2166. doi:10.1056/NEJMcp032745. PMID 15152061.
  18. ^ Cole C, Seto C, Gazewood J (December 2005). "Plantar fasciitis: evidence-based review of diagnosis and therapy". American Family Physician. 72 (11): 2237–2242. PMID 16342847.
  19. ^ Ehrmann C, Maier M, Mengiardi B, Pfirrmann CW, Sutter R (September 2014). "Calcaneal attachment of the plantar fascia: MR findings in asymptomatic volunteers". Radiology. 272 (3): 807–814. doi:10.1148/radiol.14131410. PMID 24814176.
  20. ^ League AC (March 2008). "Current concepts review: plantar fasciitis". Foot & Ankle International. 29 (3): 358–366. doi:10.3113/fai.2008.0358. PMID 18348838. S2CID 6734497.
  21. ^ Pelletier-Galarneau M, Martineau P, Gaudreault M, Pham X (2015). "Review of running injuries of the foot and ankle: clinical presentation and SPECT-CT imaging patterns". American Journal of Nuclear Medicine and Molecular Imaging. 5 (4): 305–316. PMC 4529586. PMID 26269770.
  22. ^ أ ب ت American College of Occupational and Environmental Medicine (February 2014), Five Things Physicians and Patients Should Question, American College of Occupational and Environmental Medicine, http://www.choosingwisely.org/doctor-patient-lists/american-college-of-occupational-and-environmental-medicine/, retrieved on 24 February 2014 , which cites
    • Haas N, Beecher P, Easly M, et al. (2011). "Ankle and foot disorders". In Hegmann KT (ed.). Occupational medicine practice guidelines : evaluation and management of common health problems and functional recovery in workers (3rd ed.). Elk Grove Village, IL: American College of Occupational and Environmental Medicine. p. 1182. ISBN 978-0615452272.
  23. ^ أ ب ت "A best practice guide for managing plantar heel pain". NIHR Evidence (Plain English summary) (in الإنجليزية). National Institute for Health and Care Research. 2022-07-21. doi:10.3310/nihrevidence_52045. S2CID 251780089.
  24. ^ أ ب ت Morrissey D, Cotchett M, Said J'Bari A, Prior T, Griffiths IB, Rathleff MS, et al. (October 2021). "Management of plantar heel pain: a best practice guide informed by a systematic review, expert clinical reasoning and patient values". British Journal of Sports Medicine. 55 (19): 1106–1118. doi:10.1136/bjsports-2019-101970. PMC 8458083. PMID 33785535.
  25. ^ Arshad Z, Aslam A, Razzaq MA, Bhatia M (April 2022). "Gastrocnemius Release in the Management of Chronic Plantar Fasciitis: A Systematic Review". Foot & Ankle International. 43 (4): 568–575. doi:10.1177/10711007211052290. PMC 8996295. PMID 34766860.
  26. ^ Kamalakannan M, Dass D (2019). "Efficacy of Bare foot Exercise Versus Common Footwear Exercise in Subjects with Plantar Fasciitis". Research Journal of Pharmacy and Technology (in الإنجليزية). 12 (3): 1039. doi:10.5958/0974-360X.2019.00171.9. ISSN 0974-3618.
  27. ^ Aqil A, Siddiqui MR, Solan M, Redfern DJ, Gulati V, Cobb JP (November 2013). "Extracorporeal shock wave therapy is effective in treating chronic plantar fasciitis: a meta-analysis of RCTs". Clinical Orthopaedics and Related Research. 471 (11): 3645–3652. doi:10.1007/s11999-013-3132-2. PMC 3792262. PMID 23813184.
  28. ^ أ ب ت Wang CJ (March 2012). "Extracorporeal shockwave therapy in musculoskeletal disorders". Journal of Orthopaedic Surgery and Research. 7 (1): 11. doi:10.1186/1749-799X-7-11. PMC 3342893. PMID 22433113.{{cite journal}}: CS1 maint: unflagged free DOI (link)
  29. ^ "Plantar Fasciitis and Bone Spurs". American Academy of Orthopaedic Surgeons. 2010. Archived from the original on 16 June 2014. Retrieved 24 June 2014.
  30. ^ David JA, Sankarapandian V, Christopher PR, Chatterjee A, Macaden AS (June 2017). "Injected corticosteroids for treating plantar heel pain in adults". The Cochrane Database of Systematic Reviews. 2017 (6): CD009348. doi:10.1002/14651858.CD009348.pub2. PMC 6481652. PMID 28602048.
  31. ^ أ ب ت Thomas JL, Christensen JC, Kravitz SR, Mendicino RW, Schuberth JM, Vanore JV, et al. (May–June 2010). "The diagnosis and treatment of heel pain: a clinical practice guideline-revision 2010". The Journal of Foot and Ankle Surgery. 49 (3 Suppl): S1-19. doi:10.1053/j.jfas.2010.01.001. PMID 20439021. S2CID 3199352.
  32. ^ Tweed JL, Barnes MR, Allen MJ, Campbell JA (September–October 2009). "Biomechanical consequences of total plantar fasciotomy: a review of the literature". Journal of the American Podiatric Medical Association. 99 (5): 422–430. doi:10.7547/0990422. PMID 19767549.
  33. ^ Monto RR (April 2014). "Platelet-rich plasma efficacy versus corticosteroid injection treatment for chronic severe plantar fasciitis". Foot & Ankle International. 35 (4): 313–318. doi:10.1177/1071100713519778. PMID 24419823. S2CID 206652513.
  34. ^ Cotchett MP, Landorf KB, Munteanu SE, Raspovic A (January 2011). "Effectiveness of trigger point dry needling for plantar heel pain: study protocol for a randomised controlled trial". Journal of Foot and Ankle Research. 4 (1): 5. doi:10.1186/1757-1146-4-5. PMC 3035595. PMID 21255460.{{cite journal}}: CS1 maint: unflagged free DOI (link)
  35. ^ أ ب Cotchett MP, Landorf KB, Munteanu SE (September 2010). "Effectiveness of dry needling and injections of myofascial trigger points associated with plantar heel pain: a systematic review". Journal of Foot and Ankle Research. 3 (1): 18. doi:10.1186/1757-1146-3-18. PMC 2942821. PMID 20807448.{{cite journal}}: CS1 maint: unflagged free DOI (link)

قراءات إضافية

  • Lee SY, McKeon P, Hertel J (February 2009). "Does the use of orthoses improve self-reported pain and function measures in patients with plantar fasciitis? A meta-analysis". Physical Therapy in Sport. 10 (1): 12–18. doi:10.1016/j.ptsp.2008.09.002. PMID 19218074.

وصلات خارجية

Classification
V · T · D
External resources