مهماز العقب

(تم التحويل من Calcaneal spur)
مهماز العقب
الأسماء الأخرىHeel spur
Achilles insertional calcific tendinosis.jpg
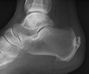
صورة بالأشعة توضح نبتة عظمية على الجوانب الخلفية والسفلية من العقب
التخصصطب المفاصل Edit this on Marefadata

مهماز العقب (إنگليزية: calcaneal spur، يُعرف أيضاً باسم مهماز الكعب إنگليزية: heel spur)، هو نتوء عظمي ينمو من عظام الكعب.[1] عادة ما يكتشف مهماز العقب بالأشعة السينية.[2] وهو يشكل العرن.

عندما تتعرض القدم إلى الإجهاد، تتراكم رواسب الكالسيوم أسفل عظام الكعب. بشكل عام، فإن هذا ليس له أي تأثير على حياة الشخص اليومية. ومع ذلك، يمكن أن يتسبب الضرر المتكرر في تراكم هذه الرواسب على بعضها البعض، مما يتسبب في حدوث تشوه على شكل [[نتوء] ، يُسمى المهماز العظمي (أو مهماز الكعب).[3]

المهماز العقبي الخلفي يقع على الجانب الخلفي للعقب وهو استجابة طبيعية لالتهاب اللفافة الأخمصية على مدار الوقت، لكنه يرتبط أيضاً بالتهاب الفقار المقسط (عادة لدى الأطفال). يتطور المهماز العقبي الخلفي على ظهر الكعب عند مدخل وتر أخيل.[3]

المهماز العقبي السفلي هو تكلس في العقب، الذي يقع أعلى اللفافة الأخمصية عند مدخل اللفافة الأخمصية. غالباً ما يكون المهماز العقبي الخلفي كبياً وملموساً من خلال الجلد وقد يحتاج إلى إزالته كجزء من علاج التهاب وتر أخيل.[3]

الأعراض والعلامات

المهماز العقبي السفلي.

تتألف الأعراض الرئيسية لمهماز العقب من آلام في المنطقة المحيطة بالمهماز، والذي عادة ما تزداد شدته بعد فترات طويلة من الراحة. قد يبلغ المرضى عن أن آلام الكعب تصبح أكثر حدة عند الاستيقاظ في الصباح. قد لا يتمكن المرضى من تحمل وزن الكعب المصاب بشكل مريح. قد يؤدي الجري أو المشي أو رفع الأثقال إلى تفاقم المشكلة.[4]

الأسباب

يعد التهاب اللفافة الأخمصية من الأسباب الشائعة لمهماز العقب. عندما يوضح الضغط على أربطة اللفافة الأخمصية، فإنه لا يسبب التهاب اللفافة الأخمصية فحسب، لكنه يسبب نتوءاً (مهمازاً) في الكعب حيث تلتصق اللفافة الأخمصية بعظم الكعب.[5] الاعتبارات التي تؤثر على آلام مهماز العقب هي محاذاة القدم مع حركة أسفل الساق والقدم والكاحل، وقوة العضلات وتحملها. التأثيرات الخارجية على ألم مهماز العقب هي مقدار الوقت الذي تقضيه القدم أثناء التمرين أو الوقوف، ونوع الأحذية المستخدمة ونوع أسطح الأرضية.[6]

يتطور مهماز العقب عندما لا يعتنى بالقدم والكعب بشكل مناسب.[2] الأشخاص المصابون بالبدانة ولديهم أقدام مسطحة، أو الذين يرتدون أحذية عالية الكعب بشكل معتاد هو الأكثر عرضة للإصابة بمهماز القدم.[5] قد تُعزى القدم المسطحة إلى تدني الانثناء الظهري للكاحل أثناء مرحلة الوقوف في دورة المشي مما يتسبب في مزيد من الضغط على اللفافة الأخمصية.[6]

التشخيص

يمكن الكشف عن مهماز العقب بالفحص البدني متبعاً بإجراء الأشعة السينية جانبية للقدم.[بحاجة لمصدر]

العلاج

غالبًا ما يعتبر مهمازالعقب إصابة إجهاد متكررة، وبالتالي فإن تعديل نمط الحياة هو عادةً المسار الأساسي لاستراتيجيات العلاج. على سبيل المثال، يجب أن يبدأ الشخص في ممارسة تمارين القدم والساق. ستساعد العضلات القوية في الربلة وأسفل الساقين على تخفيف الضغط عن العظام ومنع مهماز القدم. وضع الثلج على المنطقة المصابة هو وسيلة فعالة لتخفيف الآلام بشكل فوري. هناك العديد من الوسائل لتخفيف الآلام الناتجة عن آلام مهماز القدم.[7] يمكن أن يكون ألم مهماز القدم مقدمة للعديد من أمراض القدم.[8] هناك أدلة على أن حقن الستيرويدات القشرية قد تقلل الألم لمدة تصل إلى شهر بعد الحقن، مما قد يكون له تأثير على تكوين مهماز القدم. تشمل الآثار الجانبية لحقن الستيرويدات القشرية إصابة العصب المحيطي، وتمزق اللفافة الأخمصية، والتهاب ما بعد الحقن، وغيرها.[9] يستخدم العلاج بالليزر والوخز بالإبر الجافة والشريط العقبي أيضًا في مهماز القدم، ومع ذلك، لا توجد أدلة عالية الجودة تدعم الاستخدام السريري لهذه الأساليب في تقليل الألم.[8]

المصادر

  1. ^ Kirkpatrick J, Yassaie O, Mirjalili SA (June 2017). "The plantar calcaneal spur: a review of anatomy, histology, etiology and key associations". Journal of Anatomy. 230 (6): 743–751. doi:10.1111/joa.12607. PMC 5442149. PMID 28369929.
  2. ^ أ ب "Heel and Foot Pain". Patient.info. July 24, 2017. Retrieved December 9, 2017.
  3. ^ أ ب ت CE4RT.com (November 18, 2013). Radiography of the Foot. p. 19. Retrieved December 9, 2017.{{cite book}}: CS1 maint: numeric names: authors list (link)
  4. ^ "Plantar Fasciitis and Heel Spurs". Spoc-Ortho.com. Archived from the original on December 10, 2017. Retrieved December 9, 2017.
  5. ^ أ ب Agyekum EK, Ma K (June 2015). "Heel pain: A systematic review". Chinese Journal of Traumatology = Zhonghua Chuang Shang Za Zhi. 18 (3): 164–9. doi:10.1016/j.cjtee.2015.03.002. PMID 26643244.
  6. ^ أ ب Sullivan J, Pappas E, Burns J (March 2020). "Role of mechanical factors in the clinical presentation of plantar heel pain: Implications for management". Foot. 42: 101636. doi:10.1016/j.foot.2019.08.007. PMID 31731071.
  7. ^ "4 Ways to Get Rid of Heel Spurs". wikiHow. 2007-05-04. Retrieved 2016-12-20.
  8. ^ أ ب Salvioli S, Guidi M, Marcotulli G (December 2017). "The effectiveness of conservative, non-pharmacological treatment, of plantar heel pain: A systematic review with meta-analysis". Foot. 33: 57–67. doi:10.1016/j.foot.2017.05.004. PMID 29126045.
  9. ^ David JA, Sankarapandian V, Christopher PR, Chatterjee A, Macaden AS, et al. (Cochrane Bone, Joint and Muscle Trauma Group) (June 2017). "Injected corticosteroids for treating plantar heel pain in adults". The Cochrane Database of Systematic Reviews. 2017 (6): CD009348. doi:10.1002/14651858.CD009348.pub2. PMC 6481652. PMID 28602048.

وصلات خارجية

Classification
V · T · D
External resources