التهاب وتر أخيل

(تم التحويل من Achilles tendinitis)
التهاب وتر أخيل
Achilles tendinitis
الأسماء الأخرىالتهاب وتر العقب، التهاب الوتر العقبي، التهاب وتر العرقوب
Achilles tendonitis.svg
صورة تشريحية لوتر أخيل: الوتر المصاب باللون الأحمر.
التخصصطب المفاصل Edit this on Marefadata

التهاب وتر أخيل إنگليزية: Achilles tendinitis هو التهاب يشيع حدوثه في وتر أخيل عند الرياضيين والعدائين، واللذين يستخدمون القدم باستمرار وبشكل عنيف.


الأعراض والعلامات

  1. ألم شديد عند التقاء الوتر بعظمة الكعب
  2. يزداد الشعور بالألم دائما بعد فترة من الراحة وخصوصا عند النهوض من الفراش
  3. أحياناً يلاحظ وجود احمرار وتورم
  4. قد يجد المصاب صعوبة في ارتداء الحذاء، وخاصةً إذا كان ضيقاً[1]

الأسباب

Walking gait cycle starting with the left leg demonstrated. The loading cycle is where foot pronation naturally occurs.
Demonstration of the right foot in pronation, neutral and supinated subtalar joint placements. Over-pronation (excessive pronation) occurs when the ankle begins to roll inward by more than 5 degrees, demonstrated with the arrows.


علم الأمراض

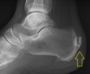
التشخيص

Calcification deposits forming an enthesophyte within the Achilles tendon at its calcaneal insertion. The Achilles tendon is wider than normal, further suggesting inflammation.


الوقاية

العلاج

  • الراحة التامة
  • كمادات الثلج
  • العلاج بالأدوية مضادة الالتهاب اللا إستيرويدية
  • بعض أساليب العلاج الطبيعي والتأهيلي
  • العلاج بالموجات فوق الصوتية
  • العلاج بالموجات الليزرية (بالإنجليزية laser photostimulation) ـ
  • العلاج بالموجات الكهربائية (بالإنجليزية electrical stimulation) ـ
  • تركيب دعامة بلاستيكية لدعم الوتر (قلما تستخدم)
  • في الحالات المتقدمة ممكن استخدام حقن الكورتيزون ولكن لا ينصح بها لأنها تؤدي في النهاية إلى الإصابات الجسيمة للوتر (القطع الكامل والجزئي)
  • قد تحتاج الحالات المعقدة إلى التدخل الجراحي.


علم الأوبئة

المصادر

وصلات خارجية

Classification
V · T · D
External resources