الورم الليفي العدواني

(تم التحويل من Aggressive fibromatosis)
الورم الليفي العدواني
Aggressive fibromatosis
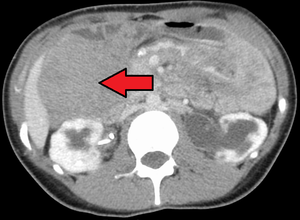
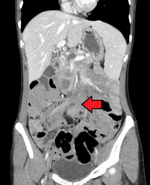
DesmoidTumorCTCorMark.png
ورم رباطي كما هو موضح في الاشعة المقطعية
التخصصعلم الأورام Edit this on Marefadata

الورم الليفي العدواني هو حالة نادرة تتميز بوجود أورام خبيثة . تنشأ الأورام الخبيثة من خلايا تسمى الخلايا الليفية ، والتي توجد في جميع أنحاء الجسم وتوفر الدعم الهيكلي والحماية للأعضاء الحيوية ، وتلعب دورًا مهمًا في التئام الجروح. تميل هذه الأورام إلى الحدوث عند النساء في الثلاثينيات من العمر ، ولكن يمكن أن تحدث لأي شخص في أي عمر. يمكن أن تكون إما بطيئة النمو أو خبيثة. ومع ذلك ، فإن الورم الليفي العدواني عدواني محليًا ويمكن أن يسبب مشاكل تهدد الحياة أو حتى الموت عندما يضغط على الأعضاء الحيوية مثل الأمعاء والكلى والرئتين والأوعية الدموية والأعصاب. معظم الحالات متفرقة ، لكن بعضها يرتبط بداء السلائل الغدي العائلي (FAP). ما يقرب من 10 ٪ من الأفراد الذين يعانون من متلازمة جاردنر ، وهو نوع من FAP مع ميزات خارج القولون ، لديهم أورام رباطية .[1]

من الناحية النسيجية ، فهي تشبه الساركوما الليفية منخفضة الدرجة للغاية ,[2] لكنها شديدة العدوانية محليًا وتميل إلى التكرار حتى بعد الاستئصال الكامل. هناك ميل للتكرار في مكان الجراحة السابقة ؛ في إحدى الدراسات ، كان لثلثي المرضى الذين يعانون من أورام رباطية تاريخ مرضي من جراحة البطن السابق .[3]

عامل الخطر

تشمل عوامل الخطر للإصابة بمرض الرباط بين مرضى FAP الجنس الأنثوي ، و طفرة سليلة قولونية غدية ، وتاريخ عائلي إيجابي ، وتاريخ مرضي من جراحة البطن السابقة .[4]

التشخيص

التصنيف

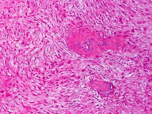
ورم رباطي
Desmoid fibromatosis, H&E stain. Banal fibroblasts infiltrate the adjacent tissue in fascicles. Mitoses may be infrequent.

يمكن تصنيف الأورام الرباطية على أنها خارج البطن أو جدار البطن أو داخل البطن (الأخير أكثر شيوعًا في مرضى FAP). يُعتقد أن الآفات قد تتطور فيما يتعلق بمستويات هرمون الاستروجين أو الاصابة / العمليات .[بحاجة لمصدر]

تعد طفرة سليلة قولونية غدية 'من أهم عوامل الخطر لتطور الغشاء داخل البطن بين مرضى FAP. .[5] مرضى FAP الذين يظهرون بجدار بطن رباطي قبل الجراحة معرضون بشكل متزايد لخطر الإصابة بخلل داخل البطن بعد الجراحة .[6]

الأورام الرباطية في الثدي نادرة. على الرغم من أنها حميدة ، إلا أنها يمكن أن تحاكي سرطان الثدي في الفحص البدني والتصوير الشعاعي للثدي والموجات فوق الصوتية للثدي ويمكن أيضًا أن تكون غازية محليًا. على الرغم من حدوثها بشكل متقطع ، يمكن أيضًا اعتبارها جزءًا من متلازمة جاردنر. من الضروري وجود مؤشر مرتفع للشك وبروتوكول فحص شامل شامل للكشف عن الآفات النادرة مثل الورم الخبيث الذي يمكن أن يتنكر في شكل سرطان الثدي. قد يمثل الورم الخبيث للثدي صعوبة في التشخيص خاصةً عندما تكون دراسات التصوير غير قاطعة وتشير إلى تشخيص أكثر خطورة. .[7]

العلاج

قد يتكون العلاج من الانتظار اليقظ ، والإزالة الجراحية الكاملة ، والعلاج الإشعاعي ، ومضادات الإستروجين (على سبيل المثال. تاموكسيفين ) أو مضادات الالتهاب غير الستيروئيدية أو العلاج الكيميائي أو الاستئصال بالموجات الكهروماغنطيسية.

يجب أن يتم تقييم المرضى الذين يعانون من الأورام الرباطية من قبل فريق متعدد التخصصات من الجراحين وأطباء الأورام وعلماء الأورام بالإشعاع وعلماء الوراثة. لا يوجد علاج للأورام الخبيثة. عند الإمكان ، يتم تشجيع المرضى على الانخراط في التجارب السريرية. .[8]

يشار دائمًا إلى الخزعة كطريقة نهائية لتحديد طبيعة الورم. إدارة هذه الآفات معقدة ، والمشكلة الرئيسية هي ارتفاع معدلات تكرار المرض المرتبط بـ FAP. على العكس من ذلك ، بالنسبة للورم الليفي داخل البطن دون دليل على FAP ، على الرغم من أنه قد لا تزال هناك حاجة إلى جراحة واسعة النطاق للأعراض المحلية ، يبدو أن خطر التكرار أقل. .[9] الاستئصال الجراحي الواسع مع هوامش واضحة هو الأسلوب الأكثر ممارسة على نطاق واسع مع العلاج الإشعاعي أو الكيميائي أو العلاج الهرموني المستخدم لتقليل خطر التكرار .[7]

تُجرى الدراسات التجريبية الحالية مع جليفيك ( Iإيمينتاب ) و نيكسافار ( سورانيب ) لعلاج الأورام الرباطية، وتظهر معدلات نجاح واعدة.

المصادر

  1. ^ Nieuwenhuis MH, De Vos Tot Nederveen Cappel W, Botma A, et al. (February 2008). "Desmoid tumors in a Dutch cohort of patients with familial adenomatous polyposis". Clinical Gastroenterology and Hepatology. 6 (2): 215–9. doi:10.1016/j.cgh.2007.11.011. PMID 18237870.
  2. ^ "desmoid" في قاموس دورلاند الطبي
  3. ^ Lynch HT, Fitzgibbons R (December 1996). "Surgery, desmoid tumors, and familial adenomatous polyposis: case report and literature review". The American Journal of Gastroenterology. 91 (12): 2598–601. PMID 8946994.
  4. ^ Sinha A, Clark SK (2010). "Risk factors predicting desmoid occurrence in patients with familial adenomatous polyposis: a meta-analysis". Colorectal Disease. 13 (11): 1222–1229. doi:10.1111/j.1463-1318.2010.02345.x. PMID 20528895. S2CID 26117431.
  5. ^ Sinha A, Clark SK (June 2010). "Risk factors predicting intra-abdominal desmoids in familial adenomatous polyposis: a single centre experience". Techniques in Coloproctology. 14 (2): 141–6. doi:10.1007/s10151-010-0573-4. PMID 20352275. S2CID 24922322.
  6. ^ Sinha A, Clark SK (2010). "Surgical prophylaxis in familial adenomatous polyposis: do pre-existing desmoids outside the abdominal cavity matter?". Familial Cancer. 9 (3): 407–11. doi:10.1007/s10689-010-9342-9. PMID 20428953. S2CID 20685381.
  7. ^ أ ب Rammohan A, Wood JJ (2012). "Desmoid tumour of the breast as a manifestation of Gardner's syndrome". International Journal of Surgery Case Reports. 3 (5): 139–142. doi:10.1016/j.ijscr.2012.01.004. PMC 3312056. PMID 22370045.
  8. ^ "About Desmoid Tumors". Archived from the original on 2015-07-27. Retrieved 2015-08-04.
  9. ^ Wilkinson MJ, Fitzgerald JE, Thomas JM, Hayes AJ, Strauss DC (2012). "Surgical resection for non-familial adenomatous polyposis-related intra-abdominal fibromatosis". British Journal of Surgery. 99 (5): 706–13. doi:10.1002/bjs.8703. PMID 22359346. S2CID 205512855.

وصلات خارجية

Classification
V · T · D
External resources