وذمة دماغية

(تم التحويل من Cerebral edema)
وذمة دماغية
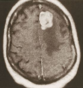
CT brain tumor.jpg
وذمة (المساحات الأدكن) تحيط بورم مخي ثانوي.
التبويب والمصادر الخارجية
ICD-10G93.6
ICD-9-CM348.5
DiseasesDB2227
Patient UK

فشل عرض الخاصية P1461: لم يتم العثور على الخاصية P1461.

وذمة دماغية
MeSHD001929

وذمة دماغية Cerebral edema هي ازدياد في حجم هذه السوائل في الدماغ. ويمكن أن تحدث الوذمة edema في مناطق مختلفة من الجسم: تحت الجلد، وفي الرئتين، و وغيرها.

تمتد آثار الوذمة في الإنسان من مجرد إحساس مزعج إلى الوفاة. ولوذمة الدماغ خصائص مميزة كون هذا العضو محاطاً بالجمجمة ـ وهي بمنزلة علبة عظمية ـ مما يجعله فائق الحساسية لأي ازدياد في حجم السوائل.

وفيما يأتي آلية حدوث وذمة الدماغ وأسبابها وكيفية تشخيصها وعلاجها.

آلية حدوث الوذمة الدماغية

يمكن تقسيم الوذمة الدماغية وفقاً لآليتها إلى ثلاثة أنواع رئيسة:

ـ الوذمة الوعائية المنشأ vasogenic edema: وتنتج من تأذي الحاجز الدموي الدماغي blood - brain barrier مما يسبب خروج السوائل من الأوعية الدموية إلى الفراغات بين خلايا الدماغ. وتجدر الإشارة هنا إلى أن قلة الأوعية اللمفاوية في الدماغ تعوق تصريف هذه السوائل.

قد تكون الوذمة موضَّعة في بؤرة معينة من الدماغ أو معممة تشمله بالكامل.

ـ الوذمة الناتجة من انسمام الخلايا cytotoxic edema: وتنتج من تأذي الخلية وفقدان قدرتها على تنظيم محتواها من الماء مما يؤدي إلى تجمعه داخلها وانتفاخها، وهذه الوذمة بدورها قد تكون موضعية أو معممة.

ـ الوذمة الخلالية :interstitial edema/ hydrocephalic edema وتنتج من نزوح السائل الدماغي الشوكي من مكانه الطبيعي داخل البطينات الدماغية إلى المادة الدماغية البيضاء المحيطة بالبطينات، وتحدث هذه الوذمة في سياق استسقاء الدماغ، وأكثر ما تلاحظ حول البطينات الجانبية.

أسباب الوذمة الدماغية

يؤدي العديد من الحالات المرضية إلى حدوث وذمة دماغية، إذ تحدث الوذمة الوعائية المنشأ في سياق رضوض الدماغ وأورامه، وفي الالتهابات وكذلك في المراحل الأخيرة من نقص التروية الدماغية.

أما الوذمة الناتجة من انسمام الخلايا فتشاهد في المراحل الباكرة من نقص التروية الدماغية، وفي العديد من حالات التسمم (بالمواد الكيمياوية والأدوية وغيرها).

وتحدث الوذمة الخلالية كما ذكر آنفاً في حالات استسقاء الدماغ. كما أن هناك أمراضاً أخرى تؤدي إلى الوذمة الدماغية، منها: هجمات فرط الضغط الشرياني الخبيث وبعض الاضطرابات الاستقلابية وغيرها.

أعراض الوذمة الدماغية

تختلف أعراض الوذمة الدماغية باختلاف عوامل عديدة كالمرض المؤدي للوذمة وسرعة حدوثها ومكان الإصابة في الدماغ، وفيما إذا كانت الإصابة موضعة أو معممة، وحالة الدماغ قبل الإصابة وغير ذلك.

ومن المهم هنا ذكر بعض المبادئ الرئيسة التي تقوم بدور في حدوث أعراض الوذمة والنتائج التي قد تنجم عنها.

تقسم الجمجمة من الداخل إلى عدة حجرات بحواجز جزئية صلبة مكونة من المادة الجافية dura (وهي الطبقة الصلبة من السحايا). وهذه الحواجز جزئية مما يعني وجود اتصال بين هذه الحجرات. وعندما تحدث وذمة موضعة في جزء ما من الدماغ فإن حجم هذا الجزء يبدأ بالازدياد مما يؤدي إلى تغيير مكانه الأصلي ضمن الحجرة التي تحويه. وإذا كانت الوذمة شديدة يحدث ما يدعى بانفتاق الدماغ.

ويقسم الانفتاق الدماغي إلى أنواع حسب مكان حدوثه، منها الأنواع الرئيسة الآتية:

الشكل (1) انفتاق النسيج الدماغي
الشكل (2) صورة مرنان مغنطيسي للدماغ تظهر وجود ورم انتقالي دماغي (الكتلة البيضاء) وحولها تظهر منطقة الوذمة الدماغية (ناقصة الإشارة أو «سوداء»).

ـ الانفتاق تحت المشول :subfalcine herniation يحدث عندما يؤدي توسع أحد نصفي الكرة المخية إلى اندفاع التلفيف الحزامي cingulate gyrus وانحشاره تحت مشول منجل المخ falx cerebri (وهذا الأخير هو أحد الحواجز الصلبة المذكورة أعلاه). وكثيراً ما يترافق ذلك بانضغاط فروع الشريان المخي الأمامي، ولأن هذا الشريان يروي المنطقة من الدماغ المسؤولة عن حركة الطرف السفلي المقابل، فإن هذا الانفتاق يترافق عادة مع حدوث ضعف في الطرف السفلي.

ـ الانفتاق عبر الخيمة transtentorial herniation (أو الانفتاق المحجني uncal herniation): يحدث عندما ينضغط الجزء الأنسي من الفص الصدغي على الحافة الحرة للخيمة المخيخية. ينتج من ذلك انضغاط العصب الثالث المحرك للعين مما يسبب توسع الحدقة واضطراباً في حركات العين في ذلك الجانب. وكثيراً ما ينضغط الشريان المخي الخلفي مما يؤدي إلى اضطرابات معينة في الرؤية، وقد تحدث في مراحل متقدمة من الإصابة آفات نزفية في جذع الدماغ.

ـ انفتاق اللوزة المخيخية :tonsillar herniation المقصود به انزياح اللوزتين المخيخيتين وهبوطهما عبر الثقبة الكبرى (وهي فتحة كبيرة في أسفل الجمجمة). يحمل هذا الانفتاق خطورة كبيرة على الحياة لأنه يؤدي إلى انضغاط جذع الدماغ وإصابة مراكز التنفس في البصلة السيسائية.

علاوة على الأعراض المذكورة سابقاً والناتجة من الانفتاق الدماغي، هناك مجموعة أخرى من الأعراض العامة التي تنتج من ارتفاع الضغط داخل الجمجمة بسبب الوذمة منها: الصداع، والإقياء، ووذمة حليمة العصب البصري، واضطرابات في التنفس وضغط الدم ودرجة الصحو، وفي حالة الوذمة الموضعة تحدث أعراض بؤرية (كالفالج الشقي أو اضطراب الكلام… إلخ) حسب مكان وجود الوذمة والآفة المسببة لها.

تشخيص الوذمة الدماغية

تعتمد المرحلة الأولى من التشخيص على الموجودات السريرية (القصة المرضية والفحص السريري).

ويعتمد في المرحلة الثانية من التشخيص عادة على تصوير الدماغ (بالرنين المغنطيسي أو التصوير الطبقي المحوري).

إن الوذمة في (الشكل 2) موضعة في منطقة محدودة من الدماغ حول الكتلة الورمية، أما في حال كون الوذمة الدماغية معممة فعندها تُظهر الصور الدماغية إمحاء في الأثلام وأحياناً صِغراً في حجم البطينات الدماغية نتيجة انتباج النسيج الدماغي.

كثيراً ما تؤدي الوذمة الدماغية إلى ارتفاع الضغط داخل القحف، ويمكن قياس هذا الارتفاع ومراقبته بوساطة قثطار يوضع عادة ضمن البطينات.

تفيد هذه الاستقصاءات المذكورة في توثيق وجود الوذمة الدماغية وكذلك إظهار الآفة المسببة لها، إلا أنه في بعض الحالات تحتاج معرفة سبب الوذمة إلى إجراء تحاليل أو فحوصات أخرى مختلفة.


علاج الوذمة الدماغية

الشكل (3) أحد نماذج أجهزة قياس الضغط داخل القحف والذي يمكن استعماله كذلك لدراسة عينات من السائل الدماغي الشوكي
الشكل (4) تقنية الجراحة التي تجري لتخفيف الضغط ضمن القحف.

كثيراً ما تنتج الوذمة الدماغية من أذية شديدة للدماغ، لذا كان لعلاجها أهمية فائقة.

يختلف تدبير الوذمة باختلاف الحالة السريرية للمريض، وآلية حدوث الوذمة وتوقيت الإجراءات العلاجية.

ما زال هناك الكثير من النقاش العلمي حول الطريقة المثلى لمعالجة وذمة الدماغ.

أهم العلاجات المتاحة

ـ الستيروئيدات القشرية corticosteroids: وتعمل بوساطة آليات عدة منها تخفيض نفوذية غشاء الأوعية الدموية الدماغية. وتُستعمل عادة في حالات الوذمة الناتجة من التهابات السحايا والخراجات والأورام.

ـ المانيتول :mannitol وله تأثير حلولي osmotic يؤدي إلى سحب السوائل إلى داخل الأوعية الدموية ومن ثم طرحها من الجسم عن طريق البول، وهو من أكثر العناصر استعمالاً للسيطرة المديدة على فرط التوتر داخل القحف.

ـ المحلول الملحي المفرط التوتر hypertonic saline: له آلية مشابهة للمانيتول ويُستعمل علاجاً طارئاً لفرط التوتر المعند داخل القحف.

ـ البربيتورات barbiturates: وهي أدوية مخدرة تقوم بتخفيض معدل الاستقلاب الدماغي وبالتالي إنقاص جريان الدم الدماغي وحجم السوائل ضمن الدماغ. وتُستعمل في حالات رضوض الرأس الشديدة وحالات فرط التوتر داخل القحف المعندة على العلاج.

ـ فرط التهوية hyperventilation: وذلك بوضع المريض على جهاز التنفس الاصطناعي ومن ثم معايرة الجهاز على نحو ينخفض فيه ضغط ثاني أكسيد الكربون في الدم مما يؤدي بآلية فيزيولوجية معينة إلى تضييق الأوعية الدموية، وبالتالي خفض حجم السوائل ضمن الدماغ. ويُستعمل عند وجود الحاجة إلى خفض التوتر داخل القحف على نحو سريع، إلا أن تأثيره العلاجي مؤقت.

ـ قطع القحف النصفي hemicraniectomy: وهو عمل جراحي يتم فيه استئصال قطعة كبيرة من الجمجمة على نحو يسمح للنسيج الدماغي المنتفخ بالتوسع إلى الخارج عوضاً عن الضغط على المراكز الدماغية الحساسة داخل القحف.

ويتم اللجوء إلى هذا التدبير في بعض حالات فرط التوتر داخل القحف المعند على العلاجات الأخرى (من أهم الأمثلة على استعماله الجلطات الدماغية الواسعة).

ـ أخيراً هناك العديد من الإجراءات الأخرى التي يمكن استعمالها مثل رفع رأس سرير المريض نحو 30 ْ لتسهيل العَود الدموي الوريدي من الدماغ، وتخفيض درجة حرارة الجسم، والمدرات وغيرها.

المصادر

  • طارق وزان. "وذمة دماغية". الموسوعة العربية.

الهامش

dexamethasone

وصلات خارجية

الكلمات الدالة: