سكتة

(تم التحويل من Stroke)
السكتة
Stroke
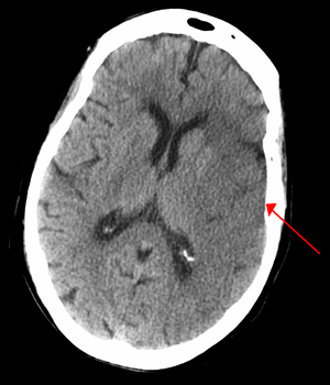
INFARCT.jpg
CT scan slice of the brain showing a right-hemispheric ischemic stroke (الجانب الأيسر من الصورة).
التبويب والمصادر الخارجية
التخصصطب الجهاز العصبي, جراحة المخ والأعصاب
ICD-10I61.-I64.ner
ICD-9-CM434.91
OMIM601367
DiseasesDB2247
MedlinePlus000726
eMedicineneuro/9 emerg/558 emerg/557 pmr/187
Patient UK

فشل عرض الخاصية P1461: لم يتم العثور على الخاصية P1461.

سكتة
MeSHD020521

السكتة أو الجلطة الدماغية STROKE هي تأذي عصبي يحدث عندما يتوقف جريان الدم وتغذيته في منطقة من مناطق الدماغ نتيجة جلطة أو خثرة دموية. ويطلق نفس الاسم أيضا على متلازمة ضياع مفاجيء في الوظائف العصبونية نتيجة اضطراب في الجريان الدموي الدماغي غالبا ما يكون في شرايين الدماغ وأحيانا يكون في أوردة الدماغ.

جزء الدماغ الذي يحدث به الاضطراب الدوراني ونقص التغذية الدموية يعاني بالتالي من نقص في الأكسجين الوارد مع الدم، مما يؤدي لتضرر و موت الخلايا العصبية في هذا الجزء مؤثرا على وظيفة هذا الجزء من الدماغ.

تعتبر السكتة حالة طواريء تستدعى تدخلا طبيا ونقل للمشفى فوري حيث يمكن أن تؤدي إلى ضرر دائم أو إلى موت في حال عدم التشخسص السريع والمعالجة السريعة.

فهي إصابة تحصل لجزء من دماغ الإنسان نتيجة توقف ضخ الدم إلى ذلك الجزء مما يؤدي إلى فقد الوظيفة التي كان يؤديها.

الأسباب

  • انسداد شريان في أحد أجزاء الدماغ. وعندما يتوقف وصول الدم إلى نقطة معينة في الدماغ فإن خلايا هذة المنطقة تموت في غضون دقائق إذا لم يتم فتح هذا الانسداد.

السكتة الدماغية

A slice of brain from the autopsy of a person who suffered an acute middle cerebral artery (MCA) stroke

الأنواع

الجلطات المؤقتة (التحذيرية)

الجلطات المؤقتة هي جلطات صغيرة نتيجة انقطاع مؤقت في وصول الدم إلى جزء من الدماغ ولكن هذة المنطقة خلاياها لا تموت بسبب رجوع ضخ الدم إليها,في هذه الحالة يحس المريض بنقص في وظيفة معينة من الدماغ ولاكن هذا النقص لا يستمر أكثر من دقائق او ساعات. وهذة الجلطة المؤقتة مهمة فهي رسول يحذر المريض من احتمالية حصول جلطة كاملة إ ذا لم يبادر إلى علاج أسباب حدوث الجلطات.

السكتة الدماغية الصغرى

السكتة الدماغية الصغرة أو نوبات نقص تروية الدم العابرة transient ischemic attacks (TIAs)، وهي من الأمراض التي لم تمثل سوى خطر صئيل، ولكن حسب الدراسات الحديثة فإن السكتة الدماغية الصغرى قد تكون مؤشر لقدوم سكتة دماغية كبرى، وأن علاجها كحالة طارئة مستعجلة، يمكن أن يساعد في درء وقوع السكتة الحقيقية.[1]

وتظهر نوبة نقص تروية الدم العابرة عندما يتعرض جزء من الدماغ لنقص تام في الأكسجين. وتعتمد اعراضها على جزء الدماغ الذي تعرض لها. وهي تبدأ عندما تحتل خثرة (جلطة) دموية او جزء من لويحات مليئة بالكوليسترول، موقعها في شريان يغذي الدماغ. ويكون الانسداد هنا صغيرا بما فيه الكفاية، او ضعيفا بما فيه الكفاية، كي تتمكن نظم الاصلاح في الجسم البشري من تنظيف الشريان منه، في العادة في غضون ساعة، على الرغم من أن التنظيف قد يستغرق احيانا يوما كاملا. اما الانسدادات الاكبر التي تدوم زمنا اطول فانها تؤدي الى السكتة الدماغية، التي تتميز بمشكلات بعيدة المدى.

  • مؤقتة وضارة وتظهر تقنيات مسح الدماغ وتصويره ان بعض السكتات العابرة تتسبب في اضرار بعيدة المدى في الدماغ. كما انها تستبق حدوث أضرار كارثية اخرى.

وقد حلل باحثون من جامعة أكسفورد نتائج 18 دراسة شملت حالات اصابة اكثر من 10 آلاف شخص بالسكتة الدماغية الصغرى. ووظهر وبشكل عام، ان واحدا من كل 20 شخصا تعرض لسكتة دماغية كبرى خلال اسبوع من حدوث السكتة الصغرى، فيما تعرض واحد من كل 10 اشخاص الى سكتة كبرى في غضون 3 أشهر التي اعقبت حدوث السكتة الصغرى.

وعندما دقق الباحثون في الدراسات الشخصية المنفردة وجدوا نتائج مدهشة. فمن بين الاشخاص الذين تمت معالجتهم من نوبات نقص تروية الدم العابرة بسرعة في مراكز علاج السكتة الدماغية المتخصصة، لم تحدث السكتة الدماعية الكبرى سوى لدى اقل من 1 في المائة منهم. وفي نفس الوقت فان الذين لم يتوجهوا لطلب العلاج بسرعة، ثم وقعت لديهم سكتة دماغية كبرى في غضون اسبوع، وصلت نسبتهم الى 11 في المائة. وقد نشر تقرير الباحثين في ديسمبر عام 2007 في مجلة تلانسيت نيرولوجي".

ويسلط هذا العمل الاضواء على مخاطر عدم الاهتمام بنوبات السكتة الصغرى واعتبارها قضية تافهة. وقد تؤدي معالجتها كحدث طارئ مثلها مثل آلام الصدر، الى تقليل مضاعفات حدوث اضرار دائمة في القلب ودرء حدوث اعاقة بعيدة المدى تنجم عن السكتة الدماغية.

وتوصي رابطة السكتة الدماغية الوطنية باجراء تقييم للسكتة الدماغية من قبل اختصاصي بها. وقد يأمر هذا الطبيب الاختصاصي باجراء مسح للدماغ او الشرايين السباتية، وهي الشرايين الرئيسية التي تنقل الدم الى الدماغ. والتعرف على مسببات النوبات العابرة TIA مهم، وذلك بهدف التخطيط لإقامة دفاعات قوية ضد نوبة اخرى، او ضد السكتة الدماغية.

=الأعراض والعلامات

  • التنمل والضعف في الوجه، الساعد، الرجل، وخصوصا في جهة واحدة من الجسم.
  • عدم القدرة على تحريك الأصابع، اليد، الساعد، أو الرجل.
  • إلتباس الأمور على المصاب.
  • صعوبة في النطق أو مشاكل أخرى في التحادث.
  • صعوبة فهم ما يقوله الآخرون.
  • صعوبة الرؤية بعين واحدة أو بالعينين معا، أو السماع باحدى الأذنين أو بكلاهما.
  • الدوار، صعوبة المشي، أو فقدان الاتزان أو تنسيق الحركة.
  • صداع سريع وحاد.

الأعراض الشائعة

تختلف الأعراض بحسب المنطقة التي حصل فيها نقص في وصول الدم فكل منطقة من الدماغ قد هيأ لها الله وظيفة معينة كما أنه من المهم أن يعرف المريض وأقاربه أن الفص الأيمن من الدماغ يتحكم في حركة الجزء الأيسر من الجسم كما أن الفص الأيسر من الدماغ يتحكم في حركة الجزء الأيمن, كذلك يجب أن يعلم أن منطقة الكلام فهما ونطقا هي في الفص الأيسر من الدماغ .

الأعراض الشائعة لجلطة الدماغ هي:

  • الفقد المفاجئ للقوة في الجزء الأيمن أو الأيسر من الجسم إضافة إلى حصول ضعف في حركة عضلات الوجه في أحد الجزئين
  • صعوبة الكلام مثل: ثقل اللسان, عدم وضوح مخارج الحروف, عدم فهم الكلام الموجة للمريض, عدم استطاعة المريض التعبير عن مشاعره, صعوبة القراءة والكتابة.
  • أعراض بصرية مثل: فقد الرؤية في إحدى العينين مؤقتا أو ضعف النطاق البصري في الجزء الأيمن أو الأيسر من مجال الرؤية.
  • عندما تكون الجلطة في جذع الدماغ فقد يصاحبها شعور المريض بغثيان مفاجئ وصداع ونقص في الوعي بالإضافة إلى الإحساس بالدوران وإحولال النظر المفاجئ . وعلى كل فأعراض الجلطات كثيرة, ولكن أوضحنا أبرزها في هذة العجالة.

الأسباب

السبب الرئيسي هو ما يسمى تصلب الشرايين وهذا التعبير مشابه لما يحصل عندما نستخدم أنابيب المياه في منازلنا لسنوات عديدة فإن ما يحصل هو انسداد بعض هذه الأنابيب نتيجة تراكم بعض المواد والصدأ إلى غيره, كذلك يحصل في جسم الإنسان اذا تعرض لبعض المسببات وهي: التدخين ومرض السكر والضغط. والسبب الرئيسي الآخر لانسداد الشرايين وحصول الجلطة هو انسدادها فجأة نتيجة أمراض القلب حيث تتكون من قلب المريض تخثرات قد تكون صغيرة أو كبيرة تنطلق مع تيار الدم وتسد أحد شرايين الدماغ فجأة.

العوامل التي تزيد من إحتمالية تصلب الشرايين

  • ارتفاع ضغط الدم
  • مرض السكر
  • التدخين
  • أمراض القلب
  • ارتفاع الكولسترول
  • الكسل:- قلة النشاط البدني
  • السمنة

مع ملاحظة أنه كلما زاد عدد العوامل عند الشخص كلما زاد الخطر عليه.

إحتمالية الوفاة مع جلطة الدماغ

من الصعب إعطاء إجابة دقيقة ولكن بصورة عامة وحسب الإحصائيات العالميةفإن حوالي 15% من المصابين بجلطة الدماغ نتيجة انسداد الشرايين يموتون نتيجة الإصابة في غضون الأيام الأولى. لو نظرنا إلى كل الذين عاشوا الجلطة وتابعناهم لوجدنا أن حوالي نصفهم سوف يشفون شفاء جيدا وأن حوالي النصف سوف يتبقى معهم بعض الإعاقات التي تتراوح بين متوسطة إلى شديدة. من المهم معرفة أن الشفاء بعد الجلطة يأخذ وقتا طويلا فهو يبدأ في الأسابيع الأولى ويزيد في خلال الأشهر الأولى ولكن قد يستغرق ستة أشهر وفي أحيان كثيرة يستغرق حوالي السنة. بالطبع هناك بعض المرضى الذين يسترجعون كافة وظائفهم في خلال ساعات أو أيام إذا كانت الجلطة من النوع البسيط.

إن الشفاء من الجلطة يعتمد بعد مشيئة الله عز وجل على حجم منطقة الدماغ التي تأثرت وعلى موقع هذة الجلطة من الدماغ كما يعتمد على عمر المريض وصحته من ناحية وجود أمراض أخرى.

خطر من عودة الجلطة مرة أخرى

وجدت بعض الإحصائيات أن احتمالات حدوث جلطة مؤقتة أو جلطة كاملة بعد الجلطة الأولى تتراوح بين 10% خلال السنة الأولىأ ولاكن إذا لم يحصل شيء خلال السنة الأولى فإن النسبة تنفض إلى حوالي 5%سنويا.

كيفية التقليل من احتمالية حدوث جلطة لي مرة أخرى

  • الاعتدال في الغذاء والتقليل من الدهون المشبعة والأملاح مع التركيز على الفواكه والخضار وزيت الزيتون.
  • قطع التدخين تماما.
  • معالجة ضغط الدم بالأدوية وفي الغالب يحتاج المريض إلى نوعين من الدواء لإنجاز هذا الهدف.

ويفضل ان يكون ضغط الدم 130 أو أقل والسفلي 80 أو أقل

  • الاستمرار في العلاج الذي وصفه الطبيب ويجب أن يكون المريض إما على نوع من مسيلات الدم الخفيفة مثل الأسبرين أو مشابهه أو المسيلات القوية مثل الكومادين (الوورفارين) حسب ما يصف له الطبيب
  • التحكم الحازم بسكر الدم، وللأسف فكثير من مرضانا لديهم استهتار واضح بهذا الموضوع و لا يتنبه للخطر إلا بعد فوات الأوان.
  • كثرة الحركة والرياضة وترك الكسل وفي أقل الأحوال ننصح بأن تمشي مشيا سريعا لمدة 45 دقيقه ثلاث مرات أسبوعيا.

السكتة النزفية

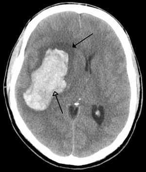
An intraparenchymal bleed (bottom arrow) with surrounding edema (top arrow)


الأعراض والعلامات

التشخيص المبكر

أنواع فرعية

الأعراض المرتبطة

الأسباب

السكتة الخثارية

السكتة الصمية

نقص انسايب الدم المجموعي

الخثار الوريدي

نزيف المخ الداخلي

السكتة الصامتة

الفسيولوجيا المرضية

الإقفاري

Micrograph showing cortical pseudolaminar necrosis, a finding seen in strokes on medical imaging and at autopsy. H&E-LFB stain.
Micrograph of the superficial cerebral cortex showing neuron loss and reactive astrocytes in a person that suffered a stroke. H&E-LFB stain.


النزفي

التشخيص

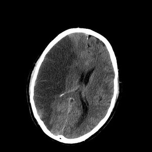
A CT showing early signs of a middle cerebral artery stroke with loss of definition of the gyri and grey white boundary

التعريف

الفحص السريري

التصوير

الأسباب الكامنة

12-lead ECG of a patient with a stroke, showing large deeply inverted T-waves. Various ECG changes may occur in people with strokes and other brain disorders.

الوقاية

عوامل الخطورة

ضغط الدم

الرجفان البطيني

دهون الدم

داء السكري

الأدوية المضادة للتخثر

الجراحة

النظام العذائي

الوقاية الثانوية من السكتة الدماغية

العلاج

السكتة الإقفارية

انحلال الخثرة

استئصال الخثرة آلياً

Merci Retriever L5.

استئصال شق القحف

السكتة النزفية

وحدة السكتة

التأهيل

الانذار المبكر

الانتشار

معدل العمر حسب الاعاقة for cerebral vascular disease per 100,000 inhabitants in 2004.[2]
  no data
  <250
  250-425
  425-600
  600-775
  775-950
  950-1125
  1125-1300
  1300-1475
  1475-1650
  1650-1825
  1825-2000
  >2000

الاسعافات الأولية

إذا تمكن من الوصول إلى مصاب الجلطة الدماغية خلال 3 ساعات فقط، يمكن عكس مفعول الجلطة كلياً، وحسب أطباء الأعصاب يتطلب الأمر فقط التعرف على أعراض الجلطة، وتشخيصها والوصول إلى مريض الجلطة خلال 3 ساعات فقط. قد يعاني مريض الجلطة ضرراً بالدماغ، في الوقت الذي لا يفطن فيه من حوله إلى إصابته بالجلطة ويمكن التعرف على الاصابة بالجلطة من خلال ردود فعل المريض على الأسئلة التالية:

1 - مطالبة المصاب بالإبتسام

2 - مطالبة المصاب أن يرفع كلتا ذراعيه

3 -مطالبة المصاب نطق جملة كاملة بسيطة

إذا عانى المصاب من أي من هذه المهام، فيجب طلب الاسعاف فوراً ووصف الأعراض لهم.

التاريخ

Hippocrates first described the sudden paralysis that is often associated with stroke.

الأبحاث

رأب الوعاء والدعامات

الوقاية العصبية

المصادر

  1. ^ "الجلطة الدماغية الصغرى.. ناقوس الخطر". جريدة الشرق الأوسط. 2008-03-09. Retrieved 2012-10-17.
  2. ^ "WHO Disease and injury country estimates". World Health Organization. 2009. Archived from the original on 11 November 2009. Retrieved November 11, 2009. {{cite web}}: Unknown parameter |deadurl= ignored (|url-status= suggested) (help)

قراءات إضافية

  • J. P. Mohr, Dennis Choi, James Grotta, Philip Wolf (2004). Stroke: Pathophysiology, Diagnosis, and Management. New York: Churchill Livingstone. ISBN 0-443-06600-0. OCLC 50477349 52990861. {{cite book}}: Check |oclc= value (help)CS1 maint: multiple names: authors list (link)
  • Charles P. Warlow, Jan van Gijn, Martin S. Dennis, Joanna M. Wardlaw, John M. Bamford, Graeme J. Hankey, Peter A. G. Sandercock, Gabriel Rinkel, Peter Langhorne, Cathie Sudlow, Peter Rothwell (2008). Stroke: Practical Management (3rd ed.). Wiley-Blackwell. ISBN 1-4051-2766-X.{{cite book}}: CS1 maint: multiple names: authors list (link)

وصلات خارجية