مرض ألزايمر
| مرض ألزايمر | |
|---|---|
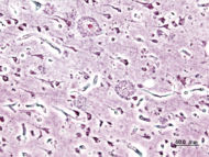
![]()  | |
| Histopathologic image of senile plaques seen in the cerebral cortex in a patient with Alzheimer disease of presenile onset. Silver impregnation. | |
| التبويب والمصادر الخارجية | |
| التخصص | طب الجهاز العصبي | 
| ICD-10 | G30., F00. | 
| ICD-9-CM | 331.0, 290.1 | 
| OMIM | 104300 | 
| DiseasesDB | 490 | 
| MedlinePlus | 000760 | 
| eMedicine | neuro/13 | 
| Patient UK | فشل عرض الخاصية P1461: لم يتم العثور على الخاصية P1461. مرض ألزايمر | 
مرض ألزايمر Alzheimer's disease هو مرض يصيب المخ ويتطور ليفقد الإنسان ذاكرته وقدرته علي التركيز و التعلم. و قد يتطور الزهايمر ليحدث تغييرات في شخصية المريض فيصبح أكثر عصبية أو قد يصاب الهلوسة أو حالات من حالات الجنون المؤقت. و لا يوجد حتي الآن علاج لهذا المرض الخطير إلا أن الأبحاث في هذا المجال تتقدم من عام لآخر. كم أثبتت الأبحاث أن العناية بالمريض و الوقوف بجانبه تؤدي إلي أفضل النتائج مع الأدوية المتاحة.
والخرف dementia لغة ذهاب العقل أو ضعفه، وطبياً انعدام الوظائف العقلية أو ضعفها في مجال المعرفة والتفكير والمبادءة والاستجابة، فتتراجع هذه الوظائف والقدرات العقلية تدريجياً أو سريعاً، مما يؤدي إلى تبدل كلي في الشخصية وازدياد تمركز الأنا فيها.
تغير مفهوم الخرف: كثرت حوادث الخرف وارتفعت نسبة الإصابات به لازدياد متوسط العمر بين السكان وانتشار المدنية، التي نتج منها تفكك الروابط الأسرية وضعفها، وفقد الاهتمام اللازم بالشيوخ ولزيادة عدد المسنين في المجتمع بسبب تقدم الطب. ومن الملاحظ ازدياد نسبة الخرف في الشعوب المتمدنة أكثر من الشعوب الأقل تمدناً بسبب نقص أو انعدام العلاقة الإنسانية التي كانت تتوافر على نحو أفضل في المجتمعات التقليدية السابقة والتي كانت أكثر تماسكاً وتعاطفاً مع المسنين، كما كانت أكثر تفهماً لمشكلاتهم الصحية والنفسية والاجتماعية.
الأعراض
تكون بداية الخرف تدريجية بظهور أعراض الضعف الجسدي وقلة النشاط ونقص التركيز العقلي، ويضعف تذكر الحوادث القريبة ويصاب المريض بقلة الاهتمام بمحيطه واللامبالاة وببرودة العاطفة، ثم تبدأ أعراض التدهور التدريجي واضطراب الوظائف العضوية (اضطراب المصرات الشرجية والبولية) والوظائف العقلية وتظهر حالة الهذيان الحاد وتضعف الحيوية بشدة ويفقد المريض العلاقة بالمحيط والبيئة ويصاب بالتدهور ثم يصبح طريح الفراش حتى الموت.
أنواع الخرف
الخرف الطفلي dementia in childhood: يحدث هذا النوع من الخرف في سن الطفولة نتيجة إصابة الطفل بأحد الأمراض الآتية:
البله الأسري الحاد acute familial idiocy أو تشحم المخ cerebral lipids أو التهاب الدماغ تحت الحاد sub acute encephalitis أو مرض شيلدر schilder diseas، وهو آفة تتصف بزوال النخاعين في الجهاز العصبي المركزي، أو مرض ويلسون wilsons disease وهي إصابة تتصف بالتهاب الكبد العقدي مع تشمع إضافةً إلى تنكس في الجسم المخطط، أو متلازمة الفصام الطفلي schizophrenic syndrome in childhood.
تظهر على الطفل علامات التخلف العقلي وأعراض الخرف مثل عدم النطق أو اضطرابه والحبسة الكلامية وضعف الذاكرة وبعض الهذيانات والأهلاس العقلية وعدم التمييز وضعف الوعي، كما يصاب الطفل ببعض الأمراض الجسدية الشديدة التي تؤدي إلى الوفاة بسن مبكرة (دون سن الخامسة عشرة).
الخرف قبل الشيخي presenil dementia
يحدث هذا النوع من الخرف في أواسط العمر 40-50 سنة بسبب إصابة الجهاز العصبي بالإفرنجي العصبي neuro-syphilis أو بالوذمة المخاطية myxoedema أو بأورام الدماغ المختلفة. وقد كشف هذا النوع من الخرف غوورز Gowers عام 1908 وأطلق عليه هذا الاسم، وقال إن سببه تلف الجهاز العصبي المركزي المبكر ونقص عدد الخلايا العصبية السليمة في الدماغ مما يؤدي إلى ظهور أعراض الخرف الشيخي في سن مبكرة قبل بلوغ الشيخوخة، ويتقدم هذا النوع من الخرف ببطء وبالتدريج ومداواته صعبة جداً تتطلب الكشف المبكر للداء لإجراء المعالجة الدوائية أو الجراحية للسبب، كما تستدعي بعدها رعاية طبية خاصة، واهتماماً شديداً به من الناحية الغذائية والبيئية لتخفيف سرعة تقدم المرض نحو الخرف الشيخي الكامل والشلل العام.
الخرف الشيخي أو عته الشيخوخة senile dementia
يصيب هذا النوع من الخرف المسنين والشيوخ (فوق سن الستين) وللوراثة ولحالة المريض المسن النفسية والصحية والاجتماعية شأن كبير في حدوثه. يبدي المصاب تغيرات عضوية كالضعف العام، ونقص قدرة الحواس، والإصابة ببعض الأمراض الجسدية الأخرى مثل ارتفاع ضغط الدم و تصلب الشرايين ، وتغيرات في النواحي النفسية كاضطراب الذاكرة ونسيان الحوادث القريبة وضيق الاهتمام بالمحيط والآخرين والأثرة (الأنانية)، واضطراب العاطفة والاكتئاب وزيادة القلق وعدم الاستقرار، كما تظهر بعض الضلالات والهذيانات وأعراض الهوس والهياج. وتعرض هذه التغيرات الجسدية والعقلية حياة المريض للخطر وتؤدي به شدتها إلى حالة الشلل العام فيغدو طريح الفراش وبحالة غيبوبة كاملة تؤدي به إلى الموت.
ومن الناحية السريرية هناك أربعة أشكال للخرف الشيخي هي: النمط التأخري البسيط simple deterioration type، و النمط الهذياني الاختلاطي delirious-confused type، و النمط الهمودي - الهذياني depressed-agitated type، و النمط الزوري paranoid type.
الخرف الوعائي التصلبي arterio-sclerotic dementia
يحدث هذا النوع من الخرف بسبب تصلب الشرايين الدماغية وارتفاع ضغط الدم الشرياني المزمن، ويصيب الرجال أكثر من النساء، ويحدث في العقد الخامس أو السادس من العمر. تظهر فيه أعراض الصداع والدوار واضطراب الذاكرة للحوادث القريبة، كما تظهر أيضاً أعراض اضطراب العاطفة وبرودها والاكتئاب وبعض الهذيانات الاضطهادية، ثم تظهر أعراض الاختلاط العقلي والتشوش الليلي وعدم الاستقرار واضطراب الكلام والاضطرابات العضلية مما يؤدي إلى الشلل العام والموت، وفي هذا النوع من الخرف تبقى الشخصية والحكم على الأمور سليمين حتى مرحلة متقدمة ثم يفقدهما المريض في المراحل الأخيرة.
الشلل العام general paralysis: أو مرض بايل Bayle disease، وهو مرض التهابي تنكسي مزمن سببه الإفرنجي الذي يصيب الدماغ والسحايا وأوعيتهما أو أسباب أخرى ما زالت مجهولة، ويدوم سير هذا النوع من الخرف من سنة إلى خمس سنوات بعد ظهور الإصابة بالمرض وينتهي بالموت إذا لم يعالج. ويظهر الخرف في هذا المرض بعد العدوى بـ 5 إلى 20 سنة ويصيب الرجال أكثر من النساء.
وله دوران:
ـ دور البدء أو الحضانة المرضية: تبدأ الأعراض تدريجياً وبشكل خفيف فتظهر حبسة كلامية مفاجئة أو فالج في أحد أعضاء الجسم أو فقد وعي مؤقت أو نوب صرعية، كما يحدث تهيج وأرق وشرود ورجفان في اليدين والشفتين.
ـ دور التكامل: وتتوضح فيه الأعراض الجسمية والنفسية فتظهر أعراض العته والخرف بالتدريج مثل فقدان الذاكرة واضطراب المحاكمة وأعراض الاكتئاب الشديد وأحياناً الشعور بالعظمة والهوس الشديد، وينتهي بالعته أو الخرف الكامل، ويصبح المريض طريح الفراش، ويضطرب عنده البول والبراز، ويموت خلال 3 سنوات إلى 5.[1].
يعالج هذا النوع من الخرف بمعالجة الإفرنجي أو الأمراض الأخرى المسببة له إن عرفت، لأن هذا المرض ينتهي بالموت إذا لم يعالج على نحو مبكر ولاسيما أن للإفرنجي الآن، وهو السبب الرئيس لهذا النوع، معالجة جيدة وفعالة كما هو معروف. 
يعتبر مرض خرف الشيخوخة – الزايمر (الزهايمر)، والذي قضى على الرئيس الأمريكي الأسبق رونالد ريجان - من أكثر الأمراض شيوعا ، وإثارة للقلق مع تقدم الناس في السن ، خاصة في غياب أي عقار شافٍ للقضاء عليه ، والسيطرة على عملية التدمير التي يسببها للذاكرة. هذا وتقدر جمعية (الزهايمر الأمريكية) ، أن هناك قرابة أربعة ملايين أمريكي مصاب بالمرض، مع احتمال تصاعد العدد، كما تتوقع هذه الجمعية ، أن يصل العدد إلى 14 مليون مصاب في أمريكا في منتصف القرن الحالي، في حال لم يتم إيجاد علاج له، وذلك حسبما نقلت وكالة الأسوشيتد برس.
وفي السنوات الأخيرة ، قامت عقيلة ريجان (نانسي) ، بجهود حثيثة لجمع تبرعات لدعم الأبحاث العلمية ؛ بهدف تحقيق فتح علمي وطبي يساعد المصابين بهذا المرض. هذا ، ولا يعرف العلماء بعد سبب المرض، بالرغم من اعتبار التقدم بالسن أحد العوامل الرئيسية المؤدية له. كما أن المرض يتضاعف كل خمس سنوات بين الأفراد الذين تعدوا سن الـ 65 ، فيما نجد نصف الذين تعدوا سن الـ 85 سنة مصابين به. ويبدأ الزاهايمر بإصابة المريض بفقدان غامض للذاكرة ، ويتطور سريعا، ويفقد المصابون بالزهايمر القدرة على التعرف على الأماكن ، أو من يحبونهم ، ولا يستطيعون الاهتمام بأنفسهم.
كما أن المرض يستمر بين ثمانية إلى عشر سنوات، بالرغم من أن بعض المصابين به ، قد يموتون في مرحلة مبكرة ، أو قد يعيشون لفترة 20 عاما. ويمكن للعلاج أن يساعد على إبطاء تطور الزهايمر ، ولكن لا يمكن الشفاء من المرض ، الذي سمي باسم العالم الالماني الذي اكتشفه عام 1906. ويُكتشف المرض بوجود رقع plaques ، وكتل tangles حول وداخل خلايا المخ. وتتكون الرقع من نوع من البروتين الموجود بالمخ ، بينما تتكون الكتل داخل الخلايا العصبية بفعل تشوه يصيب بروتينا آخر، وذلك بحسب ما أفادت وكالة رويترز. وبموت الخلايا العصبية ، يتقلص المخ ، ويفقد مظهره المتجعد.
أسبابه
لم يمكن التعرف حتي الآن علي سبب يمكن أن يؤدي بعينه الي هذا المرض، و لكن نتيجة للأبحاث المستمرة من 15 عاما. أمكن التعرف علي مجموعة من العوامل التي من الممكن أن تتشارك لتؤدي في النهاية الي مرض الزهايمر.ما هو مؤكد لدي العلماء هو أنه بمجرد ظهور المرض يكون قد سبقته عملية موت و تحلل طويلة تمد لسنوات لخلايا المخ المنوط بها حفظ المعلومات و استرجاعها.
السن
مما لا مجال فيه للشك أن تقدم السن هو أكثر عوامل المشجعة لظهور المرض، حيث أن غالبية المرضي يصابون به بعد سن الخامسة و الستين. و تزداد فرصة المرض بنسبة الضعف كل خمسة أعوام تالية لهذا السن حتي تصل غلأي نسبة 50% عند سن 85.
الأعراض
يصيب هذا النوع من الخرف المبكر النساء أكثر من الرجال، وتبلغ نسبته 8% بين أنواع الخرف، وهو إما أن يصيب الشباب قبل سن الأربعين أو الكهول بعد سن الخمسين.
ولهذا الداء من الناحية السريرية ثلاث مراحل:
ـ المرحلة الأولى: يصاب المريض بضعف الذاكرة للحوادث القريبة ثم يفقدها كما يفقد نشاطه الحيوي والاهتداء لمعرفة الزمان والمكان والجهات، وتصبح حركته ونشاطه شديدتين ومن دون هدف، ثم يحدث عدم الاستقرار والاندفاع الحركي العدواني، تظهر بعدهما الهذيانات والهلاوس واختلاق القصص والأساطير الخيالية.
ـ المرحلة الثانية: في هذه المرحلة تظهر صعوبة نطق الكلمات وتكثر أخطاء القراءة والكتابة، ثم يصبح الكلام أصواتاً متقطعة، يفقد العليل بعدها حس معرفة الأشياء وطرق استعمالها، ويقلد الحركات التي يراها والأصوات التي يسمعها ويكررها، وتصبح مشيته مضطربة ذات خطوات صغيرة، كما تضطرب حركة يديه في أثناء المشي، ويصاب أخيراً بحالات من الغشي والغيبوبة، وأحياناً بالنوب الصرعية، وتنتهي هذه المرحلة بالعته والخرف الشديد.
ـ المرحلة الثالثة: يظهر في هذه المرحلة الخرف العميق والعته الشديد، ويصبح المريض معتوهاً ومنفصلاً عن محيطه نهائياً، ويغيب عن الوعي ويتحول إلى ضرب من الحياة النباتية فيصبح طريح الفراش ويصاب جسده بالقروح وبعض الأمراض العضوية وينتهي بالموت.
الأسباب الوراثية
لوحظ أن فرصة ظهور المرض تصبح ضعفين أو ثلاثة عند الأشخاص الذين أصيب أحد والديهم أو أجدادهم بهذا المرض مقارنة بالأشخاص الطبيعيين. كما تمكن العلماء مؤخرا الي التعرف علي مورثة يعتقد أنه يسبب المرض الا أنه لم يمكن التعرف عليه في كل الحالاات و أن انتشار هذا الجيل لا يتخطي بضع مئات من العائلات حول العالم. و لهذا ما زال العلماء يعتقدون بقوة أن هذا المرض ناشئ من تفاعل معقد بين أسباب جينية و أخري غير جينية.
الإنذار
إنذار هذا المرض سيئ جداً بسبب عدم وجود علاج نوعي مؤثر له، فهو يبدأ بأعراض ضعف الذاكرة وفقد النشاط الحيوي للجسم وينتهي بالعته الشديد والحياة النباتية ثم الموت.
أمراض الأوعية الدموية
و المقصود بها هي الأمراض التي تؤثر علي الأوعية الدموية الموجودة في المخ أو تغية هذا العضو الحساس.
إصابات الرأس
هناك دلائ قوية علي أن إصابات الرأس الخطيرة تزيد من فرص الإصابة بالمرض.
اختبار كشف
يقول الخبراء أنه على الرغم من أن تشخيص الخرف يتضمن العديد من أشكال التقييم، إلا أن هناك أيضًا اختبارًا بسيطًا مدته 10 دقائق يعتبر ممارسة قياسية في تقييم احتمالية الإصابة بمرض ألزايمر. تابع القراءة لمعرفة أداة الاختبار البسيطة التي قد تساعدك على اكتشاف مرض الزهايمر والوصول إلى التشخيص بشكل أسرع إذا كنت تعاني من تغيرات معرفية، بحسب موقع bestlifeonline.
أحد الاختبارات التي قد تساعد في التشخيص هو اختبار الحالة العقلية المصغر (MMSE). هذا اختبار سريع مدته 10 دقائق للحالة العقلية ويستخدم كجزء من فحص تشخيصي أوسع من قبل الطبيب. تُستخدم عادةً لتحديد الضعف الإدراكي، وتعتبر MMSE (أو MMSE2)، التي تم تحديثها في عام 2010 من الإصدار الأصلي الذي تم إنشاؤه في السبعينيات هي المعيار الصناعي في الاختبار المعرفي لمرض ألزايمر.
تتكون اختبارات MMSE من مهام بسيطة وتمارين عقلية تستقصي إحساس المريض بالتوجه نحو الزمان والمكان، وقدرات حل المشكلات، والذاكرة قصيرة المدى، واللغة، والفهم، والمهارات الحركية. على سبيل المثال، يُطلب من الخاضع للاختبار تلاوة سلسلة من الكلمات، ونسخ رسم هندسي بسيط، وتهجئة كلمة بشكل عكسي، والعد للخلف من 7 إلى 1.
الاختبار بحد أقصى 30 نقطة. تشير الدرجات المنخفضة إلى احتمالية أعلى للإصابة بمرض الزهايمر، بينما تشير الدرجات الأعلى إلى الإدراك الصحي. تحدث مع طبيبك إذا كانت لديك أسئلة محددة حول كيفية تفسير درجاتك.
في حين أن اختبارات MMSE قد توفر دليلًا إرشاديًا لتقييم التدهور المعرفي، فمن المهم أيضًا البحث عن العلامات المبكرة لمرض الزهايمر في حياتك اليومية. قد يشمل ذلك ضعف الذاكرة، وصعوبة أداء المهام المعقدة، وقلة التركيز، وضعف قدرات حل المشكلات، والارتباك، والصعوبات البصرية المكانية، ومشاكل اللغة، وسوء اتخاذ القرار أو الحكم، والانسحاب الاجتماعي، وتغيرات الحالة المزاجية.
كلما زادت هذه الأعراض من إعاقة حياتك اليومية والقدرة على العمل بشكل مستقل، زادت احتمالية تشخيصك بمرض الزهايمر أو أحد أشكال الخرف المرتبطة به. تحدث مع طبيبك إذا كنت تظهر عليك علامات مرض الزهايمر، أو إذا كنت مهتمًا بإجراء اختبار MMSE.[2]
.
إحصائيات تتعلق بالمرض
- هناك 4.5 مليون مصاب بهذا المرض في الولايات المتحدة الأمريكية
 - من المتوقع أن يصل عدد المرضي في الولايات المتحدة إلي 11 مليون في 2050
 - عادة ما يتوفي المريض في فترة 8 سنوات من تشخيص المرض و في بعض الحالات عاش المرضي حتي 20 عاما من بعض التشخيص
 
دليل العائلة إلى رعاية مريض الخرف ((الزهايمر))
إن اعرض مرض الزهايمر عادة تبدأ بتناقص في الذاكرة مع عدم القدره على القيام بالوظائف اليومية ثم اضطراب في الحكم على الأشياء و أحيانا التوهان وأيضا بعض التغيرات في الكلام وفي الشخصية وهذه التغيرات تختلف في سرعتها من شخص لأخر وفي الغالب تـاخذ سنوات .
فيما يلي بعض الإرشادات التي يجب مراعاتها دائما عند التعامل مع مريض الخرف:
- عندما تتكلم مع مريض الخرف يجب أن تتكلم بهدوء وبصوت واضح مستخدم كلمات بسيطة وجمل قصيرة
 
- حاول أن يكون للمريض روتين يومي مستمر يبدأ من الصباح وينتهي بالمساء ولا يتفاوت من يوم ليوم مما يساعد في تهدئة المريض.
 
- اهتم بنفسك أنت يامن تساعد مريض الخرف فيجب أن تنال كفايتك من الراحة والنوم حتى تقوم بوظيفتك بشكل جيدة.
 
- يجب أن يشاركك آخرون في رعاية المريض من أفراد العائلة من الأصدقاء ومن الجيران فلا تفرض الوحدة على نفسك بسبب هذا المريض.
 
- من المهم عند تشخيص المرض من قبل الطبيب أن تجتمع العائلة وتقرر وضع المريض من الناحية الشرعية ومن ناحية أموره المالية وهل يوجد له وصية أو قد يحتاج أن يوصي على بعض الأشياء قبل أن تزداد حالته سوء
 
- إن رعاية مريض الخرف وخاصة في المراحل المتقدمة عندما يصبح هناك إعاقات بدنية وعاطفية وتغيرات في شخصيته هي من الأمور الشاقة والمتعبة على أي شخص حتى لو كان بصحة جيده.
 
- مهما كان هذا الشخص بعد مرور الوقت سوف يحس بالإرهاق والتعب والملل وقد يقصر في رعايته لهذا المريض قد يشبه آلام التي ترعى طفل متعب من الناحية الجسمية ومن الناحية العاطفية. لذلك هناك نقاط نحب أن نبينها وتساعد في رعاية المريض من ضمنها:تنظيم الوقت مهم بحيث يكون هناك وقت لراحتك ووقت لرعاية المريض ، يجب أن تهتم بنفسك ويكون لك هوايات تمارسها أو أن تخرج خارج المنزل ، يجب أن تستريح عندما يستريح المريض وتنام عندما ينام من اجل أن تتنشط في ساعات العمل الأخرى ، يجب أن تتعود وان تتقبل التشخيص وان وتعرف أن هذا المرض يتطور من سنه لأخرى بحيث لا يوجد هناك تذمر مع مرور الأيام بل يجب أن تنظر نظره إيجابية وان تحتسب الأجر من الله في رعاية هذا المريض وخصوصا إذا علمت انه لا يمكنك فعل شي لوقف تقدم المرض.
 
- لا تعزل نفسك بعيدا عن الناس بحيث تخشى أن يرو الناس مريضك المصاب بالخرف بل يجب أن ترحب بالزائرين في حدود معينه. يجب أن لا تخجل من طلب المساعدة ولا تتوقع أن يأتي إليك الآخرون ويساعدوك من تلقاء نفسهم يجب أن تطلب المساعدة من إخوانك ومن زملائك ومن الأولاد والأصدقاء وتخبرهم أن والدي أو والدتي أو قريبي مصاب بالخرف واحتاج إلى الذهاب إلى موعد أو اخذ راحه وأرجو الاهتمام به في هذه الساعات. حاول أن تكون مرح بتعاملك مع مريض الخرف حتى لو كان فقد كثير من قواه العقلية وذاكرته وقليل من المرح والتنكيت الخفيف قد يفرحك ويفرح المريض في نفس الوقت.
 
واجب العائلة نحو مريض الخرف
- يجب على كل فرد من أفراد العائلة الصغير والكبيرة أن يهتم بالمريض ولا تترك الوظيفة لشخص واحد ويفضل في بداية التشخيص أن يعرف كل فرد من افرد العائلة معنى كلمة الزهايمر أو مرض الخرف وانه سوف يتقدم كل سنه وان المريض قد يفقد قواه لعقلية بتدريج مثل الذاكرة و الحكم على الأشياء و أحيانا الكلام والتوهان كما يجب تنبيههم أن الحالة النفسية للمريض تتغير بما فيها من الاكتئاب أو هيجان في بعض الأحيان .
 
- ينصح بان يزار المريض ويقابل أولاده والأصدقاء المقربين ولكن لا ننصح بكثرة زيارة الأشخاص الذين لا يعرفهم جيدا ولا تربطه بهم علاقة قوية كما إننا نشجع زيارة الأطفال الصغار كبير السن المصاب بالخرف لأنه يحب رؤية الأطفال ويمازحهم ولكن يجب تنبيه الأطفال على عدم الضحك على كبير السن أو من تصرفاته وتنبيههم بحالة المريض.
 
- يفضل أن تكون الزيارات من قبل الأقارب قصيرة حتى لا يتعب المريض ذهنيا.
 
كيف نتخاطب مع مريض الخرف((الزهايمر))
يؤثر مرض الزهايمر على منطقة التخاطب بالدماغ فيواجه المريض في البداية صعوبات في إكمال الجملة ، العثور على الكلمة المناسبة ، وأحيانا صعوبة في فهم الكلمات التي تلقى عليه كما انه قد يعيد السؤال عدة مرات أو يغلط في استخدام بعض الكلمات . سوف تلاحظ أن طلاقة المريض وقدرته على التخاطب تتغير من فتره لأخرى ففي بعض الأيام تكون جيده وفي بعض الأيام متردية وهذا كثير ما يحدث في السنوات الأولى من مرض الزهايمر يفضل استخدام لغة الإشارة البسيطة مثل الابتسامة وهزة الرأس والتخاطب بالعين فهذا يسهل على المريض فهم المراد . عندما يتكلم مريض الخرف أو يحكي حكاية حتى لو كانت مكرره عشرات المرات يفضل الاستماع له والإنصات والابتسام له فهذا يساعد على تحسن نفسيته.
استخدام الكلمات اللطيفه مع المصاب بالخرف مثل (تفضل ،اسلم ،وطال عمرك ، وغيرها)والابتعاد عن الكلمات الجافة التي تجرح مشاعره وخصوصا في السنوات الأولى عندما يكون المريض على شيء من الوعي بمشكلته فإن جرح مشاعره قد يصيبه بالاكتئاب الداخلي. حاول أن تبعد المزعجات والضجيج عن غرفة مريض الخرف وخاصة الراديو والتلفزيون . لا تتكلم عن المريض مع الآخرين بحضرته معتقد انه لا يفهم فقد يحس المريض ببعض الكلمات ويفهمها ،عندما يحاول المريض أن يجد الكلمة المناسبة ولا يستطيع ويتردد بالكلام حاول أن تساعده بأن تقترح عليه كلمة معينه أو أعطه خيارات يختار منها أو أعطه قلم لكي يكتبها. مريض الزهايمر عندما تصبح ذاكرته ضعيفة قد يعيد السؤال مرات كثيرة حتى لو تم إجابته و في مثل هذه الحالة يفضل أن تجيبه مره أو مرتين ثم تحاول أن تغير الموضوع بحيث لا يتعب المريض من تكرار السؤال.
عندما يقول المريض كلاما أو يقول قصه غير حقيقية يختلقها هو أو معلومة غير صحيحة لا تحاول أن تصحح له و تجادله في صحة الموضوع يكفي ابتسامة ثم غير الموضوع لإنهاء الوضع. ذكر أحد المرضى أن لديه والده مصابه بالخرف وأنها كانت تسأله متى سوف تأتي أمها على الرغم أن أمها ماتت قبل 20 سنه وانه وجد أن افضل إجابة أن يقول خبريني عن امك ماذا كانت تقول وماذا كانت تفعل لاحظ أن هذا يسعد المريضة فتبدأ تتكلم عن أمها بدل أن يجادلها بموت أمها . إذا حصل وغضب المريض وقال كلمات سيئة جدا مثل السب والشتم ففي هذه الحالة كل ما يجب عليك فعله أن لا تأخذ الأمر بمحمل شخصي بل يجب الابتسام بوجهه والقول له أنا اعلم انك غاضب وهدي من روعك ومن هذا القبيل حتى يهدأ المريض أو يفضل تغيير الموضوع أو إحضار طعام بحيث ينسى المريض هذه القصة ويبدأ بلا كل.
التشخيص بمرض الخرف في المراحل المبكرة صعب جدا على العائلة وعلى المريض إذا كان لا زال لديه الوعي لذلك من المفضل دائما عدم مواجهة المريض بتشخيصه مثل قول لديك خرف أو مرض الزهايمر بل يجب دائما تبسيط الأمر بمعلومات بسيطة مثل قول لديك مشكله بسيطة في الذاكرة وإن الطبيب قال لديك ضعف بذاكره دون مواجهته بحقيقة التشخيص لان هذا لا يغير من مجرى الأمور بل قد يزيد الأزمة النفسية للمريض.
فقدان الذاكرة
الكل يعلم أن الذاكرة هو أول ما يتأثر بمرض الزهايمر. في البداية تكون المشكلة بسيطة وهي عبارة عن نسيان بعض الأشياء الحديثة مثل نسيان بعض الأشخاص الذي قابلهم أو ماذا فعل في ذلك اليوم أو اليوم الذي قبله ولكن مع الوقت تتطور المشكلة وتزداد خصوصا تذكر الامور الحديثة مع الاحتفاظ بالذاكره القديمة التي لا يفقدها المريض إلا بالمراحل المتقدمة من المرض . سوف تلاحظ أن الذاكرة تختلف من يوم ليوم ومن أسبوع لأسبوع وخصوصا في بداية الزهايمر. ننصح بالروتين اليومي المنتظم بحيث يكون هناك جدول يومي للمريض منتظم من الصباح بداية بالإفطار وماذا يعمل بعد الإفطار ثم صلاة الظهر ثم الغداء وماذا يعمل من العصر إلى المغرب وبعده. أن وجود هذا الجدول اليومي يساعد من تخيف مشكلة الذاكرة .
استخدم الكلمات لمساعدة المريض فعندما يأتي شخص ليسلم عليه يفضل أن تخبره هذا ابن فلان جاء ليسلم عليك أو هذا جارنا فلان جاء ليسلم عليك. استخدم الكتابة والعلامات الكتابة بخط واضح على الأشياء التي تخص المريض مثل الهاتف والساعة وساعة التنبيه وأماكن حفظ الأوراق المهمة وهكذا. أحضر ساعات كبيرة ومنيرة في الليل ووضعها في عدة أماكن من الغرف بحيث يقل توهان المريض ويستمر بضبط الزمن. بإمكانكم وضع لوح حائطي أو جداري يحتوي التقويم بخط كبير بحيث يعرف المريض ما هو اليوم وأي شهر وهكذا أوقات الصلوات. من المفضل أن تكون هناك أنوار خافته في الليل عندما يحتاج المريض الذهاب لدورة المياه.
الابتعاد عن كثرت الملهيات التي تزعج المريض مثل الهواتف الجوالة والتلفزيون والراديو وغيرها ووضع ما يحبه المريض مثلاان كان يحب الراديو يوضع له راديو فقط . قال أحد المرضى انه لاحظ ان افضل طريقة لعلاج تهيج مريض الزهايمر هي إحضار وجبه خفيفة يحبها المريض وإعطائها له.
التوهان المسائي
كثير ما يلاحظ الذين يرعون مرضى الخرف ((مرض الزهايمر))أن المريض تكثر لخبطته بالليل و يتوه في فترة ما بعد العصر ووقت المغرب وهذه بعض النقاط التي تساعد في تخفيف هذه المشكلة:
- التبكير بوجبة العشاء بحيث تكون قبيل المغرب.
 - الإضاءة الجيدة عندما تأتي فتره ما بعد العصر يجب إضاءة البيت بطريقة جيده.
 - إخبار المريض بوقت المغرب عن طريق الساعات المنبهة .
 - عندما يحصل التوهان ويتلخبط المريض يجب مسك يده والتربيت على كتفه وإخباره أن ألان وقت المغرب من اليوم الفلاني وهكذا.
 
إخفاء الأغراض من قبل المريض:
مريض الزهايمر المصاب بضعف الذاكرة كثير ما يحاول اخفاء بعض الأشياء ثم ينساها بنفسه سواء أشياء تخصه أو تخص العائلة وهذا مما يسبب بعض الإحراج في المنزل وهذه المشكلة معروفه هو قد يساعد في تخفيف هذه المشكلة وضع دواليب مخصصه للمريض بألوان وكتابات واضحة بحيث يضع بها أغراضه والتنبيه عليه بأن يضع الأغراض هنا. حاول مراقبة المريض ومعرفة الأماكن المفضلة لديه التي يخفي بها الأشياء ، كثيرا ما يخفي المريض المفاتيح ثم يسأل العائلة ولا ينام الليل حتى يجدها لذلك يفضل إعطائه مفاتيح كبيره ذات ألوان بحيث يسهل العثور عليها ، كما يجب التنبيه على من في المنزل أو الخدم بعدم رمي المخلفات بالقمامة قبل التأكد من عدم احتوائها على أشياء مهمة تخص المريض.
عندما يكون هناك موعد لمستشفى أو موعد لحضور ضيوف من المفضل عدم إخبار مريض الزهايمر بأننا سوف نذهب غدا أو بعد غد وإنه سوف يأتي ضيوف غدا أو بعد غد لان هذا يقلق المريض ويفكر بالموضوع كثيرا ومن الأفضل عدم أخباره حتى يحين الموعد.
ضياع المريض المصاب بالخرف
من الأشياء الخطيرة التي يجب الانتباه لها لمن يرعون مريض الزهايمر( الخرف) أن المريض, قد يخرج من بيته ثم يضيع ولا يستطيع العودة وقد يذهب إلى أماكن خطيرة مثل الشوارع والطرق السريعة مما يعرضهم للدهس. إذا كان مريضك يكثر من الخروج فيفضل أن تضع اسمه وعنوانه ورقم الهاتف معه في جيبه على شكل بطاقة أو في محفظته كما أننا ننصح بأعلام الجيران والذين في الحي عن حالة المريض وبتالي يساعدونكم في إرجاعه للمنزل ،ونحن لا ننصح بسجن المريض في البيت وخاصة في المراحل المبكرة وخصوصا الرجل الذي تعود الخروج إلى زملائه ولكن يجب مراعاة هذه الأمور.
إذا كان هناك صعوبة في السيطرة على المريض يمكن وضع قفل لباب البيت بحيث لا يستطيع المريض الوصول له ،وكذلك يمكنكم وضع جرس أو صوت قوي بحيث يتنبه من في البيت إلى أن الباب قد فتح
من النقاط المهمة التي يغفل عنها كثير من العوائل أن الفراغ يؤثر على نفسيته المريض حتى لو كان المريض مخرف فمن الأفضل أن يعطي شي يشغل وقته أي عمل يدوي كان يحب عمله سواء الربط أو الحمل أو فك الأدوات فكل عمل يدوي يقوم به المريض حتى لو كان ليس له أي فائدة سوف يساعد في رفع معنوياته وتحسين نفسته لدرجه كبيرة فحاول العثور على عمل يدوي يسعد المريض ويقضي على وقت فراغه سواء العمل في حديقة المنزل أو العمل على فك الأشياء أو رعاية بعض الحيوانات مثل رعاية الإبل وغيرها كل هذا يساعد في تحسين نفسية المريض.
الاكتئاب
بعض مرضى الزهايمر قد يصابون بالاكتئاب وخصوصا في المراحل المبكرة من المرض فيجب الانتباه لهذا وإخبار الطبيب عنه لان الاكتئاب من الأشياء التي يمكن علاجها بالادوية وعلامات الاكتئاب تتشمل حب الانعزال و ونقص التركيز والإحساس بضيقة الصدر وقلة تعابير الوجه وقلة الشهية وقلة النوم بليل وكثرة النوم بالنهار .
لتقليل احتمالات الاكتئاب:
- يجب تشجيع المريض على الرياضة ، وإعطائه فرصه للتحدث والاستماع له حتى ول كان كلامه مكرر ، كما يجب الالتزام بنصائح التي ذكرناها سابقا بعدم التصريح بالتشخيص أمامه, كما أن القراءة تساعدإن كان يستطيع القراءة أو مشاهدة التلفاز.
 
- في بعض الأحيان قد يكون من الأشياء التي تسعد المريض أن يركب بسيارة مع احد أبنائه أو احد أقاربه بحيث يأخذه في جولة بالحي أو الأماكن التي يحب زيارتها ثم العوده للمنزل فهذا يعتبر مثل الدواء للمريض.
 
أشهر من أصيب به
- الرئيس الأمريكي الأسبق رونالد ريجان
 
كيف يتم تشخيص مرض ألزهايمر؟
لا يُمكن للطبيب تأكيد تشخيص مرض ألزهايمر إلا بعد الوفاة، لأن البحث عن التغيرات النسيجية
في الدماغ ووجود مناطق من الصفيحات والتشابكات لا يمكن أن يتم أثناء الحياة فذلك يحتاج إلى
تشريح للجثة وفحص نسيج الدماغ تحت المجهر. أما ما يُمكن للطبيب أن يُشخصه عند الأحياء
فهو احتمال الإصابة أو ترجيحها، فاحتمال الإصابة يعني بأنه يشتبه بمرض ألزهايمر إلا أن
الأسباب الأخرى للعته dementia غير مُستبعدة. أما ترجيح الإصابة فيعني بأن الطبيب قد
استبعد كل الأسباب الأخرى المُسببة للعته.
يمكن أن يكون التشخيص صحيحاً بنسبة 90%، ويُمكن للطبيب استعمال وسائل التشخيص
التالية للقيام بترجيح الإصابة بمرض ألزهايمر:
· تاريخ المريض الطبي.
· الفحص العصبي.
· الفحص الطبي والمخبري.
· التصوير المسحي للدماغ، كالرنين المغناطيسي، والتصوير الطبقي المحوري، وهذا يُساعد
في مُلاحظة التغيرات الدماغية (انظر الصورة).
· التقييم النفسي.
تُساعد نتائج الفحوص المذكورة الطبيب على معرفة الأسباب الأخرى التي أدت إلى حدوث
الأعراض التي يشتكي منها المريض. ففقدان الذاكرة لا يعني دوماً الإصابة بمرض ألزهايمر.
بحسب التقديرات فإن سبب فقدان الذاكرة، والارتباك، والعلامات الأخرى للعته عند حوالي 10-
15% من الأشخاص يعود إلى أمراض أخرى قابلة للشفاء، كبعض المشاكل الاستقلابية، أو
الاكتئاب، أو بعض التسممات الدوائية، أو مشاكل الغدة الدرقية، أو أمراض الأوعية الدموية، أو
الأورام الدماغية، أو نقص بعض الفيتامينات، وكلما كان التشخيص مُبكراً كانت معالجة هذه
الأمراض أسهل.
علاج مرض ألزهايمر
لا يوجد علاج شافٍ من مرض ألزهايمر، وتقوم الأدوية المتوفرة حالياً على تبطأته، وتخفيف علاماته وأعراضه، والمُساعدة على منع تطور بعض أعراضه نحو الأسوأ وذلك لمدة محدودة وعند المرضى في المراحل المُبكرة والمتوسطة منه. وقد جربت سابقاً المعالجة بحقن الحموض النووية للمريض لتخفيف ضمور الدماغ، كما جربت المداواة بالعقاقير الرافعة لدرجة حرارة المريض (الصدمات الحرارية المناعية) ولكن من دون جدوى، وقد تبين أن المعالجة الداعمة ببعض الڤيتامينات وتهدئة المريض بالأدوية المهدئة والمنومة أو التخدير في حالة الهياج الشديد والتشنج العضلي، ذات فائدة كبيرة، كما أن العناية النفسية بالمريض مهمة جداً لزيادة علاقة العليل بمحيطه وإشغال معظم وقته، وشد انتباهه وتركيزه للمحيط والبيئة التي حوله، والمراقبة الجيدة لوضعه مهمة جداً لئلا يؤذي نفسه أو من حوله ويعرض حياته للخطر. وأخيراً فإن العناية الطبية بالقروح الالتهابية والتغذية الجيدة ومعالجة الأمراض العضوية التي تصيبه مهمة جداً في محافظة المريض على نشاطه وتحسين وضعه بقدر الإمكان وتأخير دخوله في مرحلة الغيبوبة والحياة النباتية.
ويتضمن العلاج الأدوية التالية:
- مُثبطات الكولين إيستيراز Cholinesterase inhibitors: تتضمن هذه المجموعة الدونيبيزيل
 
donepezil ( الآريسيبت AriceptÒ)، والريفاستيغمين rivastigmine (إيكسيلون ExelonÒ)،
والغلانتامين galantamine (رازادين RazadyneÒ ). تعمل هذه الأدوية على تحسين مستوى
النقل العصبي في الدماغ.
دل البحث الذي نُشر في عدد إبريل (نيسان) عام 2005 من مجلة نيو إنجلاند الطبية، على أنّ
الآريسيبت AriceptÒ يعمل أيضاً، بالرغم من عدم وجود ما يُثبت ذلك، على تأخير بداية أعراض
المرض.
مؤخراً، أصبح الآريسيبت AriceptÒ أول دواء تُصادق عليه إدارة الغذاء والدواء الأمريكية FDA  
لمعالجة المرحلة المُتقدمة من مرض ألزهايمر.
يعتقد الباحثون بأن تأخير أو تبطيء مرض ألزهايمر يُعتبر خطوة هامة في محاربته. تتحسن
العلامات والأعراض عند ما يُقارب نصف المرضى الذين يتناولون مُثبطات الكولين إيستيريز.
- ميمانتين Memantine : صادقت إدارة الغذاء والدواء الأمريكية FDA على دواء الميمانتين
 
(ناميندا NamendaÒ) في أكتوبر (تشرين الأول) عام 2003، وهو الدواء الوحيد المُخصص لعلاج
المراحل المتوسطة إلى الحادة من المرض، ويبدو بأنّ هذا الدواء يعمل على تأخير فقدان القدرة
على القيام بالمهارات الحياتية اليومية، وهو يعمل على حماية خلايا الدماغ من الضرر الذي
يُسببه الناقل العصبي المُسمى غلوتاميت glutamate.
- الأدوية التي تتحكم بالأعراض السلوكية Behavioral Symptoms Control Medications:
 
تُساعد بعض الأدوية على التحكم الأعراض السلوكية المُصاحبة لمرض ألزهايمر كعدم القدرة
على النوم، والهيجان، والضياع، والقلق، والاكتئاب. إن مُعالجة هذه الأعراض يريح المرضى
ويُسهل عمل من يرعاهم.
العلاج
الأدوية
في 7 يونيو 2021، وافقت الجهات التنظيمية في الولايات المتحدة على أول علاج جديد لمرض ألزايمر منذ ما يقرب من 20 عامًا، مما يمهد الطريق لاستخدامه في بريطانيا. ويستهدف عقار أدوكانوماب السبب الأساسي لمرض ألزايمر، وهو الشكل الأكثر شيوعاً للخرف، بدلاً من استهداف أعراضه. ورحبت الجمعيات الخيرية الخاصة بالألزايمر بنبأ الموافقة على علاج جديد لهذه الحالة. لكن العلماء منقسمون حول تأثيره المحتمل بسبب عدم اليقين بشأن نتائج التجربة. [3]
العلاجات البديلة
يتم الإعلان عن عدة أدوية عشبية وبعض المُكملات الغذائية كعلاجات فعّالة لمرض ألزهايمر،
مثل متمم الأنزيم كيو10 Coenzyme Q10 أو اليوبيكوينون Ubiquinone، والجينكو بيلوبا
Ginkgo biloba، والحموض الدسمة أوميغا- 3 Omega-3 ، والهيوبيرزين أ Huperzine A (
مستخلص طحلبي صيني)، الكالسيوم المرجاني Coral calcium (مُستخلص من المرجان)،
فوسفاتايدايلسيرين Phosphatidylserine. وعلى الرغم من القيمة العلاجية الكبيرة التي
تملكها العلاجات المذكورة، فإن كثيراً من القلق موجود حول استعمالها كعلاج بديل للأدوية
العادية التي يصفها الطبيب أو إضافة إليها ، وذلك لعدم تحديد فعّاليتها العلاجية، ونقاؤها، ومدى
سلامتها، والأعراض الجانبية الناتجة عنها وتفاعلاتها مع الأدوية العادية.
الوقاية
لا سبيل للوقاية أو لتأخير بداية مرض ألزهايمر في الوقت الراهن. يأمل العلماء في تطوير لُقاح ضده، ويطمحون لإيجاد طريقة للتقليل من خطره. هناك طرق عدّة واعدة إلا أنها تُعتبر أولية
وتتضمن التالي:
- الشيخوخة الصحيّة : إن تحسين صحة القلب والأوعية، وتناول الأطعمة الخالية من الكوليسترول، والحرص على تناول الأدوية الغنية بالحموض الدسمة أوميغا-3، ممكن أن يُساعد في الوقاية.
 - مُضادات الالتهاب غبر الستيروئيدية NSAIDs: أظهرت عدة دراسات بأن تناول مُضادات الالتهاب غير الستيروئيدية يُمكن أن يُقلل من خطر تطور مرض ألزهايمر، حيث أن الالتهاب يلعب دوراً هاماً في تطور المرض على ما يبدو. تحتاج التجارب السريرية المُجراة كي تكتمل قبل أن يُبت في تناول هذه الأدوية كجرعات وقائية.
 
- مُضادات الأكسدة: تبحث عدة دراسات عن فعّالية مُضادات الأكسدة مثل الفيتامين سي vitamin C , و الفيتامين هـ vitamin E، والسيلينيوم Selenium، وحمض الألفا ليبويك alpha
 - lipoic acid، في تبطيء مرض ألزهايمر. على كل الأحوال، أظهر البحث الذي نشرته مجلة نيو إنجلاند الطبية بأن تناول الفيتامين هـ لا يفيد.
 - السيليجيلين Selegiline : يقوم العلماء بدراسة إمكانية استعمال السيليجيلين (إيلديبريل Eldepryl)، وهو دواء يُستعمل لمُعالجة مرض باركينسون Parkinson's disease ، في الوقاية ضد تطور مرض ألزهايمر.
 - الستاتينات Statins: تُخفض هذه المجموعة من الأدوية مستوى الكوليسترول في الدم، وقد اظهرت الدراسات الحديثة بأنها يمكن أن تُقلل من خطورة الإصابة بمرض ألزهايمر أيضاً. ويُجرى الآن المزيد من الدراسات التي تعمل على تحديد دور الستاتينات في الوقاية من هذا المرض.
 - الإيستروجين Estrogen: اقترحت دراسات سابقة بأن الإيستروجين قد يُوفر تأثيراً واقياً من مرض ألزهايمر، إلاّ أن أكثر الدراسات الحديثة فشلت في تأكيد التأثير الإيجابي للإيستروجين على السيدات المُصابات بألزهايمر. ولا تزال الدراسات جارية للنظر فيما إذا كان تناول الإيستروجين بُمكن أن يقي من حدوث المرض عند النساء ذوات الاستعداد الوراثي أو على الأقل يؤخر حدوثه.
 - الرياضة الذهنية: يعتقد بعض الباحثين بأن التمرين الذهني الدائم واستمرار التعلم يُمكن أن يُعزز من نمو روابط جديدة بين الخلايا العصبية مما يؤدي إلى تأخير بداية العته، ويعتقد آخرون بأن المستوى التعليمي المُتقدم قد يُساعد الشخص في تغطية الحالة إلى أجل مُعين.
 
أبحاث حديثة
في دراسة جديدة نشرتها مجلة ساينس، 23 يناير 2019، كشف العلماء عن دور المثقبة اللثوية، بكتريا شائعة تسبب التهاب اللثة في الإصابة بالألزايمر. ويبحث العلماء في سبل الوقاية من الإصابة بهذه البكتريا، وبصفة أساسية عن طريق الإهتمام بنظافة الأسنان، ومن ثم تخفيض نسب الإصابة بالألزيامر.[4]
حسب دراسة جديدة نشرتها مجلة نيتشر، السباحة والتمرينات الرياضية الأخرى تُفرز هرمون الإريسين الذي قد يحمي من خطر الإصابة بالألزايمر.[5]
هل يتعارض مرض ألزهايمر مع قيادة السيارة؟
قيادة السيارة عمل مُعقد يحتاج إلى القدرة على القيام بعدة أمور في آن واحد. وعندما يتم
تشخيص الحالة على أنها إصابة بمرض ألزهايمر، فهذا لا يعني بأن المريض قد فقد قدرته على
القيادة. على كلٍ، فإن هذا المرض قد يؤثر على عدد من القدرات التي تتطلبها القيادة الآمنة.
أظهرت الدراسات بأن نسبة الحوادث المرورية عند المُصابين بألزهايمر أو الأعراض الشبيهة به
أعلى منها عند غير المُصابين من نفس العمر.
إن القيادة غير الآمنة خطيرة على حياة السائق وحياة الآخرين.
هل يتعارض مرض ألزهايمر مع العمل؟
في حال تشخيص مرض ألزهايمر وكان المريض لا يزال يُمارس عمله، فهو يحتاج لاتخاذ قرار
الاستمرار في العمل وإلى متى.
حسب نوعية النشاط الذي يتطلبه العمل، فقد يتمكن المريض من الاستمرار أثناء المرحلة
الأولى من المرض، وطالما كان قادراً على ذلك وطبيبه يعتقد بأنه لا يزال قادراً على القيام به.
ولكن إذا كان العمل من النوع الذي يكون فيه الخطأ خطيراً على حياته أو حياة الآخرين فيجب
عليه التفكير جدياً في التوقف عنه أو تغييره. للمزيد من المعلومات انظر المرجع رقم13.
ما هو دور الشخص الذي يُقدم الرعاية لمريض ألزهايمر؟
يلعب الشخص الذي يُقدم الرعاية دوراً هاماً في حياة المُصاب، ويجب أن تعلم بأنه لا توجد
طريقة واحدة لتقديم هذه الرعاية، فالمسؤوليات تتأرجح بين القيام بأمور هامّة كاتخاذ القرارات
المالية، أو إدارة التبدلات السلوكية للمريض، أو القيام بمساعدة المريض الذي تُحبه في أبسط
الأمور الحياتية كارتداء ملابسه مثلاً. إن القيام بهذه الواجبات أمرٌ صعبٌ، ولكن مع تعلم المهارات
المُتعلقة برعاية المُصاب، يُمكنك أن تكون مُتأكداً بأن المريض الذي تُحبه وبمساعدتك يستطيع
أن يشعر بالدعم ويحيا الحياة كاملة. وعليك أن تحرص على الاهتمام بنفسك أيضاً وتتخذ
الخطوات اللازمة للمحافظة على عيش رغيد.
لقاح ألزايمر أثبت فعالية في الفئران
طوكيو: قال مدير معهد أبحاث يشرف على مشروع لعلاج مرض ألزايمر إن علماء يابانيين توصلوا الى لقاح يؤخذ عن طريق الفم لعلاج مرض ألزايمر أثبت فاعليته على الفئران.
وقال تاكيشي تابيرا مدير المعهد الوطني لعلوم الشيخوخة في ايتشي في وسط اليابان إن فريق الباحثين يستعد للانتقال الى تجربة اللقاح اكلينيكيا على نطاق ضيق على البشر ربما هذا العام.
وقال تابيرا "نأمل أن تسير تجارب المرحلة الاولى على ما يرام." وأردف قوله "تستطيع الحيوانات أن تستعيد وظائفها عقب ظهور الاعراض عليها لكن البشر أقل قدرة على ذلك. ربما يبدو أن هذا (اللقاح) لا يؤثر الا في المراحل الاولى من المرض عندما تكون الاعراض بسيطة."
وعندما اعطي اللقاح لفئران تعاني من المرض الذي يسبب العته ولا يوجد له علاج حاليا أدى الى تحسن وظائف المخ.
وبات ألزايمر مشكلة متنامية تؤرق الطاعنين في السن في جميع أنحاء العالم. وقالت رابطة ألزايمر في تقريرها الاسبوع الماضي ان المرض يؤثر على خمسة ملايين نسمة في الولايات المتحدة وحدها.
وقال تابيرا إن العلاج لم يسبب التهابا أو نزيفا في مخ الفئران.
وجرى اختبار العلاج على 28 فأرا معدلة جينيا بحيث تصاب بمرض ألزايمر. وأعطيت نصف الفئران جرعة من اللقاح عند عمر عشرة أشهر بينما لم تعط المجموعة القياسية أي علاج.
وأثبتت التجارب التي أجريت على الفئران بعد ذلك بثلاثة أشهر أن وظائف المخ في الفئران التي تلقت العلاج قد عادت الى مستويات أقرب ما تكون لتلك التي كانت عليها قبل ظهور أعراض ألزايمر.
علاج
حصلت شركة الأدوية الأميركية "بيوجين" على موافقة إدارة الغذاء والدواء الأميركية لاستخدام عقار "أدوكانوماب" المثير للجدل لعلاج مرض ألزهايمر، وهو قرار تاريخي سيغير بشكل كبير طريقة علاج تدهور حالة المخ.
وذكرت وكالة بلومبرگ للأنباء أنه بعد فشل العديد من الأبحاث التي أجرتها شركات الأدوية على مدار عقود لاكتشاف علاج لمرض ألزهايمر، أصبح "أدوكانوماب" أول عقار يحصل على موافقة إدارة الغذاء والدواء الأميركية لاستخدامه في إبطاء التراجع في القدرات الإدراكية لدى مرضى ألزهايمر.
يذكر أن هذا الدواء القائم على الأجسام المضادة الذي سيتم تسويقه تحت الاسم التجاري "أدوهلم"، يعمل عن طريق إزالة بروتين الأميلويد، وهو بروتين ضار يسبب تخثراً في أدمغة مرضى ألزهايمر.
وأوضحت "بلومبرگ" أن المرة الأخيرة التي تمت فيها الموافقة على استخدام عقار جديد لمرض ألزهايمر كانت عام 2003، مشيرة إلى أن العلاجات المتاحة في الأسواق تساعد في علاج الأعراض لكنها لا تخفف الضرر الأساسي للمرض.
وأعلنت إدارة الغذاء والدواء الأميركية في بيان لها أمس أنها وافقت على استخدام عقار «أدوكانوماب» لعلاج ألزهايمر. وقالت: "بالنظر إلى أن العقار يفي بمتطلبات الموافقة العاجلة، خلصنا إلى أن فوائد أدوهلم للمصابين بمرض ألزهايمر تفوق مخاطره".[6] في 21 يونيو 2021 حصل "مارك أركامبولت"، في سن ال70، على العلاج وهو أول مريض في العالم يحصل عليه.
وتتضارب الأضرار حول فعالية الدواء، فيقول البعض أن أضراره أكثر من فوائده، فحين يقول أخرون أنه يبطئ التدهور المعرفي للمرض. الجدير بالذكر أن متوسط تكلفة الدواء سنويًا تبلغ 56000 دولارًا.[7]
لكانماب
تخطط شركة إيساي اليابانية للحصول على الموافقة الكاملة على عقار "لكانماب" (lecanemab) التجريبي لمرض ألزايمر في الولايات المتحدة وأوروبا واليابان مستدلة ببيانات تظهر أنه يمكن أن يبطئ مرض هزال الدماغ للأشخاص الذين يعانون من أعراض مبكرة، ويحتمل أن يحصلوا على العلاج مرضى العام المقبل.
لا يزال من غير الواضح إلى أي مدى سيتم استخدام الدواء الذي تم تطويره باستخدام عن طريقة شركة التكنولوجيا الحيوية الأمريكية بيوجين بسبب عدم اليقين بشأن التغطية التأمينية، بما في ذلك خطة الحكومة الأمريكية للرعاية الطبية للأشخاص الذين تزيد أعمارهم عن 65 عامًا، والآثار الجانبية المحتملة والتكلفة.
قال أحد المحللين في وال ستريت إنه لا يعتمد على مبيعات قابلة للقياس حتى عام 2024. وقد يصل سعره غلاج لكانماب إلى حوالي 20000 دولار في السنة.
أكدت شركة إيساي في 29 نوفمبر أن عقار لكنماب - وهو جسم مضاد مصمم لإزالة الرواسب اللزجة من بروتين يسمى أميلويد بيتا من الدماغ - يقلل من معدل التدهور المعرفي على مقياس الخرف السريري بنسبة 27% مقارنة مع العلاج الوهمي. كما قدم تفاصيل جديدة عن الآثار الجانبية بما في ذلك نوع خطير من تورم المخ ونزيف في المخ.
تقدمت الشركتان بالفعل بطلب للحصول على موافقة سريعة من إدارة الغذاء والدواء الأمريكية وتتوقع صدور قرار بحلول 6 يناير. ستسمح البيانات الجديدة لهم بالتقدم للحصول على الموافقة الكاملة في غضون أيام من هذا القرار، حسبما قال الرئيس التنفيذي لشركة إيساي في الولايات المتحدة، إڤان تشيونگ، في مقابلة.
قال الدكتور باباك توسي، أخصائي أمراض الشيخوخة والأعصاب في كليفلاند كلينك: "الدواء مخصص فقط للأشخاص في المراحل المبكرة جدًا من مرض ألزايمر". هؤلاء هم الأشخاص الذين يعانون من بعض ضعف الذاكرة ولكن لا يزال بإمكانهم المشاركة في الأنشطة اليومية مثل إدارة الشؤون المالية والأدوية وإعداد وجبات الطعام والقيادة. وقال "هذه مجموعة انتقائية صغيرة جدًا جدًا".[8]
انظر أيضاً
- خرف
 - Vascular dementia
 - Other major neurodegenerative diseases including Parkinson's disease, Huntington's disease, and amyotrophic lateral sclerosis
 - Diseases included in the differential diagnosis of Alzheimer's, including dementia with Lewy bodies, frontotemporal dementia, familial Alzheimer disease, and multi-infarct dementia
 - Proteopathy
 - Information on the molecular pathogenesis of Alzheimer's disease, including amyloid beta, beta-secretase, and tau protein
 - Articles related to memory, including memory and aging, dementia, and amnesia
 - New approach concerning the diagnosis and therapy of protein-misfolding diseases
 - Related societies, organiztions and publications:
- Alzheimer's Association, based in the United States
 - Alzheimer Disease International, based in the United Kingdom
 - Alzheimer's Society, based in the United Kingdom
 - Alzheimer Society of Ontario, based in Ontario, Canada
 - National Institute on Aging, a division of the U.S. National Institutes of Health
 - Journal of Alzheimer's Disease
 
 
المصادر
http://www.elaph.com/ElaphWeb/Health/2007/3/222380.htm
- ^ "الخرف وداء الزهايمر". الموسوعة العربية. 2007.
 - ^ "يستغرق 10 دقائق.. اختبار يمكن أن يساعدك في اكتشاف مرض الزهايمر مبكرًا". المصري اليوم لايت. 2022-07-10. Retrieved 2022-07-11.
 - ^ "الزهايمر: الولايات المتحدة توافق على أول دواء جديد للمرض منذ 20 عاما". بي بي سي. 2021-06-07. Retrieved 2021-06-09.
 - ^ "A Common Gum Infection Bacteria May Also be Causing Alzheimer's". مجلة ديسكڤري. 2019-01-23. Retrieved 2019-02-06.
 - ^ "A Hormone Produced When We Exercise Might Help Fight Alzheimer's". مجلة ديسكڤري. 2019-02-12. Retrieved 2019-02-17.
 - ^ "ترخيص تاريخي لعقار يعالج ألزهايمر في أميركا". الشرق الأوسط. 2021-06-08. Retrieved 2021-06-09.
 - ^ "أمل جديد.. تعرف على «مارك أركامبولت» أول رجل في العالم يحصل على علاج ألزهايمر". الرجل. 2021-06-21. Retrieved 2021-06-21.
 - ^ "Eisai, Biogen Alzheimer's drug could be available to some next year". رويترز. 2022-11-30. Retrieved 2022-12-02.
 
ڤيديو
وصلات خارجية
- Alzheimer's Association - a multimillion-dollar non-profit organization pursuing advancements in Alzheimer research and care.
 - Alzheimer's Information Center
 - CRAM (Cue-Recalled Autobiographical Memory) Test
 - Stay sharp with brain puzzles from Infoaging.org
 - Researchers Gain New Insights into the Aging Brain
 - Alzheimer Society of Canada - works to improve the quality of life for Canadians affected by AD and advance the search for a cure. The Society's website contains information on Alzheimer's disease, care, research, news and events and also provides a user messageboard.
 - Alzheimers Society - UK Alzheimers organisation
 - Alzheimer's Research Foundation - The Fisher Center For Alzheimer's Research Foundation. Nobel Prize Winning Alzheimer's Disease Research.
 - Alzheimer's Research Forum - A website intended to provide information to and foster collaboration among scientists and physicians conducting research on Alzheimer's. Features debates between and article annotations by many top Alzheimer's researchers
 - AlzOnline - AlzOnline provides education, information, and support to persons caring for someone with Alzheimer's disease or a related memory problem.
 - National Institute on Aging - Substantial website by a division of the U.S. National Institutes of Health with links to information about ongoing clinical studies
 - Information and Resources Regarding Alzheimer's Disease and Dementia
 - Alzheimer's Disease Research Centers - Links to each of the NIH-funded centers of excellence for Alzheimer's disease located at academic medical centers scattered throughout the U.S.
 - OMIM - Running, highly technical synopsis of research on Alzheimer's disease maintained by the NIH
 - Alzheimer's Daily Newsletter - Provides links to news on the social, political, and scientific issues around Alzheimer's.
 - Journal of Alzheimer's Disease - Subscription required for full text
 - Brain Health Roadmap by CDC and Alzheimer's Association - an article on their joint initiative
 - eMedicine - Well-organized article on Alzheimer's
 - Ludwig-Maximilians-University Munich - Laboratory for Neurodegenerative Disease Research, Prof. Dr. Christian Haass
 - Bibliography of secondary sources on Alois Alzheimer and Alzheimer's disease, selected from peer-reviewed journals.
 - Alzheimer's disease page at hipocampo.org (Spanish)
 
