نزيف سحائي
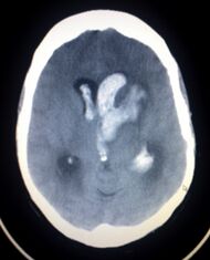
| CT scan of a spontaneous intracranial hemorrhage | |
| ICD-10 | I60.0-I62., S06. |
| ICD-9 | 430-432, 850-854 |
| DiseasesDB | 6870 |
| MedlinePlus | 000796 |
| eMedicine | neuro/177 |
| MeSH | D020300 |
النزف السحائي Intracranial hemorrhage هو النزف الذي يحدث بين الطبقات السحائية، وهي ثلاث طبقات تحيط بالدماغ والنخاع الشوكي، وتقع بينهما وبين البنى العظمية المحيطة بهما (الجمجمة والقناة الفقرية). والطبقات السحائية من الخارج إلى الداخل هي: الجافية dura، والعنكبوتية arachnoid، والحنونية pia.[1]
التصنيف
تقسم النزوف ضمن هذه الطبقات إلى أنواع رئيسة ثلاثة (وهي من الخارج إلى الداخل):
النزف فوق الجافية
مقالة مفصلة: نزف فوق الجافية
النزف فوق الجافية هو نزف يحصل بين الجمجمة والجافية (الطبقة الخارجية من السحايا).
يحدث هذا النوع من النزف في نحو 1% من المرضى الذين يدخلون المشفى بسبب رضّ دماغي، وينتج عادة من حدوث كسر في المنطقة الصدغية الجدارية من الجمجمة. مما يؤدي إلى تمزق الشريان السحائي المتوسط وحدوث النزف. وفي قلة من الحالات يكون منشأ النزف من الأوردة (وليس الشرايين) السحائية.
- الأعراض
يحدث في الحالات الوصفية فقدان وعي عابر بعد الرضِّ الدماغي، ومن ثم يستعيد المريض وعيه وتجاوبه مدة عدة ساعات، وبعدها يعود الوعي إلى التدهور مع حدوث ضعف شقي مقابل واتساع في حدقة العين في الجانب الموافق للنزف. وجدير بالذكر أن هذه الأعراض التقليدية تحدث على هذا النحو في 10ـ 25% من الحالات فقط. ومن الأعراض الأخرى الصداع والإقياء والاختلاجات. قد تؤدي الحالة إلى الوفاة نتيجة انضغاط مراكز دماغية حساسة (كتلك المسؤولة عن التنفس) إن لم يعالج النزف.
- التشخيص
قد تبدي الصورة البسيطة للجمجمة وجود كسر. لكن الاختبار الأمثل للتشخيص هو التصوير الطبقي المحوري للدماغ CT.scan، فهو يُظهر النزف على شكل منطقة عالية الكثافة محدبة من الجهتين ومحاذية للجمجمة.
- العلاج
تستعمل أحياناً الأدوية التي تخفف الوذمة والانضغاط الدماغي (مثل الستيروئيدات) [ر. الوذمة الدماغية]، أما التدبير الأساسي في الحالات الحرجة فهو الجراحة العاجلة، وفيها يتم تفريغ النزف وتخثير المناطق النازفة وغيرها من الإجراءات في أثناء العمل الجراحي، لمنع إعادة تجمع الدم والسوائل.
- الإنذار
تقدر نسبة الوفيات بنحو 20ـ 55%. وتنخفض هذه النسبة في حال التشخيص والمعالجة العاجلين إلى 5 ـ10%.
النزف تحت الجافية
مقالة مفصلة: نزف تحت الجافية
النزف تحت الجافية وفيه يتجمع الدم بين الجافية والدماغ. وهو أكثر شيوعاً من النزف فوق الجافية بنحو 10 مرات. ويحدث عادة عندما يؤدي رضّ دماغي إلى تمزق أحد (أو بعض) الأوردة التي تعبر الفراغ تحت الجافية. ومن العوامل المؤهبة لحدوث هذا النوع من النزف وجود ضمور دماغي أو انخفاض الضغط داخل القحف (إذ تؤدي هاتان الحالتان إلى تمطط الأوردة في الفراغ تحت الجافية مما يجعلها أكثر عرضة للتمزق)، ومن العوامل الأخرى اضطرابات التخثر والكحولية.
- الأعراض
تميل الأعراض إلى أن تكون غير نوعية، فهي تتأثر فيما إذا كان النزف حاداً أو مزمناً. ومن الأعراض: الصداع واضطراب بدرجة الوعي، واضطرابات التركيز والذاكرة، وأعراض موضّعة (كضعف أحد شقي الجسم والاختلاجات البؤرية) وغير ذلك.
- التشخيص
يعتمد رئيساً على تصوير الدماغ (التصوير الطبقي المحوري والرنين المغنطيسي MRI)، وفيه يظهر النزف عادة على شكل تجمع هلالي بين الجمجمة والدماغ.
- العلاج
يختلف العلاج باختلاف حجم النزف وسرعة تشكله والأعراض الناتجة منه. ففي بعض حالات النزف المزمن قد تكفي المعالجة الدوائية (مثل إعطاء مضادات الاختلاج، وإيقاف مميعات الدم)، أما في حالات أخرى مثل النزف تحت الجافية الحاد الذي تزيد سماكته عن سنتمتر واحد فينبغي تفريغه جراحياً.
النزف تحت العنكبوتية
مقالة مفصلة: نزف تحت العنكبوتية
النزف تحت العنكبوتية فيه يحدث النزف ضمن الطبقة السحائية العنكبوتية. وأكثر الأسباب شيوعاً هو رضوض الدماغ، أما حالات النزف غير الرَّضِّيّ فتنتج عادة من انفجار أم دم aneurysm (وهي توسع كيسي غير طبيعي في شريان أو أكثر). ومن الأسباب الأخرى التشوهات الشريانية الوريدية، والتهاب الأوعية، وتسلخ الشرايين، واعتلالات التخثر، وخثار الجيوب الوريدية، وفقر الدم المنجلي، وتمزق شريان سطحي صغير. ويبقى السبب مجهولاً في نحو 14ـ22% من الحالات. وفيما يأتي نبذة عن النزف تحت العنكبوتية الناتج من أمهات الدم لكونه الأهم بينها.
- الأعراض
أهم الأعراض الصداع، وعادة ما يكون فجائياً وشديداً وكثيراً ما يترافق بالغثيان والإقياء والانزعاج من الضياء، والآلام في العنق. ومن الأعراض الأخرى حدوث إصابات بالأعصاب القحفية (ولاسيما الأعصاب المحركة للعين) وآلام أسفل الظهر.
- التشخيص
يعتمد بصفة رئيسة على تصوير الدماغ، ومن أكثر طرق التصوير استعمالاً التصوير الطبقي المحوري (الشكل 3)، وبدرجة أقل المرنان المغنطيسي. وجدير بالذكر أن تصوير الدماغ قد يخفق في إظهار النزف في نحو 5% من المرضى، وفي هذه الحالة يمكن اللجوء إلى استقصاء آخر هو البزل القطني للسائل الدماغي الشوكي. وتظهر دراسة السائل وجود أعداد كبيرة من الكريات الحمر، مما يثبت حدوث النزف.
- العلاج
يعدّ النزف تحت العنكبوتية حالة إسعافية، ويؤدي إلى الوفاة في نحو نصف المرضى (وذلك في الحالات الناتجة من أم دم).
يتم عادة قبول المرضى في وحدة العناية المشددة لمراقبة ضغط الدم، وإعطاء السوائل الوريدية والأدوية المسكنة والمضادة للاختلاجات والمضادة للوذمة الدماغية (حسب الحالة)، وكذلك الأدوية المضادة للتشنج الشرياني (فقد يؤدي النزف إلى حدوث تخريش وتضيق في شرايين الدماغ مما قد يسبب حدوث نقص تروية دماغية)، أما العلاج الأساسي لمنع تكرار النزف فهو معالجة التشوه الوعائي في حال وجوده.
المصادر
- ^ محمد قتيبة الصفدي. "النزف السحائي". الموسوعة العربية. Retrieved 2011-05-23.
وصلات خارجية
- McCaffrey P. 2001. "The Neuroscience on the Web Series: CMSD 336 Neuropathologies of Language and Cognition." California State University, Chico.
- Orlando Regional Healthcare, Education and Development. 2004. "Overview of Adult Traumatic Brain Injuries." Retrieved on January 16, 2008.
- Shepherd S. 2004. "Head Trauma." Emedicine.com.
- Vinas FC and Pilitsis J. 2004. "Penetrating Head Trauma." Emedicine.com.