عقدة لمفية

(تم التحويل من عقدة لمفاوية)
Eyad
ساهم بشكل رئيسي في تحرير هذا المقال
'
Illu lymph node structure.png
A lymph node showing afferent and efferent lymphatic vessels
Lymphknoten (Schwein).jpg
Lymph node, showing (1) capsule, (2) subcapsular sinus, (3) germinal centers, (4) lymphoid nodule, (5) trabeculae.
Details
Identifiers
اللاتينيةnodus lymphoideus
MeSHD008198
TA98A13.2.03.001
TA25192
FMA5034
المصطلحات التشريحية
صورة عقدة لمفية من الموسوعة البريطانية

العقد اللمفية Lymph Nodes، أحد أقسام الجهاز الوعائي اللمفي الذي يجمع السائل اللمفي من أنسجة البدن وأعضائه ليعيده إلى القلب بوساطة القناة الصدرية. تؤلف العقد اللمفية سلسلة على مسير الأوعية اللمفية، ويتكون متنها (لُحْمَتُهَا) parenchyma من تراكمٍ منظمٍ للنسيج اللمفي الذي يتعرف المستضدات antigens التي ترشح إلى العقد وتحرضها على تكوين الأضداد antibodies المناعية. إن العقد مملوءة بالخلايا البالعة macrophages التي تخلص اللمف من الخلايا غير المرغوب فيها، ومن الجراثيم والمواد الضارة كمركبات ثاني أكسيد الكربون التي تجعل العقد تأخذ لوناً يضرب إلى السواد. [1]

العقدة اللمفية وتظهر فيها منطقة القشر ومنطقة اللب مع المحفظة والحجب الضامة ودخول الأوعية اللمفية وخروجها.

تشاهد أعداد كبيرة من العقد اللمفية على شكل مجموعات تتوزع في البدن بالقرب من الفقرات، وعلى طول الأوعية الدموية الكبيرة في جَوْفَي الصدر والبطن، وفي المساريق mesenteries وفي النسيج الضام الرخو للعنق والإبط والمغبن. تأخذ العقدة اللمفية شكلاً بيضوياً يشبه حبة الفاصولياء يراوح قطره بين 1ـ 25مم، وله سطح محدب يتقعر في منطقة السرَّة hilus التي تدخل منها الأوعية الدموية وتخرج الأوعية اللمفية الصادرة والأوعية الدموية. أما الأوعية اللمفية الواردة فتدخل إلى العقدة مخترقةً محيطها من مواقع عدة وليس من سُرَّتها مما يميز العقدة اللمفية من غيرها من الأعضاء التي تدخل وتخرج من سرتها الأوعية المختلفة.

تأخذ العقد اللمفية شكل حبة الفاصولياء يصل طولها إلى سنتمتر واحد، وتتواجد في مناطق هامة من جسم الإنسان (الإبط والفخذ والعنق والبطن ومنطقة الحوض والصدر ...الخ) ٬ لا أحد يعرف عددها بالضبط لكنه يقدر بـ 100 عقدة لمفية في الجسم كله من الرأس حتى القدمين وقد يزداد عددها عند الالتهابات لتتمكن من أداء واجبها على أكمل وجه يبلغ وزنها الإجمالي 600-700 غرام.

تحاط العقد اللمفية بمحفظة ضامة تزداد ثخانة في منطقة السرة، وتتألف من ألياف غرائية colloidal ضامة وقليلٍ من الألياف المرنة وأليافٍ عضلية ملساء، كما تتفرع لفروع عدة تدعى الحجب trabeculae تدخل العقدة لتقسمها إلى مساكن عدة غير متساوية.

تستر هذه الحجب ببشرة بطانية endothelium، ويتوضع بين الحجب ولُحْمَة العقدة أعداد هائلة من الألياف والخلايا الشبكية reticular cells محدثة منظراً شبكياً تتمركز في فتحاته الخلايا اللمفية والخلايا المصورية cells plasma والبالعات.

الوظيفة

تعتبر العقد اللمفاوية مقر تخزين وتكاثر للخلايا المناعية ولها دور مهم مع الجهاز اللمفي في نقل وتشكيل كريات الدم البيضاء وخصوصا اللمفاويات التائية والبائية.وهي أيضا محطات تصفية وتنقية للدم الوارد من الأنسجة والحامل لبقايا الالتهاب والخلايا الميتة.

وتعود خطورة مرض نقص المناعة المكتسب (الإيدز) إلى أن الفيروس المسبب لهذا الخمج يدمر الخلايا التائية T فتتدنى مناعة البدن ويتمكن المرض من غزوه والقضاء عليه. لا تُجس العقد اللمفية عادة لصغر حجمها إلا في حالات النحول الشديد، أو حين تضخمها المرضي، حتى إنه يمكن رؤيتها في عقد العنق حينما تصاب بالسل العقدي (داء الخنازير) scrofula وكذلك في داء كثرة الوحيدات mononucleosis. وتشاهد في بعض الإصابات المتقيحة، فأي جرح متقيح في اليد يترافق مع ضخامة عقدية تحت إبط الطرف المصاب. تتراجع الضخامة العقدية الالتهابية بعد المعالجة مع احتمال بقاء بعض ندبات ليفية، وقد تتكلس أحياناً كاملة، كما هي الحال في السل العقدي. ومن الضخامات الأخرى الضخامة الورمية، وتكون إما بدئية عند الإصابة باللمفوما lymphoma أو انتقالية metastases لسرطان في أحد الأعضاء. فسرطان الثدي ـ مثلاً ـ يترافق بضخامة عقد الإبط المجاور للثدي المصاب، وتبدو عند فحصها مجهرياً أنها فقدت تركيبها النسيجي الذي دمرته الخلايا الورمية.

التركيب

Schematic diagram of lymph node showing the flow of lymph through the lymph sinuses. Note: Outflowing lymph has more lymphocytes

تُمَيَّزُ في العقد تحت المجهر منطقتان: محيطية وتدعى القشر cortex، ومركزية وتدعى اللب medulla. أما القشر فيتألف من مساكن عدة مختلفة في حجمها وشكلها، يفصل بعضها عن بعض الحجب الضامة، ويتوضع في داخلها على شكل أجربة أو عقيدات nodules مجموعات خلوية لمفية تتكثف بشدة في محيطها وتقل في مركزها، ليظهر في شكل نير، ويدعى بالمركز النتوج germinal center، وتُشاهد فيه خلايا أرومة اللمفاوية lymphoblast وخلايا لمفية lymphocyte وخلايا مصورية، وتحوي جميعها الأضداد، وتُشاهد أيضاً البالعات. تكون خلايا العقيدات اللمفية القريبة من محيط القشر من نوع البائية B، وأما التي تكون قريبة من باطن القشر فتكون من نوع التائية T. إن هذا النوع الأخير من الخلايا اللمفية لا يصنع في العقد، بل في نقي العظام، ثم ينتقل إلى التوتة (التيموس)، وفيها يتم نضجه، ثم ينتقل عن طريق الدم إلى العقد اللمفية والطحال.

القشرة

تفصل العقيدات عن الحجب الضامة مسافات تدعى الجيوب القشرية cortex sinus، تمتد لمنطقة اللب، وتتفرع هناك وتتصل مع محيط العقدة بجيوب ما تحت المحفظة subcapsular sinus. يجري في هذه الجيوب السائل اللمفي الوارد عن طريق الأوعية اللمفية الواردة إلى سطح العقدة، ماراً بالمنطقة القشرية، دافعاً الخلايا اللمفية وما تحمله من أضداد إلى المنطقة اللبية، حيث تتشكل الأوعية اللمفية الصادرة لتخرج مع ما تحمل من السُّرَّة.

اللب

إن المنطقة اللبية أقل كثافة من القشر، ويغلب على عناصرها الخلوية شكل حبال تتداخل مع التركيب الشبكي للألياف والخلايا الشبكية، والفروع الدقيقة الانتهائية للحجب الضامة.

الشكل والحجم

الدورة اللمفية

التوزيع

Regional lymph tissue

الرأس والرقبة

  • Cervical lymph nodes
  • Tonsillar OR Sub-mandibular: These nodes are located just below the angle of the mandible, along the underside of the jaw on either side. They drain the tonsillar and posterior pharyngeal region, including the structures in the floor of the mouth and the maxillary anterior, bicuspid and 1st and 2nd molars. They also drain all of the mandibular teeth except the central incisors.

Retropharyngeal: Drains lymph from the soft palate and the 3rd molars.

  • Sub-mental: These nodes are just below the chin. They drain the central incisors and midline of lower lip and tip of the tongue.
  • Supraclavicular lymph nodes: These nodes are in the hollow above the clavicle, just lateral to where it joins the sternum. They drain a part of the thoracic cavity and abdomen. Virchow's node is a left supraclavicular lymph node that receives the lymph drainage from most of the body (especially the abdomen) via the thoracic duct and is thus an early site of metastasis for various malignancies.

الصدر

  • Lymph nodes of the lungs: The lymph is drained from the lung tissue through subsegmental, segmental, lobar and interlobar lymph nodes to the hilar lymph nodes, which are located around the hilum (the pedicle, which attaches the lung to the mediastinal structures, containing the pulmonary artery, the pulmonary veins, the main bronchus for each side, some vegetative nerves and the lymphatics) of each lung. The lymph flows subsequently to the mediastinal lymph nodes.
  • Mediastinal lymph nodes: They consist of several lymph node groups, especially along the trachea (5 groups), along the esophagus and between the lung and the diaphragm. In the mediastinal lymph nodes arises lymphatic ducts, which draines the lymph to the left subclavian vein (to the venous angle in the confluence of the subclavian and deep jugular veins).

The mediastinal lymph nodes along the esophagus are in tight connection with the abdominal lymph nodes along the esophagus and the stomach. That fact facilitates spreading of tumors cells through these lymphatics in cases of cancers of the stomach and particularly of the esophagus. Through the mediastinum, the main lymphatic drainage from the abdominal organs goes via the thoracic duct (ductus thoracicus), which drains majority of the lymph from the abdomen to the above mentioned left venous angle.

الذراعان

  • Supratrochlear glands: Situated above the medial epicondyle of the humerus, medial to the basilic vein, they drain the C7 and C8 dermatomes.
  • Deltoideopectoral glands: Situated between the pectoralis major and deltoid muscles inferior to the clavicle.
  • Lateral glands
  • Anterior or pectoral glands
  • Posterior or subscapular glands
  • Central or intermediate glands
  • Medial or subclavicular glands

الأطراف السفلية

علم الأمراض

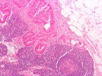
Micrograph of a mesenteric lymph node with colorectal adenocarcinoma, the most common type of colorectal cancer.

معرض الصور

انظر أيضا

المصادر

  1. ^ مصطفى مسرابي. "العقدة اللمفية (تشريح وفيزيولوجية ـ)". الموسوعة العربية. Retrieved 2012-01-16.

وصلات خارجية