خصية
| ' | |
|---|---|
![]() الجهاز التناسلي الذكري البشري والبنيات المجاورة | |
| Details | |
| الشريان | الشريان الخصوي Testicular artery |
| الوريد | الوريد الخصوي Testicular vein, الضفيرة المحلاقية Pampiniform plexus |
| Nerve | الضفيرة المنوية Spermatic plexus |
| لمف | عقد لمفية قَطَنية Lumbar lymph nodes |
| Identifiers | |
| اللاتينية | testis |
| MeSH | D013737 |
| TA98 | A09.3.01.001 |
| TA2 | 3576 |
| FMA | 7210 |
| المصطلحات التشريحية | |
تتكون الخصية من أنيبيبات منوية، توجد فيما بينهما خلايا بينيه تفرز هرمون التستوستيرون، و يوجد داخل كل أنيببة منوية خلايا تسمى خلايا سرتولى تفرز سائل يعمل على تغذية الحيوانات المنوية داخل الخصية و يعتقد أن لها وظيفة مناعية أيضاً. توجد خلايا مبطنة لكل أنيببة منوية تسمى خلايا جرثومية أمية (2ن) تنقسم هذه الخلايا وتكون في النهاية الحيوانات المنوية. كل هذا موجود داخل ما يعرف بكيس الصفن الذى يتدلى خارج تجويف البطن، وقد انتقلت الخصيتان إليه خلال أشهر الحمل الأولى، و بقائهما في هذا الوضع يجعل درجة حرارتهما أقل من درجة حرارة الجسم بما يناسب عملية تكوين الحيوانات المنوية. وتظل الخصى ضمن الجسم طوال العمر في جميع الفقريات الأدنى من الجرابيات marsupials، وكذلك في الفيل والحوت، وتبقى كذلك في بعض الثدييات كالقوارض والخفاش والإبل في فصل السكون التناسلي، وتهجر إلى ضمن الصفن في موسم التناسل. أما في الجرابيات، وفي الثدييات العليا، بما فيها الإنسان، فإن الخصى تظل خارج الجسم محاطة بكيس الصفن الذي يتكون من الجلد المحيط بجزء من الصِفاق peritoneum.
تُنتج الخصيتان الحيوانات المنوية والهرمونات، أهمها التستوسترون. كل خصية منفصلة عن الأخرى، وقبل الولادة بقليل، تهاجر الخصيتان من التجويف البطني إلى كيس الصفن Scrotum. يحافظ كيس الصفن على درجة حرارة الخصيتين إلى 4-5 درجات أقل من حرارة الجسم. هذه الحرارة المنخفضة ضرورية جداً للإنطاف (إنتاج الحيوانات المنوية) Spermatogenesis، ويتم الحفاظ على هذه الدرجة المنخفضة عن طريق انقباض وارتخاء عضلات في جدار كيس الصفن. لذلك، عند انخفاض درجة الحرارة (في الجو البارد)، وبسبب انقباض عضلات كيس الصفن، ترتفع الخصيتان إلى أعلى قريباً من الجسم، وفي الجو الحار، ترتخي العضلات.
إن عدم قُدرة الخصيتين على النـزول أو الوصول إلى كيس الصفن، يؤدي إلى حالة "اختفاء الخصية" Cryptorchidism وهذا يُعيق عملية الإنطاف، ولا يتأثر إنتاج هرمون التستوسترون بحالة اختفاء الخصية. الحرارة العالية داخل جسم الحيوان هي المسئولة عن توقف الإنطاف، وهذه الثيران تُعتبر عقيمة. إذا نزلت خصية واحدة إلى كيس الصفن، يكون إنتاج الحيوانات المنوية نصف الكمية، وتكون الخصوبة تقريباً طبيعية. لكن حالة اختفاء الخصية المتوحد الجانب Unilateral Cryptorchidism يجب أن يُعدم لأن هذه الصفة يمكن أن تكون وراثية.
تكوين الخصية
تُنتَج الحيوانات المنوية عن طريق انقسامين إنتصافيين Meiotic للخلايا الإنتاشية Germ cells والتي تُبطن نُبيبات ناقل المني Seminiferous tubules الملتوية الموجودة في الخصية. بلغ طول خصية الثور (الشكل 1) نحو 10ـ12سم، وعرضها 5ـ7سم، وتزن نحو 300 ـ 400 غرام، وهي عمودية الاتجاه. يصل طول نُبيبات ناقل المني إلى 5 كيلومترات في الثور وهي تُمثل الجزء الأكبر للخصيتين. موجودة ضمن فصوص «حجرات» مكونة من امتدادات من الغِلالة البيضاء، ومحتوية على خلايا تناسلية في مراحل مختلفة من العمر والتمايز الخلوي (ظِهارة إنتاشية germinal epithelium، منسليات منوية spermatogonia، خلايا نطفية (منوية) spermatocytes ابتدائية وثانوية، ومنويات (أرومات النطاف) spermatids، ونطاف spermatozoa، وخلايا سرتولي Sertoli cells. ويوضح الجدول (1) مقارنة للخصى عند بعض أنواع الحيوانات. تُنتج خصيتا الثور البالغ حوالي 1,2 إلى 1,8 بليون حيوان منوي في الملي لتر الواحد، وبمعدل 4-8 ملِ من المني في القذفة الواحدة. إن كمية الحيوانات المنوية المُنتجة لها علاقة مباشرة بوزن الخصيتين ووزن الثور، كلما كان الثور أضخم أو أكبر، كلما أنتج كمية أكبر من الحيوانات المنوية، أكثر من الثيران الشابة أو الصغيرة الحجم.[1]
| وزن الخصية (غ) | % من وزن الجسم | الاتجــاه | النوع |
|---|---|---|---|
| 300 | 0.03 | عمودي | الثور |
| 250 | 0.30 | عمودي | الكبش |
| 350 | 0.20 | منحرف | الخنزير |
| 200 | 0.03 | أفقي | الحصان |
| 25 | 0.20 | منحرف | الكلب |
بعد إتمام عملية تَكَوْن الحيوانات المنوية في نُبيبات ناقل المني، تُنقَل الحيوانات المنوية عبر النُبيبات إلى نُبيبات أكبر تُسمّى الشبكة الخصوية Rete testis ،التي يخرج منها نحو 12 وعاء صادراً أو أكثر لتتصل مع البربخ epididymis، وهو أنبوب كثير الالتفاف سميك الجدار، يتألف من ثلاثة أقسام هي الرأس والجسم والذيل ، يُخزن النطاف، وخاصة في ذيله، وضمنه تنضج، ثم تنتقل إلى بقية أجزاء الجهاز التناسلي لتُضاف إليها مفرزات خاصة من عدد من الغدد التناسلية تمهيداً لحدوث القذف . من هنا تُغادر الحيوانات المنوية أعلى الخصية إلى رأس البربخ Head of the epididymis .
الصفات التشريحية
الصفات التشريحية الأخرى للخصيتين تشمل الخلايا الخلالية Interstitial cells، أو Leydig Cells والتي توجد بين النُبيبات المنوية. هذه الخلايا تُفرز هرمون التستوسترون والذي يحافظ على وظيفة الجهاز التناسلي الذكري ويؤدي إلى ظهور الصفات الذكرية الثانوية ويؤثر على الرغبة الجنسية. في المقابل، إفراز التستوسترون مُنظَم بواسطة هرمون الحاث للتبويض Luteinizing hormone من الغدة النخامية Anterior pituitary ، أمّا الهرمون الآخر، الهرمون الحاث لنمو الجُريبات Follicle stimulating hormone، مباشرةً يُحث عملية الإنطاف في الخصيتين.
خلايا ليدك
مقالة مفصلة: خلايا ليدك
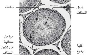
يمتلك النسيج البيني interstitial tissue الموجود بين الأنابيب المنوية خلايا تدعى خلايا ليدك Leydig cells، وهي المصدر الرئيس للأندروجينات androgens (ومن أهمها التستوسترون testosterone) (الشكل 2). ويتم تنظيم إفراز هذه الهرمونات بعلاقات دقيقة بين الخصية والهرمونين الموجهين للقُند (المنشطين لهرمونات الجنس) gonadotrophins من النخامى الأمامية، وهما الهرمون المنشط للجريب (الحاثة الجريبية) follicle stimulating hormone (FSH) والهرمون اللوتيئيني (الحاثة اللوتيئينية أو الملوتنة) luteinizing hormone (LH). كما تفرز الخصية كميات زهيدة من الإستروجين.
تمر الخصيتان من البطن إلى كيس الصفن عبر القناة الإربية inguinal canal، وقد يؤدي بقاؤها مفتوحة وارتخاء عضلات جدارها إلى حدوث «الانفتاق» herniation. وقد تظل الخصيتان حبيستين ضمن البطن في بعض الحالات، فتدعيان «الهاجرتان»، وتتعرضان إلى درجة حرارة أكثر ارتفاعاً بمقدار (2ـ 8 ْم) عما لو كانتا ضمن كيس الصفن، فيسبب ذلك ضرراً من حيث إنتاج النطاف والهرمونات الجنسية الذكرية فيهما، وقد يؤدي ذلك إلى العقم، ويُعتقد أن هذه الصفة وراثية.
هناك عدة وظائف لخلايا ليدك leydig cells وهي تشمل:
(1) التأثيرات على الأجهزة التناسلية قبل الولادة، فقبل الولادة تُفرز الخلايا الجنينية للخصيتين التستوستيرون وهو مسؤول عن ظهور عضلات القناة التناسلية والأجهزة الخارجية والمساعدة على نزول الخصيتين إلى كيس الصفن. وبعد الولادة يتوقف إفراز التستوستيرون فتبقى الخصيتان صغيرتان حتى البلوغ.
(2) عند البلوغ، يتم إفراز التستوستيرون مرةً أخرى، فيبدأ إنتاج الحيوانات المنوية في النبيبات المنوية للمرة الأولى. كذلك فإن استمرارية إنتاج التستوستيرون مهمة جداً لإنتاج الحيوانات المنوية وللمحافظة على الجهاز التناسلي الذكري.
(3) تعتمد كذلك الصفات الجنسية الذكرية الثانوية على هرمون التستوستيرون.
(4) وهرمون التستوستيرون مسؤول عن الرغبة الجنسية عند البلوغ، ويتحكم الهرمون في هرمونات الغدة النخامية (هرمون الحاث لنمو الجريبات المبيضية FSH هرمون التبويض LH). (5) يعمل هرمون التستوستيرون أيضاً على نمو العضلات والعظام.
خلايا سرتولي
مقالة مفصلة: خلايا سرتولي
أمّا خلايا سرتولي: sertoli cells فهي تعمل على: (1) توفير المواد الغذائية للخلايا المنوية (الحيوانات المنوية) النامية.
(2) التخلص من الحيوانات المنوية التي بها عيوب، (3) إفراز السائل الذي يساعد على حمل الحيوانات المنوية إلى البربخ، (4) إفراز هرمون inhibin وإفراز androgen binding protein.
البنية
نظام القنوات
صور اضافية
المصادر
- ^ أسامة عارف العوا. "الغدد الجنسية عند الحيوانات". الموسوعة العربية. Retrieved 2012-03-01.
جامعة الملك سعود، أرشيف الوثائق الالكترونية
مراجع للإستزادة
- E. S. E. HAFEZ Reproduction in Farm AnimalsLippincott Williams Wilkins (2000).
انظر أيضاً
- انعدام الخصية Anorchia
- اختفاء الخصية cryptorchidism
- كمرة الخصي Polyorchidism
- عقم infertility
- List of homologues of the human reproductive system
- orchidometer
- إنطاف spermatogenesis
- sterilization (surgical procedure), قطع القناة المنوية vasectomy
- البربخ Epididymis
- الحبل المنوي Spermatic cord
- قضيب
- مبيض
- Geier Hitch
- Bollocks
الرأس: جمجمة - جبهة – عين – أذن – أنف – فم – لسان – أسنان – فك – فك سفلي – وجه – خد – ذقن
الرقبة: حلق - حنجرة – تفاحة آدم
جذع: كتف – عمود فقري – ثدي – حلمة – صدر – قفص صدري – بطن – سرة
أطراف: ذراع – مرفق – ساعد – رسغ – يد – اصبع (إبهام - سبابة - وسطى - بنصر - خنصر) – رجل – حـِجر Lap – فخذ – ركبة – رَبـْلة الساق Calf muscle – كعب – كاحل – قدم – اصبع قدم (إبهام القدم Hallux)





