حجاب حاجز

'
Respiratory system.svg
الجهاز التنفسي
Details
Precursorseptum transversum, pleuroperitoneal folds, body wall [1]
الشريانPericardiacophrenic artery, Musculophrenic artery, Inferior phrenic arteries
الوريدSuperior phrenic vein, Inferior phrenic vein
Nervephrenic and lower intercostal nerves
Actionsrespiration
Identifiers
اللاتينيةdiaphragma
MeSHD003964
TA98A04.4.02.001
TA22327
FMA13295
المصطلحات التشريحية

الحجاب الحاجز هو عبارة عن حاجز عضلى يفصل بين القفص الصدرى والتجويف البطنى (المعدة، الكبد، الأمعاء)

وهو عضلة مخططة ( اي من النو ع الذي تستطيع ان تتحكم به اراديا ) لكنه يمكن ان يتحرك بدون ان تتحكم به اراديا ايضا . فممكن ان تتحكم بسرعة التنفس فتبعث الاوامر من منطقة الحركة في قشرة المخ ، وعندما تنام فان الاروامر تستمر من ال Medulla و Pons وهي مراكز التنفس في الدماغ . تلتصق عضلة الحجاب الحاجز بالسطح الداخلي من الاضلاع الستة السفلى ، والفقرات الاثنين او الثلاثة الصدرية العليا ، واسفل عظم الصدر الامامي Xyphoid Process و Lumbosacral Ligament . تصعد الياف العضلة إلى فوق ثم تلتحم مع بعضهما في رباط في الوسط The Central Tendonوتكون في الجهة اليمنى اعلى من الجهة اليسرى ( المكان الذي تغطي فيه الكبد ) ويكون هذا الاختلاف واضحا في اشعة الصدر . عندما يأخذ المرء نفسًا يتقلص الحجاب الحاجز ويتحرك إلى أسفل، وهذا يزيد مساحة الفراغ في الصدر. وفي الوقت ذاته، فإن العضلات المرتبطة بالأضلاع تجعل الأضلاع تتحرك نحو الخارج. وهذا من شأنه أن يوسع الصدر ويخلق مع حركة الحجاب الحاجز باتجاه الأسفل فراغًا بسيطًا في الصدر. ويجعل هذا الفراغ الهواء يدخل الرئتين عبر القصبة الهوائية، وهذا العمل ىُدعى التنفس أو الشهيق. وفي أثناء الزفير يخرج الهواء من الرئتين، عندما ينبسط الحجاب الحاجز وعضلات الأضلاع. وعندما يتنفس المرء بشكل طبيعي، يكون الزفير في حالة سلبية والعضلات دون عمل. وتحتوي الرئة المتوسعة على ألياف مرنة كانت قد تمددت أثناء التنفس. وهذا النسيج المرن يشبه في سلوكه الخيوط المطاطية المشدودة، ويجعل الرئة تتقلص كالبالون المنكمش. وهذا يطرد الهواء خارج الصدر، وتصغر الرئة حتى تصل إلى الحجم الذي بدأ فيه التنفس. ولاتفرغ الرئتان بشكل كامل أثناء الزفير لأن جدار الصدر يبقيها في حالة متمددة جزئيًا. ويكون الزفير نشطًا أثناء التنفس الشديد الذي يحدث أثناء التمارين الرياضية. وهناك مجموعة أخرى من عضلات الأضلاع تساعد في جعل الصدر أصغر، كما أن العضلات في جدار البطن تتقلص لتدفع بالأعضاء البطنية إلى أعلى أمام الحجاب الحاجز، وتساعد بذلك على إخراج الهواء من الرئتين.

ينقل عصب الحجاب الحاجز الإشارات الكهربائية لعضلة الحجاب الحاجز التي تحثها على التقلص. وينشأ هذا العصب من النخاع الشوكي العلوي في العنق ويمتد ضمن الصدر نحو الأسفل حتى عضلة الحجاب الحاجز.

يغطي الحجاب الحاجز من الجهة العليا الملامسة للرئتين البطانة التي تبطن الصدر وهي ال Parietal Pleura ، و يكون الرباط المركزي ملاصقا لغلاف القلب The Fibrous Pericardium . اما من الجهة السفلى للحجاب الحاجز فانه يغطى بالغلاف المبطن للاحشاء في البطن و هو ال Perietal Peritoneum ما عدا في منطقة واحدة فانه يلامس سطح الكبد مباشرة وهذه المنطقة هي ال Bare Area و تقع في الفص الايمن من الكبد .

الاعصاب التي تنقل ايعازات الحركة إلى الحجاب الحاجز ( مهمة وتاتي دائما في الامتحان ) هي C3 C4 C5 وتستطيع حفظ الجملة التالية كي تتذكرها دائما : C3,4,5 Keeps The Diaphragm Alive

الاعصاب الحسية والتي تنقل الاحساس من الاغشية التي يلتصق بها ايضا فانها ايضا تنقل في ال Phrenic Nerve ، لكن من المنطقة الخارجية للحجاب الحاجز تنتقل الاحاسيس بواسطة الاعصاب الستة السفلى ما بين الاضلاع لان الحجاب الحاجز اصلا ينمو من تلك المنطقة .

الوظائف

يستخدم الحجاب الحاجز في عملية التنفس :

  • أثناء الشهيق ينقبض الحجاب الحاجز و يهبط إلى أسفل مسبباً إتساع في القفص الصدرى و توليد ضغط سالب يساعد على دخول الهواء إلى الرئتين
  • أثناء الذفير يرتفع الحجاب الحاجز إلى أعلى يقوم بإخراج الهواء من الرئتين

كما يساعد الحجاب الحاجز في عملية التبول و التبرز و ذلك من خلال زيادة الضغط داخل التجويف البطني.

التشريح

الجزء الأصل
sternal two fleshy slips from the back of the xiphoid process.
costal the inner surfaces of the cartilages and adjacent portions of the lower six ribs on either side, interdigitating with the Transversus abdominis.
lumbar aponeurotic arches, named the lumbocostal arches, and from the lumbar vertebrae by two pillars or crura.

الفتحات في الحجاب الحاجز

Inferior view of the human diaphragm, showing openings

هناك 3 فتحات في الحجاب الحاجز

للوريد الكبير السفلي ( بمستوى الفقرة T8 ): يمر الوريد السفلي عبر فتحة في الرابط المركزي اي ليس عبر الياف العضلات و الحمد لله لانه لو كان يمر عبر العضلات لتقلصلت عليه و سدت مجرى الدم فيه لان جداره رقيق .

للمرئ ( بمستوى الفقرة 10 T ): فتحة المرئ تقع قليلا إلى اليسار لكن تحيط بها الياف عضلية من القسم الايمن للحجاب الحاجز . يمر عبر هذه الفتحة ايضا شرايين تاتي من الشريان المعدي الاسفل وهي تتصل بشريان اخرى و تعتبر احدى الاماكن التي تتصل بها الدورة البوابية ( التي تذهب إلى الكبد ) مع بقية الدورة الدموية في الجسم PORTO-SYSTEMIC SHUNT ومن هذه الفتحة يمر العصبين المسمايين : العصبين التائهين الامامي والخلفي ANTERIOR AND POSTERIOR VAGUS NERVES

للابهر ( بمستوى الفقرة T 12 ): بالنسبة للفتحة الثالثة فهي في الخلف ويمر عبرها الشريان الابهر من الصدر إلى البطن ، وتقع هذه الفتحة في الوسط ويمر عبرها ايضا القناة التي تحمل السائل اللمفي المسماة : THORACIC DUCT .

The diaphragm is pierced by a series of apertures to permit of the passage of structures between the thorax and abdomen. Three large openings—the aortic, the esophageal, and the vena cava—and a series of smaller ones are described.

opening level structures
caval opening T8 inferior vena cava, and some branches of the right phrenic nerve
esophageal hiatus T10 esophagus, the anterior and posterior vagal trunks, and some small esophageal arteries
aortic hiatus T12 the aorta, the azygos vein, and the thoracic duct
two lesser aperture of right crus greater and lesser right splanchnic nerves
three lesser aperture of left crus greater and lesser left splanchnic nerves and the hemiazygos vein
behind the diaphragm, under the medial lumbocostal arches sympathetic trunk
areolar tissue between the sternal and costal parts (see also foramina of Morgagni) the superior epigastric branch of the internal mammary artery and some lymphatics from the abdominal wall and convex surface of the liver
areolar tissue between the fibers springing from the medial and lateral lumbocostal arches This interval is less constant; when this interval exists, the upper and back part of the kidney is separated from the pleura by areolar tissue only.
Diaphragm and pleural cavities in amphibian (left), bird (center), mammal (right). a, mandible; b, genio-hyoid; c, hyoid; d, sterno-hyoid; e, sternum; f, pericardium; g, septum transversum; h, rectus abdominis; i, abdominal cavity; j, pubis; k, esophagus; l, trachea; m, cervical limiting membrane of abdominal cavity; n, dorsal wall of body; o, lung; o', air-sac.[2]

التشريح المقارن والتطور

تنويعات

The sternal portion of the muscle is sometimes wanting and more rarely defects occur in the lateral part of the central tendon or adjoining muscle fibers.

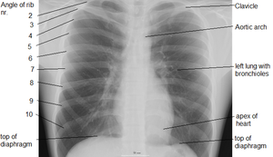
X-ray of chest, showing top of diaphragm.

پاثولوجيا

A hiatal hernia can result from a tear or weakness in the diaphragm If the diaphragm is struck, or otherwise spasms, breathing will become difficult. This is called "having the wind knocked out of you."

A hiccup occurs when the diaphragm contracts periodically without voluntary control.

Diaphragmatic injuries result from either blunt or penetrating trauma.

Gas under the diaphragm may be pneumoperitoneum.

صور اضافية

طالع أيضاً

المصادر

  1. ^ علم الجنين في UNC mslimb-012
  2. ^ Arthur Keith, M.D. (1905). "The nature of the mammalian diaphragm and pleural cavities". Journal of Anatomy and Physiology.

وصلات خارجية

'هذه المقالة تَعتمد على مَواد وَمعلومات ذات ملكية عامة، من للطبعة العِشرين لكتاب تشريح گرايز لعام 1918. .


Gxermo2.svg هذه المقالة عبارة عن بذرة تحتاج للنمو والتحسين؛ فساهم في إثرائها بالمشاركة في تحريرها.