التهاب الكبد

(تم التحويل من إلتهاب الكبد)
التهاب الكبد Hepatitis
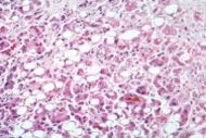
Alcoholic hepatitis.jpg
Alcoholic hepatitis evident by fatty change, cell necrosis, Mallory bodies
التبويب والمصادر الخارجية
التخصصطب الجهاز الهضمي, طب الأسرة والمجتمع, طب الكبد[*], الأمراض المعدية (تخصص طبي), طب باطني[*]
ICD-10K75.9
ICD-9-CM573.3
DiseasesDB20061
Patient UK

فشل عرض الخاصية P1461: لم يتم العثور على الخاصية P1461.

التهاب الكبد
MeSHD006505

الكبد أكبر عضو غددي في الجسم يزن حوالي كيلو ونصف, ولونه بني أحمر,ومقسم لأربعة فصوص غير متساوية الحجم . ويقع في الجانب الأيمن من التجويف البطني تحت الحجاب الحاجز . وينقل إليه الدم عبر الشريان الكبدي الذي يحمل الدم والأكسجين من الأورطة .والوريد البابي ينقل إليه الدم حاملا الغذاء المهضوم من الأمعاء الصغري .


وظائف الكبد

للتعرف علي وظائف الكبد وما يقوم به نجده يقوم بحوالي 500 وظيفة منفصلة ويصنع 1000 إنزيم تقوم بالتفاعلات الكيماوية داخل الجسم . والكبد بصفة عامة يعمل عملياته الوظيفية علي الدم ومكوناته .لهذا نجده ينظم كل عمليات وظائف الجسم من خلال ملايين القرارات التي يعطيها لكل أجهزته .علاوة علي العمليات الكيماوية التي يقوم بها ، حيث يقوم باستغلال الطعام وتصنيعه بعد إستقباله من الجهاز الهضمي ، والتخلص من نفايات وسموم الجسم . كما يقوم بتنيظم كمية السكر بالدم . وما يزيد عن الحاجة يخزنه كنشاء حيواني glycogen ليحوله لسكر عند الحاجة .

والكبد يفتح الشهية. لهذا عندما يتليف أو يلتهب نفقد شهيتنا للطعام .ويقوم بصنع العصارة المرارية ويفرزها في الأمعاء لهضم الدهون بها . كما يفرز السموم به.والكبد في حالة الصيام وعوز السكر بالدم يمكنه تخزين البروتينات والدهون والكربوهيدرات وتحويلها إلي سكر أو دهون أو بروتينات عند الحاجة إليها .

فلاشك أن الجسم يعتمد علي خلايا الكبد hepatocytes للقيام بالعديد من الوظائف الحيوية حيث يقوم بتنظيم وتخليق وإفراز مواد هامة كثيرة كمواد الصفراء bile components, والكولسترول وأنواع البروتينات بالدم كالألبومين albumin(ماعدا الأجسام المضادة).

والكبد له أهميته في تخزين مواد مغذية كالنشاء الحيواني glycogen بتحويل الجلوكوز بالدم ، والفيتامينات والأملاح المعدنية . كما يقوم بتخليص الجسم من السموم ونفاياتها . ويحافظ علي مستوي الجلوكوز والكولسترول بالدم .فأمراضه تقلل من كفاءته للقيام بهذه المهام الحيوية للجسم . وأكثر بروتينات مصل (بلازما) الدم الآلبومين. وعندما تصاب وظائف الكبد بخلل تقل كميته في مصل الدم . مما يظهر إحتجاز الماء بالأنسجة وتورمها .وينتج الكبد معظم بروتينات تجلط الدم . فلو قلت يتعرض المريض للنزبف الدموي . وتنتج خلايا الكبد السائل المراري الأخضر . وتفرزه في القنوات المرارية .

ويخزن في الحويصلة المرارية ليفرز في الأمعاء الصغري . ويحتوي السائل المراري علي الكولسترول والدهون الفوسفورية والبيلوروبين الناتج عن تكسبر هيموجلوبين كريات الدم الحمراء وأملاح الصفراء التي تذيب الدهون أثناء الهضم بالأمعاء وتساعد علي إمتصاصها.وقد يكون السائل المراري حصوات تسد القنوات المرارية . وتمنع إفرازه فلا تهضم الدهون . ويصبح البراز له رائحة. ويظهر اليرقان(مرض الصفراء) .ويصنع الكبد البروتينات الدهنية Lipoproteins المصنوعة من الكولسترول والجليسردات الثلاثبة triglyceridesوالدهون الفسفورية phospholipids والبروتينات .

والكبد يخزن سكر الجلوكوز في شكل نشاء حيواني والفيتامينات التي تذوب في الدهون (vitamins A, D, E and K) والفولات وفيتامين ب12 والمعادن كالنحاس والحديد . وكثرة تخزين هذه المواد قد تضر بالكبد الذي يخلص الدم من الأمونيا والسموم ويحولهما لمواد غير ضارة . فيحول الأمونيا ليوريا تفرز بالكلي مع البول .

وفي حالة مرض الكبد الشديد تتراكم الأمونيا بالدم .والكبد يلعب دورا كبيرا في توازن الهورمونات الذكرية testosterone hormone والأنثوية hormone estrogen . وفي حالة تليف الكبد المزمن نجد أن ثمة خللا يظهر علي المريض ولاسيما مدمن الخمر فتظهر عليه أعراض الأنوثة .والأمراض الثلاثة الشائعة التي تصيب الكبد هي السرطان وتليف الكبد والإلتهاب الكبدي . و الإلتهاب الكبدي قد يكون سببه بعض الأدوية وتناول الخمور لمدة طويلة أو التعرض للكيماويات أو الأدوية بكثرة . وكل الإلتهابات الكبدية تتلف خلايا الكبد بصفة دائمة وتجعله متورما ومشدودا من الإلتهاب .

التهاب الكبد

التهاب الكبد تعني اصابة للكبد تتميز بوجود خلاياالتهابية في نسيج العضو. .هذه الحالة قد تحدد ذاتيا, أو تشفى من تلقاء نفسها, أو تتطور الى تكوين ندبة بالكبد. الالتهاب الكبدي الحاد عندما يستغرق أقل من ستة شهور ويعتبر مزمنا عندما يتواجد أكثر من هذا. هناك مجموعة الفيروسات تعرف بالفيروسات الكبدية والتي تسبب تدمير الكبد في جميع أنحاء العالم. قد يكون الالتهاب الكبدي نتيجة لبعض السميات (لاسيما الكحوليات)، التهابات أخرى قد تكون من عملية ذاتية. وقد تحدث على شكل "دون سريري" subclinical في شخص لا يشعر بالمرض . يشعر المريض بأنه على غير ما يرام وتظهر عليه الأعراض عندما يبدأ المرض بإفساد وظائف الكبد والتي تحتوي، ضمن أشياء أخرى كذلك، التخلص من المواد الضارة، تنظيم مكونات الدم، وتكوين العصارة الصفراوية التي تساعد في عملية الهضم.

إلتهاب كبدي كحولي

(مضادة أكسدة ) لتحمي الكبد من السموم

إلتهاب كبدي فيروسي

الكائنات الدقيقة سبب في الأمراض التي تنقلها الفيروسات بالمياه من بينها 10% التهاب كبدي فيروسي A .و 50%منها فيروسات لايمكن التعرف عليها .والإلتهاب الكبدي الفيروسي viral hepatitis يصيب الجسم باليرقان jaundice (صفرة الجلد) ولاسيما لدي الأطفال . هناك أربعة أنواع من الإلتهاب الكبدي هم(A, B, C and D), .والنوعان الوحيدان اللذان ينتقلان بالإتصال الجنسي هما A وB والسبب الشائع في موت المرضي بالفيروسات الكبدية الفشل الكبدي الحاد مما يؤدي للغيبوبة والموت .ولكن في الأطفال قد يكون أقل حدة لكنه قد يولد فيما بعد تليفا كبديا وتلفا بأنسجة الكبد أو الفشل الكبدي .

ولا يوجد علاج خاص للإلتهاب الكبدي الفيروسي . وعندما يصاب الكبد بالالتهاب الكبد الفيروسي viral hepatitis تموت خلاياه ويصاب المصاب بالنزيف المتكرر (لقلة إفراز الكبد لعوامل التجلط (clotting factors وباليرقان jaundice (صبغ الجسم باللون الأصفرلقلة التخلص من مادة بيلوروبين bilirubin ) وزيادة إنزيمات خلايا الكبد التالفة . والإلتهاب الكبدي A ينتقل عن طريق ملامسمة براز وبول ولعاب المريض. والإلتهاب الكبدي بفيروسB [HBV] ينتقل من عمليات نقل الدم .

وأعراض الإلتهاب الكبدي A الشعور بآلام بالجسم والبول غامق اللون(كالشاي) والإسهال والحمي والضعف والغثيان والقيء واليرقان واصفرار الجلد وبياض العين وفقدان الشهية والبراز فاتح اللون . وسببه شرب مياه ملوثة أو الثلج أو البراز أو تناول الأسماك البحرية النيئة والخضراوات والفواكه (التي لم تغسل جيدا ) واللعاب والسائل المنوي والإفرازات المهبلية والبول. و من أهم أعراض الإلتهاب الكبدي الفيروسي A الجفاف الشديد نتيجة القيء وتشوش في التفكير والنعاس الشديد أو فقدان الوعي وتورم الوجه واليدين والقدمين والكاحلين والساقين والأذرع وإحتجاز الماء بالجسم و حدوث نزيف بالأنف أو بالفم أوالشرج أو تحت الجلد. والمريض يحاول تناول الطعام المغذي بكمية في الصباح وبكميات خفيفة أثناء بقية النهار .

ودائما ينصح الأطباء مرضي الإلتهاب الكبدي بتناول سعرات عالية من البروتينات مع تجنب جفاف الجسم ولاسيما في حالة القيء.وينصح بتناول الماء والشوربة وعصير الفواكه مع تجنب الخمور والأدوية التي قد تصيب الكبد بالتلف .وفي حالة ظهور هرش بالجلد يدهن بسوائل ملطفة . مع أخذ الإحتياطات الوقائية عند ملامسة المريض أو برازه ، بغسل الأيدي بالماء الساخن والصابون .وللوقاية يمكن أخذ مصل immune globulin (IG) خلال إسبوعين من إحتمال الإصابة بفيروس A.ومصل الإلتهاب الكبدي Aليس له مفعول في حالة وجود المرض . وتبدأ الأعراض تزول قي خلال إسبوعين من المرض وخلالها يكون براز المريض معديا .

وسبب الإلتهاب الكبدي لفيروس B ،العدوي بفيروس hepatitis B virus (HBV) وهو أحد فيروسات الكبد.وقد يكون الإلتهاب الكبدي (ب) حادا وزمنه قصيرا أو يكون عدوي مزمنة. وفي حالة المرحلة الحادة قد يزول بدون علاج . وبعض الأشخاص لاتظهر عليهم أعراض المرض . ومعظم الذين تظهر عليهم أعراضه يتحسنون خلال 2-3 أسابيع أويشفون تماما خلال 4-8 أسابيع . والبعض قد يستغرق مدة أطول حتي يشفي ولم يعد الشخص معديا . ويكتسب المريض أجساما مضادة لفيروس HBV تحميه من العدوي طوال الحياة .و معظم الذين أصيبوا بالإلتهاب الكبدي الفيروسي (ب)الحاد لايصبح لديهم إلتهاب كبدي مزمن .

لكن العدوي المزمنة تقع عندما يستمر وجود فيروس (ب) بالكبد والدم لمدة 6 شهور أو أكثرمما يجعل الشخص معرضا لتليف وورم الكبد السرطاني . وقد تظل هذه الحالة طوال الحياة حسب سن المريض .وأعراض الإلتهاب الكبدي الفيروسي B تشبه أعراض الإلتهاب الكبدي A علاوة علي الآلام في المفاصل والعضلات وبعد عدة سنوات يصيب الكبد بالتليف والمريء والمعدة يصابان بالدوالي التي تسبب القيء المدمم والإصابة بالفشل الكبدي والأورام السرطانية.

والعدوي بفيروس إلتهاب كبدي C تنتشر في كل أنحاء العالم حيث أكثر من 170 مليون شخص مصابون بهذا الفيروس. ومعظمهم مصابون بأمراض الكبد المزمنة .ومرضي الإلتهاب الكبديC المزمن chronic hepatitis C يحتاجون لزراعة الكبد .وينتقل الفيروس بتعرض ما تحت الجلد لدم ملوث وسوء إستعمال الحقن الملوثة به ولاسيما نقل الدم أو الوخز بالإبر الصينية أوالوشم أوأمواس الحلاقة أو معدات الأسنان والغسيل الكلوي وإستعمال المناظير الداخلية أو من البول أو اللعاب أو لبن الأم أو المعاشرة الجنسية .و20 % من المزمنين المصابين بالمرض مصابون بتليف كبدي من بينهم 1-4 %مصابون بسرطان خلايا الكبد سنويا . ويصاب بالمرض الرجال أكثر من النساء . و65% من المصابين بالمرض سنهم بين 30 –49 سنة .

والمصابون في سن مبكرة يتحسنون أكثر من الأكبر سنا . وظهور العدوي الحادة تظهر بين 20 – 30 %من المرضي خلال 7-8أسابيع من العدوي بفيروس HCV .وتصبح مزمنة لدي 70 –80 % من المرضي به . والأعراض تظل مختفية حتي يتقدم مرض الكبد ويظهر تليف الكبد علي 15- 20%من المصابين بالعدوي المزمنة .وقد يستغرق ظهوره خلال 30سنة من بداية المرض .وعندما يقع تليف الكبد فإ ن إحتمال ظهور خلايا كبدية سرطانية بمعدل 1-4 %كل سنة. ومن أعراض الإلتهاب الكبدي الضعف وضيق التنفس والوهن وسرعة التعب الجسماني واليرقان وتلون الجلد وبياض العين بالصفرة وظهور الإستسقاء وتورم الكبد.

وهناك الإلتهاب الكبد الفيروسي Hepatitis D سببه فيروس (HDV)الذي ينتقل بواسطة تقل الدم والحقن الملوثة أو الإتصال الجنسي . والفيروس HDV طفيلي علي فيروسB حيث يستغله للتكاثر والعيش في الجسم . لهذا المصابون بفيروسB معرضون للإصابة بفيروس D.والشخص الذي لد يه مناعة ضد فيروسB لديه مناعة ضد فيروس D . والإلتهاب الكبديE سببه العدوي بفيروس (HEV) من براز المريض به . ويوجد في الدول التي حالتها الصحية والوقائية فقيرة .والمرض ينتقل من الأطعمة والمياه الملوثة وينتشر في مناطق آسيا وشمال وغرب أفريقيا.

وعلاج الإلتهاب الكبدي Cالإنترفيرون ألفا (interferon (IFN) alfa 2b) ثلاث مرات إسبوعيا وحاليا يوجد نوع من الإنترفيورون يؤخذ مرة إسبوعيا هو pegylated IFNs (peginterferon) ، ويقوم باستعادة وظائف الكبد لدي 6% ممن تعاطوا الدواء كحقن لمدة 6شهور ،ولدي 16% ممن تعاطوه لمدة عام .والذين تعاطوه مع دواء ribavirin تحسن 41%منهم وتوقف نشاط الفيروس لدبهك . ولو أن هذا العلاج ضد الفيروسات لم يتخلص من الفيروس من الدم سيتسبب في إلتهاب الكبد وإصابته بالمرض . ولو حدث فشل كبدي أو ورم سرطاني بالكبد ، فلا حل سوي زراعة كبد لإطالة الحياة . ورغم المخاوف التي تنتاب مريض الإلتهاب الكبدي C ، ولاسيما وأنه يعلم أن علاج المرض صعب وقد يؤدي لزراعة الكبد . لكن في الحقيقة ليس المرض بالسوء الذي نتصوره .لأن الكثيرين يعيشون بالمرض حتي بدون علاج و بدون أعراض لعدة عقود . و50% منهم الذين يعالجون بالأدوية الحديثة أمكن السيطرة علي المرض لديهم .فهناك ستة نماذج من فيروس C وليس أحدها أكثر خطورة من الآخرين .

وتوليفة العلاج التي تضم حقن interferon أو peginterferon ودواء ribavirin المضاد للفيروسات ، قد أعطت نتائج مبشرة لدي أغلبية المرضي .لكنها ليست آمنة بالنسبة لمرضي الفشل الكلوي ومرضي القلب والحوامل .والعلاج يستمر من 24- 48 إسبوع مع المتابعة . ورغم أن حقن peginterferon أقل آثارا سيئة من حقن الإنترفيرون إلا أنها تسبب أعراضا تشبه أعراض البرد, مع الشعور بالإرهاق والإكتئاب وآلام العضلات وفقدلن الشعر . والعلاج يظهر مفعوله بعد أشهر قليلة .

وهذا مؤشر علي أن 70% من المعالجين سيستجيبون للدواء بعد مواصلة العلاج .وهذا العلاج مطلوب في حالة وجود معدلات عالية من الفيروس أو أن العينة النسيجية تبين تليفا بالكبد . والصعوبة أن الأطباء لايمكنهم التنبؤ بما سيحدث أو هل المرض سينحسر ؟.وفي هذه الحالة يمكن أن يكون المريض معديا .

وأعراض الإلتهاب الكبدي الحاد اليرقان ( إصفرار الجلفد وبياض العينين) وقد لا يظهر علي المريض في معظم الحالات .وإذا ظهر يكون ظهوره بعد بداية زوال الأعراض الأخري التي من بينها التعب والإرهاق والحمي المتوسطة والصداع وفقدان الشههية والغثيان والقيء وألم دائم في الجانب الأيمن تحت عظام القفص الصدري حيث يقع الكبد. وظهور إسهال أو إمساك وهرش في الجلد . لكن معظم الذين لديهم الفيروس مزمنا لاتظهر عليهم الأعراض .والعدوي بالمرض تتم من شخص لآخر عن طريق سوائل الجسم كالدم والسائل المنوي وإفرازات المهبل ودم الحيض أو نتيجة الجماع الجنسي أو غرز سن إبرمحاقن ملوثة بالفيروس أو أدوات الأسنان أو ثقب الأذن لوضع الحلقان .والتطعيم ضد المرض يفيد في 95% من الحالات .

وعلاج الإلتهاب الحاد للكبد بالراحة وتناول طعاما مغذيا والماء والسوائل لعلاج الجفاف وتجنب الأدوية والكحول .وعلاج الإلتهاب الكبدي (ب)المزمن يعتمد علي هل الفيروس نشطا ويتكاثر أو أن الكبد قد أصابه التلف . ويمكن إستعمال أدوية مضادة للفيروس لوقف تطوره وتلف الكبد من بينها, interferon alfa-2b, lamivudine, and adefovir. . وأعراض المرض تظهرابتداء من 60 -180 يوم من العدوي بالفيروس. فيبدأ بالإلتهاب الكبدي الحاد . وقد تظل الأعراض مع البعض عدة شهور .وقد تظهر عليهم وظائف كبد غير عادية قبل الشفاء . ول ايوجد أمصال للوقاية من فيروسات C,E,Dالكبديةو25 % من المصابين بالإلتهاب الكبدي الفيروسي الحاد يشعرون بآلام في المفاصل والهرش وورم الشفاة وأنسجة اللسان والأحبال الصوتية

التليف الكبدي

ما هو تليف الكبد ؟ تليف الكبد يطلق عليه تشميع الكبد عندما يصاب الكبد بأضرار حيث التليف يحل محل الأنسجة السليمة به مما يعوقه عن العمل جيدا . وهذا التليف يظهر بعد عدة سنوات من إلتهاب الكبد حيث تحيط الأنسجة المتليفة بالخلايا السليمة مما يجعل الأنسجة تصبح كالعقد . وهذه الأنسجة العقدية يمكنها إغلاق القنوات المرارية وجعلها متورمة مما يجعل السائل المراري يرتد للكبد ومجري الدم . كما أن هذه الأنسجة العقدية يمكنها منع تدفق الدم من الأمعاء للكبد مما يزيد الضغط في الأوردة التي تتصل بهذه المنطقة وتمدها بالدم ولاسيما منطقة الوريد البابي. وهذه الحالة يطلق عليها إرتفاع الضغط البابي portal hypertension مما يجعل الماء يتراكم في الجسم ويحدث نزيفا دمويا من الأوردة المنتفخة في القناة الهضمية . وأسباب تليف الكبد عديدة وقد يكون لأسباب غير معلومة وقد يستغرق تليف الكبد لمدة 20 عاما .

ومن الأسباب التي تعجل بظهوره ،شرب الخمر لسنوات أو بسبب إلتهاب كبدي فيروسي مزمن (بي أو سي) . وهناك أدوية كالآسيتوفينون acetaminophen (بانادول وأبيمول وبارامول ) والأيبوبروفين والكيتوبروفين ونابروكسين تتسبب في تعجيل تدمير الكبد لو كان متليفا وتزيد مكن مخاطر النزيف الوريدي لوكانت الأوردة متضخمة في القناة الهضمية. وأعراض تليف الكبد الحاد ،كف اليد تصبح حمراء لتمدد الشعيرات الدموية بها وتجمعات دموية تحت الجلد حيث تتجمع السوائل بتجويف البطن وتورم القدمين والساقين . والمريض يظهر عليه الإستسقاء ascites (إمتلاء البطن بالماء ) وقد يهدد حياة المريض ، إذا لم يضبطه ويتغلب عليه, بالإقلال من الملح وتناول مدرات للبول spironolactone وfurosemide أو إتباع البزل Paracentesis بإبرة خاصة لتصفية الماء من تجويف البطن في حالة عدم الإستجابة لمدرات البول.أو الطعام يكون خاليا من الملح ، مع تناول حقن مضادات حيوية في حالة وجود عدوي بكتيرية بالغشاء البريتوني بالبطن. وقد يلجأ المريض لشق البطن للتخلص من الماء الزائد (الإستسقاء ) .وقد يحدث لمريض التليف نزيف وريدي في الجهاز الهضمي مما يهدد حياته . لهذا عليه تجنب تناول الأسبرين وأدوية المسكنات كالبروفين والكيتوفان والنبروكسين .

وللتغلب علي إحتمال وقوع النزيف الوريدي نتيجة لإرتفاع الضغط البابي portal hypertension يمكن للمريض تناول مغلقات بيتا (propranolol and nadolol) . كما يمكن للمريض تناول أدوية قابضة للأوعية الدموية Vasoconstrictor medications لوقف النزيف الفجائي حيث تقلل تدفق الدم من الأوردة البابية وتضييقها مؤقتا .ومن بين هذه الأدوية Somatostatin, octreotide, and vapreotide. وهناك عمليات جراحية بالمناظير لوقف النزيف .وفي حالة ظهور خلل في التفكير نتيجة لتراكم السوم بالدم ونفايات البكتريا بالأمعاء الغليظة وعدم تمكن الكبد من التخلص منها, حيث تؤثر علي وظائف المخ . ولعلاج هذه الحالة يتناول المريض لاكتلوز لمنع تكوين الأمونيا وسموم البكتريا بالأمعاء الغليظة مع الإقلال من تناول البروتينات في حالة سوء حالة الكبد . لأنه لن يستطيع إستغلالها علي الوجه السليم وقد يحولها لسموم . كما يمكن تناول metronidazole or neomycin, لمحاربة السموم بالدم .مع تجنب المهدئات أو المنومات فقد تزيد التشوش العقلي سوءا .

وأهم ما يتبعه مريض الإلتهاب الكبدي هو الإقلاع عن شرب الخمر حتي ولو كانت ليست السبب في التليف .والإقلال من تناول ملح الطعام الذي يتعارض مع مرض الإستسقاء يعتبر أحد مضاعفات التليف الكبدي .والإقلاع عن التدخين يساعد علي تحسن الصحة لو أن المريض سوف يزرع له كبد . وقد ينصحك الطبيب بتناول الفيتامينات المتعددة مع تجنب تناول عنصر حديد زائد.ومطلوب لمريض التليف الكبدي تنظيف الأسنان يوميا حتي لايصاب بالعدوي (خراج) .

والمريض يأخذ جرعة وقائية سنوية من مصل الإنفلونزا .لأن الإصابة بالبرد تزبد الحالة سوءا .ولقد وجد أن خلاصة عشب milk thistle (موجود بمصر حاليا) تحمي الكبد من الإلتهاب. لكنها لاتصلح التلف ولا يعالج العدوي بفيروسيB أو C.وعلي المريض تجنب تناول الأعشاب من العطار فقد تجعل الحالة أكثر سوءا ولاسيما نبات كافا Kava الذي له تأثير سيء علي أمراض الكبد. فلاشك أن تليف الكبد يهدد حياة الشخص بشدة ولاسيما عندما يلتهب الكبد ويحدث به تلفا ،لايمكن علاجه. لكن العلاج هو للحد من تلفه أو تأخيره.وأهم من هذا كله تلافي المواد التي تتلف الكبد كالكحوليات و الإيبروفينات والكيتوبروفينات وعلاج الأعراض ومشاكل التليف التي تظهر مع تجنب ملح الطعام وأملاح الصوديوم في الفوارات والخبز والجبن وبقية الأطعمة. وقد ينتهي الأمر لزراعة كبد جديد.


كتاب أمراض شائعة وعلاجها.لأحمد محمد عوف.


المصادر

www.sehha.com/diseases/liver/hepatits.htm

www.geocities.com/elzayath/hcA5.doc

www.experts-center.com/2.htm

وصلات خارجية