التهاب اللثة

التهاب اللثة
Gingivitis (crop).jpg
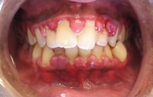
حالة التهاب لثة حادة.
التخصصطب الأسنان

التهاب اللثة (إنگليزية: Gingivitis)، هو هو مرض غير مدمر يسبب التهاب في اللثة.[1] الشكل الأكثر شيوعًا من التهاب اللثة، والشكل الأكثر شيوعاً من أمراض دواعم الأسنان بشكل عام، هو الاستجابة لبكتريا الأغشية الحيوية (وتسمى أيضًا اللوحة السنية أو البلاك) التي تعلق على أسطح الأسنان، يطلق عليه "التهاب اللثة الناجم عن البلاك". تحدث معظم أشكال التهاب اللثة بسبب البلاك.[2]

في حين أن بعض حالات التهاب اللثة لا تتطور أبدًا إلى التهاب دواعم السن،[3] فإن التهاب دواعم السن غالباً ما تسبقه الإصابة بالتهاب اللثة.[4]

يمكن علاج التهاب اللثة بالاهتمام بنظافة الفح؛ ومع ذلك، فبدون علاج، يمكن أن يتطور التهاب اللثة إلى التهاب دواعم السن، حيث يؤدي التهاب اللثة إلى تدمير الأنسجة والارتشاف العظمي حول الأسنان. يمكن أن يؤدي التهاب دواعم السن في النهاية إلى فقدان الأسنان.[5]

يكون مسبب أمراض اللثة هو بكتيريا البلاك التي تتراكم على الأسنان وحولها وبينها. إذا لم تزال هذه البكتيريا بانتظام بتنظيف الأسنان بالفرشاة أو خيط تنظيف الأسنان، فيؤدي ذالك إلى تهيج اللثة، ومن ثم احمرارها وتورمها ونزيفها، وهذه جميعها أولى أعراض الإصابة بأمراض اللثة، التي تسمى التهاب اللثة.

إذا لم يتم علاج هذه الأعراض التى تكون في الاصل خاصة بأمراض اللثة، قد تظهر جيوب صغيرة بين الأسنان واللثة. ازدياد عمق هذه الجيوب قد يؤدي في النهاية إلى الإصابة بالتهاب الأنسجة الداعمة، وهي أحد أكثر أنواع أمراض اللثة خطورة. وبمجرد الوصول إلى هذه المرحلة من أمراض اللثة، قد يكون الضرر حدث بالفعل، وسيؤدي عدم علاج هذه الحالة إلى فقدان الأسنان. ولهذا السبب، من المهم جدًا العثور على علاج فعال لأمراض اللثة في المراحل المبكرة لالتهاب اللثة، لنحافظ على صحة اللثة ومنع فقدان الأسنان.

خلفية

لابد لفهم الآلية المرضية من الحديث عن المنطقة التي يقع فيها الالتهاب وفيها أربعة أنسجة تتظاهر فيها أمراض الأنسجة الداعمة، مجتمعة أو في واحد منها، وهذه الأنسجة هي: اللثة، والعظم السنخي أو الداعم أو المحيط بالسن، والملاط، والرباط السنخي السني أو الغشاء السنخي السني أو الغشاء حول السن أو الرباط المعلِّق كما يسمى في اللغة الإنكليزية.


1ـ اللثة: هي النسيج الرخو الذي يحيط بالسن ويغلف العظم السنخي ويبدو سريرياً بلون وردي فاتح، ولتغير هذا اللون إلى أي درجة من درجات اللون الأحمر دلالة مرضية. وتقسم اللثة إلى ثلاثة أجزاء رئيسة:


أ ـ اللثة الحرة أو الحفافية أو الهامشية: وهي الجزء الذي يحيط بعنق السن دهليزياً ولسانياً أو حنكياً محدداً بهذه المجاورة فراغاً بينه وبين السن يُدعى التلَم اللثوي السني sillon gingivo dentaire ويعدّ تحول هذا التلَم إلى عمق يتجاوز 3مم دلالة مرضية صريحة ويدعى التلم عندئذ الجيب اللثوي poche gingivale.

ب ـ اللثة الحليمية أو بين الأسنان أو اللسينات اللثوية: وهي الجزء من اللثة الذي يتوضع في الفرجات بين الأسنان من الجهة الدهليزية واللسانية أو الحنكية، ويأخذ شكلاً هرمياً ومثلثياً، وتتصل الحليمة اللثوية الدهليزية مع مثيلتها الحنكية أو اللسانية بجزء آخر صغير يدعى عنق اللثة ويتوضع في أسفل نقطة التماس بين الأسنان.

ج ـ اللثة الثابتة أو الملتصقة: ويؤلف هذا الجزء استمراراً تشريحياً للجزأين السابقين فهو يغطي العظم السنخي، ويتصل به بألياف غرائية كثيفة ومتينة لتقاوم فعل المضغ، ويتصل دهليزياً بالغشاء المخاطي الدهليزي ولسانياً بمخاطية الفم اللسانية وحنكياً بأنسجة قبة الحنك.

وهناك جزء نسيجي من اللثة يُدعى الارتباط الظهاري attache epitheliale يؤلف قاع التلم اللثوي، ويتحد مع سطح السن فيكوّن سداً محكماً وفاصلاً بين التلم الدهليزي والفم من جهة والأنسجة العميقة من جهة أخرى، ويتخرّب هذا الارتباط في سياق المرض اللثوي فيزداد عمق التلم ويتحول إلى جيب مرضي.

2ـ العظم السنخي: يقصد بهذا الجزء ما يسمى تشريحياً الناتئ السنخي procis alvéolaire من الفك السفلي الذي يتألف من صفيحة خارجية وأخرى داخلية، وهذه الأخيرة تؤلف الأسناخ alvéoles أو الحفر التي تتوضع فيها جذور الأسنان، ومن هنا يُتوقّع وجود حجب أو ارتفاعات عظمية بين الأسنان والجذور. وتدعى الصفيحة الداخلية اصطلاحاً بالصفيحة القاسية lamina-dura، وتتبدل أوصافها مرضياً عندما يصاب العظم بنقص التكلس أو الارتشاف الشاقولي أو الأفقي بحسب العامل المرضي المسبب. ويخضع هذا الجزء من العظم لجميع العوامل العامة التي تسيطر على العظام، من عوامل هرمونية ومرضية جرثومية أو مناعية أو استحالية، إضافة إلى تعرضه للعوامل الفموية الموضعية من ميكانيكية وجرثومية ومناعية.

3ـ الرباط السنخي السني: هو النسيج الضّام الكثيف الذي يشغل الفراغ المحيط بجذر السن ويربط بين ملاط السن من جهة والعظم من جهة أخرى ويتألف أساساً من ألياف ضامة غرائية تتوزع وفق مجموعات مختلفة تتناسب واتجاه القوة المطبقة على تاج السن، ويبدو أنّ السن ليست ملتصقة بالعظم بل هي معلقة به بوساطة هذه الألياف مما يزيد من مرونتها وتحملها للقوى الميكانيكية، وتعدّ ظاهرة الالتصاق بين السن والعظم ظاهرة مرضية.

يتمتّع هذا النسيج بكل مقومات النسيج الضام، فهو ذو أوعية دموية وعناصر عصبية وله مادة أساسية وعناصر خلوية مختلفة وله فعلٌ داعمٌ ومبدد للقوى ومغذٍ ومرمم.

4ـ الملاط: هو النسيج القاسي المتمعدن الذي يغطي جذر السن، ويصنف ضمن الأنسجة الداعمة لمشاركته في ضم ألياف الرباط السنخي السني، وهو طبقة رقيقة تزداد ثخانة بدءاً من عنق السن وباتجاه نهاية جذرها، ويحدث أن يفقد هذا الملاط معادنه أو يتلين أو يتقشر أو يرتشف في سياق الأمراض المختلفة التي تصادف في إصابات الأنسجة الداعمة.

آلية حدوث المرض

يحدث المرض اللثوي حين يتحول التلم اللثوي إلى جيب لثوي، ويرافق هذا التحول تبدلات سريريه كثيرة في صفات اللثة وتبدلات التهابية مناعية كثيرة.

تعزى أمراض اللثة والأنسجة الداعمة إلى ثلاث مجموعات من الأسباب:

1ـ الأسباب الحيوية: وهي تتمثل باللويحة الجرثومية plaque microbienne أو اللويحة السنية plaque dentaire. ومن العوامل التي تساعد أو تشارك في تكوّن هذه اللويحة: الإهمال أو استعمال فرشاة الأسنان استعمالاً سيئاً، وسوء وضع الأسنان، والترسبات القلحية وتصبغات الأسنان، والتدخين، والمضغ الوحيد الجانب، والأطعمة الملتصقة.

2ـ الأسباب الوظيفية: أو ما يسمى الإطباق الرضِّي occlusion traumatique، تغير هذه المجموعة من الأسباب من طبيعة القوى المطبقة على الأسنان أو تغير من مدى احتمال الأنسجة الداعمة للقوى الإطباقية، ومن هذه العوامل الوظيفية صريف الأسنان الليلي والنهاري bruxisme وسوء وضع الأسنان والقلع غير المعوض والعادات الفموية السيئة: كمص الإصبع والشفة واللسان وقضم الأظافر والأجسام الأجنبية وغيرها.

3ـ الأسباب الثانوية: هناك أيضاً مجموعتان ثانويتان من الأسباب هما الأسباب التشريحية والأسباب العامة.

أ ـ الأسباب التشريحية: وتضم اللثة الملتصقة غير الكافية والنسيج العظمي الرقيق واللسان الكبير وسوء تكوّن الأسنان وغيرها.

ب ـ الأسباب العامة: كأمراض الدم والغدد الصم والعظام وأمراض الاستقلاب وغيرها، وهذه الأمراض لا تُحدِث وحدها مرضاً لثوياً، ولا تقلب وحدها التلم اللثوي إلى جيب لثوي ما لم تتضافر مع العوامل الموضعية أو الحيوية تحديداً.

ج ـ الأسباب المباشرة: إن الثابت اليوم أن الأسباب المباشرة فموية موضعية وهي اللويحة الجرثومية التي تعدُّ المسؤول الأساسي عن أمراض اللثة. وهذه النقلة في الأسباب من عامة إلى موضعية تلتها نقلة أهم منها في التشخيص والمعالجة فأضحى التشخيص هو الآخر موضعياً فموياً في البداية ثم جهازياً عاماً عند اللزوم، وغدت المعالجة فموية موضعية كأساس ثم عامة أحياناً كمعالجة مساعدة ووسيطة. ومن هذا المنظار سيكون التركيز على موضوع اللويحة أساساً والإيجاز في موضوع الإطباق على ما يخص أمراض اللثة فقط.

تعد اللويحة الجرثومية مستعمرة متخصصة تتوضع على سطوح الأسنان وضمن التلم، تختلف في تركيبها من شخص إلى آخر ومن منطقة إلى أخرى في الفم الواحد ومن عمر إلى آخر في المريض نفسه، وتضم عدداً كبيراً من المتعضيات الدقيقة التي تنتظم تدريجيا وتباعاً إلى أن تصل إلى نضجها التام؛ وهي تختلف عن الزمرة الجرثومية الطبيعية الفموية، وتبدأ تكوّنها ملتصقة على غشاء من البروتينات السكرية والمخاطية الآتية من اللعاب والملتصقة بسطح السن. وأول الجراثيم ترسباً المكورات الإيجابية الغرام مع بعض العصيات مثل النسرية Neisseria، والنوكاردية Nocardia، والعقديات الدموية. ومع ازدياد ثخن اللويحة تميل الجراثيم إلى أن تصبح لا هوائية وسالبة الغرام، ويتم التغذي بنواتج الاستقلاب الجرثومية والمواد التي في لحمة اللويحة وبين الجراثيم. ومع النضج يزداد عدد المكورات السالبة الغرام، ثم تترسب الجراثيم المغزلية Fusobactéries والفطور الشعاعية Actinomycètes والفيونيلة Veillonella غير الهوائية ثم تتكون الملتويات Spirochètes وتزداد أعدادها جميعاً، ولاسيما الفطور الشعاعية المسماة نسلوندي Nasslundi، وتتناقص العقديات لتحل مكانها العصيات الخيطية، وتوجد الحمات مع الجراثيم المغزلية تحت اللثة. هذه هي العناصر الأساسية في اللويحة ولكن هناك دراسات كثيرة تتناول هذا الموضوع كل عام وأصبح العلماء يتكلمون عن لويحات جرثومية بدل لويحة، وعن لويحة لكل مظهر التهابي سريري، وكشفوا عناصر مهمة جداً في أمراض اللثة منها العصوانية الميلانينية Bacteroides melaninogenicus وهي جرثومة شديدة الفوعة تثير وحدها الارتشاف العظمي وتنشط جملة المتممة وجرثومة عصوية شعاعية توجد بكثرة في داء انحلال الأنسجة الداعمة عند الأطفال وعند عدد كبير من المرضى المصابين بداء أُسْـلَر Osler.

تؤثر اللويحة بإحدى آليات ثلاث:

  • الآلية الأولى: تتحول اللويحة إلى قَلح tartre وهو عامل مخرِّش ميكانيكي يعد حاملاً لأنواع أخرى من اللويحات، أما الجراثيم التي ضمنه فتعدّ ميتة متكلسة وغير فعالة. ويوجد منه أنواع كثيرة تحت اللثة وفوقها، ويتكون بتأثيرٍ من اللعاب من جهة ومن مصل الدم من جهة أخرى، ويزال بالتقليح détartrage الذي يختلف عن تنظيف الأسنان، ويتم بأدوات يدويةٍ تُدعى مقالح أو بأدوات آلية كجهاز الاهتزازات فوق الصوتية cavitron.
  • الآلية الثانية: تفرز جراثيم اللويحة خمائر كثيرة وسموماً تحل الارتباطات بين الخلايا فتسبب تقرح البشرة وتفكك النسيج الضام الذي يبطنها ثم انكشافه مما يتيح لزمر خمائرية كثيرة الولوجَ فيه وإثارة تفاعل التهابي شديد. وتتكاثر البشرة هنا كرد فعل دفاعي، ولكنها تخفق قي تغطية النسيج الضام لأنه ملتهب، فتهاجر هذه البشرة باتجاه الرباط وأسفل السن مؤلفة الجيب اللثوي.
  • الآلية الثالثة: وهي الآلية المناعية التي يقوم فيها أحد مكونات الجراثيم مقام مستضد antigène فيتكوَّن لها في النسيج الضام وأحياناً في السائل اللثوي جسمٌ ضدي anticorps ثم يتكوّن ما يسمّى المعقد المناعي الذي يثير تفاعلات مناعية كثيرة ومتطوِّرة تزيد من حدة التخريب والموت الخلوي، وتنشط في سياق هذه العملية جملة المتممة، وتُلاحَظُ أجزاء منشطة كثيرة منها، وتتطور كل مراحل التفاعلات المناعية، انطلاقاً من الصدمة التحسسية عندما يتثبت كُرَيِّين (غلوبولين) مناعي E فوق خلية بدينة mastocyte، إلى تفاعل الانسمام الخلوي cytotoxicité ثم إلى مجمل المناعة الخلطية التي تنهض بها المصوريات وجملة المتممة وأخيراً إلى المناعة الخلوية التي تنشط فيها ذراري اللمفاويات.

التشريح النسيجي

يقتصر البحث فيه على دراسة نسيج اللثة لأن دراسته تنعكس على الناحية السريرية وطرائق العلاج. ويمكن القول فيما يتصل بتشريح اللثة النسيجي إنّ اللثة نسيج ضام مغطى بالبشرة الرصفية المطبقة التي تتقرن في مستوى اللثة الملتصقة، وتصبح غير متقرنة أو نظيرة المتقرّنة في مستوى مركز بشرة الحليمات اللثوية، وغير متقرنة نهائياً في مستوى اللثة الحرة وعنق اللثة والارتباط الظهاري. ويختلف عدد طبقات خلايا البشرة من منطقة إلى أخرى. فهو عدد نموذجي في اللثة الملتصقة أي إن هذه البشرة تتمتع بطبقة قاعدية مولِّدة وطبقة خلايا شائكة ثم طبقة خلايا حبيبية وأخيراً طبقة خلايا متقرنة، في حين أن طبقة التقرن تغيب في اللثتين الحرة والحليمية وأن طبقة التقرن والطبقة الحبيبية تغيبان في عنق اللثة والارتباط الظهاري. وتتصل خلايا البشرة فيما بينها بما يسمى الجسيمات الرابطة desmosomes التي توجد بكثرة في اللثة الملتصقة وتكون قليلة جداً في بشرة الارتباط، الأمر الذي يعني زيادة المسافات بين الخلايا ويعني نقطة ضعف مهمة جداً.

تُفصل البشرة عن النسيج الضام بما يسمى الغشاء القاعدي الذي يتألف من الجسيمات الرابطة النصفية والطبقة الشافَّة lamina lucida والطبقة الكثيفة lamina densa وبعض الألياف الغرائية المقوية الآتية من النسيج الضام والتي تنغرز في الصفيحة الكثيفة لتزيد في التثبيت. أما النسيج الضام المبطِّن للثة فهو نسيج ضام تقليدي ذو أوعية دموية وعناصر عصبية وغني جداً بالعناصر الدفاعية الخلوية والبروتينية المناعية التي يمكن أن تهاجر منه ومن خلال البشرة والتلم مؤلفة ما يسمى السائل اللثوي.

الأعراض والعلامات

التهاب اللثة.

The symptoms of gingivitis are somewhat non-specific and manifest in the gum tissue as the classic signs of inflammation:

  • Swollen gums
  • Bright red or purple gums
  • Gums that are tender or painful to the touch
  • Bleeding gums or bleeding after brushing and/or flossing
  • Bad breath (halitosis)

عندما تصاب اللثة والأنسجة الداعمة بالتهاب أو استحالةٍ تظهر سريرياً أعراض وعلامات يعد معظمها مصدر قلق للمريض، وأكثر ما يدعو المريض إلى مراجعة الطبيب من هذه الأعراض ما يلي:

1ـ النزف اللثوي: الذي يحدث من ضمن التلم ثم من بين الأسنان فالمناطق الضعيفة بالتدريج بسبب رقة البشرة في هذه المناطق، ويكون موضَّعاً أو معمماً بحسب شدة الالتهاب، وهو نوعان: نزف مثار لدى استخدام فرشاة الأسنان أو الأطعمة القاسية، ونزف عفوي، ولو من غير حركة، يثير القلق إذ يظن أنه دلالة على مرض دموي خبيث، ولكن هذا النزف العفوي يجب أن يكون غزيراً جداً وقلما يرقأ ليظن أنه ناجم عن سرطان الدم.

2ـ الانحسار اللثوي: المقصود به تراجع اللثة الذي تنجم عنه حساسية الأسنان من جهة وتطاولها الظاهري من جهة أخرى. والنُّساع، في العربية، هو انكشاف اللثة عن الأسنان واسترخاؤها. والسبب المباشر في الانحسار هو الالتهاب والإطباق الرضي، والسبب غير المباشر هو كمية اللثة الملتصقة غير الكافية. والانحسار كذلك، موضَّعاً أو معمماً، هو كثير الحدوث في القواطع السفلية والأرحاء العلوية بسبب ثخانة الجذر، ويشخص سريرياً بالنظر ويعالج بالتغطية الجراحية وتعديل الإطباق.

3ـ ضخامة اللثة: هي فرط نمو اللثة الناجم عن زيادة عدد العناصر الخلوية hyperplasie وعن كبر حجم الخلايا hypertrophie، مما يغيّر من شكل اللثة ويعوق استعمال فرشاة الأسنان فيتوضع الالتهاب ويزداد إمكان حدوث النزف، وتكون الضخامة موضعة أو معممة، حادة كالخراجات أو مُزْمِنة في معظم أشكالها، وتصنف بحسب السبب كما يلي:

أ ـ الضخامة التنسجية: وهي كتلك التي تشاهد عند المرضى المصابين بالصرع والأمراض العصبية الذين يتناولون المهدئات العصبية. وسبب الضخامة هنا فرط نشاط الخلايا المولدة للألياف fibroblast.

ب ـ الضخامة الالتهابية: وهي التي تسببها اللويحة الجرثومية.

ج ـ الضخامة المختلطة: وهي التي تكون من منشأ التهابي وتنسجية.

د ـ الضخامة المشروطة: وهي التي تشاهد في سياق الحمل وتسمى الورم الحملي، أو في مرحلة البلوغ أو في سياق ابيضاض الدم ونقص الفيتامين C، وكلمة مشروطة هنا تعني أن الضخامة غير قادرة على الظهور ما لم يوجد أحد هذه العوامل.

هـ ـ الضخامة الأُسْريّة أو الوراثية أو المجهولة.

وهناك أخيراً مجموعة الضخامات الورمية أو الأورام التي تخرج عن نطاق هذا البحث. وتعالج الضخامة بقطع اللثة gingivectomie.

4ـ الجيب اللثوي والجيب حول السن: هو أصلاً المرض اللثوي نفسه، ولكن القصد منه هنا العرض أو العلامة، فيقال جيب لثوي عندما يزداد عمق التلم اللثوي، ولكن من دون هجرة خلايا بشرة الارتباط، أي إن الجيب هنا سببه زيادة نمو اللثة نحو التاج. ويقال جيب حول السن عندما يزداد عمق التلم بهجرة خلايا الارتباط ونمو اللثة معاً.

وتصنف الجيوب كما يلي: جيوب بسيطة عندما تصيب جداراً واحداً، وجيوب مركبة عندما تصيب جدارين أو أكثر، وجيوب معقدة عندما تبدأ من نقطة وتلتف حول الجذر، وهنالك جيوب فوق العظم وجيوب تحته.

5ـ الارتشاف العظمي: لا يشاهد هذا الارتشاف resorption إلا شعاعياً ويكون موضَّعاً أو معمماً، أفقياً عندما يكون السبب التهابياً، وشاقولياً عندما يكون السبب رضياً، ومختلطاً عندما يكون السبب مركباً أي التهابياً ورضياً معاً، وتسمى الآفة التي يسببها الارتشاف تسمية تتفق وشكلها، وتدعى هذه الآفات عيوباً عظمية.

6ـ حركة الأسنان: وهي علامة مرعبة للمريض لإحساسه باقتراب فقده أسنانه، والأصل في سبب الحركة هو الارتشاف العظمي، وتكون باتجاه أمامي خلفي أو جانبي أو عمودي، وتتقدم مع بقاء السبب، وتتباعد الأسنان فيما بينها وتغير من أوضاعها لتصبح مائلة أو مفتولة، وتختبر الحركة باليد أو الملقط، وهناك جهاز خاص أحياناً لقياسها يدعى مقياس الحركة. وتعالج الحركة بالجبائر اللثوية مشتركة مع المعالجات اللثوية النوعية.

7ـ الألم اللثوي: قلما يكون المرض اللثوي مؤلماً إلا في بعض الحالات الحادة التي يكون الألم فيها عرضاً مهماً مثل الحالات الآتية:

أ ـ التهاب ماحول التاج «التُواج»: ولاسيما «تواج» الرحى الثالثة السفلية، والتواج هو التهاب اللثة حول سن في طور البزوغ، يترافق بالتهاب العضلات مسبباً الضزز trismus (ضيق الشدقين أو الكزاز الفموي)، وينتقل ألمه إلى الأذن والرأس واللوزتين وقعر الفم والبلعوم، ويسبب أعراضاً مبهمة حادة أحياناً في جميع هذه المناطق، ويعالج التواج بحسب الحالة بجراحة اللثة أو قلع السن المسببة إضافة إلى المعالجة الدوائية.[6]

ب ـ التهاب الفم واللثة العُقبولي الحاد.

ج ـ التهاب اللثة النخري المواتي الحاد.

د ـ التهاب الأنسجة الداعمة الشبابي الحاد.

وهذه الأمراض لا تحتاج إلى تفصيل لندرتها، أما المرض الأخير فخطير جداً.

8ـ بَخَر الفم: وهو النكهة الكريهة التي تصدر عن بعض الأفواه، والسبب فيها الإهمال وتفسخ فضلات الطعام بجراثيم اللويحة وأحياناً تخمر الدم والقيح، ومن هنا يمكن ذكر عدة أنواع من البخر الفموي الذي تسببه اللثة أو نخر الأسنان أو التعويضات، وهناك بخر فموي أنفي أو جيبي أو لوزي، وهناك بخر من منشأ عام كالبخر الرئوي والهضمي والجلدي كالمشاهد عند السكريين أو المصابين بأمراض هضمية أو كلوية. والأصل في معالجة البخر إزالة السبب.

9ـ أعراض أخرى: هناك أعراض وعلامات كثيرة أخرى لا تحتاج إلى تفصيل إما لندرة مظاهرها السريرية وإما لندرتها، منها: تغير لون اللثة وقوامها، وإصابات في مفترق الجذور، وخراجات اللثة، والالتهاب اللثوي علامةً أو عرضاً لا مرضاً، وأعراض وعلامات أخرى.

المضاعفات

مرض ألزايمر والخرف

A new study from 2018 found evidence that gingivitis bacteria may be linked to Alzheimer's disease. Scientists agree that more research is needed to prove a cause and effect link.[8] "Studies have also found that the bacteria P. gingivalis – which are responsible for many forms of gum disease – can migrate from the mouth to the brain in mice. And on entry to the brain, P. gingivalis can reproduce all of the characteristic features of Alzheimer’s disease."

أسباب التهاب اللثة

Because plaque-induced gingivitis is by far the most common form of gingival diseases, the following sections will deal primarily with this condition.

The cause of plaque-induced gingivitis is bacterial plaque, which acts to initiate the body's host response. This, in turn, can lead to destruction of the gingival tissues, which may progress to destruction of the periodontal attachment apparatus.[9] The plaque accumulates in the small gaps between teeth, in the gingival grooves and in areas known as plaque traps: locations that serve to accumulate and maintain plaque. Examples of plaque traps include bulky and overhanging restorative margins, clasps of removable partial dentures and calculus (tartar) that forms on teeth. Although these accumulations may be tiny, the bacteria in them produce chemicals, such as degradative enzymes, and toxins, such as lipopolysaccharide (LPS, otherwise known as endotoxin) or lipoteichoic acid (LTA), that promote an inflammatory response in the gum tissue. This inflammation can cause an enlargement of the gingiva and subsequent formation. Early plaque in health consists of a relatively simple bacterial community dominated by Gram-positive cocci and rods. As plaque matures and gingivitis develops, the communities become increasingly complex with higher proportions of Gram-negative rods, fusiforms, filaments, spirilla and spirochetes. Later experimental gingivitis studies, using culture, provided more information regarding the specific bacterial species present in plaque. Taxa associated with gingivitis included Fusobacterium nucleatum subspecies polymorphum, Lachnospiraceae [G-2] species HOT100, Lautropia species HOTA94, and Prevotella oulorum (a species of Prevotella bacterium), whilst Rothia dentocariosa was associated with periodontal health.[10] Further study of these taxa is warranted and may lead to new therapeutic approaches to prevent periodontal disease.

عوامل الخطر

Risk factors associated with gingivitis include the following:

  • age
  • osteoporosis
  • low dental care utilization
  • poor oral hygiene
  • overly aggressive oral hygiene such as brushing with stiff bristles
  • mouth breathing during sleep
  • Orthodontic braces[11]
  • medications and conditions that dry the mouth
  • cigarette smoking
  • genetic factors
  • stress
  • mental health issues such as depression
  • pre-existing conditions such as diabetes

التشخيص

Gingivitis is a category of periodontal disease in which there is no loss of bone but inflammation and bleeding are present.

Each tooth is divided into four gingival units (mesial, distal, buccal, and lingual) and given a score from 0–3 based on the gingival index. The four scores are then averaged to give each tooth a single score.

The diagnosis of the periodontal disease gingivitis is done by a dentist. The diagnosis is based on clinical assessment data acquired during a comprehensive periodontal exam. Either a registered dental hygienist or a dentist may perform the comprehensive periodontal exam but the data interpretation and diagnosis are done by the dentist. The comprehensive periodontal exam consists of a visual exam, a series of radiographs, probing of the gingiva, determining the extent of current or past damage to the periodontium and a comprehensive review of the medical and dental histories.

Current research shows that activity levels of the following enzymes in saliva samples are associated with periodontal destruction: aspartate aminotransferase (AST), alanine aminotransferase (ALT), gamma glutamyl transferase (GGT), alkaline phosphatase (ALP), and acid phosphatase (ACP). Therefore, these enzyme biomarkers may be used to aid in the diagnosis and treatment of gingivitis and periodontitis.

A dental hygienist or dentist will check for the symptoms of gingivitis, and may also examine the amount of plaque in the oral cavity. A dental hygienist or dentist will also look for signs of periodontitis using X-rays or periodontal probing as well as other methods.

If gingivitis is not responsive to treatment, referral to a periodontist (a specialist in diseases of the gingiva and bone around teeth and dental implants) for further treatment may be necessary.

التصنيف

تصنيف 1999

As defined by the 1999 World Workshop in Clinical Periodontics, there are two primary categories of gingival diseases, each with numerous subgroups:[12]

  1. Dental plaque-induced gingival diseases.
    1. Gingivitis associated with plaque only
    2. Gingival diseases modified by systemic factors
    3. Gingival diseases modified by medications
    4. Gingival diseases modified by malnutrition
  2. Non-plaque-induced gingival lesions
    1. Gingival diseases of specific bacterial origin
    2. Gingival diseases of viral origin
    3. Gingival diseases of fungal origin
    4. Gingival diseases of genetic origin
    5. Gingival manifestations of systemic conditions
    6. Traumatic lesions
    7. Foreign body reactions
    8. Not otherwise specified

تصنيف 2017

As defined by the 2017 World Workshop, periodontal health, gingival diseases/ conditions have been categorised into the following:[13]

  1. Periodontal health and gingival health
    1. Clinical gingival health on an intact periodontium
    2. Clinical gingival health on a reduced periodontium
      1. Stable periodontitis patient
      2. Non-periodontitis patient
  2. Gingivitis – dental biofilm-induced
    1. Associated with dental biofilm alone
    2. Mediated by systemic or local risk factors
    3. Drug-influenced gingival enlargement
  3. Gingival diseases – non-dental biofilm induced
    1. Genetic/ developmental disorders
    2. Specific infections
    3. Inflammatory and immune conditions
    4. Reactive processes
    5. Neoplasms
    6. Endocrine, nutritional & metabolic diseases
    7. Traumatic lesions
    8. Gingival pigmentation

الوقاية

Gingivitis can be prevented through regular oral hygiene[14] that includes daily brushing and flossing.[15] Hydrogen peroxide, saline, alcohol or chlorhexidine mouth washes may also be employed. In a 2004 clinical study, the beneficial effect of hydrogen peroxide on gingivitis has been highlighted.[16] The use of oscillation type brushes might reduce the risk of gingivitis compared to manual brushing.[17]

Rigorous plaque control programs along with periodontal scaling and curettage also have proved to be helpful, although according to the American Dental Association, periodontal scaling and root planing are considered as a treatment for periodontal disease, not as a preventive treatment for periodontal disease.[18] In a 1997 review of effectiveness data, the U.S. Food and Drug Administration (FDA) found clear evidence showing that toothpaste containing triclosan was effective in preventing gingivitis.[19] In 2017 the FDA banned triclosan in many consumer products but allowed it to remain in toothpaste because of its effectiveness against gingivitis. [20] In 2019, Colgate, under pressure from health advocates, removed triclosan from the last toothpaste on the market containing it, Colgate Total. [21]

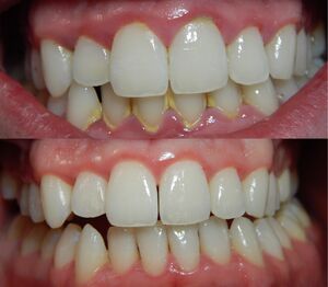
العلاج

Gingivitis before (top) and after (bottom) a thorough mechanical debridement of the teeth
Analgesic and antiseptic gum paint with applicator buds used in treatment of gingivitis

The focus of treatment is to remove plaque. Therapy is aimed at the reduction of oral bacteria and may take the form of regular periodic visits to a dental professional together with adequate oral hygiene home care. Thus, several of the methods used in the prevention of gingivitis can also be used for the treatment of manifest gingivitis, such as scaling, root planing, curettage, mouth washes containing chlorhexidine or hydrogen peroxide, and flossing. Interdental brushes also help remove any causative agents.

Powered toothbrushes work better than manual toothbrushes in reducing the disease.[22]

The active ingredients that "reduce plaque and demonstrate effective reduction of gingival inflammation over a period of time" are triclosan, chlorhexidine digluconate, and a combination of thymol, menthol, eucalyptol, and methyl salicylate. These ingredients are found in toothpaste and mouthwash. Hydrogen peroxide was long considered a suitable over-the-counter agent to treat gingivitis. There has been evidence to show the positive effect on controlling gingivitis in short-term use. A study indicates the fluoridated hydrogen peroxide-based mouth rinse can remove teeth stain and reduce gingivitis.[16]

Based on a limited evidence, mouthwashes with essential oils may also be useful, as they contain ingredients with anti-inflammatory properties, such as thymol, menthol and eucalyptol.[23]

The bacteria that causes gingivitis can be controlled by using an oral irrigator daily with a mouthwash containing an antibiotic. Either amoxicillin, cephalexin, or minocycline in 500 grams of a non-alcoholic fluoride mouthwash is an effective mixture.[24]

Overall, intensive oral hygiene care has been shown to improve gingival health in individuals with well-controlled type 2 diabetes. Periodontal destruction is also slowed due to the extensive oral care. Intensive oral hygiene care (oral health education plus supra-gingival scaling) without any periodontal therapy improves gingival health, and may prevent progression of gingivitis in well-controlled diabetes.

انظر أيضاً

المصادر

  1. ^ The American Academy of Periodontology. Proceedings of the World Workshop in Clinical Periodontics. Chicago:The American Academy of Periodontology; 1989:I/23-I/24.
  2. ^ Dental Hygiene - E-Book: Theory and Practice, by Michele Leonardi Darby, Margaret Walsh, page 318
  3. ^ Ammons, WF; Schectman, LR; Page, RC (1972). "Host tissue response in chronic periodontal disease. 1. The normal periodontium and clinical manifestations of dental and periodontal disease in the marmoset". Journal of Periodontal Research. 7 (2): 131–43. doi:10.1111/j.1600-0765.1972.tb00638.x. PMID 4272039.
  4. ^ Page, RC; Schroeder, HE (1976). "Pathogenesis of inflammatory periodontal disease. A summary of current work". Laboratory Investigation. 34 (3): 235–49. PMID 765622.
  5. ^ "Parameter on Plaque-Induced Gingivitis". Journal of Periodontology. 71 (5 Suppl): 851–2. 2000. doi:10.1902/jop.2000.71.5-S.851. PMID 10875689.
  6. ^ الموسوعة العربية
  7. ^ Saini, Rajiv; Saini, Santosh; Saini, Sugandha R. (2010-01-01). "Periodontitis: A risk for delivery of premature labor and low-birth-weight infants". Journal of Natural Science, Biology, and Medicine. 1 (1): 40–42. doi:10.4103/0976-9668.71672. ISSN 0976-9668. PMC 3217279. PMID 22096335.{{cite journal}}: CS1 maint: unflagged free DOI (link)
  8. ^ Sim K. Singhrao (January 30, 2019). "Alzheimer's is linked to gum disease – but bad oral health is not the only culprit". theconversation.com.
  9. ^ Research, Science and Therapy Committee of the American Academy of Periodontology (2001). "Treatment of Plaque-Induced Gingivitis, Chronic Periodontitis, and Other Clinical Conditions". Journal of Periodontology. 72 (12): 1790–1800. doi:10.1902/jop.2001.72.12.1790. PMID 11811516.
  10. ^ Kistler, James O.; Booth, Veronica; Bradshaw, David J.; Wade, William G.; Glogauer, Michael (14 August 2013). "Bacterial Community Development in Experimental Gingivitis". PLOS ONE. 8 (8): e71227. Bibcode:2013PLoSO...871227K. doi:10.1371/journal.pone.0071227. PMC 3743832. PMID 23967169.
  11. ^ "Gingivitis and braces". Orthodontics Australia (in الإنجليزية الأسترالية). 2021-05-02. Retrieved 2021-05-19.
  12. ^ Armitage, Gary C. (1999). "Development of a Classification System for Periodontal Diseases and Conditions" (PDF). Annals of Periodontology. 4 (1): 1–6. doi:10.1902/annals.1999.4.1.1. PMID 10863370. Archived from the original (PDF) on 2010-06-12. Retrieved 2010-05-12.
  13. ^ Caton, Jack G.; Armitage, Gary; Berglundh, Tord; Chapple, Iain L. C.; Jepsen, Søren; Kornman, Kenneth S.; Mealey, Brian L.; Papapanou, Panos N.; Sanz, Mariano; Tonetti, Maurizio S. (2018). "A new classification scheme for periodontal and peri-implant diseases and conditions – Introduction and key changes from the 1999 classification". Journal of Clinical Periodontology (in الإنجليزية). 45 (S20): S1–S8. doi:10.1111/jcpe.12935. ISSN 1600-051X. PMID 29926489.
  14. ^ "How to Get Rid of Puffy Gums with Braces". Orthodontics Australia (in الإنجليزية الأسترالية). 2021-05-02. Retrieved 2021-07-21.
  15. ^ Sambunjak, D.; Nickerson, J. W.; Poklepovic, T.; Johnson, T. M.; Imai, P.; Tugwell, P.; Worthington, H. V. (2011). Johnson, Trevor M (ed.). "Flossing for the management of periodontal diseases and dental caries in adults". The Cochrane Database of Systematic Reviews (12): CD008829. doi:10.1002/14651858.CD008829.pub2. PMID 22161438.
  16. ^ أ ب Hasturk, Hatice; Nunn, Martha; Warbington, Martha; Van Dyke, Thomas E. (2004). "Efficacy of a Fluoridated Hydrogen Peroxide-Based Mouthrinse for the Treatment of Gingivitis: A Randomized Clinical Trial". Journal of Periodontology. 75 (1): 57–65. doi:10.1902/jop.2004.75.1.57. PMID 15025217.
  17. ^ Deacon, Scott A; Glenny, Anne-Marie; Deery, Chris; Robinson, Peter G; Heanue, Mike; Walmsley, A Damien; Shaw, William C (2010-12-08). "Cochrane Database of Systematic Reviews". The Cochrane Database of Systematic Reviews (in الإنجليزية) (12): CD004971. doi:10.1002/14651858.cd004971.pub2. PMC 8406707. PMID 21154357.
  18. ^ American Dental Hygienists’ Association Position Paper on the Oral Prophylaxis Archived 2012-06-26 at the Wayback Machine, Approved by the ADHA Board of Trustees April 29, 1998
  19. ^ FDA Triclosan: What Consumers Should Know Accessed 2010-08-12
  20. ^ FDA - 5 Things to Know About Triclosan Accessed 2021-04-08
  21. ^ Bloomberg - Colgate Total Toothpaste to Relaunch Without Controversial Chemical Accessed 2021-04-08
  22. ^ Yaacob, M; Worthington, HV; Deacon, SA; Deery, C; Walmsley, AD; Robinson, PG; Glenny, AM (17 June 2014). "Powered versus manual toothbrushing for oral health". The Cochrane Database of Systematic Reviews. 6 (6): CD002281. doi:10.1002/14651858.CD002281.pub3. PMC 7133541. PMID 24934383.
  23. ^ Stoeken, Judith E.; Paraskevas, Spiros; Van Der Weijden, Godefridus A. (2007). "The Long-Term Effect of a Mouthrinse Containing Essential Oils on Dental Plaque and Gingivitis: A Systematic Review". Journal of Periodontology. 78 (7): 1218–28. doi:10.1902/jop.2007.060269. PMID 17608576.
  24. ^ WebMD Treatments for Gum Disease

وصلات خارجية

Classification
V · T · D
External resources


الكلمات الدالة: