حلق (تشريح)
| Throat | |
|---|---|
The human throat.  | |
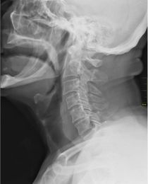
X-ray showing the throat, seen as a dark band to the front of the spine.  | |
| Details | |
| Identifiers | |
| اللاتينية | gula jugulum  | 
| FMA | 228738 | 
| المصطلحات التشريحية | |
الحلق (بالإنجليزية: Throat)، في علم التشريح، هو الجزء الداخلي من الرقبة، أمام الفقرات العنقية. ويحتوي على البلعوم (بالإنجليزية: pharynx) والحنجرة (بالإنجليزية: larynx).
ومن المميزات الرئيسية للحلق هو وجود لسان المزمار، وهو غضروف مرن يقوم بفصل المريء عن الرغامى، أو ما يعرف بالقصبة الهوائية، كي لا يدخل الطعام والشراب إلى الرئتين.
مكونات الحلق
ويتكون الحلق من أوعية دموية، عضلات متنوعة، المرئ، الرغامى (القصبة الهوائية). وتعتبر عظمتا الرقبة والترقوة العظمتين الوحيدتين الموجودتين في حلق الإنسان.
انظر أيضا
الرأس: جمجمة - جبهة – عين – أذن – أنف – فم – لسان – أسنان – فك – فك سفلي – وجه – خد – ذقن
الرقبة: حلق - حنجرة – تفاحة آدم
جذع: كتف – عمود فقري – ثدي – حلمة – صدر – قفص صدري – بطن – سرة
أطراف: ذراع – مرفق – ساعد – رسغ – يد – اصبع (إبهام - سبابة - وسطى - بنصر - خنصر) – رجل – حـِجر Lap – فخذ – ركبة – رَبـْلة الساق Calf muscle – كعب – كاحل – قدم – اصبع قدم (إبهام القدم Hallux)