سرطان الخلايا الصغيرة

(تم التحويل من Small-cell carcinoma)
سرطان الخلايا الصغيرة
التخصصعلم الأورام Edit this on Marefadata
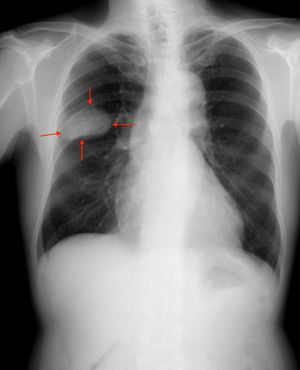
الرئة اليمنى، الجانب S2-S3 من سرطان الخلايا الصغيرة.

سرطان الخلايا الصغيرة Small-cell carcinoma (المعروف أيضا باسم "سرطان الخلايا الصغيرة الرئوي" small-cell lung cancer، أو "سرطان خلايا الشوفان " oat-cell carcinoma)، هو أحد أنواع السرطانات الخبيثة بشكل عالي والتي غالباً ما تنشأ داخل الرئة، [1] على الرغم من أنه يمكنه أن ينشأ في بعض الأحيان في مواقع أخرى من الجسم، مثل عنق الرحم[2] والپروستاتا[3] والجهاز الهضمي. بالمقارنة مع السرطانات غير صغيرة الخلايا، فإن سرطان الخلايا الصغيرة لديه وقت مضاعفة أقصر وارتفاع نسبة النمو، وانبثاث مبكر.

الأعراض السريرية

عادة ما يظهر سرطان الخلايا الصغيرة في الرئة في الشُعب الهوائية المركزية ويغزو الطبقة ما تحت المخاطية مما يؤدي إلى تضييق الممرات الهوائية. تشمل الأعراض الشائعة: السعال وضيق التنفس وفقدان الوزن والوهن. أكثر من 70٪ من المرضى الذين يعانون من سرطان الخلايا الصغيرة يتعرضون لمرض انبثاثي. يحدث الانبثاث في مواقع شائعة مثل: الكبد والغدة الكظرية والعظام والدماغ.

الپاثولوجيا الخلوية

سرطان الخلايا الصغيرة هو ورم غير متمايز يتألف من خلايا بدائية الظهور. كما يوحي الاسم، فإن الخلايا في سرطان الخلايا الصغيرة أصغر من الخلايا الطبيعية، وبالكاد يوجد فيها السيتوپلازم. يُعرف بعض الباحثين ذلك على أنه فشل في الآلية التي تتحكم في حجم الخلايا.[4]

المتلازمة المصاحبة للورم

بسبب طبيعتها العالية الغدية ـ العصبية، فإن سرطان الخلايا الصغيرة ينتج هرمونات خارج موضعها الطبيعي، بما في ذلك الهرمون المحفز لقشرة الكظر (ACTH) والهرمون المضاد لإدرار للبول (ADH). يؤدي إنتاج كميات خارجية كبيرة من ADH إلى متلازمة إفراز الهرمون المضاد لإدرار البول الغير مناسب (SIADH).

متلازمة لامبرت-إيتون LEMS هي متلازمة شهيرة مصاحبة للورم[5]، مرتبطة بسرطان الخلايا الصغيرة.

الرئة

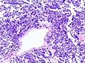
صورة نسيجية من سرطان الخلايا الصغيرة في الرئة. بصبغة H & E

عندما يظهر السرطان في الرئة، فإنه يسمى أحيانا "سرطان خلايا الشوفان " نظراً لشكل خلية المسطح والسيتوبلازم القليل. يعتقد أنه ينشأ من خلايا الغدد الصماء ـ العصبية (خلايا آبودية) في القصبة الهوائية تسمى الخلايا فيرتر (التي سميت باسم فريدريش فيرتر).[6] بالتالي، فإنها تعبر عن مجموعة متنوعة من علامات الغدد الصماء ـ العصبية، ربما تؤدي إلى إنتاج خارجي للهرمونات مثل ADH وACTH التي قد تؤدي إلى المتلازمات المصاحبة للورم ومتلازمة كوشينغ.[7] ما يقرب من نصف الأفراد الذين تم تشخيصهم بمتلازمة لامبرت-إيتون (LEMS) سوف يتضح في نهاية المطاف إصابتهم بسرطان الخلايا الصغيرة في الرئة.[5]

ينتشر سرطان الخلايا الصغيرة في أغلب الأحيان بسرعة أكبر وعلى نطاق أوسع من سرطان الرئة ذو الخلايا غير الصغيرة [8](وبالتالي تم تنظيمه بشكل مختلف). هناك عادة إصابة مبكرة في العقد اللمفاوية القمية و المنصفية.[7]

سرطان الخلايا الصغيرة الرئوي المشترك

يمكن أن يحدث سرطان الخلايا الصغيرة الرئوي في شراكة مع طائفة واسعة من الأنواع النسيجية الأخرى من سرطان الرئة، [9] بما في ذلك خليط الأنسجة الخبيثة البالغة التعقيد.[10] [11] عندما يتواجد مع واحد أو أكثر من الأشكال المتمايزة من سرطان الرئة، مثل سرطان الخلايا الحرشفية أو السرطان الغدي، يتم تشخيص الورم الخبيث وتصنيفه على أنه سرطان الخلايا الصغيرة الرئوي المشترك [9] وسرطان الخلايا الصغيرة الرئوي المشترك هو النوع الجانبي الوحيد المعروف حاليا من أنواع سرطان الخلايا الصغيرة الرئوي .[9]

على الرغم من أن سرطان الخلايا الصغيرة الرئوي المشترك يتم حاليا تحديد درجته وعلاجه على نحو مماثل لسرطان الخلايا الصغيرة "النقي" في الرئة، فإن البحوث الحديثة تشير إلى أن العملية الجراحية قد تؤدي إلى تحسن النتائج في المراحل المبكرة جدا من هذا النوع من الورم.

التدخين هو عامل مسبب للإصابة ذو أهمية كبيرة.

الأعراض والعلامات مشابهة لما هي عليه في سرطانات الرئة الأخرى. بالإضافة إلى ذلك، وبسبب أصل الخلية الغدد الصمي ـ العصبي، فإن سرطان الخلايا الصغيرة غالبا ما يفرز المواد التي تؤدي إلى متلازمات مصاحبة للورم مثل متلازمة الوهن العضلي لامبرت-إيتون.

سرطان الخلايا الصغيرة خارج الرئة

نادرا جدا ما يكون الموقع الرئيسي لسرطان الخلايا الصغيرة خارج الرئتين والغشاء البلوري المحيط بالرئة، ويشار إليه باسم سرطان الخلايا الصغيرة خارج الرئة (EPSCC). خارج الجهاز التنفسي، يمكن أن يظهر سرطان الخلايا الصغيرة في عنق الرحم والبروستاتا والكبد والبنكرياس والجهاز الهضمي، أو المثانة.[12] وتشير التقديرات إلى ظهور 1000 حالة جديدة سنويا في الولايات المتحدة مشابهة تشريحيا لسرطان الرئة صغير الخلايا، وغالبا ما تستخدم علاجات سرطان الرئة صغير الخلايا في علاج سرطان الخلايا الصغيرة خارج الرئة .[13] عادة ما يتكون خط العلاج الأول من سيسبلاتين وإيتوبوسيد. بينما في اليابان، خط العلاج الأول يتحول إلى إرينوتيكان وسيسبلاتين.

عندما يكون الموقع الأساسي للإصابة هو الجلد، يشار إلى السرطان باسم انبثاث ورمي جلدي.

سرطان الخلايا الصغيرة خارج الرئة المتوطن في الغدد الليمفاوية

هذا نوع نادر جدا من الخلايا الصغيرة، وكان هناك القليل من المعلومات عنه في المجتمع العلمي. ويبدو أنه يحدث في واحدة أو أكثر من الغدد الليمفاوية، وليس في أي مكان آخر في الجسم. علاجه مشابه لعلاج سرطان الرئة صغير الخلايا، ولكن معدلات البقاء على قيد الحياة أعلى بكثير من سرطانات الخلايا الصغيرة الأخرى.[14]

سرطان الخلايا الصغيرة في الپروستاتا

في البروستاتا، يعد سرطان الخلايا الصغيرة (SCCP) نوع نادر يمثل (حوالي 1٪ ) فقط من سرطان البروستاتا ،[15] يرجع ذلك إلى حقيقة أن هناك اختلاف طفيف في مستويات المستضد المختص في البروستاتا، عادة ما يتم تشخيص هذا النوع من السرطان في مرحلة متقدمة، بعد حدوث انبثاث للورم.

يمكن أن يصل الانبثاث إلى الدماغ.[16]

العلاج

تم تقسيم سرطان الرئة صغير الخلايا لفترة طويلة إلى مرحلتين إكلينيكيتين، متضمنا ذلك مرحلة محدودة (LS) ومرحلة واسعة الانتشار (ES). يتم تحديد المرحلة بشكل عام عن طريق وجود أو عدم وجود انبثاث، وما إذا كان الورم يبدو محصوراً في الصدر أم لا، وعما إذا كان أو لم يكن الورم بأكمله داخل الصدر فيمكن عمليا أن تتم السيطرة عليه من خلال مدخل علاج إشعاعي واحد.[17] بشكل عام، إذا اقتصر الورم على رئة واحدة والغدد الليمفاوية القريبة من هذه الرئة، يقال عنه أنه سرطان ذو مرحلة محدودة. أما إذا كان السرطان قد انتشر إلى أبعد من ذلك، يقال أنه سرطان ذو مرحلة واسعة الانتشار.

سرطان الخلايا الصغيرة الرئوي ذو المرحلة المحدودة

في حالات سرطان الخلايا الصغيرة الرئوي ذو المرحلة المحدودة، الجمع بين العلاج الكيميائي (في كثير من الأحيان يتضمن: سيكلوفوسفاميد، وسيسبلاتينيوم، ودوكسوروبيسين، وإيتوبوسيد، والفينكريستين و / أو باكليتاكسيل) يؤخذ جنبا إلى جنب مع العلاج الإشعاعي المتزامن للصدر (RT).

قد تبين أن العلاج الإشعاعي للصدر يساعد في تحسين إمكانية البقاء على قيد الحياة في المرحلة المحدودة لسرطان الرئة صغير الخلايا.

توجد نسب استجابة موضوعية مبدئية عالية بشكل استثنائي تتراوح ما بين 60٪ و90 % من سرطان الخلايا الصغيرة الرئوي ذو المرحلة المحدودة باستخدام العلاج الكيميائي وحده، مع نسبة تتراوح ما بين 45٪ و 75٪ من الأشخاص يظهرون "استجابة كاملة"، والتي يمكن تعريفها باختفاء جميع العلامات الإشعاعية والسريرية للورم. مع ذلك، لا تزال معدلات الانتكاس عالية، ومتوسط مدة البقاء على قيد الحياة لا تتجاوز 18 إلى 24 شهرا.

لأن انبثاث سرطان الخلايا الصغيرة الرئوي غالبا ما يكون على نطاق واسع جدا في وقت مبكر من التاريخ الطبيعي للورم، ولأن تقريبا جميع الحالات تستجيب بشكل كبير للعلاج الكيميائي و / أو العلاج الإشعاعي، كان هناك دور ضئيل للجراحة في هذا المرض منذ العقد 1970.[18] ومع ذلك، تشير الأبحاث الحديثة أنه في حالات سرطان الخلايا الصغيرة الرئوي صغيرة الحجم ، بدون أعراض ، وسلبية الإصابة العقدية ("المرحلة محدودة جدا")، فإن الاستئصال الجراحي قد يحسن البقاء على قيد الحياة عند استخدامه قبل العلاج الكيميائي ("العلاج الكيميائي المساعد").[19]

سرطان الخلايا الصغيرة الرئوي ذو المرحلة واسعة الانتشار

في سرطان الخلايا الصغيرة الرئوي ذو المرحلة واسعة الانتشار العلاج الكيميائي المتعدد هو معيار الرعاية، مع العلاج الإشعاعي المضاف فقط لتخفيف أعراض مثل ضيق التنفس، وألم من الكبد والانبثاث إلى العظام، أو لعلاج الانبثاث الدماغي، والذي، في سرطان الرئة صغير الخلايا، عادة ما يكون سريعا، وإن كان مؤقتا، كاستجابة للعلاج الإشعاعي على الدماغ كله.

يتكون العلاج الكيميائي المتعدد من مجموعة واسعة من العناصر، بما في ذلك سيسبلاتين وسيكلوفوسفاميد وفينكريستين وكاربوبلاتين. هناك معدلات استجابة مرتفعة حتى مع مرض واسع الانتشار، ما بين 15٪ و30٪ من الحالات تظهر استجابة كاملة للعلاج الكيميائي المتعدد، والغالبية العظمى تظهر على الأقل بعض الاستجابة الموضوعية. الاستجابة في سرطان الخلايا الصغيرة الرئوي ذو المرحلة واسعة الانتشار غالبا ما تكون لمدة قصيرة بالرغم من ذلك.

عند حدوث استجابة كاملة للعلاج الكيميائي في حالة تعاني من سرطان الخلايا الصغيرة الرئوي ذو المرحلة واسعة الانتشار، غالبا ما يستخدم العلاج الإشعاعي للدماغ (PCI) في محاولة لمنع ظهور الانبثاث الدماغي. على الرغم من أن هذا العلاج غالبا ما يكون فعالا، فإنه يمكن أن يسبب تساقط الشعر والوهن. التجارب الاحتمالية العشوائية مع المتابعة لما يقرب من عامين لم تظهر آثار مَرَضية عصبية. التحليل التلوي للتجارب العشوائية يؤكد أن العلاج الإشعاعي للدماغ يقدم فرص كبيرة للبقاء على قيد الحياة.

توقعات سير المرض

إجمالا لكل ما سبق، فإن سرطان الخلايا الصغيرة يظهر استجابة عالية للعلاج الكيميائي والعلاج الإشعاعي، وعلى وجه الخصوص، نظم العلاج التي تتكون من عوامل تحتوي على البلاتين. ومع ذلك، فإن معظم الحالات تنتكس ، ومتوسط مدة البقاء على قيد الحياة لا يزال منخفضا.

نرى هنا رسما بيانيا يوضح حالات الإصابة بسرطان الرئة صغير الخلايا (كما هو موضح باللون الأحمر في اليمين)، بالمقارنة مع أنواع سرطان الرئة الأخرى ، مع إظهار نسب المدخنين مقابل غير المدخنين لكل نوع.

في المرض ذو المرحلة المحدودة، متوسط مدة البقاء على قيد الحياة مع العلاج هو 14-20 شهرا، وحوالي 20٪ من المرضى الذين يعانون من المرحلة المحدودة لسرطان الخلايا الصغيرة في الرئة يعيشون 5 سنوات أو أكثر. بسبب استعداده للانبثاث في مراحل مبكرة من المرض فإن سرطان الخلايا الصغيرة في الرئة له توقعات سيئة، مع فقط 10٪ إلى 15٪ من المرضى يبقون على قيد الحياة مدة 3 سنوات.

التوقعات تصبح أسوأ في مرحلة سرطان الخلايا الصغيرة في الرئة واسع الانتشار. مع العلاج، متوسط مدة البقاء على قيد الحياة 8-13 شهرا؛ فقط 1 ـ 5 % من المرضى الذين يعانون من مرحلة سرطان الرئة صغير الخلايا واسع الانتشار ويتعرضون للعلاج الكيميائي يعيشون 5 سنوات أو أكثر.

علم الأوبئة

15٪ من حالات سرطان الرئة في الولايات المتحدة من هذا النوع.[20] يحدث سرطان الرئة صغير الخلايا بشكل حصري غالبا لدى المدخنين. وهو أكثر شيوعا لدى المدخنين الشرهين، ونادرا ما يحدث في غير المدخنين.[21][22]

علم الوراثة في سرطان الخلايا الصغيرة في الرئة

يتحور TP53 في 70-90٪ من حالات سرطان الخلايا الصغيرة في الرئة. يتعطل RB1 ومسار الشبكية في معظم حالات سرطان الخلايا الصغيرة في الرئة. يتحور PTEN في 2-10٪. تم العثور على تكبير MYC والتكبير في أفراد أسرة MYC في 30٪ من حالات سرطان الخلايا الصغيرة في الرئة. كما ظهر فقد الاختلاف الزيجوتي على ذراع الكروموسوم 3P في أكثر من 80٪ من حالات سرطان الخلايا الصغيرة في الرئة، بما في ذلك فقدان FHIT.[23] وقد تم تسجيل مائة انتقال موضعي حتى الآن في سرطان الخلايا الصغيرة في الرئة.[24][25]).

انظر أيضاً

المصادر

  1. ^ "small-cell carcinoma" في قاموس دورلاند الطبي
  2. ^ Nasu K, Hirakawa T, Okamoto M, et al. Rare Tumors. 3 (1). doi:10.4081/rt.2011.e6. PMC 3070456. PMID 21464879 https://www.ncbi.nlm.nih.gov/pmc/articles/PMC3070456. {{cite journal}}: Missing or empty |title= (help); Unknown parameter |السنة= ignored (help); Unknown parameter |الصفحات= ignored (help); Unknown parameter |العنوان= ignored (help)
  3. ^ Capizzello A, Peponi E, Simou N, et al. Case Rep Oncol. 4 (1). doi:10.1159/000324717. PMC 3072185. PMID 21475596 https://www.ncbi.nlm.nih.gov/pmc/articles/PMC3072185. {{cite journal}}: Missing or empty |title= (help); Unknown parameter |السنة= ignored (help); Unknown parameter |الصفحات= ignored (help); Unknown parameter |العنوان= ignored (help); Unknown parameter |المسار= ignored (help)
  4. ^ Science. 334 (6059). doi:10.1126/science.334.6059.1047. PMID 22116854. {{cite journal}}: Missing or empty |title= (help); Unknown parameter |التاريخ= ignored (help); Unknown parameter |الصفحات= ignored (help); Unknown parameter |العنوان= ignored (help); Unknown parameter |المؤلف= ignored (help); Unknown parameter |المسار= ignored (help)
  5. ^ أ ب Titulaer MJ, Verschuuren JJ. Ann. N. Y. Acad. Sci. 1132. doi:10.1196/annals.1405.030. PMID 18567862. {{cite journal}}: Missing or empty |title= (help); Unknown parameter |السنة= ignored (help); Unknown parameter |الصفحات= ignored (help); Unknown parameter |العنوان= ignored (help)
  6. ^ Champaneria MC, Modlin IM, Kidd M, Eick GN. Neuroendocrinology. 83 (5–6). doi:10.1159/000096050. PMID 17028417. {{cite journal}}: Missing or empty |title= (help); Unknown parameter |السنة= ignored (help); Unknown parameter |الصفحات= ignored (help); Unknown parameter |العنوان= ignored (help); Unknown parameter |المسار= ignored (help)
  7. ^ أ ب Robbins Basic Pathology (8th ed.). Philadelphia: Saunders. {{cite book}}: Cite has empty unknown parameters: |lay-date=, |subscription=, |nopp=, |last-author-amp=, |name-list-format=, |lay-source=, |registration=, and |lay-summary= (help)
  8. ^ Robbins and Cotran pathologic basis of disease. St. Louis, Mo: Elsevier Saunders. 2005. p. 759. {{cite book}}: Cite has empty unknown parameters: |lay-date=, |subscription=, |nopp=, |last-author-amp=, |name-list-format=, |lay-source=, |registration=, and |lay-summary= (help)
  9. ^ أ ب ت Pathology and Genetics of Tumours of the Lung, Pleura, Thymus and Heart. Lyon: IARC Press. 2004. {{cite book}}: Cite has empty unknown parameters: |lay-date=, |subscription=, |nopp=, |last-author-amp=, |name-list-format=, |lay-source=, |registration=, and |lay-summary= (help)
  10. ^ Pelosi G, Sonzogni A, Galetta D, et al. Virchows Arch. 458 (4). doi:10.1007/s00428-010-1011-8. PMID 21210145. {{cite journal}}: Missing or empty |title= (help); Unknown parameter |التاريخ= ignored (help); Unknown parameter |الصفحات= ignored (help); Unknown parameter |العنوان= ignored (help)
  11. ^ Gotoh M, Yamamoto Y, Huang CL, Yokomise H. Eur J Cardiothorac Surg. 26 (5). doi:10.1016/j.ejcts.2004.08.002. PMID 15519208. {{cite journal}}: Missing or empty |title= (help); Unknown parameter |التاريخ= ignored (help); Unknown parameter |الصفحات= ignored (help); Unknown parameter |العنوان= ignored (help); Unknown parameter |المسار= ignored (help)
  12. ^ Orphanet Journal of Rare Diseases. 6 (75). doi:10.1186/1750-1172-6-75. PMC 3253713. PMID 22078012 https://www.ncbi.nlm.nih.gov/pmc/articles/PMC3253713. {{cite journal}}: Missing or empty |title= (help); Unknown parameter |التاريخ= ignored (help); Unknown parameter |العنوان= ignored (help); Unknown parameter |المؤلف= ignored (help)CS1 maint: unflagged free DOI (link)
  13. ^ Extrapulmonary Small Cell Carcinoma at eMedicine
  14. ^ [1]
  15. ^ Nutting C, Horwich A, Fisher C, Parsons C, Dearnaley DP. Journal of the Royal Society of Medicine. 90 (6). PMC 1296316. PMID 9227387 https://www.ncbi.nlm.nih.gov/pmc/articles/PMC1296316. {{cite journal}}: Cite has empty unknown parameter: |المسار= (help); Missing or empty |title= (help); Unknown parameter |التاريخ= ignored (help); Unknown parameter |الصفحات= ignored (help); Unknown parameter |العنوان= ignored (help)
  16. ^ Erasmus CE, Verhagen WI, Wauters CA, van Lindert EJ. Can J Neurol Sci. 29 (4). PMID 12463494. {{cite journal}}: Missing or empty |title= (help); Unknown parameter |التاريخ= ignored (help); Unknown parameter |الصفحات= ignored (help); Unknown parameter |العنوان= ignored (help); Unknown parameter |المسار= ignored (help)
  17. ^ Argiris A, Murren JR. Cancer J. 7 (5). PMID 11693903. {{cite journal}}: Missing or empty |title= (help); Unknown parameter |السنة= ignored (help); Unknown parameter |الصفحات= ignored (help); Unknown parameter |العنوان= ignored (help)
  18. ^ Semin. Oncol. 5 (3). PMID 211638. {{cite journal}}: Missing or empty |title= (help); Unknown parameter |التاريخ= ignored (help); Unknown parameter |الصفحات= ignored (help); Unknown parameter |العنوان= ignored (help); Unknown parameter |المؤلف= ignored (help)
  19. ^ J Thorac Oncol. 5 (2). doi:10.1097/JTO.0b013e3181c8cbf5. PMID 20101141. {{cite journal}}: Missing or empty |title= (help); Unknown parameter |التاريخ= ignored (help); Unknown parameter |الصفحات= ignored (help); Unknown parameter |العنوان= ignored (help); Unknown parameter |المؤلف= ignored (help); Unknown parameter |المسار= ignored (help)
  20. ^ World Cancer Report 2014. World Health Organization. pp. Chapter 5.1. {{cite book}}: Cite has empty unknown parameters: |lay-date=, |subscription=, |nopp=, |last-author-amp=, |name-list-format=, |lay-source=, |registration=, and |lay-summary= (help)
  21. ^ Journal of Clinical Oncology. 24 (28). doi:10.1200/jco.2006.07.3841. PMID 17008688. {{cite journal}}: Missing or empty |title= (help); Unknown parameter |الأخير1= ignored (help); Unknown parameter |الأخير2= ignored (help); Unknown parameter |الأول1= ignored (help); Unknown parameter |الأول2= ignored (help); Unknown parameter |التاريخ= ignored (help); Unknown parameter |الصفحات= ignored (help); Unknown parameter |العنوان= ignored (help)
  22. ^ Cancer Letters. 88 (1). doi:10.1016/0304-3835(94)03608-l. PMID 7850764. {{cite journal}}: Missing or empty |title= (help); Unknown parameter |الأخير1= ignored (help); Unknown parameter |الأخير2= ignored (help); Unknown parameter |الأول1= ignored (help); Unknown parameter |الأول2= ignored (help); Unknown parameter |التاريخ= ignored (help); Unknown parameter |الصفحات= ignored (help); Unknown parameter |العنوان= ignored (help)
  23. ^ Lung: Translocations in Small Cell Carcinoma
  24. ^ {{cite web}}: Empty citation (help)
  25. ^ {{cite web}}: Empty citation (help)

Washington, C. and Leaver, D. 2010. Principles and practice of radiation therapy. P 673. St. Louis, Mo.: Mosby Elsevier.

صور إضافية

وصلات خارجية

الكلمات الدالة: