اعتلال الأعصاب المحيطية
| اعتلال الأعصاب المحيطية | |
|---|---|
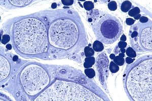
| صورة مجهرية توضح اعتلال الأعصاب المحيطية الوعائية. | |
| التبويب والمصادر الخارجية | |
| التخصص | طب الجهاز العصبي | 
| ICD-10 | G64., G90.0 | 
| ICD-9-CM | 356.0, 356.8 | 
| DiseasesDB | 9850 | 
| MedlinePlus | 000593 | 
| Patient UK | فشل عرض الخاصية P1461: لم يتم العثور على الخاصية P1461. اعتلال الأعصاب المحيطية | 
| MeSH | D010523 | 
اعتلال الأعصاب المحيطية (إنگليزية: Peripheral neuropathy، ويُسمى اختصاراً اعتلال الأعصاب)، هو مصطلح يشير إلى ضرر يصيب أعصاب الجهاز العصبي المحيطي[1] إما نتيجة أمراض الأعصاب أو نتيجة مرض جهازي عام. تختلف اعتلالات الأعصاب المحيظية في مجيئها وأسبابها، وقد تصيب العصب نفسه أو الموصل العصبي العضلي.
تشمل الأسباب الشائعة الأمراض الجهازية (مثل السكري أو الجذام)، أو الگلوزة الناجمة عن ارتفاع السكر في الدم،[2][3][4] نقص الڤيتامين، العلاجات (على سبيل المثال، العلاج الكيميائي، أو المضادات الحيوية بما في ذلك الميترونيدازول وفلوروكينولون فئة من المضادات الحيوية (مثل السيپروفلوكساسين، الليڤوفلوكساسين، الموكسيفلوكساسين)، الإصابة الصادمة، الإقفار، العلاج الإشعاعي، الاحتساء المفرط للكحول، أمراض الجهاز المناعي، الأمراض الباطنية، التحسس الگلوتيني اللابطني، أو العدوى الڤيروسية. يمكن أن يكون أيضاً وراثياً (موجود منذ الولادة) أو مجهول السبب (ليس له سبب معروف).[5][6][7][8]
الاعتلال العصبي الذي يؤثر على عصب واحد فقط يسمى "اعتلال العصب الأحادي" والاعتلال العصبي الذي يصيب الأعصاب في نفس المناطق تقريبًا على جانبي الجسم يسمى "اعتلال الأعصاب المتماثل" أو ببساطة "اعتلال الأعصاب المتعدد". عندما يصاب اثنان أو أكثر من الأعصاب المنفصلة في مناطق متباينة من الجسم (عادةً عدد قليل، ولكن في بعض الأحيان أعداد كثيرة)، يطلق عليه اسم "التهاب الاعصاب المتعددة" (mononeuritis multiplex).[5][6][7]
قد يسبب الاعتلال العصبي تقلصات مؤلمة وارتعاش العضلات وفقدان العضلات وتنكس العظام وتغيرات في الجلد والشعر والأظافر. بالإضافة إلى ذلك، قد يتسبب "الاعتلال العصبي الحركي" في اختلال التوازن والتنسيق أو ضعف العضلات بشكل أكثر شيوعًا؛ قد يتسبب "الاعتلال العصبي الحسي" في الشعور بالخدر عند اللمس والاهتزاز، مما يؤدي إلى انخفاض الإحساس بوضع الجسم مما يؤدي إلى ضعف التنسيق والتوازن، وانخفاض الحساسية لتغير درجة الحرارة والألم، والوخز التلقائي أو الألم الحارق، أو الألم الخيفي (ألم ناتج عن محفزات غير مؤلمة عادة، مثل اللمسة الخفيفة)؛ وقد يؤدي "الاعتلال العصبي اللاإرادي" إلى أعراض متنوعة، اعتمادًا على الغدد والأعضاء المصابة، لكن الأعراض الشائعة هي ضعف التحكم في المثانة، وضغط الدم أو معدل ضربات القلب الغير طبيعية، وانخفاض القدرة على التعرق بشكل طبيعي.[5][6][7]
التصنيف
يمكن تصنيف اعتلال الأعصاب المحيطية وفقًا لعدد وتوزيع الأعصاب المصابة (اعتلال الأعصاب الأحادي، أو اعتلال الأعصاب الأحادي المتعدد، أو اعتلال الأعصاب المتعدد)، أو نوع الألياف العصبية المتأثرة في الغالب (الحركية، الحسية، اللاإرادية)، أو العملية التي تؤثر على الأعصاب؛ على سبيل المثال، الالتهاب (التهاب العصب)، الضغط (اعتلال الأعصاب الانضغاطي)، العلاج الكيميائي (اعتلال الأعصاب المحيطية الناجم عن العلاج الكيميائي). تظهر الأعصاب المصابة في[التخطيط الكهربائي للعضلات EMG/اختبار دراسة التوصيل العصبي NCS، ويُطبق هذا التصنيف عند الانتهاء من الاختبار.[9]
اعتلال الأعصاب الأحادي
اعتلال الأعصاب الأحادي (Mononeuropathy) هو نوع من اعتلال الأعصاب يؤثر فقط على عصب واحد.[10] من الناحية التشخيصية، من المهم تمييزه عن اعتلال الأعصاب المتعدد لأنه عندما يتأثر عصب واحد، فمن المرجح أن يكون بسبب صدمة أو عدوى موضعية.[بحاجة لمصدر]
السبب الأكثر شيوعًا لاعتلال الأعصاب الأحادي هو الضغط البدني على العصب، والمعروف باسم اعتلال الأعصاب الانضغاطي. متلازمة النفق الرسغي وشلل العصب الإبطي من الأمثلة على ذلك. الإصابة المباشرة للعصب، أو انقطاع إمداد الدم الناتج عن (نقص التروية)، أو قد يتسبب الالتهاب أيضاً في اعتلال الأعصاب الأحادي.[بحاجة لمصدر]
اعتلال الأعصاب المتعدد
اعتلال الأعصاب المتعدد (Polyneuropathy)، هو أحد أنواع اعتلال الأعصاب الذي يختلف تماماً عن اعتلال الأعصاب الأحادي، وعادة ما يكون أكثر خطورة وتأثيراً على مناطق أكثر من الجسم. يستخدم مصطلح "اعتلال الأعصاب المحيطي" أحياناً بشكل فضفاض للإشارة إلى اعتلال الأعصاب المتعدد. في حالات اعتلال الأعصاب المتعدد، تتأثر العديد من الخلايا العصبية في أجزاء مختلفة من الجسم بغض النظر عن العصب الذي تمر من خلاله؛ لا تتأثر جميع الخلايا العصبية في أي حالة معينة. في اعتلال الأعصاب المتعدد، يتمثل أحد الأنماط الشائعة في أن أجسام الخلايا العصبية تظل سليمة، لكن المحاور العصبية تتأثر بما يتناسب مع طولها؛ فتكون أطول المحاور هي الأكثر تضرراً. اعتلال الأعصاب السكري هو السبب الأكثر شيوعاً لهذا النمط. في حالات اعتلال الأعصاب المزيل للميالين، يتلف غمد الميالين المحيط بالمحاور، مما يؤثر على قدرة المحاور على توصيل النبضات الكهربائية. يؤثر النمط الثالث والأقل شيوعًا على أجسام الخلايا في الخلايا العصبية بشكل مباشر. عادةً ما ينتقي هذا إما الخلايا العصبية الحركية (ما يُعرف بمرض العصبون الحركي) أو الخلايا العصبية الحسية (ما يُعرف "بالاعتلال العصبي الحسي" أو "اعتلال العقدة الجذرية الظهرية").[بحاجة لمصدر]
يتمثل تأثير ذلك في إحداث أعراض في أكثر من جزء من الجسم، غالبًا بشكل متماثل على الجانبين الأيسر والأيمن. أما بالنسبة لأي نوع من اعتلال الأعصاب، فإن الأعراض الرئيسية تشمل الأعراض الحركية مثل ضعف الحركة أو عدم اتساقها. والأعراض الحسية مثل الأحاسيس غير العادية أو غير السارة مثل الوخز أو الحرق؛ انخفاض القدرة على الشعور بالأحاسيس مثل اللمس أو درجة الحرارة وضعف التوازن عند الوقوف أو المشي. في العديد من حالات اعتلالات الأعصاب، تحدث هذه الأعراض أولاً والأكثر شدة في القدمين. قد تحدث الأعراض اللاإرادية أيضًا، مثل الدوخة عند الوقوف، ضعف الانتصاب، وصعوبة التحكم في التبول.[بحاجة لمصدر]
عادة ما يحدث اعتلال الأعصاب المتعدد بسبب العمليات التي تؤثر على الجسم ككل. مرض السكري واختلال تحمل الجلوكوز هما أكثر الأسباب شيوعًا. يرتبط تكوين المركبات النهائية للجلوزة (AGEs) الناجم عن الجلوزة بالاعتلال العصبي السكري.[11] تتعلق الأسباب الأخرى بنوع اعتلال الأعصاب، وهناك العديد من الأسباب المختلفة لكل نوع، بما في ذلك الأمراض الالتهابية مثل مرض لايم ونقص الفيتامينات واضطرابات الدم والسموم (بما في ذلك الكحول وبعض الأدوية الموصوفة).
تتطور معظم أنواع اعتلال الأعصاب المتعدد ببطء إلى حد ما، على مدار أشهر أو سنوات، ولكن يحدث أيضًا اعتلال الأعصاب المتعدد التدريجي بشكل سريع. من المهم أن ندرك أنه في وقت من الأوقات كان يُعتقد أن العديد من حالات اعتلال الأعصاب المحيطي صغير الألياف المصحوبة بأعراض نموذجية للوخز والألم وفقدان الإحساس في القدمين واليدين كانت بسبب عدم تحمل الجلوكوز قبل تشخيص مرض السكري أو ما قبل السكري. ومع ذلك، في أغسطس 2015، نشرت مايو كلينيك دراسة علمية في مجلة العلوم العصبية تظهر "عدم وجود زيادة ملحوظة في الأعراض في مجموعة ما قبل مرض السكري"، وذكرت أن "البحث عن أسباب بديلة لاعتلال الأعصاب هو لازم لمرضى السكري".[12]
يهدف علاج اعتلال الأعصاب المتعدد في المقام الأول إلى القضاء على السبب أو السيطرة عليه، وثانيًا إلى الحفاظ على قوة العضلات والوظيفة البدنية، وثالثًا إلى السيطرة على الأعراض مثل ألم الأعصاب.[بحاجة لمصدر]
التهاب الاعصاب المتعددة
التهاب الاعصاب المتعددة (Mononeuritis multiplex)، هو إصابة متزامنة أو متسلسلة لجذعين عصبيين غير متجاورين،[13] سواء جزئياً أو كلياً، يتطور على مدار أيام أو سنوات وعادة ما يظهر مع فقدان حاد أو أقل من الحاد للوظيفة الحسية والحركية للأعصاب الفردية. نمط الإصابة غير متماثل، ومع ذلك، مع تقدم المرض، يصبح العجز أكثر تماسكًا وتماثلًا، مما يجعل من الصعب تمييزه عن اعتلال الأعصاب المتعدد.[14] لذلك، من المهم الانتباه إلى نمط الأعراض المبكرة.
أحيانًا ما يرتبط التهاب العصب الأحادي المتعدد بألم عميق مؤلم يزداد سوءاً في الليل وغالبًاً مع ألم في أسفل الظهر أو الورك أو الساق. لدى الأشخاص المصابين بالسكري، عادةً ما يظهر التهاب العصب الأحادي المتعدد على شكل ألم حاد، وأحادي الجانب، وشديد في الفخذ يليه ضعف في العضلات الأمامية وفقدان رد فعل الركبة.[بحاجة للاستشهاد الطبي]
يظهر الطب التشخيصي الكهربائي الدراسات الحركية متعددة البؤر الحسية لاعتلال الأعصاب المحوري.[بحاجة لمصدر]
وينتج عن عدة حالات طبية أو يرتبط بها:
- مرض السكري
 - الالتهابات الوعائية: التهاب الشرايين العقدي المتعدد،[15][16] granulomatosis with polyangiitis[16] وeosinophilic granulomatosis with polyangiitis.[16] يؤدي هذا إلى الإصابة باعتلال الأعصاب الوعائي.
 - الأمراض المناعية، مثل التهاب المفاصل الرثياني،[17] الذئبة الحمامية المجموعية (SLE)
 - العدوى: الجذام، داء لايم، الفيروس صغير ب19،[18] فيروس نقص المناعة البشرية[19]
 - الساركويد[20]
 - الجلوبولينات البردية في الدم[21]
 - ردود فعل ناتجة عن التعرض لمواد كيميائية، وتشمل ثلاثي كلور الإيثيلين والدابسون[بحاجة للاستشهاد الطبي]
 - نادراً، في أعقاب التعرض للدغ بعض أنواع قناديل البحر، مثل قنديل البحر الأطلسي[بحاجة للاستشهاد الطبي]
 
اعتلال الأعصاب التلقائي
اعتلال الأعصاب التلقائي Autonomic neuropathy، هو أحد أشكال اعتلال الأعصاب المتعدد الذي يؤثر على الجهاز العصبي التلقائي، الغير حسي (أي الجهاز العصبي التلقائي)، وتؤثر في الغالب على الأعضاء الداخلية مثل عضلات المثانة العضلات والجهاز الدوري والجهاز الهضمي والأعضاء التناسلية. هذه الأعصاب لا تخضع لسيطرة الشخص الواعية وتعمل تلقائيًا. تشكل الألياف العصبية التلقائية مجموعات كبيرة في الصدر والبطن والحوض خارج النخاع الشوكي. لكن لديها روابط مع الحبل الشوكي وفي النهاية المخ. يُلاحظ اعتلال الأعصاب التلقائي الأكثر شيوعًا في الأشخاص الذين يعانون من مرض السكري منذ فترة طويلة من النوع 1 و2. في معظم الحالات - وليس كلها - يحدث اعتلال الأعصاب التلقائي جنبًا إلى جنب مع أشكال أخرى من اعتلال الأعصاب مثل اعتلال الأعصاب الحسي.[بحاجة لمصدر]
يعد اعتلال الأعصاب التلقائي أحد أسباب خلل في الجهاز العصبي التلقائي، لكنه ليس السبب الوحيد؛ بعض الحالات التي تؤثر على المخ أو النخاع الشوكي قد تسبب أيضًا الخلل الوظيفي التلقائي، مثل الضمور الجهازي المتعدد، وبالتالي، قد تسبب أعراضًا مشابهة لاعتلال الأعصاب التلقائي.[بحاجة لمصدر]
أعراض وعلامات اعتلال الأعصاب التلقائي تتضمن التالي:
- أمراض المثانة: سلس البول أو احتباس البول.
 - القناة الهضمية: عسر البلع، المغص، الغثيان، القيء، سوء الامتصاص، سلس البراز، خزل المعدة، الإسهال، الإمساك.
 - الجهاز الدوري: اضطرابات ضربات القلب (تسرع القلب، بطء القلب)، هبوط الضغط الانتصابي، زيادة غير كافية في معدل ضربات القلب عند المجهود.
 - الجهاز التنفسي: ضعف في الإشارات المرتبطة بتنظيم التنفس وتبادل الغازات (انقطاع النفس النومي المركزي، ضيق التنفس، بطء التنفس).[22]
 - الجلد: التنظيم الحراري، الجفاف من خلال اضطرابات التعرق.
 - أماكن أخرى: نقص سكر الدم، العجز الجنسي.
 
التهاب العصب
التهاب العصب (Neuritis)، هو مصطلح عام يشير لالتهاب العصب[23] أو الالتهاب العام للجهاز العصبي المحيطي. تعتمد الأعراض على الأعصاب المتأثرة، لكنها قد تتضمن الألم وتشوش الحس والخدر والشلل وفقدان أو عدم وجود ردود الفعل.
وتشمل أسباب التهاب العصب ما يلي:
- الإصابات البدنية
 - العدوى
 - الإصابة الكيميائية مثل العلاج الكيميائي
 - العلاج الإشعاعي
 
وقد تتضمن أنواع التهابات العصب:
- التهابات الأعصاب العضدية
 - التهاب العصب القحفي مثل شلل بل
 - التهاب العصب البصري
 - التهاب الأذن الداخلية
 - اعتلال الأعصاب الحسي المهاجر لڤارتنبرگ
 
- وثقد تشمل الظروف المسببة بشكل أساسي:
 
الأعراض والعلامات
أولئك الذين يعانون من أمراض أو خلل في أعصابهم قد يعانون من مشاكل في أي من وظائف الأعصاب الطبيعية. تختلف الأعراض تبعًا لأنواع الألياف العصبية المعنية.[27][بحاجة لمصدر]
من حيث الوظيفة الحسية، تشمل الأعراض عادة أعراض فقدان الوظيفة ("السلبية")، بما في ذلك الخدر والرعاش وضعف التوازن الخلل في المشي.[28] تشمل أعراض اكتساب الوظيفة (الإيجابية) التنميل والألم والحكة والشعور بالوخز. تشمل الأعراض الحركية فقدان الوظيفة ("السلبية")، أعراض الضعف والتعب وضمور العضلات وخلل المشي؛ وتشمل أعراض اكتساب الوظيفة ("إيجابية") التشنجات وارتعاش العضلات (الارتجاف الحزمي).[29]
في الشكل الأكثر شيوعًا، يظهر اعتلال الأعصاب المحيطي المعتمد على الطول، الألم والتنميل بشكل متماثل وبشكل عام في أطراف الأعصاب الأطول، والتي توجد في أسفل الساقين والقدمين. تظهر الأعراض الحسية بشكل عام قبل ظهور الأعراض الحركية مثل الضعف. تؤدي أعراض الاعتلال العصبي المحيطي المعتمد على الطول إلى صعود بطيء للأطراف السفلية، بينما قد لا تظهر الأعراض أبدًا في الأطراف العلوية؛ إذا فعلوا ذلك، فسيكون في الوقت الذي تصل فيه أعراض الساق إلى الركبة.[30]
عندما تتأثر أعصاب الجهاز العصبي اللاإرادي، قد تشمل الأعراض الإمساك وجفاف الفم وصعوبة التبول والدوخة عند الوقوف.[29]
مقياس CAP-PRI للتشخيص
يمكن استخدام مقياس جودة الحياة، سهل الاستخدام، والمخصص للمرض، لمراقبة كيفية تعايش شخص ما مع عبء اعتلال الأعصاب المزمن والحسي الحركي. يحتوي هذا المقياس، المسمى (CAP-PRI)، على 15 عنصرًا فقط ويكمله الشخص المصاب باعتلال الأعصاب المتعدد. يمكن متابعة النتيجة الإجمالية ودرجات العناصر الفردية بمرور الوقت، مع استخدام تسجيل العناصر من قبل المريض ومقدم الرعاية لتقدير الحالة السريرية لبعض مجالات الحياة والأعراض الأكثر شيوعًا التي تتأثر باعتلال الأعصاب المتعدد.[بحاجة لمصدر]
الأسباب
| النمط | الأسباب الشائعة | الأسباب غير الشائعة | الأسباب النادرة | 
|---|---|---|---|
| الاستقلابي/الغدي الصماوي | الداء السكري - الفشل الكلوي المزمن | وجود البارابروتين في الدم - وجود الگلوبولينات البردية في الدم - الداء النشواني - قصور الدرقية - الفشل الكبدي | البورفيريا | 
| السمي | الكحول | الأدوية (مثل الإيزونيازيد، الفينيتوئين، الفينكرستين) | المعادن الثقيلة - المذيبات العضوية | 
| الالتهابي | (متلازمة يلان – باريه) | اعتلال الأعصاب المزيل للميالين الالتهابي المزمن - داء النسيج الضام (مثل SLE ، التهاب الشرايين العقدي، متلازمة جوگرن) - الخمجي (الجذام) | اعتلال الأعصاب الحركية متعدد البؤر مع حصار التوصيل | 
| الوراثي | -- | اعتلالات الأعصاب الحسية والحركية الوراثية (شاركوت – ماري – توث) - رنح فريدرايخ | اعتلالات الأعصاب الوراثية الأخرى. | 
| حالات النقص | -- | نقص فيتامين B12 - نقص الثيامين | نقص فيتامين E,A - نقص البيريدوكسين [31] | 
| أسباب أخرى | -- | المرض الخبيث -الاعتلال العصبي في المرض الحرج - المطهرات المعوية التي تحتوي علي مادة ميترونيدازول مثل الدواء شديد الانتشار فلاجيل. | 
التشخيص
يمكن النظر في الاعتلال العصبي المحيطي أولاً عندما يبلغ الفرد عن أعراض التنميل والوخز والألم في القدمين. بعد استبعاد وجود آفة في الجهاز العصبي المركزي كسبب، يمكن إجراء التشخيص على أساس الأعراض والفحوصات المخبرية والإضافية والتاريخ السريري والفحص التفصيلي.
أثناء الفحص البدني، وتحديداً الفحص العصبي، يعاني الأشخاص المصابون باعتلال الأعصاب المحيطية بشكل عام في الغالب من فقدان حسي أو حركي وحسي بعيد، على الرغم من أن الأشخاص الذين يعانون من مشكلة في الأعصاب قد يكونون طبيعين تماماً؛ قد يظهر الضعف القريب، كما هو الحال في بعض حالات اعتلال الأعصاب الالتهابية، مثل متلازمة جيلن-باريه؛ أو قد يُظهر اضطرابًا أو ضعفًا حسيًا بؤريًا، كما هو الحال في اعتلال الأعصاب الأحادي. تقليدياً، يكون منعكس نفضة الكاحل غائب في حالة اعتلال الأعصاب المحيطية.
سيتضمن الفحص البدني اختبار منعكس الكاحل العميق بالإضافة إلى فحص القدم بحثًا عن أي تقرحات. بالنسبة للاعتلال العصبي ضخمة الألياف، سيُظهر الفحص عادةً انخفاضًا غير طبيعي في الإحساس بالاهتزاز، والذي يختبر باستخدام شوكة رنانة 128 هرتز، وانخفاض الإحساس باللمسة الخفيفة عند لمس القدم بشريط من النايلون.[30]
تشمل الاختبارات التشخيصية تخطيط كهربائية العضلات (EMG) ودراسات التوصيل العصبي (NCS)، والتي تقيّم الألياف العصبية الكبيرة النخاعية.[30] غالبًا ما يتعلق اختبار اعتلال الأعصاب المحيطية صغيرة الألياف بوظيفة الجهاز العصبي اللاإرادي للألياف الصغيرة الرقيقة وغير المبطنة. تشمل هذه الاختبارات اختبار التعرق واختبار الطاولة المائلة. قد يتضمن تشخيص الألياف الصغيرة في الاعتلال العصبي المحيطي أيضًا خزعة من الجلد يزال من خلالها جزء بسمك 3 ميليمترات من الربلة عن طريق الخزعة المثقبة، وتستخدم لقياس كثافة الألياف العصبية داخل الجلد (IENFD)، كثافة الأعصاب في الطبقة الخارجية من الجلد.[28] يدعم انخفاض كثافة الأعصاب الصغيرة في البشرة تشخيص اعتلال الأعصاب المحيطي صغير الألياف.
في اختبار تخطيط كهربية العضلات، يُظهر الاعتلال العصبي المزيل للميالين انخفاضاً في سرعة التوصيل وإطالة زمن انتقال الموجة البعيدة والموجة F، في حين يُظهر اعتلال الأعصاب المحوري انخفاضاً في السعة.[32]
تشمل الاختبارات المعملية اختبارات الدم لمستويات فيتامين ب12، وتعداد الدم الكامل، وقياس مستويات الهرمون المحفز للدرقية، ولوحة الأيض الشاملة للكشف عن مرض السكري وما قبل السكري، واختبار التثبيت المناعي في الدم، الذي يختبر وجود الأجسام المضادة في الدم.[29]
العلاج
يختلف علاج اعتلال الأعصاب المحيطية بناءً على سبب الحالة، ويمكن أن يساعد علاج الحالة الأساسية في إدارة اعتلال الأعصاب . عندما ينتج اعتلال الأعصاب المحيطية عن مرض السكري أو مرحلة ما قبل السكري، فإن ضبط سكر الدم هي مفتاح العلاج. في مرحلة ما قبل السكري على وجه الخصوص، يمكن أن يؤدي التحكم الصارم في نسبة سكر الدم إلى تغيير مسار اعتلال الأعصاب بشكل كبير.[28] في اعتلال الأعصاب المحيطية الناجم عن أمراض المناعة، تعالج الحالة الأساسية باستخدام الجلوبولين المناعي الوريدي أو الستيرويدات. عندما ينتج اعتلال الأعصاب المحيطية عن نقص الفيتامينات أو اضطرابات أخرى، يتم علاجها أيضًا.[28]
الأدوية
استخدمت مجموعة من الأدوية التي تعمل على الجهاز العصبي المركزي لعلاج أعراض اعتلال الأعصاب. تشمل الأدوية شائعة الاستخدام مضادات الاكتئاب ثلاثية الحلقات (مثل النورتريبتلين،[33] الأميتربيتيلين.[34] الإيميبرامين،[35] والدسيبرامين،[36]) مثبطات استرداد السيريتونين والنورأدرنالين الانتقائية (SNRI) (duloxetine,[37] الفنلافاكسين،[38] and milnacipran[39]) ومضادات الاختلاج (الجابابنتين،[40] البريجابالين،[41] الأوكسكاربازيبين[42] الزونيساميد[43] اللفيتيراسيتام،[44] اللاموترجين،[45] التوبيراميت،[46] الكلونازيبام،[47] الفنيتوين،[48] اللاكوساميد،[49] فالبروات الصوديوم[50] والكاربامازبين[51]). الأفيونيات وأشباه الأفيونيات (مثل البوبرنورفين،[52] المورفين،[53] الميثادون،[54] الفنتانيل،[55] الهيدرومورفون،[56] الترامادول[57] والأوكسيكودون[58]) غالبًا ما تستخدم أيضًا لعلاج آلام الأعصاب.
كما كُشف عنها في العديد من مراجعات كوكرين المنهجية المدرجة أدناه، فإن دراسات هذه الأدوية لعلاج آلام اعتلال الأعصاب غالبًا ما تكون معيبة من الناحية المنهجية، ومن المحتمل أن تكون الأدلة عرضة لتحيز كبير. بشكل عام، لا يدعم الدليل استخدام الأدوية المضادة للصرع والاكتئاب لعلاج آلام اعتلال الأعصاب. تعد التجارب السريرية المصممة بشكل أفضل والمراجعة الإضافية من أطراف ثالثة غير منحازة ضرورية لقياس مدى فائدة هذه الأدوية للمرضى حقًا. تعد مراجعات هذه المراجعات المنهجية ضرورية أيضًا لتقييم إخفاقاتها.
غالبًا ما تُوصف الأدوية المذكورة أعلاه لحالات آلام اعتلال الأعصاب التي لم يتم اختبارها صراحة عليها أو التي تفتقر بشدة إلى الأبحاث الخاضعة للرقابة؛ أو حتى للأدلة التي تشير إلى أن هذه الأدوية ليست فعالة.[59][60][61] تنص هيئة الخدمات الصحية الوطنية على سبيل المثال صراحة على أنه يمكن استخدام الأميتريبتيلين والجابابنتين لعلاج آلام عرق النسا.[62] هذا على الرغم من عدم وجود أدلة عالية الجودة تثبت فعالية هذه الأدوية لتلك الأعراض،[34][40] وكذلك بروز الأدلة ذات الجودة من المتوسطة إلى العالية بشكل عام والتي تكشف أن مضادات الصرع بشكل خاص، بما في ذلك الجابابنتين، لا تظهر أي فعالية في علاجها.[63]
مضادات الاكتئاب
بشكل عام، وفقًا لمراجعات كوكرين المنهجية، أظهرت مضادات الاكتئاب أنها إما غير فعالة في علاج آلام الأعصاب أو أن الأدلة المتاحة غير حاسمة.[33][36][64][65] تميل الأدلة أيضًا إلى أن تكون مشوبة بالتحيز أو المشكلات المتعلقة بالمنهجية.[66][67]
هناك مراجعة منهجية لكوكرين حول الأدلة الخاصة بمضادات الاكتئاب مثل النورتريبتيلين والدسيبرامين والفنلافكسين والميلناسيبران، وفي جميع هذه الحالات وجدت أدلة قليلة تدعم استخدامها في علاج آلام الأعصاب. تم إجراء جميع المراجعات بين عامي 2014 و2015.[33][36][64][65]
وجدت مراجعة منهجية لكوكرين عام 2015 للأميتريبتيلين أنه لا يوجد دليل يدعم استخدام الأميتريبتيلين لا يمتلك تحيزًا متأصلًا. يعتقد المؤلفون أن الأميتريبتيلين قد يكون له تأثير في بعض المرضى ولكن هذا التأثير مبالغ فيه.[66] تشير مراجعة كوكرين المنهجية لعام 2014 للإيميبرامين إلى أن الأدلة التي تشير إلى الفائدة كانت "معيبة من الناحية المنهجية ومن المحتمل أن تكون عرضة لتحيز كبير".[67]
قيمت مراجعة منهجية لكوكران عام 2017 فائدة الأدوية المضادة للاكتئاب لأنواع عديدة من الآلام المزمنة غير السرطانية (بما في ذلك آلام الأعصاب) لدى الأطفال والمراهقين، ووجد المؤلفون أن الدليل غير حاسم.[68]
مضادات الاختلاج
وجدت مراجعة كوكرين لعام 2017 أن الجرعات اليومية بين (1800-3600) ملج من الجابابنتين يمكن أن توفر تسكينًا جيدًا للألم المرتبط بالاعتلال العصبي السكري فقط. حدث هذا الارتياح لما يقرب من (30-40)% من المرضى المعالجين، بينما كان الدواء الوهمي (10-20)% استجابة. أعلن ثلاثة من مؤلفي المراجعة السبعة عن تضارب في المصالح.[40]
في مراجعة كوكرين لعام 2019 للبريجابالين، خلص المؤلفون إلى أن هناك بعض الأدلة على الفعالية في علاج الألم الناجم عن الألم العصبي التالي للهربس، والاعتلال العصبي السكري، وآلام الاعتلال العصبي بعد الصدمة فقط. كما حذروا من أن العديد من المرضى المعالجين لن يكون لهم أي فائدة. أعلن اثنان من المؤلفين الخمسة تلقيهم مدفوعات من شركات الأدوية.[41]
وجدت مراجعة كوكرين لعام 2017 أن للأوكسكاربازيبين القليل من الأدلة لدعم استخدامه في علاج اعتلال الأعصاب السكري وآلام الجذور واعتلالات الأعصاب الأخرى. يدعو المؤلفون أيضًا إلى دراسات أفضل.[42] في مراجعة كوكرين لعام 2015، وجد المؤلفون نقصًا في الأدلة التي تظهر أي فعالية من الزونيساميد في علاج الألم الناجم عن أي نوع مناعتلال الأعصاب المحيطية.[43]
وجدت مراجعة كوكرين لعام 2014 أن دراسات الليفيتيراسيتام لم تظهر أي مؤشر على فعاليته في علاج الألم الناتج عن أي اعتلال عصبي. وجد المؤلفون أيضًا أن الدليل ربما كان متحيزًا وأن بعض المرضى عانوا من أحداث سلبية.[69]
خلصت مراجعة منهجية لكوكرين عام 2013 إلى أن هناك أدلة عالية الجودة تشير إلى أن اللاموتريجين ليس فعالًا في علاج آلام الأعصاب، حتى بجرعات عالية (200-400) ملج.[70]
وجدت مراجعة منهجية لكوكرين عام 2013 حول التوبيميريت أن البيانات المضمنة لديها احتمالية قوية للتحيز الكبير؛ وعلى الرغم من ذلك لم يجد الدواء فاعلية في علاج الآلام المصاحبة لاعتلال الأعصاب السكري. لم يتم اختباره لأي نوع آخر من الاعتلال العصبي.[46] لم تكشف مراجعات كوكرين لعام 2012 للكلونازيبام والفينيتوين عن أي دليل على الجودة الكافية لدعم استخدامهما في آلام الأعصاب المزمنة.[71][72]
وجدت مراجعة منهجية لكوكرين عام 2012 عن اللاكوساميد أنه من المحتمل جدًا أن الدواء غير فعال في علاج آلام الأعصاب. يحذر المؤلفون من التفسيرات الإيجابية للأدلة.[73] بالنسبة لفالبروات الصوديوم، وجد مؤلفو مراجعة كوكرين لعام 2011 أن "ثلاث دراسات لا تزيد عن تلميح إلى أن فالبروات الصوديوم قد يقلل الألم في اعتلال الأعصاب السكري". يناقشون كيف يوجد تقدير مفرط محتمل للتأثير بسبب المشاكل المتأصلة في البيانات وخلصوا إلى أن الأدلة لا تدعم استخدامه.[74] في مراجعة منهجية للكاربامازيبين عام 2014، يعتقد المؤلفون أن العقار مفيد لبعض الأشخاص. ليس هناك تجارب يمكن اعتبارها من المرحلة الثالثة؛ لم يكن أي منها أطول من 4 أسابيع أو أعتبر أنه يتمتع بجودة إبلاغ جيدة.[75]
وجدت مراجعة منهجية لكوكرين عام 2017 تهدف إلى تقييم فائدة الأدوية المضادة للاختلاجع لأنواع عديدة من الآلام المزمنة غير السرطانية (بما في ذلك آلام الأعصاب) لدى الأطفال والمراهقين، أن الأدلة غير حاسمة. أعلن اثنان من المؤلفين العشرة لهذه الدراسة تلقي مدفوعات من شركات الأدوية.[76]
الأفيونيات
وجدت مراجعة كوكرين للبوبرينورفين والفنتانيل والهيدرومورفون والمورفين، وجميعها مؤرخة بين عامي 2015 و2017، وكلها لعلاج آلام الأعصاب، أنه لا توجد أدلة كافية للتعليق على فعاليتها. أعلن المؤلفون تضارب المصالح في هذه المراجعة.[52][53][55][56] وجدت مراجعة كوكرين لعام 2017 للميثادون أدلة منخفضة الجودة للغاية، وثلاث دراسات ذات جودة محدودة، حول فعاليتها وسلامتها. لم يتمكنوا من صياغة أي استنتاجات حول فعاليته النسبية وسلامته مقارنة بالدواء الوهمي.[54]
بالنسبة ااترامادول، وجد مراجعة كوكرين أن هناك معلومات متواضعة فقط حول فوائد استخدامه لألم الأعصاب. كانت الدراسات صغيرة، وكان لديها مخاطر محتملة من التحيز وزيادة واضحة الفوائد مع خطر التحيز. بشكل عام، كانت الأدلة ذات جودة منخفضة أو منخفضة للغاية ويذكر المؤلفون أنها "لا تقدم مؤشرًا موثوقًا به للتأثير المحتمل".[57]
بالنسبة للأوكسيكودون، وجد المؤلفون أدلة منخفضة الجودة جدًا تُظهر فائدتها في علاج الاعتلال العصبي السكري والألم العصبي التالي للهربس فقط. أعلن أحد المؤلفين الأربعة تلقي مدفوعات من شركات الأدوية.[58]
بشكل عام ، وجدت مراجعة واسعة النطاق لعام 2013 أن الأفيونيات أكثر فاعلية للاستخدام على المدى المتوسط من الاستخدام قصير المدى، ولكنها لم تستطع تقييم فعالية الاستخدام المزمن بشكل صحيح بسبب نقص البيانات. ومع ذلك، تتفق معظم الدلائل الإرشادية الحديثة حول العلاج الدوائي لألم الأعصاب مع نتائج هذه المراجعة وتوصي باستخدام الأفيونيات. [77]
خلصت مراجعة كوكرين لعام 2017 حول استخدام البروبوكسيفين بشكل أساسي كعلاج للعديد من متلازمات الألم غير السرطانية (بما في ذلك آلام الأعصاب) إلى أنه "لا يوجد دليل من التجارب المعشاة ذات الشواهد لدعم أو دحض استخدام الأفيونيات لعلاج الآلام المزمنة غير السرطانية لدى الأطفال والمراهقين".[78]
أخرى
خلصت مراجعة كوكرين لعام 2016 للباراسيتامول لعلاج آلام الأعصاب إلى أن فائدته وحدها أو بالاشتراك مع الكودايين أو ثنائي هيدروكودين غير معروفة.[79]
تحرت دراسات قليلة ما إذا كانت مضادات الالتهاب اللاستيرويدية فعالة في علاج اعتلال الأعصاب المحيطي.[80]
هناك بعض الأدلة على أن تخفيف أعراض آلام الاعتلال العصبي المحيطي يمكن الحصول عليه عن طريق استخدام الكابسيسين موضعياً. الكابسيسين هو العامل الذي يسبب الحرارة في الفلفل الحار. ومع ذلك، فإن الأدلة التي تشير إلى أن الكابسيسين المستخدم على الجلد يقلل من الألم الناتج عن اعتلال الأعصاب المحيطية هو متوسط إلى منخفض الجودة ويجب تفسيره بعناية قبل استخدام خيار العلاج هذا.[81]
تدعم الأدلة استخدام القنبيات لبعض أشكال آلام الأعصاب.[82]
تضمنت مراجعة كوكرين لعام 2018 للأدوية القائمة على القنب لعلاج آلام الأعصاب المزمنة 16 دراسة. تضمنت كل هذه الدراسات التتراهيدروكانابينول (THC) كمكون دوائي لمجموعة الاختبار. صنف المؤلفون جودة الأدلة على أنها منخفضة جدًا إلى معتدلة. استشهد بالنتيجة الأولية على أن، "الأدوية التي تعتمد على القنب قد تزيد من عدد الأشخاص الذين تخفف آلامهم بنسبة 50% أو أكثر مقارنةً بالدواء الوهمي" ولكن "الدليل على التحسن في انطباع المريض العالمي عن التغيير (PGIC) مع القنب قد يكون ذو جودة منخفضة للغاية". استنتج المؤلفون أيضًا أن "الفوائد المحتملة للأدوية التي تعتمد على القنبيات ... قد تفوقها أضرارها المحتملة."[83]
وجدت مراجعة كوكرين لعام 2014 عن الليدوكايين الموضعي لعلاج اعتلال الأعصاب المحيطية المختلفة أن استخدامه مدعومًا ببعض الدراسات منخفضة الجودة. يذكر المؤلفون أنه لا توجد تجارب معماة ذات جودة عالية تثبت فعاليتها أو سلامة استخدامها.[84]
تضمنت مراجعة كوكرين لعام 2015 (المحدثة عام 2022) لاستخدام الكلونيدين الموضعي لعلاج الاعتلال العصبي السكري دراستين بطول 8 و12 أسبوعًا؛ قارن كلاهما الكلونيدين الموضعي بالدواء الوهمي وكلاهما تم تمويلهما من قبل نفس الشركة المصنعة للأدوية. وجدت المراجعة أن الكلونيدين الموضعي قد يوفر بعض الفوائد مقابل الدواء الوهمي. ومع ذلك، يذكر المؤلفون أن التجارب المشمولة يحتمل أن تكون عرضة لتحيز كبير وأن الأدلة منخفضة إلى متوسطة الجودة.[85]
وجدت مراجعة كوكرين لعام 2007 لمثبطات اختزال الألدوز لعلاج الألم الناتج عن اعتلال الأعصاب السكري أنه ليس أفضل من العلاج الوهمي.[86]
الأجهزة الطبية
عادة ما يستخدم تنبيه الأعصاب الكهربائي عبر الجلد (TENS) كعلاج لأنواع مختلفة لاعتلال الأعصاب. خلصت مراجعة عام 2010 لثلاث تجارب، لعلاجالاعتلال العصبي السكري بشكل محدد، والتي شملت ما 78 حالة، بعض التحسن في درجات الألم بعد 4 و6، ولكن ليس 12 أسبوعاً من العلاج وتحسناً عاماً في أعراض الاعتلال العصبي في غضون 12 أسبوع.[87] وجدت مراجعة أخرى عام 2010 لأربع تجارب، لعلاج الاعتلال العصبي السكري، تحسنًا ملحوظًا في الألم والأعراض العامة، حيث أصبح 38% من الحالات في تجربة واحدة بدون أعراض. يظل العلاج فعالًا حتى بعد الاستخدام المطول، لكن الأعراض تعود إلى خط الأساس في غضون شهر من توقف العلاج.[88]
يمكن موازنة هذه المراجعات الأقدم مع مراجعة أحدث عام 2017 لتنبيه الأعصاب الكهربائي عبر الجلد لعلاج ألم الأعصاب بواسطة كوكرين والتي خلصت إلى أن "هذه المراجعة غير قادرة على تحديد تأثير التنبيه الكهربائي للأعصاب عبر الجلد مقابل التنبيه الكهربائي للعصب الزائف من أجل تخفيف الآلام بسبب الجودة المنخفضة جدًا للأدلة المتضمنة ... تعني الجودة المنخفضة للغاية للأدلة أن هناك ثقة محدودة للغاية في تقدير التأثير المبلغ عنه". تعني الجودة المنخفضة جدًا للأدلة، "مصادر متعددة للتحيز المحتمل" مع "عدد وحجم صغير من الدراسات".[89]
الجراحة
في الأشخاص الذين يعانون من اعتلال الأعصاب المحيطية السكري، هناك مراجعتان تقدمان حالة لجراحة تخفيف الضغط العصبي كوسيلة فعالة لتخفيف الآلام ودعم المطالبات للحماية من تقرح القدم.[90][91] هناك أدلة أقل على فعالية الجراحة لاعتلال الأعصاب المحيطية غير السكري في الساقين والقدمين. أجرت إحدى الدراسات غير المنضبطة مقارنات قبل/بعد مع متابعة لمدة عام على الأقل وأبلغت عن تحسينات لتخفيف الآلام وضعف التوازن والخدر. "لم يكن هناك فرق في النتائج بين مرضى السكري مقابل اعتلال الأعصاب مجهول السبب استجابة لتخفيض ضغط العصب".[92] لا توجد تجارب خاضعة-للعلاج الوهمي للاعتلال العصبي المحيطي مجهول السبب في الأدبيات العلمية المنشورة.
النظام الغذائي
بحسب إحدى المراجعات، فإن النظام الغذائي الخالي من الجلوتين هو علاجاً فعالاً عندما يكون اعتلال الأعصاب بسبب الحساسية للجلوتين، سواء في وجود أو غياب الأغراض الهضمية أو الإصابة المعوية.[8]
الاستشارة الطبية
خلصت مراجعة عام 2015 حول علاج آلام الأعصاب باستخدام العلاج النفسي إلى أنه "لا توجد أدلة كافية على فعالية وسلامة التدخلات النفسية لألم الاعتلال العصبي المزمن. تظهر الدراستان المتاحتان عدم وجود فائدة من العلاج أكثر من أي منهما قائمة الانتظار أو مجموعات التحكم الوهمي".[93]
الطب البديل
خلصت مراجعة كوكرين لعام 2019 لعلاج منتجات الأدوية العشبية للأشخاص الذين يعانون من آلام الأعصاب لمدة ثلاثة أشهر على الأقل إلى أنه "لا توجد أدلة كافية لتحديد ما إذا كانت جوزة الطيب أو العرن المثقوب لهما أي فعالية ذات مغزى في حالات ألم اعتلال الأعصاب. تثير جودة الأدلة الحالية شكوكًا خطيرة حول تقديرات التأثير الملحوظ، لذلك، لدينا ثقة قليلة جدًا في تقدير التأثير؛ من المرجح أن يكون التأثير الحقيقي مختلفًا إلى حد كبير من تقدير التأثير".[94]
خلصت مراجعة كوكرين لعام 2017 حول استخدام الوخز بالإبر كعلاج لألم الاعتلال العصبي، إلى أنه "نظرًا لمحدودية البيانات المتاحة، لا توجد أدلة كافية لدعم أو دحض استخدام الوخز بالإبر لألم الأعصاب بشكل عام، أو لأي حالة ألم الأعصاب المحددة عند مقارنتها بالوخز بالإبر الوهمي أو غيره من العلاجات النشطة". أيضاً، "تضمنت معظم الدراسات حجم عينة صغير (أقل من 50 مشاركًا لكل ذراع معالجة) وكانت جميع الدراسات معرضة بدرجة عالية لخطر التحيز لتعمية المشاركين والموظفين. كما ذكر المؤلفون، "لم نحدد أي دراسة تقارن الوخز بالإبر بالعلاج كالمعتاد".[95]
حمض الليبويك ألفا (ALA) مع البنفوتيامين هو علاج مُمْرض مقترح لاعتلال الأعصاب السكري المؤلم فقط.[96] تشير نتائج مراجعتين منهجيتين إلى أن حمض الليبويك ألفا الفموي لم ينتج عنه أي فائدة سريرية كبيرة، وقد يؤدي استخدام حمض الليبويك ألفا الفموي في الوريد على مدار ثلاثة أسابيع إلى تحسين الأعراض وأن العلاج طويل الأمد لم يُحقق فيه.[97]
الأبحاث الطبية
خلصت مراجعة الأدبيات لعام 2008 إلى أنه "استنادًا إلى مبادئ الطب القائم على الأدلة والتقييمات المنهجية، لا يوجد سوى ارتباط" محتمل "بين الداء البطني والاعتلال العصبي المحيطي بسبب انخفاض مستويات الأدلة وتضاربها. هناك ليس دليلاً مقنعًا حتى الآن على العلاقة السببية".[98]
خلص مراجعة لعام 2019 إلى أن "اعتلال الأعصاب الجلوتيني هو حالة تقدمية ببطء. سيكون لدى حوالي 25% من المرضى دليل على اعتلال الأمعاء في الخزعة (CD [الداء البطني])، لكن وجود أو عدم وجود اعتلال الأمعاء لا يؤثر على التأثير الإيجابي لنظام غذائي صارم خالٍ من الجلوتين".[8]
كما يعتبر العلاج بالخلايا الجذعية وسيلة ممكنة لإصلاح تلف الأعصاب المحيطية، لكن لم تثبت فعاليته بعد.[99][100][101]
انظر أيضاً
المصادر
- ^ "Peripheral Neuropathy Fact Sheet: National Institute of Neurological Disorders and Stroke (NINDS)". Retrieved 2008-11-30.
 - ^ Sugimoto K, Yasujima M, Yagihashi S (2008). "Role of advanced glycation end products in diabetic neuropathy". Current Pharmaceutical Design. 14 (10): 953–61. doi:10.2174/138161208784139774. PMID 18473845.
 - ^ Singh VP, Bali A, Singh N, Jaggi AS (February 2014). "Advanced glycation end products and diabetic complications". The Korean Journal of Physiology & Pharmacology. 18 (1): 1–14. doi:10.4196/kjpp.2014.18.1.1. PMC 3951818. PMID 24634591.
 - ^ Jack M, Wright D (May 2012). "Role of advanced glycation endproducts and glyoxalase I in diabetic peripheral sensory neuropathy". Translational Research. 159 (5): 355–65. doi:10.1016/j.trsl.2011.12.004. PMC 3329218. PMID 22500508.
 - ^ أ ب ت Hughes RA (February 2002). "Peripheral neuropathy". BMJ. 324 (7335): 466–9. doi:10.1136/bmj.324.7335.466. PMC 1122393. PMID 11859051.
 - ^ أ ب ت Torpy JM, Kincaid JL, Glass RM (April 2010). "JAMA patient page. Peripheral neuropathy". JAMA. 303 (15): 1556. doi:10.1001/jama.303.15.1556. PMID 20407067.
 - ^ أ ب ت "Peripheral neuropathy fact sheet". National Institute of Neurological Disorders and Stroke. 19 September 2012.
 - ^ أ ب ت ث Zis P, Hadjivassiliou M (February 2019). "Treatment of Neurological Manifestations of Gluten Sensitivity and Coeliac Disease". Current Treatment Options in Neurology (Review). 21 (3): 10. doi:10.1007/s11940-019-0552-7. PMID 30806821. S2CID 73466457.
 - ^ "Volume 12, Spring 1999 | University of Pennsylvania Orthopaedic Journal" (in الإنجليزية الأمريكية). Retrieved 2019-10-28.
 - ^ "Dorlands Medical Dictionary:mononeuropathy".
 - ^ Sugimoto K, Yasujima M, Yagihashi S (2008). "Role of advanced glycation end products in diabetic neuropathy". Current Pharmaceutical Design. 14 (10): 953–61. doi:10.2174/138161208784139774. PMID 18473845.
 - ^ Kassardjian CD, Dyck PJ, Davies JL, Carter RE, Dyck PJ (August 2015). "Does prediabetes cause small fiber sensory polyneuropathy? Does it matter?". Journal of the Neurological Sciences. 355 (1–2): 196–8. doi:10.1016/j.jns.2015.05.026. PMC 4621009. PMID 26049659.
 - ^ MedlinePlus Encyclopedia: Multiple mononeuropathy
 - ^ Ball DA. "Peripheral Neuropathy". NeuraVite. Retrieved 24 March 2016.
 - ^ Criado PR, Marques GF, Morita TC, de Carvalho JF (June 2016). "Epidemiological, clinical and laboratory profiles of cutaneous polyarteritis nodosa patients: Report of 22 cases and literature review". Autoimmunity Reviews. 15 (6): 558–63. doi:10.1016/j.autrev.2016.02.010. PMID 26876385.
 - ^ أ ب ت Samson M, Puéchal X, Devilliers H, Ribi C, Cohen P, Bienvenu B, Terrier B, Pagnoux C, Mouthon L, Guillevin L (September 2014). "Mononeuritis multiplex predicts the need for immunosuppressive or immunomodulatory drugs for EGPA, PAN and MPA patients without poor-prognosis factors". Autoimmunity Reviews. 13 (9): 945–53. doi:10.1016/j.autrev.2014.08.002. PMID 25153486.
 - ^ Hellmann DB, Laing TJ, Petri M, Whiting-O'Keefe Q, Parry GJ (May 1988). "Mononeuritis multiplex: the yield of evaluations for occult rheumatic diseases". Medicine. 67 (3): 145–53. doi:10.1097/00005792-198805000-00001. PMID 2835572. S2CID 24059700.
 - ^ Lenglet T, Haroche J, Schnuriger A, Maisonobe T, Viala K, Michel Y, Chelbi F, Grabli D, Seror P, Garbarg-Chenon A, Amoura Z, Bouche P (July 2011). "Mononeuropathy multiplex associated with acute parvovirus B19 infection: characteristics, treatment and outcome". Journal of Neurology. 258 (7): 1321–6. doi:10.1007/s00415-011-5931-2. PMID 21287183. S2CID 8145505.
 - ^ Kaku M, Simpson DM (November 2014). "HIV neuropathy". Current Opinion in HIV and AIDS. 9 (6): 521–6. doi:10.1097/COH.0000000000000103. PMID 25275705. S2CID 3023845.
 - ^ Vargas DL, Stern BJ (August 2010). "Neurosarcoidosis: diagnosis and management". Seminars in Respiratory and Critical Care Medicine. 31 (4): 419–27. doi:10.1055/s-0030-1262210. PMID 20665392.
 - ^ Cacoub P, Comarmond C, Domont F, Savey L, Saadoun D (September 2015). "Cryoglobulinemia Vasculitis". The American Journal of Medicine. 128 (9): 950–5. doi:10.1016/j.amjmed.2015.02.017. PMID 25837517.
 - ^ Vinik AI، Erbas T (2013). "Diabetic autonomic neuropathy". Autonomic Nervous System. Handbook of Clinical Neurology. Vol. 117. pp. 279–94. doi:10.1016/b978-0-444-53491-0.00022-5. ISBN 9780444534910. PMID 24095132. 
{{cite book}}: Vancouver style error: non-Latin character in name 1 (help) - ^ "neuritis" في قاموس دورلاند الطبي
 - ^ Chin RL, Latov N (January 2005). "Peripheral Neuropathy and Celiac Disease". Current Treatment Options in Neurology. 7 (1): 43–48. doi:10.1007/s11940-005-0005-3. PMID 15610706. S2CID 40765123.
 - ^ Ghosh, Shampa; Sinha, Jitendra Kumar; Khandelwal, Nitin; Chakravarty, Sumana; Kumar, Arvind; Raghunath, Manchala (1 September 2020). "Increased stress and altered expression of histone modifying enzymes in brain are associated with aberrant behaviour in vitamin B12 deficient female mice". Nutritional Neuroscience. 23 (9): 714–723. doi:10.1080/1028415X.2018.1548676. PMID 30474509. S2CID 53785219.
 - ^ Vitamin Toxicity at eMedicine
 - ^ "Peripheral Neuropathy Fact Sheet". National Institute of Neurological Disorders and Stroke. Retrieved 30 May 2020.
 - ^ أ ب ت ث Cioroiu CM, Brannagan TH (2014). "Peripheral Neuropathy". Current Geriatrics Reports. 3 (2): 83–90. doi:10.1007/s13670-014-0079-4. S2CID 195246984.
 - ^ أ ب ت Azhary H, Farooq MU, Bhanushali M, Majid A, Kassab MY (April 2010). "Peripheral neuropathy: differential diagnosis and management". American Family Physician. 81 (7): 887–92. PMID 20353146.
 - ^ أ ب ت Watson JC, Dyck PJ (July 2015). "Peripheral Neuropathy: A Practical Approach to Diagnosis and Symptom Management". Mayo Clinic Proceedings. 90 (7): 940–51. doi:10.1016/j.mayocp.2015.05.004. PMID 26141332.
 - ^ ميدي اول
 - ^ Chung, Tae; Prasad, Kalpana; Lloyd, Thomas E. (February 2014). "Peripheral Neuropathy – Clinical and Electrophysiological Considerations". Neuroimaging Clinics of North America. 24 (1): 49–65. doi:10.1016/j.nic.2013.03.023. PMC 4329247. PMID 24210312.
 - ^ أ ب ت Derry S, Wiffen PJ, Aldington D, Moore RA (January 2015). "Nortriptyline for neuropathic pain in adults". The Cochrane Database of Systematic Reviews. 1 (5): CD011209. doi:10.1002/14651858.CD011209.pub2. PMC 6485407. PMID 25569864.
 - ^ أ ب Moore RA, Derry S, Aldington D, Cole P, Wiffen PJ (July 2015). "Amitriptyline for neuropathic pain in adults". The Cochrane Database of Systematic Reviews. 2015 (7): CD008242. doi:10.1002/14651858.CD008242.pub3. PMC 6447238. PMID 26146793.
 - ^ Hearn L, Derry S, Phillips T, Moore RA, Wiffen PJ (May 2014). "Imipramine for neuropathic pain in adults". The Cochrane Database of Systematic Reviews. 2014 (5): CD010769. doi:10.1002/14651858.CD010769.pub2. PMC 6485593. PMID 24838845.
 - ^ أ ب ت Hearn L, Moore RA, Derry S, Wiffen PJ, Phillips T (September 2014). Hearn L (ed.). "Desipramine for neuropathic pain in adults". The Cochrane Database of Systematic Reviews. 2014 (9): CD011003. doi:10.1002/14651858.CD011003.pub2. PMC 6804291. PMID 25246131.
 - ^ Lunn MP, Hughes RA, Wiffen PJ (January 2014). "Duloxetine for treating painful neuropathy, chronic pain or fibromyalgia". The Cochrane Database of Systematic Reviews (1): CD007115. doi:10.1002/14651858.cd007115.pub3. PMID 24385423.
 - ^ Gallagher HC, Gallagher RM, Butler M, Buggy DJ, Henman MC (August 2015). "Venlafaxine for neuropathic pain in adults". The Cochrane Database of Systematic Reviews. 2017 (8): CD011091. doi:10.1002/14651858.CD011091.pub2. PMC 6481532. PMID 26298465.
 - ^ Derry S, Phillips T, Moore RA, Wiffen PJ (July 2015). "Milnacipran for neuropathic pain in adults". The Cochrane Database of Systematic Reviews. 2019 (7): CD011789. doi:10.1002/14651858.CD011789. PMC 6485877. PMID 26148202.
 - ^ أ ب ت Wiffen PJ, Derry S, Bell RF, Rice AS, Tölle TR, Phillips T, Moore RA (June 2017). "Gabapentin for chronic neuropathic pain in adults". The Cochrane Database of Systematic Reviews. 6 (2): CD007938. doi:10.1002/14651858.CD007938.pub4. PMC 6452908. PMID 28597471.
 - ^ أ ب Derry S, Bell RF, Straube S, Wiffen PJ, Aldington D, Moore RA (January 2019). "Pregabalin for neuropathic pain in adults". The Cochrane Database of Systematic Reviews. 1 (1): CD007076. doi:10.1002/14651858.CD007076.pub3. PMC 6353204. PMID 30673120.
 - ^ أ ب Zhou M, Chen N, He L, Yang M, Zhu C, Wu F (December 2017). "Oxcarbazepine for neuropathic pain". The Cochrane Database of Systematic Reviews. 2017 (12): CD007963. doi:10.1002/14651858.CD007963.pub3. PMC 6486101. PMID 29199767.
 - ^ أ ب Moore RA, Wiffen PJ, Derry S, Lunn MP (January 2015). "Zonisamide for neuropathic pain in adults". The Cochrane Database of Systematic Reviews. 1 (1): CD011241. doi:10.1002/14651858.CD011241.pub2. PMC 6485502. PMID 25879104.
 - ^ Wiffen PJ, Derry S, Moore RA, Lunn MP (July 2014). Derry S (ed.). "Levetiracetam for neuropathic pain in adults". The Cochrane Database of Systematic Reviews. 2014 (7): CD010943. doi:10.1002/14651858.cd010943.pub2. PMC 6485608. PMID 25000215.
 - ^ Wiffen PJ, Derry S, Moore RA (December 2013). Cochrane Pain, Palliative and Supportive Care Group (ed.). "Lamotrigine for chronic neuropathic pain and fibromyalgia in adults". The Cochrane Database of Systematic Reviews. 2019 (12): CD006044. doi:10.1002/14651858.CD006044.pub4. PMC 6485508. PMID 24297457.
 - ^ أ ب Wiffen PJ, Derry S, Lunn MP, Moore RA (August 2013). Derry S (ed.). "Topiramate for neuropathic pain and fibromyalgia in adults". The Cochrane Database of Systematic Reviews. 2013 (8): CD008314. doi:10.1002/14651858.CD008314.pub3. PMC 8406931. PMID 23996081.
 - ^ Corrigan R, Derry S, Wiffen PJ, Moore RA (May 2012). "Clonazepam for neuropathic pain and fibromyalgia in adults". The Cochrane Database of Systematic Reviews. 2019 (5): CD009486. doi:10.1002/14651858.cd009486.pub2. PMC 6485609. PMID 22592742.
 - ^ Birse F, Derry S, Moore RA (May 2012). "Phenytoin for neuropathic pain and fibromyalgia in adults". The Cochrane Database of Systematic Reviews. 2019 (5): CD009485. doi:10.1002/14651858.cd009485.pub2. PMC 6481697. PMID 22592741.
 - ^ Hearn L, Derry S, Moore RA (February 2012). "Lacosamide for neuropathic pain and fibromyalgia in adults". The Cochrane Database of Systematic Reviews. 2016 (2): CD009318. doi:10.1002/14651858.cd009318.pub2. PMC 8406928. PMID 22336864.
 - ^ Gill D, Derry S, Wiffen PJ, Moore RA (October 2011). "Valproic acid and sodium valproate for neuropathic pain and fibromyalgia in adults". The Cochrane Database of Systematic Reviews. 2011 (10): CD009183. doi:10.1002/14651858.cd009183.pub2. PMC 6540387. PMID 21975791.
 - ^ Wiffen PJ, Derry S, Moore RA, Kalso EA (April 2014). Cochrane Pain, Palliative and Supportive Care Group (ed.). "Carbamazepine for chronic neuropathic pain and fibromyalgia in adults". The Cochrane Database of Systematic Reviews. 2019 (4): CD005451. doi:10.1002/14651858.CD005451.pub3. PMC 6491112. PMID 24719027.
 - ^ أ ب Wiffen PJ, Derry S, Moore RA, Stannard C, Aldington D, Cole P, Knaggs R (September 2015). "Buprenorphine for neuropathic pain in adults". The Cochrane Database of Systematic Reviews. 2019 (9): CD011603. doi:10.1002/14651858.CD011603.pub2. PMC 6481375. PMID 26421677.
 - ^ أ ب Cooper TE, Chen J, Wiffen PJ, Derry S, Carr DB, Aldington D, Cole P, Moore RA (May 2017). "Morphine for chronic neuropathic pain in adults". The Cochrane Database of Systematic Reviews. 2019 (5): CD011669. doi:10.1002/14651858.CD011669.pub2. PMC 6481499. PMID 28530786.
 - ^ أ ب McNicol ED, Ferguson MC, Schumann R (May 2017). Cochrane Pain, Palliative and Supportive Care Group (ed.). "Methadone for neuropathic pain in adults". The Cochrane Database of Systematic Reviews. 5 (5): CD012499. doi:10.1002/14651858.CD012499.pub2. PMC 6353163. PMID 28514508.
 - ^ أ ب Derry S, Stannard C, Cole P, Wiffen PJ, Knaggs R, Aldington D, Moore RA (October 2016). "Fentanyl for neuropathic pain in adults". The Cochrane Database of Systematic Reviews. 10 (5): CD011605. doi:10.1002/14651858.CD011605.pub2. PMC 6457928. PMID 27727431.
 - ^ أ ب Stannard C, Gaskell H, Derry S, Aldington D, Cole P, Cooper TE, Knaggs R, Wiffen PJ, Moore RA (May 2016). "Hydromorphone for neuropathic pain in adults". The Cochrane Database of Systematic Reviews. 2016 (5): CD011604. doi:10.1002/14651858.CD011604.pub2. PMC 6491092. PMID 27216018.
 - ^ أ ب Duehmke RM, Derry S, Wiffen PJ, Bell RF, Aldington D, Moore RA (June 2017). "Tramadol for neuropathic pain in adults". The Cochrane Database of Systematic Reviews. 2017 (6): CD003726. doi:10.1002/14651858.CD003726.pub4. PMC 6481580. PMID 28616956.
 - ^ أ ب Gaskell H, Derry S, Stannard C, Moore RA (July 2016). Cochrane Pain, Palliative and Supportive Care Group (ed.). "Oxycodone for neuropathic pain in adults". The Cochrane Database of Systematic Reviews. 2016 (7): CD010692. doi:10.1002/14651858.CD010692.pub3. PMC 6457997. PMID 27465317.
 - ^ Mafi JN, McCarthy EP, Davis RB, Landon BE (September 2013). "Worsening trends in the management and treatment of back pain". JAMA Internal Medicine. 173 (17): 1573–81. doi:10.1001/jamainternmed.2013.8992. PMC 4381435. PMID 23896698.
 - ^ Pinto RZ, Maher CG, Ferreira ML, Ferreira PH, Hancock M, Oliveira VC, McLachlan AJ, Koes B (February 2012). "Drugs for relief of pain in patients with sciatica: systematic review and meta-analysis". BMJ. 344: e497. doi:10.1136/bmj.e497. PMC 3278391. PMID 22331277.
 - ^ Pinto RZ, Verwoerd AJ, Koes BW (October 2017). "Which pain medications are effective for sciatica (radicular leg pain)?". BMJ. 359: j4248. doi:10.1136/bmj.j4248. PMID 29025735. S2CID 11229746.
 - ^ "Which painkiller?". nhs.uk (in الإنجليزية). 2018-04-26. Retrieved 2019-05-20.
 - ^ Enke O, New HA, New CH, Mathieson S, McLachlan AJ, Latimer J, Maher CG, Lin CC (July 2018). "Anticonvulsants in the treatment of low back pain and lumbar radicular pain: a systematic review and meta-analysis". CMAJ. 190 (26): E786–E793. doi:10.1503/cmaj.171333. PMC 6028270. PMID 29970367.
 - ^ أ ب Gallagher HC, Gallagher RM, Butler M, Buggy DJ, Henman MC (August 2015). "Venlafaxine for neuropathic pain in adults". The Cochrane Database of Systematic Reviews. 2017 (8): CD011091. doi:10.1002/14651858.CD011091.pub2. PMC 6481532. PMID 26298465.
 - ^ أ ب Derry S, Phillips T, Moore RA, Wiffen PJ (July 2015). "Milnacipran for neuropathic pain in adults". The Cochrane Database of Systematic Reviews. 2019 (7): CD011789. doi:10.1002/14651858.CD011789. PMC 6485877. PMID 26148202.
 - ^ أ ب Moore RA, Derry S, Aldington D, Cole P, Wiffen PJ (July 2015). Cochrane Pain, Palliative and Supportive Care Group (ed.). "Amitriptyline for neuropathic pain in adults". The Cochrane Database of Systematic Reviews. 2015 (7): CD008242. doi:10.1002/14651858.CD008242.pub3. PMC 6447238. PMID 26146793.
 - ^ أ ب Hearn L, Derry S, Phillips T, Moore RA, Wiffen PJ (May 2014). "Imipramine for neuropathic pain in adults". The Cochrane Database of Systematic Reviews. 2019 (5): CD010769. doi:10.1002/14651858.CD010769.pub2. PMC 6485593. PMID 24838845.
 - ^ Cooper TE, Heathcote LC, Clinch J, Gold JI, Howard R, Lord SM, Schechter N, Wood C, Wiffen PJ (August 2017). "Antidepressants for chronic non-cancer pain in children and adolescents". The Cochrane Database of Systematic Reviews. 8 (8): CD012535. doi:10.1002/14651858.CD012535.pub2. PMC 6424378. PMID 28779487.
 - ^ Wiffen PJ, Derry S, Moore RA, Lunn MP (July 2014). Derry S (ed.). "Levetiracetam for neuropathic pain in adults". The Cochrane Database of Systematic Reviews. 2014 (7): CD010943. doi:10.1002/14651858.CD010943.pub2. PMC 6485608. PMID 25000215.
 - ^ Wiffen PJ, Derry S, Moore RA (December 2013). "Lamotrigine for chronic neuropathic pain and fibromyalgia in adults". The Cochrane Database of Systematic Reviews. 2019 (12): CD006044. doi:10.1002/14651858.CD006044.pub4. PMC 6485508. PMID 24297457.
 - ^ Corrigan R, Derry S, Wiffen PJ, Moore RA (May 2012). "Clonazepam for neuropathic pain and fibromyalgia in adults". The Cochrane Database of Systematic Reviews. 2019 (5): CD009486. doi:10.1002/14651858.CD009486.pub2. PMC 6485609. PMID 22592742.
 - ^ Birse F, Derry S, Moore RA (May 2012). "Phenytoin for neuropathic pain and fibromyalgia in adults". The Cochrane Database of Systematic Reviews. 2019 (5): CD009485. doi:10.1002/14651858.CD009485.pub2. PMC 6481697. PMID 22592741.
 - ^ Hearn L, Derry S, Moore RA (February 2012). "Lacosamide for neuropathic pain and fibromyalgia in adults". The Cochrane Database of Systematic Reviews. 2016 (2): CD009318. doi:10.1002/14651858.CD009318.pub2. PMC 8406928. PMID 22336864.
 - ^ Gill D, Derry S, Wiffen PJ, Moore RA (October 2011). "Valproic acid and sodium valproate for neuropathic pain and fibromyalgia in adults". The Cochrane Database of Systematic Reviews. 2011 (10): CD009183. doi:10.1002/14651858.CD009183.pub2. PMC 6540387. PMID 21975791.
 - ^ Wiffen PJ, Derry S, Moore RA, Kalso EA (April 2014). "Carbamazepine for chronic neuropathic pain and fibromyalgia in adults". The Cochrane Database of Systematic Reviews. 2019 (4): CD005451. doi:10.1002/14651858.cd005451.pub3. PMC 6491112. PMID 24719027.
 - ^ Cooper TE, Wiffen PJ, Heathcote LC, Clinch J, Howard R, Krane E, Lord SM, Sethna N, Schechter N, Wood C (August 2017). "Antiepileptic drugs for chronic non-cancer pain in children and adolescents". The Cochrane Database of Systematic Reviews. 8 (8): CD012536. doi:10.1002/14651858.CD012536.pub2. PMC 6424379. PMID 28779491.
 - ^ McNicol ED, Midbari A, Eisenberg E (August 2013). "Opioids for neuropathic pain". The Cochrane Database of Systematic Reviews. 2019 (8): CD006146. doi:10.1002/14651858.CD006146.pub2. PMC 6353125. PMID 23986501.
 - ^ Cooper TE, Fisher E, Gray AL, Krane E, Sethna N, van Tilburg MA, Zernikow B, Wiffen PJ (July 2017). "Opioids for chronic non-cancer pain in children and adolescents". The Cochrane Database of Systematic Reviews. 7 (7): CD012538. doi:10.1002/14651858.CD012538.pub2. PMC 6477875. PMID 28745394.
 - ^ Wiffen PJ, Knaggs R, Derry S, Cole P, Phillips T, Moore RA (December 2016). "Paracetamol (acetaminophen) with or without codeine or dihydrocodeine for neuropathic pain in adults". The Cochrane Database of Systematic Reviews. 12 (5): CD012227. doi:10.1002/14651858.CD012227.pub2. PMC 6463878. PMID 28027389.
 - ^ Moore RA, Chi CC, Wiffen PJ, Derry S, Rice AS (October 2015). "Oral nonsteroidal anti-inflammatory drugs for neuropathic pain". The Cochrane Database of Systematic Reviews. 10 (10): CD010902. doi:10.1002/14651858.CD010902.pub2. PMC 6481590. PMID 26436601.
 - ^ Derry S, Rice AS, Cole P, Tan T, Moore RA (January 2017). "Topical capsaicin (high concentration) for chronic neuropathic pain in adults". The Cochrane Database of Systematic Reviews. 1 (7): CD007393. doi:10.1002/14651858.CD007393.pub4. PMC 6464756. PMID 28085183.
 - ^ Hill KP (June 2015). "Medical Marijuana for Treatment of Chronic Pain and Other Medical and Psychiatric Problems: A Clinical Review". JAMA. 313 (24): 2474–83. doi:10.1001/jama.2015.6199. PMID 26103031. 
Use of marijuana for chronic pain, neuropathic pain, and spasticity due to multiple sclerosis is supported by high-quality evidence
 - ^ Mücke M, Phillips T, Radbruch L, Petzke F, Häuser W (March 2018). "Cannabis-based medicines for chronic neuropathic pain in adults". The Cochrane Database of Systematic Reviews. 3 (7): CD012182. doi:10.1002/14651858.CD012182.pub2. PMC 6494210. PMID 29513392.
 - ^ Derry S, Wiffen PJ, Moore RA, Quinlan J (July 2014). Derry S (ed.). "Topical lidocaine for neuropathic pain in adults". The Cochrane Database of Systematic Reviews. 2014 (7): CD010958. doi:10.1002/14651858.CD010958.pub2. PMC 6540846. PMID 25058164.
 - ^ Serednicki, Wojciech T.; Wrzosek, Anna; Woron, Jaroslaw; Garlicki, Jaroslaw; Dobrogowski, Jan; Jakowicka-Wordliczek, Joanna; Wordliczek, Jerzy; Zajaczkowska, Renata (2022-05-19). "Topical clonidine for neuropathic pain in adults". The Cochrane Database of Systematic Reviews. 2022 (5): CD010967. doi:10.1002/14651858.CD010967.pub3. ISSN 1469-493X. PMC 9119025. PMID 35587172.
{{cite journal}}: CS1 maint: PMC embargo expired (link) - ^ Chalk C, Benstead TJ, Moore F (October 2007). "Aldose reductase inhibitors for the treatment of diabetic polyneuropathy". The Cochrane Database of Systematic Reviews. 2010 (4): CD004572. doi:10.1002/14651858.CD004572.pub2. PMC 8406996. PMID 17943821.
 - ^ Jin DM, Xu Y, Geng DF, Yan TB (July 2010). "Effect of transcutaneous electrical nerve stimulation on symptomatic diabetic peripheral neuropathy: a meta-analysis of randomized controlled trials". Diabetes Research and Clinical Practice. 89 (1): 10–5. doi:10.1016/j.diabres.2010.03.021. PMID 20510476.
 - ^ Pieber K, Herceg M, Paternostro-Sluga T (April 2010). "Electrotherapy for the treatment of painful diabetic peripheral neuropathy: a review". Journal of Rehabilitation Medicine. 42 (4): 289–95. doi:10.2340/16501977-0554. PMID 20461329.
 - ^ Gibson W, Wand BM, O'Connell NE (September 2017). "Transcutaneous electrical nerve stimulation (TENS) for neuropathic pain in adults". The Cochrane Database of Systematic Reviews. 9 (3): CD011976. doi:10.1002/14651858.CD011976.pub2. PMC 6426434. PMID 28905362.
 - ^ Nickerson DS (2017). "Nerve decompression and neuropathy complications in diabetes: Are attitudes discordant with evidence?". Diabet Foot Ankle. 8 (1): 1367209. doi:10.1080/2000625X.2017.1367209. PMC 5613909. PMID 28959382.
 - ^ Tu Y, Lineaweaver WC, Chen Z, Hu J, Mullins F, Zhang F (March 2017). "Surgical Decompression in the Treatment of Diabetic Peripheral Neuropathy: A Systematic Review and Meta-analysis". J Reconstr Microsurg. 33 (3): 151–57. doi:10.1055/s-0036-1594300. PMID 27894152. S2CID 22825614.
 - ^ خطأ استشهاد: وسم 
<ref>غير صحيح؛ لا نص تم توفيره للمراجع المسماةValdivia2013 - ^ Eccleston C, Hearn L, Williams AC (October 2015). "Psychological therapies for the management of chronic neuropathic pain in adults". The Cochrane Database of Systematic Reviews. 2015 (10): CD011259. doi:10.1002/14651858.CD011259.pub2. PMC 6485637. PMID 26513427.
 - ^ Boyd A, Bleakley C, Hurley DA, Gill C, Hannon-Fletcher M, Bell P, McDonough S (April 2019). "Herbal medicinal products or preparations for neuropathic pain". The Cochrane Database of Systematic Reviews. 4 (5): CD010528. doi:10.1002/14651858.CD010528.pub4. PMC 6445324. PMID 30938843.
 - ^ Ju ZY, Wang K, Cui HS, Yao Y, Liu SM, Zhou J, Chen TY, Xia J (December 2017). "Acupuncture for neuropathic pain in adults". The Cochrane Database of Systematic Reviews. 12 (7): CD012057. doi:10.1002/14651858.CD012057.pub2. PMC 6486266. PMID 29197180.
 - ^ "Review of Diabetic Polyneuropathy: Pathogenesis, Diagnosis A".
 - ^ Bartkoski, Scott; Day, Margaret (2016-05-01). "Alpha-Lipoic Acid for Treatment of Diabetic Peripheral Neuropathy". American Family Physician. 93 (9): 786. ISSN 1532-0650. PMID 27175957.
 - ^ Grossman G (April 2008). "Neurological complications of coeliac disease: what is the evidence?". Practical Neurology. 8 (2): 77–89. doi:10.1136/jnnp.2007.139717. PMID 18344378. S2CID 28327166.
 - ^ Sayad Fathi S, Zaminy A (September 2017). "Stem cell therapy for nerve injury". World Journal of Stem Cells. 9 (9): 144–151. doi:10.4252/wjsc.v9.i9.144. PMC 5620423. PMID 29026460.
{{cite journal}}: CS1 maint: unflagged free DOI (link) - ^ Xu W, Cox CS, Li Y (2011). "Induced pluripotent stem cells for peripheral nerve regeneration". Journal of Stem Cells. 6 (1): 39–49. PMID 22997844.
 - ^ Zhou JY, Zhang Z, Qian GS (2016). "Mesenchymal stem cells to treat diabetic neuropathy: a long and strenuous way from bench to the clinic". Cell Death Discovery. 2: 16055. doi:10.1038/cddiscovery.2016.55. PMC 4979500. PMID 27551543.
 
قراءات إضافية
- Latov N (2007). Peripheral Neuropathy: When the Numbness, Weakness, and Pain Won't Stop. New York: American Academy of Neurology Press Demos Medical. ISBN 978-1-932603-59-0.
 - "Practice advisory for the prevention of perioperative peripheral neuropathies: a report by the American Society of Anesthesiologists Task Force on Prevention of Perioperative Peripheral Neuropathies". Anesthesiology. 92 (4): 1168–82. April 2000. doi:10.1097/00000542-200004000-00036. PMID 10754638.
 
وصلات خارجية
| Classification | |
|---|---|
| External resources | 
- Peripheral Neuropathy from the US NIH
 - Peripheral Neuropathy at the Mayo Clinic
 
قالب:Autonomic diseases قالب:Neuropathic pain and fibromyalgia pharmacotherapies
- الصفحات بخصائص غير محلولة
 - CS1 الإنجليزية الأمريكية-language sources (en-us)
 - CS1 errors: Vancouver style
 - CS1 maint: PMC embargo expired
 - CS1 maint: unflagged free DOI
 - Articles with contributors link
 - Articles containing إنگليزية-language text
 - Pages using Lang-xx templates
 - Articles with hatnote templates targeting a nonexistent page
 - مقالات ذات عبارات بحاجة لمصادر
 - Articles with unsourced statements from March 2016
 - Articles with unsourced statements from July 2016
 - اضطرابات الجهاز العصبي المحيطي
 - اضطرابات المايلين