ميلانوما

(تم التحويل من Melanoma)
الميلانما
Melanoma
الأسماء الأخرىMalignant melanoma
Melanoma.jpg
ميلانوما حجم 2.5 سم x 1.5 سم
النطق
التخصصعلم الأورام وطب الجلد
الأعراضوحمة يزداد حجمها، بحواف غير منتظمة، متغيرة اللون، حكةم، أو قرحة جلدية.[1]
المسبباتالأشعة فوق البنفسجية (الشمس، أجهزة التسمير)[2]
عوامل الخطرالتاريخ العائلي، الكثير من الوحمات، ضعف المناعة[1]
الطريقة التشخيصيةخزعة نسيجية[1]
التشخيص المفاضلالشواك الثؤلولي، النمشات, الوحمات الزرقاء، الورم الليفي الجلدي[3]
الوقايةواقي الشمس، تجنب الأشعة فوق البنفسجي[2]
العلاجالجراحة[1]
Prognosisمعدل البقاء لخمس سنوات في الولايات المتحدة 98% (موضعي)، 17% (منتشر)[4]
التردد3.1 مليون (2015)[5]
الوفيات59,800 (2015)[6]

الميلانوما Melanoma، وتعرف أيضاً بسرطان الخلايا الصبغية malignant melanoma، هو أحد أنواع السرطان الذي يتطور من الخلايا التي تحتوي على الصبغة -الغامقة "الميلانين المسؤولة عن لون البشرة"-المعروفة باسم الخلية الميلانينية[1]. عادة ما يحدث الورم الميلانيني في الجلد، ولكن نادرا ما يحدث في الفم والأمعاء والعين[1][2] أو أي أجزاء أخرى من الجسم.

يعتبر سرطان الخلايا الصبغية أقل شيوعاً مقارنة بالأنواع الأخرى من سرطانات الجلد، ولكنه أكثر خطورة وتعزى إليه غالبية (75%) الوفيات المرتبطة بسرطان الجلد، ويتم تشخيص 160000 حالة إصابة بسرطان الخلايا الصبغية سنويا في كل أرجاء العالم، ويرتفع معدل الإصابة بهذا السرطان عند النساء منه عند الرجال، وعند أصحاب البشرة الفاتحة بالتحديد، ممن يعيشون في مناطق مشمسة، وبمعدلات عالية في أستراليا ونيوزلندا، وأمريكا الشمالية، وشمال أوروبا، وتنسب منظمة الصحة العالمية. في تقريرها أسباب 48000 حالة وفاة سنوية إلى سرطان الخلايا الصبغية.

في النساء يشيع حدوث هذا المرض في الساقين، بينما في الرجال يشيع حدوثه في الظهر[2]. في بعض الأحيان تتطور من كتل تتعلق بتغيرات تتضمن زيادة في الحجم, حواف غير منتظمة، تغير اللون، حكة وتدمر الجلد[1]. السبب الرئيسي للأورام الميلانينية هو تعرض الذين لديهم مستويات منخفضة من صبغة الجلد "الميلانين" [2][7] للأشعة فوق البنفسجية. قد يكون ضوء الأشعة فوق البنفسجية من أشعة الشمس أو من أجهزة التسمير. تقريبا 25% يتطور من أورام وكتل جلدية[2]. هؤلاء الذين لديهم العديد من هذه الكتل أو الشامات يعود ذلك إلى أفراد العائلة المتضررين، وأولئك الذين لديهم ضعف في وظائف المناعة معرضون لخطر أكبر[1]. وهناك عدد من العيوب الوراثية النادرة مثل جفاف الجلد المصبغ يزيد أيضا من المخاطر[8]. التشخيص يكون بأخذ خزعة من الآفة الجلدية[1].

إن تجنب ضوء الأشعة فوق البنفسجية واستخدام واقي الشمس قد يمنع من حدوث هذا الميلانوما[2]. يشمل العلاج الاستئصال الجراحي للورم، والعلاج المساعد، والكيميائي المناعي، والعلاج بالأشعة، وتعد فرصة الشفاء أعظم إذااكتشفت الميلانوما بينما لا تزال صغيرة وضئيلة وبالإمكان استئصالها جراحيا بالكامل. يمكن اختبار الانتشار من الغدد الليمفاوية القريبة, ويشفى معظم الناس إذا لم يحدث انتشار, أما الذين قد انتشر عندهم السرطان فإن العلاج المناعي أو العلاج البيولوجي أو العلاج الإشعاعي أو العلاج الكيميائي قد يمكنه من البقاء على قيد الحياة[1]. مع العلاج معدلات البقاء على قيد الحياة لمدة خمس سنوات هي 98% من بين الذين يعانون من أمراض محلية و 17% منهم قد حدث لديهم انتشار[4]. واحتمال انه سوف يعود أو يحدث انتشار يعتمد على سمك الميلانوما و على سرعة انقسام الخلايا وفيما إذا كان الجلد قد تدمر وانهار[2].

الميلانوما هي أكثر سرطانات الجلد خطورة. عالمياً في عام 2012 أصاب هذا المرض 232000 شخص وسبب 55000 حالة وفاة. في أستراليا ونيوزلندا أعلى نسبة مصابين بالميلانوما في العالم, وأيضا هنالك نسبة عالية في أوروباوأمريكا الشمالية، ولكنها أقل شيوعا في آسياوأفريقياوأمريكا اللاتينية[2]. وتشيع الميلانوما في الرجال أكثر من النساء[8]. الميلانوما أصبحت أكثر شيوعا منذ 1960 في المناطق التي هي في معظمها القوقاز "الذين يمتلكون البشرة البيضاء".[2][8]

العلامات والأعراض

الأعراض الذكور الإناث
زيادة الحجم 45% 50%
تغير اللون 11.5% 13.2%
حكة 7.4% 6.8%
نزف 11.7% 11.5%
ألم 1% 1.2%
كتلة 2.5% 3.5%
تقرح 1.8% 1.6%

من العلامات المبكرة للميلانوما تغيرات في شكل ولون الكتل أو في حالة الميلانوما العقدية يظهر كتل جديدة في أي مكان على الجلد[9]. في مراحل لاحقة تظهر حكة او قد تتقرح الكتل او تنزف, وتتلخص علامات الحكة المبكرة ب:

  • عدم تناسق
  • حواف غير منتظمة
  • تلون
  • قطر أكبر من 6ملم عن حجم ممحاة قلم رصاص
  • تتطور مع مرور الوقت

هذه التصنيفات تنطبق على أكثر انواع الميلانوما خطورة "الميلانوما العقدية" التي لها تصنيفاتها الخاصة:

  • مرتفع عن سطح الجلد
  • ملمس متين متراص
  • متزايد

قد تسبب الميلانوما المنتشرة في الجسم أعراض الأباعد الورمية الغير محددة, تتضمن فقدان الشهية والغثيان القيء والتعب. انتشار الميلانوما المبكرة ممكن ولكنه نادرا تقريبا, انتشاره في الدماغ شائع في المرضى الذين يعانون من الميلانوما المنشره[10], كما يمكن أيضا أن ينتشر إلى الكبد والعظام والبطن أو العقد الليمفاوية البعيدة.

الانذار المبكر

العوامل التي لها أهمية في الميلانوما من حيث الإنذار[11]:

عوامل ذات أهمية في الإنذار العامل
الإذار أفضل للنساء قبل سن اليأس العمر
الإنذار أفضل لدى النساء غير جيد للرجال الجنس
غير جيد إن كان أكثر من 6 أشهر المدة المنقضية على التشخيص
سيء إذا كان الورم في منطقة ذات مقطع عرضي كبير الحجم
جيد إذا كان الورم في منطقة ذات مقطع عرضي صغير
جيد الميلانوما النمشية الخبيثة LMM النموذج السريري
متوسط الميلانوما السطحية
سيء الميلانما العقدية
جيد جداً إذا كان أقل من 0.75 مم ثخانة الورم
جيد إذا كان 0.57-1.5 مم
سيء إذا كان أكثر من 1.5 مم
سيء: الجذع التوضع
متوسط الرأس والعنق
جيد: الأطراف
سيء: موجودة إصابة الطرق اللمفاوية
جيد: غير موجودة
سيء: الشكل القليل الصباغ أو اللاصباغي التصبغ
جيد I وII مستوى الغزو
سيء III وIV

المسببات

تعزى أسباب السرطانات المختلفة إلى خلل يصيب الحمض النووي داخل الخلايا, قد يكون هذا الخلل وراثيا في شكل طفرات جينية، لكنه في اغلب الحالات يتطور تدريجيا خلال حياة الشخص وتسببه عوامل بيئية، ويؤدي هذا الخلل إلى تضخم دون سيطرة مسببا ورم، ويتسبب غالبا أشعة الشمس فوق البنفسجية الميلانوما وكذلك من الممكن أن تسهم بالمرض الأشعة البنفسجية المستخدمة في تسمير البشرة.

الأشعة فوق البنفسجية

إن الأشعة فوق البنفسجية الصادرة من أجهزة التسمير تزيد من خطر الإصابة بالميلانوما[12], ووجدت الوكالة الدولية لبحوث السرطان أن تسمير الجلد مسببة للسرطان و أن الناس الذين يبدؤون باستخدام أجهزة التسمير قبل سن 30 هم 75٪ أكثرعرضة لتطوير الميلانوما.[13] أولئك الذين يعملون في الطائرات يظهر لديهم زيادة الخطر في الإصابة, ويعتقد ذلك بسبب الزيادة في التعرض للأشعة الفوق البنفسجية[14]. يمتص ضوء الأشعة الفوق بنفسجية (طول الموجة 315-280 مم) القادم من الشمس بواسطة المادة الوراثية لخلايا الجلد وتتسبب في نوع من تدمير المادة الوراثية المباشر.[15]

وتشير الدراسات أن التعرض للأشعة فوق البنفسجية واحدة من الأسباب الرئيسية في تطوير الميلانوما. في بعض الأحيان التعرض المفرط لأشعة الشمس "مما يؤدي الى حروق الشمس" هي علاقة تسبب الميلانوما. الميلانوما هو الأكثر شيوعا على ظهر الرجال وعلى الساقين عند النساء (مناطق متقطعة تتعرض لأشعة الشمس). يظهر الخطر أكثر شدة في الأوضاع الاجتماعية والاقتصادية بدلا من الأماكن المغلقة مقابل المهن في الهواء الطلق, وهو أكثر شيوعا في العمال الإداريين والمهنيين من العمال غير المهرة. عوامل أخرى هي الطفرات أو فقدان تام للجينات الكابتة للورم, وقد تم ربط استخدام أجهزة التسمير (مع اختراق عميق للأشعة فوق البنفسجية) لتطوير سرطانات الجلد بما في ذلك الميلانوما. وتشمل العناصر الهامة الممكنة فيتحديد المخاطر كافة و مدة التعرض لأشعة الشمس، والعمرالذي يحدث التعرض لأشعة الشمس، و درجة تصبغ الجلد. وتميل معدلات الميلانوما إلىأن تكون أعلى في البلدان المستقرة على طريق المهاجرين من شمال أوروبا التي تحتوي على كمية كبيرة من ضوء الشمس المباشر المكثف الذي لا تتكيف معه جلود الناس, زمن أبرزها استراليا. التعرض أثناء الطفولة لاشعة الشمس هوأحد عوامل الخطر الأكثرأهمية من التعرض في مرحلة البلوغ. ويبرز هذا في دراسات الهجرة في أستراليا.

الوراثة

في بعض الحالات يسري سرطان الجلد في الأسرة، فلقد حددت عدة جينات مسئولة عن زيادة خطر تطور سرطان الجلد، فبعض الجينات النادرة تمثل خطرا عاليا نسبيا مسببة سرطان الجلد,بينما هناك جينات مثل الجين MCIRوالذي يعطي اللون الاحمر للشعر يمثل خطرا اقل بالنسبة لسرطان الجلد, ويمكن استخدام الفحص الجيني لمعرفة ما اذا كان الشخص لديه ايا من الطفرات الجينية المعروفة وتزيد عدد من الطفرات النادرة التي تتوارث بالأسر قابلية الإصابة بسرطان الجلد، فأحد أصناف الطفرات تؤثر على جين CDKNA , وتؤدي طفرة جينية نسبية في اطار القراءة إلى زعزعةP53 والذي يشكل عامل وصف في الموت المبرمج للخلايا وفي خمسين بالمئة من السرطانات التي تصيب البشر، وتنتج طفرة أخرى في نفس الجين مثبطًا غير وظيفي من CDK4 الذي يسمح بانقسام الخلايا التي تسبب الحالة الجلدية Xeroderma Pigmentosum هي عرضة لسرطان الجلد، وتقلل هذه الطفرات من خلال توزعها على الجينيوم من قدرة الخلية على إصلاح DNA وكلٌ من طفراتCDKN2A and XP متوغلة للغاية.

الفسيولوجيا المرضية

الأماكن أكثر عرضة لتطور الميلانوما

تبدأ المرحلة المبكرة من الميلانوما عندما تفقد السيطرة على نمو الخلايا الصبغية. توجد الخلايا الصاغية بين الطبقة الخارجية للجلد(البشرة) والطبقة التي تليها (الأدمة), وتسمى هذه المرحلة المبكرة من المرض مرحلة النمو الكعبري عندما يكون الورم اقل من 1مم. لان الخلايا السرطانية لم تصل بعد إلى اوعية دمويةأعمق في الجلد، فإنه من غير المحتمل أن هذه المرحلة المبكرة من الميلانوما سوف تنتشر إلى أجزاء أخرى من الجسم. اذا تم الكشف عن الميلانوما في هذه المرحلة فانه عادة ما يمكن ازالتها بالكامل عن طريق الجراحة. عندما تبدأ الخلية السرطانية في التحرك باتجاه مختلف-عموديا يصل إلى البشرة والأدمة الحليمية- يتغير سلوك الخلية بشكل كبير. الخطة التالية في التطور هي مرحلة النمو الكعبري الغازية، وهو مصطللح مذهل، من هذه النقطة الميلانوما قادرة على الانتشار. مرحلة النمو الرأسي التالية هي الميلانوما الغازية, يصبح الورم قادرا على النمو في الانسجة المحيطة بها، زيمكن ان ينتشر في جميع انحاء الجسم من خلال الاوعية الدمويه او الليمفاوية. عادة ما يكون سمك الورم أكثر من 1 ملم, ويشمل الورم اجزاء عميقة من الادمة. يثار رد فعل مناعي ضد الورم خلال VGPالتي تحكم بوجود ونشاط الورم تسلسل الخلايا اليمفاوية (TILs) هذه الخلايا احيانا تدمر تماما الورم الرئيسي وهذا ما يسمى انحدار وهي اخر مرحلة من مراحل التطور, في بعض الحالات يتم تدمير الورم الرئيسي تماما واكتشاف الورم المنتشر. حوالي 40% من الاورام الميلانينيه للإنسان تحتوي على الطفرات النشطة التي تؤثر على بنية البروتين B-Raf. بشكل عام، تحدث السرطانات بسبب تلف الحمض النووي 28. ضوء الاشعة فوق البنفسجيه يسبب بشكل رئيسي جزئ ثايمين29. تنتج الاشعة فوق البنفسجية انواع من الاكسجين الذي يلحق ضررا اخر بالحمض النووي ال DNA, اولا سلسلة واحدة تكسر. تأكسد البيرميدينات وتأكسد ال purine 8-oxoguanine (طفرات في الحمض النووي) على تردد 1\10 و 1\3 للاشعة فوق البنفسجية. تسبب الاشعة فوق البنفسجية اضرارا بالحمض النووي للخلايا, وعادة توين جزئ الثايمين والتي لا تصلح يمكن الن تخلق الطفرات في جينات الخلايا, عندما تنقسم الخلية يتم نشر هذه الطفرات إلى اجيال جديدة من الخلايا, في حالة حدوث الطفرات protooncogenes او ورم الجينات الكابته فإن معدل الانقسام للخلايا الحاملة للطفرات يمكن ان تصبح غير منضبطة مما يؤدي إلى تشكيل الورم. وتشير البيانات من المرضى ان مستويات الخلايا الشاذة تفعل عامل النسخ في نواة خلايا الميلانوما وترتبط مع زيادة انتشار خلايا الميلانوما[16][17][18] , دراسات من الفئران اشارت إلى ذلك ايضا[19][20].

التشخيص

توضيح قاعدة ال ABCD : على الجانب الايسر من اعلى الى اسفل:الاورام الميلانينية تظهر (A) asymmetry ,(B) border thatis uneven, ragged, or notched , (C) coloring of different shades of brown, black, or tan and, (D) diameter that had changed in size, الشامة العادية على الجانب الايمن لا تملك خصائص غير طبيعية (عدم التماثل الحدود اللون او اي تغيير في القطر).
اداة التصوير الجلدي المجهري
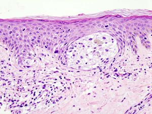
الميلانوما في خزعة الجلد مع صبغة الهيماتوكسيلين والايوزين, هذه الحاله يمكن ان تمثل سطح سرطان الجلد المنتشر
ميلانوما الشرج

الفحص البصري هو اسلوب التشخيص الأكثر شيوعا[21] , وعادة ما يتم التعامل مع الكتل الغير منتظمة في اللون والحجم والشكل كمرشحه بانها اورام. للكشف عن الاورام الميلانينيه (وزيادة معدلات البقاء على قيد الحياة) فمن المستحسن ان نتعلم كيف نتعرف عليهم (انظر ال ABCDE أعلاه) لفحص التغيرات بانتظام (الشكل والحجم واللون والحكة او النزيف) واستشارة طبيب مؤهل[22][23].

أ.ح.ل.ق.ك.

وهناك طريقة شعبية لتذكر علامات وأعراض الميلانوما أ.ح.ل.ق.ك. "ABCDE"

  • آفة الجلد الغير متناظرة
  • حدود الآفة
  • لون الميلانوما عادة لها أكثر من لون
  • القطر
  • الكبر

ومع ذلك فان العديد من الاورام الميلانينة موجودة كآفات اصغر من مم في القطر. وجميع الاورام الميلانينيه خبيثة عند أول ظهورها كنقطة صغيره يقوم الاطباء عادة بفحص جميع الكتل بما في ذلك الاقل من 6 ملم في القطر.قد يجمع (Seborrheic keratosis)بعض او كل معايير ABCDE ويمكن ان يؤدي إلى انذارات كاذبة, ويمكن للأطباء عموما ان يميزوه من الميلانوما عند الفحص أو مع اداة الجلدي المجهري بعضهم مؤيدين بالتوسع مع التطور بالتأكيد الكتل التي تتطور وتتغير ستكون مصدرا للقلق. بدلا من ذلك بعض ممارسي الطب التقليدي يفضلون التطور لهذه الكتل لأنه قد يساعد على التعرف على الميلانوما, ولكن عدم وجود التطور لا يعني ان الافه ليست ميلانوما تم الكشف عن معظم الاورام الميلانينيه في الولايات المتحدة قبل ان تتطور. الميلانينية العقدية لا تحقق هذه المعايير لها رموز مختصرة تساعد على تذكرها "EFG" :

  • E: Elevated ترتفع الافه فوق الجلد المحيط بها
  • F:Firm العقد صلبه في الملمس
  • G:Growing يزداد حجم العقد

البطة القبيحة

طريقة جديدة وغير مألوفة Ugly duckling sign "علامة البطة القبيحة" [24] انها بسيطة وسهلة للتعلم وفعالة جدا, يتم الربط بين خصائص الافة المشتركة وصف الافات التي تحيد كثيرا عن الخصائص المشتركة بالبطة القبيحة, ويتطلب امتحان مهني اخر. علامة ال little Red Riding Hood[24] تشير إلى ان الافراد ذوي البشرة الفاتحة والشعر ذات الالوان الفاتحة قد يصعب تشخيص الاورام الميلانينة عديمة الميلانين لديهم, مطلوب مزيد من الحذر عند فحص هؤلاء الافراد كما قد يكون لديهم ميلانوما متعددة. يجب استخدام اداة التصوير الجلدي المجهري للكشف عن ال ugly ducklings والعديد من الاورام الميلانينية في هؤلاء الاشخاص تشبه غير الميلانينية[25]. الاشخاص ذوو البشرة البيضاء غالبا لديهم تصبغات فاتحه او الميلانوما عديمة الميلانين مما يجعل اكتشاف وجودها او تغير اللون صعبا .غالبا ما تكون حدودها غير واضحة مما يعقد التعرف البصري عليها بدون اداة التصوير الجلدي المجهري . الميلانوما عديمة الميلانين او الميلانوما التي صيب الافراد ذوو البشرة البيضاء من الصعب جدا اكتشافها كما فشلوا في اظهار العديد من الخصائص في قاعدة ABCD كسر قاعدة ugly duckling وكما يصعب تميزها عن ندبات حب الشباب ولدغ الحشرات وعن الكتل الليفية بالجلد وعن التصبغات.

الخزعة

بعد الفحص البصري وامتحان الفحص الجلدي المجهري[25], او في ادوات التشخيص الحي مثل المجهر متحد البؤر, يمكن للطبيب اخذ خزعة من الكتله المشبوهه, وغالبا ما يتم اخذ الخزعة تحت تخدير موضعي لتحديد الخطورة , استئصال الخزعات بيضاوية الشكل قد تزيل الورم يليها التحليل النسيجي. وكثيرا ما يستخدم التصوير الفوتوغرافي الكلي للجسم خلال الفترة الخطرة من متابعة المرضى تم الكشف عن هذه التقنيه لتمكين الكشف المبكر ويوفر نهجا فعالا من حيث التكلفه (مع اي كاميرا رقمية), ولكن اذا تشكك في فعاليته بسبب عدم قدرتها على كشف التغيرات التي ترى بالمجهر[21], ينبغي ان تستخدم طريقة التشخيص جنبا إلى جنب (وليس كبديل) للتصوير الجلدي المجهري واستخدام الطريقتين لاعطاء معدلات مرتفعة جدا من الكشف.

التصنيف

تنقسم الميلانوما إلى الانواع التالية[26]:

  • Lentigo maligna
  • Lentigo maligna melanoma
  • Superficial spreading melanoma
  • Acral lentiginous melanoma
  • Mucosal melanoma
  • Nodular melanoma
  • Polypoid melanoma
  • Desmoplastic melanoma
  • Amelanotic melanoma
  • Soft-tissue melanoma

انظر ايضا[27]:

  • Melanoma with small nevus-like cells
  • Melanoma with features of a Spitz nevus
  • Uveal melanoma

المختبر

غالبا ما يستخدم نازعة الاكتات (إنزيم نازع لهيدروجين اللاكتات) (LHD) لاختبار الكشف عن النقائل, على الرغم من ان المرضى الذين يعانون من الانبثاث (حتى نهاية المرحلة) لديهم نازعات الاكتات الطبيعي غالبا ما يشير بشكل غير عادي إلى ارتفاع انتشار المرض المنتشر في الكبد. ومن الشائع للمرضى تشخيص الميلانوما ان يكون الصدر بالاشعة السينية واختبار LHD وفي بعض الحالات CT،MRI،PETو / أو مسحPET / CT. على الرغم من الجدل, يتم تنفيذ فحص الغدد الليمفاوية في المرضى لتقييم انتشارها اليها ويدعمتشخيصالميلانومابنسبةحضورS-100البروتينعلامة. HMB-45 هو من الاجسام المضادة احادي النسيلة ان يتفاعل ضد المستضد الموجود في الاورام الميلانينية مثل الميلانوما, وتقف على الانسان الميلانوما السوداء والتي يتم استخدامها في علم الامراض التشريحي كعلامة لمثل هذه الاورام. تم انشاء الاجسام المضادة لاستخراج الميلانوما. يتفاعل بشكل ايجابي ضد اورام ميلانينية ولكن ليس اورام اخرى, وبالتالي خصوصية وحساسية. وتتفاعل الاجسام المضادة ايضا ضد خلايا الشامات ولكن ليس داخل شامات الأدمة وضد اجنة الخلايا الصباغية ولكن ليس الخلايا الصباغية البالغة الطبيعية.

المراحل

مرحلة Tمن الميلانوما
F18-FDG PET / CT في مريض الميلانوما تظهرآفات متعددة، انتشارالأرجح

مراحل الميلانوما[28] معدلات البقاء على قيد الحياة لمدة 5 سنوات: مرحلة0: الميلانوما في موقع (كلارك المستوى الاول) 99% يبقى على قيد لحياة مرحلة I\II : ميلاوما غزوية 89-95% يبقى على قيد الحياة

  • T1a: أقل من 1.0 مم سمك الورم الرئيسي, دون تقرح والانقسام> 1 مم2
  • T1b: اقل من 1.0 مم سمك الورم الرئيسي مع تقرح او انقسام أكبر او يساوي 1
  • T2a: سمك الورم الرئيسي دون تقرح 1.01-2.0مم

مرحلة II : الميلانوما عالية المخاطر 45-79% يبقى على قيد الحياة

  • T2b: سمك الورم الرئيسي مع تقرح 1.01- 2,0 مم
  • T3a: سمك الورم الرئيسي دون تقرح 2.01-4.0 مم
  • T3b: سمك الورم الرئيسي مع تقرح 2.01-4.0 مم
  • T4a: أكبر من 4.0 مم سمك الورم الرئيسي دون تقرح
  • T4b: أكبر من 4.0 مم سمك الورم الرئيسي مع تقرح

مرحلة III: ورم اقليمي خبيث 24-70% يبقى على قيد الحياة

  • N1: عقدة ليمفاويه واحدة حسنة
  • N2: من 2-3 عقد ليمفاوية حسنة او جلد اقليمي\ ورم خبيث في الانتشار
  • N3: اربعة عقد ليمفاوية ايجابية او عقدة واحده و جلد اقليمي وورم خبيث في الانتشار

مرحلة IV: ورم خبيث بعيد 7-19% يبقى على قيد الحياة

  • M1a: انتشار الورم في الجلد LHD طبيعي
  • M1b: انتشار في الرئة LHD طبيعي
  • M1c: ورم خبيث اخر او اي تطور اخر له مع LHD مرتفعة

يعتمد على ال AJCC خمس سنوات بقاء تشخيص اولي للميلانوما مع العلاج المناسب.

الوقاية

تجنب الأشعة فوق البنفسجية

التقليل من التعرض لمصادر الأشعة فوق البنفسجية (الشمس وأجهزة تسمير البشرة)[29] , بعد اجراءات الحماية من أشعة الشمس و ارتداء ملابس واقية الشمس (القمصان بأكمام طويلة وسراويل طويلة، والقبعات واسعة الحواف) يمكن أن تقدم الحماية. استخدام الضوء الاصطناعي لدباغة كان يعتقد يساعد في منع سرطانات الجلد، ولكن يمكن أن يؤدي في الواقع إلى زيادة في حدوث الأورام الميلانينية[30] . لتقليل التعرض للضوء فوق البنفسجي فمن المستحسن تجنب الشمس بين الساعة 9:00 و 3:00 أو تجنب أشعة الشمس عندما يكون ظل أقصر من ارتفاعه.

واقي الشمس

واقيات الشمس يبدو انها قد تكون فعالة من الميلانوما[2][31]. في الماضي، و قد أوصى استخدام واقيات الشمس مع عامل حماية من الشمس (SPF) تصنيف 50 أو أعلى على المناطق المعرضة كما ان واقيات الشمس القديمة أكثر فعالية مع ارتفاعSPF)[32]). يحمي واقي الشمس أيضا ضد سرطان الخلايا الحرشفية وسرطانات جلد أخرى[33].

العلاج

الميلانوما الخبيث واسع النطاق على صدر شخص

يتم تاكيد التشخيص السريري مع خزعة الجلد, وعادة يعقب هذا المر مع استئصال على نطاق اوسع لندبة او ورم, اعتمادا على المراحل يتم اخذ خزعة العقد الليمفاوية الحارسة, كذلك على الرغم من وجود جدل حول هذا الاجراء[34] يتم اجراء علاج للميلانوما المتقدمة باتباع نهج متعدد التخصصات.

الجراحة

استئصال الخزعات قد تزيل الورم ولكن مزيد من الجراحة غالبا ما يكون ضروريا للحد من عودته. الاستئصال الجراحي الكامل مع هوامش جراحية كافية وتقييم لوجود واكتشاف المرض المنتشر جنبا إلى جنب مع متابعة قصيرة وطويلة الاجل هو معيار. وغالبا ما يتم ذلك مع استئصال محلي واسع (WLE wide local excision) مع هامش 1-2 سم. يتم التعامل مع الميلانوما ونمشه خبيثة مع هوامش جراحية اضيق عادة من 0.2-0.5 سم. معظم الجراحين ينظرون إلى ان 0.5 سم مستوى الرعاية لاستئصال الميلانوما في الموقع[35]. ولكن 0.2 سم قد يكون مقبولا. يهدف الاستئصال الواسع للحد من عودة الورم في موقع الافة الاصلية هذا هو النمط الشائع في العلاج لفشل الميلانوما. وتهدف البحوث الواسعة لتوضيح هوامش مناسبة للاستئصال مع الاتجاه العام نحو علاج اقل قوة في العقود الماضية.[36] تم الابلاغ عن جراحة موس ( الجراحة الكيميائية) مع نسبة شفاء منخفضة تصل ال 77%[37] وتصل ال 98% للميلانوما في الموقع[38]. الميلانوما التي تنتشرعادة إلى العقد الليمفاوية في منطقة الورم قبل أن تنتشر في أماكن أخرى, نحاول لتحسين البقاء على قيد الحياة عن طريق ازالة الغدد الليمفاوية جراحيا (استئصال الغدد الليمفاوية ) وترتبط مع العديد من المضاعفات ولكن عموما لا فائدة , مؤخرا تم تطوير هذه التقنية للحد من مضاعفات هذه العملية الجراحية في حين انتشر هذا الورم للعقد الليمفاوية[39]. خزعةالعقد الليمفاويةالحارسه هو إجراء يستخدم على نطاق واسع عند علاج الميلانوما الجلدية[40][41]. لا خزعة ليمفاوية ولا اختبارات شخصية اخرى يجب ان تنفذ لتقييم في وقت مبكر, الميلانوما الرقيقة بما في ذلك الميلانوما في مرحلة T1a ميلانوما او T1b ميلانوما اقل او تساوس 0.5 مم.[42]. الناس مع هذه الظروف من غيرالمرجح أن يكون السرطان انتشر إلى الغدد الليمفاوية أو في أي مكان آخر، و بالفعل 97٪ معدل البقاءعلى قيد الحياة لمدة 5 سنوات [42]. بسبب هذه الأمور، خزعة العقدة الليمفاوية الحارسة هو الرعاية الصحية غير الضرورية لهم [42]. و علاوة على ذلك، اختبارات الدم الأساسية و الدراسات الشعاعية لاينبغي القيام بها إلا على أساس تحديد هذا النوع من الميلانوما كما أنها كاختبارات أكثر دقة للكشف عن السرطان و هذه الاختبارات لديهم معدلات إيجابية كاذبة عالية[42]. غالبا ما تنفذ خزعة العقدة الليمفاوية الحارسه وخاصة بالنسبة للT1B / T2 + الأورام و أورام الغشاء المخاطي سرطان الجلد العين والأورام في الأطراف (بحاجة لمصدر), يتم اجراء عملية تسمى lymphoscintigraphy حيث يتم حقن التتبع الإشعاعي في موقع الورم لحصرالعقدة \ العقد الحارسة يتم توفير مزيد من الدقة باستخدام كاشف صبغة زرقاء, ويتم تنفيذ عملية جراحية لخزعة العقدة\العقد. اذا العقد الليمفاوية حسنة وهذا يتوقف على مدى انتشار العقد الليمفاوية وغالبا ما يتم تنفيذ تشريح متطرف للعقدةالليمفاوية, اذا تم استئصال المرض تماما سوف يلجأ المريض للعلاج المساعد خزعة الجلد المتأصلة يتمثل في كيفية إدارة الاختيار, هنا يتم ازالة الافة المشبوهة تماما ( ولكن عادة اقل شئ 1-2 مم )القطع الناقص من الجلد والانسجة المحيطة بها[43]. لتجنب تصريف الليمفاوي المحلي يفضل ان يكون الهامش الجراحي للخزعة ضيق 1 مم, وينبغي أن تتضمن خزعة من البشرة و الجلد، و طبقات تحت الجلد.وهذا يتيحلل اختصاصي الهيستوباثولوجيا لتحديد سماكة من سرطان الجلد عن طريق الفحص المجهري. يتم وصف هذا عن طريق سمك بريسلوفي (قياس في ملليمتر). ومع ذلك، للآفات الكبيرة مثل النمشة الخبيثة او الآفات في المناطق الصعبة جراحيا (الوجه والقدمين و الأصابع و الجفون)، في أي حال من الاحوال يجب ان تتضمن الخزعة الاولية هامش الجراحية النهائي (0.5 سم، 1.0 سم،أو 2 سم), و ذلك التشخيص الخاطئ يمكن أن يؤدي إلى الظهورالمفرط للندب و الإصابة بالأمراض من الإجراء و الاستئصال الأولي الكبير يعطل التصريف الليمفاوي المحلي و يمكن أن تؤثر صورة الاوعية الليمفاوية المباشرة على تشريح العقد الليمفاوية.

إضافة على العلاج

الميلانوما عالية المخاطر قد تتطلب العلاج المساعد على الرغم من التوجهات لهذا قد تختلف باختلاف البلدان. في الولايات المتحدة فان معظم المرضى في صحة جيدة, تبدأ جرعة عالية من العلاج "الانترفيرون" تصل إلى عام والتي لها اثار جانبية خطيرة ولكن قد تتحسن احوال المريض قليلا[44]. لكن الجمعية البيريطانية للمبادئ التوجيهية لامراض الجلدية في حالة الميلانوما ان الانترفيرون لا ينصح كعلاج مساعد للميلانوما[45]. وفي عام 2011 استخلص من التحليل ان الانترفيرون يمكن ان يطيل الوقت قبل ان تعود الميلانوما مرة اخرى ولكن تزيد نسبة البقاء على قيد الحياة بنسبة 3% لمدة 5 سنوات والاثار غير السارة ايضا تقلل نوعية الحياة إلى حد كبير[46]. في أوروبا عادة لا يتم استخدام الانتروفيرون خارج نطاق التجارب السريرية[47][48]. ويمكن الكشف عن الأورام الميلانينية المتنقله بواسطة الأشعة السينية و المقطعية، الرنين المغناطيسي و التصويرPETوPET / CTS و الموجات فوق الصوتية و اختبار LDH و الكشف الضوئي[49].

العلاج الكيميائي والعلاج المناعي

يختلف وكلاء العلاج الكيميائي بما في ذلك داكاربازين (و هو ما يسمى أيضا DTIC)، العلاج المناعي (معانترلوكين 2 (IL-2) أو الانتروفيرون وكذلك الرذاذ المحلي يتم استخدامها من قبل مراكز مختلفة النجاح الشامل في سرطان الجلد المنتشر محدود للغاية.[50] IL-2 )Proleukin) كان أول علاج جديد قُبل (1990 أوروبا، 1992 الولايات المتحدة الأمريكية ) لعلاج الميلانوما المنتشر في 20 سنة . وقد اثبتت الدراسات ان IL-2توفرإمكانية تخفيف كامل وطويل الامد في هذا المرض على الرغم من نسبة صغيرة في المرضى[51]. داخل الآفةIL-2 في عبور النقيلة لديها معدل استجابة كاملة عالية تتراوح 40-100٪.[52]. وقد تمت الموافقة على العلاج الكيميائي الجديد drug temozolomide من قبل مؤسسة الغذاء والدواء عام1999 . في عام 2009 واعتبرمشاركة التجارب السريرية على لرعاية الميلانوما المنتشر [53]. وتشمل علاجات بيولوجية مناعية للميلانوما المنتشره ipilimumab،pembrolizumab،وnivolumab. مثبطات BRAF، مثل vemurafenibوdabrafenib. وtrametinib [52]. البحوث الجارية تبحث في العلاج عن طريق نقل الخلايا بالتبني[54],وتطبق قبل التحفيز او التعديل على خلايا T[55] او ممكن الخلايا الجذعية[56].

نمشة خبيثة

لا يزال يجري الاستئصال من قبل معظم الجراحين, لسوء الحظ فان معدل عودتها مرتفع يصل إلى 50%. ويرجع ذلك إلى الهامش الجراحي المرئي الغير واضح, والموقع الوجهي للافات (في كثير من الأحيان يضطر الجراح إلى استخدامها مشال جراحية الضيق), وق دتم إجراء جراحة موسم بنسبة الشفاء ذكر تأنت كون منخفضة مثل 77٪،[37] ويصل إلى 95٪ من مؤلف آخر[38]. بعض الشامات والميلانوما ،في الوضع الطبيعي (نمشة خبيث) قد تحمل عالعلاج التجريبي ,imiquimod الدرا الكريم موضعي لتعزيز المناعة. بعض جراحين الجلد يجمعو بين اسلوبين : استئصال السرطان جراحيا ومن ثم علاج المنطقة ب الدرا كريم بعد العمل الجراحي لمدة ثلاثة أشهر

العلاج الاشعاعي

وكثيرا ما يستخدم العلاج الإشعاعي بعد الاستئصال الجراحي لمرضى الميلانوما محليا أو إقليميا أو متقدمة للمرضى الذين يعانون من النقائل البعيدة الغير منتشرة. وغالبا ما تستخدم الاشعة السينية لهذه العلاجات ويكون ملكا للجرعة الإشعاعية القصوى التيتحدث بالقرب من سطح الجلد[57]. أنه قد يقلل من معدل تكرار رجوعها المحلي ولكن لا يطيل البقاء على قيد الحياة.[58] اعلاج المناعي الاشعاعي للميلانوما المنتشرة حاليا قيد الفحص العلاج الاشعاعي له دور في التخفيف من الميلانوما المنتشرة[59].

التنبؤ

رسم تخطيط ييبين مواقع الأكثر شيوعا لانتشار الميلانوما

الميزات التي تؤثر على التشخيص هي سمك الورم في ملليمتر (عمق بريسلو)، والعمق المتعلق بهياكل الجلد (مستوى كلارك), نوع الميلانوما, وجود تقرح وانتشار حول العصب,الانتشار, وجود الخلايا الليمفاوية وانتشار الورم, (اذا كان موجودا التشخيص أفضل) , موقع الافة, وجود ورم خبيث في المنطقة او بعيد[60]. انواع معينه من الميلانوما لها توقعات اسوأ ولكن هذا ما يفسره سمكها زمن المثير للاهتمام الميلانوما الاقل انتشارا حتى الانتشار مع العقد الليمفاوية لها توقعات أفضل من الميلانوما المنتشره عميقا دون الانتشار. عندما تنتشر الميلانوما إلى الغدد الليمفاوية, واحدة من أهم العوامل عدد العقد المصابة, ومدى خباثة الورم في العقدة. عندما يوجد ورم خبيث بعيد يعتبر السرطان عموما غير قابل للشفاء, معدل البقاء على قيد الحياة لمدة 5 سنوات اقل من 10%[28], والبقاء على قيد الحياة 6-12 شهر, العلاج هو المسكن مع على امتداد الحياة وكيفيتها, في بعض الحالات قد يعيش المرضى اشهرا او حتى عدة سنوات مع الميلانوما المنتشرة اعتمادا على شدتها الانتشار على الجلد والرئتين لهم تنبؤ أفضل بينما النتشار للدماغ والعظام والكبد لهم تنبؤ اسوأ, البقاء على قيد الحياة بالميلانوما المنتشرة في موقع أفضل من الورم الرئيس الغير معروف.[61]

علم الاوبئة

الوفاة من الميلانوما وسرطانات الجلد الأخرى لكل 100000 نسمة في عام 2004[62]
██ لا يوجد بيانات ██ أقل من 0.7 ██ 0.7–1.4 ██ 1.4–2.1 ██ 2.1–2.8 ██ 2.8–3.5 ██ 3.5–4.2 ██ 4.2–4.9 ██ 4.9–5.6 ██ 5.6–6.3 ██ 6.3–7 ██ 7–7.7 ██ أكثر من 7.7

على الصعيد العالمي، في عام 2012،حدث الميلانوما في 232000 شخص وأدى إلى 55000حالة وفاة.[2] أستراليا و نيوزيلندا لديها أعلى معدلات سرطان الجلد في العالم[2], فقد أصبح أكثر شيوعا في السنوات ال 20 الماضية في المناطق التي في معظمها القوقاز[2]. وقد ارتفعت نسبة الميلانوما في السنوات الأخيرة, و لكن من غير الواضح إلى أي مدى تغير السلوك، في البيئة، أو المشاركة في الكشف المبكر [63].

استراليا

ولدى أستراليا نسبة عاليةجدا - وتزايد – الميلانوما و في عام 2012، وقعت الوفيات الناجمة عن الميلانوما في 7،3-9،8 لكل 100،000 من السكان. في أستراليا، الميلانوما هي ثالث أكثر أنواع السرطان شيوعا في كلا الجنسين في الواقع نسبة حدوثه اعلى من سرطان الرئة وتشيرالتقديرات إلى أنه في عام 2012، تم تشخيص أكثر من 12000 الأستراليين مع الميلانوما حالات سرطان الجلد في أستراليا هي مسألة ذات أهمية، و ذلك للأسباب التالية:

  • زاد معدل الاصابة بالميلانوما في الأستراليين إلى ما يزيد عن 30 بالمائة بين عامين 1991 و 2009
  • اصابة الأستراليين بالميلانوما كانت في سن موحدة اعتبارا من عام 2008 بزيادة 12 مرة على الاقل من المستوى العالمي.
  • حدوث الميلانوما الأسترالية وهي اعلى نسبة في العالم
  • عموما الإصابة بالسرطان في سن موحد في أستراليا هو الأعلى في العالم, وهذا يعزى إلى الميلانوما وحدها. حدوث سرطان الكلي في سن موحد مشابه لنيوزيلندا، و لكن هناك فرق اذ اتدلاله إحصائية بين استراليا و جميع أجزاء أخر ىمن العالم المتقدم بما في ذلك أمريكا الشمالية و أوروبا الغربية، والبحرالأبيض المتوسط.

الولايات المتحدة

في الولايات المتحدة يموت حوالي 9000 شخص من الميلانوما سنويا[64] في عام 2011 اثرت 19.7 لكل 100،000، وأسفرت عن وفيات في 2.7 في 100،000 [64].

تاريخ

على الرغم من أن الميلانوما ليس مرضا جديداً، دليل على وقوعه في العصور القديمة نادرة إلى حد ما’ ومع ذلك مثال واحد يقع في 1960s من تسعة المومساء بيرو الكربون المشع تعود إلى أن ما يقرب من 2400 سنة، و التي أظهرت علامات واضحة من الميلانوما: الكتل الميلانينية في الجلد والنقائل المنتشرة في العظام[65]. و ذكر جون هنتر أنه أول من عمل على سرطان الجلد المنتشر في 1787, على الرغم من عدم معرفة بالضبط ما كان عليه، وصفها بأنها "زائدة الكمئي سرطاني" وقدحفظ استئصال الورم في متحف هو نتيريانمن الكلية الملكية للجراحين في إنجلترا. لم يكن حتى عام 1968 أن الفحص المجهري للعينة كشفت أن يكون مثالا للميلانوما المنتشر[66]. وكان الطبيب الفرنسي رينيه لينيك أول من وصف الميلانوما ككيان المرض, و قدم تقريره في البداية خلال محاضرة لكلية الحقوق جامعة الطب في باريس في عام 1804 ثم نشرت كنشرة في 1806 [67]. لأول مرة قدم التقرير باللغة الإنجليزية للميلانوما من قبل طبيب عام الإنجليزية من ستو وربريدج، وليام نوريسفي 1820 [68]. في عمل لاحق له في عام 1857 انه لاحظ أن هناك استعداد عائلي لتطور الميلانوما (ثمانية حالات تصبغ مع ملاحظات المرضية و العلاجية على هذا المرض). كان نوريس أيضا رائد في يفترض وجود صلة بين الشامات و الميلانوما و احتمال وجود علاقة بين الميلانوما و التعرض للعوامل البيئية، بملاحظة أن معظم مرضاه كانو شاحبي البشرة[69]. جاء أول اعتراف رسمي من سرطان الجلد المتقدم غير قابل للعلاج من صموئيل كوبر في عام 1840, وقال إن الفرصة الوحيدة للعلاج تعتمد على الإزالة المبكرة للمرض (أي الاستئصال المبكر للكتل الخبيثة) [70]. عالم سرطان الجلد من الألماني μέλας melas تعني الظلام[71].

البحث

البحوث الدوائية للغير قطوعة أو الميلانوما النقيله تتيح إمكانيات العلاج الجديد[72]. بالاضافة إلى التقدم مع عوامل وافقت مؤخرا البحوث الجارية إلى الجمع بين العلاج مثل dabrafenibوtrametinib، قد تكشف عن خيار أكثر فعالية و أفضل السكوت للمرضى الذين يعانون من الميلانوما المنتشرة. و أحد الطرق الهامة في تخليق الميلانين ينطوي على عامل النسخ MITF. الجين MITF هو حافظ جدا و يوجد في الناس، والفئران، والطيور، وحتى الأسماك. وينظم إنتاج MITF عن طريق مسار واضح إلى حد ما. الأشعة فوق البنفسجية رفعت التعبيرعن عامل النسخ البروتين p53 في الخلايا الكيراتينية، و البروتين p53 يسبب هذه الخلايا لإنتاج المنشط للخلايا الصباغية هرمون (MSH)، التي تربط لمستقبلات ميلانوكورتين 1 (MC1R) على الخلايا الصباغية. مرتبط في مستقبلات MC1R ينشط cyclases أدينيلات، و التي تنتج cAMPا لذي ينشط CREB، التي تشجع التعبيرMITF و تشمل أهداف MITF P16 (مثبطCDK ) وBcl2، الجين الضروري لبقاء الخلايا الصباغية غالبا ما يكون من الصعب تصميم الأدوية التي تتداخل مع عوامل النسخ، ولكن ربما سوف يتم اكتشاف الأدوية الجديدة التي يمكن أن تعوق بعض ردود الفعل في مسار MITF. دراسات هيكل كروماتين وعدت ايضا لتسليط الضوء على تنظيم النسخ في خلايا الميلانوما[73]. منذ فترة طويلة يفترض أن الجسيمات النووية متوضعة بشكل عشوائي على حمض نووي ريبوزي منقوص الأكسجين، و لكن تشير الدراسات الفئران من الجينات المسؤولة عن إنتاج مادة الميلانين الآن أن الجسيمات النووية يتموضعها في نمطية على DNA. عندما يمر جين النسخ، موقع بداية النسخ منه هو دائما تقريبا خالية من الجسيم النووي. عندما يكون الجين صامت، و لكن في كثير من الأحيان الجسيمات النووية تحجب موقع بداية النسخ، مما يشير إلى أن موقف جسيم نووي قد يلعب دورا في تنظيم الجينات. وأخيرا، نظر الحقيقة أن الميلانين يساعد على حماية خلايا الجلد من الأشعة فوق البنفسجية التي يسبب الضرر,استراتيجيات جديدة للوقاية من سرطان الجلد يمكن أن تنطوي على محاولات للحث على الميلانين في الأفراد. حمرالشعر،على سبيل المثال، لا يضلل لأن لديهم طفرات MC1R.

العلاجات المستهدفة

في البحوث السريرية و ضع علاجا تأخر ىمثل العلاج بالخلايا بالتبني أو العلاج الجيني، و يجري اختبارها[74]. نوعين من العلاجات التجريبية المتقدمة في المعهد الوطني للسرطان (NCI)، و قد استخدمت في الميلانوما المنتشر نجاح مؤقت[75]. المعالجة الأولى تشمل العلاج بالتبني الخلية (ACT) باستخدام TILs الخلايا المناعية (الورم انتشر للخلايا الليمفاوية) معزولة عن الورم الميلانوما الشخص نفسه[52]. و تزرع هذه الخلايا بأعداد كبيرة في المختبر، وتعاد إلى المريض بعد العلاج الذي يقلل مؤقتا خلاياT الطبيعية في جسم المريض. علاج TIL يتبع استنزاف الخلايا الليمفاوية يمكن أن يؤدي إلى استجابة كاملة دائمة في مجموعة متنوعة من الاجهزة[76][77] المعالجة الثانية، نقل من الخلايا الليمفاوية ذاتي المعدلة وراثيا، ويعتمد على إيصال الجينات التي تكون ما يسمى مستقبلا بالخلايا التائية (TCRs)، إلى الخلايا الليمفاوية المريض[52]. بعد التلاعب الخلايا الليمفية تعرف وتربط بعض الجزيئات الموجودة على سطح خلايا الميلانوما و تقتلهم[78]. وهنا كل قاحل تدريب الجهازالمناعي لمحاربة السرطان أظهر تفائدة متواضعة في اختبار المرحلة الأخيرة في عام 2009 ضد الميلانوما [79][80], و نتائج اختبار المرحلة الأولى في 2015 من العلاج الذي تدريب الجهاز المناعي على التعرف على كل الأفراد وأظهرت خلايا الورم القتامي بعض الأمل.

مثبط BARAF

حوالي 60٪ من الأورام الميلانينية تحتوي على طفرة في الجين B-راف. و أشارت التجارب السريرية الأولى أن مثبطات B-راف بما في ذلك vemurafenib Plexxicon يمكن أن يؤدي إلى تراجع الورم كبير في الغالبية العظمى من المرضى إذا الورم تحتوي على طفرة B-راف[81] في يونيو 2011، و أكدت التجارب السريرية الكبيرة النتائج الإيجابية من تلك التجارب السابقة [82][83]. في آب 2011 تلقى Vemurafenib موافقة مؤسسة الغذاء والدواء لعلاج المراحل المتأخرة من الميلانوما. في يونيو 2012 ذكرت الدراسة أن المرضى الذين يتناولون مختلف B-رافا ،Dabrafenib، كان أفضل من المرضى الذين يخضعون العلاج الكيميائي[84]. و يعتقد بعض الباحثين أن العلاجات المركبة التي تمنع في نفس الوقت مسارات متعددة قد يحسن فعالية من خلال جعلها أكثر صعوبة للحصول على الخلايا السرطانية إلى التحور قبل تدميرها. في أكتوبر 2012 ذكرت الدراسة أن الجمع بين Dabrafenib معtrametinib مع مانع MEK أدى إلى نتائج أفضل. مقارنة Dabrafenib وحده، تم زيادة البقاء على قيد الحياة إلى 41٪ من 9٪، و ارتفع الرقم البقاء على قيد الحياة إلى 9.4 أشهر مقابل 5.8 أشهر. كانت بعض الآثارالجانبية، و مع ذلك فقد زاد في الدراسة مجتمعة [85][86]. في يناير 2014، و افقت إدارة الاغذية والعقاقير مزيج من dabrafenib و trametinib لعلاج المرضى الذين يعانون من BRAF V600E / K-mutant الميلانوما المنتشر[87]. المقاومةالمحتملة إلى BRAFوMEK مثبط اتقد يكون راجعا إلى بروتين سطح الخلية المعروفة باسم EphA2 الذي يجري الآن التحقيق فيها[88].

أساليب المراقبة

وقد مكنت التطور ارتفاع دقة المسح الضوئي بالموجات فوق الصوتية مراقبة عبء الانتشار إلى الغدد الليمفاوية [89]. لفحص و مراقبة الموجات فوق الصوتية في الميلانوما تجربة (SUNMEL) هو تقييم الموجات فوق الصوتية كبديل للطرق الجراحية.[90]

علاج بالفيروس اتحال الورم

في بعض البلدان يتم دراسة طرق علاج بالفيروسات حال الورم و يستخدم لعلاج الميلانوما. علاج بالفيروسات حال الورم هي فرع واعد للعلاج بالفيروسات، حيث تستخدم الفيروسات حال الورم لعلاج الأمراض. الفيروسات يمكن أن تزيد من عملية التمثيل الغذائي، و الحد من المناعة المضادة للورم و فسد النظام الأوعية الدموية [91]. Talimogene laherparepvec ) T-VEC)(و هو العلاج المناعي حال الورم نوع فيروس الهربس البسيط 1 المشتقة)، وقد تبين أن تكون مفيدة ضد الميلانوما المنتشره في عام 2015 مع بقاء زيادة قدرها 4.4 أشهر[92].

المصادر

  1. ^ أ ب ت ث ج ح خ د ذ ر {{cite web}}: Empty citation (help)
  2. ^ أ ب ت ث ج ح خ د ذ ر ز س ش ص World Cancer Report 2014. World Health Organization. pp. Chapter 5.14. {{cite book}}: Cite has empty unknown parameters: |lay-date=, |subscription=, |nopp=, |last-author-amp=, |name-list-format=, |lay-source=, |registration=, and |lay-summary= (help)
  3. ^ Goldstein, BG; Goldstein, AO (1 April 2001). "Diagnosis and management of malignant melanoma". American Family Physician. 63 (7): 1359–68, 1374. PMID 11310650.
  4. ^ أ ب {{cite web}}: Empty citation (help)
  5. ^ GBD 2015 Disease and Injury Incidence and Prevalence, Collaborators. (8 October 2016). "Global, regional, and national incidence, prevalence, and years lived with disability for 310 diseases and injuries, 1990–2015: a systematic analysis for the Global Burden of Disease Study 2015". Lancet. 388 (10053): 1545–1602. doi:10.1016/S0140-6736(16)31678-6. PMC 5055577. PMID 27733282. {{cite journal}}: |first1= has generic name (help)CS1 maint: numeric names: authors list (link)
  6. ^ GBD 2015 Mortality and Causes of Death, Collaborators. (8 October 2016). "Global, regional, and national life expectancy, all-cause mortality, and cause-specific mortality for 249 causes of death, 1980–2015: a systematic analysis for the Global Burden of Disease Study 2015". Lancet. 388 (10053): 1459–1544. doi:10.1016/s0140-6736(16)31012-1. PMID 27733281. {{cite journal}}: |first1= has generic name (help)CS1 maint: numeric names: authors list (link)
  7. ^ Kanavy HE, Gerstenblith MR. Semin Cutan Med Surg. 30 (4). doi:10.1016/j.sder.2011.08.003. PMID 22123420. {{cite journal}}: Missing or empty |title= (help); Unknown parameter |التاريخ= ignored (help); Unknown parameter |الصفحات= ignored (help); Unknown parameter |العنوان= ignored (help); Unknown parameter |المسار= ignored (help)
  8. ^ أ ب ت The Surgical clinics of North America. 94 (5). doi:10.1016/j.suc.2014.07.013. PMID 25245960. {{cite journal}}: Missing or empty |title= (help); Unknown parameter |الأخير1= ignored (help); Unknown parameter |الأخير2= ignored (help); Unknown parameter |الأول1= ignored (help); Unknown parameter |الأول2= ignored (help); Unknown parameter |التاريخ= ignored (help); Unknown parameter |الصفحات= ignored (help); Unknown parameter |العنوان= ignored (help)
  9. ^ MelanomaWarningSigns.com
  10. ^ Cancer Control. 2 (5). PMID 10862180. {{cite journal}}: Missing or empty |title= (help); Unknown parameter |التاريخ= ignored (help); Unknown parameter |الصفحات= ignored (help); Unknown parameter |العنوان= ignored (help); Unknown parameter |المؤلف= ignored (help)
  11. ^ أعراض سرطان الجلد- الميلانوما، الطبيب.كوم
  12. ^ BMJ (Clinical research ed.). 345. doi:10.1136/bmj.e4757. PMC 3404185. PMID 22833605 https://www.ncbi.nlm.nih.gov/pmc/articles/PMC3404185. {{cite journal}}: Missing or empty |title= (help); Unknown parameter |الأخير= ignored (help); Unknown parameter |الأول= ignored (help); Unknown parameter |التاريخ= ignored (help); Unknown parameter |الصفحات= ignored (help); Unknown parameter |العنوان= ignored (help); Unknown parameter |المؤلف2= ignored (help); Unknown parameter |المؤلف3= ignored (help); Unknown parameter |المؤلف4= ignored (help)
  13. ^ ذا لانسيت. 10 (8). doi:10.1016/S1470-2045(09)70213-X. PMID 19655431. {{cite journal}}: Missing or empty |title= (help); Unknown parameter |التاريخ= ignored (help); Unknown parameter |الصفحات= ignored (help); Unknown parameter |العنوان= ignored (help); Unknown parameter |المؤلف= ignored (help)
  14. ^ JAMA Dermatology. doi:10.1001/jamadermatol.2014.1077. {{cite journal}}: Missing or empty |title= (help); Unknown parameter |الأخير1= ignored (help); Unknown parameter |الأخير2= ignored (help); Unknown parameter |الأخير3= ignored (help); Unknown parameter |الأخير4= ignored (help); Unknown parameter |الأخير5= ignored (help); Unknown parameter |الأول1= ignored (help); Unknown parameter |الأول2= ignored (help); Unknown parameter |الأول3= ignored (help); Unknown parameter |الأول4= ignored (help); Unknown parameter |الأول5= ignored (help); Unknown parameter |التاريخ= ignored (help); Unknown parameter |العنوان= ignored (help)
  15. ^ Rünger TM, Farahvash B, Hatvani Z, Rees A. Photochem. Photobiol. Sci. 11 (1). doi:10.1039/c1pp05232b. PMID 22005748. {{cite journal}}: Cite has empty unknown parameter: |المسار= (help); Missing or empty |title= (help); Unknown parameter |التاريخ= ignored (help); Unknown parameter |الصفحات= ignored (help); Unknown parameter |العنوان= ignored (help)
  16. ^ Leslie MC, Bar-Eli M. J. Cell. Biochem. 94 (1). doi:10.1002/jcb.20296. PMID 15523674. {{cite journal}}: Missing or empty |title= (help); Unknown parameter |التاريخ= ignored (help); Unknown parameter |الصفحات= ignored (help); Unknown parameter |العنوان= ignored (help)
  17. ^ Bhoumik A, Singha N, O'Connell MJ, Ronai ZA. J. Biol. Chem. 283 (25). doi:10.1074/jbc.M802030200. PMC 2427333. PMID 18397884 https://www.ncbi.nlm.nih.gov/pmc/articles/PMC2427333. {{cite journal}}: Missing or empty |title= (help); Unknown parameter |التاريخ= ignored (help); Unknown parameter |الصفحات= ignored (help); Unknown parameter |العنوان= ignored (help)
  18. ^ Bhoumik A, Jones N, Ronai Z. Proc. Natl. Acad. Sci. U.S.A. 101 (12). doi:10.1073/pnas.0400195101. PMC 384722. PMID 15010535 https://www.ncbi.nlm.nih.gov/pmc/articles/PMC384722. {{cite journal}}: Missing or empty |title= (help); Unknown parameter |التاريخ= ignored (help); Unknown parameter |الصفحات= ignored (help); Unknown parameter |العنوان= ignored (help)
  19. ^ Vlahopoulos SA, Logotheti S, Mikas D, Giarika A, Gorgoulis V, Zoumpourlis V. BioEssays. 30 (4). doi:10.1002/bies.20734. PMID 18348191. {{cite journal}}: Missing or empty |title= (help); Unknown parameter |التاريخ= ignored (help); Unknown parameter |الصفحات= ignored (help); Unknown parameter |العنوان= ignored (help)
  20. ^ Huang Y, Minigh J, Miles S, Niles RM. J Mol Signal. 3. doi:10.1186/1750-2187-3-3. PMC 2265711. PMID 18269766 https://www.ncbi.nlm.nih.gov/pmc/articles/PMC2265711. {{cite journal}}: Missing or empty |title= (help); Unknown parameter |السنة= ignored (help); Unknown parameter |الصفحة= ignored (help); Unknown parameter |العنوان= ignored (help)CS1 maint: unflagged free DOI (link)
  21. ^ أ ب Wurm EM, Soyer HP. Australian Prescriber (33). {{cite journal}}: Missing or empty |title= (help); Unknown parameter |التاريخ= ignored (help); Unknown parameter |الصفحات= ignored (help); Unknown parameter |العنوان= ignored (help); Unknown parameter |المسار= ignored (help)
  22. ^ {{cite web}}: Empty citation (help)
  23. ^ Friedman R, Rigel D, Kopf A. CA Cancer J Clin. 35 (3). doi:10.3322/canjclin.35.3.130. PMID 3921200. {{cite journal}}: Missing or empty |title= (help); Unknown parameter |السنة= ignored (help); Unknown parameter |الصفحات= ignored (help); Unknown parameter |العنوان= ignored (help); Unknown parameter |المسار= ignored (help)
  24. ^ أ ب Mascaro JM, Mascaro JM. Arch Dermatol. 134 (11). doi:10.1001/archderm.134.11.1484. PMID 9828892. {{cite journal}}: Missing or empty |title= (help); Unknown parameter |التاريخ= ignored (help); Unknown parameter |الصفحات= ignored (help); Unknown parameter |العنوان= ignored (help)
  25. ^ أ ب Dermnetnz.org
  26. ^ Andrews' Diseases of the Skin: clinical Dermatology. Saunders Elsevier. 2006. pp. 694–9. {{cite book}}: Cite has empty unknown parameters: |lay-date=, |subscription=, |nopp=, |last-author-amp=, |name-list-format=, |lay-source=, |registration=, and |lay-summary= (help)
  27. ^ Dermatology: 2-Volume Set. St. Louis: Mosby. 2007. {{cite book}}: Cite has empty unknown parameters: |lay-date=, |subscription=, |nopp=, |last-author-amp=, |name-list-format=, |lay-source=, |registration=, and |lay-summary= (help)
  28. ^ أ ب Balch C, Buzaid A, Soong S, Atkins M, Cascinelli N, Coit D, Fleming I, Gershenwald J, Houghton A, Kirkwood J, McMasters K, Mihm M, Morton D, Reintgen D, Ross M, Sober A, Thompson J, Thompson J. J Clin Oncol. 19 (16). PMID 11504745. {{cite journal}}: Missing or empty |title= (help); Unknown parameter |السنة= ignored (help); Unknown parameter |الصفحات= ignored (help); Unknown parameter |العنوان= ignored (help); Unknown parameter |المسار= ignored (help)
  29. ^ Expert Rev Anticancer Ther. 5 (5). doi:10.1586/14737140.5.5.821. PMID 16221052. {{cite journal}}: Missing or empty |title= (help); Unknown parameter |السنة= ignored (help); Unknown parameter |الصفحات= ignored (help); Unknown parameter |العنوان= ignored (help); Unknown parameter |المؤلف= ignored (help)
  30. ^ Clough-Gorr KM, Titus-Ernstoff L, Perry AE, Spencer SK, Ernstoff MS. Cancer Causes Control. 19 (7). doi:10.1007/s10552-008-9129-6. PMID 18273687. {{cite journal}}: Missing or empty |title= (help); Unknown parameter |التاريخ= ignored (help); Unknown parameter |الصفحات= ignored (help); Unknown parameter |العنوان= ignored (help)
  31. ^ Kanavy HE, Gerstenblith MR. Semin Cutan Med Surg. 30 (4). doi:10.1016/j.sder.2011.08.003. PMID 22123420. {{cite journal}}: Missing or empty |title= (help); Unknown parameter |التاريخ= ignored (help); Unknown parameter |الصفحات= ignored (help); Unknown parameter |العنوان= ignored (help)
  32. ^ Can Melanoma Be Prevented? Archive copy at the Internet Archive
  33. ^ Photodermatology, Photoimmunology & Photomedicine. 27 (2). doi:10.1111/j.1600-0781.2011.00557.x. PMID 21392107. {{cite journal}}: Missing or empty |title= (help); Unknown parameter |التاريخ= ignored (help); Unknown parameter |الصفحات= ignored (help); Unknown parameter |العنوان= ignored (help); Unknown parameter |المؤلف1= ignored (help); Unknown parameter |المؤلف2= ignored (help)
  34. ^ {{cite web}}: Empty citation (help)
  35. ^ Clark GS, Pappas-Politis EC, Cherpelis BS, et al. Cancer Control. 15 (3). PMID 18596673. {{cite journal}}: Missing or empty |title= (help); Unknown parameter |التاريخ= ignored (help); Unknown parameter |الصفحات= ignored (help); Unknown parameter |العنوان= ignored (help)
  36. ^ Balch C, Urist M, Karakousis C, Smith T, Temple W, Drzewiecki K, Jewell W, Bartolucci A, Mihm M, Barnhill R. Ann Surg. 218 (3). doi:10.1097/00000658-199309000-00005. PMC 1242959. PMID 8373269 https://www.ncbi.nlm.nih.gov/pmc/articles/PMC1242959. {{cite journal}}: Missing or empty |title= (help); Unknown parameter |السنة= ignored (help); Unknown parameter |الصفحات= ignored (help); Unknown parameter |العنوان= ignored (help)
  37. ^ أ ب Mohs, Frederic Edward; Mikhail, George R. Mohs micrographic surgery. W.B. Saunders. pp. 13–14. {{cite book}}: Cite has empty unknown parameters: |lay-date=, |subscription=, |nopp=, |last-author-amp=, |name-list-format=, |lay-source=, |registration=, and |lay-summary= (help)
  38. ^ أ ب Bene NI, Healy C, Coldiron BM. Dermatol Surg. 34 (5). doi:10.1111/j.1524-4725.2007.34124.x. PMID 18261099. {{cite journal}}: Missing or empty |title= (help); Unknown parameter |اقتباس= ignored (help); Unknown parameter |التاريخ= ignored (help); Unknown parameter |الصفحات= ignored (help); Unknown parameter |العنوان= ignored (help); Unknown parameter |المسار= ignored (help)
  39. ^ Malignant-Melanoma.org
  40. ^ Giornale italiano di dermatologia e venereologia : organo ufficiale, Societa italiana di dermatologia e sifilografia. 148 (5). PMID 24005142. {{cite journal}}: Missing or empty |title= (help); Unknown parameter |الأخير= ignored (help); Unknown parameter |الأول= ignored (help); Unknown parameter |التاريخ= ignored (help); Unknown parameter |الصفحات= ignored (help); Unknown parameter |العنوان= ignored (help); Unknown parameter |المؤلف2= ignored (help)
  41. ^ Clinics in dermatology. 31 (3). doi:10.1016/j.clindermatol.2012.08.004. PMID 23608449. {{cite journal}}: Missing or empty |title= (help); Unknown parameter |الأخير= ignored (help); Unknown parameter |الأول= ignored (help); Unknown parameter |التاريخ= ignored (help); Unknown parameter |الصفحات= ignored (help); Unknown parameter |العنوان= ignored (help); Unknown parameter |المؤلف2= ignored (help)
  42. ^ أ ب ت ث  , which cites
    • Journal of the American Academy of Dermatology. 65 (5). doi:10.1016/j.jaad.2011.04.031. PMID 21868127. {{cite journal}}: Missing or empty |title= (help); Unknown parameter |الأخير1= ignored (help); Unknown parameter |الأخير2= ignored (help); Unknown parameter |الأخير3= ignored (help); Unknown parameter |الأخير4= ignored (help); Unknown parameter |الأخير5= ignored (help); Unknown parameter |الأول1= ignored (help); Unknown parameter |الأول2= ignored (help); Unknown parameter |الأول3= ignored (help); Unknown parameter |الأول4= ignored (help); Unknown parameter |الأول5= ignored (help); Unknown parameter |التاريخ= ignored (help); Unknown parameter |الصفحات= ignored (help); Unknown parameter |العنوان= ignored (help)
    • American Joint Committee on Cancer (2010). AJCC cancer staging manual. New York: Springer. {{cite book}}: Cite has empty unknown parameters: |lay-date=, |subscription=, |nopp=, |last-author-amp=, |name-list-format=, |lay-source=, |registration=, and |lay-summary= (help)
    • , Fort Washington, Pennsylvania قالب:Closed access
  43. ^ Swanson N, Lee K, Gorman A, Lee H. Intensive 2011: The Third International Conference on Resource Intensive Applications and Services. 20 (4). doi:10.1016/S0733-8635(02)00025-6. PMID 12380054. {{cite journal}}: Missing or empty |title= (help); Unknown parameter |السنة= ignored (help); Unknown parameter |الصفحات= ignored (help); Unknown parameter |العنوان= ignored (help)
  44. ^ Kirkwood J, Strawderman M, Ernstoff M, Smith T, Borden E, Blum R. J Clin Oncol. 14 (1). PMID 8558223. {{cite journal}}: Missing or empty |title= (help); Unknown parameter |السنة= ignored (help); Unknown parameter |الصفحات= ignored (help); Unknown parameter |العنوان= ignored (help)
  45. ^ British Association of Dermatologists' management guidelines. Chichester, West Sussex: Wiley-Blackwell. 2010. {{cite book}}: Cite has empty unknown parameters: |lay-date=, |subscription=, |nopp=, |last-author-amp=, |name-list-format=, |lay-source=, |registration=, and |lay-summary= (help)
  46. ^ Wheatley K, Ives N, Eggermont A, et al. J Clin Oncol. 25. {{cite journal}}: Cite has empty unknown parameter: |المسار= (help); Missing or empty |title= (help); Unknown parameter |السنة= ignored (help); Unknown parameter |الصفحة= ignored (help); Unknown parameter |العنوان= ignored (help)
  47. ^ Kirkwood J, Ibrahim J, Sondak V, Richards J, Flaherty L, Ernstoff M, Smith T, Rao U, Steele M, Blum R. J Clin Oncol. 18 (12). PMID 10856105. {{cite journal}}: Missing or empty |title= (help); Unknown parameter |السنة= ignored (help); Unknown parameter |الصفحات= ignored (help); Unknown parameter |العنوان= ignored (help)
  48. ^ Kirkwood J, Ibrahim J, Sondak V, Ernstoff M, Ross M. Lancet. 359 (9310). doi:10.1016/S0140-6736(02)08001-7. PMID 11918944. {{cite journal}}: Missing or empty |title= (help); Unknown parameter |السنة= ignored (help); Unknown parameter |الصفحات= ignored (help); Unknown parameter |العنوان= ignored (help)
  49. ^ Weight RM, Viator JA, Dale PS, Caldwell CW, Lisle AE. Opt Lett. 31 (20). doi:10.1364/OL.31.002998. PMID 17001379. {{cite journal}}: Missing or empty |title= (help); Unknown parameter |السنة= ignored (help); Unknown parameter |الصفحات= ignored (help); Unknown parameter |العنوان= ignored (help)
  50. ^ Bajetta E, Del Vecchio M, Bernard-Marty C, Vitali M, Buzzoni R, Rixe O, Nova P, Aglione S, Taillibert S, Khayat D. Semin Oncol. 29 (5). doi:10.1053/sonc.2002.35238. PMID 12407508. {{cite journal}}: Missing or empty |title= (help); Unknown parameter |السنة= ignored (help); Unknown parameter |الصفحات= ignored (help); Unknown parameter |العنوان= ignored (help)
  51. ^ Oncology (Williston Park). 18 (11). PMID 15609471. {{cite journal}}: Missing or empty |title= (help); Unknown parameter |السنة= ignored (help); Unknown parameter |الصفحات= ignored (help); Unknown parameter |العنوان= ignored (help); Unknown parameter |المؤلف= ignored (help)
  52. ^ أ ب ت ث Maverakis E, Cornelius LA, Bowen GM, Phan T, Patel FB, Fitzmaurice S, He Y, Burrall B, Duong C, Kloxin AM, Sultani H, Wilken R, Martinez SR, Patel F. Acta Derm Venereol. 95 (5). doi:10.2340/00015555-2035. PMID 25520039. {{cite journal}}: Missing or empty |title= (help); Unknown parameter |السنة= ignored (help); Unknown parameter |الصفحات= ignored (help); Unknown parameter |العنوان= ignored (help)
  53. ^ Bhatia S, Tykodi SS, Thompson JA. Oncology. 23 (6). PMC 2737459. PMID 19544689 https://www.ncbi.nlm.nih.gov/pmc/articles/PMC2737459. {{cite journal}}: Missing or empty |title= (help); Unknown parameter |السنة= ignored (help); Unknown parameter |الصفحات= ignored (help); Unknown parameter |العنوان= ignored (help); Unknown parameter |المسار= ignored (help)
  54. ^ Science. 348 (6230). doi:10.1126/science.aaa4967. PMID 25838374. {{cite journal}}: Missing or empty |title= (help); Unknown parameter |الأخير1= ignored (help); Unknown parameter |الأخير2= ignored (help); Unknown parameter |الأول1= ignored (help); Unknown parameter |الأول2= ignored (help); Unknown parameter |التاريخ= ignored (help); Unknown parameter |الصفحات= ignored (help); Unknown parameter |العنوان= ignored (help)
  55. ^ Med Sci Monit. 2014 Jun 10;20:953-9. doi: 10.12659/MSM.890496. Clinical application of adoptive T cell therapy in solid tumors. Zang YW, Gu XD, Xiang JB, Chen ZY
  56. ^ Cancer immunology, immunotherapy : CII. 63 (9). doi:10.1007/s00262-014-1558-3. PMID 24878889. {{cite journal}}: Missing or empty |title= (help); Unknown parameter |الأخير1= ignored (help); Unknown parameter |الأخير2= ignored (help); Unknown parameter |الأخير3= ignored (help); Unknown parameter |الأخير4= ignored (help); Unknown parameter |الأخير5= ignored (help); Unknown parameter |الأول1= ignored (help); Unknown parameter |الأول2= ignored (help); Unknown parameter |الأول3= ignored (help); Unknown parameter |الأول4= ignored (help); Unknown parameter |الأول5= ignored (help); Unknown parameter |التاريخ= ignored (help); Unknown parameter |الصفحات= ignored (help); Unknown parameter |العنوان= ignored (help)
  57. ^ Physics in medicine and biology. 59 (6). doi:10.1088/0031-9155/59/6/r183. PMID 24584183. {{cite journal}}: Missing or empty |title= (help); Unknown parameter |الأخير1= ignored (help); Unknown parameter |الأخير2= ignored (help); Unknown parameter |الأخير3= ignored (help); Unknown parameter |الأخير4= ignored (help); Unknown parameter |الأخير5= ignored (help); Unknown parameter |الأول1= ignored (help); Unknown parameter |الأول2= ignored (help); Unknown parameter |الأول3= ignored (help); Unknown parameter |الأول4= ignored (help); Unknown parameter |الأول5= ignored (help); Unknown parameter |التاريخ= ignored (help); Unknown parameter |الصفحات= ignored (help); Unknown parameter |العنوان= ignored (help)
  58. ^ Bastiaannet E, Beukema J, Hoekstra H. Cancer Treat Rev. 31 (1). doi:10.1016/j.ctrv.2004.09.005. PMID 15707701. {{cite journal}}: Missing or empty |title= (help); Unknown parameter |السنة= ignored (help); Unknown parameter |الصفحات= ignored (help); Unknown parameter |العنوان= ignored (help)
  59. ^ Boyer (1999). Primary Care Oncology. {{cite book}}: Cite has empty unknown parameters: |lay-date=, |subscription=, |nopp=, |last-author-amp=, |name-list-format=, |lay-source=, |registration=, and |lay-summary= (help)
  60. ^ Homsi J, Kashani-Sabet M, Messina J, Daud A. Cancer Control. 12 (4). PMID 16258493. {{cite journal}}: Missing or empty |title= (help); Unknown parameter |التنسيق= ignored (help); Unknown parameter |السنة= ignored (help); Unknown parameter |الصفحات= ignored (help); Unknown parameter |العنوان= ignored (help); Unknown parameter |المسار= ignored (help)
  61. ^ Journal of the American Academy of Dermatology. 72 (1). doi:10.1016/j.jaad.2014.09.029. PMID 25440435. {{cite journal}}: Missing or empty |title= (help); Unknown parameter |الأخير1= ignored (help); Unknown parameter |الأخير2= ignored (help); Unknown parameter |الأخير3= ignored (help); Unknown parameter |الأخير4= ignored (help); Unknown parameter |الأخير5= ignored (help); Unknown parameter |الأول1= ignored (help); Unknown parameter |الأول2= ignored (help); Unknown parameter |الأول3= ignored (help); Unknown parameter |الأول4= ignored (help); Unknown parameter |الأول5= ignored (help); Unknown parameter |التاريخ= ignored (help); Unknown parameter |الصفحات= ignored (help); Unknown parameter |العنوان= ignored (help)
  62. ^ {{cite web}}: Empty citation (help)
  63. ^ Berwick M, Wiggins C. Front Biosci. 11. doi:10.2741/1877. PMID 16368510. {{cite journal}}: Missing or empty |title= (help); Unknown parameter |السنة= ignored (help); Unknown parameter |الصفحات= ignored (help); Unknown parameter |العنوان= ignored (help)
  64. ^ أ ب Morbidity and Mortality Weekly Report. {{cite journal}}: Missing or empty |title= (help); Unknown parameter |التاريخ= ignored (help); Unknown parameter |العنوان= ignored (help); Unknown parameter |المسار= ignored (help)
  65. ^ Urteaga O, Pack G. Cancer. 19 (5). doi:10.1002/1097-0142(196605)19:5<607::AID-CNCR2820190502>3.0.CO;2-8. PMID 5326247. {{cite journal}}: Missing or empty |title= (help); Unknown parameter |السنة= ignored (help); Unknown parameter |الصفحات= ignored (help); Unknown parameter |العنوان= ignored (help)
  66. ^ Annals of the Royal College of Surgeons of England. 43 (4). PMC 2312310. PMID 5698493 https://www.ncbi.nlm.nih.gov/pmc/articles/PMC2312310. {{cite journal}}: Missing or empty |title= (help); Unknown parameter |السنة= ignored (help); Unknown parameter |الصفحات= ignored (help); Unknown parameter |العنوان= ignored (help); Unknown parameter |المؤلف= ignored (help)
  67. ^ Bulletin de la Faculte de Medecine de Paris. 1. {{cite journal}}: Missing or empty |title= (help); Unknown parameter |السنة= ignored (help); Unknown parameter |الصفحات= ignored (help); Unknown parameter |العنوان= ignored (help); Unknown parameter |المؤلف= ignored (help)
  68. ^ Edinb. Med. Surg. J. 16. {{cite journal}}: Missing or empty |title= (help); Unknown parameter |السنة= ignored (help); Unknown parameter |الصفحات= ignored (help); Unknown parameter |العنوان= ignored (help); Unknown parameter |المؤلف= ignored (help)
  69. ^ Norris W. Eight cases of Melanosis with pathological and therapeutical remarks on that disease. London: Longman; 1857.
  70. ^ First lines of theory and practice of surgery. London: Longman, Orme, Brown, Green and Longman. 1840. {{cite book}}: Cite has empty unknown parameters: |lay-date=, |subscription=, |nopp=, |last-author-amp=, |name-list-format=, |lay-source=, |registration=, and |lay-summary= (help)
  71. ^ μέλας, Henry George Liddell, Robert Scott, A Greek-English Lexicon, on Perseus
  72. ^ Pharmaceutical Medicine. 26 (3). doi:10.1007/BF03262391. {{cite journal}}: Missing or empty |title= (help); Unknown parameter |التاريخ= ignored (help); Unknown parameter |الصفحات= ignored (help); Unknown parameter |العنوان= ignored (help); Unknown parameter |المسار= ignored (help)
  73. ^ Pigment Cell Melanoma Res. 27 (5). doi:10.1111/pcmr.12258. {{cite journal}}: Cite has empty unknown parameter: |المسار= (help); Missing or empty |title= (help); Unknown parameter |التاريخ= ignored (help); Unknown parameter |الصفحات= ignored (help); Unknown parameter |العنوان= ignored (help); Unknown parameter |المؤلف= ignored (help)
  74. ^ Sotomayor M, Yu H, Antonia S, Sotomayor E, Pardoll D. Cancer Control. 9 (1). PMID 11907465. {{cite journal}}: Missing or empty |title= (help); Unknown parameter |التنسيق= ignored (help); Unknown parameter |السنة= ignored (help); Unknown parameter |الصفحات= ignored (help); Unknown parameter |العنوان= ignored (help)
  75. ^ Hershkovitz L, Schachter J, Treves AJ, Besser MJ. Clin. Dev. Immunol. 2010. doi:10.1155/2010/260267. PMC 3018069. PMID 21234353 https://www.ncbi.nlm.nih.gov/pmc/articles/PMC3018069. {{cite journal}}: Missing or empty |title= (help); Unknown parameter |السنة= ignored (help); Unknown parameter |الصفحة= ignored (help); Unknown parameter |العنوان= ignored (help)CS1 maint: unflagged free DOI (link)
  76. ^ Dudley ME, Yang JC, Sherry R, et al. J. Clin. Oncol. 26 (32). doi:10.1200/JCO.2008.16.5449. PMC 2652090. PMID 18809613 https://www.ncbi.nlm.nih.gov/pmc/articles/PMC2652090. {{cite journal}}: Missing or empty |title= (help); Unknown parameter |التاريخ= ignored (help); Unknown parameter |الصفحات= ignored (help); Unknown parameter |العنوان= ignored (help); Unknown parameter |المسار= ignored (help)
  77. ^ Besser MJ, Shapira-Frommer R, Treves AJ, et al. Clin. Cancer Res. 16 (9). doi:10.1158/1078-0432.CCR-10-0041. PMID 20406835. {{cite journal}}: Missing or empty |title= (help); Unknown parameter |التاريخ= ignored (help); Unknown parameter |الصفحات= ignored (help); Unknown parameter |العنوان= ignored (help); Unknown parameter |المسار= ignored (help)
  78. ^ Press release from the NIH
  79. ^ . 
  80. ^ New England Journal of Medicine. 364 (22). doi:10.1056/NEJMoa1012863. {{cite journal}}: Missing or empty |title= (help); Unknown parameter |الأخير1= ignored (help); Unknown parameter |الأخير2= ignored (help); Unknown parameter |الأخير3= ignored (help); Unknown parameter |الأخير4= ignored (help); Unknown parameter |الأخير5= ignored (help); Unknown parameter |الأول1= ignored (help); Unknown parameter |الأول2= ignored (help); Unknown parameter |الأول3= ignored (help); Unknown parameter |الأول4= ignored (help); Unknown parameter |الأول5= ignored (help); Unknown parameter |السنة= ignored (help); Unknown parameter |الصفحات= ignored (help); Unknown parameter |العنوان= ignored (help)
  81. ^ . 
  82. ^ . 
  83. ^ New England Journal of Medicine. 364 (26). doi:10.1056/NEJMoa1103782. PMC 3549296. PMID 21639808 https://www.ncbi.nlm.nih.gov/pmc/articles/PMC3549296. {{cite journal}}: Missing or empty |title= (help); Unknown parameter |الأخير= ignored (help); Unknown parameter |الأول= ignored (help); Unknown parameter |التاريخ= ignored (help); Unknown parameter |الصفحات= ignored (help); Unknown parameter |العنوان= ignored (help); Unknown parameter |المؤلفين المشاركين= ignored (help)
  84. ^ . 
  85. ^ . 
  86. ^ New England Journal of Medicine. 367 (18). doi:10.1056/NEJMoa1210093. PMC 3549295. PMID 23020132 https://www.ncbi.nlm.nih.gov/pmc/articles/PMC3549295. {{cite journal}}: Missing or empty |title= (help); Unknown parameter |الأخير= ignored (help); Unknown parameter |الأول= ignored (help); Unknown parameter |التاريخ= ignored (help); Unknown parameter |الصفحات= ignored (help); Unknown parameter |العنوان= ignored (help); Unknown parameter |المؤلفين المشاركين= ignored (help)
  87. ^ . 
  88. ^ {{cite web}}: Empty citation (help)
  89. ^ Voit C, Van Akkooi AC, Schäfer-Hesterberg G, et al. J. Clin. Oncol. 28 (5). doi:10.1200/JCO.2009.25.7428. PMID 20065175. {{cite journal}}: Missing or empty |title= (help); Unknown parameter |التاريخ= ignored (help); Unknown parameter |الصفحات= ignored (help); Unknown parameter |العنوان= ignored (help); Unknown parameter |المسار= ignored (help)
  90. ^ The Screening and Surveillance of Ultrasound in Melanoma trial (SUNMEL)
  91. ^ Frontiers in Genetics. 4. doi:10.3389/fgene.2013.00184. PMID 24062768. {{cite journal}}: Missing or empty |title= (help); Unknown parameter |الأخير= ignored (help); Unknown parameter |الأول= ignored (help); Unknown parameter |التاريخ= ignored (help); Unknown parameter |الصفحة= ignored (help); Unknown parameter |العنوان= ignored (help); Unknown parameter |المؤلف2= ignored (help); Unknown parameter |المؤلف3= ignored (help); Unknown parameter |المؤلف4= ignored (help); Unknown parameter |المؤلف5= ignored (help)CS1 maint: unflagged free DOI (link)
  92. ^ Journal of Clinical Oncology. 33. doi:10.1200/JCO.2014.58.3377. {{cite journal}}: Missing or empty |title= (help); Unknown parameter |التاريخ= ignored (help); Unknown parameter |الصفحات= ignored (help); Unknown parameter |العنوان= ignored (help)

وصلات خارجية

Classification
V · T · D
External resources