ميلانين

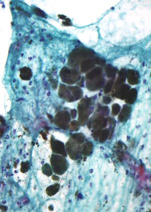
صبغة الميلانين (مادة حبيبية تعكس الضوء-وسط الصورة) في ورم ميلانيني مصبوغ.

الميلانين Melanin []ˈmɛlənɪn[] (باليونانية: μέλας - melas، "أسود، داكن"، هو مصطلح واسع يطلق على مجموعة من الصبغات الطبيعية الموجودة في معظم العضيات (العنكبوتيات هي واحدة من المجموعات القليلة التي لا تحتوي على الميلانين). يُنتج الميلانين عن طريق أكسدة الحمض الأميني التيروسين ثم بلمرته. تُنتج الصبغة ضمن مجموعة خاصة من الخلايا تُعرف بالميلانوسيت.

هناك ثلاثة أنواع رئيسية من الميلانين: الإيوميلانين، الفيوميلانين، والنيروميلانين. أكثر أنواع الميلانين شيوعاً هو الإيوميلانين. يوجد نوعان من الإيوميلانين - الإيوميلانين البني والإيوميلانين الأسود. الفيوميلانين عبارة سيتين - يحتوي على وحدات پوليمر البنزوثيازين الأحمر المسئولة بشكل كبير عن لون الشعر الأحمر، وصبغات أخرى. النيروميلانين يوجد في المخ، على الرغم من أن وظيفته لا تزال غامضة.

في الجلد، تحدث عملية تكون الميلانين بعد التعرض للأشعة فوق البنفسجية، مسببة سمرة الجلد. الميلاتونين ماص فعال للضوء؛ وتستطيع الصبغة تشتيت أكثر من 99.9% من الأشعة الفوق بنفسجية الممتصة.[1] بسبب هذه الخاصية، يعتقد أن الميلانين يحمي خلايا الجلد من أضرار الأشعة الفوق بنفسجية، يقلل من مخاطر السرطان. علاوة على ذلك، ورغم أن التعرض للأشعة فوق البنفسجية مرتبط بزيادة خطر الأورام الميلانينية، سرطان الميلانوسيت، إلى أن الدراسات قد أظهرت انخفاض معدل الإصابة بسرطان الجلد بين الأفراد ممن يحملون تركيزات منخفضة من الميلانين، على سبيل المثال، ذوي البشرة الداكنة. ومع ذلك، فالعلاقة بين تصبغ الجلد والحماية الضوئية لا تزال بحاجة لتوضيح.[2]

البشر

يحدث المهق عندما تنتج الميلانوسيت كميات ضئيلة أو لا تنتج أي ميلانين. هذه الفتاة المهقاء من پاپوا غينيا الجديدة.


الإيوميلانين

Part of the structural formula of eumelanin. "(COOH)" can be COOH or H, or (more rarely) other substituents. The arrow denotes where the polymer continues.

الفيوميلانين

Part of the structural formula of pheomelanin. "(COOH)" can be COOH or H, or (more rarely) other substituents. The arrows denote where the polymer continues.


النيروميلانين

عضيات أخرى

Chemical structure of indole-5,6-quinone

المسارات الأيضية

L-tyrosine
L-DOPA
L-dopaquinone
L-leucodopachrome
L-dopachrome


الظهور المجهري

الاضطرابات الوراثية والأمراض

الاقتباس البشري

الخصائص الفيزائية والتطبيقات التقنية

انظر أيضاً

المصادر

  1. ^ Meredith P, Riesz J (February 2004). "Radiative relaxation quantum yields for synthetic eumelanin". Photochemistry and Photobiology. 79 (2): 211–6. doi:10.1111/j.1751-1097.2004.tb00012.x. PMID 15068035.
  2. ^ Brenner M, Hearing VJ (2008). "The protective role of melanin against UV damage in human skin". Photochemistry and Photobiology. 84 (3): 539–49. doi:10.1111/j.1751-1097.2007.00226.x. PMC 2671032. PMID 18435612.
  • "Link 4-Melanin 95-97," taken from R.A.Nicolaus,G.Scherillo La Melanina.Un riesame su struttura,proprietà e sistemi, Atti della Accademia Pontaniana, Vol.XLIV,265-287, Napoli 1995.[1]
  • Dr. Mohammed O. Peracha, Dean Elloit, and Enrique Garcia-Valenzuela, "Occular Manifestations of Albinism" (Abstract at emedicine.com, Sept. 13, 2005).

وصلات خارجية