ملاريا
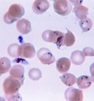
| Plasmodium falciparum ring-forms and gametocytes in human blood. | ||
| ICD-10 | B50. | |
| ICD-9 | 084 | |
| OMIM | 248310 | |
| DiseasesDB | 7728 | |
| MedlinePlus | 000621 | |
| eMedicine | med/1385 emerg/305 ped/1357 | |
| MeSH | C03.752.250.552 | |
كلمة ملاريا Malaria أصلها الكلمة اللاتينية malus aria وبالإيطالية mala aria أي الهواء الفاسد إشارة إلى توالد بعوض الملاريا في المستنقعات والمياه الراكدة،.وكان القدماء يعتقدون أن الملاريا ينقلها هواء المستنقعات . لهذا كان الإنجليز يسمونها حمي المساتقعات “swamp fever” والعرب يطلقون عليها البرداء لأنها تسبب الرعشة الشديدة . وحيث أن هذا المرض من الأمراض الفتاكة فقد أوصت منظمة الصحة العالمية المسافرين إلى المناطق الموبوءة باستعمال الدواء المناسب مباشرة بمجرد الإحساس بارتفاع درجة الحرارة (أثناء السفر أو بعده) إلي 38درجة مئوية أوعند ظهور أي أعراض للملاريا دون الإنتظار لتشخيص الطبيب. والملاريا مرض يصاب به الإنسان - دون باقي الكائنات الحية ويسببه طفيل قاتل تنقله إناث البعوض من النوع أنوفيلس Anopheles.ولم يقض علي الملاريا في دول نامية كثيرة حيث يسبب مشكلة في دول المنطقة الحارة والمعتدلة بالعالم. ولقد كانت هناك محاولات للقضاء علي الملاريا عالميا إلا أنها فشلت لمقاومة البعوص للمبيدات الحشرية ومقاومة طفيليات الملاريا للأدوية . فالملاريا توجد في 100 دولة . و40% من سكان العالم معرضون لخطرها. وتشير تقارير منظمة الصحة العالمية إلي أن الملاريا تنتشر في قارة أفريقيا وأمريكا الوسطي والجنوبية وشبة القارة الهندية والشرق الأوسط وبعض بلدان أوربا وجنوب شرق أسيا وغرب المحيط الهادي إلا أن 90% من الإصابات تتركز في إفريقيا خاصة غرب ووسط وشرق القارة وانثي بعوضة أنوفليس Anopheles هي الأكثر قدرة علي نقل الطفيل المسبب للملاريا أثناء امتصاصها لدم الإنسان الذي تحتاجة لتتمكن من وضع البيض مع ملاحظة أن ذكر البعوض لايتغذي علي الدم ولكن علي رحيق الأزهار وعصارة النباتات. ويوجد 380 نوع من البعوض الأنوفليس منها حوالي 60 نوعاً له القدره علي نقل الطفيل.وكباقي أنواع البعوض تعيش معظم أطواره في الماء الآسن . وبعد مرور مائة عام على اكتشاف أن البعوض ينقل طفيليات مرض الملاريا، توصل العلماء إلى اكتشاف الخريطة الجينية لمرض الملاريا وللبعوضة التي تنقل هذا المرض. و يؤدي هذا الاكتشاف إلى طرق جديدة لمعالجة عدوى مرض الملاريا الذي يعاني منه عدد كبير من المرضى في العالم. مع أزدياد مقامومة طفيليات المرض للعقاقير المضادة له والبعوض للمبيدات المستخدمة ضده.هناك آمال في منع إنتقال الملاريا للإنسان ولاسيما وأن طفلا يموت بها كل 40 ثانية. حبث تقتل من 1 –2 مليون شخص سنويا حسب تقديرات منظمة الصحة العالمية . مما يهدد 40% من سكان العالم حيث يصاب بالملاريا سنويا من 300 – 500 مليون شخص .لأنها متوطنة في أكثر من 100 دولة ، 90% منهم يعيشون خلف الصحراء الأفريقية و بالجزء الجنوبي من القارة الأفريقي . ومعظم حالات الوفاة من الملاريا نجدها في الأطفال لأن جهازهم المناعي لم يكتمل والحوامل لأن جهاز المناعة لديهن يكون مثبطا أثناء حملهن ولا سيما لو كان الحمل لأول مرة .وبعض الأشخاص لديهم مناعة وراثية ذاتية تقاوم الملاريا وتمنع الطفيل من النمو والتوالد بأجسامهم . وتسبب مرض الملاريا طفيليات تحملها أنواع معينة من حشرة البعوض. ومن أجل أن تتم الطفيليات دورتها الحياتية يجب عليها أن تدخل أجسام البعوض والبشر. لاتوجد أمصال واقية لهذا الطفيل . و تختلف درجة الإصابة من موسم لآخر فأعلي معدل يكون في مواسم الأمطار نظراً لانتشار البعوض بكثرة.لوجود برك ماء . و يكثر البعوض الناقل للملاريا في المناطق الدافئة الرطبة ويؤدي استقرار المناخ إلي انتشار المرض لفترة طويلة قد تمتد طوال العام. وتهدف البحوث الحالية إلى خلق بعوض معدل وراثيا "مضاد للملاريا" وغير قادر على حمل الطفيليات المسببة للمرض. توجد محاولات علمية لإجراء تعديل وراثي في البعوض الناقل للمرض بما لايسمح للطفيل بالبقاء في أحشاء الحشرة ، ثم إطلاق هذه السلالات المعدلة وراثياً لتنتقل منها هذه الصفة إلي السلالات المهجنة.
تاريخ
الإنتشار والتأثير
إنتقال ونشأة المرض
المرض
تنتقل الملاريا بواسطة أنثي بعوض أنوفليس الذي ينقل طفيل بلازموديوم (plasmodium parasite) المسبب للمرض ..و تمر دورة حياة الطفيل بعدة مراحل نمو في الإنسان والبعوض الذي ينقله من شخص لديه عدوي الملاريا عن طريق لدغ أنثي بعوضة من نوع أنوفيلس ِAnopheles عاده لشخص مصاب بالملاريا حيث يمتص الطفيل المسبب للملاريا من دم الإنسان المصاب ولابد لهذا الطفيل أن ينضج في القناة الهضمية للبعوض ولمدة أسبوع أو أكثر ليكون قادراً علي إصابة شخص سليم ينتقل بعدها إلي الغدد اللعابية للبعوضة ويسمي هذا الطور بإسم سبوروزيت Sporozoite0وعندما تلدغ هذه البعوضة شخصاً سليماً فإن الطفيل ينتقل إلي دم الإنسان في كل مرة تمتص فيها دمه. يهاجر الطفيل مباشرة إلي كبد الإنسان ويدخل خلاياه وينمو فيها متكاثراً وفي خلال هذة الفترة التي يتواجد فيها الطفيل داخل الكبد لايشعر الإنسان بأعراض المرض. وبعد فترة تتراوح بين 8 أيام ـ إلي عدة شهور ينتقل الطفيل من الكبد ليدخل كرات الدم الحمراء حيث ينمو ويتكاثر بداخلها ثم تنفجر الكرات ليخرج منها أعداد كبيرة من الطفيل تهاجم كرات دم جديدة ويخرج من الكرات أيضاً سموم هي التي تؤدي إلي الشعور بالمرض وفي هذة الفترة إذا تمكن البعوض من لدغ الإنسان المصاب فإنه يمتص الطفيل من الدم ليظل في جسمه لمدة أسبوع أو أكثر بعدها يصبح قادراً علي نقل المرض لشخص آخر. حيث يمتص دمه ليصيب شخصا سليما بالمرض عن طريق بث لعابه بعد لدغ جلده . واللعاب به إسبيروزريدات (sporozoites) التي تعيش في الغدد اللعابية للبعوض.وتتجه عبر الدم لكبد الشخص المصاب حيث تنقسم السبيرزيدات في خلاياه إلي آلاف الميروزيدات (merozoites) التي تنساب في مجري الدم لتهاجم خلاياه الحمراء وتنقسم يها وتورمها وتكسرها ويتكااثر الطفيل داخل خلايا الدم الحمراء التي تتكسر خلال 48 – 72ساعة ليصيب خىيا دم حمراء جديدة بالجسم ؟ وأول الأعراض تحدث من 10 أيام – 4 أسابيع بعد العدوي . والهراض تحدث في دورات كل 48 – 72 ساعة . والأعؤلض تحدث من انطلاق الميروزويتات merozoites بمجري الدم والأ نيميا سببها تكسير خلايا اادم الحمراء وانظلاق الخيموجلوبين بالدم .. لهذا السبب يشعر المصاب بالحمي نتيجة تفجر الخلايا المتورمة لتفرز سموما ونفايات في الدم ومقاومة جهازه المناعي لتأثيرها. والأعراض تظهر خلال عشرة أيام إلي أربعة أسابيع بعد العدوي بالرغم من أن الإحساس بالمرض يحدث بعد 5-8 أيام وقد تصل هذة الفترة إلي عام كامل. و تتسبب الملاريا عن الإصابة بواحد أو اكثر من أربعة أنواع من طفيل وحيد الخلية من جنس يعرف باسم Plasmodium وهذه الأنواع الأربعة هي:
- Plasmodium falciparum
 - P. vivax
 - P. malaria
 - P. ovale
 
ويعتبر النوع الأول P. falciparum أخطرها كما أن أعراضه المرضية شديدة نظراً لقصر دورة حياته وهو المسئول عن معظم حالات الوفاة بالملاريا. وهو الأكثر إنتشاراً كما أن أكثر حالات الوفاة تتسبب عن الإصابة به. . وتعاود المريض الرعشة والعرق الزائد كل 48 ساعة وحسب نوع الطفيل(Plasmodium falciparum, Plasmodium vivax, and Plasmodium ovale). لهذا يطلق علي الملاريا الحمي الراجعة (intermittent fever). ويصاب المريض يالأنيميا نتيجة لتكسير خلايا الدم الحمراء بجسمه ويشعر بعد كل نوبة بالإرهاق والخوار . ويحدث في معظم الأحوال أن يظل الطور الكبدى كامناً وقد تتكرر أعراض المرض بين الحين والآخر وقد يظل الطفيل في الجسم طوال حياة المريض بالرغم من أخذ العلاج. . ويمكن التخلص من الطور المرضى للطفيل الكامن في الكبد. عن طريق برنامج علاجى يتوقف على نوع الملاريا وخبرة الطبيب.
أعراض الملاريا
الرعشة والإنتفاضة والحمي والعرق والصداع والغثيان والقيء وآلام في العضلات وبراز مدمم ويرقان وتشنجات واغما ءات . ارتفاع في درجة الحرارة قد تصاحبه قشعريرة وعرق غزير وصداع. و الملاريا ُتحدث أعراضاً أشبه إلي حد كبير بأعراض أمراض أخري خاصة نزلات الانفلونزا ولكن إذا حدث لك شك في إصابتك بالملاريا فلا تتردد في أخذ العلاج في الحال دون انتظار زيارتك للطبيب المتخصص. ويلاحظ أن أنواع الملاريا شديدة الخطورة تحدث أعراضاً مرضية شديدة مثل الغيبوبة خاصة في حالة الملاريا المخية وتحدث أيضاً انيميا ـ نزلات معوية ـ فشل كلوي ـ ضيق في النفس. وعليك أن تلجأ إلي المستشفيات المختصة إذا ظهر عليك أعراض الملاريا حتى لو بعد مدة 3 شهور أو حتي عام كامل من تاريخ عودتك من المنطقة المنتشر بها المرض. وعادة لايشعر المسافر بأعراض المرض إلابعد عودته من السفر . ويجب أن ينبه الطبيب أولاً أنه كان مسافراً لمنطقة ينتشر فيها الملاريا.
وتتسبب الملاريا في حدوث أنيميا واصفرار في لون الجلد نتيجة التآكل الشديد لكرات الدم الحمراء وقد تتطورأعراض المرض بسرعة في الأشخاص من ذوي المناعة الضعيفة لدرجة خطيرة ترتفع معها درجة الحرارة ويتلف الجهاز الحسي وتتكرر التشنجات مصحوبة بالغيبوبة ثم ينتهي الأمر إلى الموت وفي حالة الملاريا المتسببة عن الطفيل falciparum P. إذا لم يعالج المريض بسرعة فإن ذلك قد يتسبب عنه فشل كلوي وتشنجات وارتباك في الذاكرة والتفكير وغيبوبة تنتهي بالموت. وقد تصل الملاريا إلي المخ فتعمل كرات الدم المصابة بالطفيل والمتحللة على انسداد أوعيته الدموية وتسمي هذه الحالة بالملاريا المخية. تتمثل أعراض الإصابة بالملاريا عادة في ارتفاع درجة حرارة الجسم إلي حوالي 38درجةم لمدة قصيرة وتتكرر الأعراض كل 48 ساعة إذا ما كانت حالة المصاب الصحية جيدة وتتشابة أعراض الإصابة مع أعراض الإنفلوانزا يصاحبها رعشة وقشعريرة و صداع و ألام مستمرة في العضلات وإجهاد شديد و غثيان و قيء و إسهال خفيف و آلام شديدة في الجهاز الهضمي و أعراض قرحة معدية و تشنجات و غيبوبة قد تنتهي بموت المصاب. وتظهر الأعراض خلال أسبوع ـ عدة أشهر من تاريخ لدغ البعوض. ومن المؤكد أن إهمال علاج الملاريا خاصة المتسببة عن النوع P. falciparum قد يؤدي إلي الموت. ومن الثابت إحصائياً أن أكثر من 2% من المصابين يموتون بسبب تأخر العلاج.غيصابون بفشل كبدي وكلوي وتكسير خلايا الدم الحمراء والالتهاب السحائي وتمزق الطحال Rupture of the spleen والنزيف المتكرر.
الضغط التطوري للملاريا على الجين البشري
Sickle-cell disease
التشخيص
أدوية الملاريـا
تعالج الملاريا بأدوية تغلق دورة نمو الطفيل في المريض ولاتضر المصاب وبعض الأدوية تتدخل في عنلية التمثيل الغذائي للطفيل ذاته كالكنين (quinine) ومشتفاته وبعضها تمنعه من التوالد داخل خلايا الدم . ويمكن وصف أدوية مضادة للملاريا قبل دخول المنطقة الموبؤة باسبوعين ويستمرتعاطي الدواء شهرا بعد مغادرتها. فالمسافرون المتوجهون لجنوب أمريكا وأفريقيا وشبه القارة الهندية وآسيا وجنوب المحيط الباسفيكي بتناولون دواء من هذه الأدوية mefloquine, doxycycline, chloroquine, hydroxychloroquine, or Malarone . ودواء ال Malarone دواء حديث ضد الملاريا ومكون من دواء atovaquoneو proguanil . وعادة يستعمل الكلورو pyrimethamine وسلفادوكسين sulfadoxine وهناك دواء مفلوكين (Mefloquine) وهو احد مشتفات الكينين ومازال تأثيره مؤثر لكنه يعتبر بالنسبة للدول النامية دواء مكلفا .والعلماء الباحثون بالمعمل الأوروبي للجزيئات البيولوجية يحاولون منع انتقال الملاريا للإنسان بعد إجراء تعديل على نظام المناعة لدي البعوض . فالملاريا تفاعل معقد بين الإنسان والبعوض والطفيل ، الذي يتطور دائما ..لهذا يقوم العلماء بتربية بعوض معدل وراثيا لإطلاقه في المناطق الموبوءة بالبعوض لتنشر بينه جيناتها المعدلة . وليصبح البعوض ليس مضيفا للمرض . والملاريا أمكن السيطرة علي مرضها بدول آسيا من خلال الأدوية الحديثة المتاحة والمؤثرة علاجيا ولاسيما أدوية مشتقات (Artemisinin). . والملاريا مرض يمكن الشفاء منه إذا تم تشخيصه وعلاجه مبكراًَ كما يتوقف ذلك أيضاً علي نوع الأدوية المضادة للملاريا Antimalarial Drugs المستخدمة ومدي حساسية الطفيل لها وتتوقف فترة العلاج علي عمر المريض وعدد مرات الإصابة بالمرض وعدد المرات التي تكررت فيها الأعراض قبل بدء العلاج. في المناطق الموبوءة ومع تكرار الإصابة بالمرض تحدث مناعة جزئية للإنسان بينما يظل الأطفال قابلين للإصابة ـ كما أن المرأة الحامل تكون أكثر عرضة للإصابة بالمرض وذلك لانخفاض قدرتها علي المقاومة أثناء الحمل. يوجد العديد من الأدوية المستخدمة في علاج الملاريا ويحدد الطبيب المختص النوع الملائم لكل حالة واضعاً في الاعتبار نوع الملاريا والمنطقة التي جاء منها المريض ودرجة مقاومة الطفيل للمركب الكيماوي المستخدم. ويتم التأكد من نوع الملاريا بعمل فيلم رقيق من الدم ويستطيع المختص تحديد النوع بسهولة.
Counterfeit drugs
Sophisticated counterfeits have been found in several Asian countries such as Cambodia,[2] China,[3] Indonesia, Laos, تايلند, Vietnam and are an important cause of avoidable death in these countries.[4] WHO have said that studies indicate that up to 40% of artesunate based malaria medications are counterfeit, especially in the Greater Mekong region and have established a rapid alert system to enable information about counterfeit drugs to be rapidly reported to the relevant authorities in participating countries.[5] There is no reliable way for doctors or lay people to detect counterfeit drugs without help from a laboratory. Companies are attempting to combat the persistence of counterfeit drugs by using new technology to provide security from source to distribution.
الوقاية
- الحذر من لدغ البعوض عن طريق اارتداء الملابس الطويلة و تغطية معظم أجزاء الجسم واستخدام مواد طاردة للبعوض وصواعق الحشرات بأنواعها المختلفة
 - النوم تحت شباك واقية (ناموسية السرير) Bed net في حالة المعيشة في غرف غير مكيفة أو لاتحتوي على نوافذ مثبت عليها أسلاك واقية للحشرات. ونقع الناموسية السرير في مبيد برميثرين Permethrin لمنع البعوض من الاقتراب منه .
 
. الرش الدوري للمصارف و البرك بالمبيدات أو الكيروسين لقتل يرقات البعوض . . تربية الأسماك كالبلطي وغيره من الأسماك والضفادع لتلتهم يرقات البعوض في المياه الراكدة. · يمكن استعمال خليط من زيت الليمون والكافور أو زيت السترونيلا لدهان المناطق المكشوفة بالجسم. · إستعمال الدهانات والسبراى الطاردة للحشرات على الملابس والأماكن المكشوفة من الجسم قبل الخروج لهذه المناطق. · عدم المشي علي المسطحات الخضراء عقب حلول الظلام. · الأدخنة لطرد البعوض من حدائق المنازل ويوجد لوالب ُمدخنة يمكن استعمالها في الاماكن المكشوفة. · يتم تسخين سخان كهربائي لتبخيرأقراص المبيدات النباتية أغلبها مركبات نباتية أهمها البيرثر م .لطرد البعوض من الأماكن المغلقة. · استخدام صواعق للحشرات أو اللمبات الحرارية ا لطاردة للبعوض في الاماكن العامة والمحلات والنوادى. · تجنب استعمال الملابس الداكنة اللون حيث أنها تجذب البعوض. · تناول عقاقير مضادة للملاريا للوقاية من الإصابة في فتره تعرض الإنسان للدغ البعوض إلا أن ظهور سلالات من الملاريا مقاومة للعقاقير المستخدمة يجعل المشكلة أكثر تعقيداً. هناك أبحاث تجري لمحاولة الحصول علي أمصال مضادة وتوليفات جديدة من العقاقير للتغلب علي مشكلة السلالات المقاومة التي تظهر بين الحين والآخر ولكن لن يكون ذلك متاحاً قبل مرور سنوات.
· تجنب إستعمال العطور وكريمات ما بعد الحلاقة حيث أنها تجذب البعوض. · تغطية الأذرع خاصة في المساء ومن الشائع أن البعوض يهاجم منطقة القدم. · تجنب الخروج إلي المناطق المكشوفة بعد الغروب وحتي طلوع الفجر فإن كان لزاماً فوسائل الوقاية ضرورية. تتغذى أنثى البعوض علي دم الإنسان ولا تستطيع إنتاج البيض وإنضاجه إلا بعد امتصاص الدم لذلك فإن حماية الإنسان من لدغ البعوض يساهم إلي حد كبير في الإقلال من تعداده ويصبح من الضرورى المعيشة في غرف ذات فتحات محمية بسلك مانع للحشرات. لعدم التعرض للدغ البعوض حتي لايتمكن من وضع البيض عندما لايجد دماً متاحا لهو. وقد ينتقل المرض من دم أشخاص مصابين عن طريق نقل دمهم . أو من الأم المصابة إلي الجنين قبل أو أثناء الولادة أو عن طريق استخدام سرنجات ملوثة. و أخيرا... لنقضي علي الملاريا لابد أن نقضي علي البشر أو البعوض أو كلاهما معا أو بتغيير الصفات الوراثية لكل منهما لمقاومة طفيل الملاريا فنحتاج جينات تجعل البعوض يقاوم عدوى الملاريا، وإيجاد جينات تتدخل في عملية نمو الطفيليات المسببة للملاريا في بطن معدة البعوض. .وحتي لا تتم الطفيليات دورتها الحياتية يجب عليها ألا تدخل أجسام البعوض أوالبشر. و بعض العلماء يعتقدون أنه لن يتم التوصل إلى مصل مضاد للمرض قبل عشرين عاما . وقد استغرقت عملية فك شفرة الخريطتين الجينيتين ستة أعوام لأن الفهم الكامل لتركيبة الخريطة الجينية لهذا المرض و الخريطة الجينية للبعوضة الناقلة له سيؤدي إلى تصنيع عقّارات ناجعة لعلاجه وإيجاد سبل جديدة لمقاومته. ومعرفة الخارطة الوراثية قد تساعد الباحثين على تحديد الجينات الموجودة داخل جسم الحشرة المسؤولة عن احتضان الطفيليات. فتم تعديل البعوض وراثيا لمنعه من نقل طفيياات الملاريا.وحاليا ..لايوجد ً مصل واق أو مضادة للملاريا لاختلاف طبيعة الطفيل عن الأمراض الأخري كأمراض الفيروسات أوالبكتريا لأن إنتاج مصل مضاد للملاريا عملية معقدة وهناك مشاريع بحثية لكن لاتوجد مؤشرات إنتاج مصل مضاد لها خلال العدة سنوات لقادمة.ويعتقد قاطنو المناطق الموبوءة أن بلادهم خالية من هذا المرض نظراً لمناعتهم الجزئية.لكن الغرباء يمرضون لعدم ونقص المناعة
الحرب الجينية ضد الملاريا
يتقدم الصراع ضد الملاريا * على عدة جبهات : تخليق بعوضة غير ناقلة للملاريا واكتشاف دواء أكثر فعالية .
إن البرداء أو الملاريا أكثر الأمراض المعدية هلاكاً، وتصيب ما بين 300 و500 مليون شخص سنويا وتقتل من 1.5 إلى 2.7 مليون شخص . ويعد تخليق البعوض معدل جينيا (génétiquement modifiés) أحد وسائل الكفاح الواردة مستقبليا من أجل تحديد جماعات البعوض المسببة للمرض .و قد خطى مؤخرا فريق الدكتور أندريا كريشي (Andrea Crichi ) من كلية لندن الامبراطورية، بمساعدة باحثين من جامعة هايدلبرگ خطوة حاسمة إلى الامام . فلأول مرة نجحوا في تخليق بعوضة معدلة جينيا انطلاقا من جنس ناقل لطفيلي البرداء وهو Anopheles Stephensi .
ويحصل التغيير عند البعوض بفضل مورثات نطاطة او متنقلة. وعمل الباحثون على حقن بيضات بعوض البلازميدات ( اجزاء من دنا ) تحتوى على هذه المورثات النطاطة تستطيع القفز في كروموسومات البعوضة ، وإذا دخلت هذه الجينات في جزء الكر وموسوم الذي يشكل الخلايا الجنسية فسوف تكون السلالات معدلة وراثيا. ويعتقد علماء البيولوجيا أنهم سيتمكنون في غضون ثلاثة سنوات من انشاء سلالة بعوض تقاوم العدوى بطفيلي الملاريا . وسينتشر هذا الأصل المغير في الطبيعة لغرض نقل المورثة المقاومة للجماعات المتوحشة أو بقصد التسابق معها لتحديد نموها . بيد أن هذه الاعمال الموجهة ضد المرض المتصاعد لا تكفي فعلينا كذلك أن نساعد الجسم للصراع في حال اصابته بالعدوى. يعمل فريق البروفيسور پيتر كرمسنر (Peter cremsner) على تجريب دواء جديد يدعى:(Tafenoquine) . وكانت نتيجة الدراسات التي أجريت على 400 طفل بالغا بون مشجعة للغاية. ويعتبر هذا الدواء فعال في فترة تفوق شهرين بمعدل جرعة تأخذ مرتين أو ثلاثة مرات فقط ن غير أن نفس الدواء لا يوافق الأشخاص الذين يعانون من خلل في الانزيم المنتشر في افريقيا ، أي انزيم (GGPD) . وسيسوق الدواء خلال ثلاثة سنوات .
الملاريا المتحورة
في 16 أبريل 2021 توصل فريق من الأطباء إلى أول اختبار سريري يثبت انتشار نوع من الملاريا مقاوم للأدوية في عدد من البلدان الأفريقية. وبحسب فريق الأطباء فإن هذا النوع من الملاريا يحصد أوراح الآلاف من الأفارقة.
ويعتبر هذا المرض أحد أكثر الأوبئة فتكا في أفقر بلدان العالم، على الرغم من التدابير الوقائية المتخذة لمحاربته، فيصل معدل الوفيات سنويا إلى نصف مليون شخص، وعدد كبير منهم الأطفال. ويعود سبب ارتفاع هذه النسبة إلى نقص في الأدوية المتوفرة، إلا أن الوباء أصبح أكثر فتكا حتى مع وجود الأدوية حيث بات مقاوما لها.
وبحسب ما نشرت مجلة "لانسيت"، فإن طفرات مقاومة الأدوية ظهرت في الفيروس المسبب للمرض.
أظهرت الدراسات السريرية أن الملاريا المقاومة تدوم لفترة أطول لدى المرضى، وخاصة عند الصغار، وفي حال أصابتهم بسلالات الفيروس الطافرة، فإن التشخيص يصبح غير فعال. ومع ذلك، فإن فعالية العلاج المركب القائم على مادة الأرتيميسينين لا تزال عالية، لكن المراقبة تحتاج إلى تعزيز في أكثر البلدان خطورة، وخاصة في رواندا.[6]
المصادر
- من مقالات أحمد محمد عوف.
 
- ^ "Malaria". US Centers for Disease Control and Prevention. 2003. Retrieved 2008-07-20.
 - ^ Lon CT, Tsuyuoka R, Phanouvong S; et al. (2006). "Counterfeit and substandard antimalarial drugs in Cambodia". Trans R Soc Trop Med Hyg. 100 (11): 1019–24. doi:10.1016/j.trstmh.2006.01.003. PMID 16765399. 
{{cite journal}}: Explicit use of et al. in:|author=(help)CS1 maint: multiple names: authors list (link) - ^ U. S. Pharmacopeia (2004). "Fake antimalarials found in Yunan province, China" (PDF). Retrieved 2006-10-06.
 - ^ Newton PN Green MD, Fernández FM, Day NPJ, White NJ. (2006). "Counterfeit anti-infective drugs". Lancet Infect Dis. 6 (9): 602–13. doi:10.1016/S1473-3099(06)70581-3. PMID 16931411.
{{cite journal}}: CS1 maint: multiple names: authors list (link) - ^ Jane Parry (2005). "WHO combats counterfeit malaria drugs in Asia". Retrieved 2008-07-19.
 - ^ "الملاريا المتحورة تفتك بأفريقيا".
 
External links
- Siward's Overview of Malaria An in-depth and somewhat comprehensive overview of malaria, suitable for those starting to study it seriously.
 - National Geographic July 2007 Issue on Malaria
 - WHO site on malaria
 - Johns Hopkins Malariology Open Courseware
 - United States Centers for Disease Control - Malaria information pages
 - Doctors Without Borders/Medecins Sans Frontieres - Malaria information pages
 - HRC/Eldis Health Resource Guide - Malaria research and resources on health in developing countries
 - Medline Plus - Malaria
 - Interview with Dr Andrew Speilman, Harvard malaria specialist
 - GlobalHealthFacts.org Malaria Cases and Deaths by Country
 - Survey article: History of malaria around the North Sea
 - DriveAgainstMalaria.org, "World's longest journey to fight the biggest killer of children"
 - Malaria Atlas Project
 - UNITAID, International Facility for the Purchase of Drugs (Wikipedia Article)
 - World Malaria Reported Cases Map by SHOW/World.
 
- Malaria Blog from the Johns Hopkins Bloomberg School of Public Health Center for Communications Programs
 - Malaria Blog from University of North Carolina graduate student - malaria news and discussion
 
- BBC - Hopes of Malaria Vaccine by 2010 15 October 2004
 - BBC - Science shows how malaria hides 8 April 2005
 - History of discoveries in malaria
 - Malaria. The UNICEF-UNDP-World Bank-WHO Special Programme for Research and Training in Tropical Diseases
 - Malaria Vaccine Initiative
 - Story of the discovery of the vector of the malarial parasite
 - Wellcome Trust against Malaria
 - "Vaccines for Development" - Blog on vaccine research and production for developing countries
 - Malaria and Mosquitoes - questions and answers
 - JoVE (Journal of Visualized Experiments): Malaria-related Experiments
 
- Call for Increased Production of Long-Lasting Insecticidal Nets as Part of the U.N. Millennium Campaign
 - Providing everyone with a LLIN in Sahn Malen, a small village in Sierra Leone
 - OnEarth Magazine » Bad Blood
 
- Burden of Malaria, BBC pictures relating to malaria in northern Uganda
 - Malaria: Cooperation among Parasite, Vector, and Host (Animation)
 - [1] Buzz and Bite Malaria Prevention Campaign
 
| Apicomplexa | |||||||||||||||||||||
|---|---|---|---|---|---|---|---|---|---|---|---|---|---|---|---|---|---|---|---|---|---|
| Sarcomastigophora | 
  | ||||||||||||||||||||
| Other protozoan | |||||||||||||||||||||
| Formerly considered protozal; now considered fungal  | |||||||||||||||||||||
