معقدات القمة
| معقدات القمة | |
|---|---|
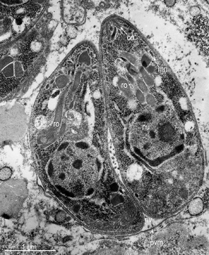
| False-colored electron micrograph of a Plasmodium sp. sporozoite | |
| التصنيف العلمي | |
| أصنوفة غير معروفة (أصلحها): | Apicomplexa |
| Classes & Subclasses Perkins, 2000 | |
| |
The Apicomplexa (also called Apicomplexia) are a large phylum of parasitic alveolates. Most of them possess a unique form of organelle that comprises a type of plastid called an apicoplast, and an apical complex structure. The organelle is an adaptation that the apicomplexan applies in penetration of a host cell.
The Apicomplexa are unicellular and spore-forming. All species are obligate endoparasites of animals,[3] except Nephromyces, a symbiont in marine animals, originally classified as a chytrid fungus.[4] Motile structures such as flagella or pseudopods are present only in certain gamete stages.
The Apicomplexa are a diverse group that includes organisms such as the coccidia, gregarines, piroplasms, haemogregarines, and plasmodia. Diseases caused by Apicomplexa include:
- Babesiosis (Babesia)
- Malaria (Plasmodium)
- Cryptosporidiosis (Cryptosporidium parvum)
- Cyclosporiasis (Cyclospora cayetanensis)
- Isosporiasis (Isospora belli)
- Toxoplasmosis (Toxoplasma gondii)
The name of the taxon Apicomplexa derives from two Latin words—apex (top) and complexus (infolds)—and refers to a set of organelles in the sporozoite. The Apicomplexa comprise the bulk of what used to be called the Sporozoa, a group of parasitic protozoans, in general without flagella, cilia, or pseudopods. Most of the Apicomplexa are motile, however, by use of a gliding mechanism[5] that uses adhesions and small static myosin motors.[6] The other main lines were the Ascetosporea (now in Rhizaria), the Myxozoa (now known to be highly derived cnidarian animals), and the Microsporidia (now known to be derived from fungi). Sometimes, the name Sporozoa is taken as a synonym for the Apicomplexa, or occasionally as a subset.
سابقاً: طائفة الجرثوميات Sporozoa
الجرثوميات حيوانات أولية متطفلة تنتقل من عائل إلى عائل في طوير يعرف بالطور الجرثومي . (spore stage) والجرثومة جسم صغير الحجم يحيط به غلاف جرثومي . (sporocyst) ويكون هذا الغلاف سميكا إذا كانت الجرثومة تتعرض أثناء انتقالها من عائل إلى عائل للهواء أو الماء ..إلخ . أما إذا لم تكن معرضة لمثل هذه العوامل كأن يكون انتقالها مباشرة من عائل لآخر دون التعرض للعوامل الجوية ، كما في حيوان الملاريا ، فإن الجراثيم لايكون لها مثل هذا الغلاف السميك . والجرثوميات هي أكثر الحيوانات المتطفلة انتشارا وتصيب أكثر أنواع الفقاريات والمفصليات والرخويات والديدان والشوكيات والجوفمعويات وبعض الأوليات الأخرى . ودورة حياة الجرثوميات معقدة جدا والكثير منها يقضي دورة حياته في عائلين أحدهما لا فقاري والآخر فقاري ويعمل العائل اللافقاري كواسطة لانتقال الطفيل من حيوان فقاري إلى حيوان فقاري آخر . ويتميز في دورة الحياة نوعان من التكاثر : تكاثر عديد (بالإنشقاق) (Schizogony) Multiple reproduction حيث يتكون عدة أفراد في العائل الواحد . تكاثر تزاوجي ينتهي بتكوين الجراثيم (Sporogony) ثم تنتقل الجراثيم في عائل آخر .
وتمتاز الجرثوميات بعدم وجود أعضاء للحركة لأنها تحيا حياة سلبية كما أنها عديم الفم والاست والفتحات الإخراجية وليس بجسمها فراغات وهذا كله نتيجة لحياة التطفل .
وللجرثوميات نواة واحدة وتتغذى بالإمتصاص وتعيش في معظم أعضاء جسم عوائلها وخصوصا القناة الهضمية والكلية والدم والعضلات والأنسجة الضامة .
وإذا عاش الحيوان داخل الخلايا سمي طفيلا خلويا Cytozoic وإذا عاش بين الخلايا سمي بين خلوى Histozoic أما إذا عاش في التجاويف سمي طفيلا تجويفيا Coelozoic
السمات العامة
General features of the subgroups
Within this phylum are three groups—coccidians, gregarines, and haemosporidians. The coccidians and gregarines appear to be relatively closely related.
Perkinsus , while once considered a member of the Apicomplexa, has been moved to a new phylum —Perkinsozoa.[7]
Gregarines
حيوان جرثومي يتطفل على لاقناة الهضمية لكثير من المفصليات كالصرصور والجنبري ويصيب وهو صغير خلايا القناة الهضمية نفسها وعندما يكبر يصبح طليقا في فراغ القناة الهضمية ويتغذى بامتصاص الأغذية المهضومة . ويبلغ متوسط طوله نجو 1/4 سم ويحاط جسمه بجليد صلب من مادة Proteolastin وينقسم جسم الحيوان إلى جزء خلفي كبير يحوي النواة وتسمى بالقطعة الخلفية Deutomerite وجزء أمامي صغير يسمى القطعة الأمامية Protomerite يوجد كذلك في الحيوان الصغير زائدة أمامية تسمى Epomerite ويتميز في جسم الحيوان اكتوبلازم وأندوبلازم . وأحيانا يبدو في البروتوبلازم تليف يذكرنا بالعضلات المخططة . والنواة واضحة ولايوجد في الجسم الصغير والكبير فراغات ولا فم ولا أعضاء للحركة .
دورة الحياة : (شكل 32) يصيب الحيوان الصغير إحدى الخلايا المبطنة للقناة الهضمية ثم ينمو ويغادر الخلية ولكنه يبقى متصلا بها بواسطة الأبيميريت ثم تسقط هذه الزائدة ويبقى الحيوان طليقا في فراغ الأمعاء ويستمر في النمو ثم يلتقي كل فردين عند طرفيهما ويتحوصلان داخل غلاف واحد وتنقسم نواة كل فرد عدة انقسامات مكونة عدة أنوية تتجه صوب جدار الخلية حيث تحاط كل نواة بطبقة من البروتوبلازم مكونة جاميطة . ويبقى بعد ذلك جزء متبقي من البروتوبلازم (residual protophasm) ثم يزول الجدار الفاصل بين الفردين وتتزاوج الجاميطات مثنى مثنى ، جاميطة من أحد الفردين مع جاميطة من الآخر ، وتتكون بذل الزيجوتات . ويحيط كل زيجوت جسمه بغلاف وتعرف بالحوصلة الجرثومية Sporoblast ثم تنقسم نواة كل حوصلة جرثومية إلى ثمانية أنوية تحاط بالبروتوبلازم وتكون ثمانية حيوانات جرثومية (sporozoites) ثم ينفجر كيس التحوصل الذي أحاط بالفردي الأصليين وتنطلق طول النوع المسمى Gigantes إلى 3/4 البوصة في الطول .
Coccidians
In general, coccidians are parasites of vertebrates. Like gregarines, they are commonly parasites of the epithelial cells of the gut, but may infect other tissues.
Reproduction and lifecycle
Parasitology and genomics
Blood-borne genera
Within the Apicomplexa are three suborders of parasites:
- suborder Adeleorina—eight genera
- suborder Haemosporina—all genera in this suborder
- suborder Eimeriorina—two genera (Lankesterella and Schellackia)
التطور
Taxonomy
التاريخ
The first Apicomplexa protozoan was seen by Antonie van Leeuwenhoek, who in 1674 saw probably oocysts of Eimeria stiedae in the gall bladder of a rabbit. The first species of the phylum to be described, Gregarina ovata in earwigs intestines, was named by Dufour in 1828. He thought that they were a peculiar group related to the trematodes, at that time included in Vermes.[8] Since then, many more have been identified and named. During 1826–1850, 41 species and six genera of Apicomplexa were named. In 1951–1975, 1873 new species and 83 new genera were added.[8]
Jacques Euzéby (1988)
Jacques Euzéby in 1988[9] created a new class Haemosporidiasina by merging subclass Piroplasmasina and suborder Haemospororina.
- Subclass Gregarinasina (the gregarines)
- Subclass Coccidiasina
- Suborder Adeleorina (the adeleorins)
- Suborder Eimeriorina (the eimeriorins)
- Subclass Haemosporidiasina
- Order Achromatorida
- Order Chromatorida
Perkins (2000)
References
- ^ Levine ND (1970). "Taxonomy of the Sporozoa". J Parasitol. 56 (4, Sect. 2, Part 1: Supplement: Proceedings Of the Second International Congress of Parasitology): 208–9. JSTOR 3277701.
- ^ Levine ND (May 1971). "Uniform Terminology for the Protozoan Subphylum Apicomplexa". J Eukaryot Microbiol. 18 (2): 352–5. doi:10.1111/j.1550-7408.1971.tb03330.x.
- ^ Jadwiga Grabda (1991). Marine fish parasitology: an outline. VCH. p. 8. ISBN 0-89573-823-6.
- ^ Saffo M. B.; McCoy A. M.; Rieken C.; Slamovits C. H. (2010). "Nephromyces, a beneficial apicomplexan symbiont in marine animals". Proceedings of the National Academy of Sciences. 107 (37): 16190–5. doi:10.1073/pnas.1002335107. PMC 2941302. PMID 20736348.
- ^ Stefan H.I. Kappe; et al. (January 2004). "Apicomplexan gliding motility and host cell invasion: overhauling the motor model". Trends in Parasitology. 20 (1): 13–6. doi:10.1016/j.pt.2003.10.011. PMID 14700584.
- ^ Sibley, LDI (Oct 2010). "How apicomplexan parasites move in and out of cells". Curr Opin Biotechnol. 21 (5): 592–8. doi:10.1016/j.copbio.2010.05.009. PMC 2947570. PMID 20580218.
- ^ Norén, Fredrik; Moestrup, Øjvind; Rehnstam-Holm, Ann-Sofi (October 1999). "Parvilucifera infectans norén et moestrup gen. et sp. nov. (perkinsozoa phylum nov.): a parasitic flagellate capable of killing toxic microalgae". European Journal of Protistology. 35 (3): 233–254. doi:10.1016/S0932-4739(99)80001-7.
- ^ أ ب Levine N. D. (1988). "Progress in taxonomy of the Apicomplexan protozoa". The Journal of Protozoology. 35 (4): 518–520. doi:10.1111/j.1550-7408.1988.tb04141.x. PMID 3143826.
- ^ Euzéby, J. (1988). Apicomplexa, 2: Hémosporidioses, Fascicule 1: Plasmodiidés, Haemoproteidés "Piroplasmes" (caractères généraux). Protozoologie Médicale Comparée. Vol. 3. Fondation Marcel Merieux. ISBN 2901773737. OCLC 463445910.
وصلات خارجية
- Brands, S.J. (2000). "The Taxonomicon & Systema Naturae" (Website database). Taxon: Genus Cryptosporidium. Amsterdam, The Netherlands: Universal Taxonomic Services.
- "David Roos's Seminar: Biology of Apicomplexan Parasites".
{{cite web}}: Cite has empty unknown parameter:|dead-url=(help)