نزف تحت الجافية
| نزف تحت الجافية | |
|---|---|
| التبويب والمصادر الخارجية | |
| التخصص | جراحة المخ والأعصاب |
| ICD-10 | I62.0, P10.0, S06.5 |
| ICD-9-CM | 852.2 - traumatic; 432.1 - nontraumatic |
| DiseasesDB | 12614 |
| MedlinePlus | 000713 |
| eMedicine | neuro/575 |
| Patient UK | فشل عرض الخاصية P1461: لم يتم العثور على الخاصية P1461. نزف تحت الجافية |
| MeSH | D006408 |
النزف تحت الجافية subdural hematoma، هو نزف يتجمع فيه الدم بين الجافية والدماغ. وهو أكثر شيوعاً من النزف فوق الجافية بنحو 10 مرات. ويحدث عادة عندما يؤدي رضّ دماغي إلى تمزق أحد (أو بعض) الأوردة التي تعبر الفراغ تحت الجافية. ومن العوامل المؤهبة لحدوث هذا النوع من النزف وجود ضمور دماغي أو انخفاض الضغط داخل القحف (إذ تؤدي هاتان الحالتان إلى تمطط الأوردة في الفراغ تحت الجافية مما يجعلها أكثر عرضة للتمزق)، ومن العوامل الأخرى اضطرابات التخثر والكحولية.
التصنيف
أعراض وعلامات
| نوع النزف | فوق الجافية | Subdural |
|---|---|---|
| المكان | Between the skull and the dura | Between the dura and the arachnoid |
| Involved vessel | Temperoparietal locus (most likely) - Middle meningeal artery Frontal locus - anterior ethmoidal artery Occipital locus - transverse or sigmoid sinuses Vertex locus - superior sagittal sinus |
Bridging veins |
| Symptoms | Lucid interval followed by unconsciousness | Gradually increasing headache and confusion |
| Appearance on CT | Biconvex lens | Crescent-shaped |
تميل الأعراض إلى أن تكون غير نوعية، فهي تتأثر فيما إذا كان النزف حاداً أو مزمناً. ومن الأعراض: الصداع واضطراب بدرجة الوعي، واضطرابات التركيز والذاكرة، وأعراض موضّعة (كضعف أحد شقي الجسم والاختلاجات البؤرية) وغير ذلك.pia.[1]
الأسباب
عوامل الخطر
الفيسيولوجيا المرضية
التشخيص
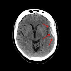
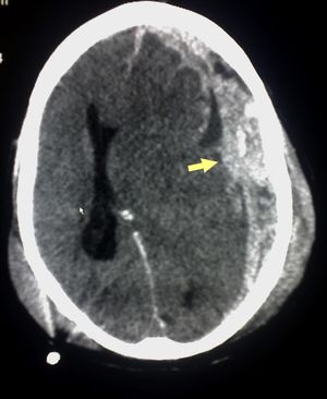
يعتمد رئيساً على تصوير الدماغ (التصوير الطبقي المحوري والرنين المغنطيسي MRI)، وفيه يظهر النزف عادة على شكل تجمع هلالي بين الجمجمة والدماغ.
العلاج
يختلف العلاج باختلاف حجم النزف وسرعة تشكله والأعراض الناتجة منه. ففي بعض حالات النزف المزمن قد تكفي المعالجة الدوائية (مثل إعطاء مضادات الاختلاج، وإيقاف مميعات الدم)، أما في حالات أخرى مثل النزف تحت الجافية الحاد الذي تزيد سماكته عن سنتمتر واحد فينبغي تفريغه جراحياً.
انظر أيضا
- Head injury
- Traumatic brain injury
- Intra-axial hemorrhage
- Extra-axial hemorrhage
- نزف فوق الجافية
- نزف تحت العنكبوتية
- Concussion
- Diffuse axonal injury
المصادر
- ^ محمد قتيبة الصفدي. "النزف السحائي". الموسوعة العربية. Retrieved 2011-05-23.
وصلات خارجية
- MedPix: Subdural hematoma Pictures of Subdural Hematoma
- MedPix: Subdural hematoma