ملوية بوابية

(تم التحويل من Helicobacter pylori)

ملوية بوابية
EMpylori.jpg
التصنيف العلمي
مملكة:
Phylum:
Class:
Order:
Family:
Genus:
Species:
H. pylori
Binomial name
Helicobacter pylori
(Marshall et al. 1985) Goodwin et al., 1989
ملوية بوابية
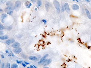
Immunohistochemical detection of Helicobacter (1) histopatholgy.jpg
Immunohistochemical staining of H. pylori from a gastric biopsy
التبويب والمصادر الخارجية
ICD-9-CM041.86
DiseasesDB5702
MedlinePlus000229
eMedicinemed/962
Patient UK

فشل عرض الخاصية P1461: لم يتم العثور على الخاصية P1461.

ملوية بوابية
MeSHD016481

الملوية البوابية (باللاتينية: Helicobacter pylori)

نوع من العصيات سلبية الغرام أليفة الهواء القليل التي تستعمر مخاطيات المعدة والإثنا عشري، مسببة التهاباً في المخاطية، وترتبط بتطور القرحات الهضمية في المعدة والإثنا عشري وسرطان المعدة. يبقى أكثر من 80% من المصابين بهذا الجرثوم لاعرضيين.

يحمل نحو 50% من سكان المعمورة هذا الجرثوم، مما يجعله العدوى الأكثر انتشاراً في العالم، وانتشاره أكبر في البلدان النامية منه في المتطورة. طرق العدوى غير معروفة تماماً

علم الأحياء الدقيقة

Scanning electron micrograph of H. pylori


علم الوظائف المرضي

Molecular model of H. pylori urease enzyme


الأعراض والعلامات

تستطيع الجرثومة العيش في مخاطية المعدة لفترات طويلة بدون إظهار أي أعراض ومن الأعراض التي تظهر:

  • انتفاخ.
  • رائحة فم كريهة
  • فقدان في الوزن

وقد تختفي هذه الأعراض في بضعة أيام أو تستمر عدة أشهر

ولكن أهم ما يميز الملوية البوابية هو:

ألم معاود في أعلى البطن يترافق غالباً مع نزف في السبيل المعدي المعوي

ومن الأعراض الخطيرة التي تستلزم اللجوء الفوري للطبيب:

ألم شديد ومتواصل بالبطن

  • صعوبة في البلع
  • براز دموي أو شديد السواد
  • قئ مدمم أسود اللون كحبيبات القهوة.

عوامل الخطر

  • الذين يعيشون في ظروف مزدحمة.
  • يعيشون بدون إمدادات موثوق بها من الماء الساخن
  • الذين يعيشون في البلدان النامية
  • الذين يعيشون مع شخص مصاب بالتهاب الملوية البوابية

التشخيص

H. pylori colonized on the surface of regenerative epithelium (image from Warthin-Starry's silver stain)

يتم تشخيص الاصابة بهذه الجرثومة عن طريق ثلاثة فحوصات متداولة:

الفحص الأول في الدم ويتم فيه البحث عن الاجسام المضادة "Antibodies"

الفحص الثاني في البراز ويتم في البحث عن الجرثومة مباشرة وهو يسمى بالبحث عن "Antigen"

الفحص الثالث يتم عن طريق النفخ (الزفير) وهو ما يعرف باسم البولة التنفسية UBT حيث يتم البحث عن غاز ثاني اكسيد الكربون CO2 الذي يتم جمعه ومعايرته بطريقة Urea Breath Test

العلاج

يتكون العلاج من التهاب الملوية البوابية من مجموعة أدوية للتخلص من هذا الميكروب من الجسم. .

الأدوية التي تخلص الجسم من الملوية البوابية:

تستعمل المضادات الحيوية لعلاج التهاب الملوية البوابية الأطباء عادة ما يصفون خليط من عدة مضادات حيوية على أمل أن تؤدي هذه الاستراتيجية إلى منع الميكروب من تكوين مناعة لأحد هذه الادوية

من الأرجح تناول نوعين من المضادات الحيوية لمدة 14 يومًا.

عقاقير لتقليل الحامض في المعدة:

ان العقاقير التي تقلل من افراز الحامض في المعدة من شأنها زيادة فعالية المضادات الحيوية أيضًا. ومن شأنها كذلك تخفيف الاعراض وتحفز الشفاء.

من هذه الأدوية:

(Proton pump inhibitors):من شأنها تثبيط افراز الحامض عن طريق إغلاق المضخات التي تفرزه في الخلايا.

مثال:أومبرازول(Prilosec)-لانسوبرازول(Prevacid)-بانتوبرازول(Protonix)-ريبرازول (Aciphex)-ايسومبرازول(Nexium)

هذه المجموعة تقلل كمية الحامض الذي يفرز في مجرى الجهاز الهضمي ومن هذه المجموعة:

(Zantac) (Pepcid) cimetidine


إختبار التأكد من وجود الملوية البوابية بعد العلاج

ويكون هذا بعد عدة أسابيع من العلاج وذلك بعمل تحليل زفير أو براز لإثبات أن هذا الميكروب لم يعد له وجود وأن العلاج أثبت نجاحه. . أما في حالة ظهور الميكروب في هذه الاختبارات فمعناه فشل العلاج و الخضوع لعلاج مرة أخرى بمجموعة مختلفة من المضادات الحيوية

الوقاية

تاريخ الاكتشاف

تم اكتشاف الملوية البوابية في 1982 على يد العالمين الأستراليين روبن وارن Robin Warren وباري مارشال Barry Marshall. أكد العالمان في ورقة بحثهم أن سبب معظم حالات قرحة والتهاب المعدة هو مستعمرات البكتريا وليس التوتر أو الطعام ذي البهارات كما أعتقد سابقاً. قوبلت فرضية العلاقة بين الملوية البوابية والقرحة الهضمية بفتور، لذا ولكي يثبت صحة فرضيته، قام Marshall بشرب صحن پتري محتويا على مزرعة من العضيات الحية المستخرجة من معدة مريض، وسرعان ما أصيب بالتهاب في المعدة. اختفت أعراض الالتهاب في غضون أسبوعين ولكنه تناول مضادات حيوية للقضاء على ما تبقى من البكتريا تحت إلحاح زوجته، حيث أن رائحة الفم الكريهة هي إحدى أعراض الالتهاب. نشرت هذه الدراسة في عام 1984 في الدورية الطبية الأسترالية وتعتبر إحدى أكثر المقالات التي شيد بها في الدورية. في العام 2005، قام معهد كارولينسكا في ستوكهولم بتقديم جائزة نوبل في الطب أو الفيزيولوجيا إلى مارشال ووارن لاكتشافهم دور الملوية البوابية في حدوث التهاب المعدة والقرحة الهضمية. استمر الدكتور مارشال في القيام بأبحاث تتعلق بالملوية البوابية ويدير معمل بيولوجيا حيوية بجامعة غرب أستراليا في پرث.

المراجع

وصلات خارجية


الكلمات الدالة: