تعكر المزاج ثنائي القطب

(تم التحويل من Bipolar disorder)
تعكر المزاج الثنائي القطب
Bipolar disorder
VanGogh-starry night ballance1.jpg
معظم العاملين في مجال الفن مثل ڤينسنت ڤان گوخ، يعانون من تعكزر المزاج الثنائي القطب.
التبويب والمصادر الخارجية
التخصصطب نفسي, علم النفس السريري
ICD-10F31.
ICD-9-CM296.80
OMIM125480 309200
DiseasesDB7812
MedlinePlus001528
eMedicinemed/229
Patient UK

فشل عرض الخاصية P1461: لم يتم العثور على الخاصية P1461.

تعكر المزاج ثنائي القطب
MeSHD001714
تعكر المزاج الثنائي القطب

تعكر المزاج الثنائي القطب Bipolar mood disorder هو احد الأمراض النفسية التي تتميز بتناوب فترات من الكآبة مع فترات من الأبتهاج الغير الطبيعي التي تختلف عن الشهور بالأبتهاج الطبيعي كونها تؤدي بالشخص لقيام باعمال طائشة و غير مسؤولة وخطيرة في بعض الأحيان تم وصف الحالة لأول مرة من قبل طبيب نفسي من المانيا اسمه أيمل كرايبيلن Emil Kraepelin . و كثيرا ما يكون الأشخاص المبدعين كالفنانين والعلماء أكثر عرضة للإصابة بهذا المرض. هناك نوعان من تعكر المزاج الثنائي القطب :

تعكر المزاج الثنائي القطب I

يقدر عدد المصابين بهذا النوع 0.4% إلى 1.6% مع اختلاف طفيف في هذه النسبة من مجموعة بشرية إلى اخرى وعلى عكس نوبة الأكتئاب الكبرى التي تنتشر اكثر في الأناث فان هذا المرض ينتشر بين الذكور والأناث بنفس النسبة ولكن النوبة الأولي في النساء تكون نوبة اكتآب عادة والنوبة الأولى في الذكور تكون عادة نوبة ابتهاج وهناك فرق اخر بين الذكور والأناث وهو كون نوبات الأكتآب اكثر عددا من نوبات الأبتهاج في الأناث على عكس الذكور الذين تكون نوبات الأبتهاج اكثر عددا من نوبات الأكتآب

يظهر المرض عادة مبكرا في حياة المرأ وبالتحديد في العشرينيات من العمر. ويختلف عدد النوبات باختلاف شدة المرض وعادة مايكون هناك فترة مزاج معتدلة بين نوبة الأكتآب ونوبة الأبتهاج ويمكن القول بانه في الحالات الغير الشديدة يتعرض المريض إلى 4 نوبات خلال 10 سنوات والفترة بين النوبات تميل إلى ان تكون اقصر مع تقدم العمر . 4% إلى 24% من الأشخاص المصابين بهذا المرض لهم اقارب مصابين بنفس المرض مما يؤشر إلى احتمالية كبيرة في ان تلعب الوراثة دورا في نقل هذا المرض.

لتشخيص هذا المرض يتطلب حدوث نوبة واحدة او اكثر من نوبة الأبتهاج الغير الطبيعي مع نوبة واحدة او اكثر من نوبة الأكتئاب الكبرى.

ويشضص المريض بانه في حالة نوبة الأبتهاج الغير الطبيعي اذا توفرت الشروط التالية ، لفترة قدرها 1 اسبوع على الأقل يجب ان يتوفر على الاقل 3 من 7 نقاط المذكورة ويجب ان تؤدي هذه الأعراض إلى عدم مقدرة الشخص من القيام بواجباته الأجتماعية و المهنية ويجب ان لا تكون هذه الأعراض نتيجة لأعراض جانبية جراء استعمال الشخص لعقاقير معينة و يجب ان لاتكون هذه الأعراض نتيجة الأصابة ببعض الأمراض الجسمية التي قد تؤدي إلى نفس هذه الأعراض مثل تضخم الغدة الدرقية على سبيل المثال والأعراض السبعة هي التالي:

  • ازدياد الثقة بالنفس تصل إلى حد الغرور.
  • التحدث وفتح المواضيع اكثر من المعهود.
  • تسابق الأفكار في راس الشخص حيث ينتقل الشخص اثناء تحدثه من موضوع إلى اخر بسرعة.
  • عدم القدرة على الأنتباه والتركيز على موضوع معين .
  • ازدياد النشاط ومساهمة الشخص في الفعاليات التي قد تكون فعاليات مقبولة اجتماعيا او قد تكون تصرفات طائشة في بعض الأحيان.
  • ازدياد نسبة الأنغماس في الملذات التي تكون عواقبها وخيمة في معظم الأحيان مثل ممارسة الجنس مع الغرباء وقيادة السيارة بسرعة او صرف مبالغ كبيرة على اغراض تافهة.

وقد يعتقد البعض ان تشخيص هذه الحالة امرا يسيرا ولكنها من الحالات التي تصعب تشخيصها لسبب كون نوبة الأبتهاج الأولى قصيرا في بعض الأحيان او وصفه بمزاج حيوي ولطيف من قبل الشخص و المحيطين به وعندما تبدا نوبة الأكتئاب الكبرى يتصور معظم الأطباء النفسيين بانها حالة كآبة و يبدأون باعطاء المريض ادوية لعلاج الكآبة فقط بدون وصف ادوية خاصة لهذه الحالة وتسمى الأدوية التي تساعد في استقرار المزاج ويؤدي هذا إلى تحسن الكآبة ووصول الفرد إلى حالة الأبتهاج الغير الطبيعة وهنا يكون التشخيص اوضح من قبل الأطباء النفسيين. وهناك عامل اخر يساهم في تشخيص هذه الحالة وهو ما يوصف بمحاولات العلاج الذاتي من قبل المريض نفسه وذلك عندما يستعمل المريض المواد المخدرة او المنشطة الغير الشرعية او الكحول لعلاج نوبات الكآبة المفرطة او الأبتهاج المفرط فيحدث حالة ادمان ويتصور الطبيب النفسي ان المشكلة الرئيسية تكم في الأدمان ويتم علاج الأدمان كحالة رئيسية

تعكر المزاج الثنائي القطب II

في هذا النوع يتناوب نوبة الأكتئاب الكبرى مع نوبة من الأبتهاج تعتبر اقل حدة من الأبتهاج الغير الطبيعي ويعتقد ان هذا النوع اكثر شيوعا في النساء ويبلغ نسبة المصابين بهذا المرض 0.5% مع اختلافات طفيفة في النسبة بين المجاميع البشرية المختلفة وتكون عدد النوبات في هذا النوع اكثر من النوع الأول وتميل النوبات إلى ان تقل مع تقدم العمر وهناك بعض الأدلة على ان الوراثة تلعب دورا في هذا النوع من تعكر المزاج الثنائي القطب.

لتشخيص هذا النوع يتطلب تناوب نوبة الأكتئاب الكبرى مع نوبة من الأبتهاج لاترتقي إلى نوبة الأبتهاج الغير الطبيعي في النوع الأول ويجب ان لاتكون هذه النوبات نتيجة مرض جسمي او اعراض جانبية لعقارات وان تكون هذه النوبات قد اثرت على الحياة الأجتماعية و المهنية للشخص والنقاط السبعة التي يجب ان يتوفر منها 3 على الأقل هي نفس النقاط المذكورة سابقا مع اختلاف في الحدة والزمن فهنا مدة 4 ايام كافية للتشخيص بعكس اسبوع واحد في النوع الأول.


العلاج الدوائي

هناك أدوية تسمى مثبّتات المزاج يجب ان يستعمل في العلاج بالاضافة إلى الأدوية المستعملة في علاج الكآبة لأن مضادّات الاكتئاب تحمل, خطر توليد الهوس، بخاصّة في المرضى الثّنائيّي القطب الّذين لا يأخذون مثبّت مزاج. استخدمت أملاح اللثيوم لمدّة طويلة كعلاج مبدئيّ ولكنه فيما بعد تم استعمال كاربامازيباين و إبيفال كبدائل للّيثيوم في حالات كثيرة،ولاتعتبر هذه البدائل افضل من اللثيوم كمؤثّر لكنه أفضل من اللثيوم لأنّ نبذته للأثر الجانبيّ تبدو تكن أقلّ شدّة و الطّاعة من قبل المريض باخذ الدّواء أفضل ويستعمل في العلاج ايضا الأدوية المهدّئة الجديدة مثل ريسبيريدون و كويتيابين و أولانزاباين.

العلاج النفسي

بوجهٍ عامّ تستخدم أنواع معيّنة من العلاج النفسي ومنها العلاج السّلوكيّ المعرفيّ و علاج الإيقاع الشخصي المتناسق و علاج التنظيم العائلي بالإضافة إلى الدواء و كثيرًا ما يمكن أن يزوّد الفائدة الإضافيّة الكبيرة.

طرق اخرى للعلاج

علاج بالصّدمات الكهربائيّة ، أحيانًا اُعْتِيدَ أن يعالج الاكتئاب الشّديد الثّنائيّ القطب في حالة فشل العلاجات الأخرى. بالرّغم من أنه قد أثبت كونه علاجًا مؤثّرًا بدرجة كبيرة، لكن الأطباء كارهون أن يستخدموه باستثناء كعلاج أخير بسبب الآثار الجانبيّة و التّعقيدات الممكنة.

العلاجات الغير غربيّة، مثل علاج الوخز بالإبر تُسْتَخْدَم من قبل البعض وبعض الأبحاث تظهر امكانية امتلاكها لبعض المزايا العلميّة. ويستخدم ايضا من قبل البعض أحماض دهنيّة للأوميجا 3 كعلاج إضافيّ أو بديل للاضطراب الشّخصيّ ولكن النّتائج لهذا النوع من العلاج البديل لاتزال غير حاسمة.


Depressive episode


Manic episode

Hypomanic episode



Mixed affective episode


Associated features

الأسباب

وراثية

Childhood precursors

Life events and experiences

Neural processes

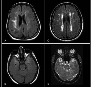
Hyperintensities (bright areas on MRI scans above) are 2.5 times more likely to occur in bipolar disorder



Melatonin activity

Psychological processes

Diagnosis

Clinical scales

المعايير والأنواع

Rapid cycling

التحديات

السيطرة على المرض


التأثير النفسي الاجتماعي

العلاج

Sodium valproate is a common mood stabilizer




العلامات

Functioning

الشفاء

تكرار الإصابة

نسبة إنتشار المرض

علم الأوبئة

Disability-adjusted life year for bipolar disorder per 100,000 inhabitants in 2002.
  no data
  less than 180
  180–186
  186–190
  190–195
  195–200
  200–205
  205–210
  210–215
  215–220
  220–225
  225–230
  230–235

الأطفال



كبار السن

التاريخ


المجتمع والثقافة

مراجع ثقافية



المصادر

نصوص مرجعية

  • Goodwin FK, Jamison KR (1990). Manic-Depressive Illness. New York: Oxford University Press. ISBN 0-19-503934-3.
  • Goodwin FK, Jamison KR (2007). Manic-Depressive Illness: Bipolar Disorders and Recurrent Depression, 2nd Edition. New York: Oxford University Press. ISBN 0-19-513579-2 begin_of_the_skype_highlighting              0-19-513579-2      end_of_the_skype_highlighting begin_of_the_skype_highlighting              0-19-513579-2      end_of_the_skype_highlighting begin_of_the_skype_highlighting              0-19-513579-2      end_of_the_skype_highlighting. {{cite book}}: Check |isbn= value: invalid character (help); no-break space character in |isbn= at position 46 (help)

قراءات إضافية

أول دراسات معاصرة حول الموضوع:

  • Simon, Lizzie. 2002. Detour: My Bipolar Road Trip in 4-D. New York: Simon and Schuster. ISBN 0-7434-4659-3.
  • Behrman, Andy. 2002. Electroboy: A Memoir of Mania. New York: Random House, 2002. ISBN 0-375-50358-7.
  • Lovelace, David. 2008. Scattershot: My Bipolar Family. New York: Dutton Adult, 2008. ISBN 0-525-95078-8.

To find out more about how to deal with bipolar first-hand or how friends and family can deal with it, see:

لقراءات خاصة بتعكر المزاج الثنائي عند الأطفال، انظر:

  • Raeburn, Paul. 2004. Acquainted with the Night: A Parent's Quest to Understand Depression and Bipolar Disorder in His Children.
  • Earley, Pete. Crazy. 2006. New York: G. P. Putnam's Sons. ISBN 0-399-15313-6. A father's account of his son's bipolar disorder.

أعمال كلاسيكية حول الموضوع

  • Kraepelin, Emil. 1921. Manic-depressive Insanity and Paranoia ISBN 0-405-07441-7 (English translation of the original German from the earlier eighth edition of Kraepelin's textbook — now outdated, but a work of major historical importance).
  • Mind Over Mood: Cognitive Treatment Therapy Manual for Clients by Christine Padesky, Dennis Greenberger. ISBN 0-89862-128-3

وصلات خارجية