بلهارسية يابانية
| بلهارسيا يابانية | |
|---|---|
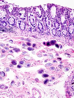
| Histopathological image of old state of schistosomiasis incidentally found at autopsy. The deposition of calcified eggs in the colonic submucosa suggests prior infection of Schistosoma japonicum. | |
| التصنيف العلمي | |
| مملكة: | |
| Phylum: | |
| Class: | |
| Subclass: | |
| Order: | |
| Genus: | |
| Species: | بلهارسية يابانية
|
| Binomial name | |
| Schistosoma japonicum (Katsurada, 1904)
| |
البلهارسيا اليابانية إنگليزية: Schistosoma japonicum هي اٍصابة طفيلية كبيرة ومن أحد أهم مسببات البلهارسيا. يصيب على الأقل 31 نوع من الحيوانات البرية منها 9 أكلات لحوم، 16 قوارض، واحد من الرئيسيات و 2 أكلات حشرات و 3 من الشفعيات. وهو من الأمراض المشتركة.
This article may include material from Wikimedia licensed under CC BY-SA 4.0. Please comply with the license terms.