بلهارسية دموية
| بلهارسية دموية | |
|---|---|
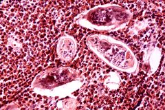
| Histopathology of bladder shows eggs of بلهارسية دموية محاطة باختراق مكثف من الحمضات | |
| التصنيف العلمي | |
| مملكة: | |
| Phylum: | |
| Class: | |
| Subclass: | |
| Order: | |
| Genus: | |
| Species: | بلهارسية دموية
|
| Binomial name | |
| Schistosoma haematobium (Bilharz, 1852)
| |
بلهارسية دموية إنگليزية: Schistosoma haematobium ينتشر الداء في الشرق الأوسط و الهند ، البرتغال و أفريقيا.
الكلمات الدالة:
This article contains content from Wikimedia licensed under CC BY-SA 4.0. Please comply with the license terms.