فتق

(تم التحويل من الفتق)
فتق
Hernia

تصنيفات ومصادر خارجية
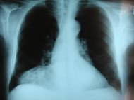
Hernia de Morgani.JPG
Frontal chest X-ray showing a hernia of Morgagni
ICD-10 K40-K46
ICD-9 550-553
MedlinePlus 000960
eMedicine emerg/251  ped/2559

الفتق Hernia، هو خروج عضو أو جزء من عضو في جسم الإنسان من المكان التشريحي الذي يحويه عادة. ويحدث بسبب ضعف أو خلل تشريحي في المنطقة أو الفوهة الطبيعية التي يخرج منها العضو أو الجزء المفتوق، وقد يكون لزيادة الجهد الفيزيائي أثر في ظهوره.

يمكن تصنيف الفتوق وفق معايير عدة من حيث كونها خلقية أو مكتسبة، أو تبعاً للناحية التشريحية التي ظهر فيها الفتق، أو حسب اسم الجزء أو العضو المفتوق. كما أن هناك فتوقاً تظهر عيانياً من خلال سطح جسم الإنسان وأخرى لا يمكن رؤيتها من الخارج. [1]


أنواع الفتوق

الفتوق الظاهرة على جدار البطن

مثل الفتق الإربي أو المغبني، والفتق الفخذي، والفتق السري، ومنها أيضاً الفتق الشرسوفي، وفتق الخط الأبيض، والفتق القطني.

ويتم تشخيص هذه الفتوق (كما هي الحال بالنسبة للفتق الفخذي) برؤية انتباج صغير أو كبير في المنطقة التشريحية لكل نوع منها. وقد يترافق هذا الانتباج مع ألم يشكو منه المصاب وخاصة إذا أصبح هذا الفتق غير ردود (أي قابل للعودة من الفوهة التي خرج منها)، وهو ما يعرف بالغصص في البداية ومن ثم الاختناق. أما الأعضاء التي قد تخرج من خلال هذه الفتوق فهي إما الثرب epiploon أو الأمعاء الغليظة أو الدقيقة. وأحياناً قد يحوي الفتق جزءاً من المثانة. أما عند الإناث فقد يكون العضو المفتوق في الفتق الإربي هو المبيض.

علاج جميع هذه الفتوق هو التداخل الجراحي، ويتمّ من خلاله رد الجزء المفتوق إلى مكانه وإجراء ترميم للعضلات فوقه، وقد يكون من المفيد في كثير من الأحيان الاستعانة برقعة صنعية لتدعيم مكان الترميم وتقويته. ويصبح التداخل الجراحي إسعافياً في حالات الاختناق؛ خشية حدوث نقص تروية وتمَوّت في جزء من الأمعاء أو المبيض، مما يستدعي استئصال هذا الجزء المختنق.

الفتق الإربي

Diagram of an indirect, scrotal inguinal hernia (median view from the left).

يظهر الفتق الإربي من خلال الفوهة الإربية والتي يمر فيها الحبل المنوي عند الذكور والرباط المدور المعلّق للرحم عند الإناث، وقد يكون ولادياً بسبب بقاء ما يُعرف بالاستطالة التناسلية (وهي ممر تعبر من خلاله الخصية من البطن إلى الصفن في نهاية الحياة الجنينية) وذلك عند الذكور أو بقاء قناة نك عند الإناث. هذا الفتق هو الأكثر شيوعاً من حيث نسبة الظهور. ويحدث عند الذكور بنسبة تزيد قليلاً على حدوثه عند الإناث.

الفتق الإربي المغبني

إذا ظهر هذا الفتق بمرحلة متأخرة من العمر يكون سببه ضعف العضلات في منطقة مثلث هسلباخ Hesselbach، وهي تناسب تشريحياً مكان الفوهة الإربية الظاهرة.

الفتق الفخذي

الفتق الفخذي femoral hernia، يظهر كانتباج في منطقة جذر الفخذ أي عند الثنية البطنية الفخذية. وصفه گاي ده شولياك Guy de Chauliac في عام 1361. يمر هذا الفتق من خلال الفوهة الفخذية التي تحتوي الشريان والوريد والعصب الفخذي. ويحدث على نحو خاص عند النساء النحيلات.

الفتق السري

الفتق السري umbilical hernia، غالباً ما يكون ولادياً بسبب عدم انغلاق ما يعرف بالسرة، وهو المكان الذي يربط الجنين بالحبل السري. وقد يكون مكتسباً خاصة عند السيدات الولودات نتيجة الضغط، الذي يسببه الحمل على جدار البطن.

الفتوق التي لا تظهر للعيان

أهمها نوعان: الفتق الحجابي بين البطن والصدر، وفتق النواة اللبية في العمود الفقري.

الفتق الحجابي

Diagram of a hiatus hernia (coronal section, viewed from the front).

الفتق الحجابي diaphragmatic hernia، من الناحية التشريحية هو صعود جزء من المعدة (عادة منطقة القاع العلوية) من البطن إلى الصدر عبر الفوهة الطبيعية الموجودة في الحجاب الحاجز، والتي يمر فيها المري من الصدر إلى البطن بسبب اتساعها أو بسبب ضعف في آلية تثبيت المعدة وخاصة منطقة الفؤاد ضمن البطن.

هذا الفتق كثير الشيوع ولا عرضي في غالب الأحيان. أما إذا ظهرت الأعراض فتتجلى بحس ثقل في منطقة أعلى البطن (الشرسوف) خاصة بعد الطعام يترافق مع جشاءات كثيرة، وقد تظهر أعراضه في أثناء النوم أو الاستلقاء تشبه الأعراض القلبية.

قد يؤدي وجود الفتق الحجابي إلى حدوث القلس المعدي المريئي؛ وهو صعود مفرزات المعدة الحامضية بشدة إلى المري، وهذا الأخير غير مهيأ لاستقبال هذه الحموضة، فيشكو الإنسان حينئذ من حرقة شديدة خلف القص، وتكرار هذا الأمر يُسبب حدوث التهاب المري بسبب التخريش الكيميائي.

يوضع التشخيص الأكيد للفتق الحجابي بالتصوير الظليل للمري والمعدة، أو بالتنظير الهضمي عن طريق المنظار الضوئي الليفي المرن.

- المعالجة: لا يتطلب هذا الفتق أي علاج إذا كان لا عرضياً، أما إذا ظهرت أعراض حينئذ توجه المعالجة، في معظم الأحيان، نحو آثارها فإن المعالجة غالباً ما تكون موجهة للآثار المترتبة عليها، فيعطى المريض التعليمات اللازمة المتعلقة بطبيعة الطعام وطريقة تناوله، ومنها:

  • عدم تناول وجبات كبيرة دسمة والاستعاضة بوجبات خفيفة متعددة.
  • الامتناع عن الطعام مدة ساعتين على الأقل قبل النوم أو الرياضة.
  • الامتناع عن التدخين والمخرشات مثل التوابل والحوامض.
  • رفع السرير مقدار 15 ْ من جهة الرأس لجعل الصدر أعلى من البطن.

وتأتي المعالجة الدوائية بمضادات إفراز الحموضة ومعدلات الحموضة في المقام الأول، أما المعالجة الجراحية فتنحصر في الذين لم يستجيبوا للمعالجة الدوائية. وتجرى الجراحة اليوم عن طريق المنظار ونتائجها مشجعة.

فتق النواة اللبية

فتق النواة اللبية أو الفتق القرصي discal hernia، هذا القرص موجود بين الفقرات التي تشمل كافة العمود الفقري من الرقبة حتى العجز مروراً بالظهر والقطن.

يتألف هذا القرص من طبقة خارجية ليفية تحيط بطبقة داخلية غضروفية عادة، ويعمل هذا القرص عمل الوسادة بين الفقرات. قد يحدث تمزق بسيط أو شديد في هذه الحلقة المحيطة بالغضروف أو (النواة اللبية)؛ مما يؤدي حسب شدة الحالة إلى بروز في الغضروف أو الخروج التام من مكانه ليضغط على أحد الجذور العصبية، التي تخرج من طرفي النخاع الشوكي. ومن الأسباب التي تهيّىء لحدوث ذلك الرض، الجهد الفيزيائي الممارس على العمود الفقري، أو التنكس في الحلقة الليفية.

تتفاوت أعراض هذا الفتق من حيث شدتها ومكان توضعها، وأكثر الأماكن إصابة هي العمود الرقبي والعمود القطني العجزي. وتشمل الأعراض حس الخدر (في الطرفين العلويين أو السفليين حسب مكان الإصابة) في المرحلة الأولى، وقد تشتد لتصبح على شكل ألم مبرح جداً وخاصة في الأطراف وليس في الرقبة أو الظهر.

وقد يؤدي التأخر في علاج هذه الحالة إلى حدوث أذيات عصبية منها هبوط القدم في فتق النواة اللبية في العمود القطني.

  • التشخيص: تشخص هذه الحالة بالفحص السريري، ويؤكد بالتصوير الطبقي المحوري CT Scan أو التصوير بالرنين المغنطيسي M.R.I.
  • المعالجة: يبدأ العلاج في الحالات البسيطة بإعطاء المسكنات والراحة بالفراش فترة تطول أو تقصر حسب تحسن الأعراض.

أما في الحالات الأخرى، والتي يكون فيها التمزق كبيراً مع خروج كامل النواة اللبية من مكانها فلابد من التداخل الجراحي، ويتمّ خلاله استئصال النواة المفتوقة. ونتائج العمل الجراحي جيدة في معظم الحالات ما لم يكن قد حدثت أذية عصبية مسبقاً غير قابلة للتراجع.

المصادر

  • Surgical recall, 2nd edition, by Lorne. H. Blackbourne, published by Lippincott Williams & Wilkins
  • Sabiston textbook of surgery, 17th edition, Townsend et.al.(e.d.), Elsevier-Saunders
  • Encyclopédie Médico-Chirurgicale (édition Masson, Paris).
  • Chirurgie des hernies inguinales de l’ adulte (Arnette 2001).

هامش

  1. ^ معن المالكي. "الفتوق". الموسوعة العربية. Retrieved 2011-05-20.

وصلات خارجية

صور

Wiktionary-logo-en.png
Look up hernia in Wiktionary, the free dictionary.