السكتة الدماغية

السكتة
Stroke

تصنيفات ومصادر خارجية
INFARCT.jpg
CT scan slice of the brain showing a right-hemispheric ischemic stroke (left side of image).
ICD-10 I61.-I64.
ICD-9 434.91
OMIM 601367
DiseasesDB 2247
MedlinePlus 000726
eMedicine neuro/9  emerg/558 emerg/557 pmr/187
MeSH D020521

السكتة أو الجلطة الدماغية Stroke هي تلف عصبي يحدث عندما يتوقف جريان الدم وتغذيته في منطقة من مناطق الدماغ نتيجة جلطة أو خثرة دموية . و يطلق نفس الاسم أيضا على متلازمة ضياع مفاجيء في الوظائف العصبية نتيجة اضطراب في الجريان الدموي الدماغي غالبا ما يكون في شرايين المخ وأحيانا يكون في أوردة المخ.

جزء الدماغ الذي يحدث به الاضطراب الدوراني و نقص التغذية الدموية يعاني بالتالي من نقص في الأكسجين الوارد مع الدم، مما يؤدي لتضرر و موت الخلايا العصبية في هذا الجزء مؤثرا على وظيفة هذا الجزء من الدماغ. تعتبر السكتة حالة طواريء تستدعى تدخلا طبيا ونقل للمشفى فوري حيث يمكن أن تؤدي إلى ضرر دائم أو إلى موت في حال عدم التشخيص السريع والمعالجة السريعة .

فهي إصابة تحصل لجزء من دماغ الإنسان نتيجة توقف ضخ الدم إلى ذلك الجزء مما يؤدي إلى فقد الوظيفة التي كان يؤديها .

هي الفقدان السريع لوظائف المخ نتيجة خلل في الدم المغذي له نتيجة لجلطة دموية أو نزيف فتتوقف وظائف الجزء الذي لا يصله الدم مما يؤدي الى اعاقة بجسم الانسان حسب الجزء المتأثر بالسكتة فمثلا يحدث شلل في طرف او اكثر من اطراف الجسم وقد يحدث عدم القدرة على الكلام أو حتى الرؤية.

أنواعها

A slice of brain from the autopsy of a person who suffered an acute middle cerebral artery (MCA) stroke

السكتات يمكن تصنيفها في فئتين كبيرتين: قصورية ischemic ونزيفية hemorrhagic.

السكتة القصورية Ischemic stroke

هي سكتة نتيجة قصور في الدورة الدموية الدماغية وتمثل 80% من الحالات. وفيها يقل الدم الواصل لجزء ما في المخ مما يؤدي الى موت هذا الجزي وهذا يكون لسبب من الأسباب الآتية :

اما نتيجة خثار thrombosis (انسداد في أحد الاوعية الدموية)

أو إنصمام embolism

أو نقص في الإرواء القلبي systemic hypoperfusion


السكتة النزيفية Hemorrhagic stroke

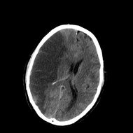
CT scan showing an intracerebral hemorrhage.

سكتة نتيجة نزيف في المخ:

ويعني تجمع الدم في أي مكان ضمن الجمجمة ويظهر في صورة صداع ويكون نتيجة كدمة بالرأس

أو نزيف داخل المخ Intracerebral haemorrhage

العلامات والأعراض

تختلف الأعراض بحسب المنطقة التي حصل فيها نقص في وصول الدم فكل منطقة من الدماغ مهيئة لوظيفة معينة كما أنه من المهم أن يعرف المريض وأقاربه أن الفص الأيمن من الدماغ يتحكم في حركة الجزء الأيسر من الجسم كما أن الفص الأيسر من الدماغ يتحكم في حركة الجزء الأيمن, كذلك يجب أن يعلم أن منطقة الكلام فهما ونطقا هي في الفص الأيسر من الدماغ .

الأعراض الشائعة لجلطة الدماغ هي:

  • الفقد المفاجئ للقوة في الجزء الأيمن أو الأيسر من الجسم إضافة إلى حصول ضعف في حركة عضلات الوجه في أحد الجزئين
  • صعوبة الكلام مثل: ثقل اللسان, عدم وضوح مخارج الحروف, عدم فهم الكلام الموجة للمريض, عدم استطاعة المريض التعبير عن مشاعره, صعوبة القراءة والكتابة.
  • أعراض بصرية مثل: فقد الرؤية في إحدى العينين مؤقتا أو ضعف النطاق البصري في الجزء الأيمن أو الأيسر من مجال الرؤية.
  • عندما تكون الجلطة في جذع الدماغ فقد يصاحبها شعور المريض بغثيان مفاجئ وصداع ونقص في الوعي بالإضافة إلى الإحساس بالدوران وإحولال النظر المفاجئ . وعلى كل فأعراض الجلطات كثيرة, ولكن أوضحنا أبرزها في هذة العجالة.

الأسباب

  • انسداد شريان في أحد أجزاء الدماغ. وعندما يتوقف وصول الدم إلى نقطة معينة في الدماغ فإن خلايا هذi المنطقة تموت في غضون دقائق إذا لم يتم فتح هذا الانسداد.

الفسيولوجيا المرضية

التشخيص

يتم التشخيص عادتة من خلال وجود الاعراض السابقة الذكر من خلال الفحص السريري للمريض تم يقوم الطبيب بعل اشعه مقطعيه (C.T scan)حيث يتم التأكد من نوعيه السكتة او الجلطه هل هي نتيجه نزيف دموي او انسداد شرياني.

الاشعه المغناطيسية(MRI) وتكون دقيقه خاصه في الساعات الاولى. وهناك اشعه تعمل للمريض لمعرفه الاسباب مثل التصوير القلبي (echocardiogram) وتصوير الشريان السباتي في حالة وجود ضيق او انسداد (dopplar carotid), بالاضافه الى فحص الدم في حالة وجود اختلالات في عملية التخثر.

تجنب السكتة

العلاج

احتمالات التطور

إحتمالية الوفاة مع جلطة الدماغ

من الصعب إعطاء إجابة دقيقة ولكن بصورة عامة وحسب الإحصائيات العالمية فإن حوالي 15% من المصابين بجلطة الدماغ نتيجة انسداد الشرايين يموتون نتيجة الإصابة في غضون الأيام الأولى. لو نظرنا إلى كل الذين عاشوا الجلطة وتابعناهم لوجدنا أن حوالي نصفهم سوف يشفون شفاء جيدا وأن حوالي النصف سوف يتبقى معهم بعض الإعاقات التي تتراوح بين متوسطة إلى شديدة. من المهم معرفة أن الشفاء بعد الجلطة يأخذ وقتا طويلا فهو يبدأ في الأسابيع الأولى ويزيد في خلال الأشهر الأولى ولكن قد يستغرق ستة أشهر وفي أحيان كثيرة يستغرق حوالي السنة. بالطبع هناك بعض المرضى الذين يسترجعون كافة وظائفهم في خلال ساعات أو أيام إذا كانت الجلطة من النوع البسيط.

إن الشفاء من الجلطة يعتمد على حجم منطقة الدماغ التي تأثرت وعلى موقع هذة الجلطة من الدماغ كما يعتمد على عمر المريض وصحته من ناحية وجود أمراض أخرى.


الانتشار Epidemiology

التاريخ

المصادر

وصلات خارجية