سرطان الرئة

(تم التحويل من Lung cancer)
سرطان الرئة
Cancerous lung.jpg
Cross section of a human lung. The white area in the upper lobe is cancer; the black areas are discoloration due to smoking.
التبويب والمصادر الخارجية
التخصصعلم الأورام, طب الصدر
ICD-10C33.-C34.
ICD-9-CM162
DiseasesDB7616
MedlinePlus007194
eMedicinemed/1333 med/1336 emerg/335 radio/807 radio/405 radio/406
Patient UK

فشل عرض الخاصية P1461: لم يتم العثور على الخاصية P1461.

سرطان الرئة
MeSHD002283
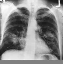
Chest radiograph showing lung cancer.

سرطان الرئة أحد أمراض الرئة التي تتميز بحدوث انقسامات خلوية غير مضبوطة للخلايا الحية ، و قدرة هذه الخلايا المنقسمة على غزو النسج الأخرى الرئه و الانتشار فيها ، إما عن طريق نمو مباشر باتجاه نسيج مجاور أو الإنتقال و غزو أنسجة بعيدة في عملية نطلق عليها اسم النقيلة.

سرطان الرئه ;الصدر بالاشعه السينيه تبين ورم سرطاني في الرئه اليسرى

سرطان الرئه هو أكثر السرطانات شيوعاً في العالم ( بعد سرطان الجلد ) والمسبّب الأكثر للوفاة بأمراض السرطان[1]

التصنيف

Frequency of histological types of lung cancer[2]
Histological type Frequency (%)
Non-small cell lung carcinoma 80.4
Small cell lung carcinoma 16.8
Carcinoid[3] 0.8
Sarcoma[4] 0.1
Unspecified lung cancer 1.9

Non-small cell lung carcinoma (NSCLC)

Sub-types of non-small cell lung cancer in
smokers and never-smokers
[5]
Histological sub-type Frequency of non-small cell lung cancers (%)
المدخنون غير المدخنين أبداً
Squamous cell lung carcinoma 42 33
Adenocarcinoma Adenocarcinoma (not otherwise specified) 39 35
Bronchioloalveolar carcinoma 4 10
Carcinoid 7 16
غيرهم 8 6

الأسباب

أسباب الإصابة بسرطان الرئه (والسرطان عموما) تشمل المسرطنات (مثل تلك الموجودة في دخان التبغ) ، الاشعاعات المؤينه ، والعدوى الفيروسية. وهذا التعرض التراكمي لاسباب التغيرات إلى الحامض النووي في أنسجه بطانة القصبات من الرئتين (الظهاره الشعب الهوائية). كما يصبح أكثر الأنسجه التّالفة ، في نهاية المطاف يتطور سرطان الرئة.

التدخين

Following an increase in smoking in the population, the rate of lung cancer death increases. Source: NIH.

يعتبر التّدخين، وخاصّة السّجائر، المساهم الرّئيسي في الإصابة بسرطان الرئة إلى حدّ بعيد. في الولايات المتحدة ، تشير التقديرات إلى أنّ التّدخين يتسبّب في 87 ٪ من حالات سرطان الرئه (90 ٪ عند الرجال و 85 ٪ عند النساء). خطر الإصابة بسرطان الرئة عند الذّكور المدخّنين يمثّل 17،2 ٪، أمّا عند الإناث المدخّنات ، فالخطر هو 11،6 ٪.

هذا الخطر أقلّ من ذلك بكثير عند غير المدخّنين : 1،3 ٪ عند الرجال و1،4 ٪ عند النساء.

دخان السّجائر يحتوى على أكثر من 60 مسرطنات معروفة مثل النظائر المشعّة من الرادون سلسلة الاضمحلال ، والبنزوبيرين. . بالإضافة إلى ذلك ، يبدو أن النّيكوتين يؤدّي إلى كساد الإستجابة المناعيّة للتطوّرات الخبيثة في النسيج. طول وقت تدخين الشّخص وكذلك الكمّيّة المدخّنة تزيد من فرص الإصابة بسرطان الرئة. إذا توقّف الشّخص عن التّدخين، هذه الفرص تتناقص باطراد إذ أنّ الضّرر بالرّئتين يتصلّح كما أنّ الجسيمات الملوّثة تبدأ بالزّوال تدريجيا.

في العالم المتقدّم ، ما يقرب من 90 ٪ من الوفيات بسرطان الرئه تنجم عن التّدخين. إضافة إلى ذلك، هناك دلائل على أنّه يمكن توقّع أسهل و أدقّ للإصابة بسرطان الرّئة عند غير المدخّنين ممّا هو عليه عند المدخنين كما أنّ المرضى الّذين يدخّنون في وقت التّشخيص يكون لديهم فرص أقلّ للبقاء على قيد الحياة من الّذين يقلعون عن التّدخين .

التشخيص

مسح مقطعي يظهر ورم سرطاني في الرئة اليسرى

العلاج

الجراحة

Gross appearance of the cut surface of a pneumonectomy specimen containing a lung cancer, here a squamous cell carcinoma (the whitish tumor near the bronchi).

انظر أيضاً


مصادر

  1. ^ tabib
  2. ^ خطأ استشهاد: وسم <ref> غير صحيح؛ لا نص تم توفيره للمراجع المسماة Travis
  3. ^ Morandi, U (2006). "Bronchial typical carcinoid tumors". Seminars in Thoracic and Cardiovascular Surgery. 18 (3): 191–198. doi:10.1053/j.semtcvs.2006.08.005. PMID 17185178. {{cite journal}}: Unknown parameter |coauthors= ignored (|author= suggested) (help)
  4. ^ Etienne-Mastroianni, B (2002). "Primary sarcomas of the lung: a clinicopathologic study of 12 cases". Lung Cancer. 38 (3): 283–289. doi:10.1016/S0169-5002(02)00303-3. PMID 12445750. {{cite journal}}: Unknown parameter |coauthors= ignored (|author= suggested) (help); Unknown parameter |month= ignored (help)
  5. ^ Bryant, A (2007). "Differences in epidemiology, histology, and survival between cigarette smokers and never-smokers who develop non-small cell lung cancer". Chest. 132 (1): 198–192. doi:10.1378/chest.07-0442. PMID 17573517. {{cite journal}}: Unknown parameter |coauthors= ignored (|author= suggested) (help); Unknown parameter |month= ignored (help)
  6. ^ Arabic Oncology

وصلات خارجية

الكلمات الدالة: