سرطان الحويصل الصفراوي

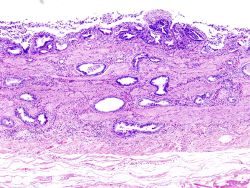
صورة نسيجية تظهر سرطانة غددية في الحويصل الصفراوي

سرطان الحويصل الصفراوي إنگليزية: Gallbladder cancer من السرطانات نادرة الحدوث، له توزع جغرافي مميز حيث أنه يكثر حدوه في أمريكا الوسطى وأمريكا الجنوبية كما أنه منتشر في وسط و شرق أوروبا و اليابان و شمال الهند. بالإضافة إلى توزعها الجغرافي؛ يلاحظ أن العرق له دور في تحديد قابلية الإصابة بسرطان الحويصل الصفراوي حيث إن العرق الأمريكي الأصلي والهسباني أكثر عرضة للإصابة [1]، يمكن الشفاء من المرض عبر استئصال الحويصل الصفراوي إذا ما تم اكتشاف المرض مبكراً. إلا أن الاكتشاف المبكر صعب و قليل الحدوث.

أكثر الأعراض ظهوراً في سرطان الحويصل الصفراوي؛ ألم البطن و اليرقان والقيء، ويمكن للسرطان أن يمتد إلى الكبد والأعضاء المحيطة به.

لوحظ أن التكون المتكرر للحصى الصفراوية وبقاءها لفترة طويلة يسبب تكلس جدار الحويصل الصفراوي محدثاً ما يعرف بتخزف المرارة أو "الحويصلة الخزفية" التي تظهر في صور الأشعة التقليدية. و قد أظهرت بعض الداسات أن تخزف المرارة يزيد من احتمالية حدوث سرطان الحويصل الصفراوي. غير أن بعض الدراسات شككت في صدق هذه العلاقة.

معظم هذه السرطانات من النوع الغدي إلا أن بعضها يكون سرطانة خلايا حرشفية، عادة ما يهاجم السرطان أعضاء الكبد و المعدة والبنكرياس والإثني عشر.

عوامل الاختطار

  • الجنس: نسبة حدوث المرض لدى الإناث تبلغ ضعفي نسبة حدوثه عند الذكور.
  • العمر: الفئة العمرية بين 50 - 60 عاماً هم الأكثر عرضة لهذا النوع من السرطان.
  • السمنة: تساهم زيادة الوزن في زيادة احتمالية حدوث السرطان.
  • التهاب المرارة
  • حصاة صفراوية

الأعراض

قد تشابه الأعراض التهاب المرارة في بداية المرض، و لكن مع تطور السرطان تظهر عدد من الأعراض منها:

التشخيص

التشخيص المبكر غير متوفر عموماً، المرضى ذوو عوامل الاختطار كالنساء من العرق الأمريكي الأصلي والمصابات سابقاً بحصاة صفراوية أو التهاب المرارة يتم متابعتهم بشكل حثيث عبر االخطيط فوق صوتي. كما يمكن استخدام التصوير بالرنين المغناطيسي أو التصوير الطبقي المحوسب لتشخيص سرطانات الحويصل الصفراوي.

العلاج

إن أكثر طرق العلاج نجاعة و شيوعاً هي استئصال الحويصل الصفراوي جراحياً مع جزء من الكبد و العقد اللمفاوية المحيط بالورم، إلا أن مآل سرطان الحويصل الصفراوي سيء بشكل عام وفرص الشفاء منه قليلة، معظم المرضى يموتون خلال العام الأول بعد الجراحة.

إذا كانت الجراحة متعذرة؛ توجب فتح انسداد القناة الصفراوية، وقد يلجأ الطبيب المعالج إلى العلاج الكيماوي أو الشعاعي بالإضافة للجراحة. [2]

أنظر أيضا

مراجع

  1. ^ Kapoor VK, McMichael AJ. Gall bladder cancer – an Indian disease. National Medical Journal of India 2003; 16: 209-213
  2. ^ Kapoor VK. Incidental gall bladder cancer. American Journal of Gastroenterology 2001; 96: 627-629
الكلمات الدالة: