انتباذ بطاني رحمي
التهاب بطانة الرحم مرض يصيب الجهاز التناسلي للأنثى تقوم فيه مجموعات أو عناقيد من خلايا بطانة الرحم بمهاجمة مناطق أخرى من الجسم. والمناطق الأكثر تعرضًا للإصابة بهذا المرض هي في الغالب المبيضان وجدار الحوض والتجاويف البطنية. وغالبًا ما يصيب هذا المرض النساء اللواتي تتراوح أعمارهن بين 20 و 40سنة ولم يحملن في السابق، ويعانين آلامًا حادة ناتجة عن الطمث.
ويعتقد معظم الأطباء بأن مرض التهاب بطانة الرحم ينتج عادة عندما يتدفق الدم الناتج عن الطمث من الرحم عائدًا إلى الحوض والتجاويف البطنية كل شهر. هذا الدم عادة مايحتوي على مجموعات من الخلايا الرحمية التي بإمكانها الالتصاق بالأعضاء أو الأربطة، أو بجدران التجاويف. ويتم تحفيز هذه العناقيد الرحمية على النمو وذلك من قبل هورمون الأستروجين، وهو الهورمون الذي يحفز النمو الشهري لبطانة الرحم. واعتمادًا على موضع هذه العناقيد، تحدث أعراض ناتجة عنها مثل تضخم المثانة أو حدوث الألم عند الجماع أو تشنجات حادة عند حدوث الطمث (الدورة الشهرية). وهذا المرض يؤدي إلى إتلاف المبيض وغيره من الأعضاء التناسلية مما ينتج عنه صعوبة في الإخصاب. انظر: عدم الخصوبة. وقد لايحتاج مرض التهاب بطانة الرحم غير الحاد إلى أي علاج حيث يعمد الأطباء إلى معالجة المرض في مثل هذه الحالة بالهورمونات التي قد توقف المرض. أما الحالات الحادة فيتم معالجتها باستخدام الجراحة. وتنحصر الجراحة في إزالة العناقيد الرحمية إذا كانت المرأة ترغب في الإنجاب أو الحمل. أما المرأة التي لاتريد الإنجاب أو الحمل، أو تلك التي تجاوزت مرحلة الإنجاب فتخضع لعملية استئصال الرحم.
الانتباذ البطاني الرحمي (باللاتينية: endometriosis) مرض حميد و لكن يتسبب بآلام مزمنة و شديدة، و يتمثل هذا المرض بوجود انسجة شبيهة ببطانة الرحم خارج الرحم حيث تنمو تلك البطانة على جانبي تجويف الرحم ، لتمتد إلى قناتي فالوب ثم المبيضين، أو إلى عنق الرحم مسببة التهابات ثم التصاقات و آلالاماً حوضية دورية، كذلك فان هذه الانسجة المهاجرة تسلك سلوك الغشاء المخاطي المبطن للرحم، فهي تستجيب للهرمونات التي يفرزها المبيض، وكما هو معروف فإنه في نهاية الشهر تنخفض نسبة هذه الهورمونات في الدم مما يؤدي إلى إضمحلال الأنسجة المبطنة للرحم وخروجها على هيئة دم الدورة الشهرية، ولكن تلك الموجودة خارج الرحم فإنها تنتفخ في نفسها لأنها لا تجد طريقاً للخارج وقد تسبب إفرازات تؤدي بدورها إلى حدوث إلتصاقات داخل الحوض، كما قد تكوْن أكياساً مليئة بالدم وخاصة بالمبيض وتسمى ب"أكياس الشوكولاته" . والإندومتريوزيس مرض يتطور بمرور الوقت وقد يعاود الحدوث بعد العلاج القصير ولهذا يجب معالجته بطريقة حيوية وفعالة وفي الوقت المناسب.
أسبابه
ِِِ لا يعرف السبب في هذا المرض حتى الآن على وجه التحديد، وكل ما هو معروف هو مجرد نظريات وإفتراضات لم تثبت صحتها بعد على وجه اليقين. ومن هذه النظريات :
- 1- خلل طارئ في جهاز المناعة.
- 2- اختلال في افرازات بعض الهرمونات .
- 3- خروج دم الحيض بعكس مجراه الطبيعي من خلال قناتي فالوب ونزوله في تجويف الحوض وخاصة على المبيضين وخلف الرحم.
- 4-ما بعد عمليات تنظيف و جرف جوف الرحم ( الكرتاج)
- 5- هناك نظرية أخرى تقول باحتمالية الاصابة بهذا المرض بسسب افرازات هرمونية من جوف الرحم تتنتقل إلى اماكن خارج الرحم و بسبب تأثيرها الهرموني تحرض انسجة اخر على التحول إلى انسجة شبيهة لتلك المبطنة لجوف الرحم.
- 6- تلعب الوراثة دورا كبيرا في هذا المرض، فنسبة الاصابة أعلى عند النساء اللواتي عندهن ام أو اخت مصابة.
- 7- حؤول حيث يعتقد بأن خلايا بطانة الرحم تنمو في الأماكن الخاطئة من الخلايا الجنينية لتجويف البطن .
الية حدوث المرض
يوجد نظريتين مختلفتين :
النظرية الأولى
و هي الأكثر واقعية و منطقية وتقول أنه و بسبب ما يعرف بالحيض الرجعي اي الرجوع العكسي لدم الدورة الشهرية بعكس مجراه الطبيعي فبدلا من خروجه من عنق الرحم ثم المهبل و منه إلى خارج الجسم يسلك طرقا معاكسا عبر قناتي فالوب إلى منطقة خلف الرحم وأحيانا إلى مناطق ابعد فقد تصل للأمعاء الدقية و القولون و يحمل هذا الدم معه كل ما يحتويه من خلايا بطانة الرحم فتتحرك خلايا بطانة الرحم إلى الجسم و تلتصق بأجزاء أخرى مثل المبايض، المثانة، الأمعاء.
و تبدأ بعد ذلك تلك الخلايا تستجيب لهرمون البروجستيرون و الإستروجين مثلها مثل خلايا بطانة الرحم الطبيعية الموجودة بالرحم. فتنتفخ و تمتلأ بالدم عند ارتفاع معدل الهرمون بالدم وتنمو و يزداد سمكها في مرحلة ما قبل الطمث و عندما يقل مستوى الهرمون و وقت نزول دم الدورة الشهرية تبدأ تلك الخلايا النزيف مما يؤدي إلى حدوث التهابات و التصاقات في تجويف الحوض و البطن مكان تواجدها وفي بعض الأماكن التي لا يتم فيها النزف تبقي هذه الاكياس مغلقة على نفسها مملوءة بدم بني اللون و يزداد حجمها تدريجيا في بعض الاحيان تتسبب فب اغلاق قناتي فالوب و تسبب بألام شديدة .
النظرية الثانية
و تقول بأن طبقة الخلايا المحيطة بالمبايض و الخلايا الخارجية المحيطة بالرحم و خلايا أخرى لديها الاستعداد الوراثي وتحت تأثير بعض الهرمونات إلى التغير و التحول إلى خلايا بطانة الرحم فتكون تماما مثل نسيج بطانة الرحم .
المراحل العمرية للاصابة بالمرض و انتشاره
كان يعتقد دائما بأن هذا المرض يصيب هذا المرض السيدات في السن من 30-40، ولكن لاحقا لوحظ بأن هذا المرض لا يمكن ان يحدث في جميع المراحل العمرية بعد البلوغ و حتى سن اليأس بنسب متفاوتة و متوسط السن الذي يتم تشخيص المرض فيه هو 27 عاما ، أمافي مرحلة ماقبل البلوغ و في ما بعد انقطاع الدورة الشهرية (سن اليأس) فلا نلاحظ وجود هذا المرض حيث ينخفض افراز الهرمونات التي تحفّز خلايا جدار الرحم المخاطية كذلك تلك الخلايا المهاجرة المسببة للمرض ولهذا تضمر تلك الأنسجة و تتلاشى .
يوجد هذا المرض عند حوالي 55-60% من النساء اللواتي يعانين من ألام شديدة و مزمنة في منطقة الحوض ، في حين تكون نسبته بين 20-45% من السيدات اللواتي يعانين من تأخر الحمل، و تكون نسبته بين 15-18% من السيدات اللائي ليس عندهم أي شكاوى .
الأعراض
من الناحية الجسدية
- - قد يكون تأخر الحمل أو العقم هو العارض الرئيسي للمرض في حوالي 70% من الحالات
- -الشعور بآلام داخلية أثناء ممارسة الجنس .
- - إضطرابات الدورة الشهرية.
- - نزول الدورة الشهرية بغزارة .
- - الآلام أثناء الدورة الشهرية : يبدأ الشعور بالآلم في الأيام القليلة قبل بدء الدورة الشهرية ويستمر خلال نزول الدورة وقد يزداد الألم أثناءنزول الدورة، و تكون هذه الألام مختلفة عن الآلام العادية المصاحبة للدورة الشهرية .
- - الشعور بالألم وظهور الدم أثناء التبرز أو التبول أثناء حدوث الدورة، وفي هذه الحالة وعند خروج الدم مع البول يكون جدار المثانة مصاب بهذا المرض اما عند خروجه مع البراز يعني باصابة الامعاء الدقيقة أو القولون.
- - و في بعض الحالات القليلة لا يوجد اي آلام أو شكاوى تذكر عند المريضة .
من الناحية النفسية
لوحظ بأن هذا المرض يزيد من نسب حدوث بعض الأعراض النفسية مثل:
- - الإكتئاب والشعور بالضيق
- - نقص في الرغبة الجنسية نتيجة الشعور بالألام الداخلية أثناء أو بعدالجماع
- - الشعور بالذنب تجاه الشريك
الأماكن الأكثر اصابة بالمرض
- 1- السطح الخارجي للمبيض أو بداخله
- 2- الأربطة الخلفية للرحم
- 3- السطح الخارجي للرحم
- 4- قناتي فالوب
- 5- المثانة
- 6- الأمعاء الدقيقة أو القولون
- 7- على أي جزء من أجزاء الحوض
- 8- كما يمكن ان تظهر في حالات قليلة جدا في الحجاب الحاجز و الرئة و الجلد .
تأثير الانتباذ البطاني الرحمي على تأخر الحمل
يقسم المرض إلى اربع درجات رئيسية حيث يتسبب المرض وخاصة في درجاته الثالثة والرابعة في حدوث إلتصاقات بالحوض وخاصة حول قناتي فالوب مما يعيق إلتقاف البويضة بعد خروجها من المبيض وكذلك حركة البويضة داخل قناة فالوب بعد إلتقاطها مما يؤدي إلى تأخر الحمل. أماعن المرض في درجاته الأولى و الثانية ففي حين يعتقد البعض ان لا تأثير لها يذكر يعتقد اخرون أنها تسبب تأخر الحمل لأسباب عدة مثل تغيير المناخ والبيئة المحيطة بالبويضة بعد خروجها من المبيض . وفيما يبدو تأكيدا للرأي الثاني أكدت بعض الأبحاث مؤخراً أن معالجة الدرجة الأولى والثانية للمرض باستخدام الكي الحراري أو بالليزر من خلال المنظار يرفع من نسب إحتمالات الحمل ممن لم يعالجوا مما يرجح وجود علاقة بين هذا المرض بجميع درجاته وبين تأخر الحمل . ولكن يجب اخذ الأسباب الأخرى بعين الاعتبار و كخطوة أولى لتأخر الحمل قبل أن نرد السبب للدرجة الأولى والثانية من المرض. و في حالة اصابة المبيض بهذا المرض قد يسبب أيضا بتأخر الحمل و في بعض الحالات المتقدمة من المرض إلى العقم و ذلك لتأثيره على التطور الطبيعي للبويضات داخل المبيض
تأثير المرض على حدوث الاباضة و احتباس البويضة
تنمو البويضات فب المبيض تحت تأثير هرموني FSH , LH اللذان يفرزان من الغدة النخامية و لذلك بعد اثارتها من منطقة الوطاء بهرمون ال GnRH و عندما عندما تتكون البويضة تفرز هرمونالاستروجين ويبدأ ارتفاع هذا الهرمون في الدم تدريجياً. وفي هذه الفترة تكون واحدة من البويضات مستعدة للنضوج أكثر من سواها وتبدأ بالنمو بسرعة وتفرز هرمونالاستروجين بكمية أكبر. إن ارتفاع نسبة هذا الهرمون يقلل من إفرازFSH & LH، و ان هذه البويضة تستمرفي النمو لأنها تكون معتادة على النمو رغم قلة إفراز هرمونFSH وفي الغالب تكون هذه هي البويضة الناضجة التي يكون لديها استعداد للإخصاب. إن ارتفاع نسبة هرمون الاستروجين يساعد على نضوج البويضةأكثر وأكثر وكذلك يساعد على نمو بطانة الرحم، و بسبب الارتفاع المفاجئ لهرمون LH في اليوم الثاني عشر من بدأ الدورة تنفصل البويضة عن المبيض في اليوم الرابع عشر من بدأ الدورة و التي تساعد اهداب قناة فالوب بدخولها للقناة و في هذه الحالة في حال و جود الانتباذ البطاني الرحمي في قناتي فالوب فان ذلك يعيق من حركة البويضة داخل القناتين و في بعض الاحيان لا تستطيع البويضة الخروج من الحويصلة حتى بعد نضوجها و"تحتبس" داخل الحويصلة، وبالتالي لا تكتمل مرحلة التبويض إلى النهاية.
التشخيص
الكشف الطبي
قد يجد الطبيب أثناء الكشف الطبي حبوب صغيرة في منطقة الحوض ،و تكون مؤلمة عند الضغط عليها، و قد يجد أيضا تكتلات masses في المبايض .
التحاليل و الفحوصات
لا يمكن الاعتماد على الأعراض و الفحص الطبي فقط لتشخيص مرض بطانة الرحم الهاجرة. فهناك أمراض أخرى تسبب نفس الأعراض. لذلك يجب القيام ببعض الفحوصات لتأكيد تشخيص المرض.
اخذ عينة
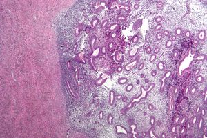
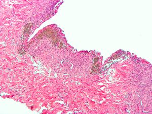
يعتبر من أهم وسائل تشخيص المرض. يتم إدخال منظار من خلال شق صغير في البطن ( laparoscopy ). و يتم أخذ عينة من النسيج المتوقع انه من بطانة الرحم. و يمكن أن يتم ذلك بدون استخدام المنظار، لكن تحتاج إلى شق جراحي كبير (laparotomy ). ثم يتم بعد ذلك فحص العينة المأخوذة تحت الميكروسكوب بواسطة أخصائي الأمراض لتحديد إذا كانت خلايا من بطانة الرحم أم لا.
فحص الدم
يوجد نوع معين من البروتين يسمى CA125 يرتفع معدله في الحالات المتقدمة من المرض. لكن لا يمكن الاعتماد علي هذا التحليل في تشخيص المرض لأنه يرتفع في أمراض أخرى مثل سرطان المبيض. كذلك لا يشخص المرض في المرحلة المبكرة له. و تكمن فائدة ذلك التحليل فقط في أنه يمكن استخدامه لمتابعة استجابة المريضة للعلاج.
الرنين المغناطيسي MRI
يكشف وجود التصاقات حول المبيض. و يمكن أن يظهر وجود أنسجة بطانة الرحم و أكياس من الدم في الأمعاء، المثانة. الموجات فوق الصوتية المهبلية ( الألتراساوند المهبلي ) Vaginal Ultrasound: يمكن أن يظهر وجود أكياس دموية على المبيضين
العلاج
هناك طرق عديدة للعلاج منها العلاج بالهرمونات والعلاج الجراحي. واختبار الطريقه المناسبه لكل حالة يعتمد عــلي سـن المريضه، و درجة إنتشار المرض، ورغبة المريضه في الحمل و هنا يجب الذكر انه لا يوجد علاج شافٍ نهائياً للانتباذ البطاني الرحمي وانما يتمثل العلاج في تخفيف أعراض المرض و هناك خيارات عديدة للعلاج يحدد الطبيب المعالج العلاج المناسب تبعا لحالة المريضة.
الرعاية المنزلية
في بعض السيدات تساعد التمارين الرياضية على تخفيف الألم المصاحب للمرض. و لم تتوصل الأبحاث بعد لعلاقة التمارين الرياضية بتقليل الألم.
العلاج الدوائي
ويعتمد العلاج الدوائي على تقليل مفعول هرمون الأستروجين حتى يؤدي إلى ضمور خلايا البطانة المنتبذة وذلك من خلال وضع الجسم في شبه حالة حمل أو سن يأس مؤقت و ذلك عن طريق :
حبوب منع الحمل
كانت إحدى أول وسائل علاج هذا المرض خاصة لو أخذت بشكل متصل لمدة 6 أشهر، أي بدون توقف كما هو معروف، وكانت الفكرة من استعمالها بهذه الوسيلة هو إيقاف الدورة الشهرية، ورغم أن نتائج العلاج كانت متواضعة إلا أن عدم توفر بديل آخر لهذه الوسيلة الانتشار.
هرمون البروجيسترون
يوصف هذا الهرمون في صورة حبوب بالفم أو في صورة حقن لفترات علاج طويلة ولكن نتائجه بقيت متواضعة كذلك. ان الجرعات العالية من هذا الهرمون تدخل الجسم في مرحلة تشبه حالة الحمل من حيث تركيز الهرمون بالدم فتتوقف الدورة الشهرية و بسبب توقف الدورة الشهرية فإن النسيج البطانى الرحمي الموجود في غير مكانه الطبيعي يتوقف عن النزيف و تدريجيا ينكمش ويموت .
مجموعة البروجستوجينات تتضمن عدداً من الأدوية مثل :
نورإثيستيرون ، مدروكسى بروجستيرون أسيتات .
هذه المجموعة قد تسبب أثارا جانبية تشبه الأثار السابقة للدورة الشهرية مثل احتباس الماء وتقلبات المزاج بسبب تغيرات الحالة النفسية ، رغم أن التأثير الأكثر شيوعاً هو النزيف المتقطع المفاجئ وزيادة الوزن وانتفاخ البطن .
عقار الدانازول Danazol
ويعد هذا العقار أحد مشتقات هرمون الذكورة(التستوسيترون)الضعيفة الذي يؤدي إلى توقف التبويض عن طريق تثبيط نشاط هرمونات الدماغ، ونظراً لذلك فإن بطانة الرحم الطبيعية والمتنبذة على السواء ستتوقف عن النمو نتيجة انقطاع هرمونات المبايض، ثم تبدأ أماكن الانتباذ البطاني الرحمي بالحوض في الانكماش والضمور ثم الاختفاء، ويؤدي هذا العلاج إلى توقف الدورة الشهرية مؤقتاً عند استعماله، وقد أثبتت الأبحاث أن هذا العقار يعمل على مراكز الدماغ، كما يعمل على بقع بطانة الرحم المنتبذة، حيث يعطى هذا العلاج لفترات تتراوح بين 6- 12 شهرا. من الممكن أن يسبب بعض الآثار الجتنبية مثل حب الشباب ويجعل البشرة دهنية ، وأحمرار الوجه مع سخونة ، زيادة في الوزن وإحتباس السوائل أحياناً ، أحياً يحدث للمرأة نمو شعر في مناطق غير مرغوب فيها (الذقن) و غلظة في الصوت ، هذه الأعراض عادة تختفي عندما يتوقف العلاج الذي يتمر لمدة من 2-9 شهور .
مماثل محرر هرمونات التناسل Gn-RH-Agonists
ويعد هذا العقار أحدث وسائل العلاج المكتشفة والفعالة وقد بدأ استخدامه منذ منتصف الثمانينات، ويعمل ضد هرمونات غدة تحت المهاد التي تفرز هرموناتها لتحفيز الفص الأمامي من الغدة النخامية وتبعاً لذلك تتوقف عن إفراز هرمونات موجهة القند (منبه الجريب FSH واللوتين LH) مما يؤدي إلى توقف التبويض ومن ثم توقف الدورة ثم أخيراً ضمور بطانة الرحم المنتبذة، ولقد ثبت أن هذا العقار يؤدي إلى نتائج أفضل كثيراً من عقار الدانازول ولكنه يفوقه في أنه لا يسبب أعراضاً شديدة للمريضة، كما أنه يؤخذ عن طريق الحقن تحت الشحم مرة كل 28 يوماً وبالتالي، فهو يناسب السيدات اللاتي يعانين من آلام بالمعدة، يمكن كذلك إعطاء العقار بالاستنشاق عن طريق الأنف، وفي كل الأحوال يعطى العلاج لمدة 6-9 أشهر.
إن مماثلات الGnRH ممكن أيضاً أن تسبب اثار جانبية معظمها مماثلة لما يحدث عند سن اليأس ، وتتضمن أحمرار الوجه مع سخونة ، جفاف المهبل ، وتغيرات في المزاج ، من الممكن أن يكون هناك أيضاً فقدان طفيف في الكالسيوم من العظام ولكن يعود إلى حالته الطبيعية بعد انتهاء العلاج .
العلاج الجراحي
فيتم اللجوء إليه بعد فترة من العلاج الهرموني أو لوجود أكياس دموية على المبيض أو لفك الالتصاقات أو لكي البطانة المنتبذة. فتح البطن ممكن عمله لإزالة الأنسجة الكبيرة أو لفصل الألتصاقات ، فتح البطن عملية جراحية موسعة أكبر من تنظير البطن لأن الجراح سيحتاج إلى عمل فتحة كبيرة في البطن ، أكثر من ذلك الجراحة الجذرية التي تتضمن استئصال الأنسجة البطانية الرحمية المغروسة بالإضافة إلى واحد أو أكثر من الأعضاء التناسلية ، ممكن أن تكون ضرورية إذا كان المرض مستفحلاً .
اليوم أعداد كبيرة من النساء يرغبن بالاحتفاظ بالمبيضين ويطلبن فقط لإزالة الرحم . وبما ان المبيضين يفرزان أيضاً الأستروجين الذي يساعد على نمو نسيج الأندرومتريوزس ، فإن من الممكن بالضرورة أن يستأصل الطبيب المبيضين أيضاً ، بعد استئصال المبيضين غالباً يوصف الطبيب للمريض العلاج الهرموني التعويضي ، وهذا يساعد على التحكم في أعراض سن اليأس المبكرة التي تحدث نتيجة فقدان المبيضين .
جراحات شق البطن
شق البطن عمل ممكن لإزالة الأنسجة الكبيرة أو لازالة الألتصاقات ، وهي عملية جراحية موسعة أكبر من تنظير البطن لأن الجرّاح سيحتاج إلى عمل فتحة كبيرة نسبيا في البطن ، أكثر من ذلك الجراحة الجذرية التي تتضمن استئصال الأنسجة البطانية الرحمية المغروسة في بعض الأحيان يجب استئصال واحد أو أكثر من الأعضاء التناسلية إذا كان المرض "مستفحلاً".
اليوم أعداد كبيرة من النساء يرغبن بالاحتفاظ بالمبيضين ويطلبن فقط لإزالة الرحم . وبما ان المبيضين يفرزان أيضاً الأستروجين الذي يساعد على نمو نسيج الأندرومتريوزس ، فإن من الممكن بالضرورة أن يستأصل الطبيب المبيضين أيضاً ، بعد استئصال المبيضين غالباً يوصف الطبيب للمريض العلاج الهرموني التعويضي ، وهذا يساعد على التحكم في أعراض سن اليأس المبكرة التي تحدث نتيجة فقدان المبيضين .
جراحات المنظار
وتجرى جراحات استئصال أماكن الإصابة بالمرض حديثاً عن طريق منظار البطن بالإضافة لعمل كي بالحرارة أو الكهرباء لأماكن انتشار المرض ما أعطى نتائج أفضل بكثير من جراحات فتح البطن.
جراحات الـتنظير بالليزر
حيث بدأ تطبيق إجراء جراحات الليزر عن طريق المنظار في خلال السنوات الماضية في بعض المراكز المتخصصة بالعالم، ورغم أن هذه الوسيلة أثبتت فعاليتها الكبيرة في السيطرة على هذا المرض وعلاجه بشكل كبير وتعد حالياً العلاج الأمثل. وتعتمد فكرة العلاج على إدخال شعاع ضوئي إلى تجويف البطن من خلال المنظار، ويمتاز هذا الضوء عن أي نوع آخر بأنه يسير في خط مستقيم وله قدرة في القطع مثل مشرط الطبيب ولكن دون إسالة أي دم، وله كذلك قدرة عند تخفيف قوته إلى كي وحرق الأغشية مما يعني أن الطبيب يستطيع استئصال أماكن انتباذ بطانة الرحم الكبيرة والعميقة، كما يستطيع كي كل الإصابات السطحية.
العلاج المزدوج
فهنا يجمع الطبيب بين العلاج بالعقاقير والعلاج الجراحي مما يتيح للمريضة الاستفادة من مزايا كل من العلاجين، وفي هذه الوسيلة يصف الطبيب للمريضة جرعات من العلاج لفترة شهرين أو ثلاثة ثم يتبعها بالعلاج الجراحي وبهذا يسيطر على المرض ويقلص انتشاره بالعقاقير قبل أن يقضي عليه جراحياً ويمكن أن يساعد على حدوث الحمل.
أما استخدام تقنية أطفال الأنابيب يأتي في حالات عدم حدوث الحمل أو في حالات المرض الشديدة وذلك لتجنب تأثير المواد الكيميائية الناتجة عن البطانة المنتبذة على نوعية البويضة أو على انقسام الجنين أو تعلقه بالرحم.
العلاج الطبيعي
ثبت أن بعض العناصر الطبيعية والفيتامينات قد تساعد في السيطرة على هذا المرض خاصة عند تزويد الجسم:
- بكميات متزايدة تدريجياً من فيتامين (هـ) بدءاً من 4000 إلى 1000 وحدة يومياً.
- الأحماض الدهنية الأساسية 1.500 جم في اليوم.
- فيتامين (ب) المركب 3 مرات في اليوم.
- فيتامين (ج) قبل الأكل مرتين في اليوم.
- زنك 50 مجم في اليوم.
- كالسيوم 1.500 جم في اليوم.
- ماغنسيوم 10000 جم في اليوم.
- كميات من زيت حبة القمح بالإضافة إلى مجموعة متكاملة من الفيتامينات والمعادن.
أنظر أيضاً
- World Endometriosis Research Foundation
- Ovarian cyst (Endometrioid cyst)
المصادر
- الموسوعة المعرفية الشاملة
- تشخيص و علاج الانتباذ البطاني الرحمي
- ويكيبيديا الألمانية
- الجزيرة للصحافة و النشر
- كتاب الطب النسائي الداخلى اللغة الألمانية
- موسوعة المعرفة
