تاج (أسنان)

(تم التحويل من Crown (tooth))
التاج
Blausen 0863 ToothAnatomy 02.png
التاج موضح في يسار الصورة.
Details
Identifiers
اللاتينيةcorona dentis
MeSHD019228
TA98A05.1.03.009
TA2915
FMA55623
المصطلحات التشريحية
1. السن 2. المينا 3. Dentin 4. Dental pulp ::5. cameral pulp ::6. root pulp :7. Cementum :8. التاج ::9. Cusp ::10. Sulcus :11. Neck :12. الجذر ::13. Furcation ::14. Root apex :::15. Apical foramen 16. Gingival sulcus
17. Periodontium
:18. Gingiva: ::19. free or interdental ::20. marginal ::21. alveolar :22. Periodontal ligament :23. Alveolar bone 24. Vessels and nerves: :25. dental :26. periodontal :27. alveolar through channel

في طب الأسنان التاج (crown)، هو الجزء المرئي من السن فوق حافة اللثة، وهو مكون أساسي في تشريح الأسنان. يُغطى التاج بالمينا، ويلعب دوراً أساسياً في تقطيع الطعام وتمزيقه وطحنه. يختلف شكله وبنيته باختلاف نوع السن ووظيفته (القواطع، الأنياب، الضواحك، أو الأضراس)، ويختلف بين الأسنان اللبنية والأسنان الدائمة. كما يُسهم التاج في جمال الوجه، وتحسين النطق، وصحة الفم.


التاج التشريحي مقابل التاج السريري

The anatomical crown refers to the portion of the tooth covered by enamel, regardless of whether it is visible. The clinical crown is the part of the tooth that is visible in the mouth. In a healthy young adult, the gums typically follow the contour where enamel meets the root, so the clinical and anatomical crowns are similar in size. However, with age or periodontal disease, this may change.[1]

مصطلحات أسطح الأسنان

To describe the location and orientation of the crown's surfaces, dental professionals use several standard terms.

The surface of the tooth that faces the lips or cheeks is referred to as the facial surface. In anterior teeth, such as incisors and canines, this surface is more specifically known as the labial surface, while in posterior teeth, such as premolars and molars, it is termed the buccal surface.[1]

The lingual surface is the side of the tooth that faces the tongue. In the upper jaw or maxillary arch, this surface may also be referred to as the palatal surface due to its proximity to the palate.[1]

The occlusal surface is the chewing surface found on posterior teeth (premolar and molars), whereas anterior teeth have an incisal edge, which is a sharp cutting edge used for biting.[1]

The sides of a tooth that make contact with neighbouring teeth are called proximal surfaces. If the surface faces toward the midline of the dental arch, it is known as the mesial surface. Conversely, if it faces away from the midline, it is termed the distal surface.[1]

وظيفة التاج

The crown contributes to multiple functions, including mastication, speech, aesthetics, and protection of supporting oral structures. Incisors, positioned at the front of the mouth, have sharp edges for cutting food and aiding in speech. Canines have pointed cusps to tear food and support the bite. Premolars combine tearing and grinding functions, while molars, with their broad surfaces, are specialised for crushing and grinding food.[2]

بُنية التاج التشريحي

The anatomical crown refers to the portion of a tooth covered by enamel, it includes three main layers: enamel, dentine, and the pulp chamber.[3]

المينا

Enamel is the outermost and hardest tissue in the human body.[4] It consists of approximately 96% inorganic material, primarily in the form of carbonated hydroxyapatite crystals, with the remainder composed of organic matrix and water.[5] Its main function is to protect the underlying dentine and aid in food breakdown through mastication.[6]

Enamel is formed during amelogenesis, a two-stage process beginning with the secretion of an organic matrix by ameloblasts near the dentinoenamel junction (DEJ).[5] Once mineralisation reaches 96%, enamel formation is complete, and no further deposition occurs due to the degeneration of ameloblasts.[7][5]

At the microscopic level, enamel has a complex structure composed of enamel rods and interrod enamel, arranged in a prism-like pattern which contributes to its density and mechanical strength.[5]

Figure 2: Rows of hydroxyapatite embedded in a protein matrix in enamel

Dentine

Dentine lies beneath the enamel and forms the bulk of the anatomical crown. It supports the enamel and protects the innermost pulp chamber.[7][6] Composed of 70% inorganic material, 20% organic matrix (mainly collagen), and 10% water, dentine is resilient and capable of absorbing functional stresses.[8]

The structure of dentine includes dentinal tubules that extend from the enamel-dentine junction to the pulp. These tubules are surrounded by peritubular and intertubular dentine, contributing to its mechanical properties and sensitivity.[5][8]

Figure 3: X1000 magnification of demineralised peri and intertubular dentine[9]

Pulp chamber

The pulp chamber is the innermost part of the anatomical crown and contains blood vessels, nerves, lymphatics, and odontoblasts.[3] It plays a role in dentine formation, nutrient delivery, and pain response.

Though mainly associated with root canal treatments, the pulp chamber's position within the crown is important in clinical practice. Several anatomical "laws" have been described to aid in locating the pulp chamber during restorative or endodontic procedures:

  • Law of centrality: The pulp chamber is always located in the centre of the tooth at the level of the cementoenamel junction (CEJ).[10]
  • Law of concentricity: At the CEJ level, the pulp chamber walls are concentric to the external surface of the crown.[10]
  • Law of the CEJ: The CEJ is the most consistent landmark for locating the pulp chamber.[10]

Differences between primary and permanent crowns

Figure 4: Image depicting primary dentition

Primary teeth are the first set of teeth in the human dentition. It comprises 20 teeth, known as primary teeth or milk teeth. Primary teeth begin to erupt in infancy and are eventually replaced by permanent teeth. Premature loss of primary teeth can result in malocclusion or crowding of the permanent successors.[11]

Primary teeth differ from permanent teeth in several anatomical and structural ways. The crowns of primary teeth are generally shorter and broader, with a thinner layer of enamel, making them more susceptible to wear. This enamel also gives them a whiter appearance compared to permanent teeth.[11] In anterior teeth, mamelons, small bumps on the incisal edge of newly erupted permanent incisors, are absent in the primary dentition. The cervical ridges are more pronounced, particularly in molars, and the crowns are more bulbous with a distinct cervical constriction.[11]

Structurally, the roots of primary teeth are thinner and more widely spread, with short or absent root trunks. These adaptations facilitate natural exfoliation as the underlying permanent teeth erupt.[11]

Functionally and morphologically, primary molars have narrower occlusal tables and flatter buccal and lingual surfaces, whereas anterior primary teeth are proportionally wider mesiodistally compared to their crown height. These distinctions are important during dental assessments and restorative procedures.[12][13]

Morphological variation across tooth types

Incisors

In the permanent dentition, maxillary central incisors have broad, rectangular crowns with a straight incisal edge. Newly erupted incisors often display three mamelons, which wear down with time. The lingual surface contains a distinct cingulum bordered by mesial distal marginal ridges, enclosing a shallow lingual fossa.[12] Maxillary lateral incisors are smaller, with rounded incisal angles and a deeper lingual fossa that may include developmental grooves.[12] Mandibular central incisors are the smallest teeth and exhibit a symmetrical crown with a straight incisal edge and smooth lingual surface. Mandibular lateral incisors are slightly larger and possess a distally sloping incisal edge.[12][14]

Primary maxillary central incisors have crowns wider mesiodistally than inciso-cervically, a feature not found in any other tooth. They lack mamelons and display a prominent cingulum and marginal ridges with a deeper lingual fossa.[15] Primary lateral incisors are smaller with more rounded incisal angles. In the mandible, primary central incisors are symmetrical with a tapered crown and smooth lingual surface, while lateral incisors are slightly larger with a distally sloped incisal edge.[15]

Canines

Permanent maxillary canines are characterised by a prominent labial ridge, a well-developed cingulum, and a pronounced pointed cusp. The crown appears diamond-shaped from the incisal view, with strong mesial and distal slopes. The lingual anatomy includes a central ridge flanked by shallow fossae and prominent marginal ridges.[12][16] Mandibular canines are narrower mesiodistally, with a less prominent cingulum and smoother lingual surface. Their crowns are generally flatter and less pointed than those of maxillary canines.[16]

In the primary dentition, maxillary canines maxillary canines have prominent, sharp cusps with longer mesial slopes. The crown is constricted cervically and appears more bulbous.[12]

Premolars

Maxillary premolars usually have two cusps–buccal and lingual. The first premolars show  sharp buccal cusp and a smaller lingual cusp separated by a central groove. They often exhibit a pronounced buccal ridge and occlusal sulcus.[12][13] The second premolars are smaller with cusps of more equal height and display more supplemental grooves on the occlusal surface.

Mandibular first premolars have a dominant buccal cusp and a much smaller lingual cusp, often giving the appearance of a single cusp. The crown tapers sharply towards the lingual side.[13] Second premolars typically have two lingual cusps and a broader, square, or round occlusal table. Their occlusal groove pattern may vary from Y, H, to U shapes.[13]

Molars

Maxillary first permanent molars have four main cusps, and sometimes a fifth cusp known as the cusp of Carabelli. The occlusal surface typically has a rhomboidal shape and includes a distinct oblique ridge connecting the mesiopalatal and distobuccal cusps.[12] Second maxillary molars are smaller, and the distopalatal cusp may be reduced or absent, giving rise to a heart-shaped occlusal form. Third molars are highly variable in anatomy, often smaller and more rounded, with numerous accessory grooves and ridges.[12]

Mandibular first molars have five cusps and a pentagonal occlusal outline. They include three buccal and two lingual cusps, separated by distinct grooves. The mesiobuccal cusp is typically the largest.[17] Second molars have four cusps of nearly equal size and a rectangular occlusal outline, with grooves forming a cross pattern. Third molars exhibit significant anatomical variation and often have wrinkled occlusal surfaces due to supplemental grooves.[12]

Primary molars differ in shape and size from permanent molars. Maxillary first molars have a prominent mesiopalatal cusp and a smooth buccal surface with minimal grooves. Second molars resemble permanent maxillary first molars and include a cusp of Carabelli.[18] Mandibular first molars are unique in shape and do not resemble any permanent teeth, featuring a strong mesial marginal ridge and pronounced curvature at the cervical third.[18] Second mandibular molars resemble the permanent mandibular first molars but are smaller in all dimensions.[18]

Radiographic appearance

On radiographs, enamel appears as the most radiopaque (white) structure due to its high mineral content.[19] Dentine and cementum are less radiopaque and are usually indistinguishable from each other.[19] The pulp chamber and root canals are radiolucent (dark), centrally located within the tooth structure. The periodontal ligament appears as a thin, radiolucent line between the root and the lamina dura.[19]

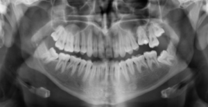
Figure 5: X-ray showing mixed primary and permanent teeth of an eight-year-old boy
Figure 6: X-ray showing permanent dentition[20]

Developmental anomalies affecting crown shape

Developmental anomalies that affect the crown of a tooth can lead to changes in its shape, size, and structure, affecting both appearance and function. These anomalies typically arise during the early stages of tooth formation, and can result in irregularities such as extra cusps, fused teeth, or abnormal indentations. Such variations in crown morphology can cause difficulties in maintaining oral hygiene, occlusal issues, and increase the risk of caries and periodontal problems.

Fusion

Figure 7: Fusion of crowns

Fusion occurs when two developing teeth merge, forming a large crown that may have one or two roots.[21] Complete fusion affects both crown and roots, while incomplete fusion affects only the crown.[22] The crown may have a groove or notch that increases plaque retention.[22] Management includes sealants, reshaping, or extraction if necessary.[23]

Gemination

Gemination results from a single tooth attempting to divide. It presents as a bifid crown with a single root and root canal.[22] Unlike fusion, gemination does not reduce tooth count.[23] Deep grooves increase caries risk. Treatment may include sealants, restorations, or orthodontic correction.[23]

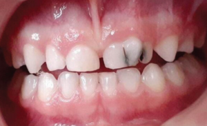
Figure 8: Carious enlarged crown of a geminated primary upper left central incisor

Clinically, geminated teeth can cause aesthetic concerns, spacing issues, and malocclusion. Depending on its impact, treatment may include sealants, restorations, orthodontic correction, or extraction in severe cases.[23]

Dens invaginatus (dens in dente)

Dens invaginatus (DI), or dens in dente, is a condition where part of the tooth crown folds inward before hardening, during development, forming a deep groove or pocket lined with enamel.[21][24] This anomaly most commonly affects upper lateral incisors, followed by central incisors, and premolars.[24]

Oehlers (1957) classified DI into three types based on how far the invagination extends within the tooth:[25]

  • Type I: The invagination is limited to the crown and does not reach the root.
  • Type II: The invagination extends into the root but remains within the pulp chamber, without any communication with the periodontium.
  • Type III: The invagination extends from the crown through the root, forming an opening into the periodontal ligament either laterally (Type IIIa) or at the root apex (IIIb).

Only Type I and Type III directly affect the crown, altering its shape and surface features.

Affected teeth may appear barrel-shaped or conical and are prone to caries.[26] Treatment ranges from sealing to extraction, depending on severity.[24]

Dens evaginatus

Dens evaginatus presents as an extra cusp on the occlusal or palatal surface, also known as talon cusp in anterior teeth.[21][24] It contains enamel, dentine, and sometimes pulp. It may interfere with occlusion and increase caries risk.[24] Management includes grinding, sealing, or root canal therapy if pulp is exposed.[27][28]

Microdontia

Microdontia is a developmental anomaly where one or more teeth appear smaller than normal, often leading to aesthetic concerns, spacing issues, and difficulty chewing.[29] The most commonly affected teeth are upper lateral incisors, often presenting as peg-shaped teeth with a conical appearance.[29][30] Therefore, microdontia may contribute to functional issues such as food trapping due to improper spacing, leading to caries and periodontal issues.[29] Management may include orthodontics and restorations.[29]

Macrodontia

Macrodontia, or megalodontia, is a condition where one or more teeth are abnormally large, while still having normal crown, root, and pulp morphology.[22][30] Isolated macrodontia usually occurs in isolation, but generalised macrodontia (affecting all teeth) may be linked to systemic conditions such as otodental syndrome, insulin-resistant diabetes, and hypophyseal gigantism.[21] Not to be mistaken for gemination or fusion, macrodontia does not involve tooth splitting or merging.[22][23] Clinically, macrodontia may cause crowding, misalignment, and aesthetic concerns.[22] Treatment may include size reduction, orthodontics, or extraction.[22][30]

المصادر

  1. ^ أ ب ت ث ج Scheid, Rickne C.; Weiss, Gabriela (2012). Woelfel's dental anatomy (8th ed.). Philadelphia: Wolters Kluwer health - Lippincott Williams & Wilkins. ISBN 978-1-60831-746-2.
  2. ^ Ritter, André V., ed. (2019). Sturdevant's art and science of operative dentistry (Seventh ed.). St. Louis, Missouri: Elsevier. ISBN 978-0-323-47833-5.
  3. ^ أ ب Themes, U. F. O. (2015-01-04). "2: The Tooth: Functions and Terms". Pocket Dentistry (in الإنجليزية الأمريكية). Retrieved 2025-04-24.
  4. ^ Gil-Bona, Ana; Bidlack, Felicitas B. (2020-06-23). "Tooth Enamel and Its Dynamic Protein Matrix". International Journal of Molecular Sciences (in الإنجليزية). 21 (12): 4458. doi:10.3390/ijms21124458. ISSN 1422-0067. PMC 7352428. PMID 32585904.
  5. ^ أ ب ت ث ج Shahmoradi, Mahdi; Bertassoni, Luiz E.; Elfallah, Hunida M.; Swain, Michael (2014), Ben-Nissan, Besim, ed. (in en), Fundamental Structure and Properties of Enamel, Dentin and Cementum, 2, Berlin, Heidelberg: Springer Berlin Heidelberg, pp. 511–547, doi:10.1007/978-3-642-53980-0_17, ISBN 978-3-642-53979-4, https://link.springer.com/10.1007/978-3-642-53980-0_17, retrieved on 2025-04-24 
  6. ^ أ ب Chun, K.; Choi, H.; Lee, J. (2014-02-06). "Comparison of mechanical property and role between enamel and dentin in the human teeth". Journal of Dental Biomechanics (in الإنجليزية). 5. doi:10.1177/1758736014520809. ISSN 1758-7360. PMC 3924884. PMID 24550998.
  7. ^ أ ب Fu, Zeyu; Zhuang, Yu; Cui, Jinjie; Sheng, Ruilong; Tomás, Helena; Rodrigues, João; Zhao, Bin; Wang, Xudong; Lin, Kaili (June 2022). "Development and challenges of cells- and materials-based tooth regeneration". Engineered Regeneration (in الإنجليزية). 3 (2): 163–181. doi:10.1016/j.engreg.2022.04.003.
  8. ^ أ ب Goldberg, Michel; Kulkarni, Askok B.; Young, Marian; Boskey, Adele (2011-01-01). "Dentin: structure, composition and mineralization". Frontiers in Bioscience. 3 (2): 711–735. doi:10.2741/E281. ISSN 1945-0494. PMC 3360947. PMID 21196346.
  9. ^ Al-Asmar, Ayah A (February 2023). "Clinical Implementation of Comprehending Dentin on a Microscopic Level". International Journal of Morphology (in الإنجليزية). 41 (1): 195–209. doi:10.4067/S0717-95022023000100195. ISSN 0717-9502.
  10. ^ أ ب ت Krasner, Paul; Rankow, Henry J. (2004-01-01). "Anatomy of the Pulp-Chamber Floor". Journal of Endodontics (in English). 30 (1): 5–16. doi:10.1097/00004770-200401000-00002. ISSN 0099-2399. PMID 14760900.{{cite journal}}: CS1 maint: unrecognized language (link)
  11. ^ أ ب ت ث Ahmed, Nada Taha (2023). "Major contrasts between primary and permanent teeth". Research Gate.
  12. ^ أ ب ت ث ج ح خ د ذ ر Nelson, Stanley J. (2015). Wheeler's dental anatomy, physiology, and occlusion (Tenth ed.). St. Louis, Missouri: Elsevier Saunders. ISBN 978-0-323-26323-8.
  13. ^ أ ب ت ث Black, GV (1897). Descriptive anatomy of the human teeth. Philadelphia: S.S. White Manufacturing Company.
  14. ^ Crăciunescu, Emanuela Lidia; Negruţiu, Meda-Lavinia; Romînu, Mihai; Novac, Andreea Codruţa; Modiga, Cristina; Caplar, Borislav-Duşan; Sinescu, Cosmin; Pop, Daniela-Maria (2023-02-23) (in en), Dental Anatomy and Morphology of Permanent Teeth, IntechOpen, doi:10.5772/intechopen.110223, ISBN 978-1-83768-659-9, https://www.intechopen.com/chapters/86255, retrieved on 2025-04-24 
  15. ^ أ ب susanhenderson (2024-06-01). "Tooth Morphology – Primary (Part B)" (in الإنجليزية الكندية). {{cite journal}}: Cite journal requires |journal= (help)
  16. ^ أ ب Fuller, James L.; Denehy, Gerald E.; Girsch, William (1977). Concise dental anatomy and morphology (in اليابانية). Year Book Medical Publishers.
  17. ^ Arola, D.; Reprogel, R. K. (2005-06-01). "Effects of aging on the mechanical behavior of human dentin". Biomaterials. 26 (18): 4051–4061. doi:10.1016/j.biomaterials.2004.10.029. ISSN 0142-9612. PMID 15626451.
  18. ^ أ ب ت Dean, J. A.; Jones, J. E.; Sanders, B. J.; Vinson, L. A. W.; Yepes, J. F. (2022). Mcdonald and Avery's dentistry for the child and adolescent (11th ed.). Elsevier. ISBN 978-0-323-69820-7.
  19. ^ أ ب ت Knipe, Henry; Walizai, Tariq; Hacking, Craig (2014-06-13) (in en), Teeth, doi:10.53347/rid-29678, https://radiopaedia.org/articles/29678, retrieved on 2025-04-24 
  20. ^ Kjær, Inger (2014). "Mechanism of Human Tooth Eruption: Review Article Including a New Theory for Future Studies on the Eruption Process". Scientifica (in الإنجليزية). 2014 (1) 341905. doi:10.1155/2014/341905. ISSN 2090-908X. PMC 3944225. PMID 24688798.
  21. ^ أ ب ت ث Karjodkar, F. R.; Mali, S.; Sontakke, S.; Sansare, K.; Patil, D. J. (2012). "JCDR - Fusion, Supernumerary, Dens invaginatus, Talon’s cusp, Dilacerations". Journal of Clinical and Diagnostic Research. 6 (9): 1603–1605. doi:10.7860/jcdr/2012/4174.2576. PMC 3527813. PMID 23285473. Retrieved 2025-04-24.
  22. ^ أ ب ت ث ج ح خ Mamdani, Sajida; Pathak, Divya; Harrison, Mike; Bhujel, Nabina (March 2023). "Macrodontia and double teeth: a review and case series". British Dental Journal (in الإنجليزية). 234 (5): 315–321. doi:10.1038/s41415-023-5571-9. ISSN 1476-5373. PMID 36899237.
  23. ^ أ ب ت ث ج Ben Salem, Mouna; Chouchene, Farah; Masmoudi, Fatma; Baaziz, Ahlem; Maatouk, Fethi; Ghedira, Hichem (2021). "Fusion or Gemination? Diagnosis and Management in Primary Teeth: A Report of Two Cases". Case Reports in Dentistry (in الإنجليزية). 2021 (1) 6661776. doi:10.1155/2021/6661776. ISSN 2090-6455. PMC 8189771. PMID 34123435.
  24. ^ أ ب ت ث ج Sawhney, Hemant; Agarwal, Vanshika; Gupta, Geetanjali (December 2023). "Dens Evaginatus and Dens Invaginatus in Dilacerated Maxillary Lateral Incisor Diagnosed Using Cone Beam Computed Tomography - A Case Report and Review of Literature". Indian Journal of Dental Research (in الإنجليزية الأمريكية). 34 (4): 448–450. doi:10.4103/ijdr.ijdr_53_22. ISSN 0970-9290. PMID 38739830. {{cite journal}}: Check |pmid= value (help)
  25. ^ Siqueira, José F.; Rôças, Isabela N.; Hernández, Sandra R.; Brisson-Suárez, Karen; Baasch, Alessandra C.; Pérez, Alejandro R.; Alves, Flávio R. F. (2022-02-01). "Dens Invaginatus: Clinical Implications and Antimicrobial Endodontic Treatment Considerations". Journal of Endodontics (in English). 48 (2): 161–170. doi:10.1016/j.joen.2021.11.014. ISSN 0099-2399. PMID 34902355.{{cite journal}}: CS1 maint: unrecognized language (link)
  26. ^ Chaturvedula, Balavenkata Bharathi; Muthukrishnan, Arvind; Bhuvaraghan, Aarthi; Sandler, Jonathan; Thiruvenkatachari, Badri (March 2021). "Dens invaginatus: a review and orthodontic implications". British Dental Journal (in الإنجليزية). 230 (6): 345–350. doi:10.1038/s41415-021-2721-9. ISSN 1476-5373. PMID 33772187.
  27. ^ Chen, Jung-Wei; Huang, George T.-J.; Bakland, Leif K. (2020-05-01). "Dens evaginatus: Current treatment options". The Journal of the American Dental Association (in English). 151 (5): 358–367. doi:10.1016/j.adaj.2020.01.015. ISSN 0002-8177. PMID 32209245.{{cite journal}}: CS1 maint: unrecognized language (link)
  28. ^ Sarpangala, M.; Devasya, A. (2017). "JCDR - Accessory cusp, Mesiodens, Primary dentition". Journal of Clinical and Diagnostic Research. 11 (1): ZJ01–ZJ02. doi:10.7860/jcdr/2017/24042.9207. PMC 5324526. PMID 28274081. Retrieved 2025-04-24.
  29. ^ أ ب ت ث Laverty, D. P.; Thomas, M. B. M. (August 2016). "The restorative management of microdontia". British Dental Journal (in الإنجليزية). 221 (4): 160–166. doi:10.1038/sj.bdj.2016.595. ISSN 1476-5373. PMID 27561572.
  30. ^ أ ب ت McKinney, Reed; Brizuela, Melina; Olmo, Heather (2025), Developmental Disturbances of the Teeth, Anomalies of Shape and Size, Treasure Island (FL): StatPearls Publishing, PMID 34662069, https://www.ncbi.nlm.nih.gov/books/NBK574555/, retrieved on 2025-04-24