متلازمة XXXX

هذه مقالة جيدة. لمزيد من المعلومات، اضغط هنا.

Tetrasomy X
الأسماء الأخرى48,XXXX
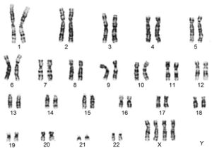
A karyotype, or image of chromosomes, for tetrasomy X. The chromosomes are labelled 1 to 22 for the autosomes (non-sex chromosomes), then X and Y for the sex chromosomes. 1 to 22 have the normal number of two chromosomes each. The Y is empty, and the X has four chromosomes.
Karyotype of tetrasomy X
التخصصعلم الوراثة الطبي Edit this on Marefadata
الأعراضIntellectual disability, facial dysmorphology, heart defects, skeletal anomalies, tall stature
البداية المعتادةConception
المدةLifelong
المسبباتNondisjunction
الطريقة التشخيصيةKaryotype
التشخيص المفاضلTrisomy X, pentasomy X, Down syndrome


رباعي X ويعرف أيضًا باسم XXXX ‏,48، هو اضطراب صبغي حيث يكون لدى الأنثى أربعة صبغيات X بدلاً من الاثنين النموذجيين. ترتبط هذه الحالة بدرجات متفاوتة من الإعاقة الذهنية، وملامح الوجه المميزة التي تتميز بأنها خشنة، وعيوب القلب، والشذوذات الهيكلية بما في ذلك زيادة الطول، وأصبع الخنصر المقوس، والْتحام العظمين الزندي و الكعبري (اندماج العظام الطويلة في الساعد) . رباعي X هو اضطراب غير شائع، مع حالات محدودة موثقة طبيا، يقدر حدوثها في نحو 1 من كل 50000 أنثى.

يُظهر الاضطراب مجموعة واسعة من الأعراض، تتراوح الأنماط الظاهرية الطفيفة إلى الشديدة. يُشتبه في عدم تشخيصه بشكل جيد، كما هو الحال مع اضطرابات الصبغيات الجنسية الأخرى. يختلف تأثير المرض على جودة الحياة عند الإناث، ففي حين تحصل بعض النساء على التعليم والعمل وتتزوج وتنجب الأطفال، تظل أخريات بحاجة للرعاية حتى مرحلة البلوغ. ولا يبدو أن متوسط العمر المتوقع قد انخفض بشكل كبير. لدى رباعي الصبغي X تداخل ظاهري مع عدد من الاضطرابات الأكثر شيوعًا، مثل التثلث الصبغي X ومتلازمة داون، وعادةً ما يكون التشخيص غير واضح قبل اختبار الصبغيات.

لا يُورّث رباعي X عمومًا، ولكنه يحدث عبر حدث عشوائي يسمى عدم الانفصال أثناء تطور الجاميت أو اللاقحة. المصطلح الرسمي المستخدم في علم النواة الخلوية الذي لوحظ في رباعي الصبغي X هو 48،XXXX، حيث يُحدد الحالةَ مكملٌ مكون من 48 صبغي بدلاً من 46 صبغيًا لوحظت في النمو البشري الطبيعي.

اُكتشفت متلازمة رباعي X أول مرة في عام 1961، ومنذ ذلك الحين أُبلغ عن نحو 100 حالة في جميع أنحاء العالم. ما يقرب من 60 من الإناث ذُكرت في الأدب الطبي بهذا الوضع.

العلامات والأعراض

أعراض متلازمة رباعي إكس تختلف اختلافا كبيرا، والتي يراوح بين معتدلة نسبيا وحادة. الأعراض غالبا ما تكون مماثلة لمتلازمة ثلاثية إكس. جسديا، أعراض الرباعي الصبغي إكس تكون السمات المميزة في الوجه مثل طية علاية الموق، جسور الأنف المسطحة، ميلان الشق الجفني، نقص التنسج في منتصف الوجه، أفواه صغيرة، فلح الشفة والحنك، تأخر نمو الأسنان أو تغيب،  أو عيوب الميناء. كما أُبلغ عن الأغلبية بأنها تكون أكبر وأطول. تظهر عند العديد  أيضا تشوهات في العضلات، بما فيها نقص التوتر، وافرتخاء المتعلق بالفخذين. قد تكون المشاكل الهيكلية أيضا موجودة، بما في ذلك تقوسات غير طبيعية في العمود الفقري. في دراسة رسمية أجراها (Tetrasomy & Pentasomy X Syndrome Information and Support) وجد أن 10 % من الإناث لديهن التراخي المتعلق بالفخذين، و20% القيود المشتركة في حجم عينة من 20 رباعي صبغي ومتلازمة خماسية إكس المرضي.

الأشخاص المُصابون بمتلازمة رباعي إكس تظهر عليهم في أغلب الأحيان تأخرات في النمو والكلام والتعبير، والتعبير اللغوي والفهم والقراءة. كذلك هناك تأخر في النمو الحركي، ومشاكل في المشي  للذين تراوح أعمارهم من 16 شهرا إلى 4.5 سنوات. نحو 50% من المرضى يصلون للبلوغ طبيعيًا، في حين أن ال 50٪ الأخرى لاتصل لسن للبلوغ، سن البلوغ الجزئي بدون الخصائص الجنسية الثانوية، أو البلوغ الكامل مع اضطرابات الحيض و/أو انقطاع الطمث المبكر (ربما في وقت مبكر عند المراهقين). تفيد التقارير الطبية بأربع حالات حمل عند المصابين بالمتلازمة، اثنين بصحة جيدة، واحدة مع متلازمة داون، واحدة ولد ميتا مع فتق سري ولادي .

من حيث أجهزة الجسم الداخلية، قد يكون المرضى بمتلازمة رباعي إكس رؤية غير طبيعية، وكذلك  السمع والدورة الدموية والكليتين والجهاز العصبي. وتشمل اضطرابات في العين قصر النظر، رأرأة، ثلامة، صغر المقلة، أو نقص تنسج العصب البصري . من حيث السمع، المرضى هم أكثر عرضة للالتهاب الأذن، انسداد الصوت، أو تشوهات العصبية. كما أُبلغ عن عدة تشوهات في القلب، بما فيها مرض قلبي خلقي، رتق، متلازمة النسيج الناقص الأيمن في القلب، قناة شريانية مفتوحة ، وتشوهات القلب الصمامية أو (conotruncal). كما يظهر لدى المرضى أيضا نوبة الصرع، رغم أنه ليس هناك تشوهات مؤكدة في وظيفة الدماغ أو البنية عند تحليلها باستخدام تخطيط أمواج الدماغ أو تصوير بالرنين المغناطيسي .

الأسباب والتشخيص

XXXX syndrome.svg

متلازمة الرباعي إكس هي اختلال الصيغة الصبغية،  وهذا يعني أنه ينشأ من خلل في الإنقسام منصف. يمكن أن يحدث هذا عندما تفشل الصبغيات إكس المتماثلة للفصل في تكوين البويضة أو الحيوان المنوي. عادة ما تكتشف متلازمة الرباعي إكس على أساس الأعراض الموجودة وتؤكد عن طريق علم النواة الخلوية، وهو ما يكشف عن صبغيات إكس إضافية.

العلاج والتشخيص

التشخيص العام للإناث المصابات بمتلازمة رباعي إكس  أمر جيد نسبيا. نظرا لتنوع الأعراض، بعض الفتيات المصابات بمتلازمة رباعي إكس قادرات على العمل بشكل طبيعي، في حين أن الأخريات سوف يحتجن إلى عناية طبية طوال حياتهن. في السابق، كان العلاج لمتلازمة رباعي إكس هو مراقبة الأعراض ودعم التعلم. تُوضع معظم الفتيات في العلاج بهرمون الاستروجين للحث على نمو الثدي، التحكم في  النمو الطولي، وتحفيز تكوين العظام لمنع هشاشة العظام. كما قد تحتاج أيضًا للكلام والمهنية، والعلاج الطبيعي اعتمادا على شدة الأعراض.

الأنواع الأخرى

عند آكل النمل الشوكي، هذا النوع من ترتيب الصبغيات أمر طبيعي. في هذا النوع الجيني تمييز الجنس يكون:

  • 63 (X1Y1X2Y2X3Y3X4Y4X5, ذكر)
  • 64 (X1X1X2X2X3X3X4X4X5X5, أنثى)[1]

انظر أيضًا

المصادر

  1. ^ {{cite journal}}: Empty citation (help)


External links

Classification
V · T · D
External resources



Classification
V · T · D
External resources