كسر العضد

Caduces2.jpg علي الجعبو
ساهم بشكل رئيسي في تحرير هذا المقال
كسر العضد
Humerus fracture

تصنيفات ومصادر خارجية
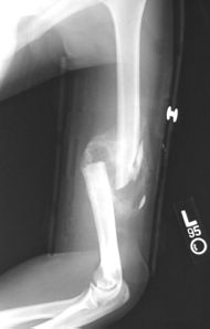
Communitive midshaft humeral fracture callus.jpg
Comminuted midshaft humerus fracture with callus formation.
ICD-10 S42.2-S42.4
ICD-9 812
eMedicine emerg/199  orthoped/271 orthoped/199

كسر العضد humerus fracture يمكن تصنيفه حسب موضع الاصابة في العضد: الطرف العلوي، عنق العضد shaft أو الطرف السفلي.

مقدمة تشريحية

يشكل عظم العضد هيكل الذراع وهو يتمفصل مع العظم الكتفي في الأعلى، ومع الكعبرة والزند في المرفق، يشكله جسم ونهايتان علوية وسفلية.

النهاية العلوية

  • تتكون من الأجزاء التالية:

الرأس Head : أصغر قليلاً من نصف كرة وهو موجه نحو الأعلى والإنسي والخلف. العنق التشريحي Surgical Neck : انخصار خفيف يجاور الرأس مباشرة. الحديبة الكبيرة Greater Tubercle: ترتسم وحشي الأخرم، وتغطيها العضلة الدالية. الحديبة الصغيرة lesser Tubercle : تشكل القسم الأمامي لنهاية العضد القريبة. الجسم:

  • له ثلاثة وجوه (وحشي وإنسي وخلفي) وثلاث حواف تفصل بينها.
  • تلتحم النهاية العلوية بالجسم بوساطة العنق الجراحي، الذي يكون المكان المعتاد للكسور.
  • يكون العصب الإبطي والشريان المنعطف الخلفي بتماس العنق الجراحي.

النهاية السفلية

تحوي سطوح مفصلية تدخل في تشكيل مفصل المرفق، وفوق هذه السطوح بروزان هما اللقيمات.

  • اللقيمة الإنسية:

بروز خشن يشكل منشأ للعضلات القابضة للساعد. يمر العصب الزندي خلفها في ثلم العصب الزندي، ويمكن جسه في هذه المنطقة ودحرجته بوساطة الإصبع الجاسة.

  • اللقيمة الوحشية:

تشكل منشأ للعضلة الاستلقائية، ولباسطات الساعد وللمرفقية.

  • اللقمة: تشمل البكرة والرؤيس، وتحدها الحفرة المنقارية والزجية والكعبرية.
  • الحفرة المنقارية: تقع فوق البكرة من الأمام.
  • الحفرة الزجية: تقع فوق البكرة من الخلف، وهي أوسع وأعمق من المنقارية، ويكون الفاصل العظمي بينهما رقيقاً وقد يكون منقطعاً.
  • الحفرة الكعبرية: تقع فوق القسم الجبهي للرؤيس، وهي حفرة قليلة العمق.

أماكن كسور العضد: 1) كسور العنق.

2) كسور الحدبة الكبيرة.

3) كسور جسم العضد.

4) كسور فوق اللقمتين العضديتين.

5) كسور اللقمة الوحشية.

6) كسور اللقمة الأنسية.

كسور عنق العضد

  • هي من الكسور الشائعة.
  • إن أشيع الكسور لدينا هي: كسر عنق الفخذ، كسر كوليس، عنق العضد.
  • شائع عند النساء المسنات بسبب الهشاشة العظمية.
  • يحدث غالباً بالسقوط على اليد الممدودة.
  • عادةً هو كسر غير متبدل بسيط ولكنه قد يكون متبدلاً وفي هذه الحالة يكون التبدل خفيفاً أو شديداً والذي يحدث بوضع التقريب أو التبعيد.
  • وهذا التبدل يكون بشكل تزوي بوضع التبعيد حيث القطعة القريبة للداخل والبعيدة للخارج.
  • عادةً هو كسر متشابك، حيث تتشابك قطع الكسر وقد يضيع التشخيص بسبب عدم وضوح الكسر بالصورة الشعاعية وبسبب هذا التشابك فإنَّ التبدل وإن حدث يكون بشكل غير واضح.

التشخيص:

  • في الكسور المتشابكة يستطيع المريض استعمال طرفه المصاب.
  • أما في الكسور المتبدلة فإنَّ تراجع وظيفة الطرف يكون ملحوظاً وإن الصورة الشعاعية مشخصة.

الأعراض:

  • ألم وكدمة زرقاء فوق الكتف.
  • وفي أغلب الأحيان لا يحدث عجز وظيفي تام (مثل كسر عنق الفخذ) حيث يستطيع المريض القيام ببعض الحركات البسيطة وهذا بسبب حدوث التشابك، أما إذا حدث التبدل فلا يمكن القيام بأية حركة.

العلاج:

  • إذا كان الكسر متشابكاً وكانت الزاوية بين العنق وجسم العضد صغيرة بالتبعيد (اقل من 15 درجة) العلاج بوشاح تحت الثياب لمدة لا تتجاوز 3 أسابيع، وبمجرد انتهاء هذه المدة وزوال الألم يبدأ المريض بالحركة الباكرة لتجنب حدوث اليبوسة المفصلية.
  • وبالتالي في حالة التشابك الجيد نحافظ على هذا الوضع دون القيام بأيه محاولة للرد والجر، لأنَّ الإندمال الحادث بهذا الوضع هو اندمال جيد حتى لو كان عند شاب أو كهل.
  • أما إذا حدث التبدل الشديد وعدم التشابك والذي يحدث عادةً في العنق الجراحي عند الشباب عند حدوث كسر عنيف على عظم صلب فالعلاج جراحي بالرد المفتوح والتثبيت الداخلي.
  • من الطرق الجراحية المستعملة: إدخال سيخ كيرشنر من الأعلى نحو الأسفل تحت التنظير أو وضع صفيحة وبراغي.
  • وبغض النظر عن الطريق الجراحية المستعملة فإننا نسميه استجدال جراحي.

ملاحظة:

  • في الرد الجراحي نحاول رد الكسر بصورة أقرب ما يمكن للوضع التشريحي.
  • أما في العلاج المحافظ فإنَّ التثبيت يكون أقرب ما يمكن للوضع الوظيفي.

الإختلاطات: 1) اليبوسة المفصلية.

2) أذية العصب الإبطي تسبب شلل الدالية وخدر في الوجه الوحشي للذراع والشفاء يكون عفوياً وتدريجياً خلال عدة أسابيع.

3) خلع الكتف وهنا يصبح العلاج جراحياً. في حالات نادرة جداً قد يتمزق الشريان العضدي وهنا يموت المريض قبل وصوله للمشفى من شدة النزف.

كسور الحدبة الكبيرة fracture of the greater tuberosity

  • عادةً كسر بسيط ونادراً انفصال شظية عظمية.
  • فقد يكون كسراً انقلاعياً يحدث عادةً بسبب حركة جر فجائي أو تقلص شديد للعضلة فوق الشوك يسب قلع الحدبة الكبيرة للعضد.
  • يُصنف مثل باقي الكسور: كسر خطي، متبدل، غير متبدل، والتبدل يكون بدرجات مختلفة.
  • عند كبار السن من السهولة حدوث الكسر أكثر من الإنقلاع، فالكسر الإنقلاعي نشاهده عند الشباب في أواسط العمر حيث يتواجد وتر عضلي شديد جداً يستطيع أن يقلع قطعة عظمية، أما مسن بعمر 90 سنة يحدث لديه انقطاع في وتر العضلة أو كسر بسبب الهشاشة العظمية قبل أن يحدث لديه كسر انقلاعي من هذا الشكل.
  • إذاً هذا الكسر أكثر ما يصيب البالغين المسنين على شكل كسر بسيط، وبشكل نادر قد يحدث عند الشباب وبهذه الحالة يكون كسراً انقلاعياً.


الأعراض:

  • لا توجد أعراض صاخبة (مثل الكدمة الكبيرة ....) بل مجرد ألم بسيط لأنه كسر بسيط كما ذكرنا.
  • يحدث الألم خاصة بحركة تبعيد الكتف، فالمريض قد يؤدي جميع حركات الكتف إلا حركة التبعيد والتي يستعمل فيها وتر العضلة فوق الشوك فيحدث عندها الألم وبالتالي إذا كانت الصورة الشعاعية غير واضحة قد يضيع التشخيص.

العلاج:

1ـ في الكسر غير المتبدل:

  • يكون العلاج فقط بوشاح تحت الثياب (لأنَّ الوشاح فوق الثياب يعني أن المريض قد يقوم بحركة تبعيد) لمدة 3 أسابيع حتى زوال الألم ونبدأ بعدها فوراً بالتحريك الباكر لمنع حدوث الإختلاط الأهم وهو يبوسة الكتف (الكتف المتجمدة).

2ـ في الكسر المتبدل:

  • الكسر متبدل يعني ابتعاد الحدبة الكبيرة عن مكانها لمسافة ما.
  • فإذا كان التبدل كبيراً سيسبب عدم اندمال، أو قد يسبب اندمال معيب تشكل دشبذ كبير يملأ المسافة بين الحدبة الكبيرة والناتئ الأخرمي تحدد مؤلم في حركة التبعيد بسبب ارتطام الحدبة الكبيرة بالناتئ الخرمي.
  • إذاً في الكسر المتبدل يكون العلاج بالفتح الجراحي وتثبيت الحدبة الكبيرة بالبراغي.
  • وفي الحالات المهملة المترافقة بالألم (حيث يأتي المريض بعد حدوث الإلتحام في منطقة خارجية بعيدة حيث لن نستطيع استئصالها وإعادتها إلى مكانها) استئصال الناتئ الأخرمي تعود الحركة حرة بدون ألم إذاً هنا لم نعالج السبب بل أزلنا قطعة أخرى (الناتئ الأخرمي) لإعادة الحركة بدون ألم.

الإختلاطات وتدبيرها:

1) تناذر القوس المؤلمة.

2) اليبوسة المفصلية: أكثرها شيوعاً (وهي في مفصل الكتف خاصة)، علاجها فيزيائي بالحركة والحرارة وقد تستغرق وقتاً طويلاً حسب عمر المريض.

3) الإندمال المعيب: والذي يرتطم بالناتئ الأخرمي مسبباً الأمل استئصال الناتئ الأخرمي.

4) عدم الإندمال: نميز حالتين:

  • إذا لم يؤثر على الوظيفة لا يهمنا ولو وجدنا عدم التحام على الصورة الشعاعية، ويكون العلاج هنا استئصال القطعة التي لم تندمل وهي الحدبة الكبيرة.
  • أما إذا كانت القطعة البعيدة تسبب ألماً استئصالها ثم إعادة ارتكاز أوتار الكتف ولا تؤثر كثيراً على الوظيفة.

انظر أيضاً

المصادر

وصلات خارجية