فيبرين
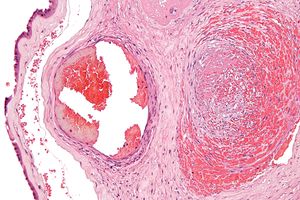
Micrograph showing fibrin (dark pink amorphous material) in a blocked vein surrounded by extravasated red blood cells (right of image). An artery (left of image) and the amnion (far left of image) is also seen. Placenta in a case of fetal thrombotic vasculopathy. H&E stain.
الليفين أو الفيبرين Fibrin (وأيضاً تسمى Factor Ia) هي مادة بروتينية ليفية بيضاء تكون أهم أجزاء الجلطة الدموية، ويُسمَّى تَكَوُّن الجلطة التخثر. وينتج الليفين من مولد الليفين، وهو بروتين موجود في البلازما (الجزء السائل في الدم). وعندما ينساب الدم من منطقة مجروحة، تتحد جزيئات مولد الليفين، لتكوِّن أليافاً طويلة من الليفين. وَتصْنَع هذه الألياف ما يشبه الشبكة وتغطي بها منطقة الجرح؛ مما يجعل خلايا الدم الحمراء تتجمع في داخل الشبكة مساهمة في تكوين الجلطة الدموية. وقد تتكوّن الجلطات أيضًا داخل الأوعية الدموية.
البنية
انظر أيضاً
الهامش
وصلات خارجية
- TGW1916.net, Defibrinated blood harvested from sheep (video)
This article contains content from Wikimedia licensed under CC BY-SA 4.0. Please comply with the license terms.