خلية جذعية متعلقة باللحمة المتوسطة
| ' | |
|---|---|
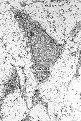
![]() خلية جذعية باللحمة المتوسطة تبين typical ultrastructural morphology. | |
| Details | |
| Identifiers | |
| اللاتينية | cellula mesenchymatica precursoria |
| MeSH | D059630 |
| TH | TH {{{2}}}.html HH2.00.01.0.00008 .{{{2}}}.{{{3}}} |
| المصطلحات التشريحية | |
الخلايا الجذعية المتعلقة باللُحمة المتوسطة إنگليزية: Mesenchymal Stem Cells هي خلايا جذعية بالغة لها القابلية على التمايز إلى عدة أنواع من الخلايا وأهمها: الخلايا بانية العظام والخلايا العضلية والخلايا الغضروفية والخلايا الشحمية والخلايا العصبية. يمكن الحصول على هذه الخلية من نخاع العظم.
انظر أيضاً
الهامش
المصادر: الخلايا الجذعية الجنينية Embryonic stem cell | الخلايا الجذعية البالغة Adult stem cell | الخلايا الجذعية السرطانية Cancer stem cell
مقالات متعلقة: معالجات الخلايا الجذعية Stem cell treatments | الخلاف حول الخلايا الجذعية Stem cell controversy | Stem cell line | خلية سليفة Progenitor cell | تمايز خلوي Cell differentiation
This article contains content from Wikimedia licensed under CC BY-SA 4.0. Please comply with the license terms.
