جيب أنفي

(تم التحويل من جيوب أنفية)
Sinusitis
الأسماء الأخرىSinus infection, rhinosinusitis
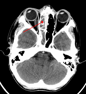
Ethmoidinfection.png
A CT scan showing sinusitis of the ethmoid sinus
التخصصOtorhinolaryngology
الأعراضThick nasal mucus, plugged nose, pain in the face, fever[1][2][3]
المسبباتInfection (bacterial, fungal, viral), allergies, air pollution, structural problems in the nose[2]
عوامل الخطرAsthma, cystic fibrosis, poor immune function[1]
الطريقة التشخيصيةUsually based on symptoms[1]
التشخيص المفاضلMigraine[4]
الوقايةHandwashing, avoiding smoking, immunization[2]
العلاجPain medications, nasal steroids, nasal irrigation, antibiotic[1][5]
التردد10–30% each year (developed world)[1][6]

الجيوب الأنفية Paranasal Sinuses هي تجاويف ملآى بالهواء وتتصل بالتجويف الأنفي Nasal cavity من خلال فتحات في عظام الجمجمة والوجه. وتغطيها أغشية مخاطية.

الوظيفة

قد تكون الجيوب الأنفية للبشر القدامى مبطنة بمستقبلات للرائحة تمنحهم حاسة شم قوية للغاية، مما ساعدهم على البقاء على قيد الحياة. أما الآن، فلا أحد يعلم على وجه التحديد لماذا نمتلك هذه الفراغات المبطنة بغشاء مخاطي ، والتي تسبب لنا كثيرا من المتاعب في كثير من الأحيان، اللهم إلا لجعل الرأس أخف، ولترطيب وتدفئة الهواء الذي نتنفسه.

التشريح

عند النظر إلى قطاع عرضي في الجمجمة البشرية، سنجد أربعة مجموعات من الجيوب الأنفية؛ الجبهية frontal – وتوجد في مقدم الرأس ، أو الجبهة ؛ والفكية العلوية maxillary – وتوجد تحت الخدين؛ والغربالية ethmoid والوتدية sphenoid- وتوجد خلف الأنف. وفي الحيوانات التي تتمتع بحاسة شم قوية، تبطن الجيوب الأنفية في معظمها بنسيج شمي.




مراجع

وصلات خارجية

Star of life.svg هذه بذرة مقالة عن العلوم الطبية تحتاج للنمو والتحسين، فساهم في إثرائها بالمشاركة في تحريرها.

المصادر

  1. ^ أ ب ت ث ج خطأ استشهاد: وسم <ref> غير صحيح؛ لا نص تم توفيره للمراجع المسماة Ros2015
  2. ^ أ ب ت خطأ استشهاد: وسم <ref> غير صحيح؛ لا نص تم توفيره للمراجع المسماة CDC2013
  3. ^ خطأ استشهاد: وسم <ref> غير صحيح؛ لا نص تم توفيره للمراجع المسماة NIH2012Sym
  4. ^ "Migraines vs. Sinus Headaches". American Migraine Foundation. Retrieved 2017-10-23.
  5. ^ خطأ استشهاد: وسم <ref> غير صحيح؛ لا نص تم توفيره للمراجع المسماة King2015
  6. ^ خطأ استشهاد: وسم <ref> غير صحيح؛ لا نص تم توفيره للمراجع المسماة Ad2014